Esclerose	
  Múl+pla	
  
• É uma das doenças neurológicas mais
comuns e antigas que atingem os adultos
jovens
– Relatos da doença desde o séc. XIV
• Descoberta em 1868 – Jean Martin Charcot
(neurologista francês)
	
“Nas EM, existem lesões inflamatórias (placas)
típicas que aparecem como áreas circunscritas
de perda de mielina disseminadas pelo SNC,
principalmente na substância branca.	
  
Esclerose	
  Múl+pla	
  	
  
• doença	
  neurológica	
  desmielinizante	
  autoimune	
  crônica	
  	
  
• provocada	
  por	
  mecanismos	
  inflamatórios	
  e	
  
degenera+vos	
  que	
  comprometem	
  a	
  bainha	
  de	
  mielina	
  	
  
– que	
  revestem	
  os	
  neurônios	
  das	
  substâncias	
  branca	
  e	
  
cinzenta	
  do	
  sistema	
  nervoso	
  central.	
  	
  
	
  
• 	
  O nome vem de múltiplas áreas de
cicatrização, ou tecido esclerótico, que
caracterizam o processo da doença.
• Os axônios tbm tornam-se irreversivelmente
lesados como consequência da inflamação, mesmo
no início da doença: incapacidades, déficits
neurológicos persistentes
	
  
se estende até a
entrada da raiz dos
nervos cranianos e
espinhais !
demarcação !
Placas
• (placa esclerótica)
• Nos	
  portadores	
  de	
  esclerose	
  múl+pla	
  as	
  
células	
  imunológicas	
  invertem	
  seu	
  papel:	
  
– 	
  ao	
  invés	
  de	
  protegerem	
  o	
  sistema	
  de	
  defesa	
  do	
  
indivíduo,	
  passam	
  a	
  agredi-­‐lo,	
  produzindo	
  
inflamações.	
  
– 	
  As	
  inflamações	
  afetam	
  par+cularmente	
  a	
  bainha	
  
de	
  mielina	
  	
  
• bainha	
  mielina	
  e	
  os	
  axônios	
  lesionados:	
  pelas	
  
inflamações,	
  as	
  funções	
  coordenadas	
  pelo	
  
cérebro,	
  cerebelo,	
  tronco	
  encefálico	
  e	
  medula	
  
espinhal	
  ficam	
  comprome+das.	
  
• 	
  Desta	
  forma	
  surgem	
  os	
  sintomas	
  Mpicos	
  da	
  
doença,	
  	
  
• Os	
  surtos	
  (desmielinização)	
  :	
  surgimento	
  de	
  um	
  novo	
  
sintoma	
  neurológico	
  ou	
  piora	
  significa+va	
  de	
  um	
  
sintoma	
  “an+go”,	
  com	
  duração	
  mínima	
  de	
  24	
  horas.	
  	
  
	
  
	
  
• Para	
  ser	
  considerado	
  um	
  novo	
  surto	
  é	
  necessário	
  que	
  
ocorra	
  um	
  intervalo	
  mínimo	
  de	
  30	
  dias	
  entre	
  eles	
  	
  
– caso	
  contrário,	
  considera-­‐se	
  o	
  sintoma	
  do	
  mesmo	
  surto	
  
em	
  andamento.	
  
• 	
  A	
  recuperação	
  	
  de	
  surtos:	
  total	
  ou	
  parcial	
  
(remielinização).	
  	
  
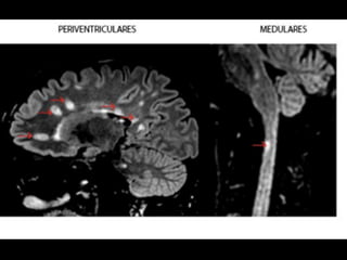
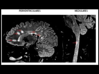
• Embora amplamente difundidas, certas áreas são
mais afetadas (>	
  sintomas)
– Região periventriculares
– Justacorticais
– infratentoriais
– Pedúnculos cerebelares
– Tronco encefálico
– Localização posterior ou lateral na Medula espinhal
• As lesões tendem a ser simétricas e têm
uma distribuição perivenosa (em torno de
pequenas veias e vênulas), contendo
linfócitos e macrófagos.
ETIOLOGIA	
  
• Sua	
  e+ologia	
  não	
  é	
  bem	
  compreendida,	
  
envolvendo	
  fatores	
  gené+cos	
  e	
  ambientais.	
  	
  
• 	
  interações	
  entre	
  esses	
  vários	
  fatores	
  :	
  
diferentes	
  apresentações	
  da	
  EM	
  e	
  diferentes	
  
respostas	
  aos	
  medicamentos	
  	
  
	
  
Etiologia
	
  
Desconhecida!!!
• Autoimune?
• Suposições:
– Fatores ambientais
– Fatores genéticos;
– vírus (pesquisadores sugerem que este seria o
gatilho para uma resposta imunológica,-- nem
todos com doença).
EPIDEMIOLOGIA	
  
• Segunda	
  principal	
  causa	
  de	
  incapacidade	
  
funcional	
  em	
  adultos	
  jovens	
  em	
  paises	
  
desenvolvidos,	
  
– 	
  precedida	
  apenas	
  pela	
  e+ologia	
  traumá+ca	
  
• É	
  a	
  doença	
  desmielinizante	
  mais	
  prevalente	
  do	
  
SNC	
  
• acomete	
  usualmente	
  adultos	
  jovens,	
  dos	
  18	
  aos	
  
55	
  anos	
  de	
  idade,	
  sendo	
  mais	
  rara	
  após	
  os	
  50	
  
anos	
  
• 	
  mais	
  comum	
  no	
  sexo	
  feminino	
  3:1;	
  	
  
• no	
  Brasil,	
  a	
  prevalência	
  da	
  doença	
  é	
  de	
  15	
  para	
  
cada	
  100.000	
  habitantes	
  
QUADRO	
  CLÍNICO	
  
• O	
  quadro	
  clínico	
  de	
  cada	
  surto	
  é	
  variável	
  e	
  pode	
  
apresentar	
  mais	
  de	
  um	
  sintoma.	
  	
  
	
  
• Alguns	
  pacientes	
  apresentam	
  piora	
  dos	
  sintomas	
  na	
  
ocorrência	
  de	
  
– 	
  febre	
  (FENÔMENO	
  DE	
  UHTHOFF)	
  
– ou	
  infecções,	
  frio	
  extremo,	
  calor,	
  fadiga,	
  exercício	
  nsico,	
  
desidratação,	
  variações	
  hormonais	
  e	
  estresse	
  emocional	
  
– no	
  geral	
  são	
  situações	
  transitórias.	
  
• 	
  	
  Atenção	
  especial	
  às	
  infecções,	
  pois	
  agravam	
  o	
  quadro	
  
clínico	
  do	
  paciente	
  desencadeando	
  sintomas	
  que	
  podem	
  
ser	
  considerados	
  surtos	
  mas	
  nestas	
  situações	
  é	
  
considerado	
  “falso	
  ou	
  pseudo-­‐surto”.	
  	
  
	
  
• O	
  quadro	
  clínico	
  se	
  manifesta,	
  na	
  maior	
  parte	
  
das	
  vezes,	
  por	
  surtos	
  ou	
  ataques	
  agudos,	
  
podendo	
  entrar	
  em	
  remissão	
  de	
  forma	
  
espontânea	
  ou	
  com	
  o	
  uso	
  de	
  cor+costeroide	
  
• Os	
  sintomas	
  podem	
  ser	
  graves	
  ou	
  parecer	
  tão	
  
triviais	
  que	
  o	
  paciente	
  pode	
  não	
  procurar	
  
assistência	
  médica	
  por	
  meses	
  ou	
  anos.	
  
	
  
Neurite	
  óp+ca,	
  diplopia,	
  paresia	
  ou	
  alterações	
  sensi+vas	
  e	
  motoras	
  de	
  
membros,	
  disfunções	
  de	
  coordenação	
  e	
  equilíbrio,	
  dor	
  neuropá+ca,	
  
espas+cidade,	
  fadiga,	
  disfunções	
  esfincterianas	
  e	
  cogni+vo-­‐
comportamentais,	
  de	
  forma	
  isolada	
  ou	
  em	
  combinação,	
  são	
  os	
  principais	
  
sintomas	
  
	
  
Sintomas:
	
  
Algumas manifestações pouco comuns
podem surgir:
hemiplegia;
Neuralgia do trigêmeo e paralisia facial;
Com maior frequência pode surgir uma
história mal definida de incapacidade
funcional, precedendo os sintomas
definitivos	
  
• Alterações cognitivas são evidenciadas
em cerca de 60% dos pacientes de
Esclerose Múltipla;
– A maioria desses apresenta uma deficiência
discreta, enquanto que 10 a 20% tem uma
deficiência significativa.
– Funções cognitivas mais freqüentemente
comprometidas são a memória, concentração,
discernimento ou raciocínio.
– Raramente há deterioração da função
intelectual.
• “Inicialmente, a resolução do déficit é
completa, mas com o tempo, conforme
a evolução da doença, a recuperação
das crises se torna parcial e os
pacientes passam a apresentar
incapacidades permanentes	
  
• SINAL	
  DE	
  LHERMITTE:	
  sensação	
  de	
  choque	
  
elétrico	
  que	
  irradia	
  pelas	
  costas	
  e/ou	
  MMII	
  
após	
  a	
  flexão	
  do	
  pescoço	
  
• diferentes	
  formas	
  clínicas/variações	
  
fenoMpicas	
  	
  
– Devido a grande variabilidade da
localização anatômica, do volume das
lesões e da seqüência de tempo em que
elas sugem	
  
Os	
  dois	
  lados	
  da	
  doença	
  	
  
• SURTO	
  	
  	
  	
  	
  	
  	
  X	
  	
  	
  	
  	
  	
  PROGRESSÃO	
  
• SURTO	
  processos	
  inflamatório	
  focal	
  agudo	
  
• PROGRESSÃO	
  neurodegeneração	
  difusa	
  crônica	
  
• Os	
  sintomas	
  presentados	
  podem	
  ser	
  definidos	
  
em	
  uma	
  SÍNDROME	
  CLINICA	
  ISOLADA	
  ou	
  em	
  uma	
  
SÍNDROME	
  CLINICAMENTE	
  ISOLADA	
  
MULTIFOCAL	
  
• SÍNDROME	
  CLINICA	
  ISOLADA:	
  
– Instalação	
  subaguda	
  de	
  déficits–	
  motores,	
  visuais	
  ou	
  
sensi+vos	
  -­‐-­‐-­‐	
  com	
  duração	
  superios	
  a	
  24hs.	
  Os	
  
sintomas	
  ocorrem	
  na	
  ausência	
  de	
  febre	
  ou	
  infecção	
  
• SÍNDROME	
  CLINICAMENTE	
  ISOLADA	
  
MULTIFOCAL:	
  
– Múl+plos	
  sintomas	
  visuais,	
  piramidais,	
  cerebelares	
  e	
  
de	
  tronco.	
  O	
  defict	
  cogni+vo	
  pode	
  estar	
  presente,	
  
sendo	
  comumente	
  em	
  padrão	
  disexecu+vo	
  
FORMAS	
  CLÍNICAS	
  DA	
  EM:	
  
Síndrome	
  Clinicamente	
  Isolada	
  
(Clinically	
  Isolated	
  Syndrome	
  -­‐	
  CIS)	
  
• consiste	
  na	
  primeira	
  manifestação	
  clínica	
  que	
  
apresenta	
  caracterís+cas	
  de	
  desmielinização	
  e	
  
suges+va	
  de	
  esclerose	
  múl+pla,	
  mas	
  incapaz	
  
de	
  cumprir	
  os	
  critérios	
  de	
  disseminação	
  no	
  
tempo	
  por	
  neuroimagem	
  ou	
  líquor.	
  	
  
Formas	
  clínicas	
  da	
  EM:	
  
• classificada	
  com	
  critérios	
  clínicos	
  caracterizados	
  pela	
  
ocorrência	
  de	
  surtos	
  e	
  progressão:	
  
	
  
• Forma	
  Remitente	
  Recorrente	
  (EMRR)	
  ou	
  surto	
  remissão	
  :	
  
– sendo	
  a	
  forma	
  mais	
  comum,	
  70	
  a	
  80%	
  dos	
  casos	
  	
  
• Primariamente	
  Progressiva	
  (EMPP)	
  :	
  	
  
– a	
  progressão	
  da	
  doença	
  ocorre	
  desde	
  o	
  início,	
  com	
  velocidade	
  
variável.	
  Ocorre	
  em	
  10-­‐15%	
  dos	
  casos.	
  
• Secundariamente	
  Progressiva	
  (EMSP):	
  	
  
– ocorre	
  em	
  15	
  a	
  20%	
  dos	
  casos.	
  
• EM	
  progressiva	
  recidivante	
  (EMPR):	
  	
  
– forma	
  mais	
  rara	
  ,	
  ocorre	
  em	
  5%	
  dos	
  casos.	
  
	
  
Cerca	
  de	
  70%	
  dos	
  pacientes	
  com	
  a	
  forma	
  remitente-­‐recorrente	
  irão	
  evoluir	
  para	
  a	
  
forma	
  secundáriamente	
  progressiva	
  em	
  torno	
  de	
  10	
  a	
  20	
  anos/	
  irá	
  ocorrer	
  acúmulo	
  
de	
  incapacidades	
  
Forma	
  primariamente	
  progressiva	
  
	
  
• Dificuldade	
  progressiva	
  para	
  deambular	
  
– 	
  Síndrome	
  piramidal	
  (principalmente	
  mmii)	
  
– 	
  Ataxia	
  
– 	
  Sintomas	
  cerebelares	
  
Acúmulo	
  progressivo	
  de	
  incapacidades	
  sem	
  surtos	
  definidos	
  desde	
  o	
  início	
  do	
  
quadro;	
  representa	
  10%	
  dos	
  casos	
  de	
  EM	
  
DIAGNÓSTICO	
  
• O	
  diagnós+co	
  de	
  EM	
  é	
  complexo,	
  uma	
  vez	
  que	
  não	
  
existe	
  marcador	
  ou	
  teste	
  diagnós+co	
  específico:	
  
diagnós+co	
  de	
  exclusão	
  
• Critérios	
  clínicos	
  e	
  radiológicos	
  
• Exames	
  complementares	
  
– RM	
  
– ESTUDO	
  DO	
  LCR	
  
– POTENCIAL	
  EVOCADO	
  
• vários	
  modelos	
  foram	
  esquema+zados	
  e	
  propostos	
  a	
  
fim	
  de	
  orientar	
  e	
  facilitar	
  o	
  diagnós+co	
  dessa	
  doença.	
  	
  
• Atualmente,	
  os	
  critérios	
  de	
  McDonald,	
  descritos	
  em	
  
2001	
  e	
  revisados	
  em	
  2005,	
  2010	
  e	
  2017,	
  são	
  mais	
  
frequentemente	
  u+lizados	
  	
  
• documentação	
  de	
  dois	
  ou	
  mais	
  episódios	
  
sintomá+cos,	
  que	
  devem	
  durar	
  mais	
  de	
  24	
  horas	
  
e	
  ocorrer	
  de	
  forma	
  dis+nta,	
  separados	
  por	
  
período	
  de	
  no	
  mínimo	
  um	
  mês	
  
– ou	
  seja,	
  disseminados	
  no	
  tempo	
  e	
  no	
  espaço	
  
– 	
  Exames	
  radiológicos	
  e	
  laboratoriais,	
  em	
  especial	
  a	
  
ressonância	
  magné+ca	
  (RM),	
  podem,	
  em	
  conjunto	
  
com	
  as	
  evidências	
  clínicas,	
  ser	
  essenciais	
  para	
  compor	
  
o	
  diagnós+co	
  e	
  excluir	
  outras	
  doenças	
  de	
  
apresentação	
  semelhante	
  	
  
Critérios	
  de	
  McDonald	
  revisados	
  em	
  
2017	
  
• não	
  são	
  necessários	
  exames	
  adicionais	
  
quando	
  o	
  paciente	
  apresenta	
  dois	
  ou	
  mais	
  
surtos;	
  
• 	
  entretanto,	
  qualquer	
  diagnós+co	
  de	
  EM	
  pode	
  
contar	
  com	
  RM	
  e	
  u+lizar	
  a	
  presença	
  de	
  
bandas	
  oligoclonais	
  (imunoglobulina	
  G	
  -­‐	
  IgG)	
  
no	
  líquor	
  em	
  subs+tuição	
  à	
  demonstração	
  de	
  
disseminação	
  da	
  doença	
  no	
  tempo.	
  	
  
critérios	
  McDonald	
  (2017)	
  
• disseminação	
  no	
  espaço	
  
– RM	
  por	
  ≥	
  1	
  lesões	
  hiperintensas	
  em	
  T2,	
  
sintomá+cas	
  ou	
  assintomá+cas,	
  que	
  são	
  
caracterís+cos	
  de	
  EM,	
  em	
  dois	
  ou	
  mais	
  das	
  
seguintes	
  quatro	
  áreas	
  do	
  sistema	
  nervoso	
  
central:	
  	
  
• periventricular,	
  	
  
• cor+cal/justacor+cal,	
  infratentorial	
  e	
  medula	
  espinhal.	
  
• disseminação	
  no	
  tempo	
  
– presença	
  simultânea	
  de	
  lesões	
  captantes	
  de	
  
gadolíneo	
  e	
  lesões	
  não	
  captantes	
  em	
  qualquer	
  
exame	
  de	
  RM,	
  	
  
– ou	
  nova	
  lesão	
  hiperintensa	
  em	
  T2	
  ou	
  captante	
  de	
  
gadolínio	
  quanto	
  comparada	
  a	
  um	
  exame	
  de	
  RM	
  
prévio,	
  independentemente	
  do	
  momento	
  em	
  que	
  
foi	
  realizado.	
  	
  
• EDSS,	
  de	
  Expanded	
  Disability	
  Status	
  Scale)	
  	
  
– estadiamento	
  da	
  doença,	
  
– monitoramento	
  do	
  paciente.	
  	
  
– permite	
  quan+ficar	
  o	
  comprome+mento	
  neuronal	
  dentro	
  
de	
  oito	
  sistemas	
  funcionais:	
  
• 	
  piramidal,	
  	
  
• cerebelar,	
  	
  
• tronco	
  cerebral,	
  
• 	
  sensi+vo,	
  	
  
• vesical,	
  	
  
• intes+nal,	
  
• 	
  visual,	
  	
  
• Mental	
  
• 	
  outras	
  funções	
  agrupadas.	
  	
  
– O	
  escore	
  final	
  da	
  escala	
  pode	
  variar	
  de	
  0	
  (normal)	
  a	
  10	
  
(morte),	
  sendo	
  que	
  a	
  pontuação	
  aumenta	
  0,5	
  ponto	
  
conforme	
  o	
  grau	
  de	
  incapacidade	
  do	
  paciente	
  
EDSS:	
  Progressão	
  da	
  incapacidade	
  
Caracterís+cas	
  do	
  Líquor:	
  
	
  
• Celularidade	
  <	
  50	
  celulas/mm3	
  	
  
– Predominancia	
  de	
  linfomononucleares	
  
• 	
  Proteínas	
  
– 	
  Elevação	
  discreta	
  ou	
  moderada	
  
• 	
  Testes	
  imunológicos	
  
– 	
  Teste	
  nega+vo	
  para	
  agentes	
  infecciosos	
  
– 	
  Elevação	
  de	
  gama-­‐globulina	
  (índice	
  de	
  IgG)	
  	
  
– Presença	
  de	
  bandas	
  oligoclonais	
  
• Anormalidade	
  do	
  LCR	
  	
  
– presença	
  de	
  bandas	
  oigoclonais,	
  preferencialmente	
  
usando	
  método	
  de	
  focalização	
  isoelétrica	
  	
  
– e	
  /	
  ou	
  presença	
  de	
  índice	
  elevado	
  de	
  IgG.	
  	
  
– A	
  pleocitose	
  deve	
  ser	
  inferior	
  a	
  50	
  células	
  /	
  mm3	
  
• Um	
  PEV	
  com	
  aumento	
  da	
  latência	
  mas	
  boa	
  
preservação	
  da	
  forma	
  do	
  potencial,	
  
– 	
  pode	
  ser	
  usado	
  para	
  suplementar	
  a	
  informação	
  
obje+va	
  clínica,	
  	
  
– ou	
  fornecer	
  evidência	
  obje+va	
  de	
  uma	
  segunda	
  lesão.	
  
Diagnóstico:
	
  
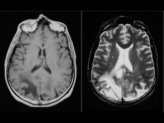
Observação: A RM pode evidenciar áreas
com pontos brilhantes indefinidos em
indivíduos saudáveis;
Gadolínio:
• realçar lesões,
• destacar se a doença está em estado
ativo	
  
• Nota:	
  A	
  LEMP	
  é	
  uma	
  infecção	
  oportunista	
  causada	
  
pelo	
  vírus	
  JC	
  (vírus	
  John	
  Cunningham	
  ou	
  vírus	
  polioma)	
  
que	
  acomete	
  pacientes	
  imunocomprome+dos	
  e	
  pode	
  
ser	
  fatal	
  ou	
  resultar	
  em	
  incapacidade	
  grave.	
  
• 	
  O	
  teste	
  do	
  vírus	
  JC	
  posi+vo	
  não	
  determina	
  
necessariamente	
  o	
  desenvolvimento	
  de	
  LEMP,	
  uma	
  
vez	
  que	
  o	
  vírus	
  é	
  amplamente	
  difundido	
  na	
  população.	
  	
  
• São	
  pacientes	
  que	
  apresentam	
  um	
  risco	
  
significa+vamente	
  maior	
  de	
  desenvolver	
  LEMP:	
  	
  
– presença	
  de	
  an+corpos	
  an+-­‐JCV,	
  mais	
  de	
  2	
  anos	
  de	
  
tratamento	
  com	
  natalizumabe	
  ou	
  fingolimode	
  e	
  terapia	
  
anterior	
  com	
  imunossupressor.	
  	
  
DIAGNÓSTICO	
  DIFERENCIAL	
  
• Doenças	
  vasculares	
  	
  
– Fístulas	
  arterio-­‐venosas	
  espinais	
  
– 	
  Vasculite	
  do	
  SNC	
  
– 	
  Hemangioma	
  cavernoso	
  
– 	
  CADASIL	
  
• 	
  Lesões	
  da	
  fossa	
  posterior	
  e	
  medula	
  espinal	
  
– 	
  Malformação	
  de	
  Arnold-­‐Chiari	
  	
  
– Ataxias	
  ou	
  mielopa+as	
  não-­‐hereditárias	
  
– 	
  Doenças	
  neoplásicas	
  da	
  medula	
  espinal	
  
• Transtornos	
  do	
  metabolismo	
  
– 	
  Esclerose	
  combinada	
  sub-­‐aguda	
  da	
  medula	
  	
  
– Leucodistrofias	
  Doenças	
  	
  
• auto-­‐imunes	
  
– 	
  LES,	
  
– 	
  doença	
  de	
  Sjogren,	
  
– 	
  doença	
  de	
  Behçet,	
  	
  
– sarcoidose,	
  
– 	
  síndrome	
  do	
  an+corpo	
  an+-­‐fosfolípide	
  
• 	
  Infecções	
  	
  
– Mielopa+a	
  associada	
  ao	
  HIV,	
  HAM/TSP,	
  sífilis	
  	
  
• Síndromes	
  gené+cas	
  
– 	
  Ataxias	
  e	
  paraplegias	
  hereditária	
  
– s	
  Doenças	
  mitocondriais	
  
EVOLUÇÃO E PROGNÓSTICO
	
  
“ O prognóstico geral é
variável e o curso da
doença geralmente é
imprevisível	
  
Fatores	
  prognósOcos:	
  
	
  
• 	
  (variáveis	
  associadas	
  a	
  maior	
  tempo	
  –	
  melhor	
  
prognós+co)	
  
– 	
  Sexo	
  feminino	
  	
  
– Menor	
  idade	
  de	
  início	
  	
  
– Sintoma	
  inicial:	
  Neurite	
  óp+ca	
  e	
  não	
  trato	
  longo	
  	
  
– Recuperação	
  completa	
  após	
  o	
  1o.	
  surto	
  	
  
– Tempo	
  longo	
  entre	
  1o.	
  e	
  2o.	
  surto	
  	
  
– Menor	
  número	
  de	
  surtos	
  nos	
  primeiros	
  5	
  anos	
  	
  
• Qualquer	
  imunização	
  não	
  aumenta	
  o	
  risco	
  de	
  
surtos	
  em	
  portadores	
  de	
  EM	
  
 TRATAMENTO	
  	
  
	
  
• O	
  tratamento	
  da	
  EM	
  pode	
  ser	
  complexo,	
  
envolvendo	
  ação	
  coordenada	
  de	
  múl+plos	
  
profissionais	
  da	
  saúde,	
  com	
  o	
  uso	
  de	
  condutas	
  
medicamentosas	
  e	
  não	
  medicamentosas.	
  	
  
• Quanto	
  mais	
  cedo	
  o	
  tratamento	
  é	
  iniciado,	
  
maior	
  a	
  chance	
  de	
  modificar	
  o	
  curso	
  natural	
  
da	
  doença	
  em	
  longo	
  prazo	
  
– 	
  reduzindo	
  o	
  número	
  de	
  surtos,	
  de	
  lesões	
  e	
  de	
  
sequelas	
  neurológicas.	
  	
  
Tratamento	
  
	
  
• não	
  curam	
  a	
  doença.	
  	
  
• Seu	
  obje+vo	
  é	
  reduzir	
  a	
  possibilidade	
  de	
  um	
  novo	
  surto	
  e,	
  
portanto,	
  o	
  acúmulo	
  de	
  incapacidades	
  e	
  a	
  piora	
  na	
  
progressão	
  clínica	
  
	
  
• Existem	
  medicações	
  u+lizadas	
  somente	
  durante	
  os	
  surtos	
  
(pulsoterapia	
  com	
  cor+costeróides);	
  	
  
• outras	
  são	
  u+lizadas	
  de	
  maneira	
  conMnua	
  (como	
  os	
  
fármacos	
  modificadores	
  da	
  doença:	
  injetáveis	
  ou	
  orais),	
  
independentemente	
  dos	
  sintomas	
  apresentados;	
  
• 	
  ou	
  ainda	
  há	
  medicamentos	
  que	
  buscam	
  somente	
  aliviar	
  
sintomas	
  como	
  dor,	
  desequilíbrio,	
  espas+cidade,	
  urgência	
  
urinária,	
  fadiga	
  etc.	
  
Tratamento	
  medicamentoso	
  	
  
	
  
• O	
  obje+vo	
  é	
  a	
  melhora	
  clínica	
  
– com	
  aumento	
  da	
  capacidade	
  funcional,	
  	
  
– redução	
  de	
  comorbidades	
  
– 	
  atenuação	
  de	
  sintomas.	
  	
  
• Os	
  glicocor+coides	
  	
  
– tratar	
  os	
  surtos	
  	
  
– mostram	
  benencio	
  clínico	
  a	
  curto	
  prazo,	
  ao	
  reduzir	
  a	
  
intensidade	
  e	
  duração	
  dos	
  episódios	
  agudos	
  
• 	
  As	
  terapias	
  modificadoras	
  do	
  curso	
  da	
  doença	
  
(MMCD)	
  
– reduzir	
  as	
  células	
  imunogênicas	
  circulantes,	
  
– 	
  suprimir	
  a	
  adesão	
  destas	
  ao	
  epitélio	
  e,	
  
consequentemente,	
  reduzir	
  a	
  migração	
  para	
  o	
  
parênquima	
  e	
  a	
  resposta	
  inflamatória	
  decorrente	
  
• 	
  Existem	
  ainda	
  os	
  medicamentos	
  para	
  o	
  
tratamento	
  dos	
  sintomas	
  relacionados	
  à	
  EM.	
  	
  
Tratamento	
  do	
  surto	
  na	
  EM	
  
	
  
• surto	
  ou	
  recaída	
  da	
  EM:	
  
– 	
  o	
  surgimento	
  de	
  novos	
  sintomas	
  ou	
  piora	
  dos	
  
sintomas	
  existentes	
  com	
  duração	
  superior	
  a	
  24	
  
horas,	
  na	
  ausência	
  de	
  febre,	
  infecção	
  ou	
  qualquer	
  
outra	
  causa,	
  após	
  um	
  período	
  estável	
  de	
  pelo	
  
menos	
  um	
  mês.	
  	
  
• Assim,	
  um	
  surto	
  da	
  EM	
  só	
  é	
  diagnos+cado	
  
após	
  a	
  exclusão	
  de	
  infecção,	
  principalmente	
  
do	
  trato	
  urinário	
  e	
  respiratório,	
  e	
  a	
  
diferenciação	
  entre	
  uma	
  recaída	
  e	
  a	
  
progressão	
  da	
  doença	
  
• O	
  controle	
  dos	
  surtos	
  é	
  um	
  componente	
  
crucial	
  do	
  tratamento	
  da	
  EM.	
  
• cor+costeroide	
  em	
  altas	
  doses	
  para	
  diminuir	
  a	
  
inflamação	
  e	
  acelerar	
  a	
  recuperação	
  do	
  
paciente	
  	
  
– A	
  posologia	
  de	
  me+lprednisolona	
  intravenosa	
  é	
  1	
  
g	
  diariamente	
  durante	
  3-­‐5	
  dias.	
  	
  
Eventos	
  adversos	
  temporários	
  do	
  uso	
  de	
  
cor+costeroide:	
  
	
  
– hipertensão	
  arterial,	
  
– 	
  perturbações	
  gastrointes+nais,	
  
– 	
  palpitação,	
  	
  
– retenção	
  hídrica,	
  	
  
– dores	
  no	
  corpo,	
  	
  
– rubor	
  facial,	
  
– 	
  exacerbação	
  da	
  acne,	
  
– 	
  hiperglicemia	
  	
  
– efeitos	
  sobre	
  a	
  saúde	
  mental	
  
• excluir	
  infecção,	
  principalmente	
  do	
  trato	
  urinário,	
  
antes	
  do	
  início	
  da	
  pulsoterapia.	
  	
  
• A	
  plasmaférese	
  como	
  terapia	
  adjuvante	
  é	
  
eficaz	
  no	
  controle	
  das	
  exacerbações	
  nas	
  
formas	
  recorrentes	
  de	
  EM	
  
– após	
  não	
  responderem	
  ao	
  tratamento	
  com	
  altas	
  
doses	
  de	
  cor+costeroide	
  
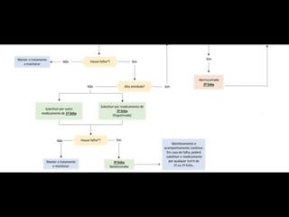
Linhas	
  de	
  tratamento	
  da	
  EMRR	
  com	
  MMCD	
  	
  
	
  
• Tratamento	
  da	
  esclerose	
  múlOpla	
  de	
  
baixa	
  ou	
  moderada	
  aOvidade	
  	
  
• •	
  	
  1a	
  linha:	
  Beta-­‐interferonas,	
  gla+râmer	
  ou	
  
teriflunomida	
  ou	
  fumarato	
  de	
  dime+la	
  ou	
  
aza+oprina,	
  	
  
• em	
  casos	
  de	
  toxicidade	
  (intolerância,	
  hipersensibilidade	
  ou	
  
outro	
  evento	
  adverso),	
  falha	
  terapêu+ca	
  ou	
  falta	
  de	
  adesão	
  
a	
  qualquer	
  medicamento	
  da	
  primeira	
  linha	
  de	
  tratamento,	
  
é	
  permi+da	
  a	
  troca	
  por	
  outra	
  classe	
  de	
  medicamento	
  de	
  
primeira	
  linha.	
  	
  
• A	
  aza+oprina	
  é	
  considerada	
  uma	
  opção	
  menos	
  eficaz	
  e	
  só	
  
deve	
  ser	
  u+lizada	
  em	
  casos	
  de	
  pouca	
  adesão	
  às	
  formas	
  
parenterais;	
  (intramuscular,	
  subcutânea	
  ou	
  endovenosa).	
  	
  
• •	
  	
  2a	
  linha:	
  Fingolimode,	
  em	
  casos	
  de	
  falha	
  
terapêu+ca,	
  reações	
  adversas	
  ou	
  resposta	
  
sub-­‐ó+ma	
  a	
  qualquer	
  medicamento	
  da	
  
primeira	
  linha	
  de	
  tratamento,	
  é	
  permi+da	
  a	
  
troca	
  por	
  fingolimode.	
  	
  
• •	
  	
  3a	
  linha:	
  Natalizumabe,	
  em	
  casos	
  de	
  falha	
  
terapêu+ca	
  no	
  tratamento	
  da	
  segunda	
  linha	
  
ou	
  contraindicação	
  ao	
  fingolimode	
  indica-­‐se	
  o	
  
natalizumabe.	
  	
  
• Tratamento	
  da	
  esclerose	
  múlOpla	
  de	
  
alta	
  aOvidade	
  
• 	
  	
  1a	
  linha:	
  Natalizumabe,	
  	
  
• Para	
  virgens	
  de	
  tratamento	
  ou	
  estejam	
  em	
  qualquer	
  outra	
  linha	
  de	
  
tratamento.	
  	
  
• •	
  	
  2a	
  linha:	
  Alentuzumabe,	
  
– 	
  em	
  casos	
  de	
  falha	
  terapêu+ca	
  no	
  tratamento	
  ou	
  
contraindicação	
  presente	
  ao	
  natalizumabe	
  
• Após	
  o	
  tratamento	
  e	
  controle	
  da	
  fase	
  de	
  alta	
  a+vidade	
  
da	
  doença,	
  o	
  paciente	
  pode	
  ser	
  realocado	
  para	
  
qualquer	
  outra	
  linha	
  de	
  tratamento	
  da	
  EM	
  de	
  baixa	
  ou	
  
moderada	
  a+vidade	
  
o	
  tratamento	
  medicamentoso	
  com	
  MMCD	
  dos	
  
pacientes	
  com	
  EM	
  
	
  
Tratamento	
  dos	
  sintomas	
  	
  
	
  
• equipe	
  mul+disciplinar	
  	
  
• A+vidade	
  nsica	
  
– ,	
  alertando	
  que	
  exercícios	
  não	
  supervisionados	
  e	
  
treinamento	
  de	
  resistência	
  de	
  alta	
  intensidade	
  se	
  
associam	
  a	
  risco	
  de	
  lesões.	
  	
  
• É	
  es+mado	
  que	
  a	
  dor	
  crônica	
  afete	
  mais	
  de	
  40%	
  
dos	
  pacientes	
  com	
  EM.	
  Com	
  relação	
  à	
  dor	
  
neuropá+ca,	
  os	
  estudos	
  apresentam	
  alto	
  risco	
  de	
  
viés	
  e	
  evidência	
  insuficiente.	
  
• dor	
  usualmente	
  secundária	
  a	
  alterações	
  de	
  
mobilidade	
  e	
  postura.	
  
• funcionamento	
  intes+na?	
  
– Mul+fatorial:	
  múl+plos	
  medicamentos,,	
  dieta	
  pobre	
  
em	
  fibras,	
  sedentarismo,	
  elementos	
  
comportamentais,	
  dificuldade	
  de	
  acesso	
  ao	
  banheiro	
  
e	
  alterações	
  neurológicas	
  
• 	
  Transtornos	
  do	
  humor,	
  principalmente	
  
depressão	
  e	
  ansiedade,	
  são	
  comuns	
  e	
  são	
  muitas	
  
vezes	
  desencadeados	
  ou	
  agravados	
  por	
  uma	
  
dificuldade	
  em	
  lidar	
  com	
  a	
  doença.	
  
• O	
  funcionamento	
  cogni+vo	
  também	
  pode	
  ser	
  
afetado.	
  	
  
• A	
  labilidade	
  emocional,	
  também	
  conhecida	
  como	
  
efeito	
  pseudobulbar,	
  necessita	
  ser	
  diferenciada	
  
de	
  transtorno	
  de	
  humor,	
  pois	
  requer	
  conduta	
  
específica	
  e	
  pode	
  ser	
  debilitante,	
  comprometer	
  a	
  
funcionalidade	
  e	
  ser	
  acompanhada	
  de	
  outros	
  	
  
• Outras	
  manifestações,	
  como	
  mobilidade	
  
prejudicada,	
  tontura	
  e	
  ver+gem	
  devem,	
  se	
  
necessário,	
  ser	
  cuidadas	
  conforme	
  a	
  
manifestação	
  e	
  as	
  alterna+vas	
  disponíveis.	
  	
  
Bene]cios	
  esperados	
  do	
  tratamento	
  	
  
	
  
• ●	
  	
  Aumento	
  da	
  sobrevida	
  global	
  (considerando	
  morte	
  e	
  
surtos);	
  	
  
• ●	
  	
  Aumento	
  da	
  sobrevida	
  livre	
  de	
  surtos;	
  	
  
• ●	
  	
  Ausência	
  de	
  progressão	
  da	
  incapacidade,	
  medida	
  
pelo	
  EDSS;	
  	
  
• ●	
  	
  Ausência	
  de	
  eventos	
  adversos	
  graves,	
  
principalmente	
  infecciosos	
  (por	
  exemplo,	
  LEMP).	
  	
  
• ●	
  	
  Melhora	
  sintomá+ca;	
  	
  
• ●	
  	
  Diminuição	
  da	
  frequências	
  e	
  gravidade	
  das	
  
recorrências;	
  e	
  	
  
• ●	
  	
  Redução	
  do	
  número	
  de	
  internações	
  hospitalares.	
  	
  
8.	
  MONITORAMENTO	
  	
  
	
  
Infecções	
  	
  
	
  
• Infecções	
  ocorreram	
  em	
  71%	
  dos	
  pacientes	
  
tratados	
  com	
  alentuzumabe	
  12	
  mg	
  comparado	
  
com	
  53%	
  dos	
  pacientes	
  tratados	
  com	
  beta-­‐
interferona	
  1a	
  (IFNB-­‐1a.	
  	
  
• as	
  seguintes	
  infeções	
  devem	
  ser	
  rastreadas:	
  	
  
– •	
  	
  HPV:	
  É	
  recomendável	
  realizar	
  a	
  triagem	
  anualmente	
  
em	
  pacientes	
  do	
  sexo	
  feminino.	
  	
  
– •	
  	
  Herpes:	
  A	
  profilaxia	
  com	
  agente	
  oral	
  an+-­‐herpes	
  
deve	
  ser	
  iniciada	
  no	
  primeiro	
  dia	
  de	
  tratamento	
  com	
  
alentuzumabe	
  e	
  man+da	
  por,	
  no	
  mínimo,	
  um	
  mês	
  
depois	
  de	
  cada	
  ciclo	
  de	
  tratamento.	
  	
  
• •	
  	
  Citomegalovírus	
  (CMV):	
  Em	
  pacientes	
  
sintomá+cos,	
  a	
  avaliação	
  clínica	
  deve	
  ser	
  
realizada	
  durante	
  e	
  por	
  pelo	
  menos	
  dois	
  
meses	
  após	
  cada	
  ciclo	
  de	
  tratamento	
  com	
  
alentuzumabe.	
  	
  
• •	
  	
  Tuberculose:	
  A	
  triagem	
  para	
  tuberculose	
  
deve	
  ser	
  realizada	
  antes	
  do	
  início	
  do	
  
tratamento,	
  de	
  acordo	
  com	
  as	
  orientações	
  do	
  
Ministério	
  da	
  Saúde.	
  	
  
Critérios	
  de	
  Interrupção	
  	
  
	
  
• a	
  incapacidade	
  do	
  paciente	
  de	
  adesão	
  ao	
  
tratamento,	
  a	
  impossibilidade	
  de	
  monitorização	
  
dos	
  eventos	
  adversos	
  e	
  a	
  toxicidade	
  (intolerância,	
  
hipersensibilidade	
  ou	
  outro	
  evento	
  adverso)	
  do	
  
medicamento.	
  	
  
• O	
  tempo	
  de	
  tratamento	
  ou	
  a	
  troca	
  de	
  
medicamento	
  são	
  determinados	
  pela	
  falha	
  
terapêu+ca	
  ou	
  pelo	
  surgimento	
  de	
  eventos	
  
adversos	
  intoleráveis,	
  após	
  considerar	
  todas	
  as	
  
medidas	
  para	
  sua	
  atenuação.	
  
• Considera-­‐se	
  falha	
  terapêu+ca	
  a	
  incidência	
  de	
  
pelo	
  menos	
  um	
  surto	
  e	
  evidência	
  de	
  no	
  
mínimo	
  quatro	
  novas	
  lesões	
  em	
  T2	
  ao	
  exame	
  
de	
  ressonância	
  magné+ca	
  no	
  período	
  de	
  um	
  
ano,	
  durante	
  tratamento	
  medicamentoso	
  
adequado.	
  
• 	
  Tais	
  critérios	
  são	
  válidos	
  para	
  qualquer	
  dos	
  
tratamentos	
  preconizados.	
  	
  
Pacientes	
  de	
  ambos	
  os	
  sexos	
  que	
  planejam	
  conceber	
  e	
  
engravidar	
  devem	
  observar	
  as	
  seguintes	
  condutas	
  de	
  
interrupção:	
  	
  
	
  
– pacientes	
  masculinos	
  e	
  femininos	
  em	
  uso	
  de	
  
teriflunomida	
  devem	
  u+lizar	
  métodos	
  contracep+vos	
  
eficazes	
  para	
  evitar	
  a	
  concepção	
  devido	
  à	
  
teratogenicidade	
  desse	
  medicamento;	
  
– 	
  pacientes	
  em	
  uso	
  de	
  beta-­‐interferona-­‐1a	
  (Avonex®	
  
ou	
  Rebif®),	
  fumarato	
  de	
  dime+la	
  e	
  fingolimode	
  devem	
  
evitar	
  engravidar	
  enquanto	
  es+verem	
  u+lizando	
  estes	
  
medicamentos;	
  
• 	
  pacientes	
  que	
  planejam	
  a	
  gravidez	
  
– engravidar	
  somente	
  após	
  dois	
  meses	
  de	
  interrupção	
  do	
  
tratamento	
  com	
  fingolimode;	
  
– somente	
  após	
  quatro	
  meses	
  de	
  interrupção	
  do	
  tratamento	
  
com	
  alentuzumabe;	
  	
  
• pacientes	
  masculinos	
  e	
  femininos	
  devem	
  adotar	
  
medidas	
  contracep+vas	
  adequadas	
  em	
  uso	
  de	
  
aza+oprina.	
  	
  
• O	
  aleitamento	
  materno	
  deve	
  ser	
  suspenso	
  durante	
  
cada	
  ciclo	
  de	
  tratamento	
  com	
  alentuzumabe	
  e	
  por	
  
quatro	
  meses	
  depois	
  da	
  úl+ma	
  infusão	
  de	
  cada	
  ciclo	
  de	
  
tratamento	
  	
  
TRATAMENTO NA EM
• TRATAMENTO DE APOIO PARA ALIVIAR
OS SINTOMAS:
– Espasticidade = diazepan / toxina
botulínica
– Dor = alongamento; analgésicos;
cannabis(?)
– Complicações urinárias = antibióticos
– Complicações instestinais = laxantes
– Problemas Psicológicos = antidepressivos
TRATAMENTO NA EM
• CONDUTA GERAL
• O paciente deve ser aconselhado e
habilitados a aproveitar uma vida o mais
completa e ativa possível;
• Não existe benefício comprovado da
restrição dietética de qualquer tipo (?);
• O àlcool não é bem tolerado = devido ao
possível comprometimento cerebelar, no
entanto não há perigo no consumo
moderado.
CASOS	
  ESPECIAIS	
  	
  
	
  
Síndrome	
  clínica	
  isolada	
  de	
  alto	
  risco	
  de	
  
conversão	
  para	
  esclerose	
  múlOpla	
  	
  
	
  
• Caracteriza-­‐se	
  pela	
  primeira	
  manifestação	
  clínica	
  suges+va	
  de	
  
desmielinização	
  inflamatória	
  no	
  SNC,	
  em	
  que	
  o	
  paciente	
  apresente	
  
uma	
  ou	
  mais	
  lesões	
  Mpicas	
  em	
  T2	
  comprovadas	
  por	
  exame	
  de	
  
ressonância	
  magné+ca	
  e	
  inatribuível	
  a	
  outras	
  doenças.	
  	
  
• Para	
  esses	
  pacientes,	
  o	
  risco	
  de	
  desenvolver	
  EM	
  varia	
  de	
  48%	
  a	
  81%,	
  
dependendo	
  do	
  número	
  de	
  lesões	
  
• 	
  Nesta	
  situação,	
  o	
  paciente	
  deverá	
  ser	
  inves+gado	
  para	
  os	
  diversos	
  
diagnós+cos	
  diferenciais,	
  incluindo	
  outras	
  doenças	
  autoimunes	
  que	
  
acometem	
  o	
  SNC,	
  doenças	
  paraneoplásicas	
  e	
  infecções	
  crônicas	
  do	
  
SNC.	
  	
  
• O	
  diagnós+co	
  de	
  acordo	
  com	
  os	
  critérios	
  de	
  McDonald	
  	
  
• Existem	
  evidências	
  de	
  que	
  a	
  u+lização	
  de	
  MMCD,	
  em	
  especial	
  os	
  de	
  
primeira	
  linha	
  de	
  tratamento,	
  podem	
  retardar	
  a	
  conversão	
  da	
  CIS	
  
(síndrome	
  clinicamente	
  isolada)	
  em	
  EM.	
  	
  
• Uma	
  vez	
  que	
  o	
  paciente	
  tenha	
  o	
  diagnós+co	
  de	
  
CIS,	
  	
  
– preconiza	
  que	
  o	
  tratamento	
  seja	
  iniciado	
  apenas	
  após	
  
a	
  confirmação	
  de	
  EM,	
  bem	
  como	
  que	
  o	
  paciente	
  seja	
  
acompanhado	
  a	
  cada	
  3-­‐6	
  meses	
  com	
  RM	
  de	
  crânio	
  ou	
  
exame	
  do	
  líquor	
  com	
  banda	
  oligoclonal,	
  com	
  o	
  
obje+vo	
  de	
  iden+ficar	
  o	
  surgimento	
  de	
  novas	
  lesões	
  
desmielinizantes	
  ou	
  lesões	
  impregnadas	
  pelo	
  
contraste	
  que	
  não	
  apresentavam	
  esta	
  caracterís+ca	
  
antes	
  ou,	
  ainda,	
  o	
  aumento	
  das	
  dimensões	
  de	
  lesões	
  
previamente	
  existentes.	
  
– 	
  Qualquer	
  das	
  alterações	
  descritas	
  configura	
  quadro	
  
evolu+vo,	
  permi+ndo	
  o	
  diagnós+co	
  precoce	
  de	
  EM	
  
Crianças	
  e	
  adolescentes	
  	
  
	
  
• A	
  EM	
  pode	
  acometer	
  crianças	
  e	
  adolescentes.	
  
– recomenda-­‐se	
  que	
  o	
  neurologista	
  solicite	
  uma	
  
avaliação	
  para	
  afastar	
  leucodistrofias.	
  	
  
• Confirmada	
  a	
  doença,	
  pode-­‐se	
  tratar	
  com	
  
– 	
  beta-­‐interferonas,	
  	
  
– fingolimode	
  (se	
  o	
  paciente	
  +ver	
  mais	
  de	
  10	
  anos	
  de	
  
idade)	
  	
  
– ou	
  gla+râmer.	
  	
  
• Inexistem	
  ensaios	
  clínicos	
  que	
  tenham	
  
incluído	
  doentes	
  desta	
  faixa	
  etária,	
  sendo	
  os	
  
melhores	
  estudos	
  de	
  segurança	
  do	
  
tratamento	
  de	
  crianças	
  e	
  adolescentes	
  as	
  
séries	
  de	
  casos	
  em	
  que	
  se	
  demonstra	
  bom	
  
perfil	
  de	
  segurança.	
  	
  
• A	
  teriflunomida,	
  o	
  fumarato	
  de	
  dime+la,	
  o	
  
natalizumabe	
  e	
  o	
  alentuzumabe	
  não	
  estão	
  
aprovados	
  para	
  uso	
  por	
  menores	
  de	
  18	
  anos	
  
GRAVIDEZ	
  
• A	
  gravidez	
  não	
  interfere	
  nega+vamente	
  na	
  
progressão	
  da	
  esclerose	
  múl+pla.	
  
• A	
  gestação	
  não	
  é	
  contraindicada	
  em	
  paciente	
  
com	
  esclerose	
  múlOpla	
  e	
  sabe-­‐se	
  que	
  a	
  
gestação	
  não	
  piora	
  nem	
  acelera	
  a	
  doença.	
  	
  
• EM	
  não	
  está	
  relacionada	
  à	
  infer+lidade.	
  	
  
– Entretanto,	
  deve	
  haver	
  um	
  planejamento	
  
adequado	
  a	
  fim	
  de	
  evitar	
  riscos	
  para	
  mãe	
  e	
  o	
  bebê	
  
 Gestantes	
  	
  
	
  
• Na	
  gestação,	
  as	
  manifestações	
  clínicas	
  da	
  
doença	
  ficam	
  mais	
  brandas,	
  com	
  redução	
  
relevante	
  da	
  taxa	
  de	
  surtos	
  principalmente	
  no	
  
primeiro	
  trimestre;	
  
• aumento	
  da	
  incidência	
  de	
  surtos	
  
imediatamente	
  após	
  o	
  puerpério.	
  	
  
• Em	
  casos	
  de	
  evolução	
  favorável	
  da	
  doença	
  (pontuação	
  
na	
  EDSS	
  classificada	
  como	
  estável	
  e	
  baixo,	
  baixa	
  taxa	
  
de	
  surtos),	
  preconiza-­‐	
  se	
  não	
  usar	
  imunomodulador	
  
nem	
  imunossupressor	
  por	
  possuírem	
  perfil	
  de	
  
segurança	
  incerto	
  na	
  gestação.	
  
• 	
  A	
  teriflunomida	
  é	
  contraindicada	
  para	
  uso	
  por	
  
gestantes,	
  assim	
  como	
  as	
  beta-­‐interferonas	
  1a	
  de	
  
marca	
  Rebif®	
  e	
  Avonex®	
  
• A	
  beta-­‐interferona	
  1a	
  produzida	
  pelo	
  laboratório	
  Bio-­‐
Manguinhos	
  é	
  classificada	
  na	
  categoria	
  de	
  risco	
  B	
  para	
  
gravidez,	
  e	
  pode	
  ser	
  u+lizada	
  sob	
  recomendação	
  
médica	
  
• Com	
  relação	
  aos	
  demais	
  MMCD,	
  seu	
  uso	
  deve	
  ser	
  
considerado	
  para	
  casos	
  em	
  que	
  a	
  evolução	
  clínica	
  da	
  
doença	
  se	
  mostra	
  desfavorável,	
  de	
  forma	
  que	
  os	
  
benencios	
  do	
  tratamento	
  para	
  a	
  mãe	
  superem	
  o	
  risco	
  
para	
  o	
  feto.	
  	
  
• As	
  evidências	
  indicam	
  não	
  haver	
  diferença	
  entre	
  mães	
  
expostas	
  ou	
  não	
  expostas	
  a	
  MMCD	
  (IFN-­‐b,	
  gla+râmer	
  e	
  
natalizumabe)	
  para	
  a	
  incidência	
  dos	
  desfechos	
  de	
  
morte	
  fetal,	
  aborto	
  espontâneo,	
  aborto	
  induzido,	
  
anomalias	
  congênitas,	
  nascimentos	
  prematuros	
  e	
  
número	
  de	
  nascidos	
  vivos.	
  	
  
• foram	
  iden+ficados	
  mais	
  casos	
  de	
  abortos	
  
induzidos	
  entre	
  mães	
  expostas	
  ao	
  gla+râmer	
  
durante	
  a	
  gestação,	
  compara+vamente	
  as	
  não	
  
expostas.	
  
• 	
  Evidências	
  sobre	
  a	
  segurança	
  do	
  uso	
  de	
  
fingolimode,	
  fumarato	
  de	
  dime+la	
  e	
  
alentuzumabe	
  em	
  mulheres	
  grávidas	
  não	
  
foram	
  iden+ficadas	
  
• Há	
  dúvidas	
  acerca	
  dos	
  riscos	
  de	
  amamentar,	
  e	
  os	
  
dados	
  disponíveis	
  na	
  literatura	
  sobre	
  o	
  assunto	
  são	
  
escassos.	
  
• 	
  A	
  beta-­‐interferona	
  1a	
  produzida	
  pelo	
  laboratório	
  Bio-­‐
Manguinhos	
  relata	
  em	
  sua	
  bula	
  que,	
  embora	
  os	
  dados	
  
da	
  literatura	
  sobre	
  a	
  transferência	
  de	
  beta-­‐interferona	
  
1a	
  para	
  o	
  leite	
  materno	
  sejam	
  limitados,	
  o	
  benencio	
  e	
  
o	
  risco	
  potencial	
  da	
  amamentação	
  devem	
  ser	
  
considerados	
  juntamente	
  com	
  a	
  necessidade	
  
terapêu+ca	
  da	
  mãe	
  com	
  o	
  uso	
  de	
  beta-­‐interferona-­‐	
  1a.	
  	
  
• Quanto	
  aos	
  demais	
  MMCD,	
  preconiza-­‐se	
  não	
  
amamentar	
  durante	
  o	
  tratamento	
  medicamentoso.	
  	
  

EMULTIPLA2.pdf

  • 1.
  • 2.
    • É umadas doenças neurológicas mais comuns e antigas que atingem os adultos jovens – Relatos da doença desde o séc. XIV • Descoberta em 1868 – Jean Martin Charcot (neurologista francês) “Nas EM, existem lesões inflamatórias (placas) típicas que aparecem como áreas circunscritas de perda de mielina disseminadas pelo SNC, principalmente na substância branca.  
  • 5.
    Esclerose  Múl+pla     • doença  neurológica  desmielinizante  autoimune  crônica     • provocada  por  mecanismos  inflamatórios  e   degenera+vos  que  comprometem  a  bainha  de  mielina     – que  revestem  os  neurônios  das  substâncias  branca  e   cinzenta  do  sistema  nervoso  central.       •  O nome vem de múltiplas áreas de cicatrização, ou tecido esclerótico, que caracterizam o processo da doença.
  • 6.
    • Os axôniostbm tornam-se irreversivelmente lesados como consequência da inflamação, mesmo no início da doença: incapacidades, déficits neurológicos persistentes  
  • 7.
    se estende atéa entrada da raiz dos nervos cranianos e espinhais ! demarcação ! Placas • (placa esclerótica)
  • 8.
    • Nos  portadores  de  esclerose  múl+pla  as   células  imunológicas  invertem  seu  papel:   –  ao  invés  de  protegerem  o  sistema  de  defesa  do   indivíduo,  passam  a  agredi-­‐lo,  produzindo   inflamações.   –  As  inflamações  afetam  par+cularmente  a  bainha   de  mielina    
  • 10.
    • bainha  mielina  e  os  axônios  lesionados:  pelas   inflamações,  as  funções  coordenadas  pelo   cérebro,  cerebelo,  tronco  encefálico  e  medula   espinhal  ficam  comprome+das.   •  Desta  forma  surgem  os  sintomas  Mpicos  da   doença,    
  • 11.
    • Os  surtos  (desmielinização)  :  surgimento  de  um  novo   sintoma  neurológico  ou  piora  significa+va  de  um   sintoma  “an+go”,  com  duração  mínima  de  24  horas.         • Para  ser  considerado  um  novo  surto  é  necessário  que   ocorra  um  intervalo  mínimo  de  30  dias  entre  eles     – caso  contrário,  considera-­‐se  o  sintoma  do  mesmo  surto   em  andamento.   •  A  recuperação    de  surtos:  total  ou  parcial   (remielinização).    
  • 12.
    • Embora amplamentedifundidas, certas áreas são mais afetadas (>  sintomas) – Região periventriculares – Justacorticais – infratentoriais – Pedúnculos cerebelares – Tronco encefálico – Localização posterior ou lateral na Medula espinhal • As lesões tendem a ser simétricas e têm uma distribuição perivenosa (em torno de pequenas veias e vênulas), contendo linfócitos e macrófagos.
  • 14.
    ETIOLOGIA   • Sua  e+ologia  não  é  bem  compreendida,   envolvendo  fatores  gené+cos  e  ambientais.     •  interações  entre  esses  vários  fatores  :   diferentes  apresentações  da  EM  e  diferentes   respostas  aos  medicamentos      
  • 15.
    Etiologia   Desconhecida!!! • Autoimune? •Suposições: – Fatores ambientais – Fatores genéticos; – vírus (pesquisadores sugerem que este seria o gatilho para uma resposta imunológica,-- nem todos com doença).
  • 17.
    EPIDEMIOLOGIA   • Segunda  principal  causa  de  incapacidade   funcional  em  adultos  jovens  em  paises   desenvolvidos,   –  precedida  apenas  pela  e+ologia  traumá+ca   • É  a  doença  desmielinizante  mais  prevalente  do   SNC   • acomete  usualmente  adultos  jovens,  dos  18  aos   55  anos  de  idade,  sendo  mais  rara  após  os  50   anos   •  mais  comum  no  sexo  feminino  3:1;     • no  Brasil,  a  prevalência  da  doença  é  de  15  para   cada  100.000  habitantes  
  • 19.
    QUADRO  CLÍNICO   •O  quadro  clínico  de  cada  surto  é  variável  e  pode   apresentar  mais  de  um  sintoma.       • Alguns  pacientes  apresentam  piora  dos  sintomas  na   ocorrência  de   –  febre  (FENÔMENO  DE  UHTHOFF)   – ou  infecções,  frio  extremo,  calor,  fadiga,  exercício  nsico,   desidratação,  variações  hormonais  e  estresse  emocional   – no  geral  são  situações  transitórias.   •    Atenção  especial  às  infecções,  pois  agravam  o  quadro   clínico  do  paciente  desencadeando  sintomas  que  podem   ser  considerados  surtos  mas  nestas  situações  é   considerado  “falso  ou  pseudo-­‐surto”.      
  • 20.
    • O  quadro  clínico  se  manifesta,  na  maior  parte   das  vezes,  por  surtos  ou  ataques  agudos,   podendo  entrar  em  remissão  de  forma   espontânea  ou  com  o  uso  de  cor+costeroide   • Os  sintomas  podem  ser  graves  ou  parecer  tão   triviais  que  o  paciente  pode  não  procurar   assistência  médica  por  meses  ou  anos.    
  • 21.
    Neurite  óp+ca,  diplopia,  paresia  ou  alterações  sensi+vas  e  motoras  de   membros,  disfunções  de  coordenação  e  equilíbrio,  dor  neuropá+ca,   espas+cidade,  fadiga,  disfunções  esfincterianas  e  cogni+vo-­‐ comportamentais,  de  forma  isolada  ou  em  combinação,  são  os  principais   sintomas    
  • 22.
    Sintomas:   Algumas manifestaçõespouco comuns podem surgir: hemiplegia; Neuralgia do trigêmeo e paralisia facial; Com maior frequência pode surgir uma história mal definida de incapacidade funcional, precedendo os sintomas definitivos  
  • 23.
    • Alterações cognitivassão evidenciadas em cerca de 60% dos pacientes de Esclerose Múltipla; – A maioria desses apresenta uma deficiência discreta, enquanto que 10 a 20% tem uma deficiência significativa. – Funções cognitivas mais freqüentemente comprometidas são a memória, concentração, discernimento ou raciocínio. – Raramente há deterioração da função intelectual.
  • 24.
    • “Inicialmente, aresolução do déficit é completa, mas com o tempo, conforme a evolução da doença, a recuperação das crises se torna parcial e os pacientes passam a apresentar incapacidades permanentes  
  • 25.
    • SINAL  DE  LHERMITTE:  sensação  de  choque   elétrico  que  irradia  pelas  costas  e/ou  MMII   após  a  flexão  do  pescoço  
  • 26.
    • diferentes  formas  clínicas/variações   fenoMpicas     – Devido a grande variabilidade da localização anatômica, do volume das lesões e da seqüência de tempo em que elas sugem  
  • 30.
    Os  dois  lados  da  doença     • SURTO              X            PROGRESSÃO   • SURTO  processos  inflamatório  focal  agudo   • PROGRESSÃO  neurodegeneração  difusa  crônica   • Os  sintomas  presentados  podem  ser  definidos   em  uma  SÍNDROME  CLINICA  ISOLADA  ou  em  uma   SÍNDROME  CLINICAMENTE  ISOLADA   MULTIFOCAL  
  • 31.
    • SÍNDROME  CLINICA  ISOLADA:   – Instalação  subaguda  de  déficits–  motores,  visuais  ou   sensi+vos  -­‐-­‐-­‐  com  duração  superios  a  24hs.  Os   sintomas  ocorrem  na  ausência  de  febre  ou  infecção   • SÍNDROME  CLINICAMENTE  ISOLADA   MULTIFOCAL:   – Múl+plos  sintomas  visuais,  piramidais,  cerebelares  e   de  tronco.  O  defict  cogni+vo  pode  estar  presente,   sendo  comumente  em  padrão  disexecu+vo  
  • 32.
  • 33.
    Síndrome  Clinicamente  Isolada   (Clinically  Isolated  Syndrome  -­‐  CIS)   • consiste  na  primeira  manifestação  clínica  que   apresenta  caracterís+cas  de  desmielinização  e   suges+va  de  esclerose  múl+pla,  mas  incapaz   de  cumprir  os  critérios  de  disseminação  no   tempo  por  neuroimagem  ou  líquor.    
  • 34.
    Formas  clínicas  da  EM:   • classificada  com  critérios  clínicos  caracterizados  pela   ocorrência  de  surtos  e  progressão:     • Forma  Remitente  Recorrente  (EMRR)  ou  surto  remissão  :   – sendo  a  forma  mais  comum,  70  a  80%  dos  casos     • Primariamente  Progressiva  (EMPP)  :     – a  progressão  da  doença  ocorre  desde  o  início,  com  velocidade   variável.  Ocorre  em  10-­‐15%  dos  casos.   • Secundariamente  Progressiva  (EMSP):     – ocorre  em  15  a  20%  dos  casos.   • EM  progressiva  recidivante  (EMPR):     – forma  mais  rara  ,  ocorre  em  5%  dos  casos.    
  • 35.
    Cerca  de  70%  dos  pacientes  com  a  forma  remitente-­‐recorrente  irão  evoluir  para  a   forma  secundáriamente  progressiva  em  torno  de  10  a  20  anos/  irá  ocorrer  acúmulo   de  incapacidades  
  • 36.
    Forma  primariamente  progressiva     • Dificuldade  progressiva  para  deambular   –  Síndrome  piramidal  (principalmente  mmii)   –  Ataxia   –  Sintomas  cerebelares  
  • 38.
    Acúmulo  progressivo  de  incapacidades  sem  surtos  definidos  desde  o  início  do   quadro;  representa  10%  dos  casos  de  EM  
  • 40.
    DIAGNÓSTICO   • O  diagnós+co  de  EM  é  complexo,  uma  vez  que  não   existe  marcador  ou  teste  diagnós+co  específico:   diagnós+co  de  exclusão   • Critérios  clínicos  e  radiológicos   • Exames  complementares   – RM   – ESTUDO  DO  LCR   – POTENCIAL  EVOCADO   • vários  modelos  foram  esquema+zados  e  propostos  a   fim  de  orientar  e  facilitar  o  diagnós+co  dessa  doença.     • Atualmente,  os  critérios  de  McDonald,  descritos  em   2001  e  revisados  em  2005,  2010  e  2017,  são  mais   frequentemente  u+lizados    
  • 41.
    • documentação  de  dois  ou  mais  episódios   sintomá+cos,  que  devem  durar  mais  de  24  horas   e  ocorrer  de  forma  dis+nta,  separados  por   período  de  no  mínimo  um  mês   – ou  seja,  disseminados  no  tempo  e  no  espaço   –  Exames  radiológicos  e  laboratoriais,  em  especial  a   ressonância  magné+ca  (RM),  podem,  em  conjunto   com  as  evidências  clínicas,  ser  essenciais  para  compor   o  diagnós+co  e  excluir  outras  doenças  de   apresentação  semelhante    
  • 42.
    Critérios  de  McDonald  revisados  em   2017   • não  são  necessários  exames  adicionais   quando  o  paciente  apresenta  dois  ou  mais   surtos;   •  entretanto,  qualquer  diagnós+co  de  EM  pode   contar  com  RM  e  u+lizar  a  presença  de   bandas  oligoclonais  (imunoglobulina  G  -­‐  IgG)   no  líquor  em  subs+tuição  à  demonstração  de   disseminação  da  doença  no  tempo.    
  • 43.
    critérios  McDonald  (2017)   • disseminação  no  espaço   – RM  por  ≥  1  lesões  hiperintensas  em  T2,   sintomá+cas  ou  assintomá+cas,  que  são   caracterís+cos  de  EM,  em  dois  ou  mais  das   seguintes  quatro  áreas  do  sistema  nervoso   central:     • periventricular,     • cor+cal/justacor+cal,  infratentorial  e  medula  espinhal.  
  • 45.
    • disseminação  no  tempo   – presença  simultânea  de  lesões  captantes  de   gadolíneo  e  lesões  não  captantes  em  qualquer   exame  de  RM,     – ou  nova  lesão  hiperintensa  em  T2  ou  captante  de   gadolínio  quanto  comparada  a  um  exame  de  RM   prévio,  independentemente  do  momento  em  que   foi  realizado.    
  • 49.
    • EDSS,  de  Expanded  Disability  Status  Scale)     – estadiamento  da  doença,   – monitoramento  do  paciente.     – permite  quan+ficar  o  comprome+mento  neuronal  dentro   de  oito  sistemas  funcionais:   •  piramidal,     • cerebelar,     • tronco  cerebral,   •  sensi+vo,     • vesical,     • intes+nal,   •  visual,     • Mental   •  outras  funções  agrupadas.     – O  escore  final  da  escala  pode  variar  de  0  (normal)  a  10   (morte),  sendo  que  a  pontuação  aumenta  0,5  ponto   conforme  o  grau  de  incapacidade  do  paciente  
  • 50.
    EDSS:  Progressão  da  incapacidade  
  • 56.
    Caracterís+cas  do  Líquor:     • Celularidade  <  50  celulas/mm3     – Predominancia  de  linfomononucleares   •  Proteínas   –  Elevação  discreta  ou  moderada   •  Testes  imunológicos   –  Teste  nega+vo  para  agentes  infecciosos   –  Elevação  de  gama-­‐globulina  (índice  de  IgG)     – Presença  de  bandas  oligoclonais  
  • 57.
    • Anormalidade  do  LCR     – presença  de  bandas  oigoclonais,  preferencialmente   usando  método  de  focalização  isoelétrica     – e  /  ou  presença  de  índice  elevado  de  IgG.     – A  pleocitose  deve  ser  inferior  a  50  células  /  mm3   • Um  PEV  com  aumento  da  latência  mas  boa   preservação  da  forma  do  potencial,   –  pode  ser  usado  para  suplementar  a  informação   obje+va  clínica,     – ou  fornecer  evidência  obje+va  de  uma  segunda  lesão.  
  • 58.
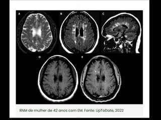
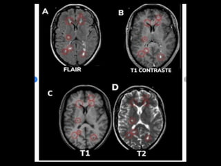
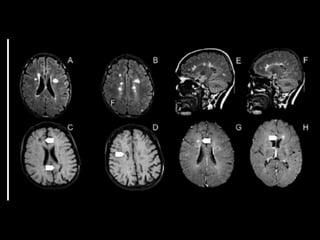
    Diagnóstico:   Observação: ARM pode evidenciar áreas com pontos brilhantes indefinidos em indivíduos saudáveis; Gadolínio: • realçar lesões, • destacar se a doença está em estado ativo  
  • 59.
    • Nota:  A  LEMP  é  uma  infecção  oportunista  causada   pelo  vírus  JC  (vírus  John  Cunningham  ou  vírus  polioma)   que  acomete  pacientes  imunocomprome+dos  e  pode   ser  fatal  ou  resultar  em  incapacidade  grave.   •  O  teste  do  vírus  JC  posi+vo  não  determina   necessariamente  o  desenvolvimento  de  LEMP,  uma   vez  que  o  vírus  é  amplamente  difundido  na  população.     • São  pacientes  que  apresentam  um  risco   significa+vamente  maior  de  desenvolver  LEMP:     – presença  de  an+corpos  an+-­‐JCV,  mais  de  2  anos  de   tratamento  com  natalizumabe  ou  fingolimode  e  terapia   anterior  com  imunossupressor.    
  • 61.
    DIAGNÓSTICO  DIFERENCIAL   •Doenças  vasculares     – Fístulas  arterio-­‐venosas  espinais   –  Vasculite  do  SNC   –  Hemangioma  cavernoso   –  CADASIL   •  Lesões  da  fossa  posterior  e  medula  espinal   –  Malformação  de  Arnold-­‐Chiari     – Ataxias  ou  mielopa+as  não-­‐hereditárias   –  Doenças  neoplásicas  da  medula  espinal  
  • 62.
    • Transtornos  do  metabolismo   –  Esclerose  combinada  sub-­‐aguda  da  medula     – Leucodistrofias  Doenças     • auto-­‐imunes   –  LES,   –  doença  de  Sjogren,   –  doença  de  Behçet,     – sarcoidose,   –  síndrome  do  an+corpo  an+-­‐fosfolípide   •  Infecções     – Mielopa+a  associada  ao  HIV,  HAM/TSP,  sífilis     • Síndromes  gené+cas   –  Ataxias  e  paraplegias  hereditária   – s  Doenças  mitocondriais  
  • 63.
    EVOLUÇÃO E PROGNÓSTICO   “ O prognóstico geral é variável e o curso da doença geralmente é imprevisível  
  • 64.
    Fatores  prognósOcos:     •  (variáveis  associadas  a  maior  tempo  –  melhor   prognós+co)   –  Sexo  feminino     – Menor  idade  de  início     – Sintoma  inicial:  Neurite  óp+ca  e  não  trato  longo     – Recuperação  completa  após  o  1o.  surto     – Tempo  longo  entre  1o.  e  2o.  surto     – Menor  número  de  surtos  nos  primeiros  5  anos     • Qualquer  imunização  não  aumenta  o  risco  de   surtos  em  portadores  de  EM  
  • 65.
     TRATAMENTO       • O  tratamento  da  EM  pode  ser  complexo,   envolvendo  ação  coordenada  de  múl+plos   profissionais  da  saúde,  com  o  uso  de  condutas   medicamentosas  e  não  medicamentosas.     • Quanto  mais  cedo  o  tratamento  é  iniciado,   maior  a  chance  de  modificar  o  curso  natural   da  doença  em  longo  prazo   –  reduzindo  o  número  de  surtos,  de  lesões  e  de   sequelas  neurológicas.    
  • 66.
    Tratamento     •não  curam  a  doença.     • Seu  obje+vo  é  reduzir  a  possibilidade  de  um  novo  surto  e,   portanto,  o  acúmulo  de  incapacidades  e  a  piora  na   progressão  clínica     • Existem  medicações  u+lizadas  somente  durante  os  surtos   (pulsoterapia  com  cor+costeróides);     • outras  são  u+lizadas  de  maneira  conMnua  (como  os   fármacos  modificadores  da  doença:  injetáveis  ou  orais),   independentemente  dos  sintomas  apresentados;   •  ou  ainda  há  medicamentos  que  buscam  somente  aliviar   sintomas  como  dor,  desequilíbrio,  espas+cidade,  urgência   urinária,  fadiga  etc.  
  • 67.
    Tratamento  medicamentoso       • O  obje+vo  é  a  melhora  clínica   – com  aumento  da  capacidade  funcional,     – redução  de  comorbidades   –  atenuação  de  sintomas.     • Os  glicocor+coides     – tratar  os  surtos     – mostram  benencio  clínico  a  curto  prazo,  ao  reduzir  a   intensidade  e  duração  dos  episódios  agudos  
  • 68.
    •  As  terapias  modificadoras  do  curso  da  doença   (MMCD)   – reduzir  as  células  imunogênicas  circulantes,   –  suprimir  a  adesão  destas  ao  epitélio  e,   consequentemente,  reduzir  a  migração  para  o   parênquima  e  a  resposta  inflamatória  decorrente   •  Existem  ainda  os  medicamentos  para  o   tratamento  dos  sintomas  relacionados  à  EM.    
  • 69.
    Tratamento  do  surto  na  EM     • surto  ou  recaída  da  EM:   –  o  surgimento  de  novos  sintomas  ou  piora  dos   sintomas  existentes  com  duração  superior  a  24   horas,  na  ausência  de  febre,  infecção  ou  qualquer   outra  causa,  após  um  período  estável  de  pelo   menos  um  mês.     • Assim,  um  surto  da  EM  só  é  diagnos+cado   após  a  exclusão  de  infecção,  principalmente   do  trato  urinário  e  respiratório,  e  a   diferenciação  entre  uma  recaída  e  a   progressão  da  doença  
  • 70.
    • O  controle  dos  surtos  é  um  componente   crucial  do  tratamento  da  EM.   • cor+costeroide  em  altas  doses  para  diminuir  a   inflamação  e  acelerar  a  recuperação  do   paciente     – A  posologia  de  me+lprednisolona  intravenosa  é  1   g  diariamente  durante  3-­‐5  dias.    
  • 71.
    Eventos  adversos  temporários  do  uso  de   cor+costeroide:     – hipertensão  arterial,   –  perturbações  gastrointes+nais,   –  palpitação,     – retenção  hídrica,     – dores  no  corpo,     – rubor  facial,   –  exacerbação  da  acne,   –  hiperglicemia     – efeitos  sobre  a  saúde  mental   • excluir  infecção,  principalmente  do  trato  urinário,   antes  do  início  da  pulsoterapia.    
  • 72.
    • A  plasmaférese  como  terapia  adjuvante  é   eficaz  no  controle  das  exacerbações  nas   formas  recorrentes  de  EM   – após  não  responderem  ao  tratamento  com  altas   doses  de  cor+costeroide  
  • 73.
    Linhas  de  tratamento  da  EMRR  com  MMCD       • Tratamento  da  esclerose  múlOpla  de   baixa  ou  moderada  aOvidade     • •    1a  linha:  Beta-­‐interferonas,  gla+râmer  ou   teriflunomida  ou  fumarato  de  dime+la  ou   aza+oprina,     • em  casos  de  toxicidade  (intolerância,  hipersensibilidade  ou   outro  evento  adverso),  falha  terapêu+ca  ou  falta  de  adesão   a  qualquer  medicamento  da  primeira  linha  de  tratamento,   é  permi+da  a  troca  por  outra  classe  de  medicamento  de   primeira  linha.     • A  aza+oprina  é  considerada  uma  opção  menos  eficaz  e  só   deve  ser  u+lizada  em  casos  de  pouca  adesão  às  formas   parenterais;  (intramuscular,  subcutânea  ou  endovenosa).    
  • 74.
    • •    2a  linha:  Fingolimode,  em  casos  de  falha   terapêu+ca,  reações  adversas  ou  resposta   sub-­‐ó+ma  a  qualquer  medicamento  da   primeira  linha  de  tratamento,  é  permi+da  a   troca  por  fingolimode.     • •    3a  linha:  Natalizumabe,  em  casos  de  falha   terapêu+ca  no  tratamento  da  segunda  linha   ou  contraindicação  ao  fingolimode  indica-­‐se  o   natalizumabe.    
  • 75.
    • Tratamento  da  esclerose  múlOpla  de   alta  aOvidade   •    1a  linha:  Natalizumabe,     • Para  virgens  de  tratamento  ou  estejam  em  qualquer  outra  linha  de   tratamento.     • •    2a  linha:  Alentuzumabe,   –  em  casos  de  falha  terapêu+ca  no  tratamento  ou   contraindicação  presente  ao  natalizumabe   • Após  o  tratamento  e  controle  da  fase  de  alta  a+vidade   da  doença,  o  paciente  pode  ser  realocado  para   qualquer  outra  linha  de  tratamento  da  EM  de  baixa  ou   moderada  a+vidade  
  • 76.
    o  tratamento  medicamentoso  com  MMCD  dos   pacientes  com  EM    
  • 79.
    Tratamento  dos  sintomas       • equipe  mul+disciplinar     • A+vidade  nsica   – ,  alertando  que  exercícios  não  supervisionados  e   treinamento  de  resistência  de  alta  intensidade  se   associam  a  risco  de  lesões.     • É  es+mado  que  a  dor  crônica  afete  mais  de  40%   dos  pacientes  com  EM.  Com  relação  à  dor   neuropá+ca,  os  estudos  apresentam  alto  risco  de   viés  e  evidência  insuficiente.   • dor  usualmente  secundária  a  alterações  de   mobilidade  e  postura.  
  • 80.
    • funcionamento  intes+na?   – Mul+fatorial:  múl+plos  medicamentos,,  dieta  pobre   em  fibras,  sedentarismo,  elementos   comportamentais,  dificuldade  de  acesso  ao  banheiro   e  alterações  neurológicas   •  Transtornos  do  humor,  principalmente   depressão  e  ansiedade,  são  comuns  e  são  muitas   vezes  desencadeados  ou  agravados  por  uma   dificuldade  em  lidar  com  a  doença.   • O  funcionamento  cogni+vo  também  pode  ser   afetado.    
  • 81.
    • A  labilidade  emocional,  também  conhecida  como   efeito  pseudobulbar,  necessita  ser  diferenciada   de  transtorno  de  humor,  pois  requer  conduta   específica  e  pode  ser  debilitante,  comprometer  a   funcionalidade  e  ser  acompanhada  de  outros     • Outras  manifestações,  como  mobilidade   prejudicada,  tontura  e  ver+gem  devem,  se   necessário,  ser  cuidadas  conforme  a   manifestação  e  as  alterna+vas  disponíveis.    
  • 87.
    Bene]cios  esperados  do  tratamento       • ●    Aumento  da  sobrevida  global  (considerando  morte  e   surtos);     • ●    Aumento  da  sobrevida  livre  de  surtos;     • ●    Ausência  de  progressão  da  incapacidade,  medida   pelo  EDSS;     • ●    Ausência  de  eventos  adversos  graves,   principalmente  infecciosos  (por  exemplo,  LEMP).     • ●    Melhora  sintomá+ca;     • ●    Diminuição  da  frequências  e  gravidade  das   recorrências;  e     • ●    Redução  do  número  de  internações  hospitalares.    
  • 88.
  • 90.
    Infecções       • Infecções  ocorreram  em  71%  dos  pacientes   tratados  com  alentuzumabe  12  mg  comparado   com  53%  dos  pacientes  tratados  com  beta-­‐ interferona  1a  (IFNB-­‐1a.     • as  seguintes  infeções  devem  ser  rastreadas:     – •    HPV:  É  recomendável  realizar  a  triagem  anualmente   em  pacientes  do  sexo  feminino.     – •    Herpes:  A  profilaxia  com  agente  oral  an+-­‐herpes   deve  ser  iniciada  no  primeiro  dia  de  tratamento  com   alentuzumabe  e  man+da  por,  no  mínimo,  um  mês   depois  de  cada  ciclo  de  tratamento.    
  • 91.
    • •    Citomegalovírus  (CMV):  Em  pacientes   sintomá+cos,  a  avaliação  clínica  deve  ser   realizada  durante  e  por  pelo  menos  dois   meses  após  cada  ciclo  de  tratamento  com   alentuzumabe.     • •    Tuberculose:  A  triagem  para  tuberculose   deve  ser  realizada  antes  do  início  do   tratamento,  de  acordo  com  as  orientações  do   Ministério  da  Saúde.    
  • 92.
    Critérios  de  Interrupção       • a  incapacidade  do  paciente  de  adesão  ao   tratamento,  a  impossibilidade  de  monitorização   dos  eventos  adversos  e  a  toxicidade  (intolerância,   hipersensibilidade  ou  outro  evento  adverso)  do   medicamento.     • O  tempo  de  tratamento  ou  a  troca  de   medicamento  são  determinados  pela  falha   terapêu+ca  ou  pelo  surgimento  de  eventos   adversos  intoleráveis,  após  considerar  todas  as   medidas  para  sua  atenuação.  
  • 93.
    • Considera-­‐se  falha  terapêu+ca  a  incidência  de   pelo  menos  um  surto  e  evidência  de  no   mínimo  quatro  novas  lesões  em  T2  ao  exame   de  ressonância  magné+ca  no  período  de  um   ano,  durante  tratamento  medicamentoso   adequado.   •  Tais  critérios  são  válidos  para  qualquer  dos   tratamentos  preconizados.    
  • 94.
    Pacientes  de  ambos  os  sexos  que  planejam  conceber  e   engravidar  devem  observar  as  seguintes  condutas  de   interrupção:       – pacientes  masculinos  e  femininos  em  uso  de   teriflunomida  devem  u+lizar  métodos  contracep+vos   eficazes  para  evitar  a  concepção  devido  à   teratogenicidade  desse  medicamento;   –  pacientes  em  uso  de  beta-­‐interferona-­‐1a  (Avonex®   ou  Rebif®),  fumarato  de  dime+la  e  fingolimode  devem   evitar  engravidar  enquanto  es+verem  u+lizando  estes   medicamentos;  
  • 95.
    •  pacientes  que  planejam  a  gravidez   – engravidar  somente  após  dois  meses  de  interrupção  do   tratamento  com  fingolimode;   – somente  após  quatro  meses  de  interrupção  do  tratamento   com  alentuzumabe;     • pacientes  masculinos  e  femininos  devem  adotar   medidas  contracep+vas  adequadas  em  uso  de   aza+oprina.     • O  aleitamento  materno  deve  ser  suspenso  durante   cada  ciclo  de  tratamento  com  alentuzumabe  e  por   quatro  meses  depois  da  úl+ma  infusão  de  cada  ciclo  de   tratamento    
  • 96.
    TRATAMENTO NA EM •TRATAMENTO DE APOIO PARA ALIVIAR OS SINTOMAS: – Espasticidade = diazepan / toxina botulínica – Dor = alongamento; analgésicos; cannabis(?) – Complicações urinárias = antibióticos – Complicações instestinais = laxantes – Problemas Psicológicos = antidepressivos
  • 97.
    TRATAMENTO NA EM •CONDUTA GERAL • O paciente deve ser aconselhado e habilitados a aproveitar uma vida o mais completa e ativa possível; • Não existe benefício comprovado da restrição dietética de qualquer tipo (?); • O àlcool não é bem tolerado = devido ao possível comprometimento cerebelar, no entanto não há perigo no consumo moderado.
  • 98.
  • 99.
    Síndrome  clínica  isolada  de  alto  risco  de   conversão  para  esclerose  múlOpla       • Caracteriza-­‐se  pela  primeira  manifestação  clínica  suges+va  de   desmielinização  inflamatória  no  SNC,  em  que  o  paciente  apresente   uma  ou  mais  lesões  Mpicas  em  T2  comprovadas  por  exame  de   ressonância  magné+ca  e  inatribuível  a  outras  doenças.     • Para  esses  pacientes,  o  risco  de  desenvolver  EM  varia  de  48%  a  81%,   dependendo  do  número  de  lesões   •  Nesta  situação,  o  paciente  deverá  ser  inves+gado  para  os  diversos   diagnós+cos  diferenciais,  incluindo  outras  doenças  autoimunes  que   acometem  o  SNC,  doenças  paraneoplásicas  e  infecções  crônicas  do   SNC.     • O  diagnós+co  de  acordo  com  os  critérios  de  McDonald     • Existem  evidências  de  que  a  u+lização  de  MMCD,  em  especial  os  de   primeira  linha  de  tratamento,  podem  retardar  a  conversão  da  CIS   (síndrome  clinicamente  isolada)  em  EM.    
  • 100.
    • Uma  vez  que  o  paciente  tenha  o  diagnós+co  de   CIS,     – preconiza  que  o  tratamento  seja  iniciado  apenas  após   a  confirmação  de  EM,  bem  como  que  o  paciente  seja   acompanhado  a  cada  3-­‐6  meses  com  RM  de  crânio  ou   exame  do  líquor  com  banda  oligoclonal,  com  o   obje+vo  de  iden+ficar  o  surgimento  de  novas  lesões   desmielinizantes  ou  lesões  impregnadas  pelo   contraste  que  não  apresentavam  esta  caracterís+ca   antes  ou,  ainda,  o  aumento  das  dimensões  de  lesões   previamente  existentes.   –  Qualquer  das  alterações  descritas  configura  quadro   evolu+vo,  permi+ndo  o  diagnós+co  precoce  de  EM  
  • 101.
    Crianças  e  adolescentes       • A  EM  pode  acometer  crianças  e  adolescentes.   – recomenda-­‐se  que  o  neurologista  solicite  uma   avaliação  para  afastar  leucodistrofias.     • Confirmada  a  doença,  pode-­‐se  tratar  com   –  beta-­‐interferonas,     – fingolimode  (se  o  paciente  +ver  mais  de  10  anos  de   idade)     – ou  gla+râmer.    
  • 102.
    • Inexistem  ensaios  clínicos  que  tenham   incluído  doentes  desta  faixa  etária,  sendo  os   melhores  estudos  de  segurança  do   tratamento  de  crianças  e  adolescentes  as   séries  de  casos  em  que  se  demonstra  bom   perfil  de  segurança.     • A  teriflunomida,  o  fumarato  de  dime+la,  o   natalizumabe  e  o  alentuzumabe  não  estão   aprovados  para  uso  por  menores  de  18  anos  
  • 103.
    GRAVIDEZ   • A  gravidez  não  interfere  nega+vamente  na   progressão  da  esclerose  múl+pla.   • A  gestação  não  é  contraindicada  em  paciente   com  esclerose  múlOpla  e  sabe-­‐se  que  a   gestação  não  piora  nem  acelera  a  doença.     • EM  não  está  relacionada  à  infer+lidade.     – Entretanto,  deve  haver  um  planejamento   adequado  a  fim  de  evitar  riscos  para  mãe  e  o  bebê  
  • 104.
     Gestantes       • Na  gestação,  as  manifestações  clínicas  da   doença  ficam  mais  brandas,  com  redução   relevante  da  taxa  de  surtos  principalmente  no   primeiro  trimestre;   • aumento  da  incidência  de  surtos   imediatamente  após  o  puerpério.    
  • 105.
    • Em  casos  de  evolução  favorável  da  doença  (pontuação   na  EDSS  classificada  como  estável  e  baixo,  baixa  taxa   de  surtos),  preconiza-­‐  se  não  usar  imunomodulador   nem  imunossupressor  por  possuírem  perfil  de   segurança  incerto  na  gestação.   •  A  teriflunomida  é  contraindicada  para  uso  por   gestantes,  assim  como  as  beta-­‐interferonas  1a  de   marca  Rebif®  e  Avonex®   • A  beta-­‐interferona  1a  produzida  pelo  laboratório  Bio-­‐ Manguinhos  é  classificada  na  categoria  de  risco  B  para   gravidez,  e  pode  ser  u+lizada  sob  recomendação   médica  
  • 106.
    • Com  relação  aos  demais  MMCD,  seu  uso  deve  ser   considerado  para  casos  em  que  a  evolução  clínica  da   doença  se  mostra  desfavorável,  de  forma  que  os   benencios  do  tratamento  para  a  mãe  superem  o  risco   para  o  feto.     • As  evidências  indicam  não  haver  diferença  entre  mães   expostas  ou  não  expostas  a  MMCD  (IFN-­‐b,  gla+râmer  e   natalizumabe)  para  a  incidência  dos  desfechos  de   morte  fetal,  aborto  espontâneo,  aborto  induzido,   anomalias  congênitas,  nascimentos  prematuros  e   número  de  nascidos  vivos.    
  • 107.
    • foram  iden+ficados  mais  casos  de  abortos   induzidos  entre  mães  expostas  ao  gla+râmer   durante  a  gestação,  compara+vamente  as  não   expostas.   •  Evidências  sobre  a  segurança  do  uso  de   fingolimode,  fumarato  de  dime+la  e   alentuzumabe  em  mulheres  grávidas  não   foram  iden+ficadas  
  • 108.
    • Há  dúvidas  acerca  dos  riscos  de  amamentar,  e  os   dados  disponíveis  na  literatura  sobre  o  assunto  são   escassos.   •  A  beta-­‐interferona  1a  produzida  pelo  laboratório  Bio-­‐ Manguinhos  relata  em  sua  bula  que,  embora  os  dados   da  literatura  sobre  a  transferência  de  beta-­‐interferona   1a  para  o  leite  materno  sejam  limitados,  o  benencio  e   o  risco  potencial  da  amamentação  devem  ser   considerados  juntamente  com  a  necessidade   terapêu+ca  da  mãe  com  o  uso  de  beta-­‐interferona-­‐  1a.     • Quanto  aos  demais  MMCD,  preconiza-­‐se  não   amamentar  durante  o  tratamento  medicamentoso.