z
EXAMES
DIAGNÓSTICOS
URGÊNCIA E EMERGÊNCIA
z
QUAL É O CONCEITO DE
DIAGNÓSTICO?
O processo de diagnóstico pode ser visto como
uma forma de classificar a saúde de um paciente
em diferentes etiologias e condições que permitem
aos profissionais médicos tomarem decisões
sobre prognóstico e tratamento.
z
COMO É FEITO UM DIAGNÓSTICO?
Os processos de diagnóstico se dividem em
quatro etapas:
História clínica,
Exames físicos,
Exames laboratoriais,
Exames de imagem.
z
LABORATORIAIS
sangue, urina, culturas e líquor
z
z
Exames de sangue para descartar doenças
ou condições de saúde como
Infecções e inflamações;
Fatores de risco para doenças cardíacas;
Diabetes;
Doenças infecciosas, como HIV e hepatites;
Anemia;
Diversos tipos de câncer.
z
Hemograma completo
É o exame laboratorial mais comum, uma vez que ele é imprescindível
quando suspeitamos de diversas doenças. O hemograma avalia as
informações sobre os tipos e quantidades dos componentes no sangue:
 Glóbulos vermelhos (hemácias) – responsáveis principalmente pela
oxigenação dos tecidos;
 Glóbulos brancos (leucócitos) – responsáveis principalmente pela
imunidade;
 Plaquetas – principalmente responsáveis pela coagulação;
z
Colesterol (Perfil lipídico)
O exame de colesterol ou Perfil Lipídico avalia os níveis de
gordura no sangue e pode ajudar a detectar doenças
cardiovasculares.
 HDL: conhecido como colesterol “bom”, tem como principal
função a absorção dos cristais do colesterol depositados nas
artérias.
 LDL: conhecido como colesterol “ruim” por favorecer o
acúmulo de gordura nas paredes do interior das artérias,
possui a importante função de transportar o colesterol para as
nossas células.
z
Glicemia e hemoglobina glicada
 Apesar de ambos avaliarem o nível de açúcar no sangue, tratam-
se de dois exames distintos. Enquanto o exame de Glicemia
aponta a concentração de glicose no sangue no exato momento
da coleta, a Hemoglobina Glicada pode ser considerada uma
estimativa da média dos últimos 3 meses.
De qualquer forma, estes são exames muito importantes para o
diagnóstico e acompanhamento do diabetes, uma doença
silenciosa e que muitas vezes não apresenta sintomas, mas pode
ter consequências devastadoras.
z
Transaminases
Também conhecidas por TGO/AST (aspartato aminotransferase) e TGP/ALT
(alanina aminotransferase), as Transaminases são enzimas produzidas pelo
fígado, importantes para avaliar a saúde hepática. O fígado é responsável pelo
metabolismo — e eliminação de diversas substâncias do nosso organismo —
e condições que agridem o fígado elevam essas enzimas.
 As principais doenças que elevam as transaminases são:
Cirrose;
Hepatites virais ou autoimunes;
Esteato-hepatite;
Lesão do fígado devido a bebidas alcoólicas, drogas e medicamentos;
Câncer de fígado;
z
Ácido úrico
 Avalia o excesso ou falta do ácido úrico no organismo.
 O excesso dessa substância pode contribuir para a formação de
cálculos renais, além de causar doenças como a gota, uma
condição reumatológica que resulta em dor nas articulações,
principalmente em homens.
z
TSH e T4 livre
 Avaliam o bom funcionamento da tireoide, glândula que
controla todo nosso metabolismo.
 Quando não está funcionando corretamente, a causa pode
ser o hipotireoidismo ou o hipertireoidismo.
z
Creatinina e ureia (Função Renal)
 A investigação da creatinina e da ureia serve para avaliar a
função renal e identificar uma possível insuficiência do
órgão.
 Esses dois parâmetros permitem ao médico estimar o volume
de sangue filtrado pelos rins a cada minuto. Quando eles
estão elevados, isso indica que há uma redução na filtragem,
ou seja, o paciente apresenta insuficiência renal.
z
PCR ( proteína C reativa)
 A proteína C reativa (PCR) tem como principal papel avaliar o
estado inflamatório do indivíduo. A PCR é chamada de proteína
de fase aguda, e é produzida quando o paciente apresenta algum
quadro agudo de infecção/inflamação (sepse), determinando sua
gravidade e auxiliando no monitoramento do tratamento.
 No entanto, para detalhar a origem e o tipo da infecção será
necessário fazer exames complementares.
z
Eletrólitos
 Os eletrólitos são minerais que ajudam a transportar água,
bem como conduzir eletricidade pelo nosso corpo.
 Portanto, são substâncias importantes para o
funcionamento do organismo, como é o caso do sódio,
potássio e cálcio iônico. O exame de eletrólitos analisa a
quantidade desses minerais no sangue e pode ajudar a
detectar problemas de saúde, como desidratação e
problemas renais.
z
HIV
 Avalia a presença do vírus HIV no organismo. O HIV pode
permanecer de forma silenciosa no organismo por muitos anos,
mas quanto antes for iniciado o tratamento melhor é para prevenir
as complicações causadas pela infecção.
 O recomendado é que o exame de HIV seja realizado uma vez ao
ano. No entanto, sempre que houver um comportamento de
risco, o exame deve ser realizado, aguardando a janela
imunológica, que é em torno de 30 dias.
z
Gravidez (Beta hCG)
 Apesar dos testes de gravidez de urina encontrados em farmácias
serem confiáveis, uma gestação só pode ser confirmada após a
realização de um exame de sangue, além de testes
complementares e análise clínica.
 Portanto, para confirmar esse diagnóstico o médico sempre irá
solicitar um exame de gravidez no sangue, o Beta hCG. Essa
análise detecta o hormônio gonadotrofina coriônica humana,
que é produzido durante a gestação.
z IMAGEM
Raio-X
z
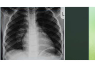
O QUE É?
 A tecnologia de Raio X funciona emitindo radiação que
atravessa o corpo e é captada por um detector ou
filme fotográfico.
 Os diferentes tecidos do corpo absorvem a radiação em
diferentes graus, criando uma imagem contrastante que
destaca ossos, órgãos e outras estruturas internas.
Tecidos densos, como ossos, aparecem brancos,
enquanto tecidos mais suaves, como músculos e
gordura, aparecem em tons de cinza.
z
DESVANTAGENS?
 A exposição à radiação, embora geralmente baixa,
pode acumular-se com exames repetidos,
aumentando o risco de efeitos adversos a longo prazo.
A radiografia também pode ser menos eficaz em
visualizar tecidos moles e em fornecer detalhes
comparáveis a outros métodos de imagem, como a
ressonância magnética (RM) ou a tomografia
computadorizada (TC).
z
z
z
z
z
Ressonância
magnética
IMAGEM
z
O QUE É?
 A ressonância magnética é uma técnica de imagem médica
avançada que utiliza campos magnéticos e ondas de rádio para
criar imagens detalhadas do interior do corpo. Essa tecnologia
permite aos médicos visualizar estruturas internas sem a
necessidade de intervenção cirúrgica, oferecendo uma ferramenta
valiosa para o diagnóstico de várias condições médicas.
 A ressonância magnética é particularmente eficaz na avaliação de
tecidos moles, como o cérebro, músculos e órgãos internos,
fornecendo imagens claras e precisas que ajudam no diagnóstico
de doenças e no planejamento de tratamentos.
z
Para que serve?
 Com a ressonância magnética, médicos são capazes de examinar o
corpo humano em detalhes com uma ferramenta não invasiva.
Diagnosticar doenças neurológicas e na medula espinhal;
Identificar tumores, cistos e outras anomalias em várias partes do corpo;
Rastreamento do câncer de mama;
Identificar lesões ou anormalidades na coluna e as articulações, como nos ombros e joelhos;
Diagnosticar certos tipos de doenças cardíacas;
Diagnosticar doenças do fígado, pâncreas e outros órgãos abdominais;
Avaliar a dor pélvica em mulheres para identificar miomas e endometriose;
Identificar patologias em mulheres que podem levar a quadros de infertilidade.
z
TIPO DE RESSONÂNCIA
Ressonância magnética cardíaca (RMC).
 É uma modalidade diagnóstica de RMN utilizada para mapear as áreas funcionais
do cérebro e variações no fluxo sanguíneo em resposta à atividade neural.
 Assim, para sua realização, é solicitado ao paciente executar atividades
específicas permitindo que o aparelho de RMf escaneie imagens detalhadas do
cérebro, mostrando a localização de um sinal associado à atividade cerebral.
 Aliás, é considerada uma alternativa não invasiva ao teste de Wada.
z
TIPO DE RESSONÂNCIA
Ressonância magnética das mamas;
 É uma modalidade da RMN que permite a detecção de alterações mamárias,
como por exemplo, cânceres na mama. Além disso, é considerado um exame
com maior sensibilidade quando comparado com a mamografia e com a
ultrassonografia.
z
TIPO DE RESSONÂNCIA
Angiografia arterial por ressonância magnética (angio-RM);
 É uma modalidade da RMN que permite a avaliação de alterações
anatômicas, estenoses, oclusões e complicações vasculares arteriais. Além
de ser considerado um exame não invasivo de fácil execução, permite avaliar
o parênquima de órgãos adjacentes de interesse diagnóstico.
z
TIPO DE RESSONÂNCIA
Venografia por ressonância magnética (VRM);
 É uma modalidade da RMN que permite produzir imagens detalhadas das
veias. A VRM é altamente sensível e utiliza a diferença de sinais entre o
sangue fluindo e o coágulo estacionado
z
TIPO DE RESSONÂNCIA
Ressonância magnética cardíaca (RMC).
 Também conhecida como RM Cardíaca, é uma modalidade da RMN que
permite produzir imagens detalhadas das estruturas cardíacas. É um
procedimento diagnóstico não invasivo capaz de capturar imagens
anatômicas e imagens dinâmicas do funcionamento do coração sob diversos
ângulos.
z
PECULIARIDADES
 É importante ter em mente que, em muitos casos, pode ser necessário que o
paciente receba a injeção de meio de contraste intravenoso para permitir que
certas doenças sejam diagnosticadas. Algumas patologias não podem ser
diagnosticadas sem o seu uso.
 Geralmente, é solicitado ao paciente que troque de roupa, retirando vestes e
tênis, além de remover acessórios e objetos metálicos.
 Isso ocorre pois os materiais metálicos são fortemente atraídos pelo forte campo
magnético existente dentro do equipamento, e podem causar distorções nas
imagens adquiridas, o que pode inviabilizar qualquer diagnóstico.
z
PECULIARIDADES
 É importante ressaltar que caso o paciente tenha algum tipo de dispositivo
metálico ou vestígios de metal em seu corpo, tais como fragmentos de balas de
armas de fogo (depende do local onde está alojada), pode ser que não possa
realizar o exame de RM.
 Mas, depende do tipo de dispositivo e do tipo de metal.
 Implantes cocleares e alguns tipos de clipes metálicos para tratamento de
aneurisma cerebral, por exemplo, contraindicam a realização do exame.
 Outro fator importante antes do exame é que o paciente informe seu médico se
tiver claustrofobia (como saber se você tem claustrofobia) ou ansiedade em
espaços fechados.
z
z
z
Tomografia
computadorizada
IMAGEM
z
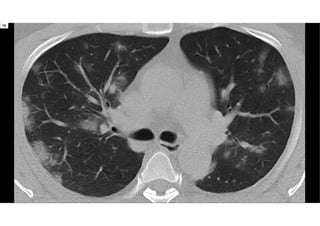
O QUE É?
 Tomografia computadorizada é um procedimento não
invasivo de diagnóstico por imagem que combina o uso de
raio-x com computadores especialmente adaptados. É
utilizado para criar imagens detalhadas dos mais variados
tecidos do corpo humano.
 O procedimento é realizado através da emissão de raios X
rotacionada ao redor do corpo, que por sua vez e de forma
variada, a depender de cada tecido, atenua o feixe de raios-
X, que são absorvidos por detectores de radiação, que
enviam então os dados para um sistema computacional.
z
PECULIARIDADES
 A tomografia não oferece riscos ao paciente quando obedecida a periodicidade
e as recomendações do profissional responsável pelo exame.
 Por se tratar de um procedimento que utiliza raios-x para criar as imagens, é
fundamental não ultrapassar a dose anual de radiação recebida por esse tipo
de exame. Por isso, sua quantidade deve ser registrada no laudo. O recomendado
é que seja realizada no máximo uma vez por ano.
 Os maiores riscos que o paciente está sujeito ao realizar a tomografia estão
relacionados ao não cumprimento das orientações do médico ou técnico, que
pode desencadear uma reação ao contraste, por exemplo.
z
z
z
z
Endoscopia
IMAGEM
z
O QUE É ENDOSCOPIA E PARA
QUE SERVE?
 A endoscopia é um exame capaz de analisar a mucosa
do esôfago, estômago e duodeno (primeira parte do
intestino delgado).
 É feita através de um tubo flexível (conhecido por
endoscópio) que possui um chip responsável por
capturar as imagens do sistema digestivo através de
uma câmera.
z
z
z
z
ultrassonografia
IMAGEM
z
O QUE É?
 A ultrassonografia é o exame de ultrassom que utiliza ondas
sonoras para gerar imagens do corpo humano.
 É um método muito utilizado para o acompanhamento pré-natal e
para avaliação de estruturas de partes moles do corpo
humano.
 Além disso, também pode ser utilizado para guiar procedimentos
intervencionistas, como biópsias e cirurgias.
 É um procedimento seguro, de baixo custo, não invasivo e que
não utiliza radiação ionizante.
 Portanto, é uma ótima ferramenta diagnóstica.
z
Eles são utilizados para visualizar os
órgãos internos do corpo, como:
Coração e vasos sanguíneos, incluindo a aorta abdominal e seus principais ramos;
Fígado;
Vesícula biliar;
Baço;
Pâncreas;
Rins;
Bexiga;
Útero, ovários e, em pacientes grávidas, o feto;
Olhos;
Glândulas tireóide e paratireóide;
Bolsa escrotal (testículos).
z
z
z
z
eletrocardiograma
IMAGEM
z
O QUE É?
 É um exame cujo objetivo é registrar a atividade elétrica do
coração. Muitas doenças cardíacas alteram a integridade do
funcionamento elétrico fisiológico do músculo cardíaco e podem
ser diagnosticadas através desse exame.

AULA 3 EXAMES LABORATORIAIS E DE IMAGEM.pdf

  • 1.
  • 2.
    z QUAL É OCONCEITO DE DIAGNÓSTICO? O processo de diagnóstico pode ser visto como uma forma de classificar a saúde de um paciente em diferentes etiologias e condições que permitem aos profissionais médicos tomarem decisões sobre prognóstico e tratamento.
  • 3.
    z COMO É FEITOUM DIAGNÓSTICO? Os processos de diagnóstico se dividem em quatro etapas: História clínica, Exames físicos, Exames laboratoriais, Exames de imagem.
  • 4.
  • 5.
  • 6.
    z Exames de sanguepara descartar doenças ou condições de saúde como Infecções e inflamações; Fatores de risco para doenças cardíacas; Diabetes; Doenças infecciosas, como HIV e hepatites; Anemia; Diversos tipos de câncer.
  • 7.
    z Hemograma completo É oexame laboratorial mais comum, uma vez que ele é imprescindível quando suspeitamos de diversas doenças. O hemograma avalia as informações sobre os tipos e quantidades dos componentes no sangue:  Glóbulos vermelhos (hemácias) – responsáveis principalmente pela oxigenação dos tecidos;  Glóbulos brancos (leucócitos) – responsáveis principalmente pela imunidade;  Plaquetas – principalmente responsáveis pela coagulação;
  • 8.
    z Colesterol (Perfil lipídico) Oexame de colesterol ou Perfil Lipídico avalia os níveis de gordura no sangue e pode ajudar a detectar doenças cardiovasculares.  HDL: conhecido como colesterol “bom”, tem como principal função a absorção dos cristais do colesterol depositados nas artérias.  LDL: conhecido como colesterol “ruim” por favorecer o acúmulo de gordura nas paredes do interior das artérias, possui a importante função de transportar o colesterol para as nossas células.
  • 9.
    z Glicemia e hemoglobinaglicada  Apesar de ambos avaliarem o nível de açúcar no sangue, tratam- se de dois exames distintos. Enquanto o exame de Glicemia aponta a concentração de glicose no sangue no exato momento da coleta, a Hemoglobina Glicada pode ser considerada uma estimativa da média dos últimos 3 meses. De qualquer forma, estes são exames muito importantes para o diagnóstico e acompanhamento do diabetes, uma doença silenciosa e que muitas vezes não apresenta sintomas, mas pode ter consequências devastadoras.
  • 10.
    z Transaminases Também conhecidas porTGO/AST (aspartato aminotransferase) e TGP/ALT (alanina aminotransferase), as Transaminases são enzimas produzidas pelo fígado, importantes para avaliar a saúde hepática. O fígado é responsável pelo metabolismo — e eliminação de diversas substâncias do nosso organismo — e condições que agridem o fígado elevam essas enzimas.  As principais doenças que elevam as transaminases são: Cirrose; Hepatites virais ou autoimunes; Esteato-hepatite; Lesão do fígado devido a bebidas alcoólicas, drogas e medicamentos; Câncer de fígado;
  • 11.
    z Ácido úrico  Avaliao excesso ou falta do ácido úrico no organismo.  O excesso dessa substância pode contribuir para a formação de cálculos renais, além de causar doenças como a gota, uma condição reumatológica que resulta em dor nas articulações, principalmente em homens.
  • 12.
    z TSH e T4livre  Avaliam o bom funcionamento da tireoide, glândula que controla todo nosso metabolismo.  Quando não está funcionando corretamente, a causa pode ser o hipotireoidismo ou o hipertireoidismo.
  • 13.
    z Creatinina e ureia(Função Renal)  A investigação da creatinina e da ureia serve para avaliar a função renal e identificar uma possível insuficiência do órgão.  Esses dois parâmetros permitem ao médico estimar o volume de sangue filtrado pelos rins a cada minuto. Quando eles estão elevados, isso indica que há uma redução na filtragem, ou seja, o paciente apresenta insuficiência renal.
  • 14.
    z PCR ( proteínaC reativa)  A proteína C reativa (PCR) tem como principal papel avaliar o estado inflamatório do indivíduo. A PCR é chamada de proteína de fase aguda, e é produzida quando o paciente apresenta algum quadro agudo de infecção/inflamação (sepse), determinando sua gravidade e auxiliando no monitoramento do tratamento.  No entanto, para detalhar a origem e o tipo da infecção será necessário fazer exames complementares.
  • 15.
    z Eletrólitos  Os eletrólitossão minerais que ajudam a transportar água, bem como conduzir eletricidade pelo nosso corpo.  Portanto, são substâncias importantes para o funcionamento do organismo, como é o caso do sódio, potássio e cálcio iônico. O exame de eletrólitos analisa a quantidade desses minerais no sangue e pode ajudar a detectar problemas de saúde, como desidratação e problemas renais.
  • 16.
    z HIV  Avalia apresença do vírus HIV no organismo. O HIV pode permanecer de forma silenciosa no organismo por muitos anos, mas quanto antes for iniciado o tratamento melhor é para prevenir as complicações causadas pela infecção.  O recomendado é que o exame de HIV seja realizado uma vez ao ano. No entanto, sempre que houver um comportamento de risco, o exame deve ser realizado, aguardando a janela imunológica, que é em torno de 30 dias.
  • 17.
    z Gravidez (Beta hCG) Apesar dos testes de gravidez de urina encontrados em farmácias serem confiáveis, uma gestação só pode ser confirmada após a realização de um exame de sangue, além de testes complementares e análise clínica.  Portanto, para confirmar esse diagnóstico o médico sempre irá solicitar um exame de gravidez no sangue, o Beta hCG. Essa análise detecta o hormônio gonadotrofina coriônica humana, que é produzido durante a gestação.
  • 18.
  • 19.
    z O QUE É? A tecnologia de Raio X funciona emitindo radiação que atravessa o corpo e é captada por um detector ou filme fotográfico.  Os diferentes tecidos do corpo absorvem a radiação em diferentes graus, criando uma imagem contrastante que destaca ossos, órgãos e outras estruturas internas. Tecidos densos, como ossos, aparecem brancos, enquanto tecidos mais suaves, como músculos e gordura, aparecem em tons de cinza.
  • 20.
    z DESVANTAGENS?  A exposiçãoà radiação, embora geralmente baixa, pode acumular-se com exames repetidos, aumentando o risco de efeitos adversos a longo prazo. A radiografia também pode ser menos eficaz em visualizar tecidos moles e em fornecer detalhes comparáveis a outros métodos de imagem, como a ressonância magnética (RM) ou a tomografia computadorizada (TC).
  • 21.
  • 22.
  • 23.
  • 24.
  • 25.
  • 26.
    z O QUE É? A ressonância magnética é uma técnica de imagem médica avançada que utiliza campos magnéticos e ondas de rádio para criar imagens detalhadas do interior do corpo. Essa tecnologia permite aos médicos visualizar estruturas internas sem a necessidade de intervenção cirúrgica, oferecendo uma ferramenta valiosa para o diagnóstico de várias condições médicas.  A ressonância magnética é particularmente eficaz na avaliação de tecidos moles, como o cérebro, músculos e órgãos internos, fornecendo imagens claras e precisas que ajudam no diagnóstico de doenças e no planejamento de tratamentos.
  • 27.
    z Para que serve? Com a ressonância magnética, médicos são capazes de examinar o corpo humano em detalhes com uma ferramenta não invasiva. Diagnosticar doenças neurológicas e na medula espinhal; Identificar tumores, cistos e outras anomalias em várias partes do corpo; Rastreamento do câncer de mama; Identificar lesões ou anormalidades na coluna e as articulações, como nos ombros e joelhos; Diagnosticar certos tipos de doenças cardíacas; Diagnosticar doenças do fígado, pâncreas e outros órgãos abdominais; Avaliar a dor pélvica em mulheres para identificar miomas e endometriose; Identificar patologias em mulheres que podem levar a quadros de infertilidade.
  • 28.
    z TIPO DE RESSONÂNCIA Ressonânciamagnética cardíaca (RMC).  É uma modalidade diagnóstica de RMN utilizada para mapear as áreas funcionais do cérebro e variações no fluxo sanguíneo em resposta à atividade neural.  Assim, para sua realização, é solicitado ao paciente executar atividades específicas permitindo que o aparelho de RMf escaneie imagens detalhadas do cérebro, mostrando a localização de um sinal associado à atividade cerebral.  Aliás, é considerada uma alternativa não invasiva ao teste de Wada.
  • 29.
    z TIPO DE RESSONÂNCIA Ressonânciamagnética das mamas;  É uma modalidade da RMN que permite a detecção de alterações mamárias, como por exemplo, cânceres na mama. Além disso, é considerado um exame com maior sensibilidade quando comparado com a mamografia e com a ultrassonografia.
  • 30.
    z TIPO DE RESSONÂNCIA Angiografiaarterial por ressonância magnética (angio-RM);  É uma modalidade da RMN que permite a avaliação de alterações anatômicas, estenoses, oclusões e complicações vasculares arteriais. Além de ser considerado um exame não invasivo de fácil execução, permite avaliar o parênquima de órgãos adjacentes de interesse diagnóstico.
  • 31.
    z TIPO DE RESSONÂNCIA Venografiapor ressonância magnética (VRM);  É uma modalidade da RMN que permite produzir imagens detalhadas das veias. A VRM é altamente sensível e utiliza a diferença de sinais entre o sangue fluindo e o coágulo estacionado
  • 32.
    z TIPO DE RESSONÂNCIA Ressonânciamagnética cardíaca (RMC).  Também conhecida como RM Cardíaca, é uma modalidade da RMN que permite produzir imagens detalhadas das estruturas cardíacas. É um procedimento diagnóstico não invasivo capaz de capturar imagens anatômicas e imagens dinâmicas do funcionamento do coração sob diversos ângulos.
  • 33.
    z PECULIARIDADES  É importanteter em mente que, em muitos casos, pode ser necessário que o paciente receba a injeção de meio de contraste intravenoso para permitir que certas doenças sejam diagnosticadas. Algumas patologias não podem ser diagnosticadas sem o seu uso.  Geralmente, é solicitado ao paciente que troque de roupa, retirando vestes e tênis, além de remover acessórios e objetos metálicos.  Isso ocorre pois os materiais metálicos são fortemente atraídos pelo forte campo magnético existente dentro do equipamento, e podem causar distorções nas imagens adquiridas, o que pode inviabilizar qualquer diagnóstico.
  • 34.
    z PECULIARIDADES  É importanteressaltar que caso o paciente tenha algum tipo de dispositivo metálico ou vestígios de metal em seu corpo, tais como fragmentos de balas de armas de fogo (depende do local onde está alojada), pode ser que não possa realizar o exame de RM.  Mas, depende do tipo de dispositivo e do tipo de metal.  Implantes cocleares e alguns tipos de clipes metálicos para tratamento de aneurisma cerebral, por exemplo, contraindicam a realização do exame.  Outro fator importante antes do exame é que o paciente informe seu médico se tiver claustrofobia (como saber se você tem claustrofobia) ou ansiedade em espaços fechados.
  • 35.
  • 36.
  • 37.
  • 38.
    z O QUE É? Tomografia computadorizada é um procedimento não invasivo de diagnóstico por imagem que combina o uso de raio-x com computadores especialmente adaptados. É utilizado para criar imagens detalhadas dos mais variados tecidos do corpo humano.  O procedimento é realizado através da emissão de raios X rotacionada ao redor do corpo, que por sua vez e de forma variada, a depender de cada tecido, atenua o feixe de raios- X, que são absorvidos por detectores de radiação, que enviam então os dados para um sistema computacional.
  • 39.
    z PECULIARIDADES  A tomografianão oferece riscos ao paciente quando obedecida a periodicidade e as recomendações do profissional responsável pelo exame.  Por se tratar de um procedimento que utiliza raios-x para criar as imagens, é fundamental não ultrapassar a dose anual de radiação recebida por esse tipo de exame. Por isso, sua quantidade deve ser registrada no laudo. O recomendado é que seja realizada no máximo uma vez por ano.  Os maiores riscos que o paciente está sujeito ao realizar a tomografia estão relacionados ao não cumprimento das orientações do médico ou técnico, que pode desencadear uma reação ao contraste, por exemplo.
  • 40.
  • 41.
  • 42.
  • 43.
  • 44.
    z O QUE ÉENDOSCOPIA E PARA QUE SERVE?  A endoscopia é um exame capaz de analisar a mucosa do esôfago, estômago e duodeno (primeira parte do intestino delgado).  É feita através de um tubo flexível (conhecido por endoscópio) que possui um chip responsável por capturar as imagens do sistema digestivo através de uma câmera.
  • 45.
  • 46.
  • 47.
  • 48.
  • 49.
    z O QUE É? A ultrassonografia é o exame de ultrassom que utiliza ondas sonoras para gerar imagens do corpo humano.  É um método muito utilizado para o acompanhamento pré-natal e para avaliação de estruturas de partes moles do corpo humano.  Além disso, também pode ser utilizado para guiar procedimentos intervencionistas, como biópsias e cirurgias.  É um procedimento seguro, de baixo custo, não invasivo e que não utiliza radiação ionizante.  Portanto, é uma ótima ferramenta diagnóstica.
  • 50.
    z Eles são utilizadospara visualizar os órgãos internos do corpo, como: Coração e vasos sanguíneos, incluindo a aorta abdominal e seus principais ramos; Fígado; Vesícula biliar; Baço; Pâncreas; Rins; Bexiga; Útero, ovários e, em pacientes grávidas, o feto; Olhos; Glândulas tireóide e paratireóide; Bolsa escrotal (testículos).
  • 51.
  • 52.
  • 53.
  • 54.
  • 55.
    z O QUE É? É um exame cujo objetivo é registrar a atividade elétrica do coração. Muitas doenças cardíacas alteram a integridade do funcionamento elétrico fisiológico do músculo cardíaco e podem ser diagnosticadas através desse exame.