INSUFICIÊNCIA
RESPIRATÓRIA II
Bases daTerapêutica II
Vislaine de Aguiar Morete e Silva
TRATAMENTO
CORRIGIR HIPOXEMIA:
Oxigenioterapia com suporte
ventilatório não invasivo ou
invasivo
CORRIGIR HIPERCAPNIA:
Suporte ventilatório não
invasivo ou invasivo
TRATAMENTO ADEQUADO
DA CAUSA:
Causa base da
descompensação
respiratória
PILARES DO TRATAMENTO
TRATAMENTO HIPOXEMIA:
OXIGENIOTERAPIA
Ø FORNECIMENTO DE OXIGÊNIO SUPLEMENTAR
• Necessário integridade da mecânica ventilatória e difusão
Ø Objetivo:
• Melhorar a difusão de O2: corrigir e amenizar sintomas relacionados à
hipoxemia
• Melhorar oxigenação tecidual em pacientes com hipoxemia
• Minimizar a carga de trabalho cardiopulmonar
TRATAMENTO HIPOXEMIA:
OXIGENIOTERAPIA
Ø Suporte ventilatório não invasivo:
• Cateter Nasal
• Máscara simples
• Máscara não reinalante
• Máscara deVenturi
• Cateter nasal de alto fluxo (CNAF)
• Ventilação não invasiva com pressão positiva (VNI)
Ø Suporte ventilatório invasivo
• Ventilação mecânica (VM)
• Tubo orotraqueal, traqueostomia
Ar ambiente:
FiO2 21%
Fração inspirada de O2
Hipoxemia grave, FR ≥ 35ipm, uso de musculatura acessória
TRATAMENTO HIPOXEMIA:
OXIGENIOTERAPIA
Ar ambiente:
FiO2 21%
• Fração inspirada de O2
• Relação PaO2/FiO2 ou P/F
• Aplicabilidade em situações em que a via aérea não está
pressurizada é incerta
• 300-500 mmHg normais
• < 300 mmHg distúrbio da troca gasosa
• < 200 mmHg hipoxemia grave
TRATAMENTO HIPOXEMIA
• Alvo: saturação periférica de O2 ≥ 92%
• Melhora do esforço respiratório
• Melhora da frequência respiratória (FR)
AVALIAÇÃO CONSTANTE!
TRATAMENTO HIPERCAPNIA
• VNI BIPAP/CPAP
• VM
Usar estratégias para corrigir
hipercapnia
REVISÃO
• Shunt: boa perfusão em áreas não ventiladas
• Aumento do espaço morto: área bem ventilada com perfusão ruim
TRATAMENTO HIPOXEMIA:
ESPECÍFICO PARA ETIOLOGIA
Ø Buscar sempre a causa e tratá-la:
• Pneumonia bacteriana
• Pneumonia viral
• Influenza
• COVID 19
• Tromboembolismo pulmonar
• Pneumotórax
• Edema agudo de pulmão
• Síndrome do desconforto respiratório agudo (SDRA)
• DPOC/asma
TRATAMENTO HIPOXEMIA:
ESPECÍFICO PARA PNEUMONIA
• Pneumonia bacteriana
• Infecção do trato respiratório
inferior por um ou mais patógenos
• PAC
• Associada à assistência a
saúde
• QC: febre, FR > 25 ipm, presença
de expectoração, FC > 100 bpm,
estertores, diminuição dos sons
respiratórios...
• Efeito shunt
• Antibioticoterapia
PILARES DO TRATAMENTO
TRATAMENTO HIPOXEMIA:
ESPECÍFICO PARA PNEUMONIA
PILARES DO TRATAMENTO
• Pneumonia viral
• QC: sintomas gripais, dispneia,
febre...
• Efeito shunt
• Influenza
• COVID 19
TRATAMENTO HIPOXEMIA:
ESPECÍFICO PARA EAP
• Investigar a causa do EAP
• Efeito Shunt
• Suporte hemodinâmico
• Suporte respiratório
• BH negativo
• Controle de PA
• VNI: CPAP/BIPAP
Mortalidade PILARES DO TRATAMENTO
TRATAMENTO HIPOXEMIA:
ESPECÍFICO PARA PNEUMOTÓRAX
PILARES DO TRATAMENTO
• Presença de ar no espaço pleural
• QC:
• Dispneia, dor torácica ventilatório-dependente, taquicardia,
taquipneia, diminuição do murmúrio vesicular, diminuição da
expansibilidade no lado afetado, enfisema subcutâneo, hipoxemia,
hipotensão, PCR
TRATAMENTO HIPOXEMIA:
ESPECÍFICO PARA PNEUMOTÓRAX
PILARES DO TRATAMENTO
TRATAMENTO HIPOXEMIA:
ESPECÍFICO PARA PNEUMOTÓRAX
• Drenagem de tórax
• Dreno tubular (5 EIC na linha axilar média)
• Pigtail (5 EIC na linha axilar média)
PILARES DO TRATAMENTO
TRATAMENTO HIPOXEMIA:
ESPECÍFICO PARA TEP
• Diagnóstico:
• AngioTC tórax
• CintilografiaV/Q
• Arteriografia
• Anticoagulação
• Avaliar critérios de trombólise
e de trombectomia
• Obstrução da artéria pulmonar ou
seus ramos pela impactação de um
ou mais embolos
• Tríade deVirchow
• QC: dispneia, dor torácica pleurítica
e hemoptise
• DistúrbioV/Q
PILARES DO TRATAMENTO
TRATAMENTO HIPOXEMIA:
ESPECÍFICO PARA TEP
TRATAMENTO HIPOXEMIA:
ESPECÍFICO PARA SDRA
• Efeito shunt (principal exemplo)
• Critérios diagnósticos
• SDRA de causa pulmonar ou extrapulmonar
• Avaliar índice de oxigenação através da relação PaO2/FiO2
• Classificação da SDRA em leve, moderado ou grave
PILARES DO TRATAMENTO
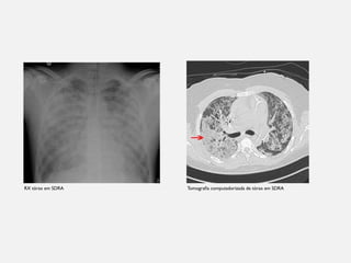
RX tórax em SDRA Tomografia computadorizada de tórax em SDRA
HIPOXEMIA GRAVE
Ø Estratégias
• Oxigenioterapia
• Ventilação mecânica
• Sedação
• Bloqueadores neuromusculares
• Titulação da PEEP ou PEEP ideal
• Posição prona
• Óxido nítrico inalatório
• Membrana de circulação extracorpórea (ECMOV-V)
TRATAMENTO HIPERCAPNIA:
ESPECÍFICO PARA DPOC
• Obstrução fixa da via aérea causada por enfisema e/ou bronquite crônica
• Efeito espaço morto
• Exacerbação (GOLD)
• VNI: BIPAP ( mortalidade)
• Tratar a doença
• Aumento de dispneia
• Aumento da expectoração
• Mudança nas caracterís5cas do escarro
TRATAMENTO HIPERCAPNIA:
ESPECÍFICO PARA DPOC
PILARES DO TRATAMENTO
REFERÊNCIAS BIBLIOGRAFICAS
• GUYTON, A.C. e Hall J.E.– Tratado de Fisiologia Médica. Editora
Elsevier. 13ª ed., 2017. -MENAKER, L. - Cáries Dentárias - Bases
Biológicas.
• VALIATTI, Jorge Luis dos Santos; AMARAL, José Luiz Gomes; FALCÃO, Luiz
Fernando dos Reis. Ventilação Mecânica - Fundamentos e Prática
Clínica. Rio de Janeiro: Guanabara Koogan, 2ª ed., 2021.
• VELASCO, I.T. et al. Medicina de emergência: abordagem prá5ca. 16ª edição
revisada, atualizada e ampliada. Barueri - SP: Manole, 2023.

IRpAmmmmmmmmmmmmmmmmmmmmmmmmmmmmmmmmmmmm

  • 1.
    INSUFICIÊNCIA RESPIRATÓRIA II Bases daTerapêuticaII Vislaine de Aguiar Morete e Silva
  • 2.
    TRATAMENTO CORRIGIR HIPOXEMIA: Oxigenioterapia comsuporte ventilatório não invasivo ou invasivo CORRIGIR HIPERCAPNIA: Suporte ventilatório não invasivo ou invasivo TRATAMENTO ADEQUADO DA CAUSA: Causa base da descompensação respiratória PILARES DO TRATAMENTO
  • 3.
    TRATAMENTO HIPOXEMIA: OXIGENIOTERAPIA Ø FORNECIMENTODE OXIGÊNIO SUPLEMENTAR • Necessário integridade da mecânica ventilatória e difusão Ø Objetivo: • Melhorar a difusão de O2: corrigir e amenizar sintomas relacionados à hipoxemia • Melhorar oxigenação tecidual em pacientes com hipoxemia • Minimizar a carga de trabalho cardiopulmonar
  • 4.
    TRATAMENTO HIPOXEMIA: OXIGENIOTERAPIA Ø Suporteventilatório não invasivo: • Cateter Nasal • Máscara simples • Máscara não reinalante • Máscara deVenturi • Cateter nasal de alto fluxo (CNAF) • Ventilação não invasiva com pressão positiva (VNI) Ø Suporte ventilatório invasivo • Ventilação mecânica (VM) • Tubo orotraqueal, traqueostomia Ar ambiente: FiO2 21% Fração inspirada de O2 Hipoxemia grave, FR ≥ 35ipm, uso de musculatura acessória
  • 5.
    TRATAMENTO HIPOXEMIA: OXIGENIOTERAPIA Ar ambiente: FiO221% • Fração inspirada de O2 • Relação PaO2/FiO2 ou P/F • Aplicabilidade em situações em que a via aérea não está pressurizada é incerta • 300-500 mmHg normais • < 300 mmHg distúrbio da troca gasosa • < 200 mmHg hipoxemia grave
  • 11.
    TRATAMENTO HIPOXEMIA • Alvo:saturação periférica de O2 ≥ 92% • Melhora do esforço respiratório • Melhora da frequência respiratória (FR) AVALIAÇÃO CONSTANTE!
  • 12.
    TRATAMENTO HIPERCAPNIA • VNIBIPAP/CPAP • VM Usar estratégias para corrigir hipercapnia
  • 13.
    REVISÃO • Shunt: boaperfusão em áreas não ventiladas • Aumento do espaço morto: área bem ventilada com perfusão ruim
  • 14.
    TRATAMENTO HIPOXEMIA: ESPECÍFICO PARAETIOLOGIA Ø Buscar sempre a causa e tratá-la: • Pneumonia bacteriana • Pneumonia viral • Influenza • COVID 19 • Tromboembolismo pulmonar • Pneumotórax • Edema agudo de pulmão • Síndrome do desconforto respiratório agudo (SDRA) • DPOC/asma
  • 15.
    TRATAMENTO HIPOXEMIA: ESPECÍFICO PARAPNEUMONIA • Pneumonia bacteriana • Infecção do trato respiratório inferior por um ou mais patógenos • PAC • Associada à assistência a saúde • QC: febre, FR > 25 ipm, presença de expectoração, FC > 100 bpm, estertores, diminuição dos sons respiratórios... • Efeito shunt • Antibioticoterapia PILARES DO TRATAMENTO
  • 16.
    TRATAMENTO HIPOXEMIA: ESPECÍFICO PARAPNEUMONIA PILARES DO TRATAMENTO • Pneumonia viral • QC: sintomas gripais, dispneia, febre... • Efeito shunt • Influenza • COVID 19
  • 17.
    TRATAMENTO HIPOXEMIA: ESPECÍFICO PARAEAP • Investigar a causa do EAP • Efeito Shunt • Suporte hemodinâmico • Suporte respiratório • BH negativo • Controle de PA • VNI: CPAP/BIPAP Mortalidade PILARES DO TRATAMENTO
  • 18.
    TRATAMENTO HIPOXEMIA: ESPECÍFICO PARAPNEUMOTÓRAX PILARES DO TRATAMENTO • Presença de ar no espaço pleural • QC: • Dispneia, dor torácica ventilatório-dependente, taquicardia, taquipneia, diminuição do murmúrio vesicular, diminuição da expansibilidade no lado afetado, enfisema subcutâneo, hipoxemia, hipotensão, PCR
  • 19.
    TRATAMENTO HIPOXEMIA: ESPECÍFICO PARAPNEUMOTÓRAX PILARES DO TRATAMENTO
  • 20.
    TRATAMENTO HIPOXEMIA: ESPECÍFICO PARAPNEUMOTÓRAX • Drenagem de tórax • Dreno tubular (5 EIC na linha axilar média) • Pigtail (5 EIC na linha axilar média) PILARES DO TRATAMENTO
  • 21.
    TRATAMENTO HIPOXEMIA: ESPECÍFICO PARATEP • Diagnóstico: • AngioTC tórax • CintilografiaV/Q • Arteriografia • Anticoagulação • Avaliar critérios de trombólise e de trombectomia • Obstrução da artéria pulmonar ou seus ramos pela impactação de um ou mais embolos • Tríade deVirchow • QC: dispneia, dor torácica pleurítica e hemoptise • DistúrbioV/Q PILARES DO TRATAMENTO
  • 22.
  • 23.
    TRATAMENTO HIPOXEMIA: ESPECÍFICO PARASDRA • Efeito shunt (principal exemplo) • Critérios diagnósticos • SDRA de causa pulmonar ou extrapulmonar • Avaliar índice de oxigenação através da relação PaO2/FiO2 • Classificação da SDRA em leve, moderado ou grave PILARES DO TRATAMENTO
  • 24.
    RX tórax emSDRA Tomografia computadorizada de tórax em SDRA
  • 25.
    HIPOXEMIA GRAVE Ø Estratégias •Oxigenioterapia • Ventilação mecânica • Sedação • Bloqueadores neuromusculares • Titulação da PEEP ou PEEP ideal • Posição prona • Óxido nítrico inalatório • Membrana de circulação extracorpórea (ECMOV-V)
  • 26.
    TRATAMENTO HIPERCAPNIA: ESPECÍFICO PARADPOC • Obstrução fixa da via aérea causada por enfisema e/ou bronquite crônica • Efeito espaço morto • Exacerbação (GOLD) • VNI: BIPAP ( mortalidade) • Tratar a doença • Aumento de dispneia • Aumento da expectoração • Mudança nas caracterís5cas do escarro
  • 27.
    TRATAMENTO HIPERCAPNIA: ESPECÍFICO PARADPOC PILARES DO TRATAMENTO
  • 28.
    REFERÊNCIAS BIBLIOGRAFICAS • GUYTON,A.C. e Hall J.E.– Tratado de Fisiologia Médica. Editora Elsevier. 13ª ed., 2017. -MENAKER, L. - Cáries Dentárias - Bases Biológicas. • VALIATTI, Jorge Luis dos Santos; AMARAL, José Luiz Gomes; FALCÃO, Luiz Fernando dos Reis. Ventilação Mecânica - Fundamentos e Prática Clínica. Rio de Janeiro: Guanabara Koogan, 2ª ed., 2021. • VELASCO, I.T. et al. Medicina de emergência: abordagem prá5ca. 16ª edição revisada, atualizada e ampliada. Barueri - SP: Manole, 2023.