TECIDO CONJUNTIVO
MORFOLOGIA DO TECIDO CONJUNTIVO
TECIDO CONJUNTIVO
FISIOLOGIA
                Têm diversas funções:
 Preencher, estabelecer conexão entre os diversos
  tipos de tecidos ou órgãos;
 Sustentar (osso e cartilagem);

 Transportar substâncias (sangue);

 Auxiliar na defesa (glóbulos brancos).
CONSTITUIÇÃO
           É formado por diversas células:
 Fibroblastos;

 Macrófago;

 Mastócito;

 Plasmócito;

 Células adiposas;

 Fibras;

 Substância fundamental amorfa.
FIBROBLASTOS
 Célula ativa;
 Célula mais comum;

 São grandes;

 Função: Sintetizar as fibras do tecido conjuntivo e as
  glicoproteínas da matriz;
MACRÓFAGO

 Células de defesa;
 Responsável pela fagocitose e pinocitose;

 Possui inúmeros lisossomos;
MASTÓCITO
 Células grandes;
 Repleta de grânulos;

 Função: produzir e armazenar mediadores químicos do
  processo inflamatório.
PLASMÓCITO
 Poucas numerosas, porém numerosas em locais onde
  há penetração de bactérias (intestino e pele);
 Rica em RER;

 Função: sintetizar e secretar anticorpos e imunoglobinas;
CÉLULAS ADIPOSAS
   Função: armazenar energia sob forma de lipídeo,
    proteger e de amortecer;
FIBRAS DO TECIDO
   As fibras colágenas são as mais freqüentes no tecido
    conjuntivo e em muitos casos aparecem agrupadas formando
    um feixe. Estas fibras são constituídas pela proteína
    colágeno, que é a proteína mais abundante no corpo humano,
    chegando em torno de 30%. Dão resistência;
   As fibras reticulares são formadas por colágeno tipo III e por
    glicídios. Formam o arcabouço dos órgãos hematopoiéticos e
    também as redes em torno das células musculares e das
    células epiteliais de muitos órgãos, como, por exemplo, do
    fígado e dos rins.Ligam os tecidos aos outros;
    As fibras elásticas são mais finas que as fibras colágenas.
    Ligam-se umas as outras formando uma malha, a qual cede
    facilmente às trações mínimas, porém retomam sua forma
    inicial logo que cessam as forças deformantes. Seu
    componente principal é a elastina, uma proteína estrutural
    mais resistente que o colágeno.Dão elasticidade.
SUBSTÂNCIA FUNDAMENTAL AMORFA
   É constituída principalmente por água,
    polissacarídeos, proteínas, e glicoproteínas.
TIPOS DE TECIDOS CONJUNTIVOS

Tecido conjuntivo frouxo
 É encontrado na pele, nas mucosas, nas glândulas
  e em torno dos vasos sangüíneos e linfáticos,
  formando a fascia e a tela subcutânea.
 É um tecido delicado, flexível e pouco resistente à
  tração;
 Não há predominância de nenhum dos
  constituintes;
TECIDO CONJUNTIVO DENSO

 Predominância de fibra colágena e pouca
  substância fundamental amorfa;
 Tecido Conjuntivo Denso não modelado
  (fibroso): é encontrado formando as cápsulas que
  envolvem o fígado, o baço, o osso, a cartilagem e a
  parte profunda da pele (dando forma as partes do
  corpo). Fibras colágenas entrelaçadas;
 Tecido Conjuntivo Denso modelado
  (tendinoso): ele forma os tendões (ligação dos
  músculos aos ossos) e os ligamentos (ligam os
  ossos entre si). Fibras colágenas em feixes.
  Resistente porém com pouca elasticidade.
TECIDO CONJUNTIVO RETICULAR
 Tecido muito delicado e forma uma rede para
  sustentar as células;
 Abundante em Células reticulares (fibroblastos) e
  fibras reticulares;
 Encontra-se nos órgãos que formam as células do
  sangue (medula óssea).
TECIDO CONJUNTIVO ADIPOSO
 Abundância em células adiposas (adipócitos);
                   Se divide em:
 TC Adiposo unilocular e TC Adiposo multilocular;

 Função: de isolante térmico, de proteção dos
  órgãos contra choques mecânicos e de reserva
  energética;
 Encontra-se:pele do abdomen; nádegas, axilas,
  coxas e nas mamas
TECIDO CONJUNTIVO CARTILAGINOSO
 Bem    resistente;
 Dá sustentação e reveste superfícies articulares
  facilitando os movimentos e é fundamental para o
  crescimento dos ossos longos;
 É encontrada no nariz, nos anéis da traquéia e dos
  brônquios, na orelha externa (pavilhão auditivo),
  na epiglote e em algumas partes da laringe;
 Condrosblastos, células que produzem as fibras
  colágenas e substancia fundamental
  amorfa.Quando diminui a atividade se tornam
  condrócitos.
TECIDO ÓSSEO
FISIOLOGIA
   O tecido ósseo é altamente rígido e resistente e
    suas funções estão relacionadas à sustentação e
    proteção de órgãos vitais do organismo.
    Proporciona apoio aos músculos esqueléticos,
    traduzindo suas contrações em movimentos, além
    de ser um depósito de cálcio, fosfato e mais
    alguns íons, liberando-os no organismo de forma
    controlada.
TECIDO ÓSSEO
   Este tecido é formado por células e material
    extracelular calcificado, chamado de matriz óssea.
    A nutrição de uma das células formadoras do
    tecido ósseo (osteócitos) depende dos canalículos
    presentes na matriz, que possibilitam as trocas de
    íons e moléculas entre os capilares e estas células
    ósseas. Os ossos são recobertos na sua face
    interna (endósteo) e externa (periósteo) por uma
    camada de tecido que possui células osteogênicas.
MATRIZ OSSEA
AS CÉLULAS QUE COMPÕE O TECIDO
ÓSSEO SÃO:
 Osteócitos
 Ficam localizados em cavidades na matriz óssea,
  chamadas de lacunas, sendo que cada uma abriga
  apenas um osteócito. Por entre os canalículos
  estas células se comunicam e trocam moléculas e
  íons pelas junções gap (junções celulares).
  Possuem um formato achatado, semelhantes a
  amêndoas, possuem certa quantidade de retículo
  endoplasmático      rugoso,     complexo     de
  Golgi          pequeno          e        núcleo
  com cromatina condensada. São células de
  extrema importância na manutenção da matriz
  óssea.
OSTEÓCITOS
 Osteoblasto
 Estas células produzem a parte orgânica da matriz
  óssea. Possuem a capacidade de armazenar
  fosfato de cálcio,participando na mineralização da
  matriz. Encontram-se dispostas lado a lado na
  superfície óssea e, quando estão em alta atividade
  de     síntese   apresentam     formato    cuboide,
  com citoplasma basófilo; quando em estado de
  pouca atividade, tornam-se achatados e o
  citoplasma se torna menos basófilo. Quando esta
  célula passa a ficar aprisionada na matriz óssea,
  torna-se um osteócito.
OSTEOBLASTOS
 Osteoclasto

 São  células gigantes, móveis, muito ramificadas,
 contendo inúmeros núcleos, com citoplasma
 granuloso, certas vezes com vacúolos, pouco
 basófilos nas células jovens e acidófilos nas células
 mais velhas. As lacunas cavadas na matriz óssea,
 pelos osteoclastos, recebem o nome de lacunas de
 Howship.       Os       osteoclastos     apresentam
 prolongamentos vilosos, ao redor desta área de
 prolongamento existe uma zona citoplasmática,
 chamada zona clara que é pobre em organelas,
 porém rica em filamentos de actina. Esta zona é um
 local de adesão do Osteoclasto com a matriz óssea
 e cria um ambiente fechado, onde ocorre a
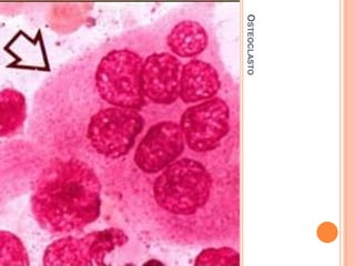
OSTEOCLASTO
O TECIDO ÓSSEO DIVIDE-SE EM DOIS TIPOS:
 Osso compacto
 Não possui espaço medular, mas possui canais
  que       abrigam        nervos      e      vasos
  sanguíneos, conhecidos como canais de Volkmann
  e canais de Havers. Presente, quase que na
  totalidade da diáfise de ossos longos, na periferia
  de ossos curtos, nos ossos chatos formando duas
  camadas que recebem o nome de tábuas interna e
  externa.
TECIDO ÓSSEO COMPACTO
 Osso esponjoso
 Apresenta amplos espaços medulares, formados
  por diversas trabéculas, conferindo ao osso, um
  aspecto poroso, abrigando a medula óssea. É
  encontrado na parte mais profunda da diáfise de
  ossos longos, no centro de ossos curtos e
  separando as tábuas interna e externa dos ossos
  chatos.
TECIDO ÓSSEO ESPONJOSO
EXISTE OUTRA CLASSIFICAÇÃO DOS OSSOS:
 Tecido ósseo primário ou imaturo
 É o primeiro tecido ósseo que aparece no osso,
  sendo substituído aos poucos por tecido ósseo
  lamelar. Em adultos, persiste apenas perto das
  suturas dos ósseos do crânio, nos alvéolos
  dentários e em algumas regiões de inserção dos
  tendões.
TECIDO ÓSSEO PRIMÁRIO OU IMATURO
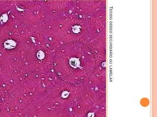
 Tecido ósseo secundário ou lamelar
 Geralmente é encontrado nos adultos, sendo que
  sua característica principal reside no fato de possui
  fibras colágenas organizadas em lamelas,
  paralelas, ou dispostas de forma concêntrica ao
  redor dos canais e vasos, dando origem aos
  sistemas de Havers.
TECIDO ÓSSEO SECUNDÁRIO OU LAMELAR
ONDE É ENCONTRADO ?
   O sistema ou tecido ósseo é um tecido
    conjuntivo bem rígido, encontrado nos ossos do
    esqueleto das vertebradas, onde ele é o tecido
    mais abundante. Suas funções principais são:
    sustentar o corpo; permitir a realização de
    movimentos; proteger certos órgãos e realizar a
    produção de elementos celulares do sangue, além
    de ser calcificado.
INTEGRANTES
 Matheus 10,0
 Mateus 10,0

 Gustavo 8,0

 Vitinho 8,0

 Antônio 8,0

Tecido conjuntivo e ósseo 2o b

  • 1.
  • 2.
  • 3.
    TECIDO CONJUNTIVO FISIOLOGIA Têm diversas funções:  Preencher, estabelecer conexão entre os diversos tipos de tecidos ou órgãos;  Sustentar (osso e cartilagem);  Transportar substâncias (sangue);  Auxiliar na defesa (glóbulos brancos).
  • 4.
    CONSTITUIÇÃO É formado por diversas células:  Fibroblastos;  Macrófago;  Mastócito;  Plasmócito;  Células adiposas;  Fibras;  Substância fundamental amorfa.
  • 5.
    FIBROBLASTOS  Célula ativa; Célula mais comum;  São grandes;  Função: Sintetizar as fibras do tecido conjuntivo e as glicoproteínas da matriz;
  • 6.
    MACRÓFAGO  Células dedefesa;  Responsável pela fagocitose e pinocitose;  Possui inúmeros lisossomos;
  • 7.
    MASTÓCITO  Células grandes; Repleta de grânulos;  Função: produzir e armazenar mediadores químicos do processo inflamatório.
  • 8.
    PLASMÓCITO  Poucas numerosas,porém numerosas em locais onde há penetração de bactérias (intestino e pele);  Rica em RER;  Função: sintetizar e secretar anticorpos e imunoglobinas;
  • 9.
    CÉLULAS ADIPOSAS  Função: armazenar energia sob forma de lipídeo, proteger e de amortecer;
  • 10.
    FIBRAS DO TECIDO  As fibras colágenas são as mais freqüentes no tecido conjuntivo e em muitos casos aparecem agrupadas formando um feixe. Estas fibras são constituídas pela proteína colágeno, que é a proteína mais abundante no corpo humano, chegando em torno de 30%. Dão resistência;  As fibras reticulares são formadas por colágeno tipo III e por glicídios. Formam o arcabouço dos órgãos hematopoiéticos e também as redes em torno das células musculares e das células epiteliais de muitos órgãos, como, por exemplo, do fígado e dos rins.Ligam os tecidos aos outros;  As fibras elásticas são mais finas que as fibras colágenas. Ligam-se umas as outras formando uma malha, a qual cede facilmente às trações mínimas, porém retomam sua forma inicial logo que cessam as forças deformantes. Seu componente principal é a elastina, uma proteína estrutural mais resistente que o colágeno.Dão elasticidade.
  • 11.
    SUBSTÂNCIA FUNDAMENTAL AMORFA  É constituída principalmente por água, polissacarídeos, proteínas, e glicoproteínas.
  • 12.
    TIPOS DE TECIDOSCONJUNTIVOS Tecido conjuntivo frouxo  É encontrado na pele, nas mucosas, nas glândulas e em torno dos vasos sangüíneos e linfáticos, formando a fascia e a tela subcutânea.  É um tecido delicado, flexível e pouco resistente à tração;  Não há predominância de nenhum dos constituintes;
  • 13.
    TECIDO CONJUNTIVO DENSO Predominância de fibra colágena e pouca substância fundamental amorfa;  Tecido Conjuntivo Denso não modelado (fibroso): é encontrado formando as cápsulas que envolvem o fígado, o baço, o osso, a cartilagem e a parte profunda da pele (dando forma as partes do corpo). Fibras colágenas entrelaçadas;  Tecido Conjuntivo Denso modelado (tendinoso): ele forma os tendões (ligação dos músculos aos ossos) e os ligamentos (ligam os ossos entre si). Fibras colágenas em feixes. Resistente porém com pouca elasticidade.
  • 15.
    TECIDO CONJUNTIVO RETICULAR Tecido muito delicado e forma uma rede para sustentar as células;  Abundante em Células reticulares (fibroblastos) e fibras reticulares;  Encontra-se nos órgãos que formam as células do sangue (medula óssea).
  • 16.
    TECIDO CONJUNTIVO ADIPOSO Abundância em células adiposas (adipócitos); Se divide em:  TC Adiposo unilocular e TC Adiposo multilocular;  Função: de isolante térmico, de proteção dos órgãos contra choques mecânicos e de reserva energética;  Encontra-se:pele do abdomen; nádegas, axilas, coxas e nas mamas
  • 18.
    TECIDO CONJUNTIVO CARTILAGINOSO Bem resistente;  Dá sustentação e reveste superfícies articulares facilitando os movimentos e é fundamental para o crescimento dos ossos longos;  É encontrada no nariz, nos anéis da traquéia e dos brônquios, na orelha externa (pavilhão auditivo), na epiglote e em algumas partes da laringe;  Condrosblastos, células que produzem as fibras colágenas e substancia fundamental amorfa.Quando diminui a atividade se tornam condrócitos.
  • 20.
  • 21.
    FISIOLOGIA  O tecido ósseo é altamente rígido e resistente e suas funções estão relacionadas à sustentação e proteção de órgãos vitais do organismo. Proporciona apoio aos músculos esqueléticos, traduzindo suas contrações em movimentos, além de ser um depósito de cálcio, fosfato e mais alguns íons, liberando-os no organismo de forma controlada.
  • 22.
  • 23.
    Este tecido é formado por células e material extracelular calcificado, chamado de matriz óssea. A nutrição de uma das células formadoras do tecido ósseo (osteócitos) depende dos canalículos presentes na matriz, que possibilitam as trocas de íons e moléculas entre os capilares e estas células ósseas. Os ossos são recobertos na sua face interna (endósteo) e externa (periósteo) por uma camada de tecido que possui células osteogênicas.
  • 24.
  • 25.
    AS CÉLULAS QUECOMPÕE O TECIDO ÓSSEO SÃO:  Osteócitos  Ficam localizados em cavidades na matriz óssea, chamadas de lacunas, sendo que cada uma abriga apenas um osteócito. Por entre os canalículos estas células se comunicam e trocam moléculas e íons pelas junções gap (junções celulares). Possuem um formato achatado, semelhantes a amêndoas, possuem certa quantidade de retículo endoplasmático rugoso, complexo de Golgi pequeno e núcleo com cromatina condensada. São células de extrema importância na manutenção da matriz óssea.
  • 26.
  • 27.
     Osteoblasto  Estascélulas produzem a parte orgânica da matriz óssea. Possuem a capacidade de armazenar fosfato de cálcio,participando na mineralização da matriz. Encontram-se dispostas lado a lado na superfície óssea e, quando estão em alta atividade de síntese apresentam formato cuboide, com citoplasma basófilo; quando em estado de pouca atividade, tornam-se achatados e o citoplasma se torna menos basófilo. Quando esta célula passa a ficar aprisionada na matriz óssea, torna-se um osteócito.
  • 28.
  • 29.
     Osteoclasto  São células gigantes, móveis, muito ramificadas, contendo inúmeros núcleos, com citoplasma granuloso, certas vezes com vacúolos, pouco basófilos nas células jovens e acidófilos nas células mais velhas. As lacunas cavadas na matriz óssea, pelos osteoclastos, recebem o nome de lacunas de Howship. Os osteoclastos apresentam prolongamentos vilosos, ao redor desta área de prolongamento existe uma zona citoplasmática, chamada zona clara que é pobre em organelas, porém rica em filamentos de actina. Esta zona é um local de adesão do Osteoclasto com a matriz óssea e cria um ambiente fechado, onde ocorre a
  • 30.
  • 32.
    O TECIDO ÓSSEODIVIDE-SE EM DOIS TIPOS:  Osso compacto  Não possui espaço medular, mas possui canais que abrigam nervos e vasos sanguíneos, conhecidos como canais de Volkmann e canais de Havers. Presente, quase que na totalidade da diáfise de ossos longos, na periferia de ossos curtos, nos ossos chatos formando duas camadas que recebem o nome de tábuas interna e externa.
  • 33.
  • 34.
     Osso esponjoso Apresenta amplos espaços medulares, formados por diversas trabéculas, conferindo ao osso, um aspecto poroso, abrigando a medula óssea. É encontrado na parte mais profunda da diáfise de ossos longos, no centro de ossos curtos e separando as tábuas interna e externa dos ossos chatos.
  • 35.
  • 36.
    EXISTE OUTRA CLASSIFICAÇÃODOS OSSOS:  Tecido ósseo primário ou imaturo  É o primeiro tecido ósseo que aparece no osso, sendo substituído aos poucos por tecido ósseo lamelar. Em adultos, persiste apenas perto das suturas dos ósseos do crânio, nos alvéolos dentários e em algumas regiões de inserção dos tendões.
  • 37.
  • 38.
     Tecido ósseosecundário ou lamelar  Geralmente é encontrado nos adultos, sendo que sua característica principal reside no fato de possui fibras colágenas organizadas em lamelas, paralelas, ou dispostas de forma concêntrica ao redor dos canais e vasos, dando origem aos sistemas de Havers.
  • 39.
  • 40.
    ONDE É ENCONTRADO?  O sistema ou tecido ósseo é um tecido conjuntivo bem rígido, encontrado nos ossos do esqueleto das vertebradas, onde ele é o tecido mais abundante. Suas funções principais são: sustentar o corpo; permitir a realização de movimentos; proteger certos órgãos e realizar a produção de elementos celulares do sangue, além de ser calcificado.
  • 41.
    INTEGRANTES  Matheus 10,0 Mateus 10,0  Gustavo 8,0  Vitinho 8,0  Antônio 8,0