Ortodontia e Periodontia
Universidade Estadual do Piauí – UESPI
Clínica Escola de Odontologia - CEO
Campus Alexandre Alves de Oliveira
Bacharelado em Odontologia
Bloco V
 Apresentado por: Adriana Mércia, Vinícius Caetano e Jéssica Brandão
9
Movimento ortodôntico em adultos com
problemas periodontais
Ortodontia e Periodontia
 O tratamento ortodôntico pode ser um auxiliar para a terapia
periodontal;
 Consequências da Doença Periodontal :
 Inclinação vestibular dos incisivos, rotação e inclinação de
PM e M Problemas de oclusão posterior;
Movimento ortodôntico em adultos com
problemas periodontais
Ortodontia e Periodontia
 O tratamento ortodôntico inadequado feito em pacientes com
doença periodontal
COLAPSO DOS TECIDOS PERIODONTAIS
Inflamação Forças Ortodônticas Trauma Oclusal
Movimento ortodôntico em adultos com
problemas periodontais
Ortodontia e Periodontia
 Tratamento adequado – Movimentação ortodôntica extensa em
adultos com um periodonto reduzido;
 Sem destruição Periodontal.
Considerações sobre o tratamento ortodôntico
Ortodontia e Periodontia
 Elemento chave do tratamento ortodôntico
Eliminação/Redução
da placa
Eliminação/Redução
da Inflamação
Gengival
Instruções de higiene
oral
Planejamento da
construção do
aparelho
Revisões periódicas
Considerações sobre o tratamento ortodôntico
Ortodontia e Periodontia
 Método adaptado para cada caso;
 Aparelhos seccionados ou removíveis;
 Ancoragem estável, sem causar irritação tecidual, e esteticamente
aceitável.
 Devido ao aumento de placa, devem ser confeccionados
aparelhos e mecanismos simples e sejam evitados ganchos,
elásticos e anéis.
Considerações sobre o tratamento ortodôntico
Ortodontia e Periodontia
 Reforço das instruções de higiene oral;
 Motivação do paciente;
 Profilaxias periódicas;
 Exames de controle Profundidade da bolsa
Mobilidade
Sangramento à sondagem
SUP, Recessão, Níveis ósseos
Considerações sobre o tratamento ortodôntico
Ortodontia e Periodontia
Após a remoção do aparelho, uma nova instrução sobre os
métodos de higiene oral deve ser feita.
Contenção – Problemas e Soluções
Ortodontia e Periodontia
 A migração dentária associada aos problemas periodontais em
torno dos incisivos em adultos é usualmente causada por um
aumento do processo inflamatório ou por projeção lingual;
 Contenção permanente ou mais tempo além do “normal”.
Contenção – Problemas e Soluções
Ortodontia e Periodontia
 O controle a longo prazo de pacientes que recebem tratamento
periodontal e ortodôntico combinados e que usam contenções
fixas por vários anos demonstra excelente estabilidade e aparente
manutenção, ou até mesmo, melhora das condições periodontais.
Ortodontia e Periodontia
 A maioria dos incisivos em adultos com má oclusão apresenta um
certo desgaste da borda incisal;
 Inter-relação com procedimentos restauradores, em alguns casos;
 Presença de papilas entre os incisivos superiores é um fator
estético chave após o tratamento ortodôntico;
 O ponto de contato é aumentado e movido apicalmente.
Resultados estéticos do tratamento Ortodôntico
Ortodontia e Periodontia
Periodontite Avançada, aparelho fixo durante 2 anos, resultados mantidos com uso de contenção.
Resultados estéticos do tratamento Ortodôntico
Ortodontia e Periodontia
Periodontite Avançada, aparelho fixo durante 2 anos, resultados mantidos com uso de contenção.
7 anos após
Resultados estéticos do tratamento Ortodôntico
Ortodontia e Periodontia
Migração patológica dos incisivos, perda do elemento 25, resultado mantido com retenção (L /V)
Não houve progressão do colapso dos tecidos periodontais.
Resultados estéticos do tratamento Ortodôntico
Ortodontia e Periodontia
Perda da papila entre os Incisivos, prolongamento da área de contato.
Resultados estéticos do tratamento Ortodôntico
Possibilidades e Limitações; Aspectos Legais
Ortodontia e Periodontia
 Pacientes ortodônticos adultos com destruição periodontal marcante podem
representar problemas potenciais, mesmo que o tratamento em execução seja o
ideal;
 Não há definição de medidas de limite de PS, ou Profundidade de inserção que
digam quando a movimentação ortodôntica não deve mais ser levada adiante;
Possibilidades e Limitações; Aspectos Legais
Ortodontia e Periodontia
 Para melhorar o cuidados com os pacientes, a redução de estresses e
eliminação de problemas com processos judiciais, são importantes:
Cuidadosos protocolos de exame;
Documentação;
Correspondência e avaliação regular dos progressos do tratamento.
 A interrupção do tratamento ortodôntico em pacientes periodontais será
raramente necessária se os procedimentos apropriados forem seguidos.
Fatores específicos
associados ao
movimento
ortodôntico
Movimentação dos dentes com bolsas infra-
ósseas;
Movimentação dentária em áreas com
comprometimento ósseo;
Movimentação dentária através do osso cortical;
Extrusão e intrusão de dentes isolados;
Movimentação dos dentes com bolsas infra-ósseas;
Ortodontia e Periodontia
 Forças ortodônticas por si só não parecem transformar uma gengivite
em uma periodontite destrutiva;
Fatores específicos associados ao movimento ortodôntico
diversos fatores
Gengivite tecido conjuntivo supra-alveolar
Forças ortodônticas tec. conjuntivo entre a raiz e osso alveolar
Movimentação dos dentes com bolsas infra-ósseas;
Ortodontia e Periodontia
• Estudos mostraram que a movimentação ortodôntica de inclinação e
intrusão pode induzir a migração de uma placa supragengival para
uma posição subgengival;
 Dentes com periodonto saúdavel não apresentaram formação de
bolsas;
Fatores específicos associados ao movimento ortodôntico
Placa
bacteriana
Movimento de
inclinação e
intrusão
Formação de bolsas infra-
ósseas
Ortodontia e Periodontia
 Observou-se
 A movimentação ortodôntica de dentes com bolsas infra-ósseas pode gerar um
alto risco de destruição periodontal adicional;
 Clinicamente essencial que o tratamento periodontal com a eliminação das
lesões induzidas pela placa seja executado antes do início da terapia
ortodônticas;
Manter higiene oral excelente durante o curso do tratamento ortodôntico;
Movimentação dos dentes com bolsas infra-ósseas;
Fatores específicos associados ao movimento ortodôntico
Movimentação dentária em áreas com
comprometimento ósseo;
Ortodontia e Periodontia
 Pacientes parcialmente edêntulos
 Alguns estudos clínicos (Stepovich 1979, Hom & Turley 1984, Goldberg & Turley
1989, Thilander 1996) demonstraram que a redução vertical óssea não é uma
contraindicação para a movimentação ortodôntica;
Fatores específicos associados ao movimento ortodôntico
Processo alveolar comprometido
Movimentação dentária em áreas com
comprometimento ósseo;
Ortodontia e Periodontia
Fatores específicos associados ao movimento ortodôntico
Movimentação ortodôntica em direção à áreas edêntulas
Movimentação dentária através do osso cortical;
Ortodontia e Periodontia
 Existe um potencial ósseo de reparo quando dentes
malposicionados voltam à suas posições de origem, devido ao
fenômeno da aposição.
Fatores específicos associados ao movimento ortodôntico
• LAINO e MELSEN 1997 em revisão da literatura confirmaram que o deslocamento
impróprio de dentes através do osso alveolar pode resultar no desenvolvimento de
deiscências ou defeitos periodontais, se o dente for movido para fora do processo
alveolar.
Extrusão e intrusão de dentes isolados;
Ortodontia e Periodontia
 A extrusão de uma dente pode ser indicada:
(1) Diminuir defeitos intraósseos;
(2) Aumentar o tamanho da coroa clínica;
• Movimento de extrusão leva à um posicionamento coronário de
tec. conj. de inserção;
Fatores específicos associados ao movimento ortodôntico
Extrusão
Defeitos ósseos mais rasos
Extrusão e intrusão de dentes isolados;
Ortodontia e Periodontia
 A extrusão ortodôntica de um único dente que precisa ser extraído é um método
excelente para melhorar o nível marginal ósseo;
Fatores específicos associados ao movimento ortodôntico
Extrusão com periodonto
Extrusão e intrusão de dentes isolados;
Ortodontia e Periodontia
 Em dentes com fraturas coronorradiculares, ou outras fraturas subgengivais;
Fatores específicos associados ao movimento ortodôntico
Extrusão para fora do periodonto
Extrusão e intrusão de dentes isolados;
Ortodontia e Periodontia
Fatores específicos associados ao movimento ortodôntico
Intrusão
Recessão gengival
Ortodontia e Periodontia
Recessão relacionada à doença periodontal ou a fatores
associados com essa doença
Recessão relacionada à fatores mecânicos
Tipos
Recessão gengival
Ortodontia e Periodontia
 Movimentação dentária favorável e fatores teciduais
Alterações na dimensão mucogengival são independentes da
extensão apicocoronal da gengiva inserida e queratinizada.
A espessura bucolingual pode ser um fator determinante em sítios
com gengivite
Recessão vestibular
Ortodontia e Periodontia
 FIG 31.24
Recessão gengival
Ortodontia e Periodontia
 Conclusão
Os procedimentos cirúrgicos mucogengivais só devem ser
realizados após a terapia ortodôntica, mesmo em caso de
recessão gengival
Procedimentos cirúrgicos terão maior previsibilidade de sucesso
do que se tivessem sido feitos antes da movimentação dentária
Recessão vestibular
Recessão gengival
Ortodontia e Periodontia
 Movimentação dentária desfavorável e fatores teciduais
Se a expansão resultar no estabelecimento de deiscência óssea, o
volume dos tecidos moles de cobertura deve ser considerado um
fator que pode influenciar no desenvolvimento de recessões de
tecido mole
A intervenção cirúrgica deve visar o aumento da espessura dos
tecidos de cobertura, e não o aumento no sentido apicocoronal da
gengiva
Recessão vestibular
Recessão gengival
Ortodontia e Periodontia
 Conclusão
Verificar a espessura bucolingual do osso e dos tecidos moles que
estão do lado a sofrer pressão de todos os dentes que serão
movimentados
Controle de placa adequado antes, durante e após o tratamento
Recessão vestibular
Recessão gengival
Ortodontia e Periodontia
 Considerações estéticas relacionadas aos defeitos papilares
A desconfiguração das papilas durante o tratamento ortodôntico
deve ser evitada
Fatores causadores Doença periodontal avançada
Forma dentária triangular
Raízes dentárias divergentes
Recessão interdental
Ortodontia e Periodontia
 Opções clínicas de tratamento
Recessão gengival
Recessão interdental
Cirurgia mucogengival
Colocação de próteses gengivais
Através da ortodontotia tornar
paralelas as raízes dos dentes
vizinhos
Redução mesiodistal do esmalte
Ortodontia e Periodontia
 Redução mesiodistal do esmalte
Indicação
Prevenção do desenvolvimento de recessões interdentais durante o
tratamento ortodônticos em pacientes adultos
Recessão gengival
Recessão interdental
Ortodontia e Periodontia
 Redução mesiodistal do esmalte
Em pacientes com periodontite avançada, nem sempre é possível
a restituição de todas as papilas da dentição
Mas aparência estética é substancialmente melhorada pelo
desgaste na maioria dos pacientes
Recessão gengival
Recessão interdental
Cirurgia menores associadas à terapia ortodôntica
Ortodontia e Periodontia
• Método para a redução da ocorrência de reincidência de rotação
Fibras principais do ligamento Fibras supra-alveolares
periodontal
Fibrotomia
Cirurgia menores associadas à terapia ortodôntica
Ortodontia e Periodontia
 Os tecidos gengivais supra-ósseos parecem contribuir para a
reincidência da rotação dentária
Téc. circunferencial de fibrotomia supra-óssea (CSF)
 Não é recomendado durante a movimentação dentária ativa ou na
presença de inflamação gengival
Fibrotomia
Cirurgia menores associadas à terapia ortodôntica
Ortodontia e Periodontia
 Vários tipos de freios hiperplásicos podem obstruir o fechamento
do diastema e devem ser removidos ou reposicionados
 Remoção parcial do freio
 A inserção do freio à gengiva e ao periósteo é cortada, e essa
mesma inserção é recolocada alguns milímetros acima, na
mucosa alveolar
Frenotomia
Cirurgia menores associadas à terapia ortodôntica
Ortodontia e Periodontia
1. Pequena prega em uma face única
2. Fendas profundas que se estendem através da papila interdental
até a lingual
 Há resolução dessas fendas com o tempo, porém algumas
invaginações persistem por 5 anos ou mais após o término da
terapia ortododôntica
Remoção de invaginações gengivais (fendas)
Cirurgia menores associadas à terapia ortodôntica
Ortodontia e Periodontia
 Aumento do tamanho clínico das coroas
 Correção de discrepância gengival aparente podem ser realizado
Gengivectomia
Cirurgia menores associadas à terapia ortodôntica
Ortodontia e Periodontia
 Possui contraindicação
 Útil na melhoria de resultados ortodônticos
 Cicatrização e regeneração – boa higiene oral durante 2 meses
Gengivectomia
Importância e protocolo de programas educativo-preventivos
Ortodontia e Periodontia
 Durante o tratamento ortodôntico, os profissionais têm uma
excelente oportunidade de ensinar Odontologia Preventiva e
controle de doenças aos seus pacientes;
 Um tratamento com aparelhos fixos é uma intervenção
considerável no ambiente da cavidade bucal.
 Os acessórios ortodônticos constituem a base para um risco
elevado de cárie dentária e periodontite;
Importância e protocolo de programas educativo-preventivos
Ortodontia e Periodontia
 Para que os danos nos tecidos sejam mínimos durante um
tratamento ortodôntico:
baixo risco de periodontite;
baixo risco de cárie;
instrução e motivação do paciente;
sistema de acompanhamento eficiente.
Se a higiene oral piorar muito durante tratamento, o ortodontista
deve considerar a interrupção do tratamento;
Importância e protocolo de programas educativo-preventivos
Ortodontia e Periodontia
 Paciente com aparelhos
fixos tem que cuidar de seus
dentes atenciosamente, pois
a higiene bucal, nestes
casos, é difícil;
 Limpeza difícil na região de
braquetes: recomendada
escovas ortodônticas!
 Para áreas proximais fio
dental Superfloss;
Calheiros, Anderson, et al. "Movimentação ortodôntica em dentes com
comprometimento periodontal: relato de um caso clínico." (2005)
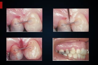
A paciente V. M., de 46 anos
Calheiros, Anderson, et al. "Movimentação ortodôntica em dentes com
comprometimento periodontal: relato de um caso clínico." (2005)
A paciente V. M., de 46 anos
Sistema de ancoragem utilizado no caso exposto.
Calheiros, Anderson, et al. "Movimentação ortodôntica em dentes com
comprometimento periodontal: relato de um caso clínico." (2005)
A paciente V. M., de 46 anos
Radiografias periapicais pré e pós- intrusão
Calheiros, Anderson, et al. "Movimentação ortodôntica em dentes com
comprometimento periodontal: relato de um caso clínico." (2005)
Conclusão
 considera-se apto ao tratamento ortodôntico aquele paciente cujos
problemas periodontais encontram-se controlados, sem
sangramento gengival a sondagem e com boa higiene bucal,
mesmo que o periodonto encontre-se reduzido, sem que isso
signifique mais deteorização do tecido de sustentação;
Calheiros, Anderson, et al. "Movimentação ortodôntica em dentes com
comprometimento periodontal: relato de um caso clínico." (2005)
 Investigações mais atuais afirmam que o movimento de intrusão,
quando realizado nesses casos, tendem a proporcionar ganho de
inserção e conseqüente melhora do problema, desde que a doença
periodontal esteja ausente no momento da movimentação e o
controle de placa bacteriana seja eficiente.
Conclusão
Calheiros, Anderson, et al. "Movimentação ortodôntica em dentes com
comprometimento periodontal: relato de um caso clínico." (2005)
 Foi constatado radiograficamente que, apesar do defeito ósseo
vertical do 21 não ter sido eliminado, houve uma real intrusão dos
elementos 21 e 22, com ganho de inserção, e uma melhora
substancial na função e estética da paciente, devida à combinação
de movimento de intrusão e retração;
Conclusão
Calheiros, Anderson, et al. "Movimentação ortodôntica em dentes com
comprometimento periodontal: relato de um caso clínico." (2005)
4. Calheiros, Anderson, et al. "Movimentação ortodôntica em dentes com comprometimento
periodontal: relato de um caso clínico." R Dental Press Ortodon Ortop Facial 10.2 (2005): 111-
118.
3. Olympio, Kelly Polido Kaneshiro, et al. "Prevenção de cárie dentária e doença periodontal
em Ortodontia: uma necessidade imprescindível." Rev Dental Press Ortod Ortop Facial 11.2
(2006): 110-9.
2. FOSS, SIDNEY LUÍS. "Inter-relação periodontia e ortodontia." Monografia (especialização
em periodontia) ABO, Curitiba (2005).
1. Tratado de Periodontia Clínica e Implantologia Oral Lindhe 4ª Ed
Muito obrigado!
Referências
Referências

Ortodontia

  • 1.
    Ortodontia e Periodontia UniversidadeEstadual do Piauí – UESPI Clínica Escola de Odontologia - CEO Campus Alexandre Alves de Oliveira Bacharelado em Odontologia Bloco V  Apresentado por: Adriana Mércia, Vinícius Caetano e Jéssica Brandão 9
  • 2.
    Movimento ortodôntico emadultos com problemas periodontais Ortodontia e Periodontia  O tratamento ortodôntico pode ser um auxiliar para a terapia periodontal;  Consequências da Doença Periodontal :  Inclinação vestibular dos incisivos, rotação e inclinação de PM e M Problemas de oclusão posterior;
  • 3.
    Movimento ortodôntico emadultos com problemas periodontais Ortodontia e Periodontia  O tratamento ortodôntico inadequado feito em pacientes com doença periodontal COLAPSO DOS TECIDOS PERIODONTAIS Inflamação Forças Ortodônticas Trauma Oclusal
  • 4.
    Movimento ortodôntico emadultos com problemas periodontais Ortodontia e Periodontia  Tratamento adequado – Movimentação ortodôntica extensa em adultos com um periodonto reduzido;  Sem destruição Periodontal.
  • 5.
    Considerações sobre otratamento ortodôntico Ortodontia e Periodontia  Elemento chave do tratamento ortodôntico Eliminação/Redução da placa Eliminação/Redução da Inflamação Gengival Instruções de higiene oral Planejamento da construção do aparelho Revisões periódicas
  • 6.
    Considerações sobre otratamento ortodôntico Ortodontia e Periodontia  Método adaptado para cada caso;  Aparelhos seccionados ou removíveis;  Ancoragem estável, sem causar irritação tecidual, e esteticamente aceitável.  Devido ao aumento de placa, devem ser confeccionados aparelhos e mecanismos simples e sejam evitados ganchos, elásticos e anéis.
  • 7.
    Considerações sobre otratamento ortodôntico Ortodontia e Periodontia  Reforço das instruções de higiene oral;  Motivação do paciente;  Profilaxias periódicas;  Exames de controle Profundidade da bolsa Mobilidade Sangramento à sondagem SUP, Recessão, Níveis ósseos
  • 8.
    Considerações sobre otratamento ortodôntico Ortodontia e Periodontia Após a remoção do aparelho, uma nova instrução sobre os métodos de higiene oral deve ser feita.
  • 9.
    Contenção – Problemase Soluções Ortodontia e Periodontia  A migração dentária associada aos problemas periodontais em torno dos incisivos em adultos é usualmente causada por um aumento do processo inflamatório ou por projeção lingual;  Contenção permanente ou mais tempo além do “normal”.
  • 10.
    Contenção – Problemase Soluções Ortodontia e Periodontia  O controle a longo prazo de pacientes que recebem tratamento periodontal e ortodôntico combinados e que usam contenções fixas por vários anos demonstra excelente estabilidade e aparente manutenção, ou até mesmo, melhora das condições periodontais.
  • 11.
    Ortodontia e Periodontia A maioria dos incisivos em adultos com má oclusão apresenta um certo desgaste da borda incisal;  Inter-relação com procedimentos restauradores, em alguns casos;  Presença de papilas entre os incisivos superiores é um fator estético chave após o tratamento ortodôntico;  O ponto de contato é aumentado e movido apicalmente. Resultados estéticos do tratamento Ortodôntico
  • 12.
    Ortodontia e Periodontia PeriodontiteAvançada, aparelho fixo durante 2 anos, resultados mantidos com uso de contenção. Resultados estéticos do tratamento Ortodôntico
  • 13.
    Ortodontia e Periodontia PeriodontiteAvançada, aparelho fixo durante 2 anos, resultados mantidos com uso de contenção. 7 anos após Resultados estéticos do tratamento Ortodôntico
  • 14.
    Ortodontia e Periodontia Migraçãopatológica dos incisivos, perda do elemento 25, resultado mantido com retenção (L /V) Não houve progressão do colapso dos tecidos periodontais. Resultados estéticos do tratamento Ortodôntico
  • 15.
    Ortodontia e Periodontia Perdada papila entre os Incisivos, prolongamento da área de contato. Resultados estéticos do tratamento Ortodôntico
  • 16.
    Possibilidades e Limitações;Aspectos Legais Ortodontia e Periodontia  Pacientes ortodônticos adultos com destruição periodontal marcante podem representar problemas potenciais, mesmo que o tratamento em execução seja o ideal;  Não há definição de medidas de limite de PS, ou Profundidade de inserção que digam quando a movimentação ortodôntica não deve mais ser levada adiante;
  • 17.
    Possibilidades e Limitações;Aspectos Legais Ortodontia e Periodontia  Para melhorar o cuidados com os pacientes, a redução de estresses e eliminação de problemas com processos judiciais, são importantes: Cuidadosos protocolos de exame; Documentação; Correspondência e avaliação regular dos progressos do tratamento.  A interrupção do tratamento ortodôntico em pacientes periodontais será raramente necessária se os procedimentos apropriados forem seguidos.
  • 18.
    Fatores específicos associados ao movimento ortodôntico Movimentaçãodos dentes com bolsas infra- ósseas; Movimentação dentária em áreas com comprometimento ósseo; Movimentação dentária através do osso cortical; Extrusão e intrusão de dentes isolados;
  • 19.
    Movimentação dos dentescom bolsas infra-ósseas; Ortodontia e Periodontia  Forças ortodônticas por si só não parecem transformar uma gengivite em uma periodontite destrutiva; Fatores específicos associados ao movimento ortodôntico diversos fatores Gengivite tecido conjuntivo supra-alveolar Forças ortodônticas tec. conjuntivo entre a raiz e osso alveolar
  • 20.
    Movimentação dos dentescom bolsas infra-ósseas; Ortodontia e Periodontia • Estudos mostraram que a movimentação ortodôntica de inclinação e intrusão pode induzir a migração de uma placa supragengival para uma posição subgengival;  Dentes com periodonto saúdavel não apresentaram formação de bolsas; Fatores específicos associados ao movimento ortodôntico Placa bacteriana Movimento de inclinação e intrusão Formação de bolsas infra- ósseas
  • 21.
    Ortodontia e Periodontia Observou-se  A movimentação ortodôntica de dentes com bolsas infra-ósseas pode gerar um alto risco de destruição periodontal adicional;  Clinicamente essencial que o tratamento periodontal com a eliminação das lesões induzidas pela placa seja executado antes do início da terapia ortodônticas; Manter higiene oral excelente durante o curso do tratamento ortodôntico; Movimentação dos dentes com bolsas infra-ósseas; Fatores específicos associados ao movimento ortodôntico
  • 22.
    Movimentação dentária emáreas com comprometimento ósseo; Ortodontia e Periodontia  Pacientes parcialmente edêntulos  Alguns estudos clínicos (Stepovich 1979, Hom & Turley 1984, Goldberg & Turley 1989, Thilander 1996) demonstraram que a redução vertical óssea não é uma contraindicação para a movimentação ortodôntica; Fatores específicos associados ao movimento ortodôntico Processo alveolar comprometido
  • 23.
    Movimentação dentária emáreas com comprometimento ósseo; Ortodontia e Periodontia Fatores específicos associados ao movimento ortodôntico Movimentação ortodôntica em direção à áreas edêntulas
  • 24.
    Movimentação dentária atravésdo osso cortical; Ortodontia e Periodontia  Existe um potencial ósseo de reparo quando dentes malposicionados voltam à suas posições de origem, devido ao fenômeno da aposição. Fatores específicos associados ao movimento ortodôntico • LAINO e MELSEN 1997 em revisão da literatura confirmaram que o deslocamento impróprio de dentes através do osso alveolar pode resultar no desenvolvimento de deiscências ou defeitos periodontais, se o dente for movido para fora do processo alveolar.
  • 25.
    Extrusão e intrusãode dentes isolados; Ortodontia e Periodontia  A extrusão de uma dente pode ser indicada: (1) Diminuir defeitos intraósseos; (2) Aumentar o tamanho da coroa clínica; • Movimento de extrusão leva à um posicionamento coronário de tec. conj. de inserção; Fatores específicos associados ao movimento ortodôntico Extrusão Defeitos ósseos mais rasos
  • 26.
    Extrusão e intrusãode dentes isolados; Ortodontia e Periodontia  A extrusão ortodôntica de um único dente que precisa ser extraído é um método excelente para melhorar o nível marginal ósseo; Fatores específicos associados ao movimento ortodôntico Extrusão com periodonto
  • 27.
    Extrusão e intrusãode dentes isolados; Ortodontia e Periodontia  Em dentes com fraturas coronorradiculares, ou outras fraturas subgengivais; Fatores específicos associados ao movimento ortodôntico Extrusão para fora do periodonto
  • 28.
    Extrusão e intrusãode dentes isolados; Ortodontia e Periodontia Fatores específicos associados ao movimento ortodôntico Intrusão
  • 29.
    Recessão gengival Ortodontia ePeriodontia Recessão relacionada à doença periodontal ou a fatores associados com essa doença Recessão relacionada à fatores mecânicos Tipos
  • 30.
    Recessão gengival Ortodontia ePeriodontia  Movimentação dentária favorável e fatores teciduais Alterações na dimensão mucogengival são independentes da extensão apicocoronal da gengiva inserida e queratinizada. A espessura bucolingual pode ser um fator determinante em sítios com gengivite Recessão vestibular
  • 31.
  • 33.
    Recessão gengival Ortodontia ePeriodontia  Conclusão Os procedimentos cirúrgicos mucogengivais só devem ser realizados após a terapia ortodôntica, mesmo em caso de recessão gengival Procedimentos cirúrgicos terão maior previsibilidade de sucesso do que se tivessem sido feitos antes da movimentação dentária Recessão vestibular
  • 34.
    Recessão gengival Ortodontia ePeriodontia  Movimentação dentária desfavorável e fatores teciduais Se a expansão resultar no estabelecimento de deiscência óssea, o volume dos tecidos moles de cobertura deve ser considerado um fator que pode influenciar no desenvolvimento de recessões de tecido mole A intervenção cirúrgica deve visar o aumento da espessura dos tecidos de cobertura, e não o aumento no sentido apicocoronal da gengiva Recessão vestibular
  • 35.
    Recessão gengival Ortodontia ePeriodontia  Conclusão Verificar a espessura bucolingual do osso e dos tecidos moles que estão do lado a sofrer pressão de todos os dentes que serão movimentados Controle de placa adequado antes, durante e após o tratamento Recessão vestibular
  • 36.
    Recessão gengival Ortodontia ePeriodontia  Considerações estéticas relacionadas aos defeitos papilares A desconfiguração das papilas durante o tratamento ortodôntico deve ser evitada Fatores causadores Doença periodontal avançada Forma dentária triangular Raízes dentárias divergentes Recessão interdental
  • 37.
    Ortodontia e Periodontia Opções clínicas de tratamento Recessão gengival Recessão interdental Cirurgia mucogengival Colocação de próteses gengivais Através da ortodontotia tornar paralelas as raízes dos dentes vizinhos Redução mesiodistal do esmalte
  • 38.
    Ortodontia e Periodontia Redução mesiodistal do esmalte Indicação Prevenção do desenvolvimento de recessões interdentais durante o tratamento ortodônticos em pacientes adultos Recessão gengival Recessão interdental
  • 39.
    Ortodontia e Periodontia Redução mesiodistal do esmalte Em pacientes com periodontite avançada, nem sempre é possível a restituição de todas as papilas da dentição Mas aparência estética é substancialmente melhorada pelo desgaste na maioria dos pacientes Recessão gengival Recessão interdental
  • 40.
    Cirurgia menores associadasà terapia ortodôntica Ortodontia e Periodontia • Método para a redução da ocorrência de reincidência de rotação Fibras principais do ligamento Fibras supra-alveolares periodontal Fibrotomia
  • 41.
    Cirurgia menores associadasà terapia ortodôntica Ortodontia e Periodontia  Os tecidos gengivais supra-ósseos parecem contribuir para a reincidência da rotação dentária Téc. circunferencial de fibrotomia supra-óssea (CSF)  Não é recomendado durante a movimentação dentária ativa ou na presença de inflamação gengival Fibrotomia
  • 42.
    Cirurgia menores associadasà terapia ortodôntica Ortodontia e Periodontia  Vários tipos de freios hiperplásicos podem obstruir o fechamento do diastema e devem ser removidos ou reposicionados  Remoção parcial do freio  A inserção do freio à gengiva e ao periósteo é cortada, e essa mesma inserção é recolocada alguns milímetros acima, na mucosa alveolar Frenotomia
  • 44.
    Cirurgia menores associadasà terapia ortodôntica Ortodontia e Periodontia 1. Pequena prega em uma face única 2. Fendas profundas que se estendem através da papila interdental até a lingual  Há resolução dessas fendas com o tempo, porém algumas invaginações persistem por 5 anos ou mais após o término da terapia ortododôntica Remoção de invaginações gengivais (fendas)
  • 46.
    Cirurgia menores associadasà terapia ortodôntica Ortodontia e Periodontia  Aumento do tamanho clínico das coroas  Correção de discrepância gengival aparente podem ser realizado Gengivectomia
  • 47.
    Cirurgia menores associadasà terapia ortodôntica Ortodontia e Periodontia  Possui contraindicação  Útil na melhoria de resultados ortodônticos  Cicatrização e regeneração – boa higiene oral durante 2 meses Gengivectomia
  • 50.
    Importância e protocolode programas educativo-preventivos Ortodontia e Periodontia  Durante o tratamento ortodôntico, os profissionais têm uma excelente oportunidade de ensinar Odontologia Preventiva e controle de doenças aos seus pacientes;  Um tratamento com aparelhos fixos é uma intervenção considerável no ambiente da cavidade bucal.  Os acessórios ortodônticos constituem a base para um risco elevado de cárie dentária e periodontite;
  • 51.
    Importância e protocolode programas educativo-preventivos Ortodontia e Periodontia  Para que os danos nos tecidos sejam mínimos durante um tratamento ortodôntico: baixo risco de periodontite; baixo risco de cárie; instrução e motivação do paciente; sistema de acompanhamento eficiente. Se a higiene oral piorar muito durante tratamento, o ortodontista deve considerar a interrupção do tratamento;
  • 52.
    Importância e protocolode programas educativo-preventivos Ortodontia e Periodontia  Paciente com aparelhos fixos tem que cuidar de seus dentes atenciosamente, pois a higiene bucal, nestes casos, é difícil;  Limpeza difícil na região de braquetes: recomendada escovas ortodônticas!  Para áreas proximais fio dental Superfloss;
  • 53.
    Calheiros, Anderson, etal. "Movimentação ortodôntica em dentes com comprometimento periodontal: relato de um caso clínico." (2005) A paciente V. M., de 46 anos
  • 54.
    Calheiros, Anderson, etal. "Movimentação ortodôntica em dentes com comprometimento periodontal: relato de um caso clínico." (2005) A paciente V. M., de 46 anos Sistema de ancoragem utilizado no caso exposto.
  • 55.
    Calheiros, Anderson, etal. "Movimentação ortodôntica em dentes com comprometimento periodontal: relato de um caso clínico." (2005) A paciente V. M., de 46 anos Radiografias periapicais pré e pós- intrusão
  • 56.
    Calheiros, Anderson, etal. "Movimentação ortodôntica em dentes com comprometimento periodontal: relato de um caso clínico." (2005) Conclusão  considera-se apto ao tratamento ortodôntico aquele paciente cujos problemas periodontais encontram-se controlados, sem sangramento gengival a sondagem e com boa higiene bucal, mesmo que o periodonto encontre-se reduzido, sem que isso signifique mais deteorização do tecido de sustentação;
  • 57.
    Calheiros, Anderson, etal. "Movimentação ortodôntica em dentes com comprometimento periodontal: relato de um caso clínico." (2005)  Investigações mais atuais afirmam que o movimento de intrusão, quando realizado nesses casos, tendem a proporcionar ganho de inserção e conseqüente melhora do problema, desde que a doença periodontal esteja ausente no momento da movimentação e o controle de placa bacteriana seja eficiente. Conclusão
  • 58.
    Calheiros, Anderson, etal. "Movimentação ortodôntica em dentes com comprometimento periodontal: relato de um caso clínico." (2005)  Foi constatado radiograficamente que, apesar do defeito ósseo vertical do 21 não ter sido eliminado, houve uma real intrusão dos elementos 21 e 22, com ganho de inserção, e uma melhora substancial na função e estética da paciente, devida à combinação de movimento de intrusão e retração; Conclusão
  • 59.
    Calheiros, Anderson, etal. "Movimentação ortodôntica em dentes com comprometimento periodontal: relato de um caso clínico." (2005)
  • 60.
    4. Calheiros, Anderson,et al. "Movimentação ortodôntica em dentes com comprometimento periodontal: relato de um caso clínico." R Dental Press Ortodon Ortop Facial 10.2 (2005): 111- 118. 3. Olympio, Kelly Polido Kaneshiro, et al. "Prevenção de cárie dentária e doença periodontal em Ortodontia: uma necessidade imprescindível." Rev Dental Press Ortod Ortop Facial 11.2 (2006): 110-9. 2. FOSS, SIDNEY LUÍS. "Inter-relação periodontia e ortodontia." Monografia (especialização em periodontia) ABO, Curitiba (2005). 1. Tratado de Periodontia Clínica e Implantologia Oral Lindhe 4ª Ed Muito obrigado! Referências Referências