FUNDAMENTOS DA
OCLUSÃO
PROF. AMANDA MUSHASHE
OCLUSÃO
ATO DE FECHAR, OCLUIR,
OBSTRUÇÃO
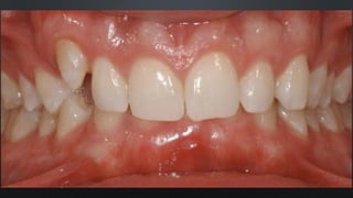
RELACIONAMENTO FISIOLÓGICO ENTRE OS DENTES DOS ARCOS SUPERIOR E
INFERIOR, EM TODAS AS POSIÇÕES E MOVIMENTOS DA MANDÍBULA
LATIM: OCCLUSIO > OBSTRUÇÃO
SISTEMA ESTOMATOGNÁTICO EM
FUNÇÃO
• FALA
• DEGLUTIÇÃO
• MASTIGAÇÃO
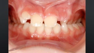
FORMATO DOS ARCOS
QUANDO OS DENTES ENTRAM EM OCLUSÃO?
RELAÇÃO INTERDENTAL
RELAÇÃO ENTRE OS ARCOS
RELAÇÃO DENTÁRIA INTRA-
ARCO
• RELACIONADA COM O CRESCIMENTO ÓSSEO E DESENVOLVIMENTO DENTÁRIO
FORMA DOS ARCOS
• VARIÁVEL ENTRE OS INDIVÍDUOS
• ALTERÁVEL POR FATORES
EXTERNOS (EX: RESPIRADOR
BUCAL)
• PARABÓLICA: SEGMENTO ANTERIOR CURVADO COM LEVE DIVERGÊNCIA DOS
SEGMENTOS POSTERIORES
FORMA DOS ARCOS
• TRIANGULAR (EM V): ESTREITA NO SEGMENTO ANTERIOR E COM
DIVERGÊNCIA NOS SEGMENTOS POSTERIORES
FORMA DOS ARCOS
• TRIANGULAR (EM V): ESTREITA NO SEGMENTO ANTERIOR E COM
DIVERGÊNCIA NOS SEGMENTOS POSTERIORES
FORMA DOS ARCOS
• OVÓIDE: RELATIVA CURVATURA DO SEGMENTO ANTERIOR COM LEVE
CONVERGÊNCIA DOS SEGMENTOS POSTERIORES
FORMA DOS ARCOS
• QUADRADA (EM U): SEGMENTO ANTERIOR PRATICAMENTE RETO E
SEGMENTOS POSTERIORES PARALELOS
FORMA DOS ARCOS
• POSICIONAMENTO PROMOVIDO PELA MUSCULATURA PERIORAL
RELAÇÃO INTERDENTAL
LÁBIOS E
BOCHECHA
LÁBIOS E
BOCHECHA
POSIÇÃO NEUTRA
RELAÇÃO INTERDENTAL
• POSICIONAMENTO PROMOVIDO PELA MUSCULATURA PERIORAL
DURANTE A ERUPÇÃO
• ESPAÇO NO ARCO
• DENTE DIRECIONADO PARA
A POSIÇÃO NEUTRA
• FALTA DE ESPAÇO NO ARCO
• APINHAMENTO
RELAÇÃO INTERDENTAL
• DISCREPÂNCIA MUSCULAR : DESLOCAMENTO DA POSIÇÃO NEUTRA
RELAÇÃO INTERDENTAL
• DISCREPÂNCIA MUSCULAR : DESLOCAMENTO DA POSIÇÃO NEUTRA
RELAÇÃO INTERDENTAL
• HÁBITOS PARAFUNCIONAIS: CHUPAR DEDO, CACHIMBO, INSTRUMENTOS
MUSICAIS
RELAÇÃO INTERDENTAL
• CONTATO PROXIMAL: DETERMINAÇÃO DA POSIÇÃO MÉSIO-DISTAL
• RESULTANTE DE FORÇAS FUNCIONAIS
ENTRE O OSSO ALVEOLAR E LIGAMENTO
PERIODONTAL: SENTIDO MESIAL
LINHA MÉDIA
RELAÇÃO INTERDENTAL
• DESGASTE FISIOLÓGICO DOS CONTATOS PROXIMAIS X COMPENSAÇÃO
MESIAL
RELAÇÃO INTERDENTAL
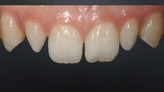
CONTATO PROXIMAL
PONTO DE CONTATO ÁREA DE CONTATO
RELAÇÃO INTERDENTAL
LOCALIZAÇÃO DO PONTO DE CONTATO:
- ENTRE OS 1/3 MÉDIO E INCISAL/OCLUSAL
- ENTRE OS 1/3 MÉDIO E VESTIBULAR
RELAÇÃO INTERDENTAL
SULCO INTERDENTAL: LOCALIZADO
INCISAL/OCLUSALMENTE AO PONTO DE CONTATO
ESPAÇO INTERDENTAL: LOCALIZADO CERVICALMENTE AO
PONTO DE CONTATO
RELAÇÃO INTERDENTAL
AMEIA LINGUAL/PALATINA
AMEIA VESTIBULAR
RELAÇÃO INTERDENTAL
• CONTATO PROXIMAL: - DETERMINAÇÃO DA POSIÇÃO MÉSIO-DISTAL
- PRESERVAÇÃO DO PERIODONTO
RELAÇÃO INTERDENTAL
• CONTATO PROXIMAL: - DETERMINAÇÃO DA POSIÇÃO MÉSIO-DISTAL
- PRESERVAÇÃO DO PERIODONTO
RELAÇÃO INTERDENTAL
• CONTATO PROXIMAL: - DETERMINAÇÃO DA POSIÇÃO MÉSIO-DISTAL
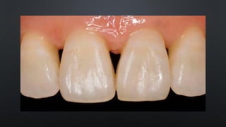
POSICIONAMENTO DOS DENTES EM RELAÇÃO AO ARCO
- PRESERVAÇÃO DO PERIODONTO
- ASPECTO ESTÉTICO DO SORRISO X CONFORMAÇÃO
PAPILAR
“SORRISO COESO”
Distância crista-
ponto de contato
Chance de
presença de
papila
= ou < 5mm 100%
6 mm 56%
= ou > 7mm 27%
Tarnow, Magner & Fletcher 1992
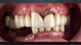
• CONTATO OCLUSAL: DETERMINAÇÃO DA POSIÇÃO CERVICO-OCLUSAL
RELAÇÃO INTERDENTAL
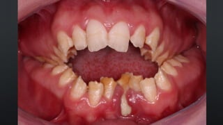
• AUSÊNCIA DENTÁRIA X BUSCA DE CONTATO
EXTRUSÃO
RELAÇÃO INTERDENTAL
RELAÇÃO INTERDENTAL
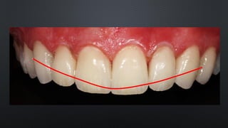
• PLANO OCLUSAL: LINHA RETA IMAGINÁRIA TRAÇADA DA SUPERFÍCIE OCLUSAL
DO ÚLTIMO MOLAR INFERIOR IRROMPIDO ATÉ A BORDA INCISAL DO INCISIVO
CENTRAL INFERIOR
RELAÇÃO DENTÁRIA INTRA-ARCO
• ARCOS DENTAIS LIGEIRAMENTE CURVOS
RELAÇÃO DENTÁRIA INTRA-ARCO
MÁXIMO DE APROVEITAMENTO DOS
CONTATOS DENTAIS DURANTE À FUNÇÃO
CURVAS DE COMPENSAÇÃO
• VISTA LATERAL: LINHA QUE UNE AS BORDAS INCISAIS DOS DENTES ANTERIORES
INFERIORES COM AS PONTAS DE CÚSPIDES VESTIBULARES DOS DENTES
POSTERIORES
RELAÇÃO DENTÁRIA INTRA-ARCO
CURVAS DE COMPENSAÇÃO DE SPEE : CURVA DE SPEE
MARSHALL ET AL 2008.
FERDINAND GRAN VON SPEE 1890
RELAÇÃO DENTÁRIA INTRA-ARCO
CURVAS DE COMPENSAÇÃO DE SPEE : CURVA DE SPEE
CURVA DE SPEE CORRETA: AUXILIA NOS
MOVIMENTOS PROTRUSIVOS
RELAÇÃO DENTÁRIA INTRA-ARCO
CURVAS DE COMPENSAÇÃO DE SPEE : CURVA DE SPEE
SAYAR &OKTAY 2018
• VISTA FRONTAL: LINHA QUE UNE, BILATERALMENTE, AS CÚSPIDES VESTIBULARES E
LINGUAIS DOS DENTES POSTERIORES
RELAÇÃO DENTÁRIA INTRA-ARCO
CURVAS DE COMPENSAÇÃO DE WILSON : CURVA DE WILSON
RELAÇÃO DENTÁRIA INTRA-ARCO
CURVAS DE COMPENSAÇÃO DE WILSON : CURVA DE WILSON
• DETERMINADA PELO FATO DOS DENTES INFERIORES TEREM UMA INCLINAÇÃO
AXIAL VOLTADA PARA LINGUAL
RELAÇÃO DENTÁRIA INTRA-ARCO
CURVAS DE COMPENSAÇÃO DE WILSON : CURVA DE WILSON
• IMPORTANTE PARA OS MOVIMENTOS DE LATERALIDADE DA MANDÍBULA
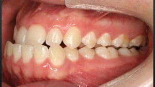
• OVERBITE OU SOBREMORDIDA
RELAÇÃO ENTRE ARCOS
TRESPASSE VERTICAL
• REFERE-SE AO QUANTO OS INCISIVOS SUPERIORES COBREM NOS INFERIORES
• APROXIMADAMENTE 30%
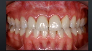
• OVERJET OU SOBRESALIÊNCIA
RELAÇÃO ENTRE ARCOS
TRESPASSE HORIZONTAL
• REFERE-SE AO DISTANCIAMENTO ENTRE OS INCISIVOS SUPERIORES E INFERIORES
• NORMALMENTE 2MM
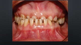
RELAÇÃO ENTRE ARCOS
TRESPASSE HORIZONTAL
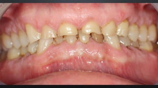
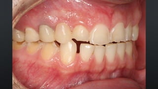
• OCLUSÃO HABITUAL, DETERMINADA PELOS DENTES
RELAÇÃO ENTRE ARCOS
MÁXIMA INTERCUSPIDAÇÃO HABITUAL (MIH)
• OCLUSÃO ONDE SE OBTÉM O MAIOR NÚMERO DE CONTATOS DENTAIS
POSSÍVEIS
• POSIÇÃO DE REABILITAÇÃO EM PACIENTES DENTADOS COM OCLUSÃO
ESTÁVEL
• OCLUSÃO FISIOLÓGICA, DETERMINADA PELA POSIÇÃO DO CÔNDILO
RELAÇÃO ENTRE ARCOS
RELAÇÃO CÊNTRICA (RC)
• O CÔNDILO E O DISCO SE ENCONTRAM EM UMA POSIÇÃO MAIS SUPERIOR E
ANTERIOR NA FOSSA ARTICULAR
• POSIÇÃO DE REABILITAÇÃO EM PACIENTES DESDENTADOS OU COM OCLUSÃO
INSTÁVEL
• TODO PACIENTE PODE SER LEVADA À RC
RELAÇÃO ENTRE ARCOS
RELAÇÃO CÊNTRICA (RC)
- MANIPULAÇÃO BILATERAL
- LÂMINAS DE LONG
• DIMENSÃO VERTICAL DE OCLUSÃO: DISTÂNCIA DA BASE DO NARIZ À BASE
DO MENTO NO MOMENTO EM QUE O PACIENTE ESTIVER OCLUINDO
RELAÇÃO ENTRE ARCOS
DIMENSÕES VERTICAIS
• DIMENSÃO VERTICAL DE REPOUSO: DISTÂNCIA DA BASE DO NARIZ À BASE
DO MENTO NO MOMENTO EM QUE O PACIENTE ESTIVER EM REPOUSO
DVR = DVO + EFL
FORMATO DOS ARCOS
RELAÇÃO INTERDENTAL
RELAÇÃO ENTRE OS ARCOS
RELAÇÃO DENTÁRIA INTRA-
ARCO
REABILITAÇÕES PROTÉTICAS
ORTODONTIA
TRATAMENTO DAS DTM`S
REFERÊNCIAS BIBLIOGRÁFICAS
- OKESON J. P. TRATAMENTO DAS DESORDENS TEMPOROMANDIBULARES E OCLUSÃO. 7. ED.
RIO DE JANEIRO: ELSEVIER, 2013.
- FERNANDES NETO, A. J. OCLUSÃO: PARTE CLÍNICA. 1. PORTO ALEGRE: ARTES MÉDICAS,
2013. RECURSO ONLINE (ABENO). ISBN 9788536702049. – E-BOOK.

Fundamentos da oclusão- slides.pdf

  • 1.
  • 2.
    OCLUSÃO ATO DE FECHAR,OCLUIR, OBSTRUÇÃO RELACIONAMENTO FISIOLÓGICO ENTRE OS DENTES DOS ARCOS SUPERIOR E INFERIOR, EM TODAS AS POSIÇÕES E MOVIMENTOS DA MANDÍBULA LATIM: OCCLUSIO > OBSTRUÇÃO
  • 3.
    SISTEMA ESTOMATOGNÁTICO EM FUNÇÃO •FALA • DEGLUTIÇÃO • MASTIGAÇÃO FORMATO DOS ARCOS QUANDO OS DENTES ENTRAM EM OCLUSÃO? RELAÇÃO INTERDENTAL RELAÇÃO ENTRE OS ARCOS RELAÇÃO DENTÁRIA INTRA- ARCO
  • 5.
    • RELACIONADA COMO CRESCIMENTO ÓSSEO E DESENVOLVIMENTO DENTÁRIO FORMA DOS ARCOS • VARIÁVEL ENTRE OS INDIVÍDUOS • ALTERÁVEL POR FATORES EXTERNOS (EX: RESPIRADOR BUCAL)
  • 6.
    • PARABÓLICA: SEGMENTOANTERIOR CURVADO COM LEVE DIVERGÊNCIA DOS SEGMENTOS POSTERIORES FORMA DOS ARCOS
  • 7.
    • TRIANGULAR (EMV): ESTREITA NO SEGMENTO ANTERIOR E COM DIVERGÊNCIA NOS SEGMENTOS POSTERIORES FORMA DOS ARCOS
  • 8.
    • TRIANGULAR (EMV): ESTREITA NO SEGMENTO ANTERIOR E COM DIVERGÊNCIA NOS SEGMENTOS POSTERIORES FORMA DOS ARCOS
  • 9.
    • OVÓIDE: RELATIVACURVATURA DO SEGMENTO ANTERIOR COM LEVE CONVERGÊNCIA DOS SEGMENTOS POSTERIORES FORMA DOS ARCOS
  • 10.
    • QUADRADA (EMU): SEGMENTO ANTERIOR PRATICAMENTE RETO E SEGMENTOS POSTERIORES PARALELOS FORMA DOS ARCOS
  • 11.
    • POSICIONAMENTO PROMOVIDOPELA MUSCULATURA PERIORAL RELAÇÃO INTERDENTAL LÁBIOS E BOCHECHA
  • 12.
  • 13.
    • POSICIONAMENTO PROMOVIDOPELA MUSCULATURA PERIORAL DURANTE A ERUPÇÃO • ESPAÇO NO ARCO • DENTE DIRECIONADO PARA A POSIÇÃO NEUTRA • FALTA DE ESPAÇO NO ARCO • APINHAMENTO RELAÇÃO INTERDENTAL
  • 14.
    • DISCREPÂNCIA MUSCULAR: DESLOCAMENTO DA POSIÇÃO NEUTRA RELAÇÃO INTERDENTAL
  • 15.
    • DISCREPÂNCIA MUSCULAR: DESLOCAMENTO DA POSIÇÃO NEUTRA RELAÇÃO INTERDENTAL
  • 16.
    • HÁBITOS PARAFUNCIONAIS:CHUPAR DEDO, CACHIMBO, INSTRUMENTOS MUSICAIS RELAÇÃO INTERDENTAL
  • 17.
    • CONTATO PROXIMAL:DETERMINAÇÃO DA POSIÇÃO MÉSIO-DISTAL • RESULTANTE DE FORÇAS FUNCIONAIS ENTRE O OSSO ALVEOLAR E LIGAMENTO PERIODONTAL: SENTIDO MESIAL LINHA MÉDIA RELAÇÃO INTERDENTAL
  • 18.
    • DESGASTE FISIOLÓGICODOS CONTATOS PROXIMAIS X COMPENSAÇÃO MESIAL RELAÇÃO INTERDENTAL
  • 19.
    CONTATO PROXIMAL PONTO DECONTATO ÁREA DE CONTATO RELAÇÃO INTERDENTAL
  • 20.
    LOCALIZAÇÃO DO PONTODE CONTATO: - ENTRE OS 1/3 MÉDIO E INCISAL/OCLUSAL - ENTRE OS 1/3 MÉDIO E VESTIBULAR RELAÇÃO INTERDENTAL
  • 21.
    SULCO INTERDENTAL: LOCALIZADO INCISAL/OCLUSALMENTEAO PONTO DE CONTATO ESPAÇO INTERDENTAL: LOCALIZADO CERVICALMENTE AO PONTO DE CONTATO RELAÇÃO INTERDENTAL
  • 22.
  • 23.
    • CONTATO PROXIMAL:- DETERMINAÇÃO DA POSIÇÃO MÉSIO-DISTAL - PRESERVAÇÃO DO PERIODONTO RELAÇÃO INTERDENTAL
  • 24.
    • CONTATO PROXIMAL:- DETERMINAÇÃO DA POSIÇÃO MÉSIO-DISTAL - PRESERVAÇÃO DO PERIODONTO RELAÇÃO INTERDENTAL
  • 25.
    • CONTATO PROXIMAL:- DETERMINAÇÃO DA POSIÇÃO MÉSIO-DISTAL POSICIONAMENTO DOS DENTES EM RELAÇÃO AO ARCO - PRESERVAÇÃO DO PERIODONTO - ASPECTO ESTÉTICO DO SORRISO X CONFORMAÇÃO PAPILAR
  • 27.
  • 29.
    Distância crista- ponto decontato Chance de presença de papila = ou < 5mm 100% 6 mm 56% = ou > 7mm 27% Tarnow, Magner & Fletcher 1992
  • 32.
    • CONTATO OCLUSAL:DETERMINAÇÃO DA POSIÇÃO CERVICO-OCLUSAL RELAÇÃO INTERDENTAL
  • 33.
    • AUSÊNCIA DENTÁRIAX BUSCA DE CONTATO EXTRUSÃO RELAÇÃO INTERDENTAL
  • 34.
  • 35.
    • PLANO OCLUSAL:LINHA RETA IMAGINÁRIA TRAÇADA DA SUPERFÍCIE OCLUSAL DO ÚLTIMO MOLAR INFERIOR IRROMPIDO ATÉ A BORDA INCISAL DO INCISIVO CENTRAL INFERIOR RELAÇÃO DENTÁRIA INTRA-ARCO
  • 36.
    • ARCOS DENTAISLIGEIRAMENTE CURVOS RELAÇÃO DENTÁRIA INTRA-ARCO MÁXIMO DE APROVEITAMENTO DOS CONTATOS DENTAIS DURANTE À FUNÇÃO CURVAS DE COMPENSAÇÃO
  • 37.
    • VISTA LATERAL:LINHA QUE UNE AS BORDAS INCISAIS DOS DENTES ANTERIORES INFERIORES COM AS PONTAS DE CÚSPIDES VESTIBULARES DOS DENTES POSTERIORES RELAÇÃO DENTÁRIA INTRA-ARCO CURVAS DE COMPENSAÇÃO DE SPEE : CURVA DE SPEE MARSHALL ET AL 2008. FERDINAND GRAN VON SPEE 1890
  • 38.
    RELAÇÃO DENTÁRIA INTRA-ARCO CURVASDE COMPENSAÇÃO DE SPEE : CURVA DE SPEE CURVA DE SPEE CORRETA: AUXILIA NOS MOVIMENTOS PROTRUSIVOS
  • 39.
    RELAÇÃO DENTÁRIA INTRA-ARCO CURVASDE COMPENSAÇÃO DE SPEE : CURVA DE SPEE SAYAR &OKTAY 2018
  • 42.
    • VISTA FRONTAL:LINHA QUE UNE, BILATERALMENTE, AS CÚSPIDES VESTIBULARES E LINGUAIS DOS DENTES POSTERIORES RELAÇÃO DENTÁRIA INTRA-ARCO CURVAS DE COMPENSAÇÃO DE WILSON : CURVA DE WILSON
  • 43.
    RELAÇÃO DENTÁRIA INTRA-ARCO CURVASDE COMPENSAÇÃO DE WILSON : CURVA DE WILSON
  • 44.
    • DETERMINADA PELOFATO DOS DENTES INFERIORES TEREM UMA INCLINAÇÃO AXIAL VOLTADA PARA LINGUAL RELAÇÃO DENTÁRIA INTRA-ARCO CURVAS DE COMPENSAÇÃO DE WILSON : CURVA DE WILSON • IMPORTANTE PARA OS MOVIMENTOS DE LATERALIDADE DA MANDÍBULA
  • 46.
    • OVERBITE OUSOBREMORDIDA RELAÇÃO ENTRE ARCOS TRESPASSE VERTICAL • REFERE-SE AO QUANTO OS INCISIVOS SUPERIORES COBREM NOS INFERIORES • APROXIMADAMENTE 30%
  • 50.
    • OVERJET OUSOBRESALIÊNCIA RELAÇÃO ENTRE ARCOS TRESPASSE HORIZONTAL • REFERE-SE AO DISTANCIAMENTO ENTRE OS INCISIVOS SUPERIORES E INFERIORES • NORMALMENTE 2MM
  • 51.
  • 56.
    • OCLUSÃO HABITUAL,DETERMINADA PELOS DENTES RELAÇÃO ENTRE ARCOS MÁXIMA INTERCUSPIDAÇÃO HABITUAL (MIH) • OCLUSÃO ONDE SE OBTÉM O MAIOR NÚMERO DE CONTATOS DENTAIS POSSÍVEIS • POSIÇÃO DE REABILITAÇÃO EM PACIENTES DENTADOS COM OCLUSÃO ESTÁVEL
  • 60.
    • OCLUSÃO FISIOLÓGICA,DETERMINADA PELA POSIÇÃO DO CÔNDILO RELAÇÃO ENTRE ARCOS RELAÇÃO CÊNTRICA (RC) • O CÔNDILO E O DISCO SE ENCONTRAM EM UMA POSIÇÃO MAIS SUPERIOR E ANTERIOR NA FOSSA ARTICULAR • POSIÇÃO DE REABILITAÇÃO EM PACIENTES DESDENTADOS OU COM OCLUSÃO INSTÁVEL
  • 61.
    • TODO PACIENTEPODE SER LEVADA À RC RELAÇÃO ENTRE ARCOS RELAÇÃO CÊNTRICA (RC) - MANIPULAÇÃO BILATERAL - LÂMINAS DE LONG
  • 63.
    • DIMENSÃO VERTICALDE OCLUSÃO: DISTÂNCIA DA BASE DO NARIZ À BASE DO MENTO NO MOMENTO EM QUE O PACIENTE ESTIVER OCLUINDO RELAÇÃO ENTRE ARCOS DIMENSÕES VERTICAIS • DIMENSÃO VERTICAL DE REPOUSO: DISTÂNCIA DA BASE DO NARIZ À BASE DO MENTO NO MOMENTO EM QUE O PACIENTE ESTIVER EM REPOUSO DVR = DVO + EFL
  • 76.
    FORMATO DOS ARCOS RELAÇÃOINTERDENTAL RELAÇÃO ENTRE OS ARCOS RELAÇÃO DENTÁRIA INTRA- ARCO REABILITAÇÕES PROTÉTICAS ORTODONTIA TRATAMENTO DAS DTM`S
  • 77.
    REFERÊNCIAS BIBLIOGRÁFICAS - OKESONJ. P. TRATAMENTO DAS DESORDENS TEMPOROMANDIBULARES E OCLUSÃO. 7. ED. RIO DE JANEIRO: ELSEVIER, 2013. - FERNANDES NETO, A. J. OCLUSÃO: PARTE CLÍNICA. 1. PORTO ALEGRE: ARTES MÉDICAS, 2013. RECURSO ONLINE (ABENO). ISBN 9788536702049. – E-BOOK.