Incorporar apresentação
Baixar para ler offline




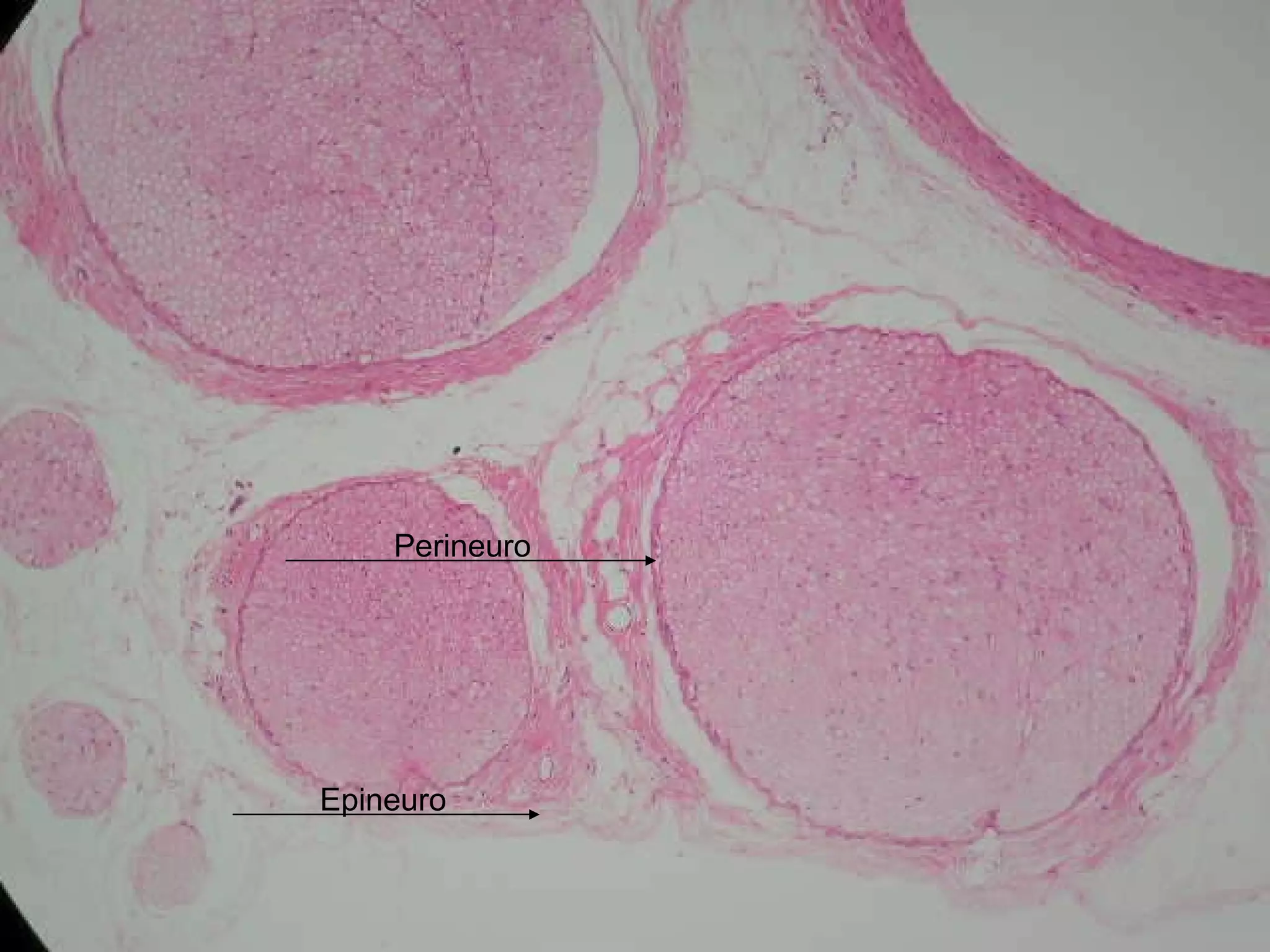
O documento descreve as camadas concêntricas que compõem o nervo periférico, incluindo o epineuro, perineuro e endoneuro, assim como as células de Schwann e mielina que protegem os prolongamentos dos neurônios dentro do endoneuro.



