TRAUMA DO TÓRAX
FRATURAS E CONTUSÕES
HEMOTÓRAX E PNEUMOTÓRAX
DIAFRAGMA, MEDIASTINO E AORTA
FRATURAS E CONTUSÕES
CASO 1 20 ANOS, QUEDA DE UMA ALTURA DE 3 METROS
CONTUSÃO PULMONAR
Lesão do interstício ou alvéolo por TRAUMA ➔ REDUÇÃO DA TRANSPARÊNCIA DO PARÊNQUIMA
PULMONAR
QUASE SEMPRE HÁ ALGUM OUTRO ACHADO ASSOCIADO
OCORREM PRINCIPALMENTE APÓS TRAUMA FECHADO
Tendem a ser periféricas e a ficar próximas de fraturas costais
ATENÇÃO: O PRIMEIRO RX PODE SER NORMAL SOBRETUDO NAS PRIMEIRAS 6H
TC
Lembra consolidação periférica
Pode ter aspecto em crescente
Não segue distribuição lobar
Proximidade do local do trauma
CONTUSÃO PULMONAR
Distribuição não segmentar
CONTUSÃO PULMONAR
CASO 2 28 ANOS, ATROPELAMENTO
LACERAÇÃO PULMONAR
Ferimento por arma branca
Ferimento por arma de fogo
Fraturas da 4ª a 10ª costelas são as mais comuns
1ª a 3ª costela = Trauma de alta energia
LESÃO DA 1ª A 3ª COSTELA??
Considere lesão de grande vaso, subclávias ou plexo braquial
LESÃO DA 10ª A 12ª COSTELA??
Considere lesão de baço, fígado ou rins
COSTELA FLUTUANTE X TÓRAX INSTÁVEL
Arco fraturado
em 2 partes
3 costelas
flutuantes
adjacentes
FRATURA DE ARCOS COSTAIS
Case
courtesy
of
Dr
Matt
Skalski,
Radiopaedia.org,
rID:
71639
TÓRAX
INSTÁVEL
às vezes tá na cara...
ÀS VEZES NÃO
FRATURA DE ARCOS COSTAIS
FRATURA CLAVICULAR
FRATURA CLAVICULAR
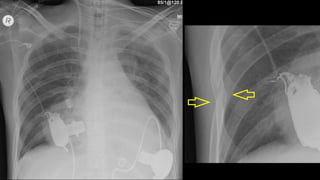
CASO 3 ACIDENTE AUTOMOBILÍSTICO
FRATURA ESTERNAL
FRATURA ESTERNAL
HEMOTÓRAX E PNEUMOTÓRAX
CASO 3 ACIDENTE AUTOMOBILÍSTICO
CASO 3 ACIDENTE AUTOMOBILÍSTICO
SINAL DO SULCO PROFUNDO
PNEUMOTÓRAX + PACIENTE SUPINO → SULCO PROFUNDO
SINAL DO SULCO PROFUNDO
Pneumotórax
Pneumotórax
Pneumotórax
Pneumotórax
Pneumotórax hipertensivo
Pneumotórax hipertensivo
Pneumotórax hipertensivo
HEMOTÓRAX
HEMOTÓRAX
HEMOTÓRAX
HEMOTÓRAX
HEMOPNEUMOTÓRAX
HEMOPNEUMOTÓRAX
HEMOPNEUMOTÓRAX
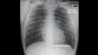
ENFISEMA SUBCUTÂNEO
ENFISEMA SUBCUTÂNEO
ENFISEMA SUBCUTÂNEO
TRAUMA É CAUSA MAIS COMUM!
OUTRAS CAUSAS IMPORTANTES:
Pneumotórax
Pneumomediastino
Enfisema intersticial pulmonar
Perfuração de víscera oca
Fasciíte necrotizante
ENFISEMA SUBCUTÂNEO
ENFISEMA SUBCUTÂNEO
SINAL DA FOLHA DE GINGKO
ENFISEMA SUBCUTÂNEO
ENFISEMA SUBCUTÂNEO
Case
courtesy
of
Dr
David
Cuete,
Radiopaedia.org,
rID:
25684
HEMOPNEUMOTÓRAX
PNEUMOMEDIASTINO
Enfisema
subcutâneo
Pneumomediastino
PNEUMOPERICÁRDIO
PNEUMOpericárdio
Sinal do diafragma contínuo
Sinal do diafragma contínuo
CASO 4 40 ANOS, COLISÃO CONTRA UMA CERCA DE MADEIRA
DIAFRAGMA, MEDIASTINO E AORTA
CASO 5 50 ANOS, ATROPELAMENTO
RUPTURA DIAFRAGMÁTICA
Lacey. Radiografia do tórax, um guia prático, pg 369.
RUPTURA
DIAFRAGMÁTICA
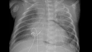
HÉRNIA DIAFRAGMÁTICA
HÉRNIA DIAFRAGMÁTICA
HÉRNIA DIAFRAGMÁTICA
HÉRNIA DIAFRAGMÁTICA
HÉRNIA DIAFRAGMÁTICA
HÉRNIA DIAFRAGMÁTICA
CASO 6 25 ANOS, COLISÃO EM ALTA VELOCIDADE
“APICAL CAPPING”
HEMATOMA MEDIASTINAL
> 8 cm
Traqueia desviada
Mediastino
alargado
HEMATOMA MEDIASTINAL
PSEUDOANEURISMA AÓRTICO
LACERAÇÃO AÓRTICA
TRANSECÇÃO AÓRTICA
SLIDES E2M1 Trauma do tórax material complementar.pdf

SLIDES E2M1 Trauma do tórax material complementar.pdf