Ultrastructure of the stomochord
and the heart-glomerulus complex
in Rabdopleura compacta
(Pterobranchia): phylogenetic
implications.
MAYER, G;
BARTOLOMEUS, T.
Caroline Biojone
Diogo B. Provete
Mateus de S. Terceti
Renata Rosado
INTRODUÇÃO
 Posição filogenética;
 3 gên. c/ 21 spp. Pterobranchia mais basal que
Enteropneusta;
 Estomocorda; complexo coração-glomérulo
(homologia c/ nefrídeo?); coloniais; menores
que os Enteropneusta;
 Objetivo do trabalho: estudar
ultraestruturalmente o complexo coração-
glomérulo.
INTRODUÇÃO
 Não há nenhuma evidência de que os
Rhabdopleurida possuem o glomérulo, pois o
mesmo é mais estudado em outro gênero:
Cephalodiscus;
 O glomérulo teria surgido, e evoluído, a partir
dos Pterobranchia;
MATERIAL E MÉTODOS
 Coleta
 Histotécnica
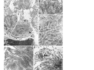
RESULTADOS
 GLOMÉRULO
Estrutura semelhante a um saco situado
próximo ao coração;
Podócitos c/ cílios na parede do glomérulo;
Luz hemolinfa;
RESULTADOS
 ESTOMOCORDA
Projeção digital próximo a abertura bucal;
Septo fixação;
Muco;
Cílios;
Estrutura “plaquetóide” (Platelet-like).
RESULTADOS
 PERICÁRDIO E CORAÇÃO
Parede composta por células mio-epiteliais
(miofilamentos; complexo de adesão);
Nervo anterodorsal;
Ausência de endotélio;
Cílios “não convencionais”.
DISCUSSÃO
 COMPLEXO CORAÇÃO-GLOMÉRULO
Evidência de ultrafiltração;
Barreira de filtração seletiva matriz
perivascular que envolve o glomérulo;
Glomérulo homologia entre R. compacta e
Cephalodiscus gracilis;
Pressão do fluido celomático deve ser maior do
que o fluido da hemolinfa;
hemolinfa no coração;
RESULTADOS
 Ultraestruturalmente:
Céls mioepiteliais – R. compacta e C. gracilis
 Pericário
m. estriado – S. kovalevskii e G. minutus
 R. compacta – contrações cardíacas
controladas pelo nervo anteroventral;
 Complexo coração-glomérulo – organização só
encontrada em Pterobranchia e Enteropneusta;
RESULTADOS
 Órgão axial Echinodermata
+ protoceloma = axoceloma ≠ complexo coração-
glomérulo
Separação espacial dos miócitos e
podócitos no coração e no glomérulo
 Se as duas estruturas são homólogas = uma é
plesiomórfica e outra é apomórfica;
 Cordados = linhagem principal
complexo excretor foi modificado, reduzido
ou inicialmente ausente (ñ se sabe).
DISCUSSÃO
 ESTOMOCORDA
Homologia entre os hemicordados;
Homologia com a notocorda;
Características notocorda X estomocorda;
2 interpretações para explicar as diferenças entre
notocorda e estomocorda;
Suposição mais aceita e o porquê;
Função da estomocorda;
Homologia entre estomocorda e notocorda não é
apoiada por nenhuma característica morfológica.
OBRIGADO!!!

The ultrastructure of the stomochord in Pterobranchia

  • 1.
    Ultrastructure of thestomochord and the heart-glomerulus complex in Rabdopleura compacta (Pterobranchia): phylogenetic implications. MAYER, G; BARTOLOMEUS, T. Caroline Biojone Diogo B. Provete Mateus de S. Terceti Renata Rosado
  • 2.
    INTRODUÇÃO  Posição filogenética; 3 gên. c/ 21 spp. Pterobranchia mais basal que Enteropneusta;  Estomocorda; complexo coração-glomérulo (homologia c/ nefrídeo?); coloniais; menores que os Enteropneusta;  Objetivo do trabalho: estudar ultraestruturalmente o complexo coração- glomérulo.
  • 4.
    INTRODUÇÃO  Não hánenhuma evidência de que os Rhabdopleurida possuem o glomérulo, pois o mesmo é mais estudado em outro gênero: Cephalodiscus;  O glomérulo teria surgido, e evoluído, a partir dos Pterobranchia;
  • 5.
    MATERIAL E MÉTODOS Coleta  Histotécnica
  • 6.
    RESULTADOS  GLOMÉRULO Estrutura semelhantea um saco situado próximo ao coração; Podócitos c/ cílios na parede do glomérulo; Luz hemolinfa;
  • 10.
    RESULTADOS  ESTOMOCORDA Projeção digitalpróximo a abertura bucal; Septo fixação; Muco; Cílios; Estrutura “plaquetóide” (Platelet-like).
  • 11.
    RESULTADOS  PERICÁRDIO ECORAÇÃO Parede composta por células mio-epiteliais (miofilamentos; complexo de adesão); Nervo anterodorsal; Ausência de endotélio; Cílios “não convencionais”.
  • 12.
    DISCUSSÃO  COMPLEXO CORAÇÃO-GLOMÉRULO Evidênciade ultrafiltração; Barreira de filtração seletiva matriz perivascular que envolve o glomérulo; Glomérulo homologia entre R. compacta e Cephalodiscus gracilis; Pressão do fluido celomático deve ser maior do que o fluido da hemolinfa; hemolinfa no coração;
  • 13.
    RESULTADOS  Ultraestruturalmente: Céls mioepiteliais– R. compacta e C. gracilis  Pericário m. estriado – S. kovalevskii e G. minutus  R. compacta – contrações cardíacas controladas pelo nervo anteroventral;  Complexo coração-glomérulo – organização só encontrada em Pterobranchia e Enteropneusta;
  • 14.
    RESULTADOS  Órgão axialEchinodermata + protoceloma = axoceloma ≠ complexo coração- glomérulo Separação espacial dos miócitos e podócitos no coração e no glomérulo  Se as duas estruturas são homólogas = uma é plesiomórfica e outra é apomórfica;  Cordados = linhagem principal complexo excretor foi modificado, reduzido ou inicialmente ausente (ñ se sabe).
  • 15.
    DISCUSSÃO  ESTOMOCORDA Homologia entreos hemicordados; Homologia com a notocorda; Características notocorda X estomocorda; 2 interpretações para explicar as diferenças entre notocorda e estomocorda; Suposição mais aceita e o porquê; Função da estomocorda; Homologia entre estomocorda e notocorda não é apoiada por nenhuma característica morfológica.
  • 16.