

 Nicotina (vicia)
 Alcatrão (usado nas estradas)
 Monóxido de carbono;
 Substâncias radioactivas;
 Metais pesados.

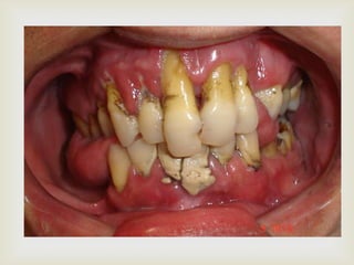
 A doença mais vulgar associada ao consumo do tabaco:
cancro (pulmões, laringe, faringe, boca, …)

 Problemas respiratórios:




“O fumo do cigarro é absorvida por
combustão, o que aumenta ainda mais
os males da sua composição",
diz Valéria Cunha de Oliveira,

bronquites crónicas
enfisemas
constipações.
O cigarro pode causar cerca de 50
doenças diferentes, especialmente
problemas ligados ao coração e à
circulação, cânceres de vários tipos e
doenças respiratórias. técnica da divisão
de tabagismo do Instituto Nacional do
Câncer (Inca), no Rio de Janeiro. Parece
papo de ex-fumante, mas é a pura
verdade: em cada tragada são inaladas 4
700 substâncias tóxicas. Entre elas, três
são consideradas as piores.



A primeira é a nicotina, que provoca
dependência e chega ao cérebro mais
rápido que a temida cocaína, estando
associada aos problemas cardíacos e
vasculares (de circulação sanguínea)
O cigarro prejudica:

Os pulmões!

 Separamos aqui, somente algumas das
consequências que o cigarro pode causar, existem
muito mais. Logo abaixo, você verá os Benefícios de
quem para de fumar.
Os Componentes

VICIADO EM
CIGARRO!


Oque Faz o cigarro

MAU HALITO!

NÃO FUME !

 Prejudica a sua saúde

 Tenha cuidado

Trabalho realizado por:
 Gerson Santos Nº9
 Fábio Lopes Nº7
 Daniel Maciel Nº6

Grupo 3 Daniel Fábio Gerson

  • 1.
  • 2.
      Nicotina (vicia) Alcatrão (usado nas estradas)  Monóxido de carbono;  Substâncias radioactivas;  Metais pesados.
  • 3.
      A doençamais vulgar associada ao consumo do tabaco: cancro (pulmões, laringe, faringe, boca, …)  Problemas respiratórios:    “O fumo do cigarro é absorvida por combustão, o que aumenta ainda mais os males da sua composição", diz Valéria Cunha de Oliveira, bronquites crónicas enfisemas constipações.
  • 4.
    O cigarro podecausar cerca de 50 doenças diferentes, especialmente problemas ligados ao coração e à circulação, cânceres de vários tipos e doenças respiratórias. técnica da divisão de tabagismo do Instituto Nacional do Câncer (Inca), no Rio de Janeiro. Parece papo de ex-fumante, mas é a pura verdade: em cada tragada são inaladas 4 700 substâncias tóxicas. Entre elas, três são consideradas as piores.  A primeira é a nicotina, que provoca dependência e chega ao cérebro mais rápido que a temida cocaína, estando associada aos problemas cardíacos e vasculares (de circulação sanguínea)
  • 5.
  • 6.
    Os pulmões!   Separamosaqui, somente algumas das consequências que o cigarro pode causar, existem muito mais. Logo abaixo, você verá os Benefícios de quem para de fumar.
  • 7.
  • 8.
  • 9.
  • 10.
    Oque Faz ocigarro 
  • 11.
  • 12.
    NÃO FUME !  Prejudica a sua saúde  Tenha cuidado
  • 13.
     Trabalho realizado por: Gerson Santos Nº9  Fábio Lopes Nº7  Daniel Maciel Nº6