28/03/2011
1
Gametogênese Masculina:
Espermatogênese
Gametogênese  formação dos gametas
Espermatogênese Ovogênese
Formação dos gametas
masculinos
Formação dos gametas
femininos
DefiniçõesDefinições
28/03/2011
2
Localização do processoLocalização do processo
espermatogênicoespermatogênico
TestículoTestículo
*Localizado dentro do saco escrotal, junto com epidídimo e
segmento inicial do ducto deferente
28/03/2011
3
TestículosTestículos
- Envolvido por uma cápsula de tecido conjuntivo denso  túnica
albugínea
- Dividido em lóbulos  ± 250 lóbulos testiculares
- 1 lóbulo  1 a 4 túbulos seminíferos  altamente enovelados
cabeça do epidídimo
septos
lóbulos testiculares
túnica albugínea
túbulos retos
túbulos seminíferos
cauda do epidídimo
corpo do epidídimo
rede testicular
ductos eferentes
ducto deferente
Túbulos
seminíferos
espaço intersticial
28/03/2011
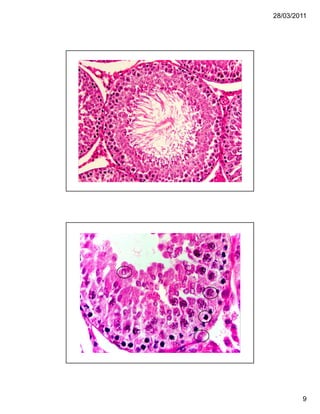
4
 Epitélio seminífero  estratificado  formado por dois tipos celulares
principais:
 Células de Sertoli;
 Células germinativas em diferentes estágios do desenvolvimento.
Epitélioseminífero
EspermatogêneseEspermatogênese
 Produção de espermatozóides através de sucessivas divisões celulares
mitóticas e meióticas e espermiogênese.
 Os principais tipos celulares envolvidos neste processo são:
Espermatogônias:células diplóides (2n), derivam de uma célula fonte espermatogonial;
 Espermatócitos I: células tetraplóides(4n) que sofrerão a primeira divisão meiótica;
Espermatócitos II: células diplóides (2n) que sofrerão a segunda divisão meiótica;
Espermátides: células haplóides (n) que sofrerão um processo de citodiferenciação –
espermiogênese;
Espermatozóides: células haplóides (n). Compreende o gameta masculino propriamente
dito.
28/03/2011
5
46 cromossomos e 4N
23 cromossomos e 2N
23 cromossomos e N
espermacitogênese
28/03/2011
6
28/03/2011
7
 As principais modificações morfológicas que ocorrem durante o processo são:
 condensação da cromatina na cabeça do espermatozóide e formação do capuz
acrossômico (lisossomo modificado);
 posicionamento das mitocôndrias na peça intermediária (energia);
 formação da cauda;
 eliminação de porções desnecessárias do citoplasma (restos citoplasmáticos);
 liberação pelas células de Sertoli (espermiação).
EspermiogêneseEspermiogênese
Processo de citodiferenciação pelo qual passam as espermátides esféricas
(redondas) até formarem os espermatozóides maduros.
Fases da espermiogêneseFases da espermiogênese
28/03/2011
8
*Núcleo das espermátides é
orientadopara a base do
epitélio germinativo e o
axonema se projeta no lúmen.
28/03/2011
9
28/03/2011
10
 A espermatogênese é um processo centrípeto, ou seja, ocorre da
periferiados túbulos seminíferos em direção ao centro.
Luz
tubular
epitélio
Estrutura dos espermatozóidesEstrutura dos espermatozóides
acrossomo
núcleo
peça intermediária
peça principal
cabeça
peça terminal
cauda
28/03/2011
11
TiposTipos de espermatozóidesde espermatozóides
Características morfológicas
geraisAnimal
Domésticos Ruminantes
cabeça cauda
bovino
ovino
caprino
porco
equino
canino
aves
Domésticos não-Ruminantes
28/03/2011
12
Espermatozóide humano
Espermatozóide de rato  cabeça
em forma de foice
Processo EspermatogênicoProcesso Espermatogênico
depois da puberdade
Antes da PuberdadeAntes da Puberdade
espermatogônias quiescentes 
estímulos hormonais estimulam a
multiplicação
28/03/2011
13
VIDA PRÉVIDA PRÉ--NATALNATAL
VIDA PRÉVIDA PRÉ--NATALNATAL
Antes do nascimento  testículos com apenas espermatogônias e
células de Sertoli
Célula de Sertoli
Espermatogônia
Cordões seminíferos
28/03/2011
14
Células de SertoliCélulas de Sertoli
Células piramidais, com a base apoiada na lâmina basal do túbulo seminífero
e a extremidade apical no lúmen. Ricas em retículo endoplasmático liso,
complexo de golgi bem desenvolvido, inúmeras mitocôndrias e lisossomos;
Tipo celular predominante até a puberdade; no adulto  10%;
Não realizam mitose.
s
s
28/03/2011
15
Funções das Células de SertoliFunções das Células de Sertoli
Suporte, proteção e suprimentonutricional das células germinativas;
 Fagocitose;
 Secreção  fluído (transporte de espermatozóides), ABP (proteína andrógeno-
ligante)e inibina;
 Produção do fator inibidor dos ductos de Muller;
 Barreira hematotesticular.
BarreiraBarreira hematotesticularhematotesticular
- Barreira entre o sangue e o
interior dos túbulos seminíferos;
-Junções oclusivas na membrana
basolateral;
- Espermatozóides são liberados
por movimentos do ápice das
células de sertoli
28/03/2011
16
BarreiraBarreira hematotesticularhematotesticular
Tecido IntersticialTecido Intersticial
 Local de produção de andrógenos;
 Tecido conjuntivo frouxo, vasos
sanguíneos e linfáticos, nervos e
células de Leydig;
 Fibroblastos, macrófagos e
mastócitos;
 Capilares fenestrados permitem o
trânsitode macromoléculas.
28/03/2011
17
Células de LeydigCélulas de Leydig
 Desenvolvem-se durante a puberdade
 Poligonal, citoplasma eosinofílico e rico em gotículas lipídicas
 Célula produtora de esteróide  REL e mitocôndrias abundantes
 Produzem testosterona
Regulação hormonal da espermatogêneseRegulação hormonal da espermatogênese
T
LH
FSH
Mecanismo de retroalimentação
negativo (feedback negativo)
28/03/2011
18
A duração do processo espermatogênico é determinado geneticamente e varia
de espécie para espécie;
Por ex., no homem, a duração é de 64 dias. No macaco Rhesus é de 42 dias, no
rato 51,6, no coelho 43,6 dias e no cavalo 57 dias;
Nos machos, os espermatozóides são produzidos continuamente,
diferentemente do que ocorre na fêmea, onde a produção de gametas é cíclica;
Para manter o processo contínuo, a liberação de espermatozóides não
acontece simultaneamente ao longo de toda a extensão do túbulo seminífero.
Duração do processoDuração do processo
espermatogênicoespermatogênico
Túbulos onde está havendo espermiação neste momento *
*
**
* *
*
28/03/2011
19
PRODUÇÃO ESPERMÁTICAPRODUÇÃO ESPERMÁTICA
ESPÉCIE VOLUME DE EJACULADO
Homem 2,5 a 6 ml
Cavalo 40 a 250 ml
Touro 0,5 a 14 ml
Cao 2 a 12 ml
Alterações espermáticasAlterações espermáticas
Oligospermia - produção menor que o mínimo de cada
espécie
Azoospermia - ausência de espermatozóides no ejaculado
Teratospermia - número de espermatozóides defeituosos
superior a 40% (normal = 10% de defeituosos)
28/03/2011
20
Fatores que influenciam na espermatogêneseFatores que influenciam na espermatogênese
Temperatura;
 Criptorquidia;
 Quimioterapia para o câncer;
 Varicocele
 Deficiências nutricionais;
Obrigado!

Espermatogenese

  • 1.
    28/03/2011 1 Gametogênese Masculina: Espermatogênese Gametogênese formação dos gametas Espermatogênese Ovogênese Formação dos gametas masculinos Formação dos gametas femininos DefiniçõesDefinições
  • 2.
    28/03/2011 2 Localização do processoLocalizaçãodo processo espermatogênicoespermatogênico TestículoTestículo *Localizado dentro do saco escrotal, junto com epidídimo e segmento inicial do ducto deferente
  • 3.
    28/03/2011 3 TestículosTestículos - Envolvido poruma cápsula de tecido conjuntivo denso  túnica albugínea - Dividido em lóbulos  ± 250 lóbulos testiculares - 1 lóbulo  1 a 4 túbulos seminíferos  altamente enovelados cabeça do epidídimo septos lóbulos testiculares túnica albugínea túbulos retos túbulos seminíferos cauda do epidídimo corpo do epidídimo rede testicular ductos eferentes ducto deferente Túbulos seminíferos espaço intersticial
  • 4.
    28/03/2011 4  Epitélio seminífero estratificado  formado por dois tipos celulares principais:  Células de Sertoli;  Células germinativas em diferentes estágios do desenvolvimento. Epitélioseminífero EspermatogêneseEspermatogênese  Produção de espermatozóides através de sucessivas divisões celulares mitóticas e meióticas e espermiogênese.  Os principais tipos celulares envolvidos neste processo são: Espermatogônias:células diplóides (2n), derivam de uma célula fonte espermatogonial;  Espermatócitos I: células tetraplóides(4n) que sofrerão a primeira divisão meiótica; Espermatócitos II: células diplóides (2n) que sofrerão a segunda divisão meiótica; Espermátides: células haplóides (n) que sofrerão um processo de citodiferenciação – espermiogênese; Espermatozóides: células haplóides (n). Compreende o gameta masculino propriamente dito.
  • 5.
    28/03/2011 5 46 cromossomos e4N 23 cromossomos e 2N 23 cromossomos e N espermacitogênese
  • 6.
  • 7.
    28/03/2011 7  As principaismodificações morfológicas que ocorrem durante o processo são:  condensação da cromatina na cabeça do espermatozóide e formação do capuz acrossômico (lisossomo modificado);  posicionamento das mitocôndrias na peça intermediária (energia);  formação da cauda;  eliminação de porções desnecessárias do citoplasma (restos citoplasmáticos);  liberação pelas células de Sertoli (espermiação). EspermiogêneseEspermiogênese Processo de citodiferenciação pelo qual passam as espermátides esféricas (redondas) até formarem os espermatozóides maduros. Fases da espermiogêneseFases da espermiogênese
  • 8.
    28/03/2011 8 *Núcleo das espermátidesé orientadopara a base do epitélio germinativo e o axonema se projeta no lúmen.
  • 9.
  • 10.
    28/03/2011 10  A espermatogêneseé um processo centrípeto, ou seja, ocorre da periferiados túbulos seminíferos em direção ao centro. Luz tubular epitélio Estrutura dos espermatozóidesEstrutura dos espermatozóides acrossomo núcleo peça intermediária peça principal cabeça peça terminal cauda
  • 11.
    28/03/2011 11 TiposTipos de espermatozóidesdeespermatozóides Características morfológicas geraisAnimal Domésticos Ruminantes cabeça cauda bovino ovino caprino porco equino canino aves Domésticos não-Ruminantes
  • 12.
    28/03/2011 12 Espermatozóide humano Espermatozóide derato  cabeça em forma de foice Processo EspermatogênicoProcesso Espermatogênico depois da puberdade Antes da PuberdadeAntes da Puberdade espermatogônias quiescentes  estímulos hormonais estimulam a multiplicação
  • 13.
    28/03/2011 13 VIDA PRÉVIDA PRÉ--NATALNATAL VIDAPRÉVIDA PRÉ--NATALNATAL Antes do nascimento  testículos com apenas espermatogônias e células de Sertoli Célula de Sertoli Espermatogônia Cordões seminíferos
  • 14.
    28/03/2011 14 Células de SertoliCélulasde Sertoli Células piramidais, com a base apoiada na lâmina basal do túbulo seminífero e a extremidade apical no lúmen. Ricas em retículo endoplasmático liso, complexo de golgi bem desenvolvido, inúmeras mitocôndrias e lisossomos; Tipo celular predominante até a puberdade; no adulto  10%; Não realizam mitose. s s
  • 15.
    28/03/2011 15 Funções das Célulasde SertoliFunções das Células de Sertoli Suporte, proteção e suprimentonutricional das células germinativas;  Fagocitose;  Secreção  fluído (transporte de espermatozóides), ABP (proteína andrógeno- ligante)e inibina;  Produção do fator inibidor dos ductos de Muller;  Barreira hematotesticular. BarreiraBarreira hematotesticularhematotesticular - Barreira entre o sangue e o interior dos túbulos seminíferos; -Junções oclusivas na membrana basolateral; - Espermatozóides são liberados por movimentos do ápice das células de sertoli
  • 16.
    28/03/2011 16 BarreiraBarreira hematotesticularhematotesticular Tecido IntersticialTecidoIntersticial  Local de produção de andrógenos;  Tecido conjuntivo frouxo, vasos sanguíneos e linfáticos, nervos e células de Leydig;  Fibroblastos, macrófagos e mastócitos;  Capilares fenestrados permitem o trânsitode macromoléculas.
  • 17.
    28/03/2011 17 Células de LeydigCélulasde Leydig  Desenvolvem-se durante a puberdade  Poligonal, citoplasma eosinofílico e rico em gotículas lipídicas  Célula produtora de esteróide  REL e mitocôndrias abundantes  Produzem testosterona Regulação hormonal da espermatogêneseRegulação hormonal da espermatogênese T LH FSH Mecanismo de retroalimentação negativo (feedback negativo)
  • 18.
    28/03/2011 18 A duração doprocesso espermatogênico é determinado geneticamente e varia de espécie para espécie; Por ex., no homem, a duração é de 64 dias. No macaco Rhesus é de 42 dias, no rato 51,6, no coelho 43,6 dias e no cavalo 57 dias; Nos machos, os espermatozóides são produzidos continuamente, diferentemente do que ocorre na fêmea, onde a produção de gametas é cíclica; Para manter o processo contínuo, a liberação de espermatozóides não acontece simultaneamente ao longo de toda a extensão do túbulo seminífero. Duração do processoDuração do processo espermatogênicoespermatogênico Túbulos onde está havendo espermiação neste momento * * ** * * *
  • 19.
    28/03/2011 19 PRODUÇÃO ESPERMÁTICAPRODUÇÃO ESPERMÁTICA ESPÉCIEVOLUME DE EJACULADO Homem 2,5 a 6 ml Cavalo 40 a 250 ml Touro 0,5 a 14 ml Cao 2 a 12 ml Alterações espermáticasAlterações espermáticas Oligospermia - produção menor que o mínimo de cada espécie Azoospermia - ausência de espermatozóides no ejaculado Teratospermia - número de espermatozóides defeituosos superior a 40% (normal = 10% de defeituosos)
  • 20.
    28/03/2011 20 Fatores que influenciamna espermatogêneseFatores que influenciam na espermatogênese Temperatura;  Criptorquidia;  Quimioterapia para o câncer;  Varicocele  Deficiências nutricionais; Obrigado!