E AÍ, O QUE VOCÊ NÃO PODE
DEIXAR DE SABER DA CAUSA MAIS
IMPORTANTE DE ABDOME AGUDO:
A APENDICITE AGUDA?
ABDOME AGUDO
INFLAMATÓRIO –
APENDICITE
AGUDA
VINHETA DE ABERTURA
VINHETA DE ABERTURA
APENDICITE AGUDA
INTRODUÇÃO
IMPORTÂNCIA EPIDEMIOLÓGICA
Operação de urgência mais comum
em 7% da população.
Nos extremos da faixa etária (< 4 anos
e > 80 anos), o diagnóstico tende a ser
mais tardio, com maior incidência de
perfuração, chegando até 80%.
FISIOPATOLOGIA
Obstrução da luz do apêndice
੦ fecálito, aderência, aumento do tecido linfático, corpo
estranho, parasita ou tumor
Acúmulo de secreção → aumento da pressão
intraluminal: estímulo visceral
੦ (nervos aferentes T8 e T10) causando dor epigástrica
ou periumbilical
Pressão intraluminal → impede drenagem linfática e
posteriormente venosa/translocação bacteriana
੦ acometimento inflamatório da serosa → dor
localizada
Progressão → necrose e perfuração, abscesso, peritonite
FISIOPATOLOGIA
FASES EVOLUTIVAS
Hiperêmica: intraluminal, mucosa
Edematosa: edema da parede
Fibrinosa: extensão até a serosa
Flegmonosa: secreção purulenta no lúmen
Gangrenosa: isquemia
Perfurativa
ANAMNESE
HISTÓRIA TÍPICA
Dor em mesogástrio, em cólica, acompanhada de
náuseas ou vômitos e anorexia, que posteriormente
migra para FID, passando a caráter contínuo,
acompanhada de sinais inflamatórios.
SINTOMAS INICIAIS
ATÍPICOS/INESPECÍFICOS
Dispepsia
Alteração do hábito intestinal
Diarreia
Mal-estar generalizado
QUADRO CLÍNICO
EXAME FÍSICO
Exame físico aliado à história clínica tem uma
acurácia de cerca de 95% no diagnóstico.
Apresentação clássica em 2/3 dos casos.
QUADRO CLÍNICO
EXAME FÍSICO
Temperatura normal ou febre baixa.
Febre isolada não contribui para o diagnóstico de
apendicite.
Maior especificidade: quando associada a outros
sintomas (por exemplo: migração da dor para FID).
QUADRO CLÍNICO
EXAME FÍSICO
Dor e/ou plastrão palpável no ponto de McBurney
com DB+ é sinal independente preditivo de
apendicite.
Asset
Cai na prova
#CAI NA PROVA
SINAIS
PROPEDÊUTICOS
CORRESPONDÊNCIAS CLÍNICAS
Blumberg
Descompressão brusca dolorosa após a palpação da FID no
ponto de McBurney
Rovsing
Dor na FID quando se palpa a Fossa Ilíaca Esquerda (FIE),
ocasionando retorno gasoso com distensão do ceco
Lennander Dissociação entre temperatura retal e axilar > 1 °C
Summer Hiperestesia na FID
Lapinski
Dor à compressão da FID enquanto se solicita ao paciente
que eleve o membro inferior direito
Punho-percussão Dor na FID a punho-percussão do calcâneo
Dunphy
Dor desencadeada pela percussão abdominal ou referida
quando se solicita ao paciente que tussa
Obturador
Dor durante a rotação interna passiva da coxa direita
flexionada
Psoas
Dor na flexão ativa da coxa direita contra uma resistência
(ou dor na extensão passiva da coxa), com o paciente
deitado em decúbito lateral esquerdo
SINAIS DE APENDICITE
EXAME FÍSICO
SINAIS CLÍNICOS ESPECÍFICOS PARA
DIAGNÓSTICO DIFERENCIAL
Sinal de Murphy
Sinal de Giordano
QUADRO CLÍNICO
VARIAÇÃO DO QUADRO CLÍNICO
Quadro clínico
੦ posição do apêndice
• dor flanco/dorsal, irradiação para a pélvis ou o
testículo
• disúria, urgência urinária, evacuação diarreica
ANATOMIA
POSIÇÃO DA EXTREMIDADE LIVRE
Retrocecal
Subcecal
Pré ou pós-ileal
Pélvica
ANATOMIA
Próximo à válvula ileocecal.
Convergência das tenias
colônicas no ceco.
Em média, 5 a 12 cm de
comprimento com 0,5 a 1,0 cm
de espessura.
Vascularização terminal pela
artéria apendicular, que é ramo
da artéria ileocólica.
HISTÓRIA NATURAL
PERFURAÇÃO
Média de 48 horas para necrose e 70 para
perfuração:
< 36 horas: < 2% perfurações;
> 36 horas: aumento de 5% a cada 12 horas.
Não espere o Sol raiar para operar uma apendicite!
ETIOLOGIA E FISIOPATOLOGIA
HISTÓRIA NATURAL
Regressão espontânea possível (9% episódio
anterior idêntico; e 4%, mais de uma crise prévia*)
Peritonite
Fístula
Óbito
*LEWIS, F.R. et al. Appendicitis: a critical review of
diagnosis and treatment in 1,000 cases. Arch Surg.
1975;110:677-84.
APENDICITE PSEUDOTUMORAL
Massa palpável no quadrante inferior direito.
Mais de uma semana de evolução.
Tratamento inicialmente clínico, com drenagem
eventual.
Apendicectomia eletiva.
APENDICITE CRÔNICA
Entidade controversa
Quadros recorrentes de apendicite aguda
Hipótese de exceção
EXAMES COMPLEMENTARES
Sangue
Urina
Imagem
EXAMES LABORATORIAIS
ß-hCG em mulheres na idade fértil
Urinálise
੦ hematúria ou piúria podem estar presentes na
apendicite (próximo à bexiga ou ureter)
Hemograma completo
੦ leucocitose > 10.000: baixo valor preditivo
quando isolado, sensibilidade de 76% e
especificidade 52% (Cardall, 2004)
Proteína C reativa: sensibilidade e especificidade
baixas.
EXAMES LABORATORIAIS
Leucocitose, desvio à esquerda e PCR:
੦ 2 ou mais exames alterados: maior risco;
੦ 3 critérios normais: baixo risco.
Se avaliados juntamente com exame físico e
história clínica, podem contribuir, mas não fazem
diagnóstico definitivo!
#PEGADINHA
IMAGEM
Radiografia simples
Ultrassonografia
Tomografia computadorizada
Ressonância magnética
RADIOGRAFIA SIMPLES
Raramente faz o diagnóstico.
Exame rápido e disponível.
Auxílio em diagnósticos diferenciais: volvo,
intussuscepção, nefrolitíase.
Sinais radiográficos:
੦ íleo paralítico na FID;
੦ fecálito no apêndice;
੦ borramento na região do psoas;
੦ pneumoperitônio.
Nenhum dos sinais é sensível ou específico para
concluir o diagnóstico.
RADIOGRAFIA SIMPLES
ULTRASSONOGRAFIA
Não há exposição a radiação:
੦ gestante e crianças.
Sensibilidade e especificidade variam muito
nos estudos.
INVESTIGAÇÃO COMPLEMENTAR
ULTRASSONOGRAFIA
Fonte: BIRNBAUM, B. A.; WILSON, S. R. Appendicitis at the
millennium. Radiology 2000;215:337-348.
INVESTIGAÇÃO COMPLEMENTAR
ULTRASSONOGRAFIA DE ABDOME
Compressão gradativa do transdutor.
Apêndice normal – estrutura tubular compressível
com diâmetro máximo de 5 mm.
Apendicite – estrutura em fundo cego, imóvel, não
compressível, com lúmen anecoico, mucosa
ecogênica e parede muscular espessada e
hipoecoica com diâmetro > 6 mm.
Coleções líquidas, fleimão e apendicólito.
Doppler colorido – aumento do fluxo sanguíneo no
apêndice inflamado – “anel de fogo”.
INVESTIGAÇÃO COMPLEMENTAR
ULTRASSONOGRAFIA
Fonte: BIRNBAUM, B. A.; WILSON, S. R. Appendicitis at the millennium.
Radiology 2000;215:337-348.
INVESTIGAÇÃO COMPLEMENTAR
ULTRASSONOGRAFIA DE ABDOME
Critérios diagnósticos:
੦ diâmetro maior que 6 mm;
੦ dor à compressão;
੦ fecálito na luz;
੦ líquido peritoneal ao redor.
Sensibilidade – 75 a 90%.
Especificidade – 86 a 100%.
INVESTIGAÇÃO COMPLEMENTAR
ULTRASSONOGRAFIA COM DOPPLER
Fonte: BIRNBAUM, B. A.; WILSON, S. R. Appendicitis at the
millennium. Radiology 2000;215:337-348.
ULTRASSONOGRAFIA
DIFICULDADES
Apêndice não visualizado (25 a 35% dos exames)
Visualização parcial
INVESTIGAÇÃO COMPLEMENTAR
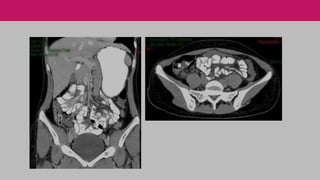
TOMOGRAFIA COMPUTADORIZADA
#IMPORTANTE
INVESTIGAÇÃO COMPLEMENTAR
Métodos de imagem
੦ tomografia computadorizada
• sensibilidade 87 a 100%
• especificidade 95 a 100%
• considerado o exame de maior confiabilidade
no diagnóstico de apendicite aguda
• critério de Alvarado 4 a 6
INVESTIGAÇÃO COMPLEMENTAR
TOMOGRAFIA COMPUTADORIZADA
Fonte: BIRNBAUM, B. A.; WILSON, S. R. Appendicitis at the
millennium. Radiology 2000;215:337-348.
TOMOGRAFIA
Sensibilidade maior que o US.
Especificidade semelhante ao US.
Auxílio em outros diagnósticos.
Desvantagens:
੦ radiação;
੦ demora (quando usado contraste oral);
੦ efeitos colaterais do contraste intravenoso quando
utilizado: nefropatia ou reação alérgica.
Alto custo?
* Diminui internações e apendicectomias desnecessárias,
diagnóstico precoce em população específica (idosos).
INVESTIGAÇÃO COMPLEMENTAR
The American College of Radiology:
੦ TC é o exame mais acurado para a avaliação de
pacientes sem diagnóstico clínico claro de
apendicite;
੦ o uso rotineiro de CT para avaliar a apendicite
mostrou diminuição dos custos totais de US$ 447
para 1,412 dólar por paciente; e diminuição da
taxa de apendicectomia negativa de 42,9% para
7,1% entre mulheres com idade de 18 a 45 anos.
#CAI NA PROVA
ESCORES DE DIAGNÓSTICO
Escore de Alvarado (1986)
੦ MANTRELS
• migration of pain, anorexia, nausea or vomiting,
tenderness in RLQ, rebound tenderness, elevation
of temperature, leukocytosis, leftward shift
੦ interferência
• acurácia afetada pelo gênero e idade
• triagem
੦ pontuação < 3: risco muito baixo de apendicite
੦ pontuação ≥ 7: apendicite em 93% dos homens e
78% das mulheres
ESCORE DE ALVARADO
SINTOMAS
Migração da dor 1
Anorexia 1
Náusea e/ou vômitos 1
SINAIS
Defesa de parede no
quadrante inferior direito
do abdome
2
Dor à palpação 1
Elevação da temperatura 1
LABORATÓRIO
Leucocitose 2
Desvio à esquerda 1
TOTAL 10
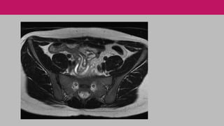
RESSONÂNCIA MAGNÉTICA
Sem radiação.
Exame demorado.
Pouco disponível e de alto custo.
Na gravidez: exame seguro para a gestante, mas o
contraste com gadolínio ultrapassa a membrana
placentária e deve ser evitado no primeiro
trimestre especialmente.
LAPAROSCOPIA
Diagnóstica e terapêutica.
Invasivo como diagnóstico.
Realizado principalmente em mulheres.
“Mas, afinal, na suspeita de apendicite,
que exame de imagem eu devo pedir?”
Roberta
IMAGEM
COLÉGIO AMERICANO DE RADIOLOGIA
A apendicite pode ser diagnosticada clinicamente,
no entanto, a imagem aumenta a sensibilidade e
especificidade de diagnóstico.
Em geral, a TC é o exame de imagem mais preciso
para avaliar a suspeita de apendicite e etiologias
alternativas de dor abdominal no quadrante inferior
direito.
Em crianças, US é o exame inicial preferido, pois é
quase tão preciso quanto CT para o diagnóstico de
apendicite, sem exposição à radiação ionizante.
Em mulheres grávidas, os dados crescentes apoiam
o uso de RNM após US equívoco ou inconclusivo.
DIAGNÓSTICO
Considerar como diagnóstico diferencial em todo
paciente com dor epigástrica, umbilical ou
localizada na FID/flanco D
Exames complementares:
੦ laboratoriais;
੦ de imagem.
#IMPORTANTE
CONDUTA - TRATAMENTOS PROPOSTOS
Drenagem
੦ 1901 – Frederic Trevis – Rei Eduardo VII, filho da
Rainha Victória, dias antes de sua coroação
Apendicectomia
੦ tratamento padrão há mais de 100 anos, com
evolução para laparoscopia, portal único e
robótica
Antibioticoterapia
੦ conduta não consensual, sugerida para alguns
casos iniciais em pacientes hígidos
#IMPORTANTE
CONDUTA
Tratamento clínico?
TRATAMENTO
CLÍNICO: ANTIBIOTICOTERAPIA EXCLUSIVA
Conduta não consensual
Possíveis alguns casos selecionados em fase inicial e
paciente hígido (!?)
Risco de insucesso e necessidade de cirurgia (em
piores condições! Maior risco!?)
1/3 dos pacientes necessita de cirurgia
Fitzmaurice et al.; Can J Surg (2011)
Wilms et al.; Cochrane Database Syst Rev (2011)
Asset
Mednews
TRATAMENTO
“Mesmo com apendicite, Rafael Nadal disputa
Masters de 1000 de Xangai” (07.10.2014)
Disponível em: http://sportv.globo.com/site/eventos/masters-
1000/noticia/2014/10/mesmo-com-apendicite-rafael-nadal-disputa-
masters-de-1000-de-xangai.html.
TRATAMENTO
“Com apendicite, Nadal luta, vacila e cai na estreia
em Xangai para López” (08.10.2014)
Disponível em: http://sportv.globo.com/site/eventos/masters-
1000/noticia/2014/10/com-apendicite-nadal-luta-mas-cai-na-estreia-
em-xangai-para-lopez.html.
TRATAMENTO
“Após cirurgia de apendicite, Nadal recebe alta e
deixa hospital na Espanha” (05.11.2014)
Disponível em: https://www.terra.com.br/esportes/tenis/apos-
cirurgia-de-apendicite-nadal-recebe-alta-e-deixa-hospital-na-
espanha,4ae491cb61089410VgnCLD200000b1bf46d0RCRD.html.
TRATAMENTO
Fonte: Leonid Ivanovich Rogozov, 1961.
#IMPORTANTE
CONDUTA
Cirurgia
TRATAMENTO
Cirurgia é o tratamento
definitivo de apendicite aguda
TRATAMENTO CIRÚRGICO
ABORDAGEM NO PRONTO-SOCORRO
Hidratação
Antibiótico
੦ não complicada: cefoxitina
੦ outras: ceftriaxona, ciprofloxacino, associação
com metronidazol, ampicilina, ...
Analgesia, antiemético
TRATAMENTO CIRÚRGICO
Cirurgia convencional
੦ custo
Laparoscopia
੦ recuperação precoce (?)
੦ menor: dor e infecção de ferida operatória
੦ maior: abscesso intra-abdominal (?)
੦ melhor avaliação da cavidade abdominal
੦ preferencial:
• mulheres, diagnóstico indeterminado,
peritonite difusa/perfurado, obesidade, ...
E AÍ, O QUE VOCÊ NÃO PODE
DEIXAR DE SABER DA CAUSA MAIS
IMPORTANTE DE ABDOME AGUDO:
A APENDICITE AGUDA?

Apendicitis aguda.pdf

  • 1.
    E AÍ, OQUE VOCÊ NÃO PODE DEIXAR DE SABER DA CAUSA MAIS IMPORTANTE DE ABDOME AGUDO: A APENDICITE AGUDA?
  • 2.
  • 3.
  • 4.
  • 5.
    INTRODUÇÃO IMPORTÂNCIA EPIDEMIOLÓGICA Operação deurgência mais comum em 7% da população. Nos extremos da faixa etária (< 4 anos e > 80 anos), o diagnóstico tende a ser mais tardio, com maior incidência de perfuração, chegando até 80%.
  • 6.
    FISIOPATOLOGIA Obstrução da luzdo apêndice ੦ fecálito, aderência, aumento do tecido linfático, corpo estranho, parasita ou tumor Acúmulo de secreção → aumento da pressão intraluminal: estímulo visceral ੦ (nervos aferentes T8 e T10) causando dor epigástrica ou periumbilical Pressão intraluminal → impede drenagem linfática e posteriormente venosa/translocação bacteriana ੦ acometimento inflamatório da serosa → dor localizada Progressão → necrose e perfuração, abscesso, peritonite
  • 7.
    FISIOPATOLOGIA FASES EVOLUTIVAS Hiperêmica: intraluminal,mucosa Edematosa: edema da parede Fibrinosa: extensão até a serosa Flegmonosa: secreção purulenta no lúmen Gangrenosa: isquemia Perfurativa
  • 8.
    ANAMNESE HISTÓRIA TÍPICA Dor emmesogástrio, em cólica, acompanhada de náuseas ou vômitos e anorexia, que posteriormente migra para FID, passando a caráter contínuo, acompanhada de sinais inflamatórios.
  • 9.
    SINTOMAS INICIAIS ATÍPICOS/INESPECÍFICOS Dispepsia Alteração dohábito intestinal Diarreia Mal-estar generalizado
  • 10.
    QUADRO CLÍNICO EXAME FÍSICO Examefísico aliado à história clínica tem uma acurácia de cerca de 95% no diagnóstico. Apresentação clássica em 2/3 dos casos.
  • 11.
    QUADRO CLÍNICO EXAME FÍSICO Temperaturanormal ou febre baixa. Febre isolada não contribui para o diagnóstico de apendicite. Maior especificidade: quando associada a outros sintomas (por exemplo: migração da dor para FID).
  • 12.
    QUADRO CLÍNICO EXAME FÍSICO Dore/ou plastrão palpável no ponto de McBurney com DB+ é sinal independente preditivo de apendicite.
  • 13.
  • 14.
    #CAI NA PROVA SINAIS PROPEDÊUTICOS CORRESPONDÊNCIASCLÍNICAS Blumberg Descompressão brusca dolorosa após a palpação da FID no ponto de McBurney Rovsing Dor na FID quando se palpa a Fossa Ilíaca Esquerda (FIE), ocasionando retorno gasoso com distensão do ceco Lennander Dissociação entre temperatura retal e axilar > 1 °C Summer Hiperestesia na FID Lapinski Dor à compressão da FID enquanto se solicita ao paciente que eleve o membro inferior direito Punho-percussão Dor na FID a punho-percussão do calcâneo Dunphy Dor desencadeada pela percussão abdominal ou referida quando se solicita ao paciente que tussa Obturador Dor durante a rotação interna passiva da coxa direita flexionada Psoas Dor na flexão ativa da coxa direita contra uma resistência (ou dor na extensão passiva da coxa), com o paciente deitado em decúbito lateral esquerdo SINAIS DE APENDICITE
  • 15.
    EXAME FÍSICO SINAIS CLÍNICOSESPECÍFICOS PARA DIAGNÓSTICO DIFERENCIAL Sinal de Murphy Sinal de Giordano
  • 16.
    QUADRO CLÍNICO VARIAÇÃO DOQUADRO CLÍNICO Quadro clínico ੦ posição do apêndice • dor flanco/dorsal, irradiação para a pélvis ou o testículo • disúria, urgência urinária, evacuação diarreica
  • 17.
    ANATOMIA POSIÇÃO DA EXTREMIDADELIVRE Retrocecal Subcecal Pré ou pós-ileal Pélvica
  • 18.
    ANATOMIA Próximo à válvulaileocecal. Convergência das tenias colônicas no ceco. Em média, 5 a 12 cm de comprimento com 0,5 a 1,0 cm de espessura. Vascularização terminal pela artéria apendicular, que é ramo da artéria ileocólica.
  • 19.
    HISTÓRIA NATURAL PERFURAÇÃO Média de48 horas para necrose e 70 para perfuração: < 36 horas: < 2% perfurações; > 36 horas: aumento de 5% a cada 12 horas. Não espere o Sol raiar para operar uma apendicite!
  • 20.
    ETIOLOGIA E FISIOPATOLOGIA HISTÓRIANATURAL Regressão espontânea possível (9% episódio anterior idêntico; e 4%, mais de uma crise prévia*) Peritonite Fístula Óbito *LEWIS, F.R. et al. Appendicitis: a critical review of diagnosis and treatment in 1,000 cases. Arch Surg. 1975;110:677-84.
  • 21.
    APENDICITE PSEUDOTUMORAL Massa palpávelno quadrante inferior direito. Mais de uma semana de evolução. Tratamento inicialmente clínico, com drenagem eventual. Apendicectomia eletiva.
  • 22.
    APENDICITE CRÔNICA Entidade controversa Quadrosrecorrentes de apendicite aguda Hipótese de exceção
  • 23.
  • 24.
    EXAMES LABORATORIAIS ß-hCG emmulheres na idade fértil Urinálise ੦ hematúria ou piúria podem estar presentes na apendicite (próximo à bexiga ou ureter) Hemograma completo ੦ leucocitose > 10.000: baixo valor preditivo quando isolado, sensibilidade de 76% e especificidade 52% (Cardall, 2004) Proteína C reativa: sensibilidade e especificidade baixas.
  • 25.
    EXAMES LABORATORIAIS Leucocitose, desvioà esquerda e PCR: ੦ 2 ou mais exames alterados: maior risco; ੦ 3 critérios normais: baixo risco. Se avaliados juntamente com exame físico e história clínica, podem contribuir, mas não fazem diagnóstico definitivo!
  • 27.
  • 28.
    RADIOGRAFIA SIMPLES Raramente fazo diagnóstico. Exame rápido e disponível. Auxílio em diagnósticos diferenciais: volvo, intussuscepção, nefrolitíase. Sinais radiográficos: ੦ íleo paralítico na FID; ੦ fecálito no apêndice; ੦ borramento na região do psoas; ੦ pneumoperitônio. Nenhum dos sinais é sensível ou específico para concluir o diagnóstico.
  • 29.
  • 30.
    ULTRASSONOGRAFIA Não há exposiçãoa radiação: ੦ gestante e crianças. Sensibilidade e especificidade variam muito nos estudos.
  • 31.
    INVESTIGAÇÃO COMPLEMENTAR ULTRASSONOGRAFIA Fonte: BIRNBAUM,B. A.; WILSON, S. R. Appendicitis at the millennium. Radiology 2000;215:337-348.
  • 32.
    INVESTIGAÇÃO COMPLEMENTAR ULTRASSONOGRAFIA DEABDOME Compressão gradativa do transdutor. Apêndice normal – estrutura tubular compressível com diâmetro máximo de 5 mm. Apendicite – estrutura em fundo cego, imóvel, não compressível, com lúmen anecoico, mucosa ecogênica e parede muscular espessada e hipoecoica com diâmetro > 6 mm. Coleções líquidas, fleimão e apendicólito. Doppler colorido – aumento do fluxo sanguíneo no apêndice inflamado – “anel de fogo”.
  • 33.
    INVESTIGAÇÃO COMPLEMENTAR ULTRASSONOGRAFIA Fonte: BIRNBAUM,B. A.; WILSON, S. R. Appendicitis at the millennium. Radiology 2000;215:337-348.
  • 34.
    INVESTIGAÇÃO COMPLEMENTAR ULTRASSONOGRAFIA DEABDOME Critérios diagnósticos: ੦ diâmetro maior que 6 mm; ੦ dor à compressão; ੦ fecálito na luz; ੦ líquido peritoneal ao redor. Sensibilidade – 75 a 90%. Especificidade – 86 a 100%.
  • 35.
    INVESTIGAÇÃO COMPLEMENTAR ULTRASSONOGRAFIA COMDOPPLER Fonte: BIRNBAUM, B. A.; WILSON, S. R. Appendicitis at the millennium. Radiology 2000;215:337-348.
  • 36.
    ULTRASSONOGRAFIA DIFICULDADES Apêndice não visualizado(25 a 35% dos exames) Visualização parcial
  • 37.
  • 39.
    #IMPORTANTE INVESTIGAÇÃO COMPLEMENTAR Métodos deimagem ੦ tomografia computadorizada • sensibilidade 87 a 100% • especificidade 95 a 100% • considerado o exame de maior confiabilidade no diagnóstico de apendicite aguda • critério de Alvarado 4 a 6
  • 40.
    INVESTIGAÇÃO COMPLEMENTAR TOMOGRAFIA COMPUTADORIZADA Fonte:BIRNBAUM, B. A.; WILSON, S. R. Appendicitis at the millennium. Radiology 2000;215:337-348.
  • 41.
    TOMOGRAFIA Sensibilidade maior queo US. Especificidade semelhante ao US. Auxílio em outros diagnósticos. Desvantagens: ੦ radiação; ੦ demora (quando usado contraste oral); ੦ efeitos colaterais do contraste intravenoso quando utilizado: nefropatia ou reação alérgica. Alto custo? * Diminui internações e apendicectomias desnecessárias, diagnóstico precoce em população específica (idosos).
  • 44.
    INVESTIGAÇÃO COMPLEMENTAR The AmericanCollege of Radiology: ੦ TC é o exame mais acurado para a avaliação de pacientes sem diagnóstico clínico claro de apendicite; ੦ o uso rotineiro de CT para avaliar a apendicite mostrou diminuição dos custos totais de US$ 447 para 1,412 dólar por paciente; e diminuição da taxa de apendicectomia negativa de 42,9% para 7,1% entre mulheres com idade de 18 a 45 anos.
  • 46.
    #CAI NA PROVA ESCORESDE DIAGNÓSTICO Escore de Alvarado (1986) ੦ MANTRELS • migration of pain, anorexia, nausea or vomiting, tenderness in RLQ, rebound tenderness, elevation of temperature, leukocytosis, leftward shift ੦ interferência • acurácia afetada pelo gênero e idade • triagem ੦ pontuação < 3: risco muito baixo de apendicite ੦ pontuação ≥ 7: apendicite em 93% dos homens e 78% das mulheres
  • 47.
    ESCORE DE ALVARADO SINTOMAS Migraçãoda dor 1 Anorexia 1 Náusea e/ou vômitos 1 SINAIS Defesa de parede no quadrante inferior direito do abdome 2 Dor à palpação 1 Elevação da temperatura 1 LABORATÓRIO Leucocitose 2 Desvio à esquerda 1 TOTAL 10
  • 48.
    RESSONÂNCIA MAGNÉTICA Sem radiação. Examedemorado. Pouco disponível e de alto custo. Na gravidez: exame seguro para a gestante, mas o contraste com gadolínio ultrapassa a membrana placentária e deve ser evitado no primeiro trimestre especialmente.
  • 50.
    LAPAROSCOPIA Diagnóstica e terapêutica. Invasivocomo diagnóstico. Realizado principalmente em mulheres.
  • 52.
    “Mas, afinal, nasuspeita de apendicite, que exame de imagem eu devo pedir?” Roberta
  • 53.
    IMAGEM COLÉGIO AMERICANO DERADIOLOGIA A apendicite pode ser diagnosticada clinicamente, no entanto, a imagem aumenta a sensibilidade e especificidade de diagnóstico. Em geral, a TC é o exame de imagem mais preciso para avaliar a suspeita de apendicite e etiologias alternativas de dor abdominal no quadrante inferior direito. Em crianças, US é o exame inicial preferido, pois é quase tão preciso quanto CT para o diagnóstico de apendicite, sem exposição à radiação ionizante. Em mulheres grávidas, os dados crescentes apoiam o uso de RNM após US equívoco ou inconclusivo.
  • 54.
    DIAGNÓSTICO Considerar como diagnósticodiferencial em todo paciente com dor epigástrica, umbilical ou localizada na FID/flanco D Exames complementares: ੦ laboratoriais; ੦ de imagem.
  • 56.
    #IMPORTANTE CONDUTA - TRATAMENTOSPROPOSTOS Drenagem ੦ 1901 – Frederic Trevis – Rei Eduardo VII, filho da Rainha Victória, dias antes de sua coroação Apendicectomia ੦ tratamento padrão há mais de 100 anos, com evolução para laparoscopia, portal único e robótica Antibioticoterapia ੦ conduta não consensual, sugerida para alguns casos iniciais em pacientes hígidos
  • 57.
  • 58.
    TRATAMENTO CLÍNICO: ANTIBIOTICOTERAPIA EXCLUSIVA Condutanão consensual Possíveis alguns casos selecionados em fase inicial e paciente hígido (!?) Risco de insucesso e necessidade de cirurgia (em piores condições! Maior risco!?) 1/3 dos pacientes necessita de cirurgia Fitzmaurice et al.; Can J Surg (2011) Wilms et al.; Cochrane Database Syst Rev (2011)
  • 59.
  • 60.
    TRATAMENTO “Mesmo com apendicite,Rafael Nadal disputa Masters de 1000 de Xangai” (07.10.2014) Disponível em: http://sportv.globo.com/site/eventos/masters- 1000/noticia/2014/10/mesmo-com-apendicite-rafael-nadal-disputa- masters-de-1000-de-xangai.html.
  • 61.
    TRATAMENTO “Com apendicite, Nadalluta, vacila e cai na estreia em Xangai para López” (08.10.2014) Disponível em: http://sportv.globo.com/site/eventos/masters- 1000/noticia/2014/10/com-apendicite-nadal-luta-mas-cai-na-estreia- em-xangai-para-lopez.html.
  • 62.
    TRATAMENTO “Após cirurgia deapendicite, Nadal recebe alta e deixa hospital na Espanha” (05.11.2014) Disponível em: https://www.terra.com.br/esportes/tenis/apos- cirurgia-de-apendicite-nadal-recebe-alta-e-deixa-hospital-na- espanha,4ae491cb61089410VgnCLD200000b1bf46d0RCRD.html.
  • 63.
  • 65.
  • 66.
    TRATAMENTO Cirurgia é otratamento definitivo de apendicite aguda
  • 67.
    TRATAMENTO CIRÚRGICO ABORDAGEM NOPRONTO-SOCORRO Hidratação Antibiótico ੦ não complicada: cefoxitina ੦ outras: ceftriaxona, ciprofloxacino, associação com metronidazol, ampicilina, ... Analgesia, antiemético
  • 68.
    TRATAMENTO CIRÚRGICO Cirurgia convencional ੦custo Laparoscopia ੦ recuperação precoce (?) ੦ menor: dor e infecção de ferida operatória ੦ maior: abscesso intra-abdominal (?) ੦ melhor avaliação da cavidade abdominal ੦ preferencial: • mulheres, diagnóstico indeterminado, peritonite difusa/perfurado, obesidade, ...
  • 70.
    E AÍ, OQUE VOCÊ NÃO PODE DEIXAR DE SABER DA CAUSA MAIS IMPORTANTE DE ABDOME AGUDO: A APENDICITE AGUDA?