Técnica de Execução no
Método “Ortopédico/Funcional”
     de Tratar Fracturas
Paulo Homem




   Técnica de Execução no
Método “Ortopédico/Funcional”
      de tratar Fracturas




              2012
FICHA TÉCNICA

                                          TÍTULO
   Técnica de Execução no Método “Ortopédico/Funcional” de tratar Fracturas
                                          AUTOR
                                      Paulo Homem
                              pauloduartehomem@gmail.com
      O autor agradece todos os contributos tendentes a melhorar este modesto trabalho,
assim como se propõe a responder, dentro da sua capacidade técnica, a qualquer esclarecimento

                                          EDIÇÃO
                                      Paulo Homem
                                       Fotografias
                                      Paulo Homem
                                            ANO
                                           2012
Agradecimentos




    Ao Senhor Dr. Joaquim Rodrigues Fonseca estou muito grato por
aceitar fazer o Prefácio desta Monografia Técnica, que nasce, após vinte
anos, serôdia mas com a esperança de vir ainda a ser útil; tão repleta
de dificuldades como de prazer e espírito de missão na passagem de
conhecimentos ao longo da vida profissional adquiridos.
    Pela oportunidade, pela constante disponibilidade e generosidade
e por ter, assim, contribuído para a realização de um sonho, bem-haja
Sr. Dr. Fonseca.
INDÍCE




PREFÁCIO........................................................................................................11
        .

INTRODUÇÃO............................................................................................... 13

Capítulo I – O MÉTODO.............................................................................. 15
                     .

Capítulo II – GENERALIDADES................................................................ 19
     MATERIAIS............................................................................................ 19
        a) Material Gessado.......................................................................... 19
            Ligadura gessada. ....................................................................... 19
                                       .
            Ligadura Gessada – hidratação................................................. 20
            Ligadura Gessada – aplicação................................................... 21
            Limites. ......................................................................................... 22
                   .
            Regularização das extremidades............................................... 22
            Secagem........................................................................................ 23
            Presa no Material Gessado......................................................... 23
        b) Material Sintético......................................................................... 23
                                     .
        c) Material Termomoldável............................................................. 24
            Remoção. ...................................................................................... 25
                       .
        d) De protecção/hidratação dérmica............................................ 28
                                                                  .
        e) De protecção/almofadamento das zonas a submeter............ 28
            Manga de malha tipo jersei........................................................ 29
        f) De prevenção ao edema............................................................... 29
        g) Articulações mecânicas de eixo policêntrico............................ 30
        h) Articulações mecânicas de eixo monocêntrico........................ 31
        i) Alinhadores de articulações........................................................ 32
                                                      .
            “Chinese Finger Traps”.............................................................. 33
        m) Conformador Quadrangular da Coxa..................................... 33
Capítulo III – TRATAMENTO “ORTOPÉDICO/FUNCIONAL”
DO MEMBRO SUPERIOR........................................................................... 37
     Execução................................................................................................. 37
                .
        Posição............................................................................................... 37
                  .
     Aparelho “Ortopédico/Funcional”.................................................... 38
        Tutor Braçal....................................................................................... 38
                       .
     Aparelho ”Ortopédico/Funcional”.................................................... 40
        Braçal Articulado do Cotovelo....................................................... 40
        Tutor Antebraçal............................................................................... 41
        Tutor Antebraçal c/ Encaixe de Münster...................................... 42
        Tutor Articulado no Punho e Encaixe de Münster...................... 44

Capítulo IV – TRATAMENTO “ORTOPÉDICO/FUNCIONAL ”
DO MEMBRO INFERIOR............................................................................ 47
     “Bota Gessada Tipo Sarmiento”.......................................................... 47
     Limites proximais.................................................................................. 51
     Tutor Funcional da Perna c. Pé Plástico (Talonet).
     – Patelar Tendon Bering (P. T. B.)......................................................... 51
     Aparelho “Ortopédico/Funcional” – P.T.B..
     com Tutor Auxliar da Coxa – Articulado no Joelho. ........................ 53
                                                                               .
     Aparelho “Ortopédico/Funcional”.
     “Q.T.B. – Quadrilateral Thigh Bearing”............................................. 55
        Execução do Q.T.B............................................................................ 56
        Execução propriamente dita........................................................... 56
     Aparelho “Ortopédico/Funcional.
     Pélvi-Isquio-Podálico............................................................................ 59

Capítulo V – ALGUNS APONTAMENTOS
(Considerados relevantes)............................................................................. 63
     Articulações Mecânicas. ....................................................................... 66
                              .

Bibliografia....................................................................................................... 67

Em anexo........................................................................................................... 70
PREFÁCIO




   Pediu-me o enfermeiro Paulo Homem que comentasse um trabalho
(escrito e documentado em fotografias) sobre a técnica de execução
dos chamados Gessos Funcionais que fez – e bem – nos tempos em que
trabalhou na consulta de Ortopedia dos velhos Hospitais da Universidade
de Coimbra e depois nos Pavilhões de Ortopedia de Celas.
   O trabalho é precioso e bem ilustrado.
   E foi com mágoa e saudade que recordei autênticas obras de arte
– pois de obras de arte se tratam – muitos dos gessos moldados por
Paulo Homem.
   De facto, quando Sarmiento (USA) e Fernandez (Espanha) nos
anos 70 desenvolveram e difundiram este método de tratamento em
“oposição” à fanática expansão das montagens rígidas defendidas pela
A.O. (Association for Ostheossinthesis - Suiça), desde os anos 50, teria de
haver conflito.
   E houve.
   E a luta, que se revelou desigual, era-o de facto, porque era entre a
indústria florescente dos materiais de osteossíntese e a habilidade manual,
muito personalizada, de artistas executantes de gessos especiais a que se
convencionou chamar de funcionais.
   No conceito científico seria uma luta entre os conhecimentos
da formação de um calo ósseo BIOLÓGICO (vascular) da A.O. e o
conhecimento empírico da formação de um calo FISIOLÓGICO (quase
natural) dos gessos funcionais.
   Nessa luta estava, de um lado, a fixação rígida à partida, que daria
origem a um calo inicialmente osteocondral, depois vascular e depois
biológico, progressivamente resistente, que permitia uma marcha
12	                                                                Prefácio



precoce, sem ajudas de contenções externas de gesso ou de outros
materiais plásticos (CALO BIOLÓGICO DO SISTEMA A.O.) e, do outro,
a “crença”de que o calo ósseo se desenvolvia à custa de forças alinhadas
em pressão e em resistência, trabeculares, elásticas, unidireccionais,
reconhecidas e comprovadas como aceleradoras do calo ósseo, moldadas
em contensores externos que se estabilizavam pelas partes moles
envolventes do osso como verdadeiros encaixes (CALO FISIOLÓGICO
DO SISTEMA DOS GESSOS FUNCIONAIS).
   Ambos os sistemas são reais. Existem.
   Não são contraditórios e são comprovados com êxitos por quem os
pratica bem.
   Mas porque se fazem cada vez menos gessos funcionais?
   Estou em crer que o desuso vem apenas pela “velocidade” dos tempos
actuais em que tudo que se faz não se compadece com a demora da
sua execução.
   E – perdõem-me – talvez também, pela falta de criatividade que o
treino da modelagem dos Gessos Funcionais exige.
   Paulo Homem, com este valioso trabalho, pode estar teimosamente
fora de tempo a esgrimir uma técnica que agora tem frutos mais limitados.
   Mas com a compilação deste Livro está a dar um excelente contributo
para que muitos gestos, que a modelagem dos gessos funcionais
preconizam, não se percam. É pedagógico.
   E, quem sabe, talvez as modas voltem e os Homens (outros) nos
ensinem a imitar melhor a Natureza.


                                 Joaquim Rodrigues Fonseca
                                      Médico Ortopedista
INTRODUÇÃO




   O tratamento incruento de fracturas com imobilização
gessada convencional/clássica leva sempre o seu tempo.
                      Tendo em conta a sua acção, mais
                   ou menos prolongada, surgem sempre
                   alterações, particular­ ente na região,
                                         m
                   tanto nos tecidos moles como no osso,
                   sendo as mais frequentes:
                   •	 Rigidez articular.
                   •	 Perda de massa muscular.
                   •	 Descalcificação óssea, por vezes.
   E porque estas alterações eram (e são
ainda) tanto mais graves quanto maior o
período de impedimento aos movimentos
articulares e também a ausência da carga
nos membros inferiores, alguns Cientistas
têm-se distinguido no estudo técnico/
/cien­­ fico para encontrar um MODO
      tí­
que, sem prejudicar a estabilidade adquirida durante certo período de
imobilização gessada conven­ ional/clássica, permitisse precocemente
                                 c
movimentos articulares.
                  SARMIENTO executou um gessado da perna funda­
               mentado no encaixe das próteses dos amputados abaixo
               do joelho, com apoio, essencialmente, sobre o tendão
               rotuliano – Patelar Tendon Bearing (P.T.B.), com o fim de
               precocemente libertar o joelho. “Sendo ainda bem conhecida
               pelo inestimável contributo ao “Método Ortopédico/
               Funcional” de tratar fracturas dos ossos da perna.
14	                                                               Introdução



   Verificando-se em Coimbra, assim como duma forma geral em Portugal,
algum défice de preparação específica na área do “Tratamento Biológico”
de fracturas; – em Fevereiro de 1980, por iniciativa do Director do Serviço
de Ortotraumatologia dos Hospitais da Universidade de Coimbra,
Prof. Norberto Canha, uma equipa constituída por três médicos
especialistas em Ortopedia e Traumatologia: Adrião Proença, Brás Cardoso
e Mamede Albuquerque e um enfermeiro de gessos, na circunstância
eu próprio – todos do respectivo serviço – deslocou-se ao hospital de
LÁ FÉ – Valência – Espanha a fim de actualizar
conhecimentos técnico/científicos específicos sobre
“Tratamento Biológico de Fracturas em Gessos
Funcionais Conformados”, proporcionados pelo
Dr. F. Fernanãndez-Esteve, um dos maiores mento­
res mundiais do Método, considerado quem mais e
melhor o fundamentou e divulgou em “Tatramiento
Biológico de las Fracturas – Los Yessos Funcionales
Conformados”, na época de 1980.

   Após actualização dos ditos conhecimentos, foi organizada na
C. Ext. de Ortopedia a Unidade de Gessos Funcionais – U.G. F. – estrutura
coordenadora da sua implantação e desenvolvimento Ortopédico/
/Funcional” de tratar fracturas; tendo como principais objectivos:
   •	 “Diminuir o período de Incapacidade.
   •	 Diminuir a incidência da doença fracturária,
      por imobilização prolongada.
   •	 Diminuir a incidência da intolerância aos
      implantes metálicos.
   •	 Complementar na osteossíntese “à mínima”.
   •	 Complementar na osteossíntese instável.
   •	 Diminuir o período de hospitalização”.
Capítulo I
                             O MÉTODO




   Este MÉTODO tem especial indicação em certas fracturas dos ossos
longos, essencialmente das diáfises da tíbia e do úmero, após certo período
de estabilização em imobilização gessada convencional/clássica, cujo
objectivo principal é o de permitir a libertação precoce das articulações
submetidas à respectiva imobilização, com muitos benefícios, especial­
mente para o paciente.

  Sendo considerado:
  •	 “FISIOLÓGICO,        porque      evita   a
     intervenção cirúrgica, permite a função
     precoce, minimizando a rigidez articular e
     a atrofia muscular
  •	 CÓMODO, porque permite ao paciente
     uma vida quase normal do ponto de vista
     psicológico, higiénico e social.
  •	 ECONÓMICO, porque a taxa de inter­
     namento é muito baixa e porque reduz
     também o período de incapacidade tempo­
     rária. Acrescentamos que, por vezes, se
     observa o regresso ao trabalho, quando
     compatível, antes de completa cura.
  •	 RÁPIDO, porque a carga no membro
     inferior e as contracções musculares
     provocam estímulos osteogénicos, que
     conduzem a uma consolidação em curto
     espaço de tempo”.
16	                                                         Capítulo I – O Método



      A Técnica

     Tendo em conta a filosofia que orienta este Método, não fará
  sentido continuar a chamar de Imobilização ao modo como nesta fase
  se continuará a garantir a necessária estabilidade à fractura.
     TUTOR, segundo a sua execução e o espaço que ocupa, é a
  denominação adequada.

   Com a aplicação de mais do que um Tutor tratar-se-à, logicamente,
de Aparelho.



      Exemplos

   O tutor é executado envolvendo,
essencialmente, o segmento lesado.
(“Minibrace” – tutor antebraçal).
   Porém, na necessidade de conseguir
maior grau de estabilidade na zona,
poderá o mesmo prolongar-se a outro
segmento são contíguo, proximal e/ou distal­ ente, essencialmente de
                                           m
três formas:

      •	 Uma, por aletas do próprio tutor que se
         prolongam à porção distal do segmento são
         (braçal), em forma de “encaixe de Münster”
                    (tutor funcional do antebraço).




                  •	Outra, por aplicação de articulações mecânicas entre o
                    tutor principal (braçal) e o auxiliar (antebraçal), unindo-
                    -108/4
Capítulo I – O Método	                                               17


                   •	 os entre si. (aparelho funcional do
                      braço articulado no cotovelo)

   •	 Sendo nalguns casos, para além do tutor principal,
      necessário realizar mais do que um tutor auxiliar.
     -- um, proximal (na cintura pélvica),
     -- outro, distalmente (na perna),
     permitem interligação no tutor principal (da coxa)
     por meio de articulações mecânicas.




   •	 Ainda a nível do pé, aplicação de uma “Talonete,” também conhecida
      por pé de plástico, na verdade
      de polipropileno, fixado pelas
      suas hastes na parte distal do
      tutor da perna e ajustado ao pé
      por fita de velcro. Tendo como
      principais objectivos:
     -- Permitir só os movimentos
        de flexão e de extensão do pé.
     -- e contribuir para que o tutor não se desloque, espe­­ mente no
                                                            cial­
        sentido distal (Aparelho funcional Pelvipodálico).



   São os tutores auxiliares executados de modo menos exigente, contudo,
de forma a cumprirem eficazmente a sua função: estabilidade na região,
após colocação das respectivas articulações mecânicas.
Capítulo II
                          GENERALIDADES




   MATERIAIS

   a) Material Gessado

   Ligadura gessada
                                    É ainda este material que mais se utiliza,
                                 não só pelo seu preço, mas porque permite
                                 realizar manobras eficientes de elevada
                                 relevância na execução gessada, seja qual
                                 for o método, muito especialmente daquele
                                 que estamos a tratar.
                                    Hoje, devido aos criteriosos processos de
fabrico podemos encontrar ligaduras gessadas que satisfaçam as várias
exigências técnicas, nomeada­ ente a do tempo de chegada da tomada
                                 m
de presa – estado que poderá levar desde alguns segundos a alguns
minutos –, permitindo realizar tranquilamente algumas das manobras
gessadas durante a execução.
   Tal como a conhecemos é composta pelos seguintes elementos:
   •	 Pasta Gessada – composta por gesso (sulfato
      de cálcio semi-hidratado);
   •	 Gaze – material de suporte da pasta gessada,
      tendo no seu fabrico, preferencialmente, a
      fibra do linho em trama larga;
   •	 Tutor – elemento situado no interior da
      ligadura, destinado a manter a sua forma,
      a facilitar a hidratação e a sua aplicação;
20	                                                    Capítulo II – Generalidades



      •	 Invólucro – protecção externa de forma hermética, destinada a
         manter as características originais da ligadura gessada.

   A fim de preservar as características originais não se deve retirar o seu
invólucro com demasiada antecedência à sua utilização.




      Ligadura Gessada – hidratação
                          Para que uma ligadura gessada possa ser
                       devidamente aplicada, é indispensável que seja
                       sujeita a uma adequada hidratação e, para isso,
                       por via de regra, proceder-se-á da seguinte forma:
                          Primeiramente desenrolam-se cerca de 10 cm da
                       sua extre­ idade inicial, que será agarrada pela mão
                                m
                       esquer­ a (nos destros), enquanto o rolo é seguro
                              d
                       pela mão direita.


   A ligadura é mergulhada em água à temperatura
recomendada pelo fabricante, de preferência
obliqua­ ente, até deixar de borbulhar, a fim de
         m
facilitar a saída do ar existente no seu interior.


                           Retirada da água, e sem
                        perder de vista a extremidade
                        inicial, proceder-se-á à sua espressão retirando-lhe
                        o excesso de água, das extremidades para o centro
                        para que não seja expelida grande quantidade de
                        massa gessada.

                        A temperatura da água poderá influenciar o
                     comportamento da massa gessada, verificando-se
que quando ester acima da recomendada acelerará a tomada de presa,
enquanto na situação inversa a mesma será retardada.
Capítulo II – Generalidades 	                                               21


   Também o grau de hidratação poderá intervir no tempo e na forma
de tomada de presa, sabendo-se que quando excessivamente molhada o
seu endurecimento retardará, enquanto o inverso, por escassez de água,
poderá pôr em causa a indispensável cristalização completa e uniforme
da massa gessada.
   Na realidade, a ligadura gessada deve ser submetida a um grau de
hidratação tal que só a experiência costuma dar.



   Ligadura Gessada – aplicação

                               A ligadura gessada é, por regra, aplicada de
                            forma circular, da extremidade para o centro
                            (nos segmentos longos), de forma suave mas
                            ajustadamente, cobrindo cada volta cerca de 2/3 da
                            anterior.



                       Quando aplicadas em zonas acentuadamente
                    cónicas as mesmas tendem a afastarem-se
obliquamente, tornando-se necessário
corrigir esse desvio com a formação
de uma inversão sem, contudo, fazer
cordão.




                               As ligaduras gessadas devem ser aplicadas em
                            número e de forma uniforme em toda a região.
                               Aplicado todo o material gessado, sem perda
                            de tempo, proceder-se-á à sua perfeita moldagem
                            às formas anatómicas da região e, durante a fase
                            de tomada de presa, realizar-se-ão as manobras
                            gessadas preconizadas.
22	                                                   Capítulo II – Generalidades



   Limites
   Quando os limites exigidos não são
respeitados por excesso será incómodo
cortar os excedentes; pelo contrário
será necessário proceder ao seu
prolongamento, sendo esta “emenda”
um mau recurso, sabendo-se que
não irá produzir a mesma eficácia e
comodidade como se correctamente se
tivesse executado inicialmente



      Regularização das extremidades
                                          A regularização das extremidades
                                       é uma acção de grande importância,
                                       sendo do conhecimento as lesões
                                       provocadas nos tecidos moles por
                                       extremidades irregulares, tornando o
                                       gessado incómodo e, não raras vezes,
                                       insuportável.

   A fim de conseguir extremidades confortáveis são os materiais de
protecção/almofadamento (manga de jérsei, algodão prensado, etc.)
voltados e fixados sobre as extremidades do tutor, em forma de debrum
-bainha, com ligadura gessada.
   Extremidades mal regularizadas, ou falta disso, essencialmente pela
agressividade que provocam, levam o paciente (na tentativa de aliviar
o incó­ odo/sofrimento), a
         m
iniciar por ali a sua destruição.
Capítulo II – Generalidades 	                                           23


   Secagem
   Após a execução será necessário um período de
tempo, variável entre as 24 e 48 horas geralmente,
para que a sua secagem se verifique.

   São vários os factores que poderão intervir no
processo se secagem, tornando-o mais ou menos
longo, nomea­ amente:
              d
   •	 qualidade e características do material gessa­
      do;
   •	 grau de hidratação e temperatura da água;
   •	 ambiente.
   Sabendo-se que uma ligadura gessada excessivamente molhada,
no mínimo retardará a sua secagem; o mesmo ocorrerá se a hidratarmos
com água abaixo da temperatura recomendada pelo fabricante.
   Também são os materiais de protecção/almofadamento muito
responsáveis pelo comportamento da secagem de um gessado, havendo
os de características hidrófugas, hidrófilas, ainda outros (acrílicos) que,
embora recebam a água, libertam-na mais ou menos facilmente.

   Presa no Material Gessado
   O material gessado, quando devidamente hidratado, desenvolve
um processo reactivo caracterizado pelo aumento da sua temperatura,
durante o qual consome parte da água, sendo outra parte evaporada,
para dar lugar ao aumento progressivo do grau
de empastamento do material, até à chegada da
tomada de presa – altura para realizar as manobras
preconizadas e outras achadas por convenientes e
contempladas na técnica.


   b) Material Sintético
   Dada a sua importância, não podíamos deixar
de dar algumas referências deste tipo de material,
24	                                                     Capítulo II – Generalidades



também ele, normalmente apresentado na forma de ligaduras, cujas
características inovadoras passamos a referenciar:
   •	 Boa resistência física e química;
   •	 Baixo peso;
   •	 Grau de opacidade ao RX consoante a sua composição.
   Embora todas elas de grande importância, é, no entanto, a sua transpa­
rência aos R. X. é de notável valor no visionamento de certas fracturas já
que, por isso, não será necessário retirar o tutor para observar ao pormenor
a evolução das mesmas.

   Como nem todo o material,
devido à sua compo­ ição,   s
apresenta o mesmo grau de
transparência, é este agrupado
de forma a satisfazer o objectivo.
   •	 Poliuretano tendo suporte
      a malha de fibra de vidro:
      Resultando em materiais mais ou menos trespassáveis pelos RX;
   •	 Poliéster em suporte de malha de fibra de algodão: Resultando em
      material totalmente trespassável pelos RX;
   •	 Poliuretano em suporte de malha de polipropileno, resultando em
      material de comportamento semelhante ao anterior. (Presentes dois
      exemplos).


   c) Material Termomoldável
   Tem por base o poliéster, de superfícies antia­
derentes durante a sua manipulação, de elevada
memória plástica, permitindo os recortes e a molda­
gem.
   Apresenta-se, normalmente, na forma de placas,
perfuradas ou não, trespassável pelos R. X:
   Proporciona um suporte – tutor amovível, leve,
confor­ ável, capaz de assegurar a estabilidade de
       t
certas fracturas em estado de atraso de consolidação,
Capítulo II – Generalidades 	                                              25


                           assim como contribuir para a cura de certas lesões
                           dos tecidos moles, tornando-se aplicável quando
                           aquecido, cujas temperaturas serão diferentes
                           consoante o meio:
                           •	 Em água a cerca de 85º;
                           •	 A 90º quando em vapor de água;
                           •	 Em placa radiante ou em ar
                              aquecido até adquirir a malea­
                              bilidade ideal.




   Quando submetido a aquecimento de forma líquida,
e retirado do meio, é colocado sobre uma superfície
absorvente, a fim de lhe ser retirada a água, sendo
aplicado e moldado sobre a região, que endurecerá em alguns minutos.
   Após os ajustes e regularização das extremidades é fixado com fitas
de velcro.
   A consulta das instruções do fabricante é indispensável




   Remoção
   Nesta técnica há que ter em conta as extremidades
das articulações mecânicas introduzidas nos tutores.
   Retirar primeiramente as hastes metálicas, para
depois proceder como habitualmente.
   Executar bem é muito importante. Porém, para
retirar também não deixa de ser necessário obedecer
a princípios e a recomendações que não poderão
ser, de forma alguma, menosprezados.
   Primeiro, porque não deixou ainda de ser
frequente o aparecimento das sempre desagradáveis
lesões produzidas pelos mecanismos de corte:
   •	 Umas vezes por deficiente protecção da zona;
26	                                                 Capítulo II – Generalidades



      •	 Outras ainda pela pouca expe­
         riência dos executantes;
      •	 E ainda pela improvisação de
         materiais de corte.
   Ainda é um facto observado em
centros menos experientes e equi­
pados, felizmente com tendência a
desaparecerem.



   Muitos pacientes retêm na memória a agonia de lhe ter sido retirado
um gessado. A dor da fractura fora esquecida, mas permanece ainda na
memória o sentimento de ansiedade do acto.
                                         Mesmo alguns profissionais
                                      dos mais experientes, mas menos
                                      atentos, descoram algumas vezes os
                                      receios do paciente e, sem qualquer
                                      explicação (no mínimo, que a lâmina
                                      é apenas vibratória), apressam-se a
                                      realizar o acto, aumentando, assim,
                                      o nível de ansiedade.
   A máquina (serra de gessos) será posta em movimento antes de entrar
em contacto com o tutor.
   A sua lâmina será dirigida ao gessado na posição perpendicular.
O corte será executado por golpes sucessivos, em toda a profundidade
e extensão, sendo de evitar o contacto com os tecidos moles, exercendo,
para isso, apenas a pressão necessária para trespassar a parede gessada.
   Para os experientes é
bem perceptível quando a
lâmina corta toda a parede
gessada e fica sobre os
materiais de protecção.
   Deve ser cortado em
forma de bivalve evitando,
Capítulo II – Generalidades 	                                              27


se possível, as saliências ósseas. Esta conduta permitirá manter a
estabilidade da zona até final do acto, permitindo que uma das valvas,
normalmente a posterior, seja utilizada durante a realização de exames ou
em períodos de reabilitação. A componente económica também não deixa
de estar presente.


                                   - Ainda como material de corte deverá ser
                                utilizada a tesoura de LISTER, cuja lâmina
                                inferior possui na sua extremidade uma
                                protecção (bico de pato), impeditiva de causar
                                lesões nos tecidos moles.



   Como auxiliar no afastamento das
ditas valvas é utilizado um afasta­
dor apropriado (de extremidades
alargadas) facilitando o acesso ao
material de protecção, que será então
cortado com a dita tesoura.



                                              Só assim as valvas se separarão
                                          sem esforço e sem risco de desta­
                                          bilizar uma fractura recente.


   É importante que o material seja adequado e esteja em boas condições
de funcionamento.

   A máquina de gessos apenas faz
movi­ entos oscilatórioss, devendo
     m
estar equipada com lâmina de diâ­
me­ ro entre os 0,50 mm e os 70 mm.
   t
28	                                                   Capítulo II – Generalidades




                 Seria importante que fosse silenciosa e equipada com
              sistema de aspiração de poeiras, o que já se verifica em
              muitos serviços.




   d) De protecção/hidratação dérmica
   Na zona, é observado o estado da pele, seguindo-
-se a sua limpeza, e protecção com produtos adequa­
dos.
   Na generalidade, são aplicados compostos oleo­
sos emulsionados em água, normalmente de p. h.
neutro, de fácil aplicação – que muito aliviam o
desconforto da impossibilidade realizar os hábitos
higiénicos.


   e) De protecção/almofadamento das zonas a submeter
   São estes materiais que, directamente, vão permanecer em contacto
com a pele, protegendo-a, assim como todos os tecidos moles que sob
ela se encontram, dos inevitáveis atritos e pressões, não deixando de
contribuir para a eficiência e comodidade que tão importantes são para
o êxito.
   Devem, estes, obedecer às seguintes características:
   •	 Analérgicos;
   •	 Suaves, porosos e hidrófugos;
   •	 Resistentes – para que não se decom­ onham nem se desloquem
                                              p
      facilmente;
   •	 De baixo volume – mas que não deixem de cumprir a sua missão
      nem, tão-pouco, apaguem as saliências e/ou depressões que tão
      úteis serão para o contributo da eficiência.
Capítulo II – Generalidades 	                                           29


   Manga de malha tipo jersei
   Material, normalmente, proveniente do
algodão.
   •	 de boa adaptação, mesmo em zonas
      irregulares.
   •	 por regra bem tolerado.
   •	 de boa compacidade, estável e dura­
      doura, proporcionando uma superfície
      de protecção/almofadamento fina e
      uniforme, baseando-se o seu efeito na
      aplicação de uma ou duas mangas sobrepostas.
   Sendo, no entanto, necessário reforçar a protecção em zonas mais
desprotegidas de tecidos moles subcutâneos.

  Algodão sintético prensado a baixo volume.
                                    Material, em forma de ligadura, a apli­
                                 car sobre a manga:
                                 •	 nas extremidades de execução;
                                 •	 nas saliências ósseas;
                                 •	 em outras zonas menos ricas em
                                    tecido celular subcutâneo, reforçando
                                    a protecção dos tecidos subjacentes ao
                                    gessado.
  Este tipo de algodão (acrílico) de baixo volume oferece garantias de boa
adaptabilidade e resistência, características muito importantes devido aos
movimentos a que vai ficar sujeito.


   f) de prevenção ao edema
                          São a joelheiras e os pés
                       elás­ icos materiais utilizados
                           t
                       na prevenção aos edemas das
                       respecti­ as articulações quando
                                v
                       por realização da técnica ortopé­	
                       dica/funcional.
30	                                                   Capítulo II – Generalidades



   Atendendo à intensa actividade a que vão ficar sujeitos terão de ser
de elevada qualidade, com relevância para a sua elasticidade em todos
os sentidos.
   A sua precoce inutilização traria sérias dificuldades à função articular,
sendo impossível substitui-la sem retirar o tutor.
   As dimensões destes materiais serão de acordo com as das respectivas
regiões a proteger que, não sendo largos, devem ser a aplicados ajusta­
damente.



   Ainda, a ligadura elástica adesivada, que na falta
daqueles elementos elásticos, precariamente os poderá
substituir, destinando-se, essencialmente, a fixá-los
pelas extremidades sobre a primeira manga de jersei.




  g) Articulações mecânicas de eixo policêntrico
  Genericamente, poderá dizer-se que o
mercado responde bem, tanto em qualidade,
                          como na diver­
                            dade.
                          si­­




                               Especialmente na diversidade, os modelos
                            são vários, cada um com as suas particula­
ridades, mas todos permitem exercer movimentos de flexão e de extensão,
adaptando-se a cada momento às exigên­
cias anatomo/fisiológicas de cada arti­
culação. Por isso de eixo policêntrico.
Capítulo II – Generalidades 	                                      31


                                     Sabendo-se, por exemplo, que os
                                  movimentos de flexão ou de extensão
                                  do joelho não são executados no
                                  mesmo eixo, como acontece com os
                                  de uma vulgar dobradiça.
                                     Não acontecendo o mesmo com
a articulação do cotovelo que, apesar da sua complexidade, gira em
movimento de um só eixo.
   Porém, entre as articulações mecâ­
nicas há as equipadas com especiais
mecanismos de limitação de movimentos
articulares, tanto da extensão como da
flexão, aplicadas especial­ ente quando
                          m
por lesões ligamentares.
                                    Na maioria das situações não é
                                 necessário proceder ao controlo dos
                                 movimentos de flexão e/ou ex­ en­t
                                 são, sendo apli­ adas articulações
                                                  c




mecânicas de menor complexidade
articular que, não apresen­ ando quais­
                          t
quer reflexos negativos no seu desem­
penho, têm um preço muito inferior.




   h) Articulações mecânicas de eixo monocêntrico
                           Este é um mode­
                        lo de articulação
                        mecânica de movi­
                        mento mono­ ên­ ri­
                                      c t
                        co a aplicar sobre a
                        articulação coxo­ e­
                                         f
32	                                                   Capítulo II – Generalidades



moral para unir entre si os tutores da coxa e o da cintura pélvica, sendo a
aleta menor fixada no tutor da coxa.

                                           Porque esta articulação mecâ­
                                        nica fica sujeita a grandes esforços
                                        exercidos na zona, ela terá de
                                        possuir características físicas e
                                        mecânicas compatíveis.



  Esta pequena articulação mecâ­ ica é feita à
                                       n
semelhança das que são aplica­ as a nível do punho, em
                             d
                           tutores executados com
                           o objectivo de assegurar
                           estabilidade e desvio
                           cubital em fracturas da
                           extremidade do rádio.



      i) Alinhadores de articulações
                             São estes alinhadores instrumentos metálicos
                          destinados, como o seu nome indica, a fixar as
                          articulações mecânicas, de forma a respeitar o
                          paralelismo e a centralidade que os movimentos
                          articulares exigem.
                             Existindo vários modelos para o mesmo fim,
                          utilizar-se-á o que for compatível com o tipo de
                          articula­ ão mecânica a aplicar.
                                   ç
Capítulo II – Generalidades 	                                                33


   “Chinese Finger Traps”
                        Este pequeno artefacto é de
                     grande impor­ ância no trata­
                                    t
                     mento incruento de fracturas dos
                     ossos do antebraço:

                            •	 permite a adequada posição
                               do membro, tanto para a
                               realização dos procedimentos
                               de redução, como para facilitar
                               a execução do respectivo tutor.



                               Consoante a posição desejada assim serão os
                           dedos utilizados pelo Finger – quando para posicionar
                           em desvio cubital é utilizado no polegar; quando para
                           posição neutra é o Finger utilizado no dedo médio,
                           podendo ser utilizada qualquer outra combinação,
                           para outras tantas opções.




                       A extremidade do dedo utilizado
pelo Finger para exercer tracção terá de ser protegido.




   m) Conformador Quadrangular da Coxa
                              O Conformador Quadrangular da
                           Coxa, assim tecnicamente denominado,
                           é um aparelho constituído por uma parte
                           rígida e outra flexível.
                              É regulável no seu diâmetro, e
                           quando accionado sobre o gessado na
                           raiz da coxa transmite-lhe o seu efeito
34	                                                  Capítulo II – Generalidades



                     de “Conformação” de configu­
                     ração Quadrangular; reali­ an­
                                                 z
                     do simulta­ ea­ ente, pela parte
                                n m
                     poste­ ior, apoio isquiático,
                           r
                     tornando-se proce­ imento de
                                        d
                     notável importância para o
                     efeito de descarga parcial do
                     foco de fractura quando em
                     regi­ e de carga progressiva
                         m
                     assistida.
   Sendo somente retirado quando excluído o risco de deformação
do gessado.

     Visto deixarmos de contar com o auxílio de certas referências
  estabilizadoras aquando da Imobilização Convencional/Clássica,
  deverá o tutor ser executado com todo o rigor técnico, não prescindindo
  para o efeito das valiosas saliências e/ou depressões: côndilos,
  tubérculos, bordos, cristas, fossas; assim como as não menos preciosas
  massas musculares.
     Moldar/Modelar, etc., é importante; mas “CONFORMAR” é o
  procedimento que melhor responde à necessidade de obter maior
  grau de eficácia; efeito que muito poderá contribuir para o sucesso,
  especialmente do “MÉTODO”.



                         “CONFORMAÇÃO” – manobra de ordem
                      técnica levada a efeito sobre o tutor gessado
                      durante a sua tomada de PRESA, submetendo os
                      tecidos moles a uma forma e tensão controladas,
                      em zonas pré-estabelecidas,
                      com a finalidade de obter “com­
                      pacidade uniforme” na zona,
                      respeitando a sua integri­ ade.
                                               d
Capítulo II – Generalidades 	                                      35


  Não poderá ser confundida por
aperto dos tecidos, pois a área do gessado
não    diminuirá      consideravelmente.
Nem, tão-pouco, por simples manobra
                de estética, mas sim
                uma forma de tornar
                o aparelho solidário à
                região, obtendo-se a limitação ou mesmo neutralização
                dos movimentos nefastos.

                      É essencialmente sobre as epífises e/ou
                   nos segmentos longos formados por dois
                   ossos onde são encontrados bons argumentos
                   para realizar procedimentos de controlo aos
                   movimentos perniciosos.
                      Ainda, no membro inferior, locais de apoio
                   à descarga parcial do foco de fractura quando
                   no exercício da marcha.
Capítulo III
      TRATAMENTO “ORTOPÉDICO/FUNCIONAL”
             DO MEMBRO SUPERIOR




  Execução

  Posição
                       O paciente, sempre que possível, deve ser
                    colocado na posição de sentado, preferencialmente
                    em banco giratório e regulável em altura, amparando
                    ele mesmo o seu membro, mão no punho. Cotovelo
                    flectido a 90° e o antebraço em pronação durante
                    a execução.
                       É muito importante que o seu tronco seja
                    posicionado com inclinação para o lado lesado,
                    ficando o braço em condição pendular afastado
                    do tronco.
                       Esta é a posição que melhor garante a estabilidade
                    da fractura, assim como a que mais facilita a
                    realização das acções de
                    execução; tornando-se condi­
                    ção preferencial para outras
intervenções gessadas no segmento do braço.
38	                  Capítulo III – Tratamento “Ortopédico/Funcional” do Membro Superior



      Aparelho “Ortopédico/Funcional”


                                  Tutor Braçal




   O tutor gessado é executado, distal­ ente, a partir da zona condiliana,
                                        m
termi­ ando a nível do acrómio, respeitando o cavado axilar.
     n
   Aplicado o material dentro dos limites convencio­ ados, e com os pri­
                                                        n
meiros sinais da chegada da tomada de presa, realizar-se-ão as manobras:
                        •	 “os três pontos de apoio estabilizadores,” com o
                           objectivo de corrigir e/ou contrariar a tendência
                           ao varo; consistindo em realizar forças a três níveis
                           de forças:
                        -- Uma sobre a zona epifisária distal interna;
                        -- Outra em sentido oposto na porção diafisária
                           com incidência sobre o foco de fractura;
                        -- A terceira, no sentido da primeira, exercida
                           pela oposição da parte proximal (o ombro).



  •	 Pressionar as faces laterais do gessado
     – espalmando-as, com o propósito de
     fazer deslocar os tecidos moles para a
     frente e para trás, colocando a acção do
     tutor mais próxima do segmento ósseo,
     contribuindo também para o controlo
     dos movimentos de rotação.
Capítulo III – Tratamento “Ortopédico/Funcional” do Membro Superior 	   39


   Conformar, com as partes tenares
e polpa dos dedos, respectivamente e
em simultâneo, sobre as zonas supra-
condilianas do úmero e a fossa do olecrânio,
essencialmente, com dois objectivos:
   •	 controlar os movimentos de rotação;
   •	 e de deslocação distal do próprio
      tutor;
   •	 fixação proximal do tutor com a
      aplicação de um pouco de liga­
      dura elástica adesivada, sendo uma
      das extremidades impregnada no
      tutor quando da regularização da
      respectiva extremidade, passando a outra sobre o ombro, que
                        terminará por cima da espádua do mesmo
                        lado; contribuindo para impedir a deslocação distal
                        do tutor, assim como para reforçar a prevenção à
                        tendência ao varo nas fracturas do 1/3 proximal do
                        respectivo segmento ósseo, permitindo a necessária
                        movimentação da articulação do ombro.
                           Este procedimento só será implementado
                        após protecção da pele na zona de aderência da
                        ligadura adesivada.
                           A tintura de Benjoim, por exemplo, dá boas
                        garantias de protecção dérmica, permitindo
                        prolongada aderência da ligadura na zona.
40	                  Capítulo III – Tratamento “Ortopédico/Funcional” do Membro Superior



      Aparelho ”Ortopédico/Funcional”

                       Braçal Articulado do Cotovelo




   Está indicada a sua execução quando para
obtenção de maior grau de estabilidade na zona.
   O tutor braçal é executado, em tudo, à
semelhança do anterior; realizando-se poste­
riormente o tutor auxi­ iar sobre o segmento
                        l
do antebraço, mantendo-o posi­ ionado em
                                    c
pronosupinação de 0º, e que não perturbe a
função das articulações adjacentes.

      Agora estão reunidas as condições para a
aplicação do par de articulações mecânicas
(adquiridas     já   alinhadas       do     necessário
paralelismo), “devendo o seu eixo ser orientado com a linha que une
a tróclea ao côndilo, permitindo plena extensão; sendo a flexão de,
aproximadamente, 115 0º”.
Capítulo III – Tratamento “Ortopédico/Funcional” do Membro Superior 	          41


                                             As articulações mecânicas do coto­
                                          velo têm a particularidade de serem
                                          adquiridas já posicionadas e fixadas
                                          a 90º por um freio metálico, que só
                                          será retirado quando orientadas com
                                          o eixo fisiológico, alinha­­
                                                                     das do seu
                                          paralelismo e fixadas as suas hastes aos
                                          respectivos tutores.
                                    Retirado o dito freio, é reco­ ocado o
                                                                     l
                                 parafuso, cuja fun­ ão principal é a de fixar
                                                    ç
                                 os parafusos que
                                 controlarão o desli­
                                 zamento mecânico,
                                 que deverá ser leve.




                                   Tutor Antebraçal




                       A posição de execução envolvendo, essencialmente,
                    o segmento Antebraçal continuará, preferencialmente, a
                    ser com o paciente sentado, sendo o membro, em plena
                    supinação, suspenso pelos dedos através do “Chinese
                    Finger Traps”com o cotovelo a 90’, com moderada contra
                    tracção, nesta etapa, de cerca de 1kg.
42	                Capítulo III – Tratamento “Ortopédico/Funcional” do Membro Superior




   O material de execução é aplicado
desde o punho, deixando-o livre,
até junto da flexura da articulação
do cotovelo, permitindo os normais
movimentos destas articulações.



                           Seguidamente é realizada conformação: pela
                        face posterior, sobre a membrana interóssea
                        rádiocubital com tensão máxima; anteriormente
                        apenas de forma insinuada. São estas as
                        manobras que controlam os movimentos de
                        pronosupinação, e mantêm o
                        afastamento e o paralelismo dos
                        respectivos ossos.


                Tutor Antebraçal c/ Encaixe de Münster




   Mas em situação de exigência de estabelecer maior
grau de estabilidade é executado o tutor com encaixe
de MÜNSTER que, iniciado como o anterior, termina
em forma de aletas sobre as zonas supracondilianas do
úmero.
Capítulo III – Tratamento “Ortopédico/Funcional” do Membro Superior 	       43


                                Técnica desenvolvida na Universidade de
                             MÜNSTER, afim de assegurar a implantação da
                             prótese nos amputados do antebraço.
                                A posição do membro é a mesma da situa­
                             ção anterior, sendo a aplicação do material de
                             execução, como referido, iniciada no punho,
                             deixando-o livre, até ao 1/3 distal do braço.
                                Da mesma forma, é exercida conformação
                             sobre a linha interóssea do segmento.



   Seguindo-se o mesmo procedimento
sobre as zonas supracondilianas do
úmero, exercidas com as eminências
tenares, controlando os movimentos
de prono-supinação; realizando em
simultâneo, com os dedos indicadores,
médios e anelares uma depressão sobre
a fosseta do olecrâneo, com objectivo de
limitar a extensão e impedir que o tutor
se desloque no sentido distal.


                               Segue-se a marcação e recortes das extremidades.




                              As mobilidades permi­
                           tidas situam-se entre os 115º
                           de flexão, com limitação
                           da extensão dos últimos
                           20/30º.
44	              Capítulo III – Tratamento “Ortopédico/Funcional” do Membro Superior



           Tutor Articulado no Punho e Encaixe de Münster




                         Também as fracturas de loca­ ização nas
                                                          l
                     extremidades do rádio poderão usufruir dos bene­
                     fícios do método “Ortopé­ ico/Funcional” sendo,
                                               d
                     igual­ ente, atenuados os prejuízos causados por
                           m
                     imobi­ ização prolongada.
                            l

                        Conhecendo-se o mecanismo utilizado para a
                     obtenção da redução deste tipo de fractura, assim
                     como mantê-la, é fundamental a posição.


   O membro é suspenso pelo dedo polegar através
do “Chinese Finger Traps”, flectido a 90º, em
supinação, com tracção de cerca de 1Kg afim de
assegurar a manutenção da redução.




                     Suspenso pelo polegar, desde logo é imposto
                  um grau razoável de desvio cubital, sendo este
                  aumentado para 45º durante a execução do tutor,
                  assim como flexão do carpo de cerca 40º.
Capítulo III – Tratamento “Ortopédico/Funcional” do Membro Superior 	        45


   Mas também este será, na extremidade
proximal, executado em forma de encaixe de
“Münster”, tal como o exemplo anterior, e com os
mesmos objectivos.




                        Enquanto na extremidade distal do antebraço se
                     apresenta: pela face posterior com prolongamento até
                     sobre a zona metacarpiana, impedindo o movimento
                     de dorsiflexão.
                        Anteriormente de forma
                     a permitir flexão do punho
                     (posicionado     em    desvio
                     cubital).
                        Exercida a conformação
sobre a linha interóssea radiocubital.




                            Após processadas as devidas regularizações,
                         procede-se à colocação da articulação acrílica
                         mecânica, de eixo monocêntrico centrado sobre a
                         apófise estilóide do cúbito, sendo a haste fixada sobre
                         o tutor.
46	               Capítulo III – Tratamento “Ortopédico/Funcional” do Membro Superior



   A fita de velcro circula a zona meta­ árpica,
                                       c
assegurando desvio cubital de cerca 40º.
Capítulo IV
   TRATAMENTO “ORTOPÉDICO/FUNCIONAL ”
          DO MEMBRO INFERIOR




                “Bota Gessada Tipo Sarmiento”




O fundamento é referido em introdução à técnica.



                     “O apoio no tendão
                  rotuliano e o efeito
                  hidráulico”de então,
                  fazem hoje parte de
                  um con­unto de proce­
                          j
                  dimentos de ordem
                  técnica executados à volta do joelho e não só, ade­
                  qua­ os, essencialmente:
                      d
48	   Capítulo IV – Tratamento “Ortopédico/Funcional” do Membro Inferior



        •	 ao controle dos movimentos de rotação;
        •	 ao impedimento da deslocação do próprio tutor;
        •	 a atenuar os impactos mais violentos da marcha;
        •	 e até limitar, dentro de certos parâmetros,
           (necessariamente) o movimento de flexão do
           joelho.

          Procedimentos que têm
        como finalidade contribuírem
        para a estabili­ ade na zona.
                       d




         É este gessado introduzido no método
      “ORTOPÉDICO/FUNCIONAL”, normalmente, por
      fractura do terço distal da tíbia, quando submetida
      a tratamento com imobilização cruropodálica
      que, depois de certo período de estabilidade, é
      precocemente libertada a articulação do joelho.
      Tornando-se, ao manter a articulação da tibiotársica
      imobilizada, numa combinação
      dos dois métodos: – convencional
      e funcional, devendo considerar-
      se este procedimento como uma
      primeira fase do tratamento
      “ortopédico/funcional”.
Capítulo IV – Tratamento “Ortopédico/Funcional” do Membro Inferior 	        49


   A posição do paciente é em decúbito dorsal
com a perna pendente, sendo a do executante
sentado em banco baixo de forma a ficar de frente
para o segmento em causa, com a porção anterior
do pé levemente apoiada sobre um dos joelhos
do executante.
   •	 posição que melhor relaxamento muscular
      proporciona;
   •	 que melhor protege a estabilidade adquirida;
   •	 e que mais facilita a execução e as manobras
      sequentes.

  Após procedimentos de protecção/almofadamento, será prioritário
que se proteja o foco de fractura com a aplicação de algumas voltas de
material gessado, para depois ser completado o respectivo tutor:



   No pé, pela face plantar, desde as extremidades
dos dedos, deixando-os livres pela face dorsal.
   Molda-se bem o cavado plantar e pressiona-
-se, digital e em simultâneo, sobre 1/3 médio
dos 2º, 3ºe 4ºmetatarsos, com a finalidade de bem
espalmar a zona, criando, assim, carga simulada.




                                          Modelar bem o gessado sobre região
                                      maleolar, assim como o tendão de
                                      Aquiles de forma a proteger a sua normal
                                      proeminência, sendo notório o efeito da
                                      falta desse procedimento.
50	                 Capítulo IV – Tratamento “Ortopédico/Funcional” do Membro Inferior




   De seguida, é dada continuidade á aplicação do
material gessado até ao nível da grande tuberosidade
anterior da tíbia, seguindo-se a realização dos três
pontos de apoio estabilizadores, contrariando a
tendência ao valgo.




                      Conformar sobre a membrana interóssea tíbio –
                   peronial, contribuindo para o controlo dos movimentos
                   rotação, assegurar o paralelismo dos respectivos ossos,
                   e prevenir a deslocação do próprio tutor.




   Realizar conformação sobre a raiz dos
gémeos de controlo aos movimentos de
rotação e contri­ uição no controlo da
                 b
deslocação do tutor.




                      Para logo colocar o membro em plena extensão e
                   aplicar material gessado até ao 1/5 distal da coxa.
                      Realizar conformação simultânea sobre o tendão
                   rotu­ iano e a raiz dos gémeos. Idem, idem, mais
                        l
                   contributo para controlar a carga exercida sobre o foco
                   de fractura.
                      Continuar com a realização das manobras de
                   conformação sobre as zonas supracondilianas do
fémur e realçar sobre tendão rotuliano.
   Procedimentos de controlo aos movimentos de rotação e de descarga
ao segmento da perna.
Capítulo IV – Tratamento “Ortopédico/Funcional” do Membro Inferior 	     51


   Limites proximais
                                     Pelas faces antero-
                                 -laterais, tendo como
                                 refe­ ência
                                      r        o   pólo
                                 superior da rótula;
                                 pela face posterior,
                                 em linha com a porção
                                 mediana do tendão
rotuliano, permitindo, depois de retirado o retalho,
flexão até cerca de 90” e extensão completa.
   Procede-se ao reforço do gessado na zona plantar e
aplica-se rasto de marcha.
   É de considerar a libertação do joelho como sendo a primeira fase do
tratamento funcional deste segmento.


              Tutor Funcional da Perna c. Pé Plástico (Talonet)
                     – Patelar Tendon Bering (P. T. B.)




                          Designação convencional dada ao tutor funcional da
                       perna de encaixe no joelho com apoio, essencialmente,
                       sobre o tendão rotuliano.
52	                   Capítulo IV – Tratamento “Ortopédico/Funcional” do Membro Inferior



   Executado, normalmente, por substituição de imobilização gessada
clássica cruropodálica, permitindo libertar as articulações do joelho e da
tibiotársica, precocemente.
   A posição do paciente, assim como a do executante são em tudo
semelhantes ao caso anterior.

      A preparação prévia da execução do tutor consiste:
                    •	aplicação da manga, de forma
                      a ultrapassar os limites pré –
                      estabelecidos;

                    •	aplicação de pé elástico, preventivo
                      ao edema da zona, fixado nas suas
                      extremidades à respectiva manga, com três quartos
                      de volta de ligadura elástica adesivada;

      •	 aplicação de uma segunda manga, sobre a qual
         é reforçada a protecção com algodão acrílico, nas
         zonas mais susceptíveis de sofrerem danos de
         pressão ou aquando da retirada do respectivo
         tutor:
        -- zonas maleolares,
        -- da crista da tíbia,
        -- 1/3 proximal da tíbia e do joelho,



                         O tutor funcional é iniciado com a aplicação
                      do material gessado desde as zonas maleolares,
                      progredindo, a primeira fase, até ao bordo superior
                      da grande tuberosidade anterior da tíbia.
                         Os procedimentos seguintes são executados
                      tal como no caso anterior. (“Bota de Sarmiento”).
                      Exceptuando a nível do pé.
Capítulo IV – Tratamento “Ortopédico/Funcional” do Membro Inferior 	       53


   Procede-se à colocação da
“talonette,” mais conhecida por
“pé de plástico”; que depois de
ajustado ao pé por fita de velcro
é posicionado em valgo, (posição
adequada ao exercício da marcha)
levada a efeito pela pressão com
zona tenar sobre o seu bordo
inferior externo, e nessa posição são fixadas as hastes ao tutor com voltas
de ligadura gessada de modo a guardar a distância de cerca de 5 mm entre
o seu bordo posterior e o calcâneo, entrepondo a polpa do dedo indicador.




                      Quando verificado atraso de consolidação poderá
                   optar-se pela aplicação de Ortoteses em “polyform”,
                   permitindo que se retire para realizar cuidados higiénicos.




                Aparelho “Ortopédico/Funcional” – P.T.B.
             com Tutor Auxiliar da Coxa – Articulado no Joelho
54	                 Capítulo IV – Tratamento “Ortopédico/Funcional” do Membro Inferior



   Este tutor auxiliar da coxa é executado quando por fractura da diáfise
tibial menos estável e/ou por necessi­ ade de aumentar na zona o grau de
                                      d
estabilidade, após ser retirada a Imobilização Convencionada/Clássica.

                                       Depois de colocada a primeira
                                   manga em todo o membro, para além
                                   da aplicação do pé elástico, da forma
                                   anterior, também no joelho é colocada
                                   joelheira, com o mesmo objectivo,
                                   e fixada pelo mesmo processo.




   Colocada segunda manga e reforçada a protecção
em zonas mais susceptíveis de sofrerem danos de
pressão, é o tutor P.T.B. executado tal o anterior, sendo
o da coxa, essencialmente destinado a assegurar
a necessária estabilidade por aplicação de um par
de articulações mecânicas policêntricas, unindo-as
entre si.



                        Para a sua aplicação é necessário que,
                     previamente, elas sejam montadas num ade­ uadoq
                     alinhador, com a finalidade de garantir o exigido
                     paralelismo, cujo centro fisiológico é encontrado
                     sobre o tubérculo da inserção dos adutores, fazendo
                     com ele coincidir o eixo policêntrico da articulação
                     mecânica.
                        Os cuidados a ter serão idênticos aos do caso
                     anterior, acrescidos peran­ e a colocação do par de
                                               t
                     articulações mecânicas policêntricas no joelho.
                        O seu funcionamento já foi observado.
  Atendendo que as mesmas, originalmente, se apresentam rectilíneas;
para que o paralelismo e a adaptação sejam correctas é imperioso que se
Capítulo IV – Tratamento “Ortopédico/Funcional” do Membro Inferior 	   55


proceda a um desvio da haste inferior de acordo com a forma
anatómica da zona, como na imagem se observa.

  Pelas mesmas razões do caso anterior também esta ortoteses
poderá ser utilizada,




                      Aparelho “Ortopédico/Funcional”
                    “Q.T.B. – Quadrilateral Thigh Bearing”.




                                  Com o paciente em
                               decúbito dorsal.
                                  Retirar Imo­ i­ i­ a­
                                                blz
                               ção    Conven­ ional/
                                             c
                               /Clássica
   Cruropodálica, Ísquiopodálica e, por vezes, Pelvi­
cruropodálica.
56	                  Capítulo IV – Tratamento “Ortopédico/Funcional” do Membro Inferior



      Execução do Q.T.B.
                                                  Com a colaboração de
                                               dois auxiliares é assegurada a
                                               manutenção da estabilidade
                                               adquirida, assim como e
                                               o alinhamento original do
                                               segmento ósseo.




   A preparação do membro consiste em aplicar uma primeira manga tipo
jersei desde a extremidade do pé até à raiz coxa, onde se deve reservar
mais um pouco para que não falte nos acabamentos das extremidades.

                                 Para prevenir o edema é colocada uma
                              joelheira e um pé elástico, respectivamente
                              sobre a articulação do
                              joelho e do tornozelo,
                              fixados à manga tal como
                              nos exemplos anteriores.
   Colocada a segunda manga, sobre a qual é reforçada
a protecção/almofadamento das zonas mais sensíveis:
– todas as zonas limites dos respectivos tutores, para
que se realizem extremidades confortáveis: epífises
e crista da tíbia, zonas supracondilianas do fémur, e
raiz da coxa, especialmente pela face posterior quando
realizada, em simultâneo, “Conformação Quadrangular da Coxa”e apoio
isquiático, onde o almofadamento deve ser bem generoso.




   Execução propriamente dita
   Com o membro em plena extensão, é iniciada a aplicação do material
gessado a partir da zona supra-maleolar, não tendo qualquer interrupção
até à raiz da coxa.
Capítulo IV – Tratamento “Ortopédico/Funcional” do Membro Inferior 	           57


                                     No segmento da perna são
                                 executados todos os procedimentos
                                 tal como os foram no P.T.B.: –
                                 csonformação sobre a membrana
                                 interóssea tíbio/peronial, sobre a
                                 raiz dos gémeos em simultâneo
                                 com o tendão rotuliano, sobre as
                                 zonas supracondilianas do fémur,
prosseguindo com o achatamento das faces interna e externa.



   Na raiz da coxa
realizada “Conformação
Quadrangular, com a
aplicação de Confor­
mador apropriado, só retirado quando
não existir risco de deformação da
configuração quadrangular.
   Convém aqui recordar que tam­
bém este procedimento é funda­
mentado no encaixe da prótese dos amputados do membro inferior.

   Quando verificado que o material já atingiu certa dureza procede-se à
                                     marcação dos imites, assim como os
                                     retalhos a retirar que vão permitir
                                     a aplicação do par de articulações
                                     mecânicas de eixo policêntrico, sem
                                     que os tutores percam o contacto
                                     entre si.

                                                      A nível do joelho, o
                                                   sombreado lateral externo, que
                                                   também existe internamente
                                                   limitam as áreas dos retalhos
                                                   gessados a retirar, para ali
58	                 Capítulo IV – Tratamento “Ortopédico/Funcional” do Membro Inferior



encontrar (tubérculo de inserção dos adutores) o local que permite orientar
a aplicação do par de articulações mecânicas policêntricas.



   Após verificar que as hastes
das articulações estão solidamente
fixadas aos tutores, é desmontado o
alinhador.




                      Recolocados os parafusos de afinação e reti­ ados
                                                                   r
                   os retalhos anterior e posterior, dando liberdade aos
                   movimentos articulares permi­ idos.
                                                 t
                      Realizadas todas as extremidades dos respectivos
                   tutores e colocado o pé de plástico, são ensaiados os
                   movimentos permitidos.
                      Os ensinamentos sobre o exercí­
                   cio da carga já são conhecidos,
                   assim como os de manutenção.
Capítulo IV – Tratamento “Ortopédico/Funcional” do Membro Inferior 	               59


                        Aparelho “Ortopédico/Funcional
                             Pélvi-Isquio-Podálico




  Posição de execução em
decúbito dorsal, em mesa orto­
pédica, com sustentação sob a
zona do joelho.



                                                          A técnica de execução
                                                       consiste, na pri­ eira fase, em
                                                                        m
                                                       realizar funcional ísquio­ o­
                                                                                   p
                                                       dálico, tal o exemplo anterior.

                                            Também, à semelhança
                                         dos procedi­ entos exercidos
                                                    m
nas fracturas do úme­ o para corrigir e/ou prevenir a acção muscular
                    r
em varo.
60	                Capítulo IV – Tratamento “Ortopédico/Funcional” do Membro Inferior



   Nas fracturas do fémur, e pelas mesmas razões é praticado sobre o
tutor da coxa a acção dos Três Pontos de Apoio Estabilizadores. Manobra
praticada sobre o gessado, consistindo em exercer, da mesma forma, três
níveis de forças:
   •	 uma, distalmente, sobre a zona supracondiliana interna do fémur;
   •	 outra na face externa sobre o foco de fractura;
   •	 a terceira, na extremidade proximal, no sentido da primeira, pelo
      auxílio de uma outra pessoa ou por força de oposição exercida pela
      a articulação da anca.

   Mas, atendendo
à acção, em varo,
das fortes massas
musculares da zona,
para facilitar a acção
de correcção e/ou
prevenção a exercer
manualmente, é o
membro posicionado em abdução, podendo atingir cerca de 20º nas
fracturas do terço proximal do fémur.



                                        Exercida “Conformação” Mecâ­
                                     nica Qua­ rangular do Tutor sobre
                                                d
                                     a raiz da coxa
                                     em simultâneo
                                     com a reali­
                                     zação do apoio
                                     isquiá­ ico,
                                              t
manobra importante na descarga de exageradas
forças de pressão durante o início do exercício da
marcha.
   Observe-se, para além de estar vizível o efeito
de descarga do membro por apoio da zona do
isquiático sobre o bordo posterior proximal do tutor
Capítulo IV – Tratamento “Ortopédico/Funcional” do Membro Inferior 	             61


da coxa; a configuração prismática quadrangular de execução do mesmo,
exceptuando a sua face anterior que permanecerá arredondado.

                                                    São espalmadas as faces late­
                                                 rais, sendo essencial realizar efi­
                                                 ciente conformação manual sobre
                                                 as zonas supracondilianas femo­
                                                 rais, afim de controlar os movi­
                                                 mentos de rotação; movimentos
                                                 demasiadamente prejudiciais à
                                                 manutenção da estabilidade.

   Anula-se o posicionamento em abdução e segue-se a execução do
componente íliaco, envolvendo a cintura pélvica, tendo como limites
inferiores: posteriormente a inclusão da região sagrada, sendo pela face
anterior de forma a deixar as articulações coxofemorais livres. O limite
superior situa-se em linha transversal com a terceira costela asternal.

   A sua “conformação” é realizada sobre
os bordos superiores dos íliacos com o
auxílio de uma ligadura de pano com cerca
de metro e meio, colocada de trás para a
frente, cujas extremidades se cruzam sobre
a região púbica.




                        É agora a articulação mecânica fixada aos tutores
                     contíguos, unindo-os entre si, cujo eixo é colocado a cerca
                     de 5mm acima da linha com o bordo Antero/superior do
                     grande trocânter, sendo forma eficaz para tornar a região
                     solidária com o membro, impedindo-o dos movimentos
                     de rotação, e de deslocação distal do aparelho.
62	              Capítulo IV – Tratamento “Ortopédico/Funcional” do Membro Inferior



   Atendendo aos esforços a que esta articulação é submetida terá
características físicas compatíveis




   Obviamente que só permite movimentos de flexão e de extensão
da coxa.
Capítulo V
                ALGUNS APONTAMENTOS
                  (Considerados relevantes)




    “As contracções musculares e a carga provocam estímulos
 osteogénicos, que favorecem uma consolidação mais rápida”.




    Quando um membro é lesado, essencialmente
por fractura óssea, há que, no menor espaço
de tempo possível, criar condições para
progressivamente reiniciar a sua actividade
fisiológica, estabilizando-a pelos melhores
métodos ao alcance.



   A ausência dos movimentos musculares,
articula­ es, e a marcha no membro inferior, é
        r
                     condição que rapidamente leva à degradação tanto
                     dos tecidos moles como do osso, particularmente
                     na região.
                        Com o Método “Ortopédico/Funcional,”que
                     permite precocemente o exercício de contracções
                     musculares, duma forma geral, e a carga no membro
                     inferior, em especial, que para isso está adaptado,
                     para além de “favorecerem uma consolidação
                     mais rápida”, mantêm e/ou recuperam as massas
                     musculares e os movimentos articulares durante a
                     maior parte do período de tratamento.
64	                                          Capítulo V – Alguns Apontamentos



   A carga a exercer inicialmente é avaliada, ensi­
nada, treinada, e exercida de forma progressi­
va, consistindo em o paciente, apoiado em
canadianas, colocar o pé do membro são sobre
uma superfície paralelamente colocada ao mesmo
nível da balança, para de seguida nela colocar o
pé do membro lesado.
   O paciente fará accionar a balança até atingir
a carga que lhe foi aconselhada, e para obter a
sensação de exercer essa carga repetirá o proce­
dimento as vezes suficientes para dela ter noção.
                           Várias razões poderão determinar a manutenção,
                       a diminuição ou o aumento do valor da carga
                       estipulada, mas é o grau de sensação da dor uma
                       valiosa indicação.
                           A marcha de início deve ser pautada por passos
                       curtos e simétricos, alargados progressivamente
                       tendo em conta a desenvoltura adquirida.
                          Assim será mais fácil controlar o exercício da
                       carga, assim como corrigir eventuais assimetrias
                       da marcha.
                          Para além da utilização das canadianas, existem
                       na técnica de execução vários procedimentos que
                       poderão contribuir para subtrair parte substancial
                       da carga exercida sobre o foco de fractura.



   Nas fracturas da diáfise tibial, é no 1/5º proximal
que pela sua maior dimensão, configuração cónica e de
base menor inferior, se encontram boas condições de
descarga, muito especialmente na face interna, quando
em regime de carga progressiva assistida.
Capítulo V – Alguns Apontamentos 	                                       65




                    Exemplo verificado no tutor de descarga por fractura do
                 calcâneo.




   A acção daquele apoio poderá
ser reforçada em circunstâncias do
gessado, articulado ou não no joelho,
atingir a raiz da coxa e sobre ela ser
exercida conformação quadrangular
e simultaneamente apoio isquiático.




                             É este apoio que também concorre para a
                          diminuição da pressão de carga exercida sobre
                          lesões esqueléticas situadas a qualquer nível do
                          membro, mas é essencialmente no segmento
                          femoral onde o efeito é mais notório.



                             Todo o utente que não seguir as instruções que
                          lhe são, de preferência, transmitidas por escrito,
                          corre o risco de concorrer para o insucesso do
                          tratamento.
66	                                           Capítulo V – Alguns Apontamentos



   Articulações Mecânicas
   São os tutores ligados entre si por
articulações:
   •	 Umas têm por função condicionar
      os movi­ entos articulares dentro
               m
      das amplitudes, tecnicamente,
      per­ i­ idas. Possuindo me­ a­ is­
          mt                      c n
      mo adequado.
   •	 Outras permitem movimentos
      livres de extensão e de flexão
      dentro da fisiologia humana.

   Umas e outras necessitam de obser­
vação funcional assídua. Ora com
reafinação do seu mecanismo, leve mas
ajustado; ora uma gota de lubrificante.
   Poderão elas contribuir em elevado grau tanto para o sucesso como
para insucesso.
   Daí a grande importância do seu funcionamento.

      A nível do pé
      •	 Descalçar a sapatilha;
      •	 Abrir a fita de velcro;
      •	 Afastar a”Talonette” do contacto com o pé;
      •	 Limpar/secar qualquer humidade existente;
      •	 Colocar palmilha, preferencialmente de
         cortiça, entre a “Talonette”e o pé, devendo
         ser substituída sempre que se apresente com
         humidade;
      •	 Calçar sapatilha adequada às dimensões
         actuais.
Bibliografia




Albuquerque, M.; Bacalhau, J.; Cardoso, B.; Seiça, T.; Canha, N. e Homem,
   P. (1983) – “Tratamento Biológico das Fracturas da Diáfise do Úmero”,
   Rev. Ortopedia y Traumatologia, Vol. 9P - IB-F. 1º, Junho.
Albuquerque, M.; Cardoso, B.; Bacalhau, J. e Homem, P. (1984) –
   “Pelvipodálico Art. no Tratamento de Fracturas Proximais da Diáfise
   Femoral”, Rev. Ortopedia y Traumatologia, Vol. 10p - Ib-2º fasc.
Bacalhau, J.; Albuquerque, M.; Cardoso, B.; Figo, G.; Canha, N. e Homem,
   P. (1985) – “Tratamento Biológico das Fract. Dos Ossos do Antebraço”,
   Rev. Ortopedia y Traumatologia, Vol. 11p-Ib - Fasc. 1º, Junho.
Fernández Esteve, F. (1980) – Tratamiento de Las Fracturas – Los Yessos
   Funcionales Conformados.
Proença, A.; Homem, P. e Judas, F. (1988) – Técnica de Execução – Imobilizações
   Funcionais – Curso – Gravação Audiovisual, H.U.C. – Serv. Ortopedia
   e Traumatologia.
Proença, A.; Loureiro, J.; Vilhena, H. e Homem, P. (1988) – Método
   “Ortopédico/Funcional”.
Se estes apontamentos não tiverem o interesse que lhe atribuímos,
será o registo – diferente – de um período, na área da Traumatologia
(Unidade de Gessos Funcionais) dos Hospitais da Universidade de
Coimbra, em que os intervenientes desempenharam a sua actividade
com grande empenho e entusiasmo.
   É com regozijo que recordamos este período.
   Mas com grande tristeza recordamos a perda tão prematura de um
dos elementos da EQUIPA – Prof. Dr. ADRIÃO PROENÇA.
Em anexo




   Não tendo sido possível dar a estes apontamentos a componente
Científica, não obstante a iniciativa tomada, assim, consideramos ser
de interesse, aqui, divulgar uma pequena parte do que então foi dado
a conhecer em Portugal e no Estrangeiro sobre o “Método Ortopédico/
/Funcional de tratar fracturas no Serviço de Ortotraumatologia (U.G.F.)
dos Hospitais da Universidade de Coimbra.
Anexo I
Revista de Ortopedia y Traumatologia – vol. 9P – IB - fasc. 1º - Junho de 1983
72	   Anexos
Anexo I	   73
74	   Anexos
Anexo I	   75
76	   Anexos
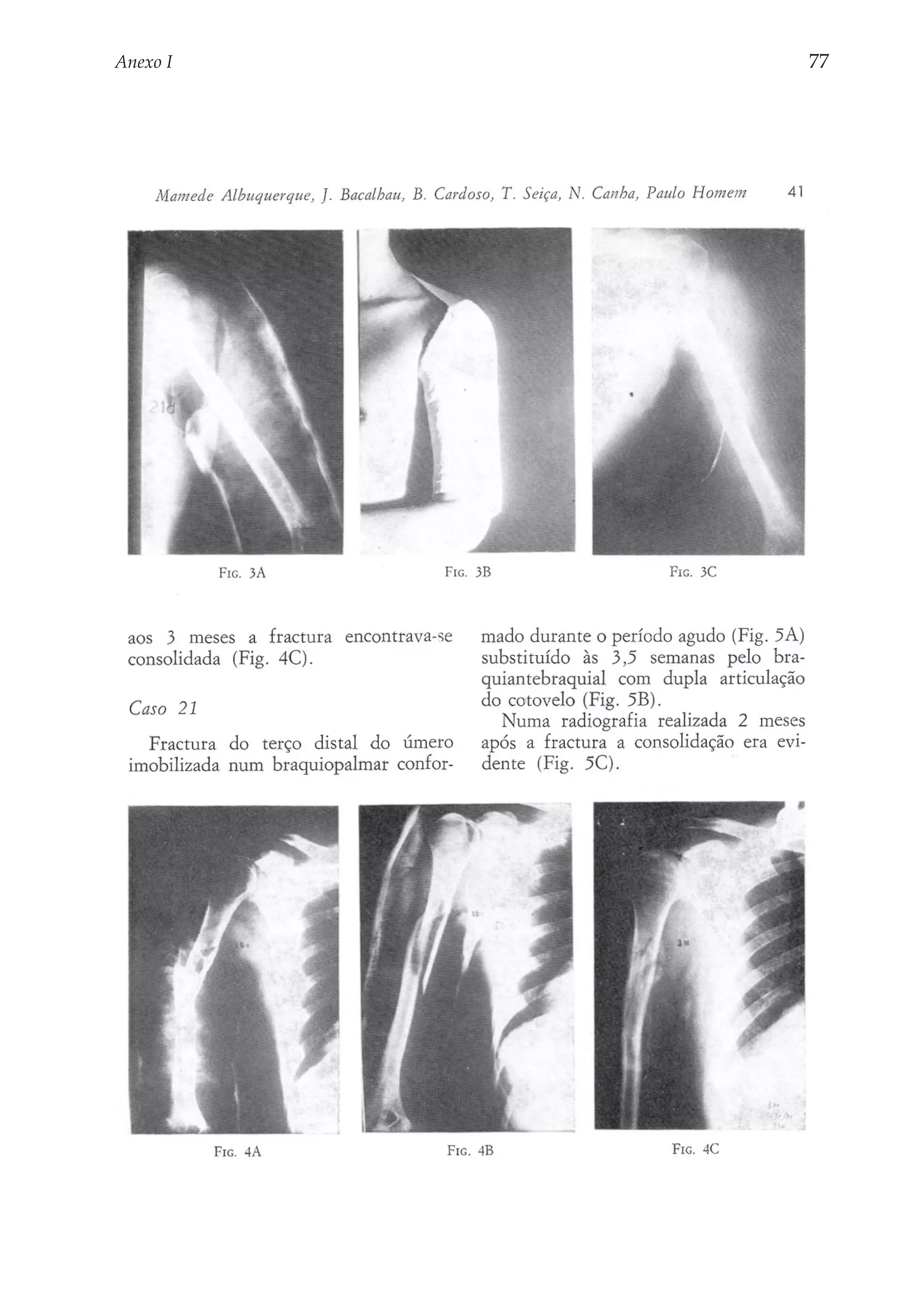
Anexo I	   77
78	   Anexos
Anexo I	   79
80	   Anexos
Anexo I	   81
Anexo II
Revista de Ortopedia y Traumatologia – vol. 10P – IB – Fasc. 2º - Dezembro de 1984
84	   Anexos
Anexo II	   85
86	   Anexos
Anexo II	   87
88	   Anexos
Anexo II	   89
90	   Anexos
Anexo III
Revista de Ortopedia y Traumatologia – Vol. 11P – IB – Fasc. 1º - Junho de 1985
92	   Anexos
Anexo III	   93
94	   Anexos
Anexo III	   95
96	   Anexos
Anexo III	   97
98	   Anexos
Anexo III	   99
100	   Anexos
Anexo III	   101
102	   Anexos
Anexo III	   103
104	   Anexos
Anexo III	   105
106	   Anexos
Anexo III	   107
Método ortopédico-funcional de tratar fracturas_Técnica de execução

Método ortopédico-funcional de tratar fracturas_Técnica de execução

  • 3.
    Técnica de Execuçãono Método “Ortopédico/Funcional” de Tratar Fracturas
  • 5.
    Paulo Homem Técnica de Execução no Método “Ortopédico/Funcional” de tratar Fracturas 2012
  • 6.
    FICHA TÉCNICA TÍTULO Técnica de Execução no Método “Ortopédico/Funcional” de tratar Fracturas AUTOR Paulo Homem pauloduartehomem@gmail.com O autor agradece todos os contributos tendentes a melhorar este modesto trabalho, assim como se propõe a responder, dentro da sua capacidade técnica, a qualquer esclarecimento EDIÇÃO Paulo Homem Fotografias Paulo Homem ANO 2012
  • 7.
    Agradecimentos Ao Senhor Dr. Joaquim Rodrigues Fonseca estou muito grato por aceitar fazer o Prefácio desta Monografia Técnica, que nasce, após vinte anos, serôdia mas com a esperança de vir ainda a ser útil; tão repleta de dificuldades como de prazer e espírito de missão na passagem de conhecimentos ao longo da vida profissional adquiridos. Pela oportunidade, pela constante disponibilidade e generosidade e por ter, assim, contribuído para a realização de um sonho, bem-haja Sr. Dr. Fonseca.
  • 9.
    INDÍCE PREFÁCIO........................................................................................................11 . INTRODUÇÃO............................................................................................... 13 Capítulo I – O MÉTODO.............................................................................. 15 . Capítulo II – GENERALIDADES................................................................ 19 MATERIAIS............................................................................................ 19 a) Material Gessado.......................................................................... 19 Ligadura gessada. ....................................................................... 19 . Ligadura Gessada – hidratação................................................. 20 Ligadura Gessada – aplicação................................................... 21 Limites. ......................................................................................... 22 . Regularização das extremidades............................................... 22 Secagem........................................................................................ 23 Presa no Material Gessado......................................................... 23 b) Material Sintético......................................................................... 23 . c) Material Termomoldável............................................................. 24 Remoção. ...................................................................................... 25 . d) De protecção/hidratação dérmica............................................ 28 . e) De protecção/almofadamento das zonas a submeter............ 28 Manga de malha tipo jersei........................................................ 29 f) De prevenção ao edema............................................................... 29 g) Articulações mecânicas de eixo policêntrico............................ 30 h) Articulações mecânicas de eixo monocêntrico........................ 31 i) Alinhadores de articulações........................................................ 32 . “Chinese Finger Traps”.............................................................. 33 m) Conformador Quadrangular da Coxa..................................... 33
  • 10.
    Capítulo III –TRATAMENTO “ORTOPÉDICO/FUNCIONAL” DO MEMBRO SUPERIOR........................................................................... 37 Execução................................................................................................. 37 . Posição............................................................................................... 37 . Aparelho “Ortopédico/Funcional”.................................................... 38 Tutor Braçal....................................................................................... 38 . Aparelho ”Ortopédico/Funcional”.................................................... 40 Braçal Articulado do Cotovelo....................................................... 40 Tutor Antebraçal............................................................................... 41 Tutor Antebraçal c/ Encaixe de Münster...................................... 42 Tutor Articulado no Punho e Encaixe de Münster...................... 44 Capítulo IV – TRATAMENTO “ORTOPÉDICO/FUNCIONAL ” DO MEMBRO INFERIOR............................................................................ 47 “Bota Gessada Tipo Sarmiento”.......................................................... 47 Limites proximais.................................................................................. 51 Tutor Funcional da Perna c. Pé Plástico (Talonet). – Patelar Tendon Bering (P. T. B.)......................................................... 51 Aparelho “Ortopédico/Funcional” – P.T.B.. com Tutor Auxliar da Coxa – Articulado no Joelho. ........................ 53 . Aparelho “Ortopédico/Funcional”. “Q.T.B. – Quadrilateral Thigh Bearing”............................................. 55 Execução do Q.T.B............................................................................ 56 Execução propriamente dita........................................................... 56 Aparelho “Ortopédico/Funcional. Pélvi-Isquio-Podálico............................................................................ 59 Capítulo V – ALGUNS APONTAMENTOS (Considerados relevantes)............................................................................. 63 Articulações Mecânicas. ....................................................................... 66 . Bibliografia....................................................................................................... 67 Em anexo........................................................................................................... 70
  • 11.
    PREFÁCIO Pediu-me o enfermeiro Paulo Homem que comentasse um trabalho (escrito e documentado em fotografias) sobre a técnica de execução dos chamados Gessos Funcionais que fez – e bem – nos tempos em que trabalhou na consulta de Ortopedia dos velhos Hospitais da Universidade de Coimbra e depois nos Pavilhões de Ortopedia de Celas. O trabalho é precioso e bem ilustrado. E foi com mágoa e saudade que recordei autênticas obras de arte – pois de obras de arte se tratam – muitos dos gessos moldados por Paulo Homem. De facto, quando Sarmiento (USA) e Fernandez (Espanha) nos anos 70 desenvolveram e difundiram este método de tratamento em “oposição” à fanática expansão das montagens rígidas defendidas pela A.O. (Association for Ostheossinthesis - Suiça), desde os anos 50, teria de haver conflito. E houve. E a luta, que se revelou desigual, era-o de facto, porque era entre a indústria florescente dos materiais de osteossíntese e a habilidade manual, muito personalizada, de artistas executantes de gessos especiais a que se convencionou chamar de funcionais. No conceito científico seria uma luta entre os conhecimentos da formação de um calo ósseo BIOLÓGICO (vascular) da A.O. e o conhecimento empírico da formação de um calo FISIOLÓGICO (quase natural) dos gessos funcionais. Nessa luta estava, de um lado, a fixação rígida à partida, que daria origem a um calo inicialmente osteocondral, depois vascular e depois biológico, progressivamente resistente, que permitia uma marcha
  • 12.
    12 Prefácio precoce, sem ajudas de contenções externas de gesso ou de outros materiais plásticos (CALO BIOLÓGICO DO SISTEMA A.O.) e, do outro, a “crença”de que o calo ósseo se desenvolvia à custa de forças alinhadas em pressão e em resistência, trabeculares, elásticas, unidireccionais, reconhecidas e comprovadas como aceleradoras do calo ósseo, moldadas em contensores externos que se estabilizavam pelas partes moles envolventes do osso como verdadeiros encaixes (CALO FISIOLÓGICO DO SISTEMA DOS GESSOS FUNCIONAIS). Ambos os sistemas são reais. Existem. Não são contraditórios e são comprovados com êxitos por quem os pratica bem. Mas porque se fazem cada vez menos gessos funcionais? Estou em crer que o desuso vem apenas pela “velocidade” dos tempos actuais em que tudo que se faz não se compadece com a demora da sua execução. E – perdõem-me – talvez também, pela falta de criatividade que o treino da modelagem dos Gessos Funcionais exige. Paulo Homem, com este valioso trabalho, pode estar teimosamente fora de tempo a esgrimir uma técnica que agora tem frutos mais limitados. Mas com a compilação deste Livro está a dar um excelente contributo para que muitos gestos, que a modelagem dos gessos funcionais preconizam, não se percam. É pedagógico. E, quem sabe, talvez as modas voltem e os Homens (outros) nos ensinem a imitar melhor a Natureza. Joaquim Rodrigues Fonseca Médico Ortopedista
  • 13.
    INTRODUÇÃO O tratamento incruento de fracturas com imobilização gessada convencional/clássica leva sempre o seu tempo. Tendo em conta a sua acção, mais ou menos prolongada, surgem sempre alterações, particular­ ente na região, m tanto nos tecidos moles como no osso, sendo as mais frequentes: • Rigidez articular. • Perda de massa muscular. • Descalcificação óssea, por vezes. E porque estas alterações eram (e são ainda) tanto mais graves quanto maior o período de impedimento aos movimentos articulares e também a ausência da carga nos membros inferiores, alguns Cientistas têm-se distinguido no estudo técnico/ /cien­­ fico para encontrar um MODO tí­ que, sem prejudicar a estabilidade adquirida durante certo período de imobilização gessada conven­ ional/clássica, permitisse precocemente c movimentos articulares. SARMIENTO executou um gessado da perna funda­ mentado no encaixe das próteses dos amputados abaixo do joelho, com apoio, essencialmente, sobre o tendão rotuliano – Patelar Tendon Bearing (P.T.B.), com o fim de precocemente libertar o joelho. “Sendo ainda bem conhecida pelo inestimável contributo ao “Método Ortopédico/ Funcional” de tratar fracturas dos ossos da perna.
  • 14.
    14 Introdução Verificando-se em Coimbra, assim como duma forma geral em Portugal, algum défice de preparação específica na área do “Tratamento Biológico” de fracturas; – em Fevereiro de 1980, por iniciativa do Director do Serviço de Ortotraumatologia dos Hospitais da Universidade de Coimbra, Prof. Norberto Canha, uma equipa constituída por três médicos especialistas em Ortopedia e Traumatologia: Adrião Proença, Brás Cardoso e Mamede Albuquerque e um enfermeiro de gessos, na circunstância eu próprio – todos do respectivo serviço – deslocou-se ao hospital de LÁ FÉ – Valência – Espanha a fim de actualizar conhecimentos técnico/científicos específicos sobre “Tratamento Biológico de Fracturas em Gessos Funcionais Conformados”, proporcionados pelo Dr. F. Fernanãndez-Esteve, um dos maiores mento­ res mundiais do Método, considerado quem mais e melhor o fundamentou e divulgou em “Tatramiento Biológico de las Fracturas – Los Yessos Funcionales Conformados”, na época de 1980. Após actualização dos ditos conhecimentos, foi organizada na C. Ext. de Ortopedia a Unidade de Gessos Funcionais – U.G. F. – estrutura coordenadora da sua implantação e desenvolvimento Ortopédico/ /Funcional” de tratar fracturas; tendo como principais objectivos: • “Diminuir o período de Incapacidade. • Diminuir a incidência da doença fracturária, por imobilização prolongada. • Diminuir a incidência da intolerância aos implantes metálicos. • Complementar na osteossíntese “à mínima”. • Complementar na osteossíntese instável. • Diminuir o período de hospitalização”.
  • 15.
    Capítulo I O MÉTODO Este MÉTODO tem especial indicação em certas fracturas dos ossos longos, essencialmente das diáfises da tíbia e do úmero, após certo período de estabilização em imobilização gessada convencional/clássica, cujo objectivo principal é o de permitir a libertação precoce das articulações submetidas à respectiva imobilização, com muitos benefícios, especial­ mente para o paciente. Sendo considerado: • “FISIOLÓGICO, porque evita a intervenção cirúrgica, permite a função precoce, minimizando a rigidez articular e a atrofia muscular • CÓMODO, porque permite ao paciente uma vida quase normal do ponto de vista psicológico, higiénico e social. • ECONÓMICO, porque a taxa de inter­ namento é muito baixa e porque reduz também o período de incapacidade tempo­ rária. Acrescentamos que, por vezes, se observa o regresso ao trabalho, quando compatível, antes de completa cura. • RÁPIDO, porque a carga no membro inferior e as contracções musculares provocam estímulos osteogénicos, que conduzem a uma consolidação em curto espaço de tempo”.
  • 16.
    16 Capítulo I – O Método A Técnica Tendo em conta a filosofia que orienta este Método, não fará sentido continuar a chamar de Imobilização ao modo como nesta fase se continuará a garantir a necessária estabilidade à fractura. TUTOR, segundo a sua execução e o espaço que ocupa, é a denominação adequada. Com a aplicação de mais do que um Tutor tratar-se-à, logicamente, de Aparelho. Exemplos O tutor é executado envolvendo, essencialmente, o segmento lesado. (“Minibrace” – tutor antebraçal). Porém, na necessidade de conseguir maior grau de estabilidade na zona, poderá o mesmo prolongar-se a outro segmento são contíguo, proximal e/ou distal­ ente, essencialmente de m três formas: • Uma, por aletas do próprio tutor que se prolongam à porção distal do segmento são (braçal), em forma de “encaixe de Münster” (tutor funcional do antebraço). • Outra, por aplicação de articulações mecânicas entre o tutor principal (braçal) e o auxiliar (antebraçal), unindo- -108/4
  • 17.
    Capítulo I –O Método 17 • os entre si. (aparelho funcional do braço articulado no cotovelo) • Sendo nalguns casos, para além do tutor principal, necessário realizar mais do que um tutor auxiliar. -- um, proximal (na cintura pélvica), -- outro, distalmente (na perna), permitem interligação no tutor principal (da coxa) por meio de articulações mecânicas. • Ainda a nível do pé, aplicação de uma “Talonete,” também conhecida por pé de plástico, na verdade de polipropileno, fixado pelas suas hastes na parte distal do tutor da perna e ajustado ao pé por fita de velcro. Tendo como principais objectivos: -- Permitir só os movimentos de flexão e de extensão do pé. -- e contribuir para que o tutor não se desloque, espe­­ mente no cial­ sentido distal (Aparelho funcional Pelvipodálico). São os tutores auxiliares executados de modo menos exigente, contudo, de forma a cumprirem eficazmente a sua função: estabilidade na região, após colocação das respectivas articulações mecânicas.
  • 19.
    Capítulo II GENERALIDADES MATERIAIS a) Material Gessado Ligadura gessada É ainda este material que mais se utiliza, não só pelo seu preço, mas porque permite realizar manobras eficientes de elevada relevância na execução gessada, seja qual for o método, muito especialmente daquele que estamos a tratar. Hoje, devido aos criteriosos processos de fabrico podemos encontrar ligaduras gessadas que satisfaçam as várias exigências técnicas, nomeada­ ente a do tempo de chegada da tomada m de presa – estado que poderá levar desde alguns segundos a alguns minutos –, permitindo realizar tranquilamente algumas das manobras gessadas durante a execução. Tal como a conhecemos é composta pelos seguintes elementos: • Pasta Gessada – composta por gesso (sulfato de cálcio semi-hidratado); • Gaze – material de suporte da pasta gessada, tendo no seu fabrico, preferencialmente, a fibra do linho em trama larga; • Tutor – elemento situado no interior da ligadura, destinado a manter a sua forma, a facilitar a hidratação e a sua aplicação;
  • 20.
    20 Capítulo II – Generalidades • Invólucro – protecção externa de forma hermética, destinada a manter as características originais da ligadura gessada. A fim de preservar as características originais não se deve retirar o seu invólucro com demasiada antecedência à sua utilização. Ligadura Gessada – hidratação Para que uma ligadura gessada possa ser devidamente aplicada, é indispensável que seja sujeita a uma adequada hidratação e, para isso, por via de regra, proceder-se-á da seguinte forma: Primeiramente desenrolam-se cerca de 10 cm da sua extre­ idade inicial, que será agarrada pela mão m esquer­ a (nos destros), enquanto o rolo é seguro d pela mão direita. A ligadura é mergulhada em água à temperatura recomendada pelo fabricante, de preferência obliqua­ ente, até deixar de borbulhar, a fim de m facilitar a saída do ar existente no seu interior. Retirada da água, e sem perder de vista a extremidade inicial, proceder-se-á à sua espressão retirando-lhe o excesso de água, das extremidades para o centro para que não seja expelida grande quantidade de massa gessada. A temperatura da água poderá influenciar o comportamento da massa gessada, verificando-se que quando ester acima da recomendada acelerará a tomada de presa, enquanto na situação inversa a mesma será retardada.
  • 21.
    Capítulo II –Generalidades 21 Também o grau de hidratação poderá intervir no tempo e na forma de tomada de presa, sabendo-se que quando excessivamente molhada o seu endurecimento retardará, enquanto o inverso, por escassez de água, poderá pôr em causa a indispensável cristalização completa e uniforme da massa gessada. Na realidade, a ligadura gessada deve ser submetida a um grau de hidratação tal que só a experiência costuma dar. Ligadura Gessada – aplicação A ligadura gessada é, por regra, aplicada de forma circular, da extremidade para o centro (nos segmentos longos), de forma suave mas ajustadamente, cobrindo cada volta cerca de 2/3 da anterior. Quando aplicadas em zonas acentuadamente cónicas as mesmas tendem a afastarem-se obliquamente, tornando-se necessário corrigir esse desvio com a formação de uma inversão sem, contudo, fazer cordão. As ligaduras gessadas devem ser aplicadas em número e de forma uniforme em toda a região. Aplicado todo o material gessado, sem perda de tempo, proceder-se-á à sua perfeita moldagem às formas anatómicas da região e, durante a fase de tomada de presa, realizar-se-ão as manobras gessadas preconizadas.
  • 22.
    22 Capítulo II – Generalidades Limites Quando os limites exigidos não são respeitados por excesso será incómodo cortar os excedentes; pelo contrário será necessário proceder ao seu prolongamento, sendo esta “emenda” um mau recurso, sabendo-se que não irá produzir a mesma eficácia e comodidade como se correctamente se tivesse executado inicialmente Regularização das extremidades A regularização das extremidades é uma acção de grande importância, sendo do conhecimento as lesões provocadas nos tecidos moles por extremidades irregulares, tornando o gessado incómodo e, não raras vezes, insuportável. A fim de conseguir extremidades confortáveis são os materiais de protecção/almofadamento (manga de jérsei, algodão prensado, etc.) voltados e fixados sobre as extremidades do tutor, em forma de debrum -bainha, com ligadura gessada. Extremidades mal regularizadas, ou falta disso, essencialmente pela agressividade que provocam, levam o paciente (na tentativa de aliviar o incó­ odo/sofrimento), a m iniciar por ali a sua destruição.
  • 23.
    Capítulo II –Generalidades 23 Secagem Após a execução será necessário um período de tempo, variável entre as 24 e 48 horas geralmente, para que a sua secagem se verifique. São vários os factores que poderão intervir no processo se secagem, tornando-o mais ou menos longo, nomea­ amente: d • qualidade e características do material gessa­ do; • grau de hidratação e temperatura da água; • ambiente. Sabendo-se que uma ligadura gessada excessivamente molhada, no mínimo retardará a sua secagem; o mesmo ocorrerá se a hidratarmos com água abaixo da temperatura recomendada pelo fabricante. Também são os materiais de protecção/almofadamento muito responsáveis pelo comportamento da secagem de um gessado, havendo os de características hidrófugas, hidrófilas, ainda outros (acrílicos) que, embora recebam a água, libertam-na mais ou menos facilmente. Presa no Material Gessado O material gessado, quando devidamente hidratado, desenvolve um processo reactivo caracterizado pelo aumento da sua temperatura, durante o qual consome parte da água, sendo outra parte evaporada, para dar lugar ao aumento progressivo do grau de empastamento do material, até à chegada da tomada de presa – altura para realizar as manobras preconizadas e outras achadas por convenientes e contempladas na técnica. b) Material Sintético Dada a sua importância, não podíamos deixar de dar algumas referências deste tipo de material,
  • 24.
    24 Capítulo II – Generalidades também ele, normalmente apresentado na forma de ligaduras, cujas características inovadoras passamos a referenciar: • Boa resistência física e química; • Baixo peso; • Grau de opacidade ao RX consoante a sua composição. Embora todas elas de grande importância, é, no entanto, a sua transpa­ rência aos R. X. é de notável valor no visionamento de certas fracturas já que, por isso, não será necessário retirar o tutor para observar ao pormenor a evolução das mesmas. Como nem todo o material, devido à sua compo­ ição, s apresenta o mesmo grau de transparência, é este agrupado de forma a satisfazer o objectivo. • Poliuretano tendo suporte a malha de fibra de vidro: Resultando em materiais mais ou menos trespassáveis pelos RX; • Poliéster em suporte de malha de fibra de algodão: Resultando em material totalmente trespassável pelos RX; • Poliuretano em suporte de malha de polipropileno, resultando em material de comportamento semelhante ao anterior. (Presentes dois exemplos). c) Material Termomoldável Tem por base o poliéster, de superfícies antia­ derentes durante a sua manipulação, de elevada memória plástica, permitindo os recortes e a molda­ gem. Apresenta-se, normalmente, na forma de placas, perfuradas ou não, trespassável pelos R. X: Proporciona um suporte – tutor amovível, leve, confor­ ável, capaz de assegurar a estabilidade de t certas fracturas em estado de atraso de consolidação,
  • 25.
    Capítulo II –Generalidades 25 assim como contribuir para a cura de certas lesões dos tecidos moles, tornando-se aplicável quando aquecido, cujas temperaturas serão diferentes consoante o meio: • Em água a cerca de 85º; • A 90º quando em vapor de água; • Em placa radiante ou em ar aquecido até adquirir a malea­ bilidade ideal. Quando submetido a aquecimento de forma líquida, e retirado do meio, é colocado sobre uma superfície absorvente, a fim de lhe ser retirada a água, sendo aplicado e moldado sobre a região, que endurecerá em alguns minutos. Após os ajustes e regularização das extremidades é fixado com fitas de velcro. A consulta das instruções do fabricante é indispensável Remoção Nesta técnica há que ter em conta as extremidades das articulações mecânicas introduzidas nos tutores. Retirar primeiramente as hastes metálicas, para depois proceder como habitualmente. Executar bem é muito importante. Porém, para retirar também não deixa de ser necessário obedecer a princípios e a recomendações que não poderão ser, de forma alguma, menosprezados. Primeiro, porque não deixou ainda de ser frequente o aparecimento das sempre desagradáveis lesões produzidas pelos mecanismos de corte: • Umas vezes por deficiente protecção da zona;
  • 26.
    26 Capítulo II – Generalidades • Outras ainda pela pouca expe­ riência dos executantes; • E ainda pela improvisação de materiais de corte. Ainda é um facto observado em centros menos experientes e equi­ pados, felizmente com tendência a desaparecerem. Muitos pacientes retêm na memória a agonia de lhe ter sido retirado um gessado. A dor da fractura fora esquecida, mas permanece ainda na memória o sentimento de ansiedade do acto. Mesmo alguns profissionais dos mais experientes, mas menos atentos, descoram algumas vezes os receios do paciente e, sem qualquer explicação (no mínimo, que a lâmina é apenas vibratória), apressam-se a realizar o acto, aumentando, assim, o nível de ansiedade. A máquina (serra de gessos) será posta em movimento antes de entrar em contacto com o tutor. A sua lâmina será dirigida ao gessado na posição perpendicular. O corte será executado por golpes sucessivos, em toda a profundidade e extensão, sendo de evitar o contacto com os tecidos moles, exercendo, para isso, apenas a pressão necessária para trespassar a parede gessada. Para os experientes é bem perceptível quando a lâmina corta toda a parede gessada e fica sobre os materiais de protecção. Deve ser cortado em forma de bivalve evitando,
  • 27.
    Capítulo II –Generalidades 27 se possível, as saliências ósseas. Esta conduta permitirá manter a estabilidade da zona até final do acto, permitindo que uma das valvas, normalmente a posterior, seja utilizada durante a realização de exames ou em períodos de reabilitação. A componente económica também não deixa de estar presente. - Ainda como material de corte deverá ser utilizada a tesoura de LISTER, cuja lâmina inferior possui na sua extremidade uma protecção (bico de pato), impeditiva de causar lesões nos tecidos moles. Como auxiliar no afastamento das ditas valvas é utilizado um afasta­ dor apropriado (de extremidades alargadas) facilitando o acesso ao material de protecção, que será então cortado com a dita tesoura. Só assim as valvas se separarão sem esforço e sem risco de desta­ bilizar uma fractura recente. É importante que o material seja adequado e esteja em boas condições de funcionamento. A máquina de gessos apenas faz movi­ entos oscilatórioss, devendo m estar equipada com lâmina de diâ­ me­ ro entre os 0,50 mm e os 70 mm. t
  • 28.
    28 Capítulo II – Generalidades Seria importante que fosse silenciosa e equipada com sistema de aspiração de poeiras, o que já se verifica em muitos serviços. d) De protecção/hidratação dérmica Na zona, é observado o estado da pele, seguindo- -se a sua limpeza, e protecção com produtos adequa­ dos. Na generalidade, são aplicados compostos oleo­ sos emulsionados em água, normalmente de p. h. neutro, de fácil aplicação – que muito aliviam o desconforto da impossibilidade realizar os hábitos higiénicos. e) De protecção/almofadamento das zonas a submeter São estes materiais que, directamente, vão permanecer em contacto com a pele, protegendo-a, assim como todos os tecidos moles que sob ela se encontram, dos inevitáveis atritos e pressões, não deixando de contribuir para a eficiência e comodidade que tão importantes são para o êxito. Devem, estes, obedecer às seguintes características: • Analérgicos; • Suaves, porosos e hidrófugos; • Resistentes – para que não se decom­ onham nem se desloquem p facilmente; • De baixo volume – mas que não deixem de cumprir a sua missão nem, tão-pouco, apaguem as saliências e/ou depressões que tão úteis serão para o contributo da eficiência.
  • 29.
    Capítulo II –Generalidades 29 Manga de malha tipo jersei Material, normalmente, proveniente do algodão. • de boa adaptação, mesmo em zonas irregulares. • por regra bem tolerado. • de boa compacidade, estável e dura­ doura, proporcionando uma superfície de protecção/almofadamento fina e uniforme, baseando-se o seu efeito na aplicação de uma ou duas mangas sobrepostas. Sendo, no entanto, necessário reforçar a protecção em zonas mais desprotegidas de tecidos moles subcutâneos. Algodão sintético prensado a baixo volume. Material, em forma de ligadura, a apli­ car sobre a manga: • nas extremidades de execução; • nas saliências ósseas; • em outras zonas menos ricas em tecido celular subcutâneo, reforçando a protecção dos tecidos subjacentes ao gessado. Este tipo de algodão (acrílico) de baixo volume oferece garantias de boa adaptabilidade e resistência, características muito importantes devido aos movimentos a que vai ficar sujeito. f) de prevenção ao edema São a joelheiras e os pés elás­ icos materiais utilizados t na prevenção aos edemas das respecti­ as articulações quando v por realização da técnica ortopé­ dica/funcional.
  • 30.
    30 Capítulo II – Generalidades Atendendo à intensa actividade a que vão ficar sujeitos terão de ser de elevada qualidade, com relevância para a sua elasticidade em todos os sentidos. A sua precoce inutilização traria sérias dificuldades à função articular, sendo impossível substitui-la sem retirar o tutor. As dimensões destes materiais serão de acordo com as das respectivas regiões a proteger que, não sendo largos, devem ser a aplicados ajusta­ damente. Ainda, a ligadura elástica adesivada, que na falta daqueles elementos elásticos, precariamente os poderá substituir, destinando-se, essencialmente, a fixá-los pelas extremidades sobre a primeira manga de jersei. g) Articulações mecânicas de eixo policêntrico Genericamente, poderá dizer-se que o mercado responde bem, tanto em qualidade, como na diver­ dade. si­­ Especialmente na diversidade, os modelos são vários, cada um com as suas particula­ ridades, mas todos permitem exercer movimentos de flexão e de extensão, adaptando-se a cada momento às exigên­ cias anatomo/fisiológicas de cada arti­ culação. Por isso de eixo policêntrico.
  • 31.
    Capítulo II –Generalidades 31 Sabendo-se, por exemplo, que os movimentos de flexão ou de extensão do joelho não são executados no mesmo eixo, como acontece com os de uma vulgar dobradiça. Não acontecendo o mesmo com a articulação do cotovelo que, apesar da sua complexidade, gira em movimento de um só eixo. Porém, entre as articulações mecâ­ nicas há as equipadas com especiais mecanismos de limitação de movimentos articulares, tanto da extensão como da flexão, aplicadas especial­ ente quando m por lesões ligamentares. Na maioria das situações não é necessário proceder ao controlo dos movimentos de flexão e/ou ex­ en­t são, sendo apli­ adas articulações c mecânicas de menor complexidade articular que, não apresen­ ando quais­ t quer reflexos negativos no seu desem­ penho, têm um preço muito inferior. h) Articulações mecânicas de eixo monocêntrico Este é um mode­ lo de articulação mecânica de movi­ mento mono­ ên­ ri­ c t co a aplicar sobre a articulação coxo­ e­ f
  • 32.
    32 Capítulo II – Generalidades moral para unir entre si os tutores da coxa e o da cintura pélvica, sendo a aleta menor fixada no tutor da coxa. Porque esta articulação mecâ­ nica fica sujeita a grandes esforços exercidos na zona, ela terá de possuir características físicas e mecânicas compatíveis. Esta pequena articulação mecâ­ ica é feita à n semelhança das que são aplica­ as a nível do punho, em d tutores executados com o objectivo de assegurar estabilidade e desvio cubital em fracturas da extremidade do rádio. i) Alinhadores de articulações São estes alinhadores instrumentos metálicos destinados, como o seu nome indica, a fixar as articulações mecânicas, de forma a respeitar o paralelismo e a centralidade que os movimentos articulares exigem. Existindo vários modelos para o mesmo fim, utilizar-se-á o que for compatível com o tipo de articula­ ão mecânica a aplicar. ç
  • 33.
    Capítulo II –Generalidades 33 “Chinese Finger Traps” Este pequeno artefacto é de grande impor­ ância no trata­ t mento incruento de fracturas dos ossos do antebraço: • permite a adequada posição do membro, tanto para a realização dos procedimentos de redução, como para facilitar a execução do respectivo tutor. Consoante a posição desejada assim serão os dedos utilizados pelo Finger – quando para posicionar em desvio cubital é utilizado no polegar; quando para posição neutra é o Finger utilizado no dedo médio, podendo ser utilizada qualquer outra combinação, para outras tantas opções. A extremidade do dedo utilizado pelo Finger para exercer tracção terá de ser protegido. m) Conformador Quadrangular da Coxa O Conformador Quadrangular da Coxa, assim tecnicamente denominado, é um aparelho constituído por uma parte rígida e outra flexível. É regulável no seu diâmetro, e quando accionado sobre o gessado na raiz da coxa transmite-lhe o seu efeito
  • 34.
    34 Capítulo II – Generalidades de “Conformação” de configu­ ração Quadrangular; reali­ an­ z do simulta­ ea­ ente, pela parte n m poste­ ior, apoio isquiático, r tornando-se proce­ imento de d notável importância para o efeito de descarga parcial do foco de fractura quando em regi­ e de carga progressiva m assistida. Sendo somente retirado quando excluído o risco de deformação do gessado. Visto deixarmos de contar com o auxílio de certas referências estabilizadoras aquando da Imobilização Convencional/Clássica, deverá o tutor ser executado com todo o rigor técnico, não prescindindo para o efeito das valiosas saliências e/ou depressões: côndilos, tubérculos, bordos, cristas, fossas; assim como as não menos preciosas massas musculares. Moldar/Modelar, etc., é importante; mas “CONFORMAR” é o procedimento que melhor responde à necessidade de obter maior grau de eficácia; efeito que muito poderá contribuir para o sucesso, especialmente do “MÉTODO”. “CONFORMAÇÃO” – manobra de ordem técnica levada a efeito sobre o tutor gessado durante a sua tomada de PRESA, submetendo os tecidos moles a uma forma e tensão controladas, em zonas pré-estabelecidas, com a finalidade de obter “com­ pacidade uniforme” na zona, respeitando a sua integri­ ade. d
  • 35.
    Capítulo II –Generalidades 35 Não poderá ser confundida por aperto dos tecidos, pois a área do gessado não diminuirá consideravelmente. Nem, tão-pouco, por simples manobra de estética, mas sim uma forma de tornar o aparelho solidário à região, obtendo-se a limitação ou mesmo neutralização dos movimentos nefastos. É essencialmente sobre as epífises e/ou nos segmentos longos formados por dois ossos onde são encontrados bons argumentos para realizar procedimentos de controlo aos movimentos perniciosos. Ainda, no membro inferior, locais de apoio à descarga parcial do foco de fractura quando no exercício da marcha.
  • 37.
    Capítulo III TRATAMENTO “ORTOPÉDICO/FUNCIONAL” DO MEMBRO SUPERIOR Execução Posição O paciente, sempre que possível, deve ser colocado na posição de sentado, preferencialmente em banco giratório e regulável em altura, amparando ele mesmo o seu membro, mão no punho. Cotovelo flectido a 90° e o antebraço em pronação durante a execução. É muito importante que o seu tronco seja posicionado com inclinação para o lado lesado, ficando o braço em condição pendular afastado do tronco. Esta é a posição que melhor garante a estabilidade da fractura, assim como a que mais facilita a realização das acções de execução; tornando-se condi­ ção preferencial para outras intervenções gessadas no segmento do braço.
  • 38.
    38 Capítulo III – Tratamento “Ortopédico/Funcional” do Membro Superior Aparelho “Ortopédico/Funcional” Tutor Braçal O tutor gessado é executado, distal­ ente, a partir da zona condiliana, m termi­ ando a nível do acrómio, respeitando o cavado axilar. n Aplicado o material dentro dos limites convencio­ ados, e com os pri­ n meiros sinais da chegada da tomada de presa, realizar-se-ão as manobras: • “os três pontos de apoio estabilizadores,” com o objectivo de corrigir e/ou contrariar a tendência ao varo; consistindo em realizar forças a três níveis de forças: -- Uma sobre a zona epifisária distal interna; -- Outra em sentido oposto na porção diafisária com incidência sobre o foco de fractura; -- A terceira, no sentido da primeira, exercida pela oposição da parte proximal (o ombro). • Pressionar as faces laterais do gessado – espalmando-as, com o propósito de fazer deslocar os tecidos moles para a frente e para trás, colocando a acção do tutor mais próxima do segmento ósseo, contribuindo também para o controlo dos movimentos de rotação.
  • 39.
    Capítulo III –Tratamento “Ortopédico/Funcional” do Membro Superior 39 Conformar, com as partes tenares e polpa dos dedos, respectivamente e em simultâneo, sobre as zonas supra- condilianas do úmero e a fossa do olecrânio, essencialmente, com dois objectivos: • controlar os movimentos de rotação; • e de deslocação distal do próprio tutor; • fixação proximal do tutor com a aplicação de um pouco de liga­ dura elástica adesivada, sendo uma das extremidades impregnada no tutor quando da regularização da respectiva extremidade, passando a outra sobre o ombro, que terminará por cima da espádua do mesmo lado; contribuindo para impedir a deslocação distal do tutor, assim como para reforçar a prevenção à tendência ao varo nas fracturas do 1/3 proximal do respectivo segmento ósseo, permitindo a necessária movimentação da articulação do ombro. Este procedimento só será implementado após protecção da pele na zona de aderência da ligadura adesivada. A tintura de Benjoim, por exemplo, dá boas garantias de protecção dérmica, permitindo prolongada aderência da ligadura na zona.
  • 40.
    40 Capítulo III – Tratamento “Ortopédico/Funcional” do Membro Superior Aparelho ”Ortopédico/Funcional” Braçal Articulado do Cotovelo Está indicada a sua execução quando para obtenção de maior grau de estabilidade na zona. O tutor braçal é executado, em tudo, à semelhança do anterior; realizando-se poste­ riormente o tutor auxi­ iar sobre o segmento l do antebraço, mantendo-o posi­ ionado em c pronosupinação de 0º, e que não perturbe a função das articulações adjacentes. Agora estão reunidas as condições para a aplicação do par de articulações mecânicas (adquiridas já alinhadas do necessário paralelismo), “devendo o seu eixo ser orientado com a linha que une a tróclea ao côndilo, permitindo plena extensão; sendo a flexão de, aproximadamente, 115 0º”.
  • 41.
    Capítulo III –Tratamento “Ortopédico/Funcional” do Membro Superior 41 As articulações mecânicas do coto­ velo têm a particularidade de serem adquiridas já posicionadas e fixadas a 90º por um freio metálico, que só será retirado quando orientadas com o eixo fisiológico, alinha­­ das do seu paralelismo e fixadas as suas hastes aos respectivos tutores. Retirado o dito freio, é reco­ ocado o l parafuso, cuja fun­ ão principal é a de fixar ç os parafusos que controlarão o desli­ zamento mecânico, que deverá ser leve. Tutor Antebraçal A posição de execução envolvendo, essencialmente, o segmento Antebraçal continuará, preferencialmente, a ser com o paciente sentado, sendo o membro, em plena supinação, suspenso pelos dedos através do “Chinese Finger Traps”com o cotovelo a 90’, com moderada contra tracção, nesta etapa, de cerca de 1kg.
  • 42.
    42 Capítulo III – Tratamento “Ortopédico/Funcional” do Membro Superior O material de execução é aplicado desde o punho, deixando-o livre, até junto da flexura da articulação do cotovelo, permitindo os normais movimentos destas articulações. Seguidamente é realizada conformação: pela face posterior, sobre a membrana interóssea rádiocubital com tensão máxima; anteriormente apenas de forma insinuada. São estas as manobras que controlam os movimentos de pronosupinação, e mantêm o afastamento e o paralelismo dos respectivos ossos. Tutor Antebraçal c/ Encaixe de Münster Mas em situação de exigência de estabelecer maior grau de estabilidade é executado o tutor com encaixe de MÜNSTER que, iniciado como o anterior, termina em forma de aletas sobre as zonas supracondilianas do úmero.
  • 43.
    Capítulo III –Tratamento “Ortopédico/Funcional” do Membro Superior 43 Técnica desenvolvida na Universidade de MÜNSTER, afim de assegurar a implantação da prótese nos amputados do antebraço. A posição do membro é a mesma da situa­ ção anterior, sendo a aplicação do material de execução, como referido, iniciada no punho, deixando-o livre, até ao 1/3 distal do braço. Da mesma forma, é exercida conformação sobre a linha interóssea do segmento. Seguindo-se o mesmo procedimento sobre as zonas supracondilianas do úmero, exercidas com as eminências tenares, controlando os movimentos de prono-supinação; realizando em simultâneo, com os dedos indicadores, médios e anelares uma depressão sobre a fosseta do olecrâneo, com objectivo de limitar a extensão e impedir que o tutor se desloque no sentido distal. Segue-se a marcação e recortes das extremidades. As mobilidades permi­ tidas situam-se entre os 115º de flexão, com limitação da extensão dos últimos 20/30º.
  • 44.
    44 Capítulo III – Tratamento “Ortopédico/Funcional” do Membro Superior Tutor Articulado no Punho e Encaixe de Münster Também as fracturas de loca­ ização nas l extremidades do rádio poderão usufruir dos bene­ fícios do método “Ortopé­ ico/Funcional” sendo, d igual­ ente, atenuados os prejuízos causados por m imobi­ ização prolongada. l Conhecendo-se o mecanismo utilizado para a obtenção da redução deste tipo de fractura, assim como mantê-la, é fundamental a posição. O membro é suspenso pelo dedo polegar através do “Chinese Finger Traps”, flectido a 90º, em supinação, com tracção de cerca de 1Kg afim de assegurar a manutenção da redução. Suspenso pelo polegar, desde logo é imposto um grau razoável de desvio cubital, sendo este aumentado para 45º durante a execução do tutor, assim como flexão do carpo de cerca 40º.
  • 45.
    Capítulo III –Tratamento “Ortopédico/Funcional” do Membro Superior 45 Mas também este será, na extremidade proximal, executado em forma de encaixe de “Münster”, tal como o exemplo anterior, e com os mesmos objectivos. Enquanto na extremidade distal do antebraço se apresenta: pela face posterior com prolongamento até sobre a zona metacarpiana, impedindo o movimento de dorsiflexão. Anteriormente de forma a permitir flexão do punho (posicionado em desvio cubital). Exercida a conformação sobre a linha interóssea radiocubital. Após processadas as devidas regularizações, procede-se à colocação da articulação acrílica mecânica, de eixo monocêntrico centrado sobre a apófise estilóide do cúbito, sendo a haste fixada sobre o tutor.
  • 46.
    46 Capítulo III – Tratamento “Ortopédico/Funcional” do Membro Superior A fita de velcro circula a zona meta­ árpica, c assegurando desvio cubital de cerca 40º.
  • 47.
    Capítulo IV TRATAMENTO “ORTOPÉDICO/FUNCIONAL ” DO MEMBRO INFERIOR “Bota Gessada Tipo Sarmiento” O fundamento é referido em introdução à técnica. “O apoio no tendão rotuliano e o efeito hidráulico”de então, fazem hoje parte de um con­unto de proce­ j dimentos de ordem técnica executados à volta do joelho e não só, ade­ qua­ os, essencialmente: d
  • 48.
    48 Capítulo IV – Tratamento “Ortopédico/Funcional” do Membro Inferior • ao controle dos movimentos de rotação; • ao impedimento da deslocação do próprio tutor; • a atenuar os impactos mais violentos da marcha; • e até limitar, dentro de certos parâmetros, (necessariamente) o movimento de flexão do joelho. Procedimentos que têm como finalidade contribuírem para a estabili­ ade na zona. d É este gessado introduzido no método “ORTOPÉDICO/FUNCIONAL”, normalmente, por fractura do terço distal da tíbia, quando submetida a tratamento com imobilização cruropodálica que, depois de certo período de estabilidade, é precocemente libertada a articulação do joelho. Tornando-se, ao manter a articulação da tibiotársica imobilizada, numa combinação dos dois métodos: – convencional e funcional, devendo considerar- se este procedimento como uma primeira fase do tratamento “ortopédico/funcional”.
  • 49.
    Capítulo IV –Tratamento “Ortopédico/Funcional” do Membro Inferior 49 A posição do paciente é em decúbito dorsal com a perna pendente, sendo a do executante sentado em banco baixo de forma a ficar de frente para o segmento em causa, com a porção anterior do pé levemente apoiada sobre um dos joelhos do executante. • posição que melhor relaxamento muscular proporciona; • que melhor protege a estabilidade adquirida; • e que mais facilita a execução e as manobras sequentes. Após procedimentos de protecção/almofadamento, será prioritário que se proteja o foco de fractura com a aplicação de algumas voltas de material gessado, para depois ser completado o respectivo tutor: No pé, pela face plantar, desde as extremidades dos dedos, deixando-os livres pela face dorsal. Molda-se bem o cavado plantar e pressiona- -se, digital e em simultâneo, sobre 1/3 médio dos 2º, 3ºe 4ºmetatarsos, com a finalidade de bem espalmar a zona, criando, assim, carga simulada. Modelar bem o gessado sobre região maleolar, assim como o tendão de Aquiles de forma a proteger a sua normal proeminência, sendo notório o efeito da falta desse procedimento.
  • 50.
    50 Capítulo IV – Tratamento “Ortopédico/Funcional” do Membro Inferior De seguida, é dada continuidade á aplicação do material gessado até ao nível da grande tuberosidade anterior da tíbia, seguindo-se a realização dos três pontos de apoio estabilizadores, contrariando a tendência ao valgo. Conformar sobre a membrana interóssea tíbio – peronial, contribuindo para o controlo dos movimentos rotação, assegurar o paralelismo dos respectivos ossos, e prevenir a deslocação do próprio tutor. Realizar conformação sobre a raiz dos gémeos de controlo aos movimentos de rotação e contri­ uição no controlo da b deslocação do tutor. Para logo colocar o membro em plena extensão e aplicar material gessado até ao 1/5 distal da coxa. Realizar conformação simultânea sobre o tendão rotu­ iano e a raiz dos gémeos. Idem, idem, mais l contributo para controlar a carga exercida sobre o foco de fractura. Continuar com a realização das manobras de conformação sobre as zonas supracondilianas do fémur e realçar sobre tendão rotuliano. Procedimentos de controlo aos movimentos de rotação e de descarga ao segmento da perna.
  • 51.
    Capítulo IV –Tratamento “Ortopédico/Funcional” do Membro Inferior 51 Limites proximais Pelas faces antero- -laterais, tendo como refe­ ência r o pólo superior da rótula; pela face posterior, em linha com a porção mediana do tendão rotuliano, permitindo, depois de retirado o retalho, flexão até cerca de 90” e extensão completa. Procede-se ao reforço do gessado na zona plantar e aplica-se rasto de marcha. É de considerar a libertação do joelho como sendo a primeira fase do tratamento funcional deste segmento. Tutor Funcional da Perna c. Pé Plástico (Talonet) – Patelar Tendon Bering (P. T. B.) Designação convencional dada ao tutor funcional da perna de encaixe no joelho com apoio, essencialmente, sobre o tendão rotuliano.
  • 52.
    52 Capítulo IV – Tratamento “Ortopédico/Funcional” do Membro Inferior Executado, normalmente, por substituição de imobilização gessada clássica cruropodálica, permitindo libertar as articulações do joelho e da tibiotársica, precocemente. A posição do paciente, assim como a do executante são em tudo semelhantes ao caso anterior. A preparação prévia da execução do tutor consiste: • aplicação da manga, de forma a ultrapassar os limites pré – estabelecidos; • aplicação de pé elástico, preventivo ao edema da zona, fixado nas suas extremidades à respectiva manga, com três quartos de volta de ligadura elástica adesivada; • aplicação de uma segunda manga, sobre a qual é reforçada a protecção com algodão acrílico, nas zonas mais susceptíveis de sofrerem danos de pressão ou aquando da retirada do respectivo tutor: -- zonas maleolares, -- da crista da tíbia, -- 1/3 proximal da tíbia e do joelho, O tutor funcional é iniciado com a aplicação do material gessado desde as zonas maleolares, progredindo, a primeira fase, até ao bordo superior da grande tuberosidade anterior da tíbia. Os procedimentos seguintes são executados tal como no caso anterior. (“Bota de Sarmiento”). Exceptuando a nível do pé.
  • 53.
    Capítulo IV –Tratamento “Ortopédico/Funcional” do Membro Inferior 53 Procede-se à colocação da “talonette,” mais conhecida por “pé de plástico”; que depois de ajustado ao pé por fita de velcro é posicionado em valgo, (posição adequada ao exercício da marcha) levada a efeito pela pressão com zona tenar sobre o seu bordo inferior externo, e nessa posição são fixadas as hastes ao tutor com voltas de ligadura gessada de modo a guardar a distância de cerca de 5 mm entre o seu bordo posterior e o calcâneo, entrepondo a polpa do dedo indicador. Quando verificado atraso de consolidação poderá optar-se pela aplicação de Ortoteses em “polyform”, permitindo que se retire para realizar cuidados higiénicos. Aparelho “Ortopédico/Funcional” – P.T.B. com Tutor Auxiliar da Coxa – Articulado no Joelho
  • 54.
    54 Capítulo IV – Tratamento “Ortopédico/Funcional” do Membro Inferior Este tutor auxiliar da coxa é executado quando por fractura da diáfise tibial menos estável e/ou por necessi­ ade de aumentar na zona o grau de d estabilidade, após ser retirada a Imobilização Convencionada/Clássica. Depois de colocada a primeira manga em todo o membro, para além da aplicação do pé elástico, da forma anterior, também no joelho é colocada joelheira, com o mesmo objectivo, e fixada pelo mesmo processo. Colocada segunda manga e reforçada a protecção em zonas mais susceptíveis de sofrerem danos de pressão, é o tutor P.T.B. executado tal o anterior, sendo o da coxa, essencialmente destinado a assegurar a necessária estabilidade por aplicação de um par de articulações mecânicas policêntricas, unindo-as entre si. Para a sua aplicação é necessário que, previamente, elas sejam montadas num ade­ uadoq alinhador, com a finalidade de garantir o exigido paralelismo, cujo centro fisiológico é encontrado sobre o tubérculo da inserção dos adutores, fazendo com ele coincidir o eixo policêntrico da articulação mecânica. Os cuidados a ter serão idênticos aos do caso anterior, acrescidos peran­ e a colocação do par de t articulações mecânicas policêntricas no joelho. O seu funcionamento já foi observado. Atendendo que as mesmas, originalmente, se apresentam rectilíneas; para que o paralelismo e a adaptação sejam correctas é imperioso que se
  • 55.
    Capítulo IV –Tratamento “Ortopédico/Funcional” do Membro Inferior 55 proceda a um desvio da haste inferior de acordo com a forma anatómica da zona, como na imagem se observa. Pelas mesmas razões do caso anterior também esta ortoteses poderá ser utilizada, Aparelho “Ortopédico/Funcional” “Q.T.B. – Quadrilateral Thigh Bearing”. Com o paciente em decúbito dorsal. Retirar Imo­ i­ i­ a­ blz ção Conven­ ional/ c /Clássica Cruropodálica, Ísquiopodálica e, por vezes, Pelvi­ cruropodálica.
  • 56.
    56 Capítulo IV – Tratamento “Ortopédico/Funcional” do Membro Inferior Execução do Q.T.B. Com a colaboração de dois auxiliares é assegurada a manutenção da estabilidade adquirida, assim como e o alinhamento original do segmento ósseo. A preparação do membro consiste em aplicar uma primeira manga tipo jersei desde a extremidade do pé até à raiz coxa, onde se deve reservar mais um pouco para que não falte nos acabamentos das extremidades. Para prevenir o edema é colocada uma joelheira e um pé elástico, respectivamente sobre a articulação do joelho e do tornozelo, fixados à manga tal como nos exemplos anteriores. Colocada a segunda manga, sobre a qual é reforçada a protecção/almofadamento das zonas mais sensíveis: – todas as zonas limites dos respectivos tutores, para que se realizem extremidades confortáveis: epífises e crista da tíbia, zonas supracondilianas do fémur, e raiz da coxa, especialmente pela face posterior quando realizada, em simultâneo, “Conformação Quadrangular da Coxa”e apoio isquiático, onde o almofadamento deve ser bem generoso. Execução propriamente dita Com o membro em plena extensão, é iniciada a aplicação do material gessado a partir da zona supra-maleolar, não tendo qualquer interrupção até à raiz da coxa.
  • 57.
    Capítulo IV –Tratamento “Ortopédico/Funcional” do Membro Inferior 57 No segmento da perna são executados todos os procedimentos tal como os foram no P.T.B.: – csonformação sobre a membrana interóssea tíbio/peronial, sobre a raiz dos gémeos em simultâneo com o tendão rotuliano, sobre as zonas supracondilianas do fémur, prosseguindo com o achatamento das faces interna e externa. Na raiz da coxa realizada “Conformação Quadrangular, com a aplicação de Confor­ mador apropriado, só retirado quando não existir risco de deformação da configuração quadrangular. Convém aqui recordar que tam­ bém este procedimento é funda­ mentado no encaixe da prótese dos amputados do membro inferior. Quando verificado que o material já atingiu certa dureza procede-se à marcação dos imites, assim como os retalhos a retirar que vão permitir a aplicação do par de articulações mecânicas de eixo policêntrico, sem que os tutores percam o contacto entre si. A nível do joelho, o sombreado lateral externo, que também existe internamente limitam as áreas dos retalhos gessados a retirar, para ali
  • 58.
    58 Capítulo IV – Tratamento “Ortopédico/Funcional” do Membro Inferior encontrar (tubérculo de inserção dos adutores) o local que permite orientar a aplicação do par de articulações mecânicas policêntricas. Após verificar que as hastes das articulações estão solidamente fixadas aos tutores, é desmontado o alinhador. Recolocados os parafusos de afinação e reti­ ados r os retalhos anterior e posterior, dando liberdade aos movimentos articulares permi­ idos. t Realizadas todas as extremidades dos respectivos tutores e colocado o pé de plástico, são ensaiados os movimentos permitidos. Os ensinamentos sobre o exercí­ cio da carga já são conhecidos, assim como os de manutenção.
  • 59.
    Capítulo IV –Tratamento “Ortopédico/Funcional” do Membro Inferior 59 Aparelho “Ortopédico/Funcional Pélvi-Isquio-Podálico Posição de execução em decúbito dorsal, em mesa orto­ pédica, com sustentação sob a zona do joelho. A técnica de execução consiste, na pri­ eira fase, em m realizar funcional ísquio­ o­ p dálico, tal o exemplo anterior. Também, à semelhança dos procedi­ entos exercidos m nas fracturas do úme­ o para corrigir e/ou prevenir a acção muscular r em varo.
  • 60.
    60 Capítulo IV – Tratamento “Ortopédico/Funcional” do Membro Inferior Nas fracturas do fémur, e pelas mesmas razões é praticado sobre o tutor da coxa a acção dos Três Pontos de Apoio Estabilizadores. Manobra praticada sobre o gessado, consistindo em exercer, da mesma forma, três níveis de forças: • uma, distalmente, sobre a zona supracondiliana interna do fémur; • outra na face externa sobre o foco de fractura; • a terceira, na extremidade proximal, no sentido da primeira, pelo auxílio de uma outra pessoa ou por força de oposição exercida pela a articulação da anca. Mas, atendendo à acção, em varo, das fortes massas musculares da zona, para facilitar a acção de correcção e/ou prevenção a exercer manualmente, é o membro posicionado em abdução, podendo atingir cerca de 20º nas fracturas do terço proximal do fémur. Exercida “Conformação” Mecâ­ nica Qua­ rangular do Tutor sobre d a raiz da coxa em simultâneo com a reali­ zação do apoio isquiá­ ico, t manobra importante na descarga de exageradas forças de pressão durante o início do exercício da marcha. Observe-se, para além de estar vizível o efeito de descarga do membro por apoio da zona do isquiático sobre o bordo posterior proximal do tutor
  • 61.
    Capítulo IV –Tratamento “Ortopédico/Funcional” do Membro Inferior 61 da coxa; a configuração prismática quadrangular de execução do mesmo, exceptuando a sua face anterior que permanecerá arredondado. São espalmadas as faces late­ rais, sendo essencial realizar efi­ ciente conformação manual sobre as zonas supracondilianas femo­ rais, afim de controlar os movi­ mentos de rotação; movimentos demasiadamente prejudiciais à manutenção da estabilidade. Anula-se o posicionamento em abdução e segue-se a execução do componente íliaco, envolvendo a cintura pélvica, tendo como limites inferiores: posteriormente a inclusão da região sagrada, sendo pela face anterior de forma a deixar as articulações coxofemorais livres. O limite superior situa-se em linha transversal com a terceira costela asternal. A sua “conformação” é realizada sobre os bordos superiores dos íliacos com o auxílio de uma ligadura de pano com cerca de metro e meio, colocada de trás para a frente, cujas extremidades se cruzam sobre a região púbica. É agora a articulação mecânica fixada aos tutores contíguos, unindo-os entre si, cujo eixo é colocado a cerca de 5mm acima da linha com o bordo Antero/superior do grande trocânter, sendo forma eficaz para tornar a região solidária com o membro, impedindo-o dos movimentos de rotação, e de deslocação distal do aparelho.
  • 62.
    62 Capítulo IV – Tratamento “Ortopédico/Funcional” do Membro Inferior Atendendo aos esforços a que esta articulação é submetida terá características físicas compatíveis Obviamente que só permite movimentos de flexão e de extensão da coxa.
  • 63.
    Capítulo V ALGUNS APONTAMENTOS (Considerados relevantes) “As contracções musculares e a carga provocam estímulos osteogénicos, que favorecem uma consolidação mais rápida”. Quando um membro é lesado, essencialmente por fractura óssea, há que, no menor espaço de tempo possível, criar condições para progressivamente reiniciar a sua actividade fisiológica, estabilizando-a pelos melhores métodos ao alcance. A ausência dos movimentos musculares, articula­ es, e a marcha no membro inferior, é r condição que rapidamente leva à degradação tanto dos tecidos moles como do osso, particularmente na região. Com o Método “Ortopédico/Funcional,”que permite precocemente o exercício de contracções musculares, duma forma geral, e a carga no membro inferior, em especial, que para isso está adaptado, para além de “favorecerem uma consolidação mais rápida”, mantêm e/ou recuperam as massas musculares e os movimentos articulares durante a maior parte do período de tratamento.
  • 64.
    64 Capítulo V – Alguns Apontamentos A carga a exercer inicialmente é avaliada, ensi­ nada, treinada, e exercida de forma progressi­ va, consistindo em o paciente, apoiado em canadianas, colocar o pé do membro são sobre uma superfície paralelamente colocada ao mesmo nível da balança, para de seguida nela colocar o pé do membro lesado. O paciente fará accionar a balança até atingir a carga que lhe foi aconselhada, e para obter a sensação de exercer essa carga repetirá o proce­ dimento as vezes suficientes para dela ter noção. Várias razões poderão determinar a manutenção, a diminuição ou o aumento do valor da carga estipulada, mas é o grau de sensação da dor uma valiosa indicação. A marcha de início deve ser pautada por passos curtos e simétricos, alargados progressivamente tendo em conta a desenvoltura adquirida. Assim será mais fácil controlar o exercício da carga, assim como corrigir eventuais assimetrias da marcha. Para além da utilização das canadianas, existem na técnica de execução vários procedimentos que poderão contribuir para subtrair parte substancial da carga exercida sobre o foco de fractura. Nas fracturas da diáfise tibial, é no 1/5º proximal que pela sua maior dimensão, configuração cónica e de base menor inferior, se encontram boas condições de descarga, muito especialmente na face interna, quando em regime de carga progressiva assistida.
  • 65.
    Capítulo V –Alguns Apontamentos 65 Exemplo verificado no tutor de descarga por fractura do calcâneo. A acção daquele apoio poderá ser reforçada em circunstâncias do gessado, articulado ou não no joelho, atingir a raiz da coxa e sobre ela ser exercida conformação quadrangular e simultaneamente apoio isquiático. É este apoio que também concorre para a diminuição da pressão de carga exercida sobre lesões esqueléticas situadas a qualquer nível do membro, mas é essencialmente no segmento femoral onde o efeito é mais notório. Todo o utente que não seguir as instruções que lhe são, de preferência, transmitidas por escrito, corre o risco de concorrer para o insucesso do tratamento.
  • 66.
    66 Capítulo V – Alguns Apontamentos Articulações Mecânicas São os tutores ligados entre si por articulações: • Umas têm por função condicionar os movi­ entos articulares dentro m das amplitudes, tecnicamente, per­ i­ idas. Possuindo me­ a­ is­ mt c n mo adequado. • Outras permitem movimentos livres de extensão e de flexão dentro da fisiologia humana. Umas e outras necessitam de obser­ vação funcional assídua. Ora com reafinação do seu mecanismo, leve mas ajustado; ora uma gota de lubrificante. Poderão elas contribuir em elevado grau tanto para o sucesso como para insucesso. Daí a grande importância do seu funcionamento. A nível do pé • Descalçar a sapatilha; • Abrir a fita de velcro; • Afastar a”Talonette” do contacto com o pé; • Limpar/secar qualquer humidade existente; • Colocar palmilha, preferencialmente de cortiça, entre a “Talonette”e o pé, devendo ser substituída sempre que se apresente com humidade; • Calçar sapatilha adequada às dimensões actuais.
  • 67.
    Bibliografia Albuquerque, M.; Bacalhau,J.; Cardoso, B.; Seiça, T.; Canha, N. e Homem, P. (1983) – “Tratamento Biológico das Fracturas da Diáfise do Úmero”, Rev. Ortopedia y Traumatologia, Vol. 9P - IB-F. 1º, Junho. Albuquerque, M.; Cardoso, B.; Bacalhau, J. e Homem, P. (1984) – “Pelvipodálico Art. no Tratamento de Fracturas Proximais da Diáfise Femoral”, Rev. Ortopedia y Traumatologia, Vol. 10p - Ib-2º fasc. Bacalhau, J.; Albuquerque, M.; Cardoso, B.; Figo, G.; Canha, N. e Homem, P. (1985) – “Tratamento Biológico das Fract. Dos Ossos do Antebraço”, Rev. Ortopedia y Traumatologia, Vol. 11p-Ib - Fasc. 1º, Junho. Fernández Esteve, F. (1980) – Tratamiento de Las Fracturas – Los Yessos Funcionales Conformados. Proença, A.; Homem, P. e Judas, F. (1988) – Técnica de Execução – Imobilizações Funcionais – Curso – Gravação Audiovisual, H.U.C. – Serv. Ortopedia e Traumatologia. Proença, A.; Loureiro, J.; Vilhena, H. e Homem, P. (1988) – Método “Ortopédico/Funcional”.
  • 69.
    Se estes apontamentosnão tiverem o interesse que lhe atribuímos, será o registo – diferente – de um período, na área da Traumatologia (Unidade de Gessos Funcionais) dos Hospitais da Universidade de Coimbra, em que os intervenientes desempenharam a sua actividade com grande empenho e entusiasmo. É com regozijo que recordamos este período. Mas com grande tristeza recordamos a perda tão prematura de um dos elementos da EQUIPA – Prof. Dr. ADRIÃO PROENÇA.
  • 70.
    Em anexo Não tendo sido possível dar a estes apontamentos a componente Científica, não obstante a iniciativa tomada, assim, consideramos ser de interesse, aqui, divulgar uma pequena parte do que então foi dado a conhecer em Portugal e no Estrangeiro sobre o “Método Ortopédico/ /Funcional de tratar fracturas no Serviço de Ortotraumatologia (U.G.F.) dos Hospitais da Universidade de Coimbra.
  • 71.
    Anexo I Revista deOrtopedia y Traumatologia – vol. 9P – IB - fasc. 1º - Junho de 1983
  • 72.
    72 Anexos
  • 73.
  • 74.
    74 Anexos
  • 75.
  • 76.
    76 Anexos
  • 77.
  • 78.
    78 Anexos
  • 79.
  • 80.
    80 Anexos
  • 81.
  • 83.
    Anexo II Revista deOrtopedia y Traumatologia – vol. 10P – IB – Fasc. 2º - Dezembro de 1984
  • 84.
    84 Anexos
  • 85.
  • 86.
    86 Anexos
  • 87.
  • 88.
    88 Anexos
  • 89.
  • 90.
    90 Anexos
  • 91.
    Anexo III Revista deOrtopedia y Traumatologia – Vol. 11P – IB – Fasc. 1º - Junho de 1985
  • 92.
    92 Anexos
  • 93.
  • 94.
    94 Anexos
  • 95.
  • 96.
    96 Anexos
  • 97.
  • 98.
    98 Anexos
  • 99.
  • 100.
    100 Anexos
  • 101.
  • 102.
    102 Anexos
  • 103.
  • 104.
    104 Anexos
  • 105.
  • 106.
    106 Anexos
  • 107.