HEPATITES VIRAIS
FAMED
Prof. Dr. Ronaldo Luis Thomasini
Hepatite A
A hepatite A é causada por um vírus da família Picornaviridae, gênero Hepatovirus, o
Vírus da Hepatite A (HAV). O capsídeo viral é não-envelopado e possui formato
icosaédrico contendo um genoma de ssRNA (+).
Fig. 1 - Adaptado de Health and Disease Blog.
Hepatite A
Vírus da Hepatite A visto sob microscopia eletrônica de transmissão.
Fig. 2 - Adaptado de Hepatitis A - Medscape.
TRANSMISSÃO
• Oral – Fecal
Contato direto, fômites, alimentos, água e outras bebidas
contaminadas.
• Associações:
Saneamento básico pobre,
baixo nível sócio-econômico,
ausência de vacinação.
• Casos de ingestão de ostras e outros frutos-do-mar
contaminados (liberação de esgoto não tratado no mar e rios).
DISTRIBUIÇÃO GEOGRÁFICA
SINAIS E SINTOMAS
• Vômitos
• Dor abdominal
• Icterícia intensa (pele, olhos, bilirrubinúria, fezes
esbranquiçadas)
• Febre
• Sintomas gerais de viroses (dor muscular e articular,
cefaléia, fadiga)
• Hepatomegalia com palpação dolorosa.
• Casos assintomáticos ou anictéricos podem ocorrer em
regiões endêmicas, especialmente, em crianças.
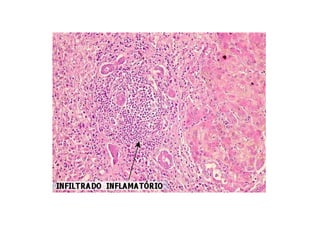
Não é comum exame anátomo-patológico de fragmentos de tecidos
coletados por biópsia para diagnóstico de hepatites agudas.
No entanto, para fins didáticos de como o fígado é afetado, seguem
algumas imagens.
Fonte: http://anatpat.unicamp.br/lamfig1.html.
Cortes histológicos corados com HE
AVALIAÇÃO LABORATORIAL GERAL
• Hemograma: Leucocitose ou leucopenia e
linfocitose acompanhada de linfócitos atípicos
(depende da fase da infecção).
• Enzimas hepáticas: AST (TGO) , ALT (TGP),
Gama-GT , fosfatase alcalina: Todas ↑ ++++.
• Bilirrubinas totais : ↑++++.
direta: ↑++++.
indireta: ↑ variável.
AVALIAÇÃO LABORATORIAL
(comprobatório)
• Anticorpos totais anti-HAV (ELISA): infecção
recente ou pregressa ou ainda, vacinação
prévia.
• Anticorpos IgM anti-HAV (ELISA): infecção atual
ou recente.
• Reação em cadeia da polimerase (RT-PCR) no
sangue ou fezes. Microscopia eletrônica nas
fezes. A princípio, não é importante a carga
viral. Não são usuais, nem necessários!
TRATAMENTO
• Não existe tratamento específico.
• Hidratação.
• Dieta rica em proteínas e pobre em gorduras.
• Repouso até normalização das enzimas hepáticas.
• Não ingerir álcool até 2 meses após a
normalização das enzimas hepáticas.
• Fármacos devem ser evitados devido a
metabolização hepática. Evitar inclusive
tratamento fitoterápico.
DESFECHO CLÍNICO
• Geralmente benigno após 30 a 60 dias.
• Não há cronificação, embora, o “clearence” viral pode ser
mais demorado.
• Casos de hepatite A fulminante são raros (<1%). Pacientes
> 50 anos tem maior risco de serem fatais. Não se tem
comprovação das causas, mas doença hepática prévia
parece ser um dos principais fatores de risco (recomenda-
se vacinação para estes casos). Se caracteriza por
alterações do sono, com inversão do dia com a noite,
rebaixamento do SNC que pode evoluir para coma e óbito.
Único tratamento é o Tx (transplante) de fígado.
PREVENÇÃO
• Vacinação não fazia parte do calendário de
vacinação do SUS até 2014. Somente crianças.
Adultos só em situações especiais.
• Evitar alimentos crus ou mal cozidos.
• Beber água clorada ou fervida.
• Evitar contato com água contaminada com
efluentes (esgoto).
• Evitar contato com doentes ou seus objetos
pessoais.
Hepatite E
A hepatite E é causada por um vírus da família Hepeviridae, gênero Orthohepevirus, o
Vírus da Hepatite E (HEV). Antigamente, era classificado como um Calicívirus. O
capsídeo viral é não-envelopado e possui formato icosaédrico contendo um genoma
de ssRNA (+).
Fig. 1 - Adaptado de Hepatitis E Symptoms, Cause, Vaccine, Diagnosis and Treatment- JotScroll.
Hepatite E
Vírus da Hepatite E visto sob microscopia eletrônica de transmissão.
Fonte: Center for Disease Control and Prevention (CDC).
TRANSMISSÃO
• Oral – Fecal
Contato direto, fômites, alimentos, água e outras
bebidas contaminadas.
• Associações:
Saneamento básico pobre,
baixo nível sócio-econômico.
• Animais (porcos, vacas, cabras, etc...) podem ser
reservatórios do vírus.
DISTRIBUIÇÃO GEOGRÁFICA
Fonte: Hepatitis E Questions and Answers for Health Professionals. Center for
Disease Control and Prevention (CDC).
SINAIS E SINTOMAS
• Os mesmos para Hepatite A.
• Casos assintomáticos ou pouco sintomáticos
podem ocorrer.
AVALIAÇÃO LABORATORIAL GERAL
• Os mesmos para Hepatite A.
AVALIAÇÃO LABORATORIAL
(comprobatório)
• Anticorpos IgG anti-HEV (ELISA): infecção recente ou
pregressa.
• Anticorpos IgM anti-HEV (ELISA): infecção atual ou
recente.
• Não é fácil encontrar laboratórios que realizam este
exame. O diagnóstico poderá ter que ficar sem
confirmação devido a esta limitação.
• Reação em cadeia da polimerase (RT-PCR) no sangue
ou fezes. Não é usual, nem necessária. Importante
para informação epidemiológica.
TRATAMENTO
• Não existe tratamento específico.
• Os mesmos cuidados para Hepatite A.
DESFECHO CLÍNICO
• Geralmente benigno.
• Não se cronifica.
• Casos de hepatite E fulminante ocorrem com
mais frequência em pacientes com doença
hepática prévia e na gravidez com índice de
letalidade de cerca de 20% .
PREVENÇÃO
• As mesmas para Hepatite A.
• Existe uma vacina eficaz, mas não é
economicamente viável.
• Recentemente a China adotou um protocolo
de vacinação.
Hepatite B
A hepatite B é causada por um vírus da família Hepadnaviridae, gênero Orthohepadnavirus, o
Vírus da Hepatite B (HBV). O capsídeo viral é envelopado e possui formato icosaédrico
contendo um genoma de dsDNA.
Hepatite B
Vírus da Hepatite E visto sob microscopia eletrônica de transmissão.
TRANSMISSÃO
• Parenteral
• Fômites
• Sexual
DISTRIBUIÇÃO GEOGRÁFICA
SINAIS E SINTOMAS
• Aguda, os mesmos para Hepatite A, mas
podem ser mais brandos.
• Maioria dos casos assintomáticos ou pouco
sintomáticos.
AVALIAÇÃO LABORATORIAL GERAL
• Os mesmos para Hepatite A.
AVALIAÇÃO LABORATORIAL
(comprobatório)
Aguda (evoluiu para cura)
AVALIAÇÃO LABORATORIAL
(comprobatório)
Crônica
TRATAMENTO
• Interferon
• Ribavirina
DESFECHO CLÍNICO
• Variável.
• Cronificação em torno de 5%.
• Casos de hepatite B fulminante podem
ocorrer.
• Evolução para cronicidade ativa ou inativa.
• Evolução para cirrose hepática e/ou
adenocarcinoma hepatocelular.
PREVENÇÃO
• Vacinação.
• Uso de preservativos.
• Não compartilhar seringas e agulhas.
Hepatite C
O vírus da hepatite C (HCV) é um vírus de ssRNA, envelopado e de
sentido positivo da família Flaviviridae, gênero Hepacivirus.
Hepatite C
Vírus da Hepatite E visto sob microscopia eletrônica de transmissão.
TRANSMISSÃO
• Parenteral
• Fômites
• Sexual (pouco usual)
DISTRIBUIÇÃO GEOGRÁFICA
SINAIS E SINTOMAS
• Aguda, os mesmos para Hepatite A, mas
podem ser mais brandos.
• Maioria dos casos assintomáticos ou pouco
sintomáticos.
AVALIAÇÃO LABORATORIAL GERAL
• Os mesmos para Hepatite A.
AVALIAÇÃO LABORATORIAL
(comprobatório)
Aguda
AVALIAÇÃO LABORATORIAL
(comprobatório)
Crônica
TRATAMENTO
• Interferon “Peguilado”.
DESFECHO CLÍNICO
• Variável.
• Cronificação em torno de 80%.
• Casos de hepatite C fulminante podem
ocorrer.
• Evolução para cronicidade ativa ou inativa.
• Evolução para cirrose hepática e/ou
adenocarcinoma hepatocelular.
PREVENÇÃO
• Uso de preservativos.
• Não compartilhar seringas e agulhas.
• Não existe vacina eficaz.

Hepatites Virais ,

  • 1.
    HEPATITES VIRAIS FAMED Prof. Dr.Ronaldo Luis Thomasini
  • 2.
    Hepatite A A hepatiteA é causada por um vírus da família Picornaviridae, gênero Hepatovirus, o Vírus da Hepatite A (HAV). O capsídeo viral é não-envelopado e possui formato icosaédrico contendo um genoma de ssRNA (+). Fig. 1 - Adaptado de Health and Disease Blog.
  • 3.
    Hepatite A Vírus daHepatite A visto sob microscopia eletrônica de transmissão. Fig. 2 - Adaptado de Hepatitis A - Medscape.
  • 4.
    TRANSMISSÃO • Oral –Fecal Contato direto, fômites, alimentos, água e outras bebidas contaminadas. • Associações: Saneamento básico pobre, baixo nível sócio-econômico, ausência de vacinação. • Casos de ingestão de ostras e outros frutos-do-mar contaminados (liberação de esgoto não tratado no mar e rios).
  • 5.
  • 6.
    SINAIS E SINTOMAS •Vômitos • Dor abdominal • Icterícia intensa (pele, olhos, bilirrubinúria, fezes esbranquiçadas) • Febre • Sintomas gerais de viroses (dor muscular e articular, cefaléia, fadiga) • Hepatomegalia com palpação dolorosa. • Casos assintomáticos ou anictéricos podem ocorrer em regiões endêmicas, especialmente, em crianças.
  • 7.
    Não é comumexame anátomo-patológico de fragmentos de tecidos coletados por biópsia para diagnóstico de hepatites agudas. No entanto, para fins didáticos de como o fígado é afetado, seguem algumas imagens. Fonte: http://anatpat.unicamp.br/lamfig1.html.
  • 8.
  • 12.
    AVALIAÇÃO LABORATORIAL GERAL •Hemograma: Leucocitose ou leucopenia e linfocitose acompanhada de linfócitos atípicos (depende da fase da infecção). • Enzimas hepáticas: AST (TGO) , ALT (TGP), Gama-GT , fosfatase alcalina: Todas ↑ ++++. • Bilirrubinas totais : ↑++++. direta: ↑++++. indireta: ↑ variável.
  • 13.
    AVALIAÇÃO LABORATORIAL (comprobatório) • Anticorpostotais anti-HAV (ELISA): infecção recente ou pregressa ou ainda, vacinação prévia. • Anticorpos IgM anti-HAV (ELISA): infecção atual ou recente. • Reação em cadeia da polimerase (RT-PCR) no sangue ou fezes. Microscopia eletrônica nas fezes. A princípio, não é importante a carga viral. Não são usuais, nem necessários!
  • 14.
    TRATAMENTO • Não existetratamento específico. • Hidratação. • Dieta rica em proteínas e pobre em gorduras. • Repouso até normalização das enzimas hepáticas. • Não ingerir álcool até 2 meses após a normalização das enzimas hepáticas. • Fármacos devem ser evitados devido a metabolização hepática. Evitar inclusive tratamento fitoterápico.
  • 15.
    DESFECHO CLÍNICO • Geralmentebenigno após 30 a 60 dias. • Não há cronificação, embora, o “clearence” viral pode ser mais demorado. • Casos de hepatite A fulminante são raros (<1%). Pacientes > 50 anos tem maior risco de serem fatais. Não se tem comprovação das causas, mas doença hepática prévia parece ser um dos principais fatores de risco (recomenda- se vacinação para estes casos). Se caracteriza por alterações do sono, com inversão do dia com a noite, rebaixamento do SNC que pode evoluir para coma e óbito. Único tratamento é o Tx (transplante) de fígado.
  • 16.
    PREVENÇÃO • Vacinação nãofazia parte do calendário de vacinação do SUS até 2014. Somente crianças. Adultos só em situações especiais. • Evitar alimentos crus ou mal cozidos. • Beber água clorada ou fervida. • Evitar contato com água contaminada com efluentes (esgoto). • Evitar contato com doentes ou seus objetos pessoais.
  • 17.
    Hepatite E A hepatiteE é causada por um vírus da família Hepeviridae, gênero Orthohepevirus, o Vírus da Hepatite E (HEV). Antigamente, era classificado como um Calicívirus. O capsídeo viral é não-envelopado e possui formato icosaédrico contendo um genoma de ssRNA (+). Fig. 1 - Adaptado de Hepatitis E Symptoms, Cause, Vaccine, Diagnosis and Treatment- JotScroll.
  • 18.
    Hepatite E Vírus daHepatite E visto sob microscopia eletrônica de transmissão. Fonte: Center for Disease Control and Prevention (CDC).
  • 19.
    TRANSMISSÃO • Oral –Fecal Contato direto, fômites, alimentos, água e outras bebidas contaminadas. • Associações: Saneamento básico pobre, baixo nível sócio-econômico. • Animais (porcos, vacas, cabras, etc...) podem ser reservatórios do vírus.
  • 20.
    DISTRIBUIÇÃO GEOGRÁFICA Fonte: HepatitisE Questions and Answers for Health Professionals. Center for Disease Control and Prevention (CDC).
  • 21.
    SINAIS E SINTOMAS •Os mesmos para Hepatite A. • Casos assintomáticos ou pouco sintomáticos podem ocorrer.
  • 22.
    AVALIAÇÃO LABORATORIAL GERAL •Os mesmos para Hepatite A.
  • 23.
    AVALIAÇÃO LABORATORIAL (comprobatório) • AnticorposIgG anti-HEV (ELISA): infecção recente ou pregressa. • Anticorpos IgM anti-HEV (ELISA): infecção atual ou recente. • Não é fácil encontrar laboratórios que realizam este exame. O diagnóstico poderá ter que ficar sem confirmação devido a esta limitação. • Reação em cadeia da polimerase (RT-PCR) no sangue ou fezes. Não é usual, nem necessária. Importante para informação epidemiológica.
  • 24.
    TRATAMENTO • Não existetratamento específico. • Os mesmos cuidados para Hepatite A.
  • 25.
    DESFECHO CLÍNICO • Geralmentebenigno. • Não se cronifica. • Casos de hepatite E fulminante ocorrem com mais frequência em pacientes com doença hepática prévia e na gravidez com índice de letalidade de cerca de 20% .
  • 26.
    PREVENÇÃO • As mesmaspara Hepatite A. • Existe uma vacina eficaz, mas não é economicamente viável. • Recentemente a China adotou um protocolo de vacinação.
  • 27.
    Hepatite B A hepatiteB é causada por um vírus da família Hepadnaviridae, gênero Orthohepadnavirus, o Vírus da Hepatite B (HBV). O capsídeo viral é envelopado e possui formato icosaédrico contendo um genoma de dsDNA.
  • 28.
    Hepatite B Vírus daHepatite E visto sob microscopia eletrônica de transmissão.
  • 29.
  • 30.
  • 31.
    SINAIS E SINTOMAS •Aguda, os mesmos para Hepatite A, mas podem ser mais brandos. • Maioria dos casos assintomáticos ou pouco sintomáticos.
  • 32.
    AVALIAÇÃO LABORATORIAL GERAL •Os mesmos para Hepatite A.
  • 33.
  • 34.
  • 35.
  • 36.
    DESFECHO CLÍNICO • Variável. •Cronificação em torno de 5%. • Casos de hepatite B fulminante podem ocorrer. • Evolução para cronicidade ativa ou inativa. • Evolução para cirrose hepática e/ou adenocarcinoma hepatocelular.
  • 37.
    PREVENÇÃO • Vacinação. • Usode preservativos. • Não compartilhar seringas e agulhas.
  • 38.
    Hepatite C O vírusda hepatite C (HCV) é um vírus de ssRNA, envelopado e de sentido positivo da família Flaviviridae, gênero Hepacivirus.
  • 39.
    Hepatite C Vírus daHepatite E visto sob microscopia eletrônica de transmissão.
  • 40.
  • 41.
  • 42.
    SINAIS E SINTOMAS •Aguda, os mesmos para Hepatite A, mas podem ser mais brandos. • Maioria dos casos assintomáticos ou pouco sintomáticos.
  • 43.
    AVALIAÇÃO LABORATORIAL GERAL •Os mesmos para Hepatite A.
  • 44.
  • 45.
  • 46.
  • 47.
    DESFECHO CLÍNICO • Variável. •Cronificação em torno de 80%. • Casos de hepatite C fulminante podem ocorrer. • Evolução para cronicidade ativa ou inativa. • Evolução para cirrose hepática e/ou adenocarcinoma hepatocelular.
  • 48.
    PREVENÇÃO • Uso depreservativos. • Não compartilhar seringas e agulhas. • Não existe vacina eficaz.