CÉLULA EUCARIONTE ANIMAL
por Kristian Wessman
DNA
MITOSE
MEIOSE
CÉLULA-TRONCO
CÂNCER
VAMOS APRENDER SOBRE
NÚCLEO CELULAR
REPLICAÇÃO
TRANSCRIÇÃO
TRADUÇÃO
Modelo de célula
eucarionte
animal. Suas
principais
características
são a presença
de um núcleo
individualizado e
de lisossomos
em quantidade.
Não possui
cloroplastos,
vacúolo ou
parede celular.
O núcleo celular
isola e protege o
DNA. O isolamento
entre o núcleo e o
citoplasma se dá
pela carioteca,
também chamada
de membrana
nuclear ou
envoltório nuclear.
O DNA apresenta
diferentes níveis
de organização
dentro do
núcleo, sendo o
nível de maior
compactação
quando se
organiza sob
forma de
cromossomos.
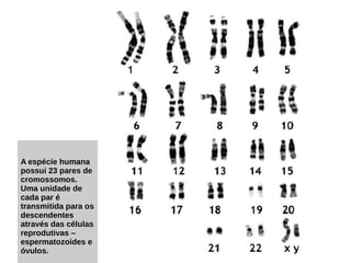
A espécie humana
possui 23 pares de
cromossomos.
Uma unidade de
cada par é
transmitida para os
descendentes
através das células
reprodutivas –
espermatozoides e
óvulos.
Quando ocorre
um erro na
quantidade de
cromossomos
transmitidos aos
descendentes,
podem acontecer
monossomias ou
trissomias. A
mais conhecida é
a trissomia do
cromossomo 21,
que causa a
Síndrome de
Down.
DNA – formado por 4 bases nitrogenadas –
Adenina (A), Timina (T), Citosina (C) e Guanina
(G). As bases SEMPRE se ligam da mesma forma:
A-T e C-G formando uma fita dupla, também
chamada de dupla-hélice helicoidal.
RNA – formado por 4 bases nitrogenadas –
Adenina (A), Uracila (U), Guanina (G) e Citosina
(C). Formam fitas simples.
TRANSCRIÇÃO é o
processo em que a
célula faz uma cópia de
um trecho do DNA
correspondente a um
gene. Esta cópia é o
RNA mensageiro (RNA-
m) que sai do núcleo e
chega aos
RIBOSSOMOS, onde
ocorre a TRADUÇÃO
da informação para a
produção de uma
PROTEÍNA.
A REPLICAÇÃO ou
DUPLICAÇÃO é o
processo em que
ocorre a formação de
uma nova molécula
de DNA (filha) a partir
da antiga (molde ou
mãe).
As novas moléculas
de DNA formadas
possuem uma fita
antiga e outra nova
cada, e por este
motivo o processo é
chamado de
SEMICONSERVATIVO
As células se dividem para
gerar novas células, mas
antes precisam duplicar todas
as suas estruturas, inclusive o
DNA. Esta divisão pode
ocorrer para gerar células
somaticas, por MITOSE, ou
células reprodutivas por
MEIOSE.
Na MITOSE, são formadas 2
células-filha com a mesma
quantidade de cromossomos.
Na MEIOSE, são formadas 4
células-filha com a quantidade
de cromossomos reduzida à
metade.
Animações interativas
Mitose
Meiose
No desenvolvimento
celular, ocorre a
diferenciação. Neste
processo, as células vão
sofrendo
transformações em suas
características até se
diferenciarem
completamente. As
células totalmente
indiferenciadas ou
pouco diferenciadas são
chamadas de CÉLULAS-
TRONCO. Quanto mais
indiferenciada maiores
são as possibilidades de
utilização. Estas células
realizam muita MITOSE.
Classificação das células-tronco:
Totipotentes: podem originar qualquer tipo celular, inclusive extra-
embrionários, podendo assim formar um indivíduo completo.
Pluripotentes:originam quase todos os tipos celulares, exceto extra-
embrionários. Por isso não podem formar um indivíduo completo.
Multipotentes: origina um número limitado de células especializadas.
Saiba mais aqui
O câncer tem origem em células que passam a se
dividir por mitose de maneira descontrolada, e
perdendo as características e funções das células
que formam o tecido sadio. Pode se alastrar para
as células adjacentes ou mesmo atingir a corrente
sanguínea e afetar tecidos distantes.
Dica de leitura:
este livro faz
parte de uma
coleção que
aborda temas
científicos em
mangás e tem a
matéria que
desta aula. O
melhor é que tem
na biblioteca do
CIEP 369.

Aula de Núcleo Celular e DNA

  • 1.
    CÉLULA EUCARIONTE ANIMAL porKristian Wessman DNA MITOSE MEIOSE CÉLULA-TRONCO CÂNCER VAMOS APRENDER SOBRE NÚCLEO CELULAR REPLICAÇÃO TRANSCRIÇÃO TRADUÇÃO
  • 2.
    Modelo de célula eucarionte animal.Suas principais características são a presença de um núcleo individualizado e de lisossomos em quantidade. Não possui cloroplastos, vacúolo ou parede celular.
  • 3.
    O núcleo celular isolae protege o DNA. O isolamento entre o núcleo e o citoplasma se dá pela carioteca, também chamada de membrana nuclear ou envoltório nuclear.
  • 4.
    O DNA apresenta diferentesníveis de organização dentro do núcleo, sendo o nível de maior compactação quando se organiza sob forma de cromossomos.
  • 5.
    A espécie humana possui23 pares de cromossomos. Uma unidade de cada par é transmitida para os descendentes através das células reprodutivas – espermatozoides e óvulos.
  • 6.
    Quando ocorre um errona quantidade de cromossomos transmitidos aos descendentes, podem acontecer monossomias ou trissomias. A mais conhecida é a trissomia do cromossomo 21, que causa a Síndrome de Down.
  • 7.
    DNA – formadopor 4 bases nitrogenadas – Adenina (A), Timina (T), Citosina (C) e Guanina (G). As bases SEMPRE se ligam da mesma forma: A-T e C-G formando uma fita dupla, também chamada de dupla-hélice helicoidal. RNA – formado por 4 bases nitrogenadas – Adenina (A), Uracila (U), Guanina (G) e Citosina (C). Formam fitas simples.
  • 8.
    TRANSCRIÇÃO é o processoem que a célula faz uma cópia de um trecho do DNA correspondente a um gene. Esta cópia é o RNA mensageiro (RNA- m) que sai do núcleo e chega aos RIBOSSOMOS, onde ocorre a TRADUÇÃO da informação para a produção de uma PROTEÍNA.
  • 9.
    A REPLICAÇÃO ou DUPLICAÇÃOé o processo em que ocorre a formação de uma nova molécula de DNA (filha) a partir da antiga (molde ou mãe). As novas moléculas de DNA formadas possuem uma fita antiga e outra nova cada, e por este motivo o processo é chamado de SEMICONSERVATIVO
  • 10.
    As células sedividem para gerar novas células, mas antes precisam duplicar todas as suas estruturas, inclusive o DNA. Esta divisão pode ocorrer para gerar células somaticas, por MITOSE, ou células reprodutivas por MEIOSE. Na MITOSE, são formadas 2 células-filha com a mesma quantidade de cromossomos. Na MEIOSE, são formadas 4 células-filha com a quantidade de cromossomos reduzida à metade. Animações interativas Mitose Meiose
  • 11.
    No desenvolvimento celular, ocorrea diferenciação. Neste processo, as células vão sofrendo transformações em suas características até se diferenciarem completamente. As células totalmente indiferenciadas ou pouco diferenciadas são chamadas de CÉLULAS- TRONCO. Quanto mais indiferenciada maiores são as possibilidades de utilização. Estas células realizam muita MITOSE. Classificação das células-tronco: Totipotentes: podem originar qualquer tipo celular, inclusive extra- embrionários, podendo assim formar um indivíduo completo. Pluripotentes:originam quase todos os tipos celulares, exceto extra- embrionários. Por isso não podem formar um indivíduo completo. Multipotentes: origina um número limitado de células especializadas. Saiba mais aqui
  • 12.
    O câncer temorigem em células que passam a se dividir por mitose de maneira descontrolada, e perdendo as características e funções das células que formam o tecido sadio. Pode se alastrar para as células adjacentes ou mesmo atingir a corrente sanguínea e afetar tecidos distantes.
  • 13.
    Dica de leitura: estelivro faz parte de uma coleção que aborda temas científicos em mangás e tem a matéria que desta aula. O melhor é que tem na biblioteca do CIEP 369.