Aspectos Ortológicos da Mucosa
Bucal
Língua Geográfica ou Glossite
Migratória
• Sinonímia
• Etiologia
• Características Clínicas
• Orientação Terapêutica
Língua Fissurada
• Sinonímia
• Etiologia
• Características Clínicas
• Orientação Terapêutica
Línguas Pilosas
Alba
Negras
Língua Varicosa
• Sinonímia
• Características Clínicas
Língua Crenada ou
Indentação Língual
Linha de Oclusão
Leucoedema
• Etiologia
• Características Clínicas
• Raça
• Manobra Clínica
• Aspectos Histológicos
Grânulos de Fordyce
• Etiologia
• Características Clínicas
• Orientação Terapêutica
Carúncula Proeminente
Tatuagem por Amalgama
• Impregnação
• Áreas de Abrasão na Mucosa
• Fragmentos em Área de Extração
• Uso de Fio Dental em Restauração Recente
• Retro-obturação Endodontica
• Pressão das Brocas das Turbinas de Alta
Rotação
• Aspectos Clínicos Radiográficos
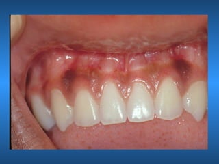
Pigmentação Melânica
• Características Clínicas
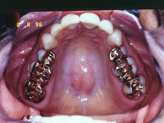
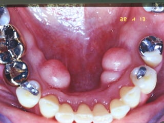
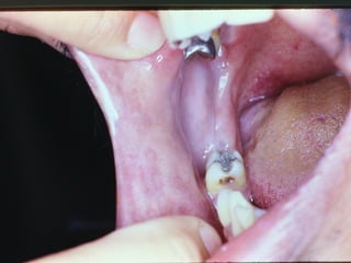
Torus
• Mandibular
• Paltino
• Etiologia
Papilas Caliciformes
ou Valadas
Aspectos ortologicos da mucosa bucal
Aspectos ortologicos da mucosa bucal

Aspectos ortologicos da mucosa bucal