Prova de Slides 2º Simulado – R3 – Clínica Médica
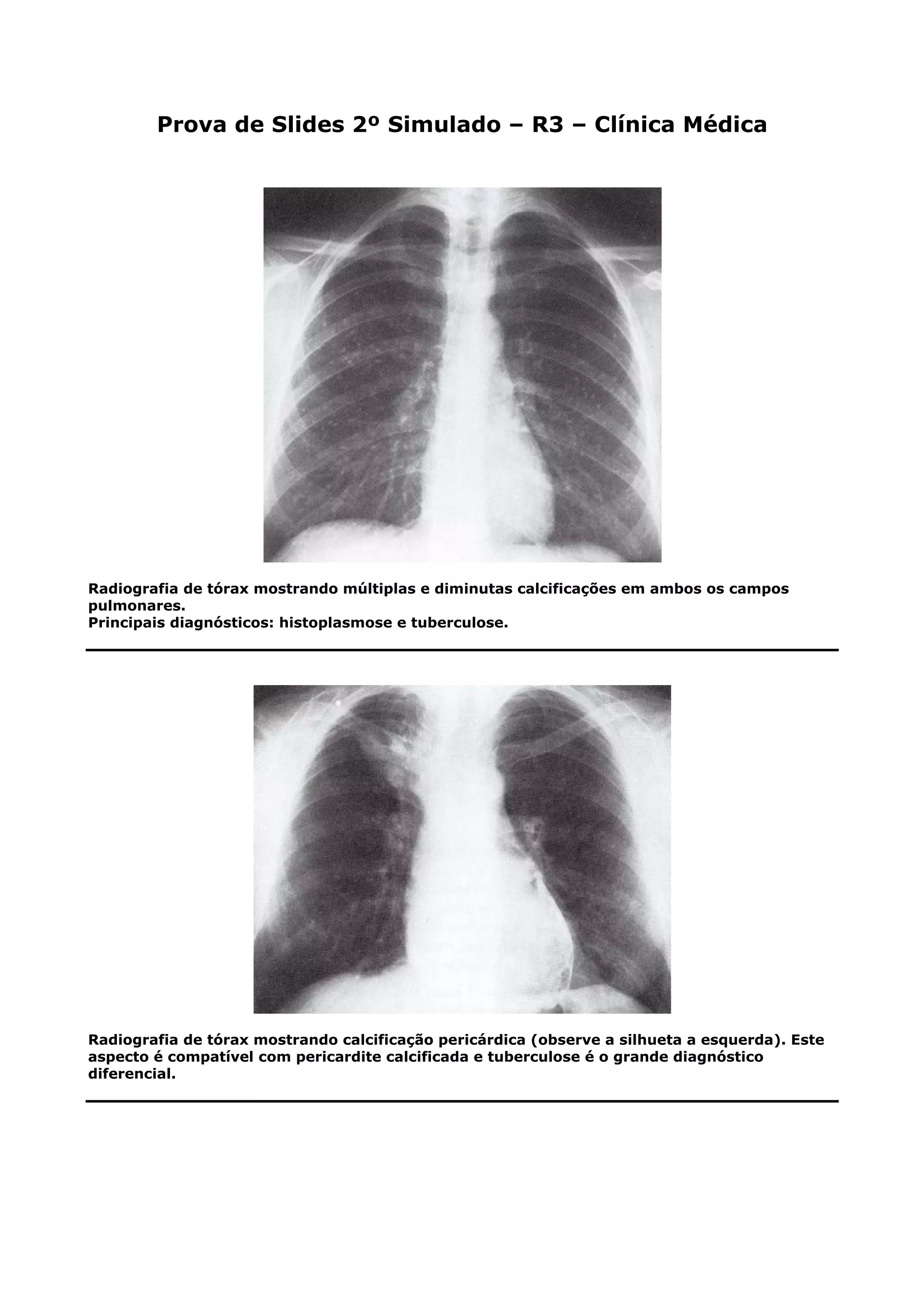
Radiografia de tórax mostrando múltiplas e diminutas calcificações em ambos os campos
pulmonares.
Principais diagnósticos: histoplasmose e tuberculose.
Radiografia de tórax mostrando calcificação pericárdica (observe a silhueta a esquerda). Este
aspecto é compatível com pericardite calcificada e tuberculose é o grande diagnóstico
diferencial.
Trânsito delgado por enteróclise, mostrando lesões de falha de enchimento do intestino
delgado. Trata-se de metástase de um melanoma.
Flutter Atrial. Cardioversão elétrica.
Manobra de Phalen invertida para pesquisas de síndrome do túnel do carpo.
Líquen plano. Corticóide tópico.
Síndrome da unha amarela e que se caracteriza pela presença de linfedema e derrame pleura
quiloso.
Trata-se de pioderma gangrenoso.
Mixedema grave em paciente com hipotireoidismo. TSH ultra sensível.
Observe as pequenas hemorragias no leito ungueal (hemorragia e estilhaço) em um paciente
com endocardite infecciosa.

Prova Cirurgia Plástica

  • 1.
    Prova de Slides2º Simulado – R3 – Clínica Médica Radiografia de tórax mostrando múltiplas e diminutas calcificações em ambos os campos pulmonares. Principais diagnósticos: histoplasmose e tuberculose. Radiografia de tórax mostrando calcificação pericárdica (observe a silhueta a esquerda). Este aspecto é compatível com pericardite calcificada e tuberculose é o grande diagnóstico diferencial.
  • 2.
    Trânsito delgado porenteróclise, mostrando lesões de falha de enchimento do intestino delgado. Trata-se de metástase de um melanoma. Flutter Atrial. Cardioversão elétrica.
  • 3.
    Manobra de Phaleninvertida para pesquisas de síndrome do túnel do carpo. Líquen plano. Corticóide tópico.
  • 4.
    Síndrome da unhaamarela e que se caracteriza pela presença de linfedema e derrame pleura quiloso. Trata-se de pioderma gangrenoso.
  • 5.
    Mixedema grave empaciente com hipotireoidismo. TSH ultra sensível. Observe as pequenas hemorragias no leito ungueal (hemorragia e estilhaço) em um paciente com endocardite infecciosa.