AS CÉLULAS
TRONCO SÃO
CAPAZES DE
SE DIVIDIR E
TRANSFORMA
R EM
QUALQUER
OUTRO TIPO
DE CÉLULA,
UM
VERDADEIRO
"CORINGA" DO
ORGANISMO.
EMBRIÃO HUMANO
NA FASE DE
BLASTOCISTO. FOI
RETIRADO O
EMBRIOBLASTO
 NO PROCESSO , OS INDIVÍDUOS
RESULTANTES SÃO GERADOS DE OUTRO
PRÉ EXISTENTE, E PORTANTO TERÃO AS
MESMAS CARACTERÍSTICAS GENÉTICAS
CROMOSSÔMICAS DO “DOADOR”.
 EM SERES HUMANOS, ISSO SÓ ACONTECE
NO CASO DE GÊMEOS UNIVITELINOS.
 1938: Idéia da clonagem. Hans
Spermann - proposta de transferência
do núcleo de uma célula em estágio
tardio de desenvolvimento para um
óvulo;
 1952: 1a experiência do gênero -
Clonagem de girinos;
 1970: pesquisa com embriões de Ratos;
 1979: pesquisa com embrião de ovelhas;
 1981: Pesquisadores da Universidade de
Genebra (Suíça) – clones de ratos a
partir de células embrionárias;
 1984: Stean Willadsen (Universidade de
Cambridge) clonou uma ovelha a partir
de células embrionárias jovens.
 Técnicas foram repetidas com outros
animais;
 Ovelhas
 Macacos
 Porcos
 Ratos
 Cabras
 Sapos
 Mamutes
 Cachorros
 Bovinos
 1996: Surgiu a Dolly, que teve seu nascimento
anunciado em 1997, tornando-se um marco
na Era Biotecnológica.
 Basicamente dois métodos:
 Extração do material genético de célula somática
(CORPO) e inserção em óvulo cujo núcleo com
DNA tenha sido retirado;
 Fusão de uma célula inteira com um óvulo sem
material genético.
 Fevereiro de 1997 -
o escocês Ian
Wilmut, do Instituto
Roslin – Primeira
experiência de
Clonagem
Glândulas mamárias de ovelha de
pela branca
Núcleo implantado em um ovócito
anucleado, proveniente de outra
ovelha de pelagem negra
O embrião resultante foi implantado
no útero de uma terceira ovelha
-Criado no EUA, o
primeiro primata
geneticamente
modificado do mundo,
teve um gene do animal
marinho inserido em seu
DNA.
-Nova cobaía
transgênica –muito mais
semelhante ao homem
do que os tradicionais
ratos modificados de
laboratório.
Inglaterra – uma porca de 100 kg gerou 5 porquinhas idênticas.
Conquista de
importância – porcos
poderão ser
fornecedores
geneticamente
potenciais de órgãos
-Cientistas do Havaí clonaram o primeiro adulto do sexo
masculino – o rato Fibro.
-Criado a partir de um pedaço do rabo de um
camundongo: foram colhidos 700 óvulos produzidos por
ratas e descartaram o núcleo deles. O material foi
substituído por células extraídas da cauda do doador.
Apenas 274 embriões resultaram dessa operação e
foram implantadas em 25 ratas que funcionaram como
“mães de aluguel”.
-O índice de sucesso foi baixíssimo: apenas Fibro
sobreviveu.
 Montreal (Canadá)- mediante clonagem,
nascimento de 3 cabras idênticas
 Produção em grande escala de seda sintática
(Biosteel)- um material extremamente
resistente extraído do leite de cabra
 Possível obtenção de produção de proteínas
humanas em cabras geneticamente
modificadas.
Os anfíbios foram os
primeiros organismos
superiores a serem
clonados
1952-Primeira experiência com
clonagem de girinos a partir de
células somáticas
1962- mesmo procedimento
com sapo adulto
1975-transferência de células
de pele de rãs adultas para
ovos Xenopus enucleados
 Londres – restos de mamutes de 23 mil
anos, descobertos na Sibéria, poderão ser
usados na clonagem animal
 Clones suficientes de DNA para tentar
obter um réplica genética dessa espécie
 O estudo do animal também poderá trazer
mais evidências sobre o fim dessa espécie
O Missyplicity Project reúne
cientistas que estão tentando clonar
a cadela Missy (foto). O
Genetic Savings & Clone é um banco
de DNA criado especialmente para
animais
O animal mais
recentemente clonado!!!
- Intenção clonar animais de
estimação e animais de grande
potencial pecuário para novas
opções de mercado
 Bovinos
As pesquisas em reprodução animal na
Embrapa começaram em 1984, e são o
resultado da tecnologia de transferência
nuclear. Vitória foi obtida como resultado de
núcleos transferidos de um embrião de cinco
dias coletado de uma vaca simental pela
técnica de transferência de embriões clássica,
na qual uma célula é enucleada (célula
recipiente) e depois é feita a fusão com a célula
doadora retirada de um embrião. Foto:
divulgação.
1) As células somáticas são retiradas do doador 2) Essas células são cultivadas
em laboratório 3) De uma doadora colhe-se um óvulo não fertilizado 4) O núcleo
contendo DNA é retirado do óvulo 5) A célula cultivada é fundida ao óvulo por
meio de corrente elétrica 6) Agora temos o óvulo fertilizado com nova
informação genética 7) Este óvulo vai se desenvolver até a fase de blástula
(embrião com mais de 100 células) onde estão as células tronco.
As células-
tronco trazem a
possibilidade de
regenerar
partes
debilitadas do
corpo e de
curar doenças
que ainda
desafiam os
tratamentos
com drogas.
Sequênciamento dos genes que
determinam as características
físicas e a predisposição de
cada indivíduo de sofrer certas
doenças
Genoma Humano – mapa genético humano contém
30.000 genes
Giro na História da Medicina moderna e começo de
uma forte batalha comercial pelo pateamento
desses novos conhecimentos genéticos
"A ciência sem religião é paralítica; a
religião sem a ciência é cega”.
Albert Einsten
 Clonagem X Catolicismo
 Clonagem X Islamismo
 Clonagem X Judaísmo
• Pretendida para produzir uma duplicata de
um indivíduo, através de uma técnica
chamada de Transferência Nuclear.
1. Retira-se o núcleo do óvulo.
2. Retira da pessoa a ser clonada o núcleo de
uma célula contendo o DNA.
3. Funde-se o óvulo desprovido de núcleo
com a célula contendo o DNA por meio de
eletrofusão.
4. Forma se então um embrião, que é
implantado na mãe de aluguel
• É a clonagem sem fins reprodutivos.
• Após os óvulos com os novos genes
serem colocados num meio que os
estimula a multiplicação, antes, de se
diferenciarem para a formação do
corpo humano, são induzidas a se
transformarem em tecidos específicos e,
depois, injetadas para substituição de
células doentes dos órgãos.
1. O DNA é extraído de uma
pessoa doente.
2. O DNA é então implantado no
óvulo de uma doadora,
desprovido de núcleo.
3. O óvulo então divide-se como
uma fertilização típica e forma
um embrião.
4. Células-tronco são removidas
do embrião.
5. Qualquer espécie de tecido ou
órgão pode ser formada a
partir destas células-tronco
para tratar o doente.
 São células encontradas
no oócito fecundado
nos Blastômeros do
embrião no estágio de 2,
4, até 8 células. Podem
originar um indivíduo
completo.
 São derivadas de
embriões e podem
originar todos os tipos
de tecidos.
Células Tronco
Multipotente
 São derivadas do
embrião,
permanecendo
quiescentes e
indiferenciadas em
alguns órgãos do
organismo adulto
• O método de indução de diferenciação
mais utilizado in vitro é a formação de
estruturas tridimensionais em cultura.
Cardiogênese: Células contráteis
formam se espontaneamente durante o
desenvolvimento das células tronco.
Neurogênese: Para se obter células
nervosas, são utilizadas altas
concentrações de ácido retinóico que é
a forma biológica da vitamina A.
A experiência de Polly foi
ainda mais diferenciada,
por ser portadora de
material genético
humano.
Ela e suas quatro irmãs
foram produzidas a partir
de células de tecidos
fibrosos de fetos.
Ela deverá produzir leite
contendo a proteína
chamada fator 9,
utilizada no tratamento
da hemofilia tipo B”.
• Obtenção de células tronco a fim de restaurar a
função de um órgão ou tecido.
• Não oferecer riscos de rejeição se o doador fosse
a própria pessoa.
• Diminuição ou fim do tráfico clandestido de
órgãos.
•
• Possibilidade de casais inférteis terem filhos.
• Espécies em vias de extinção poderiam ser salvas.
 
 Técnica de baixa eficiência.
 Vários fetos morrem durante a gestação
ou logo após o nascimento.
 Grande número de anomalias
 Envelhecimento Precoce
 Síndrome do filhote grande (large offspring
syndrome – LOS)
 Lesões hepáticas, tumores, baixa
imunidade.
 Propagação de plantas assexuadamente –
Clonagem
 Vantagem dessa tecnologia: uniformidade
 O ambiente pode interferir,mas se as
plantas tem a mesma constituição
genética, maior controle
 Com a seleção genética é possível
multiplicar plantas que já foram
modificadas
 Clonagem utilizada tradicionalmente e
vastamente na produção de café,
laranja,uva, morango, figo, goiaba,
pêssego, manga, abacate e outras árvores
fruíferas
 “Clonagem moderna”- dec. 70:
micropropagação a partir de células que
são multiplicadas em meios de cultura
 Dificuldades dessa nova técnica: custo e
por não ter certeza de melhores resultados
TOTIPOTENTES
PODEM PRODUZIR TODAS AS
CÉLULAS EMBRIONÁRIAS E
EXTRA - EMBRIONÁRIAS.
PLURIPOTENTES
PODEM PRODUZIR TODOS OS TIPOS
CELULARES DO EMBRIÃO.
A Importância das Células Tronco
Devido a essa característica única, as células-tronco são de grande importância para a
medicina, principalmente na aplicação terapêutica, podendo ser usadas no combate de
doenças crônicas
doenças cardiovasculares neurodegenerativas,
nefropatias,
diabetes tipo 1,
acidentes vasculares cerebrais,
doenças hematológicas,
imunodeficiências,
traumas da medula espinhal, sendo que, o
principal objetivo seria recuperar os tecidos
danificados pelas doenças.
1) as células-tronco
EMBRIONÁRIAS,
 que como o próprio
nome diz, vêm do
embrião;
2) e as ADULTAS,
 encontradas
principalmente na
medula óssea e no
cordão umbilical.
 Menos versáteis que
as células-tronco
embrionárias, elas, no
entanto, não causam
polêmica porque sua
obtenção não
depende de embriões
 O PROCESSO DE
DIFERENCIAÇÃO,
QUE GERA AS
CÉLULAS
ESPECIALIZADAS
— DA PELE, DOS
OSSOS E
CARTILAGENS, DO
SANGUE, DOS
MÚSCULOS, DO
SISTEMA
NERVOSO E DOS
OUTROS ÓRGÃOS
E TECIDOS
HUMANOS — É
REGULADO, EM
CADA CASO,
PELA EXPRESSÃO
DE GENES
ESPECÍFICOS NA
CÉLULA-TRONCO
EMBRIONARY
STEM CELL

Essa figura
representa a
introdução do
DNA de uma
pessoa com uma
lesão
(ex. neurológica)
num óvulo
“in vitro” com o
objetivo de gerar
um embrião.
NO ÓVULO
FECUNDADO
TEM INÍCIO A
FORMAÇÃO
DO EMBRIÃO
“IN VITRO”.
APÓS CINCO DIAS DE INCUBAÇÃO “IN VITRO” DO ÓVULO
FECUNDADO,
O NÚMERO DE CÉLULAS SE MULTIPLICA FORMANDO O
BLASTOCISTO.
ESSAS CÉLULAS SÃO PLURIPOTENCIAIS PARA FORMAÇÃO DOS
DIVERSOS TECIDOS DO ORGANISMO E SÃO CONHECIDAS POR
CÉLULAS TRONCO.
PARA INDUZIR A
PRODUÇÃO DE
DETERMINADA CÉLULA
POR ESSE MEIO DE
CLONAGEM TERAPÊUTICA
E ESPECÍFICAS SERÁ
POSSÍVEL NO FUTURO
INDUZIR CÉLULAS TRONCO
COM ESPECIFICIDADE
PARA OS TECIDOS DO
CORAÇÃO, PÂNCREAS,
FÍGADO, OSSOS, SANGUE,
RIM, ETC.
 AS CÉLULAS
PLURIPOTENCIAIS
COLOCADAS EM OUTRO
MEIO DE CULTURA
ENRIQUECIDO COM
PROTEÍNAS ESPECÍFICAS
NEUTRÓFILO
EOSINÓFILO
BASÓFILO
LINFÓCITO MONÓCITO
 PARTE LÍQUIDA:
PLASMA (CERCA DE 90% DE ÁGUA);
 PARTE SÓLIDA (ELEMENTOS FIGURADOS/células):
HEMÁCIAS, LEUCÓCITOS E PLAQUETAS
FUNÇÕES:
1. TRANSPORTE DE O2 E CO2
2. REGULAÇÃO DO pH (CARBONATOS, FOSFATOS E PROTEÍNAS)
3. NUTRIÇÃO
4. EXCREÇÃO
5. MANUTENÇÃO DO VOLUME DO FLUÍDO CORPORAL
6. REGULAÇÃO TÉRMICA
7. FUNÇÃO REGULADORA (TRANSPORTE DE HORMÔNIOS)
8. DEFESA DO ORGANISMO
Celulas tronco clonagem
Celulas tronco clonagem

Celulas tronco clonagem

  • 3.
    AS CÉLULAS TRONCO SÃO CAPAZESDE SE DIVIDIR E TRANSFORMA R EM QUALQUER OUTRO TIPO DE CÉLULA, UM VERDADEIRO "CORINGA" DO ORGANISMO.
  • 4.
    EMBRIÃO HUMANO NA FASEDE BLASTOCISTO. FOI RETIRADO O EMBRIOBLASTO
  • 5.
     NO PROCESSO, OS INDIVÍDUOS RESULTANTES SÃO GERADOS DE OUTRO PRÉ EXISTENTE, E PORTANTO TERÃO AS MESMAS CARACTERÍSTICAS GENÉTICAS CROMOSSÔMICAS DO “DOADOR”.  EM SERES HUMANOS, ISSO SÓ ACONTECE NO CASO DE GÊMEOS UNIVITELINOS.
  • 6.
     1938: Idéiada clonagem. Hans Spermann - proposta de transferência do núcleo de uma célula em estágio tardio de desenvolvimento para um óvulo;  1952: 1a experiência do gênero - Clonagem de girinos;  1970: pesquisa com embriões de Ratos;  1979: pesquisa com embrião de ovelhas;
  • 7.
     1981: Pesquisadoresda Universidade de Genebra (Suíça) – clones de ratos a partir de células embrionárias;  1984: Stean Willadsen (Universidade de Cambridge) clonou uma ovelha a partir de células embrionárias jovens.  Técnicas foram repetidas com outros animais;
  • 8.
     Ovelhas  Macacos Porcos  Ratos  Cabras  Sapos  Mamutes  Cachorros  Bovinos
  • 9.
     1996: Surgiua Dolly, que teve seu nascimento anunciado em 1997, tornando-se um marco na Era Biotecnológica.
  • 10.
     Basicamente doismétodos:  Extração do material genético de célula somática (CORPO) e inserção em óvulo cujo núcleo com DNA tenha sido retirado;  Fusão de uma célula inteira com um óvulo sem material genético.
  • 11.
     Fevereiro de1997 - o escocês Ian Wilmut, do Instituto Roslin – Primeira experiência de Clonagem
  • 13.
    Glândulas mamárias deovelha de pela branca Núcleo implantado em um ovócito anucleado, proveniente de outra ovelha de pelagem negra O embrião resultante foi implantado no útero de uma terceira ovelha
  • 14.
    -Criado no EUA,o primeiro primata geneticamente modificado do mundo, teve um gene do animal marinho inserido em seu DNA. -Nova cobaía transgênica –muito mais semelhante ao homem do que os tradicionais ratos modificados de laboratório.
  • 15.
    Inglaterra – umaporca de 100 kg gerou 5 porquinhas idênticas. Conquista de importância – porcos poderão ser fornecedores geneticamente potenciais de órgãos
  • 16.
    -Cientistas do Havaíclonaram o primeiro adulto do sexo masculino – o rato Fibro. -Criado a partir de um pedaço do rabo de um camundongo: foram colhidos 700 óvulos produzidos por ratas e descartaram o núcleo deles. O material foi substituído por células extraídas da cauda do doador. Apenas 274 embriões resultaram dessa operação e foram implantadas em 25 ratas que funcionaram como “mães de aluguel”. -O índice de sucesso foi baixíssimo: apenas Fibro sobreviveu.
  • 17.
     Montreal (Canadá)-mediante clonagem, nascimento de 3 cabras idênticas  Produção em grande escala de seda sintática (Biosteel)- um material extremamente resistente extraído do leite de cabra  Possível obtenção de produção de proteínas humanas em cabras geneticamente modificadas.
  • 18.
    Os anfíbios foramos primeiros organismos superiores a serem clonados 1952-Primeira experiência com clonagem de girinos a partir de células somáticas 1962- mesmo procedimento com sapo adulto 1975-transferência de células de pele de rãs adultas para ovos Xenopus enucleados
  • 19.
     Londres –restos de mamutes de 23 mil anos, descobertos na Sibéria, poderão ser usados na clonagem animal  Clones suficientes de DNA para tentar obter um réplica genética dessa espécie  O estudo do animal também poderá trazer mais evidências sobre o fim dessa espécie
  • 20.
    O Missyplicity Projectreúne cientistas que estão tentando clonar a cadela Missy (foto). O Genetic Savings & Clone é um banco de DNA criado especialmente para animais O animal mais recentemente clonado!!! - Intenção clonar animais de estimação e animais de grande potencial pecuário para novas opções de mercado
  • 21.
     Bovinos As pesquisasem reprodução animal na Embrapa começaram em 1984, e são o resultado da tecnologia de transferência nuclear. Vitória foi obtida como resultado de núcleos transferidos de um embrião de cinco dias coletado de uma vaca simental pela técnica de transferência de embriões clássica, na qual uma célula é enucleada (célula recipiente) e depois é feita a fusão com a célula doadora retirada de um embrião. Foto: divulgação.
  • 22.
    1) As célulassomáticas são retiradas do doador 2) Essas células são cultivadas em laboratório 3) De uma doadora colhe-se um óvulo não fertilizado 4) O núcleo contendo DNA é retirado do óvulo 5) A célula cultivada é fundida ao óvulo por meio de corrente elétrica 6) Agora temos o óvulo fertilizado com nova informação genética 7) Este óvulo vai se desenvolver até a fase de blástula (embrião com mais de 100 células) onde estão as células tronco.
  • 23.
    As células- tronco trazema possibilidade de regenerar partes debilitadas do corpo e de curar doenças que ainda desafiam os tratamentos com drogas.
  • 24.
    Sequênciamento dos genesque determinam as características físicas e a predisposição de cada indivíduo de sofrer certas doenças Genoma Humano – mapa genético humano contém 30.000 genes Giro na História da Medicina moderna e começo de uma forte batalha comercial pelo pateamento desses novos conhecimentos genéticos
  • 25.
    "A ciência semreligião é paralítica; a religião sem a ciência é cega”. Albert Einsten  Clonagem X Catolicismo  Clonagem X Islamismo  Clonagem X Judaísmo
  • 26.
    • Pretendida paraproduzir uma duplicata de um indivíduo, através de uma técnica chamada de Transferência Nuclear. 1. Retira-se o núcleo do óvulo. 2. Retira da pessoa a ser clonada o núcleo de uma célula contendo o DNA. 3. Funde-se o óvulo desprovido de núcleo com a célula contendo o DNA por meio de eletrofusão. 4. Forma se então um embrião, que é implantado na mãe de aluguel
  • 28.
    • É aclonagem sem fins reprodutivos. • Após os óvulos com os novos genes serem colocados num meio que os estimula a multiplicação, antes, de se diferenciarem para a formação do corpo humano, são induzidas a se transformarem em tecidos específicos e, depois, injetadas para substituição de células doentes dos órgãos.
  • 29.
    1. O DNAé extraído de uma pessoa doente. 2. O DNA é então implantado no óvulo de uma doadora, desprovido de núcleo. 3. O óvulo então divide-se como uma fertilização típica e forma um embrião. 4. Células-tronco são removidas do embrião. 5. Qualquer espécie de tecido ou órgão pode ser formada a partir destas células-tronco para tratar o doente.
  • 31.
     São célulasencontradas no oócito fecundado nos Blastômeros do embrião no estágio de 2, 4, até 8 células. Podem originar um indivíduo completo.
  • 32.
     São derivadasde embriões e podem originar todos os tipos de tecidos. Células Tronco Multipotente  São derivadas do embrião, permanecendo quiescentes e indiferenciadas em alguns órgãos do organismo adulto
  • 33.
    • O métodode indução de diferenciação mais utilizado in vitro é a formação de estruturas tridimensionais em cultura. Cardiogênese: Células contráteis formam se espontaneamente durante o desenvolvimento das células tronco. Neurogênese: Para se obter células nervosas, são utilizadas altas concentrações de ácido retinóico que é a forma biológica da vitamina A.
  • 34.
    A experiência dePolly foi ainda mais diferenciada, por ser portadora de material genético humano. Ela e suas quatro irmãs foram produzidas a partir de células de tecidos fibrosos de fetos. Ela deverá produzir leite contendo a proteína chamada fator 9, utilizada no tratamento da hemofilia tipo B”.
  • 35.
    • Obtenção decélulas tronco a fim de restaurar a função de um órgão ou tecido. • Não oferecer riscos de rejeição se o doador fosse a própria pessoa. • Diminuição ou fim do tráfico clandestido de órgãos. • • Possibilidade de casais inférteis terem filhos. • Espécies em vias de extinção poderiam ser salvas.  
  • 36.
     Técnica debaixa eficiência.  Vários fetos morrem durante a gestação ou logo após o nascimento.  Grande número de anomalias  Envelhecimento Precoce  Síndrome do filhote grande (large offspring syndrome – LOS)  Lesões hepáticas, tumores, baixa imunidade.
  • 37.
     Propagação deplantas assexuadamente – Clonagem  Vantagem dessa tecnologia: uniformidade  O ambiente pode interferir,mas se as plantas tem a mesma constituição genética, maior controle  Com a seleção genética é possível multiplicar plantas que já foram modificadas
  • 38.
     Clonagem utilizadatradicionalmente e vastamente na produção de café, laranja,uva, morango, figo, goiaba, pêssego, manga, abacate e outras árvores fruíferas  “Clonagem moderna”- dec. 70: micropropagação a partir de células que são multiplicadas em meios de cultura  Dificuldades dessa nova técnica: custo e por não ter certeza de melhores resultados
  • 39.
    TOTIPOTENTES PODEM PRODUZIR TODASAS CÉLULAS EMBRIONÁRIAS E EXTRA - EMBRIONÁRIAS. PLURIPOTENTES PODEM PRODUZIR TODOS OS TIPOS CELULARES DO EMBRIÃO.
  • 40.
    A Importância dasCélulas Tronco Devido a essa característica única, as células-tronco são de grande importância para a medicina, principalmente na aplicação terapêutica, podendo ser usadas no combate de doenças crônicas doenças cardiovasculares neurodegenerativas, nefropatias, diabetes tipo 1, acidentes vasculares cerebrais, doenças hematológicas, imunodeficiências, traumas da medula espinhal, sendo que, o principal objetivo seria recuperar os tecidos danificados pelas doenças.
  • 42.
    1) as células-tronco EMBRIONÁRIAS, que como o próprio nome diz, vêm do embrião; 2) e as ADULTAS,  encontradas principalmente na medula óssea e no cordão umbilical.  Menos versáteis que as células-tronco embrionárias, elas, no entanto, não causam polêmica porque sua obtenção não depende de embriões
  • 43.
     O PROCESSODE DIFERENCIAÇÃO, QUE GERA AS CÉLULAS ESPECIALIZADAS — DA PELE, DOS OSSOS E CARTILAGENS, DO SANGUE, DOS MÚSCULOS, DO SISTEMA NERVOSO E DOS OUTROS ÓRGÃOS E TECIDOS HUMANOS — É REGULADO, EM CADA CASO, PELA EXPRESSÃO DE GENES ESPECÍFICOS NA CÉLULA-TRONCO EMBRIONARY STEM CELL
  • 49.
     Essa figura representa a introduçãodo DNA de uma pessoa com uma lesão (ex. neurológica) num óvulo “in vitro” com o objetivo de gerar um embrião.
  • 50.
    NO ÓVULO FECUNDADO TEM INÍCIOA FORMAÇÃO DO EMBRIÃO “IN VITRO”.
  • 51.
    APÓS CINCO DIASDE INCUBAÇÃO “IN VITRO” DO ÓVULO FECUNDADO, O NÚMERO DE CÉLULAS SE MULTIPLICA FORMANDO O BLASTOCISTO. ESSAS CÉLULAS SÃO PLURIPOTENCIAIS PARA FORMAÇÃO DOS DIVERSOS TECIDOS DO ORGANISMO E SÃO CONHECIDAS POR CÉLULAS TRONCO.
  • 52.
    PARA INDUZIR A PRODUÇÃODE DETERMINADA CÉLULA POR ESSE MEIO DE CLONAGEM TERAPÊUTICA E ESPECÍFICAS SERÁ POSSÍVEL NO FUTURO INDUZIR CÉLULAS TRONCO COM ESPECIFICIDADE PARA OS TECIDOS DO CORAÇÃO, PÂNCREAS, FÍGADO, OSSOS, SANGUE, RIM, ETC.  AS CÉLULAS PLURIPOTENCIAIS COLOCADAS EM OUTRO MEIO DE CULTURA ENRIQUECIDO COM PROTEÍNAS ESPECÍFICAS
  • 58.
  • 59.
  • 60.
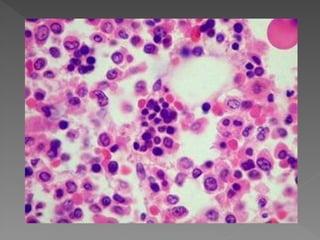
  • 62.
     PARTE LÍQUIDA: PLASMA(CERCA DE 90% DE ÁGUA);  PARTE SÓLIDA (ELEMENTOS FIGURADOS/células): HEMÁCIAS, LEUCÓCITOS E PLAQUETAS FUNÇÕES: 1. TRANSPORTE DE O2 E CO2 2. REGULAÇÃO DO pH (CARBONATOS, FOSFATOS E PROTEÍNAS) 3. NUTRIÇÃO 4. EXCREÇÃO 5. MANUTENÇÃO DO VOLUME DO FLUÍDO CORPORAL 6. REGULAÇÃO TÉRMICA 7. FUNÇÃO REGULADORA (TRANSPORTE DE HORMÔNIOS) 8. DEFESA DO ORGANISMO