Vida na Célula
Histórico Leeuwenhoek, observou microorganismos na água. 1677, Robert Hooke, observou cortes de cortiça, nos quais viu pequenas cavidades ocas, que denominou “cellas”, daí o nome célula. Posteriormente percebeu-se que as células não são cavidades ocas e sim um corpo cheio de matéria e de estruturas muito pequenas.
Citologia:  parte da biologia que estuda a célula As células são estruturas extremamente pequenas visualizadas apenas por microscópios. Dois tipos de microscópios: Microscópio Óptico (aumenta no máximo 1500x) Microscópio Eletrônico (ME)- aumentos maiores de 100 mil vezes. ->  Trouxeram avanços em diversos ramos da biologia/medicina
Níveis de Organização “ Todos os seres vivos são constituídos por células.” (Schleiden e Schwann, meados séc. XIX) - Mas, e os vírus??? Vírus não possuem estrutura celular, são constituídos por uma ácido nucléico, enzimas e cápsula protéica.
Níveis de Organização Criou-se o conceito de: Protoplasma  – Conjunto de tudo o que tem vida ou tem atividade na célula. Assim, os vírus poderiam se encaixar nessa teoria, pois utilizam a maquinaria da célula para replicar seu DNA e produzir suas proteínas virais. Tendo, assim, uma atividade na célula.
Vírus São parasitas intracelulares obrigatórios; Utilizam maquinaria celular para se replicar; Apresentam somente DNA ou RNA envolto por uma capa de proteína (capsídeo); Pode infectar qualquer célula viva. 1. Aproximação 2. Infecção 3. Multiplicação do vírus 4. Síntese dos capsídeos 5. Montagem dos vírus 6. Liberação Não foram os primeiros seres na Terra pois necessitam de células para se multiplicarem.
Príon São partículas infecciosas de proteínas. Provoca doença fatal, pela morte das células nervosas. Provável origem: mutação do gene. Ocorre nos vertebrados. Doença da Vaca Louca
Príon – como age Proteína normal Proteína doente (príon) Quando o príon enta em contato com a proteína normal, ele a altera, tornando-a um príon. O príon entra no organismo através da ingestão de alimento contaminado
Célula Procariótica Provavelmente, foram os primeiros seres vivos na Terra, pois são formas de vida mais simples: Foram originando novos seres, porém as formas anteriores não desapareceram.  Nucleóide Parede celular Membrana plasmática Ribossomo Citoplasma
Célula Procariótica Não há membranas internas, portanto ausência de membrana nuclear; São todos unicelulares, podem formar colônias. Representantes: bactérias e algas azuis (cianobactérias) Funções ecológicas: fotossíntese, colonização de ambientes nunca antes habitados (cianobactérias) e decomposição da matéria e doenças (no caso das bactérias)
Célula Eucariótica Acredita-se que as células eucarióticas tenham surgido por evolução das procarióticas ancestrais. Diferenças das células eucarióticas para as eucarióticas: Núcleo delimitado por membrana; Conjunto de membranas e compartimentos internos; Organelas citoplasmáticas
Endossimbiose –  evolução da célula eucariótica Inicialmente a membrana plasmática se desenvolveu, o que foi vantajoso; Os dobramentos da membrana produziram um envoltório duplo ao redor do material genético, formando a carioteca (envoltório nuclear), o retículo endoplasmático e o complexo de Golgi.
Endossimbiose  (continuação) Durante o dobramento da membrana, bactérias  heterótrofas aeróbicas  foram englobadas, assim como  procariotos autótrofos  (fazem fotossíntese); Assim essa nova célula se tornou capaz: de utilizar o oxigênio nos processos de obtenção de energia – através das mitocôndrias); de realizar a fotossíntese na entrada dos procariotos autótrofos (precursores dos plastos)
Endossimbiose Invaginação da membrana Retículo endoplasmático Carioteca Entrada de procarioto aeróbio heterótrofo Mitocôndria Ancestral heterótrofo eucarioto Entrada de procarioto fotossintético Ancestral eucarioto fotossintético Plasto
Eucélula Animal A célula anima apresenta as seguintes organelas: Membrana plasmática Núcleo (2) Carioteca (3) Peroxissomo (4) Retículo endoplasmático rugoso ou granular (5) Complexo de Golgi (6) Retículo endoplasmático liso (8) Mitocôndrias (9) Lisossomos (10) Centríolos (13) Hialoplasma (11)
Eucélula Vegetal Apresentam algumas variações quanto à célula animal: Parede celular Plastos (cloroplasto – verde) Vacúolo vegetal
Organelas celulares Núcleo celular Carioteca:  controla a troca de substâncias com o citoplasma. Nucléolo:  formação de ribossomos. Cromatina:  características genéticas e comando celular.
Citoplasma Centríolos:  formação de cílios e flagelos e participação na divisão celular. Paramecium
Citoesqueleto Manutenção da estrutura celular.
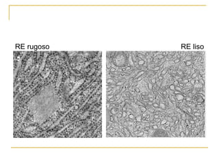
Retículo endoplasmático rugoso:  transporte de substâncias e síntese de proteínas (ribossomos).  Retículo endoplasmático liso:  transporte de substâncias e produção de lipídios esteróides.
RE rugoso RE liso
Complexo de Golgi:  armazena e secreta substâncias. Lisossomo:  digestão intracelular.
Complexo de Golgi e lisossomos
Mitocôndrias:  respiração celular (produção de energia)
Cloroplastos:  fotossíntese (síntese de glicose)
Amiloplastos : armazenamento de amido em vegetais
Vacúolo: Equilíbrio osmótico e armazenamento de substâncias. Parede celular : Formada por celulose, manutenção da forma e proteção.
Membrana Plasmática: Características Modelo do Mosaico Fluido Lipoproteica Bicamada  de lipídios Proteínas integrais e periféricas
Funções da membrana plasmática Mantém meio intra e extracelulares independentes Controla entrada e saída de substâncias PERMEABILIDADE SELETIVA Flexibilidade  Regeneração
Glicocálix Glicoproteínas (moléculas de carboidratos ligados a proteínas) Função: Adesão e reconhecimento celular Ex.: rejeição de órgãos
Transporte de membrana Íons e moléculas; Diferença de concentração Depende ou não de energia
Transporte de membrana Transporte passivo : sem gasto de energia Maior concentração  -> menor concentração Ex: Difusão simples, difusão facilitada, osmose Transporte ativo : com gasto de energia - Menor concentração  -> maior concentração
Difusão simples Passagem direta pela membrana (lipídios); Diferença de concentração de solutos; Sem gasto de energia; Ex: passagem de gases como o oxigênio e o gás carbônico. Vermelho mais concentrado Azul mais concentrado Ambas regiões com a mesma concentração dos solutos
Difusão facilitada Proteínas de membrana (permeases); Diferença de concentração de solutos; Sem gasto de energia; Ex.: Glicose e íons como sódio e potássio Meio menos concentrado Meio mais concentrado
Osmose Proteínas especiais (aquaporinas); Transporte de solvente (ex. água); Meios isotônicos : meios separados por membrana semipermeável, com mesma concentração; Meio hipertônico : meio onde a concentração iônica é maior que outro meio; Meio hipotônico : Meio em que a concentração iônica é menor que outro meio com o que se está comparando.
Osmose O solvente passa do local menos concentrado para o mais concentrado, com finalidade de igualar a concentração das soluções.
Osmose nas células - plasmólise Célula vegetal em meio concentrado  (hipertônico) Plasmólise : Processo de perda de água para o meio mais concentrado (hipertônico), fazendo a célula “murchar”
Deplasmólise Deplasmólise : Processo inverso à plasmólise, a célula está, então imersa em solução hipotônica (menor concentração).
Osmose em células animais Isotônico  Hipertônico  Hipotônico
Osmose nas células Célula túrgida Célula lisada Célula flácida Célula plasmolisada Célula crenada Célula animal Célula vegetal Solução hipotônica Solução isotônica Solução hipertônica
Transporte ativo Proteínas; Contra o gradiente de concentração; Com gasto de energia (ATP); Ex.: bomba de sódio-potássio (impulso nervoso).
Endocitose Fagocitose (macromoléculas) e  Pinocitose (micromoléculas dissolvidas) Invaginação da membrana
Clasmocitose Após a digestão nos vacúolos fagocíticos e pinocíticos, restos são expelidos para o ambiente; É um tipo de exocitose.
Especializações da membrana plasmática Microvilosidades  Desmossomos Interdigitações
Microvilosidades Aumento da superfície de absorção; Revestimento do intestino.
Desmossomos Adesão entre as células; Reforço protéico na membrana plasmática; Seus filamentos protéicos ligam-se ao citoesqueleto. Somente células animais.
Interdigitações Dobras de membrana entre duas células; Adesão celular; Ocorre entre células epiteliais.

Vida Na CéLula

  • 1.
  • 2.
    Histórico Leeuwenhoek, observoumicroorganismos na água. 1677, Robert Hooke, observou cortes de cortiça, nos quais viu pequenas cavidades ocas, que denominou “cellas”, daí o nome célula. Posteriormente percebeu-se que as células não são cavidades ocas e sim um corpo cheio de matéria e de estruturas muito pequenas.
  • 3.
    Citologia: parteda biologia que estuda a célula As células são estruturas extremamente pequenas visualizadas apenas por microscópios. Dois tipos de microscópios: Microscópio Óptico (aumenta no máximo 1500x) Microscópio Eletrônico (ME)- aumentos maiores de 100 mil vezes. -> Trouxeram avanços em diversos ramos da biologia/medicina
  • 4.
    Níveis de Organização“ Todos os seres vivos são constituídos por células.” (Schleiden e Schwann, meados séc. XIX) - Mas, e os vírus??? Vírus não possuem estrutura celular, são constituídos por uma ácido nucléico, enzimas e cápsula protéica.
  • 5.
    Níveis de OrganizaçãoCriou-se o conceito de: Protoplasma – Conjunto de tudo o que tem vida ou tem atividade na célula. Assim, os vírus poderiam se encaixar nessa teoria, pois utilizam a maquinaria da célula para replicar seu DNA e produzir suas proteínas virais. Tendo, assim, uma atividade na célula.
  • 6.
    Vírus São parasitasintracelulares obrigatórios; Utilizam maquinaria celular para se replicar; Apresentam somente DNA ou RNA envolto por uma capa de proteína (capsídeo); Pode infectar qualquer célula viva. 1. Aproximação 2. Infecção 3. Multiplicação do vírus 4. Síntese dos capsídeos 5. Montagem dos vírus 6. Liberação Não foram os primeiros seres na Terra pois necessitam de células para se multiplicarem.
  • 7.
    Príon São partículasinfecciosas de proteínas. Provoca doença fatal, pela morte das células nervosas. Provável origem: mutação do gene. Ocorre nos vertebrados. Doença da Vaca Louca
  • 8.
    Príon – comoage Proteína normal Proteína doente (príon) Quando o príon enta em contato com a proteína normal, ele a altera, tornando-a um príon. O príon entra no organismo através da ingestão de alimento contaminado
  • 9.
    Célula Procariótica Provavelmente,foram os primeiros seres vivos na Terra, pois são formas de vida mais simples: Foram originando novos seres, porém as formas anteriores não desapareceram. Nucleóide Parede celular Membrana plasmática Ribossomo Citoplasma
  • 10.
    Célula Procariótica Nãohá membranas internas, portanto ausência de membrana nuclear; São todos unicelulares, podem formar colônias. Representantes: bactérias e algas azuis (cianobactérias) Funções ecológicas: fotossíntese, colonização de ambientes nunca antes habitados (cianobactérias) e decomposição da matéria e doenças (no caso das bactérias)
  • 11.
    Célula Eucariótica Acredita-seque as células eucarióticas tenham surgido por evolução das procarióticas ancestrais. Diferenças das células eucarióticas para as eucarióticas: Núcleo delimitado por membrana; Conjunto de membranas e compartimentos internos; Organelas citoplasmáticas
  • 12.
    Endossimbiose – evolução da célula eucariótica Inicialmente a membrana plasmática se desenvolveu, o que foi vantajoso; Os dobramentos da membrana produziram um envoltório duplo ao redor do material genético, formando a carioteca (envoltório nuclear), o retículo endoplasmático e o complexo de Golgi.
  • 13.
    Endossimbiose (continuação)Durante o dobramento da membrana, bactérias heterótrofas aeróbicas foram englobadas, assim como procariotos autótrofos (fazem fotossíntese); Assim essa nova célula se tornou capaz: de utilizar o oxigênio nos processos de obtenção de energia – através das mitocôndrias); de realizar a fotossíntese na entrada dos procariotos autótrofos (precursores dos plastos)
  • 14.
    Endossimbiose Invaginação damembrana Retículo endoplasmático Carioteca Entrada de procarioto aeróbio heterótrofo Mitocôndria Ancestral heterótrofo eucarioto Entrada de procarioto fotossintético Ancestral eucarioto fotossintético Plasto
  • 15.
    Eucélula Animal Acélula anima apresenta as seguintes organelas: Membrana plasmática Núcleo (2) Carioteca (3) Peroxissomo (4) Retículo endoplasmático rugoso ou granular (5) Complexo de Golgi (6) Retículo endoplasmático liso (8) Mitocôndrias (9) Lisossomos (10) Centríolos (13) Hialoplasma (11)
  • 16.
    Eucélula Vegetal Apresentamalgumas variações quanto à célula animal: Parede celular Plastos (cloroplasto – verde) Vacúolo vegetal
  • 17.
    Organelas celulares Núcleocelular Carioteca: controla a troca de substâncias com o citoplasma. Nucléolo: formação de ribossomos. Cromatina: características genéticas e comando celular.
  • 18.
    Citoplasma Centríolos: formação de cílios e flagelos e participação na divisão celular. Paramecium
  • 19.
  • 20.
    Retículo endoplasmático rugoso: transporte de substâncias e síntese de proteínas (ribossomos). Retículo endoplasmático liso: transporte de substâncias e produção de lipídios esteróides.
  • 21.
  • 22.
    Complexo de Golgi: armazena e secreta substâncias. Lisossomo: digestão intracelular.
  • 23.
    Complexo de Golgie lisossomos
  • 24.
    Mitocôndrias: respiraçãocelular (produção de energia)
  • 25.
    Cloroplastos: fotossíntese(síntese de glicose)
  • 26.
    Amiloplastos : armazenamentode amido em vegetais
  • 27.
    Vacúolo: Equilíbrio osmóticoe armazenamento de substâncias. Parede celular : Formada por celulose, manutenção da forma e proteção.
  • 28.
    Membrana Plasmática: CaracterísticasModelo do Mosaico Fluido Lipoproteica Bicamada de lipídios Proteínas integrais e periféricas
  • 29.
    Funções da membranaplasmática Mantém meio intra e extracelulares independentes Controla entrada e saída de substâncias PERMEABILIDADE SELETIVA Flexibilidade Regeneração
  • 30.
    Glicocálix Glicoproteínas (moléculasde carboidratos ligados a proteínas) Função: Adesão e reconhecimento celular Ex.: rejeição de órgãos
  • 31.
    Transporte de membranaÍons e moléculas; Diferença de concentração Depende ou não de energia
  • 32.
    Transporte de membranaTransporte passivo : sem gasto de energia Maior concentração -> menor concentração Ex: Difusão simples, difusão facilitada, osmose Transporte ativo : com gasto de energia - Menor concentração -> maior concentração
  • 33.
    Difusão simples Passagemdireta pela membrana (lipídios); Diferença de concentração de solutos; Sem gasto de energia; Ex: passagem de gases como o oxigênio e o gás carbônico. Vermelho mais concentrado Azul mais concentrado Ambas regiões com a mesma concentração dos solutos
  • 34.
    Difusão facilitada Proteínasde membrana (permeases); Diferença de concentração de solutos; Sem gasto de energia; Ex.: Glicose e íons como sódio e potássio Meio menos concentrado Meio mais concentrado
  • 35.
    Osmose Proteínas especiais(aquaporinas); Transporte de solvente (ex. água); Meios isotônicos : meios separados por membrana semipermeável, com mesma concentração; Meio hipertônico : meio onde a concentração iônica é maior que outro meio; Meio hipotônico : Meio em que a concentração iônica é menor que outro meio com o que se está comparando.
  • 36.
    Osmose O solventepassa do local menos concentrado para o mais concentrado, com finalidade de igualar a concentração das soluções.
  • 37.
    Osmose nas células- plasmólise Célula vegetal em meio concentrado (hipertônico) Plasmólise : Processo de perda de água para o meio mais concentrado (hipertônico), fazendo a célula “murchar”
  • 38.
    Deplasmólise Deplasmólise :Processo inverso à plasmólise, a célula está, então imersa em solução hipotônica (menor concentração).
  • 39.
    Osmose em célulasanimais Isotônico Hipertônico Hipotônico
  • 40.
    Osmose nas célulasCélula túrgida Célula lisada Célula flácida Célula plasmolisada Célula crenada Célula animal Célula vegetal Solução hipotônica Solução isotônica Solução hipertônica
  • 41.
    Transporte ativo Proteínas;Contra o gradiente de concentração; Com gasto de energia (ATP); Ex.: bomba de sódio-potássio (impulso nervoso).
  • 42.
    Endocitose Fagocitose (macromoléculas)e Pinocitose (micromoléculas dissolvidas) Invaginação da membrana
  • 43.
    Clasmocitose Após adigestão nos vacúolos fagocíticos e pinocíticos, restos são expelidos para o ambiente; É um tipo de exocitose.
  • 44.
    Especializações da membranaplasmática Microvilosidades Desmossomos Interdigitações
  • 45.
    Microvilosidades Aumento dasuperfície de absorção; Revestimento do intestino.
  • 46.
    Desmossomos Adesão entreas células; Reforço protéico na membrana plasmática; Seus filamentos protéicos ligam-se ao citoesqueleto. Somente células animais.
  • 47.
    Interdigitações Dobras demembrana entre duas células; Adesão celular; Ocorre entre células epiteliais.