Epidemiologia
• M:F = 3:1
• Pico de incidência entre 30 e 44 anos de idade
• Caucasianos têm prevalência três vezes maior em comparação com outras raças
• Mais comum em climas frios e áridos e áreas rurais
• Frequência de cerca de 22,7 por 100.000 habitantes (intervalo de confiança de 95%, 12,4 - 36,0)
(Gastroenterology 2018;154:319)
Topografia
• Pode afetar difusamente o tubo esofagiano
Fisiopatologia
• Eosinófilos são recrutados via quimiotaxia e agem como apresentadores de antígeno (APCs) recrutando
linfócitos e mastócitos. (Arch Pediatr 2019;26:182)
• Eosinófilos degranulam peroxidases (EPO), dentre outros, causando dano celular e dismotilidade. (Arch Pediatr
2019;26:182)
•Os sintomas estão mais correlatos a concentração de EPO do que o número de eosinófilos (Arch Pediatr 2019;26:182)
•Eosinófilos ativados produzem Fator de Crescimento (TGF-β) que promove remodelamento e fibrose.(Med Clin
North Am 2019;103:29)
Etiologia
•Ambiental
• Alergenos alimentares
• Mais comum incluem leite, soja, ovo, amendoim/nozes, peixe e mariscos (World J Gastroenterol 2019;25:4598)
• Hipótese da higiene e disbiose:
• Pouca exposição bacteriana e alterações na microbiota, alterariam a permeabilidade (World J Gastroenterol
2019;25:4598)
• Doença do refluxo gastroesofágico leva ao aumento da permeabilidade e exposição a epítopos
alimentares
• Uso de Inibidor de Bomba de Prótons
• Redução da secreção ácida reduz a atividade enzimática.
• Exposição mucosa a proteínas não clivadas acentuam resposta imune (World J Gastroenterol 2019;25:4598)
•Genética
• Múltiplos genes mostraram aumentar o risco de desenvolvimento de doenças atópicas, incluindo
esofagite eosinofílica e asma. (STAT6, CCL26...)
Achados endoscópicos
• O diagnóstico é clínico patológico e devem sem considerados em conjunto.
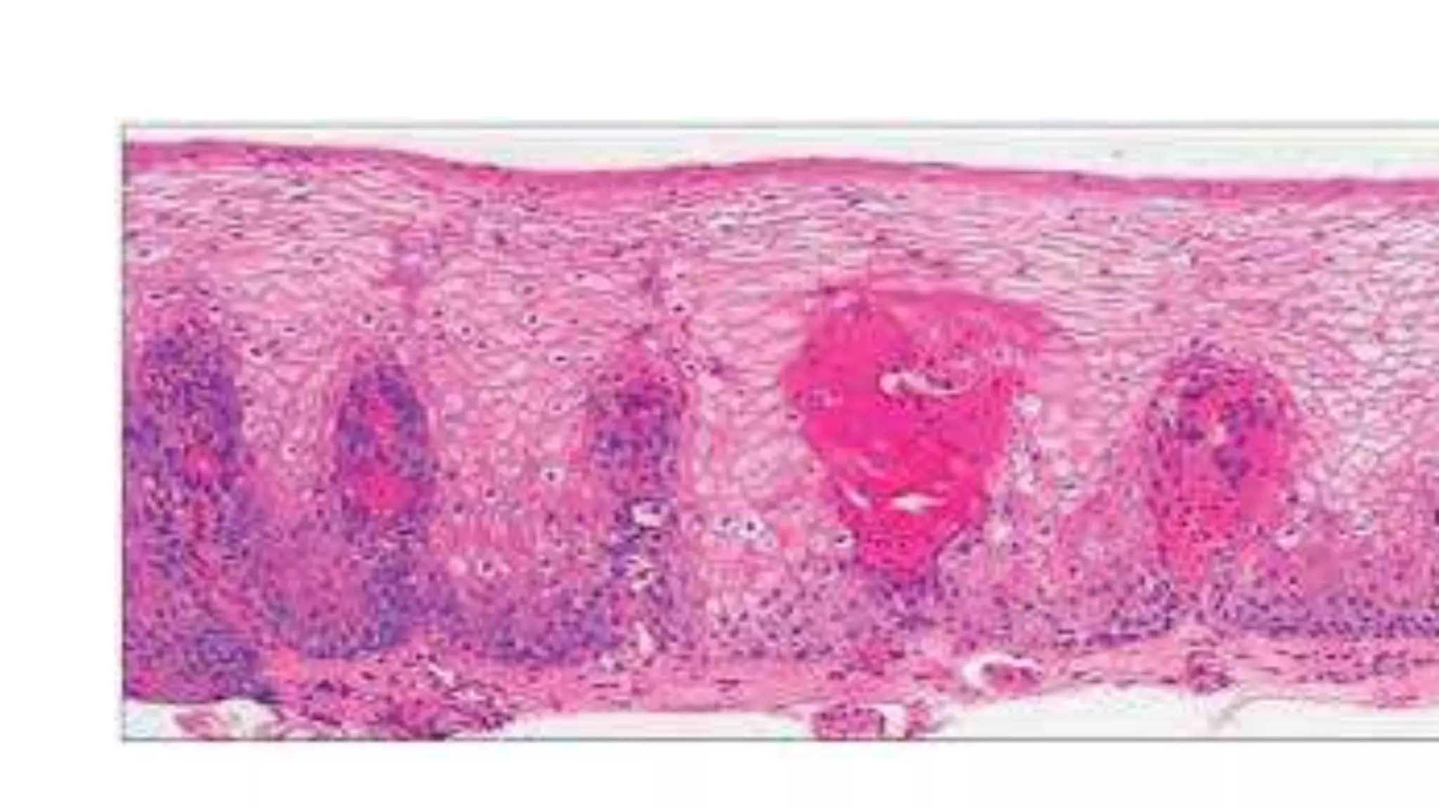
• Os achados mais comuns são:
• Critérios maiores: edema da mucosa, exsudato branco, sulcos longitudinais, anéis esofágicos
circulares (também chamados de pseudotraqueia), estenose esofágica (Gut 2013;62:489)
• Critérios menores: esôfago felino (anéis mucosos concêntricos observados com alguns tipos
de motilidade que desaparecem com a insuflação de ar), esôfago de calibre estreito, esôfago
de papel crepom, laceração ou fragilidade da mucosa com passagem de instrumentos antes
da dilatação
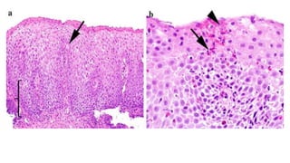
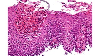
• Critérios Menores:
• Hiperplasia extrema da zona basal com
hiperplasia papilar
• Eosinófilos concentrados no epitélio superficial
em oposição à base
• Microabscessos eosinofílicos
• Megranulação eosinófila
• Descamação superficial
• Fibrose da lâmina própria
• Critério Maior
• ≥ 15 eosinófilos por campo de
grande aumento (ampliação de 40x)
no contexto clínico adequado
Dúvidas?

Esofagite eosinofílica.pptx

  • 2.
    Epidemiologia • M:F =3:1 • Pico de incidência entre 30 e 44 anos de idade • Caucasianos têm prevalência três vezes maior em comparação com outras raças • Mais comum em climas frios e áridos e áreas rurais • Frequência de cerca de 22,7 por 100.000 habitantes (intervalo de confiança de 95%, 12,4 - 36,0) (Gastroenterology 2018;154:319)
  • 3.
    Topografia • Pode afetardifusamente o tubo esofagiano
  • 4.
    Fisiopatologia • Eosinófilos sãorecrutados via quimiotaxia e agem como apresentadores de antígeno (APCs) recrutando linfócitos e mastócitos. (Arch Pediatr 2019;26:182) • Eosinófilos degranulam peroxidases (EPO), dentre outros, causando dano celular e dismotilidade. (Arch Pediatr 2019;26:182) •Os sintomas estão mais correlatos a concentração de EPO do que o número de eosinófilos (Arch Pediatr 2019;26:182) •Eosinófilos ativados produzem Fator de Crescimento (TGF-β) que promove remodelamento e fibrose.(Med Clin North Am 2019;103:29)
  • 5.
    Etiologia •Ambiental • Alergenos alimentares •Mais comum incluem leite, soja, ovo, amendoim/nozes, peixe e mariscos (World J Gastroenterol 2019;25:4598) • Hipótese da higiene e disbiose: • Pouca exposição bacteriana e alterações na microbiota, alterariam a permeabilidade (World J Gastroenterol 2019;25:4598) • Doença do refluxo gastroesofágico leva ao aumento da permeabilidade e exposição a epítopos alimentares • Uso de Inibidor de Bomba de Prótons • Redução da secreção ácida reduz a atividade enzimática. • Exposição mucosa a proteínas não clivadas acentuam resposta imune (World J Gastroenterol 2019;25:4598) •Genética • Múltiplos genes mostraram aumentar o risco de desenvolvimento de doenças atópicas, incluindo esofagite eosinofílica e asma. (STAT6, CCL26...)
  • 6.
    Achados endoscópicos • Odiagnóstico é clínico patológico e devem sem considerados em conjunto. • Os achados mais comuns são: • Critérios maiores: edema da mucosa, exsudato branco, sulcos longitudinais, anéis esofágicos circulares (também chamados de pseudotraqueia), estenose esofágica (Gut 2013;62:489) • Critérios menores: esôfago felino (anéis mucosos concêntricos observados com alguns tipos de motilidade que desaparecem com a insuflação de ar), esôfago de calibre estreito, esôfago de papel crepom, laceração ou fragilidade da mucosa com passagem de instrumentos antes da dilatação
  • 9.
    • Critérios Menores: •Hiperplasia extrema da zona basal com hiperplasia papilar • Eosinófilos concentrados no epitélio superficial em oposição à base • Microabscessos eosinofílicos • Megranulação eosinófila • Descamação superficial • Fibrose da lâmina própria • Critério Maior • ≥ 15 eosinófilos por campo de grande aumento (ampliação de 40x) no contexto clínico adequado
  • 10.