TUBERCULOSE
Marcelo Litvoc
DMIP-HCFMUSP
RESUMO
INTRODUÇÃO
ETIOLOGIA
EPIDEMIOLOGIA
FISIOPATOLOGIA
ASPECTOS CLÍNICOS
DIAGNÓSTICO
TRATAMENTO
CONDIÇÕES ESPECIAIS
PREVENÇÃO
www.tuberculosisTextbook.com
HISTÓRIA
• 1943
Estreptomicina(Selman Waksmann)
• 1948: British Medical Research Council
(Primeiro trial randomizado)
HISTÓRIA
Fonte: New England Journal of Medicine 367.10 (2012): 931-936.
ETIOLOGIA
- Mycobacterium tuberculosis
- Família Mycobacteriaceae
- Crescimento lento (duplica em 18 – 48 horas)
- Tamanho: 0,2 - 0,6 micrometre X 1-10 micrometre
- Imóveis
- BAAR
- Cápsula lipídica (ácido micólico)
- Aeróbico
ROBERT KOCH
1882
POTENTIALY PATHOGENIC RARELY PATHOGENIC
WHO
• 10,0 milhões de novos casos estimados no ano de 2018
• 8,6 % HIV+
• 5,7 milhões sexo masculino
• 3,2 milhões são mulheres
• Crianças: 1,1 milhão de casos
• 1,2 milhão de óbitos/251.000 HIV+
OMS: The End TB Strategy
End TB
MINISTÉRIO DA SAÚDE-2018
• Incidência 34,8/100.000
• Mortalidade 2,2/100.000
• 72788 casos novos
• 14083 retratamentos
• 4534 óbitos
• Testagem HIV 75,5%
• 548 casos novos MDR/RR
MINISTÉRIO DA SAÚDE-2018
• TDO 36,9% de casos novos pulmonares (2017)
• 10,8% de abandono casos pulmonares (2017)
• 53,6% de contatos examinados dos casos pulmonares
confirmados(2017)
• 31,1% realizaram cultura para retratamento
Incidência por região- Estado de SP, 2015
São Paulo área metropolitana
(exceto capitall)
~3000 novos casos/ano
34/100 000
Capital
~ 6000 novos casos/ano
49/100 000
Interior
~5000 novos casos/ano
23/100 000
Área metropolitana de Santos
1 -5000 novos casos/ano
81/100 000
Casos de Tuberculose MDR em tratamento 11/ 2014
Número total 2012-2014
≤ 10
Desfechos em coinfectados HIV/TB
Estado de São Paulo, 2006 - 2015
52%
57% 58% 58% 59% 61% 62% 61% 58% 58% 58%
16% 15% 15% 16% 16% 14% 15% 15% 16% 13% 15%
28% 26% 25% 24% 24% 23%
20% 22% 23% 24% 24%
2006 2007 2008 2009 2010 2011 2012 2013 2014 2015 Total
Success Lost to follow-up Death
Casos de Tuberculose atendidos no HCFMUSP e notificados pelo Núcleo de Vigilância
Epidemiológica (NUVE) entre 2010 e 2015*
Tabela 1 Distribuição de casos de Tuberculose pulmonar e extra-pulmonar notificados
pelo NUVE – HCFMUSP, 2010 a 13 de junho de 2015
Apresentação
2010 2011 2012 2013 2014 2015 Total
n % N % n % n % n % n % n %
Tuberculose pulmonar 236 52,6 203 47,4 314 55,3 252 62,1 248 62,2 141 71,6 1394 57,0
Extra pulmonares 213 47,4 225 52,6 254 44,7 154 37,9 151 37,8 56 28,4 1053 43,0
Total 449 100 428 100 568 100 406 100 399 100 197 100 2447 100
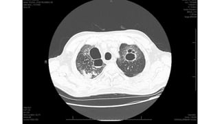
FORMAS CLÍNICA
 TUBERCULOSE PULMONAR
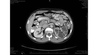
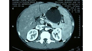
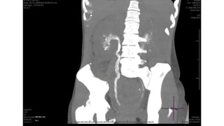
 EXTRA PULMONAR
 Pleural
 Linfonodal
 Intestinal
 Hepatoesplênica
Renal
 Óssea
 SNC
 Cutânea
 Ocular
 Pericárdicaoneal.........
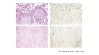
J Bras Pneumol 2001;27:329-40
J Bras Pneumol 2001;27:329-40
J Bras Pneumol 2004;30:S 3-85
Baum´s Text Pulm Dis 5th ed
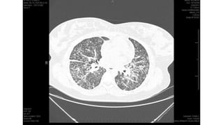
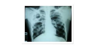
Miliary pattern
Intersticial Randomic micronodular distribution
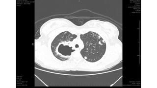
TUBERCULOSE PLEURAL
DIAGNÓSTICO
DOENÇA ATIVA
Microbiológico
Histológico
Radiológico
Clinico
Biologia Molecular
INFECÇÃO LATENTE (?????)
PPD (Mantoux)
Radiológico
Contato prévio
Doença prévia não tratada
IGRA
MICROBIOLÓGICO
• ZIEHL- NIELSEN
• MINÍMO: 10.000 BACILOS/ ML
• NÃO IDENTIFICA ESPÉCIE
• QUANTIFICAÇÃO NO ESCARRO
CULTURA
GOLD STANDARD
MINÍMO: 100 BACILOS/ ML
MEIO: LOWENSTEIN-JENSEN
15-45 DIAS
MICROBIOLÓGICO
• Método automático
•Midlebrook liquid medium
• MGIT® (Mycobacteria Growth Indicator Tube-MGIT, Becton Dickinson Diagnostic Systems, Sparks, MD)
•
Xpert
MTB/RIF ULTRA
- 02 novos alvos: IS6110 e IS1081
- Maior câmara da reação do DNA (ULTRA 50μl X 25μl no Xpert
MTB/RIF)
- Limite de detecção 16 UFC/ml X 114 UFC/ml
- Melting temperature-based X real-time PCR
- 04 sondas para mutação da Rifampicina (região gene rpoB)
Xpert
MTB/RIF ULTRA
• Positividade: 01 ou 02 sondas positivas com limite <37ciclos
• 02 sondas positivas para gene rpoB com limite <40 ciclos
• Categorias: (high, medium, low e very low)
• Nova categoria: TRACE CALL (menor quantidade detectada)
• Positividade: 01 ou 02 sondas positivas com limite<37 ciclos
• 01 sondas positivas para gene rpoB com limite <40 ciclos
10- color GeneXpert
• Estudo prospectivo randomizado multicêntrico
• Coréia do Sul (Seul), China (Zhengzhou)
• Adultos
• Tuberculosis Clinical Diagnostics Research Consortium (TB-CDRC)
• Insumos: Xpert MTB/RIF
• 10-color GeneXpert
• Cepheid®
10- color GeneXpert
• katG e inhA ISONIAZIDA
• gyrA/gyrB OFLOXACINA E MOXIFLOXACINA
• rrs KANAMICINA E AMICACINA
MANTOUX
IGRA (interferon gamma release assay)
- Quantiferon-TB test FDA 2001 (Cellestis)
- Quantiferon-TB Gold test 2005
- Quantiferon- TB Gold in tube 200
- T SPOT-TB 2008
- ELISPOT
QUANTIFERON
- 12 horas
- Alíquota: 1,0 ml
- Incubação: 16-24h (37*C)
- Tuberculosis complex (M. bovis, M. africanum, M. microti, M.
canetti)
- Non-Tuberculosis Mycobacteria: M. kansasii, M. szulgai e M.
marinum.
PPD X IGRA
- BCG
- SUBJETIVIDADE
- 01 VISITA
- REAÇÃO CRUZADA
- LINFOPENIA
- CUSTO
TERAPIA COMBINADA
 AEROBIOSE ESTRITA
 MULTIPLICAÇÃO LENTA
 DIVERSAS POPULAÇÕES BACILARES
 MUTANTES RESISTENTES NATURAIS
TRATAMENTO
REAÇÕES ADVERSAS ÁS DROGAS
ANTI-TUBERCULOSE
REAÇÕES MENORES
REAÇÕES ADVERSAS
REAÇÕES MAIORES
- Ocorrência em 03-08%
dos tratamentos
TMRCA-time to their most common recent
Ancestor-molecular clock
Müller, B., Borrell, S., Rose, G., & Gagneux, S. (2013). The heterogeneous evolution of multidrug-resistant Mycobacterium tuberculosis. Trends in Genetics, 29(3), 160–169.
https://doi.org/10.1016/j.tig.2012.11.005
TUBERCULOSE E TOS
TUBERCULOSE E TOS
Tuberculose pós-TOS
- patogênese
Bumbacea D, et al. Euro Resp J
2012; 40:990-1013.
Tipo de Tx Frequência de TB
Geral 1,2%-6,4% até 15%
Fígado adulto 0,7%-2,3%
Fígado pediátrico 2,5%
Rim 0,5%-15%
Coração 1%-1,5%
Pulmão 2%-6,5%
TCTH 0,2%-0,19%
Munoz et al. Clin Infect Dis 2005;40:581-8.
INIBIDORES TNF-ALFA
RISCO REATIVAÇÃO
• FDA-ADVERSE EVENT REPORTING SYSTEM (AERS)-1998-2001
INFLIXIMAB: 70 CASOS.
64 PACIENTES DE PAÍSES COM BAIXA INCIDÊNCIA.
AR: 24.4/100.000 X 6.2/100.000
40/70 EXTRA-PULMONAR. 17 DISSEMINADAS
XDR Tuberculosis
TB XDR
PREVENÇÃO
 VACINA BCG
28 DIAS
PREVENÇÃO
DETECÇÃO DE CASO E TRATAMENTO
(DOTs-Directly Observed Therapy short course)
PREVENÇÃO
 TRATAMENTO DA INFECÇÃO LATENTE
Mycobacterium tuberculosis
Isoniazida por 9 meses
Profilaxia Primária
>10 anos de dade
OBRIGADO!!
Marcelo Litvoc
DMIP-HCFMUSP

Apresentação.pdf