Incorporar apresentação
Transferir como PDF, PPTX






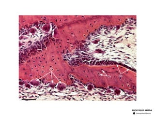
![Matriz orgânica (35%)
Colágeno
Hidroxiapatita
[ Ca10 (PO 4 ) 6(OH 2 ) 2 ]
Matriz inorgânica (65%)
PROFESSOR AMEBA](https://image.slidesharecdn.com/2018-tecidoconjuntivoosseo-180514111614/85/2018-tecido-conjuntivo-osseo-7-320.jpg)


O tecido ósseo é composto por células e matriz extracelular calcificada. Osteócitos situam-se em lacunas na matriz, osteoblastos sintetizam a parte orgânica da matriz, e osteoclastos são células multinucleadas que reabsorvem o tecido ósseo durante a remodelação óssea. A matriz é formada por colágeno orgânico e hidroxiapatita inorgânica.






![Matriz orgânica (35%)
Colágeno
Hidroxiapatita
[ Ca10 (PO 4 ) 6(OH 2 ) 2 ]
Matriz inorgânica (65%)
PROFESSOR AMEBA](https://image.slidesharecdn.com/2018-tecidoconjuntivoosseo-180514111614/85/2018-tecido-conjuntivo-osseo-7-320.jpg)

