TABACO E VOCÊ! NADA A VER!
VIVIAN MELO PIWOWARCZYK
ENFERMEIRA DO TRABALHO
O Tabagismo é uma doença...
Pediátrica
85% dos tabagistas
começam a fumar
antes do 16 anos
O Tabagismo é uma doença...
Crônica
Causa dependência:
80% dos tabagistas
querem parar, mas
só 3% conseguem
parar a cada ano
O Tabagismo é uma doença...
Transmissível
Propaganda
Publicidade
Marketing
Influência das
celebridades...
O Tabagismo é uma doença...
São gastos US$ 12,4 bilhões
por ano em marketing
pelas indústrias de
fumo nos EUA !!!
Transmissível
O Tabagismo é uma doença...
Contagiosa Fumo passivo
O fumo passivo é
responsável por
um aumento de
30% no risco de
câncer de pulmão
•Maior poluente doméstico-ambiental;
•Filhos de fumantes têm mais infecções
respiratórias (2 vezes mais) e maior incidência
de asma que filhos de não-fumantes;
O Tabagismo é uma doença...
10º Código Internacional de Doenças
CID F17.1
Transtornos mentais e comportamentais devidos
ao uso de fumo - uso nocivo para a saúde
Infecções
respiratórias
(%)
Sem
fumantes
Com 1
fumante
Com 2
fumantes
Com + de 2
fumantes
0
10
20
30
40
50 Relação infecções
respiratórias em
crianças x n°de
fumantes no domicílio
Grávidas que fumam
aumentam o risco:
• de aborto espontâneo em
70%
• de perder o bebê próximo ou
depois do parto em 30%
• do bebê nascer prematuro
em 40%
• de ter o bebê com baixo peso
em 200%
Malformações fetais provocadas
pelo tabagismo na gravidez
Tabagismo - Epidemiologia
1/3 da população mundial adulta fuma
1 bilhão e 200 milhões de pessoas
Tabagismo - Mortalidade
4,9 milhões de mortes anuais
10 mil mortes por dia !!!
Principal causa de morte evitável
EPIDEMIOLOGIA:
• 51% dos brasileiros já fizeram uso
do cigarro alguma vez;
• 20,3% dos homens e 14.8% das
mulheres fumam regularmente no
Brasil;
• 11% das crianças e adolescentes
brasileiros já fumaram e 6,2% o
fazem regularmente
EPIDEMIOLOGIA:
• 50% dos fumantes irão falecer de alguma doença
relacionada ao cigarro;
• 24 causas de morte estão associadas ao cigarro
diretamente (ex: câncer de boca, faringe, laringe,
esôfago, pulmões, pâncreas, estômago, bexiga,
DPOC, úlcera péptica, doenças vasculares, etc...);
• Quem fuma tem 3 vezes mais chance de morrer do
que o não- fumante entre 45 e 64 anos);
• Pacientes que pararam de fumar antes de 35 anos
têm a mesma expectativa de vida dos não-fumantes
ESCALA DE FAGESTRÖM:
1= Quanto tempo após acordar fuma o primeiro cigarro?
< 5 min= 3 pontos 6-30 min= 2 pontos
31 – 60 min = 1 ponto > 60min= 0
2= Você acha difícil não fumar em lugares proibidos
(igrejas, bibliotecas, ônibus)? Sim= 1 ponto Não= 0
3=Qual o cigarro que te traz mais satisfação? O primeiro
da manhã= 1 ponto Outros= 0
4= Quantos cigarros você fuma por dia? < 10= 0 11 –
20= 1 ponto 21 – 30= 2 pontos > 31= 3 pontos
5= Você fuma mais pela manhã? Sim= 1 ponto Não= 0
6= Você fuma mesmo doente? Sim= 1 ponto Não= 0
ESCALA DE FAGESTRÖM:
CONCLUSÃO: Grau de dependência da nicotina:
0 a 2 pontos: muito baixo
3 a 4 pontos: baixo
5 pontos: médio
6 a 7 pontos: elevado
8 a 10 pontos: muito elevado
Obs: acima de 6 pontos o paciente terá síndrome de abstinência
ao deixar de fumar.
COMPOSIÇÃO DO CIGARRO:
• 4.500 substâncias (nitrogênio, gás
carbônico, monóxido de carbono, benzeno,
amônia, tolueno, alcatrão, nicotina,
colesterol, fenol, ácido fórmico, ácido
acético, chumbo, cádmio, zinco, níquel,
rádio-226, polônio-210, ...)
O que é Nicotina:
• Alcalóide vegetal básico lipossolúvel e
hidrossolúvel;
• No cigarro está na forma ácida
(absorvido pelos alvéolos);
• No charuto e cachimbo na forma básica
(absorvido pela mucosa oral);
• Chega do alvéolo ao cérebro em 7 a 20 segundos;
• No SNC liga-se a receptores colinérgicos
musculares e neuronais provocando uma
SATISFAÇÃO.
• Metabolizada pela enzima CYP2A6.
TABAGISMO E
ENVELHECIMENTO
Folha de São Paulo 26.07.04
O cigarro, até agora visto como fator
secundário de envelhecimento da pele, já é
considerado o principal causador de rugas
profundas no rosto, especialmente nas
mulheres.
Pesquisas recentes mostram que a
nicotina produz uma enzima que destrói as
fibras que formam o colágeno, substância
protéica das fibras da pele.
SINDROME DE ABSTINÊNCIA (70-90%)
- Tonteira
- Depressão
- Frustração
- Impaciência
- Ansiedade
- Irritabilidade
- Alterações do sono
- Concentração
- Cefaléia
- Aumento do apetite
Etc.
TRATAMENTO DO TABAGISMO
TRATAMENTO DO
TABAGISMO:
2. MEDICAMENTOSO: Indicado em pacientes
com 2 ou mais categorias abaixo:
• Fumantes de 20 ou mais cigarros/dia;
• Fumantes de 10 ou mais cigarros/dia, que fumam
o primeiro cigarro até 30 min após acordar;
• Fumantes com escore de Fagestrom = ou > 5;
• Fumantes que já pararam de fumar anteriormente
sem medicação e voltaram devido à síndrome de
abstinência;
• Não haver contra-indicações clínicas.
TRATAMENTO DO
TABAGISMO:
2.1 BUPROPIONA: Inibidor da recaptação da
norepinefrina, serotonina e dopamina.
Diminui a vontade de fumar e os sintomas da
síndrome de abstinência.
Contra-indicada em pacientes com história prévia
de crise convulsiva, tumor de SNC, anorexia
nervosa, bulimia, alcoólatra em fase de retirada do
álcool.
Tomar 1 comp de 150mg de manhã 3 dias, no
quarto dia parar de fumar e tomar 1 comp de
manhã e 1 comp 8 hs depois por 8 semanas.
TRATAMENTO DO
TABAGISMO:
2.2 NORTRIPTILINA: Medicação de
segunda linha.
Menos eficaz que a Bupropiona, porém
indicada nos casos que esta não pode ser
usada.
Tomar 1 cap de 50mg à noite 8 semanas.
TRATAMENTO DO
TABAGISMO:
• 2.3 NICOTINA DE LIBERAÇÃO
TRANSDÉRMICA: trocado a cada 24hs.
aplicado na pele sem pêlos.
 Não fumar durante o seu uso.
 Começar com adesivo de 21mg e a cada 4 semanas
diminuir a dosagem para 14mg e 7mg.
 Tratar por 12 semanas.
 Fumantes entre 10 a 20 cigarros/dia iniciar com
14mg.
 Contra indicado: IAM recente, gestação e
amamentação.
TRATAMENTO DO
TABAGISMO:
2.4 GOMA DE MASCAR DE NICOTINA:
1 tablete de 2mg a cada 1 a 2 hs por 4 semanas e ir
aumentando os intervalos até a retirada em 3
meses.
Contra-indicado em pacientes com incapacidade de
mascar, úlcera péptica, IAM recente.
obs:. O gosto amargo é um inconveniente.
Principais doenças
associadas
ao Tabagismo
Doença coronariana
O risco de fumantes
desenvolverem doença
coronariana é 2 a
4x maior do que
os não-fumantes
Infarto agudo
do miocárdio
O tabagismo é
responsável por
45% das mortes
por infarto agudo
do miocárdio
Doença cerebrovascular
O tabagismo é responsável por 25% das doenças
cerebrovasculares (principalmente AVC)
Acidente vascular cerebral
(AVC) isquêmico
AVC hemorrágico
Doença vascular periférica
O risco de fumantes
desenvolverem doença
vascular periférica é
10x maior do que
os não-fumantes
Doença de Buerger
Tromboangeíte obliterante
Doença de Buerger (tromboangeíte obliterante)
Doença de Buerger (tromboangeíte obliterante)
O tabagismo aumenta
o risco de úlcera
gástrica e duodenal
em até 10 vezes
Úlcera
péptica
Doença periodontal
Catarata
O tabagismo aumenta o
risco de desenvolvimento
de Catarata em 2,5 vezes
DPOC
Doença Pulmonar Obstrutiva Crônica
• Bronquite Crônica
• Enfisema
O tabagismo é
responsável por
85% dos casos
de DPOC
Brônquio Normal Bronquite Crônica
Pulmão normal Pulmão de fumante
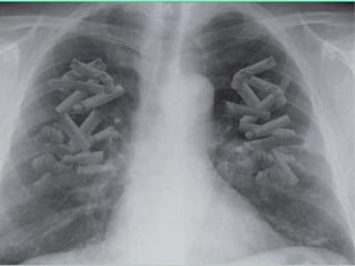
Câncer
x
tabagismo
Câncer de boca
Câncer de laringe
Câncer
de
pulmão
90% dos casos
de Câncer de
pulmão são
em fumantes
Tabagista pesado
(> 2 maços/dia)
tem risco 30x maior
de câncer de pulmão
que o não-fumante
Bryan Lee Curtis,
32 anos, fumante
desde os 13 anos, e
seu filho Bryan Jr.
29/03/99
03/06/99
Bryan, 32 anos, no dia de sua morte por câncer de pulmão
Obrigado
pela atenção !

Tabagismo.ppt

  • 1.
    TABACO E VOCÊ!NADA A VER! VIVIAN MELO PIWOWARCZYK ENFERMEIRA DO TRABALHO
  • 2.
    O Tabagismo éuma doença... Pediátrica 85% dos tabagistas começam a fumar antes do 16 anos
  • 3.
    O Tabagismo éuma doença... Crônica Causa dependência: 80% dos tabagistas querem parar, mas só 3% conseguem parar a cada ano
  • 4.
    O Tabagismo éuma doença... Transmissível Propaganda Publicidade Marketing Influência das celebridades...
  • 5.
    O Tabagismo éuma doença... São gastos US$ 12,4 bilhões por ano em marketing pelas indústrias de fumo nos EUA !!! Transmissível
  • 6.
    O Tabagismo éuma doença... Contagiosa Fumo passivo O fumo passivo é responsável por um aumento de 30% no risco de câncer de pulmão •Maior poluente doméstico-ambiental; •Filhos de fumantes têm mais infecções respiratórias (2 vezes mais) e maior incidência de asma que filhos de não-fumantes;
  • 7.
    O Tabagismo éuma doença... 10º Código Internacional de Doenças CID F17.1 Transtornos mentais e comportamentais devidos ao uso de fumo - uso nocivo para a saúde
  • 8.
    Infecções respiratórias (%) Sem fumantes Com 1 fumante Com 2 fumantes Com+ de 2 fumantes 0 10 20 30 40 50 Relação infecções respiratórias em crianças x n°de fumantes no domicílio
  • 9.
    Grávidas que fumam aumentamo risco: • de aborto espontâneo em 70% • de perder o bebê próximo ou depois do parto em 30% • do bebê nascer prematuro em 40% • de ter o bebê com baixo peso em 200%
  • 10.
  • 11.
    Tabagismo - Epidemiologia 1/3da população mundial adulta fuma 1 bilhão e 200 milhões de pessoas
  • 12.
    Tabagismo - Mortalidade 4,9milhões de mortes anuais 10 mil mortes por dia !!! Principal causa de morte evitável
  • 13.
    EPIDEMIOLOGIA: • 51% dosbrasileiros já fizeram uso do cigarro alguma vez; • 20,3% dos homens e 14.8% das mulheres fumam regularmente no Brasil; • 11% das crianças e adolescentes brasileiros já fumaram e 6,2% o fazem regularmente
  • 14.
    EPIDEMIOLOGIA: • 50% dosfumantes irão falecer de alguma doença relacionada ao cigarro; • 24 causas de morte estão associadas ao cigarro diretamente (ex: câncer de boca, faringe, laringe, esôfago, pulmões, pâncreas, estômago, bexiga, DPOC, úlcera péptica, doenças vasculares, etc...); • Quem fuma tem 3 vezes mais chance de morrer do que o não- fumante entre 45 e 64 anos); • Pacientes que pararam de fumar antes de 35 anos têm a mesma expectativa de vida dos não-fumantes
  • 15.
    ESCALA DE FAGESTRÖM: 1=Quanto tempo após acordar fuma o primeiro cigarro? < 5 min= 3 pontos 6-30 min= 2 pontos 31 – 60 min = 1 ponto > 60min= 0 2= Você acha difícil não fumar em lugares proibidos (igrejas, bibliotecas, ônibus)? Sim= 1 ponto Não= 0 3=Qual o cigarro que te traz mais satisfação? O primeiro da manhã= 1 ponto Outros= 0 4= Quantos cigarros você fuma por dia? < 10= 0 11 – 20= 1 ponto 21 – 30= 2 pontos > 31= 3 pontos 5= Você fuma mais pela manhã? Sim= 1 ponto Não= 0 6= Você fuma mesmo doente? Sim= 1 ponto Não= 0
  • 16.
    ESCALA DE FAGESTRÖM: CONCLUSÃO:Grau de dependência da nicotina: 0 a 2 pontos: muito baixo 3 a 4 pontos: baixo 5 pontos: médio 6 a 7 pontos: elevado 8 a 10 pontos: muito elevado Obs: acima de 6 pontos o paciente terá síndrome de abstinência ao deixar de fumar.
  • 17.
    COMPOSIÇÃO DO CIGARRO: •4.500 substâncias (nitrogênio, gás carbônico, monóxido de carbono, benzeno, amônia, tolueno, alcatrão, nicotina, colesterol, fenol, ácido fórmico, ácido acético, chumbo, cádmio, zinco, níquel, rádio-226, polônio-210, ...)
  • 18.
    O que éNicotina: • Alcalóide vegetal básico lipossolúvel e hidrossolúvel; • No cigarro está na forma ácida (absorvido pelos alvéolos); • No charuto e cachimbo na forma básica (absorvido pela mucosa oral); • Chega do alvéolo ao cérebro em 7 a 20 segundos; • No SNC liga-se a receptores colinérgicos musculares e neuronais provocando uma SATISFAÇÃO. • Metabolizada pela enzima CYP2A6.
  • 19.
    TABAGISMO E ENVELHECIMENTO Folha deSão Paulo 26.07.04 O cigarro, até agora visto como fator secundário de envelhecimento da pele, já é considerado o principal causador de rugas profundas no rosto, especialmente nas mulheres. Pesquisas recentes mostram que a nicotina produz uma enzima que destrói as fibras que formam o colágeno, substância protéica das fibras da pele.
  • 20.
    SINDROME DE ABSTINÊNCIA(70-90%) - Tonteira - Depressão - Frustração - Impaciência - Ansiedade - Irritabilidade - Alterações do sono - Concentração - Cefaléia - Aumento do apetite Etc. TRATAMENTO DO TABAGISMO
  • 21.
    TRATAMENTO DO TABAGISMO: 2. MEDICAMENTOSO:Indicado em pacientes com 2 ou mais categorias abaixo: • Fumantes de 20 ou mais cigarros/dia; • Fumantes de 10 ou mais cigarros/dia, que fumam o primeiro cigarro até 30 min após acordar; • Fumantes com escore de Fagestrom = ou > 5; • Fumantes que já pararam de fumar anteriormente sem medicação e voltaram devido à síndrome de abstinência; • Não haver contra-indicações clínicas.
  • 22.
    TRATAMENTO DO TABAGISMO: 2.1 BUPROPIONA:Inibidor da recaptação da norepinefrina, serotonina e dopamina. Diminui a vontade de fumar e os sintomas da síndrome de abstinência. Contra-indicada em pacientes com história prévia de crise convulsiva, tumor de SNC, anorexia nervosa, bulimia, alcoólatra em fase de retirada do álcool. Tomar 1 comp de 150mg de manhã 3 dias, no quarto dia parar de fumar e tomar 1 comp de manhã e 1 comp 8 hs depois por 8 semanas.
  • 23.
    TRATAMENTO DO TABAGISMO: 2.2 NORTRIPTILINA:Medicação de segunda linha. Menos eficaz que a Bupropiona, porém indicada nos casos que esta não pode ser usada. Tomar 1 cap de 50mg à noite 8 semanas.
  • 24.
    TRATAMENTO DO TABAGISMO: • 2.3NICOTINA DE LIBERAÇÃO TRANSDÉRMICA: trocado a cada 24hs. aplicado na pele sem pêlos.  Não fumar durante o seu uso.  Começar com adesivo de 21mg e a cada 4 semanas diminuir a dosagem para 14mg e 7mg.  Tratar por 12 semanas.  Fumantes entre 10 a 20 cigarros/dia iniciar com 14mg.  Contra indicado: IAM recente, gestação e amamentação.
  • 25.
    TRATAMENTO DO TABAGISMO: 2.4 GOMADE MASCAR DE NICOTINA: 1 tablete de 2mg a cada 1 a 2 hs por 4 semanas e ir aumentando os intervalos até a retirada em 3 meses. Contra-indicado em pacientes com incapacidade de mascar, úlcera péptica, IAM recente. obs:. O gosto amargo é um inconveniente.
  • 26.
  • 27.
    Doença coronariana O riscode fumantes desenvolverem doença coronariana é 2 a 4x maior do que os não-fumantes
  • 28.
    Infarto agudo do miocárdio Otabagismo é responsável por 45% das mortes por infarto agudo do miocárdio
  • 29.
    Doença cerebrovascular O tabagismoé responsável por 25% das doenças cerebrovasculares (principalmente AVC)
  • 30.
  • 31.
  • 32.
    Doença vascular periférica Orisco de fumantes desenvolverem doença vascular periférica é 10x maior do que os não-fumantes
  • 33.
  • 34.
    Doença de Buerger(tromboangeíte obliterante)
  • 35.
    Doença de Buerger(tromboangeíte obliterante)
  • 37.
    O tabagismo aumenta orisco de úlcera gástrica e duodenal em até 10 vezes Úlcera péptica
  • 38.
  • 39.
    Catarata O tabagismo aumentao risco de desenvolvimento de Catarata em 2,5 vezes
  • 40.
    DPOC Doença Pulmonar ObstrutivaCrônica • Bronquite Crônica • Enfisema O tabagismo é responsável por 85% dos casos de DPOC
  • 41.
  • 43.
  • 45.
  • 46.
  • 48.
  • 50.
  • 51.
    90% dos casos deCâncer de pulmão são em fumantes
  • 52.
    Tabagista pesado (> 2maços/dia) tem risco 30x maior de câncer de pulmão que o não-fumante
  • 53.
    Bryan Lee Curtis, 32anos, fumante desde os 13 anos, e seu filho Bryan Jr. 29/03/99
  • 54.
    03/06/99 Bryan, 32 anos,no dia de sua morte por câncer de pulmão
  • 56.