Incorporar apresentação
Baixado 20 vezes










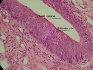
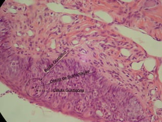
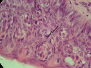
Este documento lista diferentes partes da língua e da boca relacionadas ao paladar e ao sentido do gosto, incluindo vários tipos de papilas gustativas, glândulas salivares, músculos e células responsáveis pela percepção do gosto.









