Adeno-hipófise
a) Parte distal (AHD)
b) Parte tuberal (AHT)
c) Parte intermediária (AHI)
Neuro-hipófise (NH)
HE - 20x
Hipófise
AHD
AHT
AHI
NH
AHI
177
Adeno-hipófise
a) Parte distal - AHD (glândula endócrina cordonal)
b) Parte tuberal - AHT (glândula endócrina cordonal e folicular)
c) Parte intermediária -AHI (glândula endócrina cordonal e folicular)
HE - 100x HE - 100x
HE - 100x
Hipófise
AHD
AHD
AHT
AHI
178
Células da parte distal da adeno-hipófise: basófila
(B), acidófila (A) e cromófoba (C)
Parte distal (glândula endócrina cordonal)
As células são de três tipos, todas com o núcleo redondo e
central:
- cromófobas: citoplasma não cora. Aparece apenas o
núcleo.
- cromófilas acidófilas: citoplasma acidófilo (hormônios
somatotrófico e lactotrófico)
- cromófilas basófilas: citoplasma basófilo (hormônios
gonadotróficos, adrenocorticotrófico e tireotrófico).
Entre os cordões de células há uma extensa rede de capilares
sangüíneos.
HE - 100x
HE - 400x
Adeno-hipófise
A
B
C
179
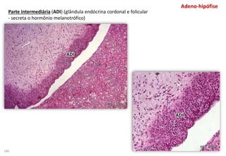
Parte intermediária (ADI) (glândula endócrina cordonal e folicular
- secreta o hormônio melanotrófico)
HE - 100x
HE - 400x
Adeno-hipófise
ADI
ADI
180
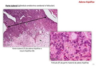
Parte tuberal (glândula endócrina cordonal e folicular)
Folículo (F) da parte tuberal da adeno-hipófise
Parte tuberal (T) da adeno-hipófise e
neuro-hipófise (N)
HE - 40x
HE - 400x
Adeno-hipófise
T
N
181
Neuro-hipófise (NH)
Formada principalmente por axônios
amielínicos de neurônios secretores do
hipotálamo, por onde chega a secreção
produzida nessas células.
Os pituícitos são células que apresentam
um núcleo ovalado e claro e seu
citoplasma não se cora com esta técnica.
Os capilares sangüíneos são abundantes.
A neuro-hipófise não produz hormônios,
apenas armazena os hormônios
sintetizados no corpo celular dos
neurônios do hipotálamo (Supra-óptico -
ADH e Paraventricular - ocitocina).
HE - 40x
NH
Hipófise
182
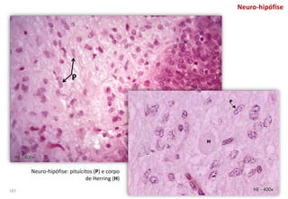
Neuro-hipófise
Neuro-hipófise: pituícitos (P) e corpo
de Herring (H)
HE - 400x
HE - 400x
P
183

roteiro - histologia endocrino

  • 1.
    Adeno-hipófise a) Parte distal(AHD) b) Parte tuberal (AHT) c) Parte intermediária (AHI) Neuro-hipófise (NH) HE - 20x Hipófise AHD AHT AHI NH AHI 177
  • 2.
    Adeno-hipófise a) Parte distal- AHD (glândula endócrina cordonal) b) Parte tuberal - AHT (glândula endócrina cordonal e folicular) c) Parte intermediária -AHI (glândula endócrina cordonal e folicular) HE - 100x HE - 100x HE - 100x Hipófise AHD AHD AHT AHI 178
  • 3.
    Células da partedistal da adeno-hipófise: basófila (B), acidófila (A) e cromófoba (C) Parte distal (glândula endócrina cordonal) As células são de três tipos, todas com o núcleo redondo e central: - cromófobas: citoplasma não cora. Aparece apenas o núcleo. - cromófilas acidófilas: citoplasma acidófilo (hormônios somatotrófico e lactotrófico) - cromófilas basófilas: citoplasma basófilo (hormônios gonadotróficos, adrenocorticotrófico e tireotrófico). Entre os cordões de células há uma extensa rede de capilares sangüíneos. HE - 100x HE - 400x Adeno-hipófise A B C 179
  • 4.
    Parte intermediária (ADI)(glândula endócrina cordonal e folicular - secreta o hormônio melanotrófico) HE - 100x HE - 400x Adeno-hipófise ADI ADI 180
  • 5.
    Parte tuberal (glândulaendócrina cordonal e folicular) Folículo (F) da parte tuberal da adeno-hipófise Parte tuberal (T) da adeno-hipófise e neuro-hipófise (N) HE - 40x HE - 400x Adeno-hipófise T N 181
  • 6.
    Neuro-hipófise (NH) Formada principalmentepor axônios amielínicos de neurônios secretores do hipotálamo, por onde chega a secreção produzida nessas células. Os pituícitos são células que apresentam um núcleo ovalado e claro e seu citoplasma não se cora com esta técnica. Os capilares sangüíneos são abundantes. A neuro-hipófise não produz hormônios, apenas armazena os hormônios sintetizados no corpo celular dos neurônios do hipotálamo (Supra-óptico - ADH e Paraventricular - ocitocina). HE - 40x NH Hipófise 182
  • 7.
    Neuro-hipófise Neuro-hipófise: pituícitos (P)e corpo de Herring (H) HE - 400x HE - 400x P 183