Citologia Bacteriana
Citologia bacteriana
Canal CS Ciências da Saúde
Assista a aula gravada >>>>
https://uii.io/WU0xLRae
CITOLOGIA BACTERIANA
• Elementos essenciais
• Membrana plasmática
• Citoplasma
• Parede celular
• Cromossomo (DNA bacteriano)
• Plasmídeo (DNA extra-cromossômico)
• Ribossomos
• Grânulos de reserva
• Elementos não essenciais
• Cápsula
• Flagelos
• Fímbrias
• Pili
• Esporos
Assista a aula gravada >>>>
https://uii.io/WU0xLRae
CITOLOGIA BACTERIANA
• Membrana Citoplasmática
• Consiste principalmente de fosfolipídeos que são as substâncias químicas mais
abundantes na membrana, e proteínas. Não possuem esteróis, e por isso são
menos rígidas.
• Funções :
• Seletividade, digestão de nutrientes e na produção de energia – contêm enzimas capazes
de catalisar as reações químicas que degradam os nutrientes e produzem ATP.
• Algumas bactérias possuem invaginações na membrana plasmática:
• Mesossomos – invaginações grandes e irregulares (artefatos e não estrutura), pode
participar no processo de divisão celular e pode conter enzimas respiratórias.
Assista a aula gravada >>>>
https://uii.io/WU0xLRae
CITOLOGIA BACTERIANA
• Citoplasma
• Envolvido pela membrana citoplasmática;
• Substâncias fluídas com diferentes estruturas;
• Composição:
• Água - 80%
• Lipídios
• Proteínas
• Polissacarídeos
• Moléculas de baixo pelo molecular
• Nucleotídeos
20%
Nos organismos procariotos não há organelas
membranosas
• Cromossomo bacteriano
• Ribossomos
• Grânulos/ inclusões
citoplasmáticas
• Vacúolos gasosos
CITOLOGIA BACTERIANA
• Parede celular
• Estrutura complexa e semirrígida
• Funções:
• Da forma a célula bacteriana
• Circunda a membrana plasmática protegendo-a das alterações adversas do
meio externo
• Previne a ruptura da célula bacteriana quando a pressão da água dentro da
célula é maior que fora dela (principal função)
• Contribui para que algumas espécies causem doenças
• Local de ação de alguns antibióticos
• Sítio de reação com anticorpos e proteínas do complementos
• Sua composição química é usada para diferenciar os principais grupos de
bactérias:
• Gram positivas e Gram negativas
CITOLOGIA BACTERIANA
• Composição e características da parede celular
• Composta por peptidoglicanos , por vezes denominado de mureína;
• O peptidoglicano consiste em um dissacarídeo ligado por
polipeptídios para formar a parede celular
• O dissacarídeo é composto por monossacarídeos denominados N-
acetilglicosamina (NAG) e ácido N-acetilmurâmico (NAM)
Dependendo da
quantidade de
camadas
CITOLOGIA BACTERIANA
• Parede celular de bactérias Gram-positivas
• Consiste em muitas camadas de peptideoglicanos,
formando uma estrutura espessa e rígida.
• Contêm duas classes de ácidos: Ácido teicóico da
parede e o ácido lipoteicóico que atravessa a parede
e liga-se a membrana.
• Funções:
• Se ligam e regulam o movimento de cátions (íons positivos) para dentro e para fora da célula.
• Também podem assumir um papel no crescimento celular, impedindo a ruptura extensa da
parede e a possível lise celular.
• Fornecem especificidade antigênica da parede e, portanto, tornam possível identificar bactérias
gram-positivas utilizando determinados testes laboratoriais
CITOLOGIA BACTERIANA
• Parede celular de bactérias Gram-negativas
• As paredes celulares das bactérias gram-negativas consistem em uma ou
poucas camadas de peptideoglicano e uma membrana externa;
• A camada de peptideoglicano liga-se a membrana externa através de
lipoproteínas (estão localizadas no espaço periplasmático).
• Periplasma: É semelhante a um gel, entre a
membrana externa e a membrana plasmática.
• Contém uma alta concentração de enzimas de
degradação e proteínas de transporte.
• BGN por possuírem somente uma pequena
quantidade de peptideoglicano, são mais
suscetíveis ao rompimento mecânico
• Membrana externa da célula gram-negativa: consiste em
lipopolissacarídeos (LPS), lipoproteínas e fosfolipídeos.
• Funções especializadas:
• Sua forte carga negativa é um fator importante na evasão
da fagocitose e nas ações do complemento (causa lise de
células e promove a fagocitose);
• Também fornece uma barreira para certos antibióticos (p.
ex., penicilina), enzimas digestivas como a lisozima,
detergentes, metais pesados, sais biliares e certos corantes;
• As porinas (proteínas transmembranares) permitem a
passagem de moléculas como nucleotídeos, dissacarídeos,
peptídeos, aminoácidos, vitamina B12 e ferro
• Lipopolissacarídeo (LPS): É uma molécula grande e complexa que contém lipídeos e carboidratos e que
consiste em três componentes:
• Lipídeo A – é a porção lipídica do LPS e está inserido na parede superior da membrana externa. Quando
bactérias gram-negativas morrem, elas liberam lipídeo A, que funciona como uma endotoxina.
responsável pelos sintomas associados a bactérias gram- -negativas, como febre, dilatação de vasos
venosos, choque e formação de coágulos sanguíneos.
• Cerne polissacarídico: Seu papel é estrutural – fornecer estabilidade.
• Polissacarídeo O: funciona como um antígeno, sendo útil para diferenciar espécies de bactérias gram-
negativas.
CITOLOGIA BACTERIANA
• Paredes celulares atípicas
• Entre os procariotos, certos tipos de células não possuem paredes ou têm pouco
material de parede.
• Gênero Mycoplasma: são as menores bactérias conhecidas. Devido ao seu
tamanho e por não terem paredes celulares, passam através da maioria dos
filtros bacterianos, tendo sido inicialmente confundidos com vírus.
• São as únicas a possuírem na membrana plasmática lipídeos denominados de esteróis, os
quais podem protege-las da lise (ruptura);
• Arquibactérias: podem não ter a parede ou ter incomum – compostas de
polissacarídeos e proteínas (mas não de peptideoglicano), denominada de
pseudomureína.
• Geralmente não podem ser coradas pelo gram, mas aparentam ser gram-negativas por não
conterem peptideoglicano.
CITOLOGIA BACTERIANA
• Cromossomo bacteriano ou nucleoide
• É uma grande fita de DNA circular e solto no citoplasma (sem carioteca)
• Carrega todos os dados necessários para as estruturas e as funções celulares
• O cromossomo está fixado à membrana plasmática
• Acredita-se que proteínas na membrana plasmática sejam responsáveis pela
replicação do DNA e pela segregação dos novos cromossomos para as
células-filhas, na divisão celular.
CITOLOGIA BACTERIANA
• Plasmídeo
• Pequena fita de DNA circular (Extracromossômico)
• Replicam-se independentemente do cromossomo bacteriano
• Não determinam características essenciais para a sobrevivência da bactéria
• Confere vantagens a bactéria dependendo do tipo
• Podem ser adquiridos ou perdidos sem causar dano à célula.
• Tipos de plasmídeo e funções:
• Plasmídeo R: resistência a antibióticos e metais pesados
• Plasmídeo F: fertilidade bacteriana (conjugação)
• Plasmídeos de virulência
• Produção de toxinas
• Síntese de enzimas
CITOLOGIA BACTERIANA
• Ribossomos
• Todas as células eucarióticas e procarióticas contêm.
• Função: Síntese de proteínas.
• São compostos de duas subunidades (30s e 50s – denominados ribossomos 70S ), cada qual
consistindo de proteína e de RNA ribossômico (rRNA). Células eucariontes – ribossomos
80s.
• Vários antibióticos atuam inibindo a síntese proteica nos ribossomos
procarióticos
• Estreptomicina e a gentamicina fixam-se à subunidade 30S e interferem com a síntese
proteica.
• Eritromicina e o cloranfenicol, interferem na síntese proteica pela fixação à subunidade 50S.
Devido às diferenças nos ribossomos procarióticos e eucarióticos, a célula microbiana pode ser morta pelo antibiótico
enquanto a célula do hospedeiro eucariótico permanece intacta.
CITOLOGIA BACTERIANA
• Grânulos de reserva/ Inclusões
• No citoplasma bacteriano existe varias inclusões (depósitos de reserva). As células podem acumular
certos nutrientes quando eles são abundantes e usá-los quando estão escassos no ambiente
• Grânulos metacromáticos: reserva de fosfato inorgânico que pode ser usada na síntese de
ATP. São encontrados em algas, fungos e protozoários, bem como em bactérias.
• Corynebacterium diphtheriae: agente causador da difteria.
• Grânulos polissacarídico: compostas de glicogênio e amido.
• Inclusões lipídicas: armazenamento de lipídeos (Mycobacterium, Bacillus, Azotobacter).
• Grânulos de enxofre: Gênero Thiobacillus – obtêm energia oxidando o enxofre e compostos
contendo enxofre.
• Carboxissomos: inclusões que contêm a enzima ribulose-1,5-difosfato-carboxilase, enzima
importante para as bactérias que fazem fixação de dióxido de carbono durante a
fotossíntese.
• Magnetossomos: são inclusões de óxido de ferro (Fe3O4).
CITOLOGIA BACTERIANA
A maioria das bactérias varia de 0,2 a 2,0 μm de diâmetro e de 2 a 8 μm de
comprimento.
CITOLOGIA BACTERIANA
• Coloração de Gram
• Foi desenvolvida em 1884 pelo bacteriologista dinamarquês Hans Christian
Gram. Ela é um dos procedimentos de coloração mais úteis, pois classifica as
bactérias em dois grandes grupos: gram-positivas e gram-negativas.
• Corantes:
• Cristal violeta
• Iodo/lugol
• Álcool
• Safranina/ Fucsina
• Lâmina de vidro – esfregaço
BACTERIOLOGIA
O cristal violeta e o iodo penetram facilmente as células gram-positivas e gram-negativas (ambas coram de roxo) . Dentro
das mesmas, o cristal violeta e o iodo se combinam para formar o complexo CV-Iodo. Esse complexo é maior que a
molécula de cristal violeta, e devido a isso não é removido pelo álcool nas bactérias GRAM POSITIVA.
GRAM NEGATIVA: o álcool rompe a camada externa de lipopolissacarídeo, e o complexo CV-I é removido através da
camada delgada de peptideoglicano. Ficando incolores e posteriormente sendo coradas pela Safranina/ Fucsina de ROSA.
CITOLOGIA BACTERIANA
CITOLOGIA BACTERIANA
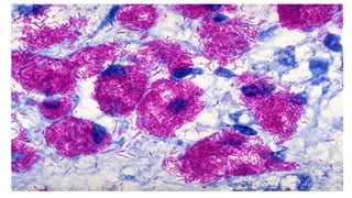
• Coloração de Ziehl-Neelsen/ Coloração álcool-ácido resistente
• Utilizada para identificar todas as bactérias do gênero Mycobacterium
• Mycobacterium tuberculosis, o agente causador da tuberculose, e
• Mycobacterium leprae, o agente causador da lepra.
• Gênero Nocardia sp.
• Micobactérias:
• Bacilos finos
• Possuem grande quantidade ácidos
graxos (chamados de ácido micólico)
• Bactérias intracelulares obrigatórias.
Corante vermelho carbolfucsina
Coloração Ziehl-Neelsen
FIM
Assista a aula gravada >>>>
https://uii.io/WU0xLRae

Citologia Bacteriana - Parte 1.pdf

  • 1.
    Citologia Bacteriana Citologia bacteriana CanalCS Ciências da Saúde Assista a aula gravada >>>> https://uii.io/WU0xLRae
  • 2.
    CITOLOGIA BACTERIANA • Elementosessenciais • Membrana plasmática • Citoplasma • Parede celular • Cromossomo (DNA bacteriano) • Plasmídeo (DNA extra-cromossômico) • Ribossomos • Grânulos de reserva • Elementos não essenciais • Cápsula • Flagelos • Fímbrias • Pili • Esporos Assista a aula gravada >>>> https://uii.io/WU0xLRae
  • 3.
    CITOLOGIA BACTERIANA • MembranaCitoplasmática • Consiste principalmente de fosfolipídeos que são as substâncias químicas mais abundantes na membrana, e proteínas. Não possuem esteróis, e por isso são menos rígidas. • Funções : • Seletividade, digestão de nutrientes e na produção de energia – contêm enzimas capazes de catalisar as reações químicas que degradam os nutrientes e produzem ATP. • Algumas bactérias possuem invaginações na membrana plasmática: • Mesossomos – invaginações grandes e irregulares (artefatos e não estrutura), pode participar no processo de divisão celular e pode conter enzimas respiratórias. Assista a aula gravada >>>> https://uii.io/WU0xLRae
  • 4.
    CITOLOGIA BACTERIANA • Citoplasma •Envolvido pela membrana citoplasmática; • Substâncias fluídas com diferentes estruturas; • Composição: • Água - 80% • Lipídios • Proteínas • Polissacarídeos • Moléculas de baixo pelo molecular • Nucleotídeos 20% Nos organismos procariotos não há organelas membranosas • Cromossomo bacteriano • Ribossomos • Grânulos/ inclusões citoplasmáticas • Vacúolos gasosos
  • 5.
    CITOLOGIA BACTERIANA • Paredecelular • Estrutura complexa e semirrígida • Funções: • Da forma a célula bacteriana • Circunda a membrana plasmática protegendo-a das alterações adversas do meio externo • Previne a ruptura da célula bacteriana quando a pressão da água dentro da célula é maior que fora dela (principal função) • Contribui para que algumas espécies causem doenças • Local de ação de alguns antibióticos • Sítio de reação com anticorpos e proteínas do complementos • Sua composição química é usada para diferenciar os principais grupos de bactérias: • Gram positivas e Gram negativas
  • 6.
    CITOLOGIA BACTERIANA • Composiçãoe características da parede celular • Composta por peptidoglicanos , por vezes denominado de mureína; • O peptidoglicano consiste em um dissacarídeo ligado por polipeptídios para formar a parede celular • O dissacarídeo é composto por monossacarídeos denominados N- acetilglicosamina (NAG) e ácido N-acetilmurâmico (NAM) Dependendo da quantidade de camadas
  • 7.
    CITOLOGIA BACTERIANA • Paredecelular de bactérias Gram-positivas • Consiste em muitas camadas de peptideoglicanos, formando uma estrutura espessa e rígida. • Contêm duas classes de ácidos: Ácido teicóico da parede e o ácido lipoteicóico que atravessa a parede e liga-se a membrana. • Funções: • Se ligam e regulam o movimento de cátions (íons positivos) para dentro e para fora da célula. • Também podem assumir um papel no crescimento celular, impedindo a ruptura extensa da parede e a possível lise celular. • Fornecem especificidade antigênica da parede e, portanto, tornam possível identificar bactérias gram-positivas utilizando determinados testes laboratoriais
  • 8.
    CITOLOGIA BACTERIANA • Paredecelular de bactérias Gram-negativas • As paredes celulares das bactérias gram-negativas consistem em uma ou poucas camadas de peptideoglicano e uma membrana externa; • A camada de peptideoglicano liga-se a membrana externa através de lipoproteínas (estão localizadas no espaço periplasmático). • Periplasma: É semelhante a um gel, entre a membrana externa e a membrana plasmática. • Contém uma alta concentração de enzimas de degradação e proteínas de transporte. • BGN por possuírem somente uma pequena quantidade de peptideoglicano, são mais suscetíveis ao rompimento mecânico
  • 9.
    • Membrana externada célula gram-negativa: consiste em lipopolissacarídeos (LPS), lipoproteínas e fosfolipídeos. • Funções especializadas: • Sua forte carga negativa é um fator importante na evasão da fagocitose e nas ações do complemento (causa lise de células e promove a fagocitose); • Também fornece uma barreira para certos antibióticos (p. ex., penicilina), enzimas digestivas como a lisozima, detergentes, metais pesados, sais biliares e certos corantes; • As porinas (proteínas transmembranares) permitem a passagem de moléculas como nucleotídeos, dissacarídeos, peptídeos, aminoácidos, vitamina B12 e ferro • Lipopolissacarídeo (LPS): É uma molécula grande e complexa que contém lipídeos e carboidratos e que consiste em três componentes: • Lipídeo A – é a porção lipídica do LPS e está inserido na parede superior da membrana externa. Quando bactérias gram-negativas morrem, elas liberam lipídeo A, que funciona como uma endotoxina. responsável pelos sintomas associados a bactérias gram- -negativas, como febre, dilatação de vasos venosos, choque e formação de coágulos sanguíneos. • Cerne polissacarídico: Seu papel é estrutural – fornecer estabilidade. • Polissacarídeo O: funciona como um antígeno, sendo útil para diferenciar espécies de bactérias gram- negativas.
  • 10.
    CITOLOGIA BACTERIANA • Paredescelulares atípicas • Entre os procariotos, certos tipos de células não possuem paredes ou têm pouco material de parede. • Gênero Mycoplasma: são as menores bactérias conhecidas. Devido ao seu tamanho e por não terem paredes celulares, passam através da maioria dos filtros bacterianos, tendo sido inicialmente confundidos com vírus. • São as únicas a possuírem na membrana plasmática lipídeos denominados de esteróis, os quais podem protege-las da lise (ruptura); • Arquibactérias: podem não ter a parede ou ter incomum – compostas de polissacarídeos e proteínas (mas não de peptideoglicano), denominada de pseudomureína. • Geralmente não podem ser coradas pelo gram, mas aparentam ser gram-negativas por não conterem peptideoglicano.
  • 11.
    CITOLOGIA BACTERIANA • Cromossomobacteriano ou nucleoide • É uma grande fita de DNA circular e solto no citoplasma (sem carioteca) • Carrega todos os dados necessários para as estruturas e as funções celulares • O cromossomo está fixado à membrana plasmática • Acredita-se que proteínas na membrana plasmática sejam responsáveis pela replicação do DNA e pela segregação dos novos cromossomos para as células-filhas, na divisão celular.
  • 12.
    CITOLOGIA BACTERIANA • Plasmídeo •Pequena fita de DNA circular (Extracromossômico) • Replicam-se independentemente do cromossomo bacteriano • Não determinam características essenciais para a sobrevivência da bactéria • Confere vantagens a bactéria dependendo do tipo • Podem ser adquiridos ou perdidos sem causar dano à célula. • Tipos de plasmídeo e funções: • Plasmídeo R: resistência a antibióticos e metais pesados • Plasmídeo F: fertilidade bacteriana (conjugação) • Plasmídeos de virulência • Produção de toxinas • Síntese de enzimas
  • 13.
    CITOLOGIA BACTERIANA • Ribossomos •Todas as células eucarióticas e procarióticas contêm. • Função: Síntese de proteínas. • São compostos de duas subunidades (30s e 50s – denominados ribossomos 70S ), cada qual consistindo de proteína e de RNA ribossômico (rRNA). Células eucariontes – ribossomos 80s. • Vários antibióticos atuam inibindo a síntese proteica nos ribossomos procarióticos • Estreptomicina e a gentamicina fixam-se à subunidade 30S e interferem com a síntese proteica. • Eritromicina e o cloranfenicol, interferem na síntese proteica pela fixação à subunidade 50S. Devido às diferenças nos ribossomos procarióticos e eucarióticos, a célula microbiana pode ser morta pelo antibiótico enquanto a célula do hospedeiro eucariótico permanece intacta.
  • 14.
    CITOLOGIA BACTERIANA • Grânulosde reserva/ Inclusões • No citoplasma bacteriano existe varias inclusões (depósitos de reserva). As células podem acumular certos nutrientes quando eles são abundantes e usá-los quando estão escassos no ambiente • Grânulos metacromáticos: reserva de fosfato inorgânico que pode ser usada na síntese de ATP. São encontrados em algas, fungos e protozoários, bem como em bactérias. • Corynebacterium diphtheriae: agente causador da difteria. • Grânulos polissacarídico: compostas de glicogênio e amido. • Inclusões lipídicas: armazenamento de lipídeos (Mycobacterium, Bacillus, Azotobacter). • Grânulos de enxofre: Gênero Thiobacillus – obtêm energia oxidando o enxofre e compostos contendo enxofre. • Carboxissomos: inclusões que contêm a enzima ribulose-1,5-difosfato-carboxilase, enzima importante para as bactérias que fazem fixação de dióxido de carbono durante a fotossíntese. • Magnetossomos: são inclusões de óxido de ferro (Fe3O4).
  • 15.
    CITOLOGIA BACTERIANA A maioriadas bactérias varia de 0,2 a 2,0 μm de diâmetro e de 2 a 8 μm de comprimento.
  • 16.
    CITOLOGIA BACTERIANA • Coloraçãode Gram • Foi desenvolvida em 1884 pelo bacteriologista dinamarquês Hans Christian Gram. Ela é um dos procedimentos de coloração mais úteis, pois classifica as bactérias em dois grandes grupos: gram-positivas e gram-negativas. • Corantes: • Cristal violeta • Iodo/lugol • Álcool • Safranina/ Fucsina • Lâmina de vidro – esfregaço
  • 17.
    BACTERIOLOGIA O cristal violetae o iodo penetram facilmente as células gram-positivas e gram-negativas (ambas coram de roxo) . Dentro das mesmas, o cristal violeta e o iodo se combinam para formar o complexo CV-Iodo. Esse complexo é maior que a molécula de cristal violeta, e devido a isso não é removido pelo álcool nas bactérias GRAM POSITIVA. GRAM NEGATIVA: o álcool rompe a camada externa de lipopolissacarídeo, e o complexo CV-I é removido através da camada delgada de peptideoglicano. Ficando incolores e posteriormente sendo coradas pela Safranina/ Fucsina de ROSA.
  • 18.
  • 19.
    CITOLOGIA BACTERIANA • Coloraçãode Ziehl-Neelsen/ Coloração álcool-ácido resistente • Utilizada para identificar todas as bactérias do gênero Mycobacterium • Mycobacterium tuberculosis, o agente causador da tuberculose, e • Mycobacterium leprae, o agente causador da lepra. • Gênero Nocardia sp. • Micobactérias: • Bacilos finos • Possuem grande quantidade ácidos graxos (chamados de ácido micólico) • Bactérias intracelulares obrigatórias.
  • 20.
  • 23.
    FIM Assista a aulagravada >>>> https://uii.io/WU0xLRae