A radiação  na medicina
A descoberta do Raio - X Começou incidentalmente com  Röntgen  e a Ampola de Crookes.
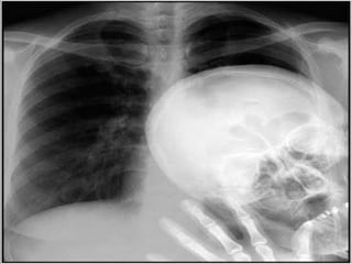
Wilhelm   Conrad   Röntgen  faz a primeira radiografia da história e até os dias atuais é considerado o pai da Radiologia de Diagnóstico. Röntgen pede para sua esposa pôr a mão entre o dispositivo e o papel fotográfico,a foto revela a estrutura  óssea  interna da  mão  humana, com todas as suas formações ósseas.
A descoberta da primeira chapa de raio-X foi feita em 8 de Novembro de 1895. Em 1896,Wilhelm descobriu que ele, sem proteção, causava vermelhidão em sua pele, ulcerações e empolamento. Em 1923,aos 78 anos Wilhelm morre por contaminação da radioatividade,por ficar muitos anos exposto à radiação.
Ciclos por segundo do raio X: 300 PHz a 60 EHz Comprimento de onda do raio X: 1 nm a 5  pm Com finalidades terapêuticas os raios X são utilizados com uma irradiação aproximada de cinco a sete mil  Rads , sobre pequenas áreas do corpo, por pequeno período de tempo. No  Brasil , os raios X do pulmão para fins diagnósticos de tuberculose pulmonar são chamados de  abreugrafia , que se trata de uma incidência sobre uma pequena área do pulmão.
 
A radioterapia é destinada especificamente ao tratamento de câncer. As células da mucosa intestinal,são particularmente sensíveis à radiação, fazendo com que os pacientes sofram de náuseas e vômitos. Hoje em dia a radioatividade é utilizada sob três formas básicas:  1-Uso da energia do núcleo do átomo;  2-Uso das radiações que têm a capacidade de atravessar a matéria e velar filmes(raios X); 3-Uso da capacidade(Radioterapia ou esterilização de material médico).
Atualmente técnicas mais modernas acoplam o raio-X ao computador como a tomografia computadorizada (CT). Outra técnica muito empregada é tomografia de emissão positrônica (PET). Varreduras por PET computadorizadas são capazes de detectar pequenas anomalias cerebrais.
Resultado de uma análise do coração feita pela  PET.
Os danos causados pelo uso inadequado da técnica de Raio-X ao organismo humano podem ser irreversíveis. A tolerância do organismo humano à exposição aos raios X é de 0,1  röntgen  por dia no máximo em toda a superfície corpórea. A radiação de um röntgen produz em 1,938 x- ³ gramas de ar, a liberação por ionização, de uma carga elétrica de 3,33 x 10-³C.
No ser humano a exposição contínua aos raios X podem causar vermelhidão da pele, queimaduras por raios x ou em casos mais graves de exposição, mutações do DNA, morte das  células  e/ou  leucemia . Quando é localizada sobre determinado órgão, pode destruí-lo ou lesá-lo.
A utilização de sistemas de rádio-proteção, como luvas e óculos de vidro plumbífero são fundamentais. Painéis e portas com miolo de chumbo, metal indispensável, são obrigatórios em todos os locais onde se trabalhe com radiação. É obrigatório manter mais ou menos 2,5m de distância ,o radiologista do paciente.
 
 
 
 
Duas das primeiras máquinas criadas de raio X.
Algumas máquinas mais modernas.
 
 
Bibliografia: IMAGENS: *Google ( www.google.com.br ) CONTEÚDO: *Google ( www.google.com.br ) *Wikipédia ( www.wikipédia.com.br )
Identificação Grupo 3: Augusto,Carlos,Daniel,Lucas e Tainara Turma:22 Disciplina:Química/Física Professor(a):Daniel Raber Data:30/10/09

A RadiaçãO Na Medicina

  • 1.
    A radiação na medicina
  • 2.
    A descoberta doRaio - X Começou incidentalmente com Röntgen e a Ampola de Crookes.
  • 3.
    Wilhelm Conrad Röntgen faz a primeira radiografia da história e até os dias atuais é considerado o pai da Radiologia de Diagnóstico. Röntgen pede para sua esposa pôr a mão entre o dispositivo e o papel fotográfico,a foto revela a estrutura óssea interna da mão humana, com todas as suas formações ósseas.
  • 4.
    A descoberta daprimeira chapa de raio-X foi feita em 8 de Novembro de 1895. Em 1896,Wilhelm descobriu que ele, sem proteção, causava vermelhidão em sua pele, ulcerações e empolamento. Em 1923,aos 78 anos Wilhelm morre por contaminação da radioatividade,por ficar muitos anos exposto à radiação.
  • 5.
    Ciclos por segundodo raio X: 300 PHz a 60 EHz Comprimento de onda do raio X: 1 nm a 5 pm Com finalidades terapêuticas os raios X são utilizados com uma irradiação aproximada de cinco a sete mil Rads , sobre pequenas áreas do corpo, por pequeno período de tempo. No Brasil , os raios X do pulmão para fins diagnósticos de tuberculose pulmonar são chamados de abreugrafia , que se trata de uma incidência sobre uma pequena área do pulmão.
  • 6.
  • 7.
    A radioterapia édestinada especificamente ao tratamento de câncer. As células da mucosa intestinal,são particularmente sensíveis à radiação, fazendo com que os pacientes sofram de náuseas e vômitos. Hoje em dia a radioatividade é utilizada sob três formas básicas: 1-Uso da energia do núcleo do átomo; 2-Uso das radiações que têm a capacidade de atravessar a matéria e velar filmes(raios X); 3-Uso da capacidade(Radioterapia ou esterilização de material médico).
  • 8.
    Atualmente técnicas maismodernas acoplam o raio-X ao computador como a tomografia computadorizada (CT). Outra técnica muito empregada é tomografia de emissão positrônica (PET). Varreduras por PET computadorizadas são capazes de detectar pequenas anomalias cerebrais.
  • 9.
    Resultado de umaanálise do coração feita pela PET.
  • 10.
    Os danos causadospelo uso inadequado da técnica de Raio-X ao organismo humano podem ser irreversíveis. A tolerância do organismo humano à exposição aos raios X é de 0,1 röntgen por dia no máximo em toda a superfície corpórea. A radiação de um röntgen produz em 1,938 x- ³ gramas de ar, a liberação por ionização, de uma carga elétrica de 3,33 x 10-³C.
  • 11.
    No ser humanoa exposição contínua aos raios X podem causar vermelhidão da pele, queimaduras por raios x ou em casos mais graves de exposição, mutações do DNA, morte das células e/ou leucemia . Quando é localizada sobre determinado órgão, pode destruí-lo ou lesá-lo.
  • 12.
    A utilização desistemas de rádio-proteção, como luvas e óculos de vidro plumbífero são fundamentais. Painéis e portas com miolo de chumbo, metal indispensável, são obrigatórios em todos os locais onde se trabalhe com radiação. É obrigatório manter mais ou menos 2,5m de distância ,o radiologista do paciente.
  • 13.
  • 14.
  • 15.
  • 16.
  • 17.
    Duas das primeirasmáquinas criadas de raio X.
  • 18.
  • 19.
  • 20.
  • 21.
    Bibliografia: IMAGENS: *Google( www.google.com.br ) CONTEÚDO: *Google ( www.google.com.br ) *Wikipédia ( www.wikipédia.com.br )
  • 22.
    Identificação Grupo 3:Augusto,Carlos,Daniel,Lucas e Tainara Turma:22 Disciplina:Química/Física Professor(a):Daniel Raber Data:30/10/09