Tecido Ósseo

Silene P. Lozzi
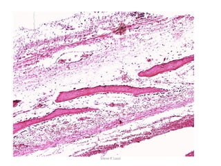
Relembre o que é uma trabécula,
quais são seus componentes.

Trabécula de osso sendo formada pelo processo de ossificação intramembranosa
Silene P. Lozzi
Dê nome ao que está sendo apontado.
Faça isso mentalmente…
a
b

c
d

Silene P. Lozzi
Observe, mais uma vez, a formação de
trabécula óssea por ossificação
intramembranosa.
a
a

b
a

c

Agora, diga
quem é:
a) ___________
b) ___________
c) ___________

b

Silene P. Lozzi
Identifique osteoblastos e osteócitos
na trabécula óssea.

Silene P. Lozzi
Estas células (O) são ………

Silene P. Lozzi
Tecido ósseo com trabéculas:
esponjoso

Silene P. Lozzi
Trabéculas ósseas confluindo para
compactação.

Silene P. Lozzi
Tecido
ósseo sem
espaços
visíveis...
compacto

Silene P. Lozzi
Variedades de
osso: esponjoso
e compacto

Silene P. Lozzi
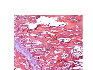
Osso compacto. Identifique
componentes
a) Canal de Volkmann
c
b) Canal de Havers

c) Sistema
intermediário de
lamelas
d) Osteônio ou
Sistema de Havers
d

Silene P. Lozzi
Diáfise em corte transversal, corada
pelo método de Schmorl.

http://www.icb.usp.br/mol/7-19-haversdiafise1.html
Silene P. Lozzi
Novamente...

http://www.icb.usp.br/mol/7-20-haversmedio.html
Silene P. Lozzi
Diáfise com sistemas
de Havers, sistemas
intermediários,
circunferencial
externo e interno.
Identifique-os.

http://www.icb.usp.br/mol/7-27-sist-circunf.html
Silene P. Lozzi
Observe, no osteônio, lamelas concêntricas
de matriz, entre as quais estão as lacunas
ocupadas pelos osteócitos

Silene P. Lozzi
Mais imagens de osso compacto.

(b)

(c)

Silene P. Lozzi
a) Corado com HE. B) Preparado por desgaste. C) Microscopia eletrônica de Varredura.
Agora, já que você sabe reconhecer
células e matriz óssea, vamos
estudar os processos de ossificação
Lembra dos nomes?

Silene P. Lozzi
Formação dos ossos
chatos do crânio.

Silene P. Lozzi

Observe a formação de
trabéculas ósseas em meio
ao mesênquima.
Mesênquima e início da formação de
trabéculas por ossificação
intramembranosa.

http://www.icb.usp.br/mol/7-44-intramembr.html

Silene P. Lozzi
Trabécula em formação. Ossificação...

http://www.icb.usp.br/mol/7-45-intramembr2.html
Silene P. Lozzi
Veja trabéculas ósseas em
preparações de osso sendo formado
por ossificação intramembranosa

Silene P. Lozzi
Silene P. Lozzi
Novamente:
Observe a formação
de trabéculas ósseas
em meio ao
mesênquima. Qual é
o nome desse
processo de
ossificação???
Silene P. Lozzi
Agora, vamos estudar ossificação
endocondral...

Silene P. Lozzi
Osso longo em articulação:
Ossificação endocondral

Silene P. Lozzi
Formação de trabéculas ósseas (matriz
acidófila) em meio a restos de cartilagem
(básófila). Esse é o processo de
ossificação.................

Silene P. Lozzi
Lembre-se: independente do
processo de ossificação
(intramembranosa ou endocondral)
o primeiro osso a ser formado tem o
aspecto esponjoso
(macroscopicamente) e é primário
ou não lamelar)

Silene P. Lozzi
Tecido ósseo com trabéculas acidófilas,
osteócitos, osteoblastos e osteoclastos.
(Verificar nesta figura e nas próximas que o tecido ósseo é imaturo ou
primário e formado por ossificação intramembranosa)

http://www.icb.usp.br/mol/7-4-organiz-dentrofora1.html
Silene P. Lozzi
Tecido ósseo com trabéculas acidófilas,
osteócitos, osteoblastos e osteoclastos
(maior aumento).

http://www.icb.usp.br/mol/7-5-organiz-dentrofora2.html
Silene P. Lozzi
Trabéculas de osso primário com
matriz heterogênea, osteoblastos,
osteócitos.

http://www.icb.usp.br/mol/7-6-organiz-celulas1.html e
http://www.icb.usp.br/mol/7-7-organiz-celulas2.html
Osteoclastos

http://www.icb.usp.br/mol/7-8-organiz-clasto1.html e
http://www.icb.usp.br/mol/7-9-organiz-clasto2.html
Silene P. Lozzi
No caso de ossificação endocondral, vê-se
restos de matriz cartilaginosa sendo
substituída por células e matriz óssea

http://www.icb.usp.br/mol/7-49-endoc4.html
Silene P. Lozzi
É importante que você identifique os elementos
apontados em um pedaço de osso longo.
Cartilagem articular (hialina)
Osso esponjoso na epífise.

Disco epifisário
Espículas jovens formadas por ossificação
endocondral
Silene P. Lozzi
Identifique: cartilagem articular, epífise com
osso esponjoso, disco epifisário e área de
formação de espículas ósseas jovens.

Silene P. Lozzi
Identifique o que está apontado pelas
setas e confira na próxima figura

Silene P. Lozzi
periósteo

Disco epifisário

Espículas ósseas
formadas por
ossificação
endocondral

Silene P. Lozzi

Osso esponjoso na
epífise
Detalhes do disco epifisário e espículas
jovens. Procure osteoclastos.

Silene P. Lozzi
Agora, algumas fotos de lâminas para
você estudar…

Silene P. Lozzi
Silene P. Lozzi
Silene P. Lozzi
Onde está o osteoclasto??

Silene P. Lozzi
Agora, recorde osso primário,
secundário, endósteo e periósteo.

Silene P. Lozzi
Osso longo em corte longitudinal.
Destaque para periósteo.

Silene P. Lozzi
Osso longo, corte longitudinal. Em
destaque, lamelas em osso secundário
ou lamelar...

http://www.icb.usp.br/mol/7-11-ossolamelar-naolamelar.html
Silene P. Lozzi
Internamente o osso é revestido por
endósteo, aqui representados pelos
osteoblastos, aderidos às trabéculas.

http://www.icb.usp.br/mol/7-6-organiz-celulas1.html e
http://www.icb.usp.br/mol/7-7-organiz-celulas2.html
Organização da matriz e células no osso
primário ou imaturo até que se torne
secundário ou lamelar.

Silene P. Lozzi

http://www.icb.usp.br/mol/7-13-organiz-colageno.html
E as lamelas podem ser planas ou
circulares, como vc já sabe...

Silene P. Lozzi

Aula Tecido ósseo 2013