Gota
Matheus Gomes Giacomini
Graduação em Medicina pela Faculdade de Medicina de São José do Rio Preto (FAMERP)
Residência médica em Clínica Médica e Reumatologia pela Faculdade de Medicina de São José do Rio Preto (FAMERP)
Título de Especialista e membro da Sociedade Brasileira de Reumatologia (SBR)
E-mail: matheusggiacomini@hotmail.com
 Artropatia inflamatória mais comum (afeta até 5% da população)
 Formação e deposição de cristais de monourato de sódio nos tecidos
devido hiperuricemia crônica
 Homens mais acometidos que as mulheres (7 a 9:1)
*** aumento da prevalências nas mulheres após a menopausa: efeito
uricosúrico do estrogênio
 Outros fatores de risco:
- Obesidade: maior produção de purinas e menor excreção de ácido úrico
- Dieta: maior ingestão de purinas, frutose e álcool
- Fármacos que diminuem a excreção renal: diuréticos (principalmente
tiazídicos) / ciclosporina e tacrolimus / AAS em doses baixas
 Deposição nos tecidos: concentrações plasmáticas > 6,8mg/dL
(influenciado por temperatura e pH)
 Hiperuricemia pode ocorrer por aumento da produção de ácido úrico,
hipoexcreção (principal - renal), ou ambos
 Ácido úrico: vem da degradação das purinas (ácidos nucleicos) e, em
menor quantidade, da dieta
 Xantina oxidase: principal enzima no metabolismo do ácido úrico
(hipoxantina  xantina  ácido úrico)
 Aumento na produção de ácido úrico: doenças que aumentem o
turnover celular / obesos
 Excreção ácido úrico: principalmente renal (100% filtrado, porém 90%
reabsorvido), e em menor grau via intestinal
- fatores genéticos / medicamentos que diminuem excreção
 Dieta:
- álcool: aumenta a produção e diminui excreção
- frutose: aumenta a produção
- Alimentos ricos em purinas de origem animal / frutos do mar
 Quatro estágios clínicos/fisiopatológicos:
- Hiperuricemia assintomática (pode nunca desenvolver gota)
- Gota (artrite gotosa aguda)
- Período intercrítico
- Gota crônica avançada (tofos / artrite crônica / alterações radiográficas)
 Gota: primeiros episódios de artrite geralmente entre 30-50 anos
- Geralmente monoartrite de MMII
- Sinais inflamatórios exuberantes
- Pode haver febre e aumento de provas inflamatórias
- Fagocitose dos cristais por macrófagos  produção de citocinas pró-
inflamatórias (principalmente IL-1B)
- Quadro agudo e auto-limitado (com ou sem tratamento): 5-10 dias
- Sem o tratamento adequado  quadros poliarticulares, também
acometimento de MMSS
 Período intercrítico: paciente assintomático
- Se não houver tratamento adequado  período intercrítico cada vez mais
curto
 Gota tofácea crônica: tofos / artrite crônica / alterações radiológicas
 Outras manifestações
- Rim:
. Cálculos renais
. Nefropatia crônica por urato (túbulo-intersticial)
. Lise tumoral  obstrução tubular  IRA
- Risco cardiovascular / síndrome metabólica
 Diagnóstico
- Monoartrite: punção articular!!! (artrocentese)
- Clínico + análise de líquidos sinovial ou de bursa  microscopia de luz
polarizada  cristais em formato de agulha, com birrefringência negativa
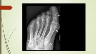
- Radiografia: lesão em saca-bocado
- USG: sinal do duplo contorno
 Tratamento: 3 fases
*** Controle das comorbidades e mudanças no estilo de vida!!!
- Limitar ingesta de álcool, de purinas e frutose
- Perda de peso
- Controle dos demais fatores de risco CV
- Se possível substituir medicações hiperuricemiantes (por exemplo, evitar
tiazídicos, usar losartana)
1) Artrite gotosa
- Crioterapia
- AINEs / GCs (intra-articulares ou sistêmicos) / colchicina em dose baixa
(duração 7-10 dias)
- Quadros refratários ou com CI à outras terapias: anti-IL1B
2) Tratamento profilático para novas crises: uso por pelo menos 3-6 meses
após atingir alvo de ácido úrico sérico e sem novas crises de gota
- Colchicina em dose baixa
- AINEs
- GCs em dose baixa
3) Tratamento hipouricemiante: alvo geral <6mg/dL
- Para quem? (com gota estabelecida – já terá apresentado artrite!):
. Tofos
. Evidência de dano radiográfico (saca bocado)
. Crises frequentes (2x ou mais ao ano) – possibilidade de já iniciar após
segundo episódio, independente da frequência
. Poder ser iniciado após primeira crise e: DRC estágio 3/4/5; uricemia >9;
urolitíase
*** hiperuricemia assintomática em paciente com alto risco cardiovascular 
avaliação caso a caso, porém sem evidência forte para tratamento
- Qual o momento para iniciar?
. Hoje já existe a possibilidade de iniciar tratamento hipouricemiante durante
a crise de gota (melhora adesão?) – no geral ainda se inicia após cessar a
crise
- Qual medicação?
. Primeira escolha: alopurinol (inibidor da XO), iniciando em doses baixas
(cuidado com a sd de hipersensibilidade ao alopurinol!!!)
. Segunda escolha (poderá ser acrescentado ao inibidor de XO): uricosúricos
(benzobromarona)
*** CI relativa: nefrolitíase
 Referências bibliográficas
- Reumatologia: Diagnostico e Tratamento – 5ª Edição – Carvalho M A P,
Lanna C C D, Bertolo M B, Ferreira G A
- Livro da Sociedade Brasileira de Reumatologia – 3ª Edição
- Manual de Reumatologia – Unifesp – 2ª Edição
- 2020 ACR guideline for the manegement of gout

Slide 7- Aula Gota 1 semestre modulo dois

  • 1.
    Gota Matheus Gomes Giacomini Graduaçãoem Medicina pela Faculdade de Medicina de São José do Rio Preto (FAMERP) Residência médica em Clínica Médica e Reumatologia pela Faculdade de Medicina de São José do Rio Preto (FAMERP) Título de Especialista e membro da Sociedade Brasileira de Reumatologia (SBR) E-mail: matheusggiacomini@hotmail.com
  • 2.
     Artropatia inflamatóriamais comum (afeta até 5% da população)  Formação e deposição de cristais de monourato de sódio nos tecidos devido hiperuricemia crônica  Homens mais acometidos que as mulheres (7 a 9:1) *** aumento da prevalências nas mulheres após a menopausa: efeito uricosúrico do estrogênio
  • 3.
     Outros fatoresde risco: - Obesidade: maior produção de purinas e menor excreção de ácido úrico - Dieta: maior ingestão de purinas, frutose e álcool - Fármacos que diminuem a excreção renal: diuréticos (principalmente tiazídicos) / ciclosporina e tacrolimus / AAS em doses baixas  Deposição nos tecidos: concentrações plasmáticas > 6,8mg/dL (influenciado por temperatura e pH)
  • 4.
     Hiperuricemia podeocorrer por aumento da produção de ácido úrico, hipoexcreção (principal - renal), ou ambos  Ácido úrico: vem da degradação das purinas (ácidos nucleicos) e, em menor quantidade, da dieta  Xantina oxidase: principal enzima no metabolismo do ácido úrico (hipoxantina  xantina  ácido úrico)
  • 5.
     Aumento naprodução de ácido úrico: doenças que aumentem o turnover celular / obesos  Excreção ácido úrico: principalmente renal (100% filtrado, porém 90% reabsorvido), e em menor grau via intestinal - fatores genéticos / medicamentos que diminuem excreção
  • 6.
     Dieta: - álcool:aumenta a produção e diminui excreção - frutose: aumenta a produção - Alimentos ricos em purinas de origem animal / frutos do mar
  • 7.
     Quatro estágiosclínicos/fisiopatológicos: - Hiperuricemia assintomática (pode nunca desenvolver gota) - Gota (artrite gotosa aguda) - Período intercrítico - Gota crônica avançada (tofos / artrite crônica / alterações radiográficas)
  • 8.
     Gota: primeirosepisódios de artrite geralmente entre 30-50 anos - Geralmente monoartrite de MMII - Sinais inflamatórios exuberantes - Pode haver febre e aumento de provas inflamatórias - Fagocitose dos cristais por macrófagos  produção de citocinas pró- inflamatórias (principalmente IL-1B) - Quadro agudo e auto-limitado (com ou sem tratamento): 5-10 dias - Sem o tratamento adequado  quadros poliarticulares, também acometimento de MMSS
  • 10.
     Período intercrítico:paciente assintomático - Se não houver tratamento adequado  período intercrítico cada vez mais curto  Gota tofácea crônica: tofos / artrite crônica / alterações radiológicas
  • 13.
     Outras manifestações -Rim: . Cálculos renais . Nefropatia crônica por urato (túbulo-intersticial) . Lise tumoral  obstrução tubular  IRA - Risco cardiovascular / síndrome metabólica
  • 14.
     Diagnóstico - Monoartrite:punção articular!!! (artrocentese) - Clínico + análise de líquidos sinovial ou de bursa  microscopia de luz polarizada  cristais em formato de agulha, com birrefringência negativa - Radiografia: lesão em saca-bocado - USG: sinal do duplo contorno
  • 17.
     Tratamento: 3fases *** Controle das comorbidades e mudanças no estilo de vida!!! - Limitar ingesta de álcool, de purinas e frutose - Perda de peso - Controle dos demais fatores de risco CV - Se possível substituir medicações hiperuricemiantes (por exemplo, evitar tiazídicos, usar losartana) 1) Artrite gotosa - Crioterapia - AINEs / GCs (intra-articulares ou sistêmicos) / colchicina em dose baixa (duração 7-10 dias) - Quadros refratários ou com CI à outras terapias: anti-IL1B
  • 18.
    2) Tratamento profiláticopara novas crises: uso por pelo menos 3-6 meses após atingir alvo de ácido úrico sérico e sem novas crises de gota - Colchicina em dose baixa - AINEs - GCs em dose baixa
  • 19.
    3) Tratamento hipouricemiante:alvo geral <6mg/dL - Para quem? (com gota estabelecida – já terá apresentado artrite!): . Tofos . Evidência de dano radiográfico (saca bocado) . Crises frequentes (2x ou mais ao ano) – possibilidade de já iniciar após segundo episódio, independente da frequência . Poder ser iniciado após primeira crise e: DRC estágio 3/4/5; uricemia >9; urolitíase *** hiperuricemia assintomática em paciente com alto risco cardiovascular  avaliação caso a caso, porém sem evidência forte para tratamento
  • 20.
    - Qual omomento para iniciar? . Hoje já existe a possibilidade de iniciar tratamento hipouricemiante durante a crise de gota (melhora adesão?) – no geral ainda se inicia após cessar a crise - Qual medicação? . Primeira escolha: alopurinol (inibidor da XO), iniciando em doses baixas (cuidado com a sd de hipersensibilidade ao alopurinol!!!) . Segunda escolha (poderá ser acrescentado ao inibidor de XO): uricosúricos (benzobromarona) *** CI relativa: nefrolitíase
  • 21.
     Referências bibliográficas -Reumatologia: Diagnostico e Tratamento – 5ª Edição – Carvalho M A P, Lanna C C D, Bertolo M B, Ferreira G A - Livro da Sociedade Brasileira de Reumatologia – 3ª Edição - Manual de Reumatologia – Unifesp – 2ª Edição - 2020 ACR guideline for the manegement of gout