SISTEMA ENDÓCRINO
Glândulas Adrenais ou Supra Renais
São dois órgãos com forma de meia lua,São dois órgãos com forma de meia lua,
situada sobre o pólo superior de cada rim,situada sobre o pólo superior de cada rim,
pesando 8g;pesando 8g;
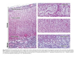
Camada cortical ou córtex da adrenal;Camada cortical ou córtex da adrenal;
Medula e CórtexMedula e Córtex  Origem embrionáriaOrigem embrionária
diferentediferente
 Cápsula de tecido conjuntivoCápsula de tecido conjuntivo
Glândulas Adrenais ou Supra Renais
• Córtex adrenal
• zona glomerulosa
mineralocorticoides
(aldosterona)
• zona faisciculada
glicocorticoides
(cortisona)
• zona reticular
esteroides sexuais
• Medula adrenal
catecolaminas
Glândulas Adrenais ou Supra Renais
• Camada Cortical ou Córtex adrenal
• Origem embrionária =mesoderma
• Dividida em três regiões
• zona glomerulosa
Mineralocorticoides 15%
• zona faisciculada
Glicocorticoides 65%
• zona reticular
Glicocorticoides 7%
Células da Cortical
• Zona glomerulosa:células colunares,organizadas cordões
(arco) envolvidos por capilares sanguíneos;
• Zona Fasciculada: células poliédricas, gd número de lipídeos
e aparecem vacuoladas→ Espongiócitos, cordões paralelos.
• Zona Reticulada: células dispostas em cordões irregulares,
são menores,aspecto rede, grânulos de lipofuscina, morte de
células;
Glomerulosa
faisciculada
reticulada
medular
Camadas da Córtex da Adrenal
Vascularização da Adrenal
• As células do córtex não armazenam os
produtos em grânulos, a maior parte dos
esteróides é sintetizada e secretada após
estimulo;
• São secretados: Glicocorticóides,
mineralocorticóides (Aldosterona) e andrógenos;
• Zona glomerulosa→ -Aldosterona:
• Equilíbrio eletrolítico e Regulação da pressão
sangüínea;
• Zona Fasciculada→ Glicocorticóides 
CORTISOL: Regulação de todos os aspectos de
metabolismo e Interação com outros hormônios;
• Controle inicial da secreção pelo córtex adrenal
ocorre pela liberação do hormônio corticotropina
(CRH) na hipófise → secreta ACTH → estimular
a córtex adrenal (glicocorticóides).
corticotropina
MEDULA ADRENAL
• Células poliédricas, organizadas em cordões
sustentados por uma rede de fibras reticulares;
• Origina-se da crista neural, podem ser
consideradas neurônios;
• Abundantes grânulos de secreção;
MEDULA ADRENAL
• Produção constante de catecolaminas: Noradrenalina,
adrenalina e epinefrina;
• 80% é epinefrina;
• Todas as células da medula são inervadas por
terminações colinérgicas de neurônios simpáticos;
• Propriedades tinturiais:
1)Células cromafins: contém grânulos de secreção;
adrenalina e noradrenalina;
2)Células ganglionares:nervosas simpáticas (controle
do fluxo sg)
TIREÓIDE
• Origem embriológica:
Endodérmica, se desenvolve
precocemente na região
cefálica do tubo digestivo;
• É sintetizar os hormônios
Tiroxina (T4 ) e Tiiodotironina
(T3);
• Localização: região cervical
adiante da traquéia,
apresenta-se constituído por 2
lobos, unidos por um istmo;
Folículo tireoidiano
• Composição: Epitélio cúbico simples; colóide
espaços esféricos limitados pelo
epitélio;glândula é revestida TCF;
vascularizado,
Observe a massa central de
coloide
A vacuolização marginal do
coloide pode corresponder
à atividade pinocítica das
células foliculares
Note, à sua direita, o corte
tangencial à parede folicular,
que simula estratificação.
O grande vacúolo, à sua
esquerda, conem cristal de
oxalato de cálcio.
Folículo tireoidiano
Os folículos são formados por dois tipos celulares:
• 1) Células Foliculares: Epitélio simples cúbico;
sintetiza, reabsorve e digere PTN, porção basal é
rica em RER; núcleo esférico e central; contem
numerosos microvilos e Sintetizam T3 e T4.
• 2) Células Parafoliculares ou Cels C: Na periferia dos
folículos células claras rica em mitocôndrias, contem
grânulos de secreção e secretam
polipeptideos.Sintetizam Calcitonina regula a
concentração de Ca no plasma.
Folículo tireoidiano
A Tieóide esta envolta por uma cápsula que
envia septos para o interior do Parenquima
glandular,
Estes septos separam os folículos uns dos
outros e são constituidos por uma fina e
irregular membrana conjuntiva com fibras
reticulares,
Os septos dividem a glândula em lóbulos
Pâncreas Endócrino
(Ilhotas de Langerhans)
 são microórgaos endócrinos localizados no
Pâncreas;
São Vistos como grupos arredondados de
células, incrustados no tecido pancreático
exócrino;
Contém vaso sg entre as células,
Gl endócrina cordonal;
Cápsula de TC
Pâncreas Endócrino
(Ilhotas de Langerhans)
Células se coram menos intensamente
hematoxilina-eosina, resultando em
aspecto mais claro.
Existem 4 tipos celulares:
1) Célula β: produz Horm Insulina
(glicemia);
são as mais numerosas;
são pq arredondadas e contém
grânulos irregulares.
Pâncreas Endócrino
(Ilhotas de Langerhans)
2) Célula α: produz e armazena Horm
Glucagon (glicemia);
são maiores;
3) Célula delta: Produz o horm
Somatostatina (inibidor da liberaçao GH)
Pequenas e menos frequente
4)Célula F: Produz o Horm Polipeptideo
pancreatico, menos frequente e pq.
Sistema endócrino 2
Sistema endócrino 2

Sistema endócrino 2

  • 1.
    SISTEMA ENDÓCRINO Glândulas Adrenaisou Supra Renais São dois órgãos com forma de meia lua,São dois órgãos com forma de meia lua, situada sobre o pólo superior de cada rim,situada sobre o pólo superior de cada rim, pesando 8g;pesando 8g; Camada cortical ou córtex da adrenal;Camada cortical ou córtex da adrenal; Medula e CórtexMedula e Córtex  Origem embrionáriaOrigem embrionária diferentediferente  Cápsula de tecido conjuntivoCápsula de tecido conjuntivo
  • 2.
    Glândulas Adrenais ouSupra Renais • Córtex adrenal • zona glomerulosa mineralocorticoides (aldosterona) • zona faisciculada glicocorticoides (cortisona) • zona reticular esteroides sexuais • Medula adrenal catecolaminas
  • 3.
    Glândulas Adrenais ouSupra Renais • Camada Cortical ou Córtex adrenal • Origem embrionária =mesoderma • Dividida em três regiões • zona glomerulosa Mineralocorticoides 15% • zona faisciculada Glicocorticoides 65% • zona reticular Glicocorticoides 7%
  • 4.
    Células da Cortical •Zona glomerulosa:células colunares,organizadas cordões (arco) envolvidos por capilares sanguíneos; • Zona Fasciculada: células poliédricas, gd número de lipídeos e aparecem vacuoladas→ Espongiócitos, cordões paralelos. • Zona Reticulada: células dispostas em cordões irregulares, são menores,aspecto rede, grânulos de lipofuscina, morte de células;
  • 5.
  • 7.
  • 8.
    • As célulasdo córtex não armazenam os produtos em grânulos, a maior parte dos esteróides é sintetizada e secretada após estimulo; • São secretados: Glicocorticóides, mineralocorticóides (Aldosterona) e andrógenos; • Zona glomerulosa→ -Aldosterona: • Equilíbrio eletrolítico e Regulação da pressão sangüínea;
  • 9.
    • Zona Fasciculada→Glicocorticóides  CORTISOL: Regulação de todos os aspectos de metabolismo e Interação com outros hormônios; • Controle inicial da secreção pelo córtex adrenal ocorre pela liberação do hormônio corticotropina (CRH) na hipófise → secreta ACTH → estimular a córtex adrenal (glicocorticóides).
  • 10.
  • 11.
    MEDULA ADRENAL • Célulaspoliédricas, organizadas em cordões sustentados por uma rede de fibras reticulares; • Origina-se da crista neural, podem ser consideradas neurônios; • Abundantes grânulos de secreção;
  • 12.
    MEDULA ADRENAL • Produçãoconstante de catecolaminas: Noradrenalina, adrenalina e epinefrina; • 80% é epinefrina; • Todas as células da medula são inervadas por terminações colinérgicas de neurônios simpáticos; • Propriedades tinturiais: 1)Células cromafins: contém grânulos de secreção; adrenalina e noradrenalina; 2)Células ganglionares:nervosas simpáticas (controle do fluxo sg)
  • 13.
    TIREÓIDE • Origem embriológica: Endodérmica,se desenvolve precocemente na região cefálica do tubo digestivo; • É sintetizar os hormônios Tiroxina (T4 ) e Tiiodotironina (T3); • Localização: região cervical adiante da traquéia, apresenta-se constituído por 2 lobos, unidos por um istmo;
  • 14.
    Folículo tireoidiano • Composição:Epitélio cúbico simples; colóide espaços esféricos limitados pelo epitélio;glândula é revestida TCF; vascularizado, Observe a massa central de coloide A vacuolização marginal do coloide pode corresponder à atividade pinocítica das células foliculares Note, à sua direita, o corte tangencial à parede folicular, que simula estratificação. O grande vacúolo, à sua esquerda, conem cristal de oxalato de cálcio.
  • 15.
    Folículo tireoidiano Os folículossão formados por dois tipos celulares: • 1) Células Foliculares: Epitélio simples cúbico; sintetiza, reabsorve e digere PTN, porção basal é rica em RER; núcleo esférico e central; contem numerosos microvilos e Sintetizam T3 e T4. • 2) Células Parafoliculares ou Cels C: Na periferia dos folículos células claras rica em mitocôndrias, contem grânulos de secreção e secretam polipeptideos.Sintetizam Calcitonina regula a concentração de Ca no plasma.
  • 16.
    Folículo tireoidiano A Tieóideesta envolta por uma cápsula que envia septos para o interior do Parenquima glandular, Estes septos separam os folículos uns dos outros e são constituidos por uma fina e irregular membrana conjuntiva com fibras reticulares, Os septos dividem a glândula em lóbulos
  • 19.
    Pâncreas Endócrino (Ilhotas deLangerhans)  são microórgaos endócrinos localizados no Pâncreas; São Vistos como grupos arredondados de células, incrustados no tecido pancreático exócrino; Contém vaso sg entre as células, Gl endócrina cordonal; Cápsula de TC
  • 20.
    Pâncreas Endócrino (Ilhotas deLangerhans) Células se coram menos intensamente hematoxilina-eosina, resultando em aspecto mais claro. Existem 4 tipos celulares: 1) Célula β: produz Horm Insulina (glicemia); são as mais numerosas; são pq arredondadas e contém grânulos irregulares.
  • 21.
    Pâncreas Endócrino (Ilhotas deLangerhans) 2) Célula α: produz e armazena Horm Glucagon (glicemia); são maiores; 3) Célula delta: Produz o horm Somatostatina (inibidor da liberaçao GH) Pequenas e menos frequente 4)Célula F: Produz o Horm Polipeptideo pancreatico, menos frequente e pq.