Reino Protista
os “protozoários”
Reino Protista
os “protozoários”
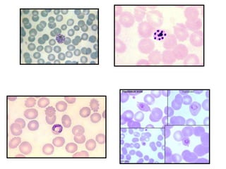
Leeuwenhoek
Protozoans
Protozoários
• Descobertos em 1674
• “Originalmente animaes” Goldfuss 1817
• Síntese moderna: células comparáveis a
animais individualmente ecologica e
evolucionariamente
4
3
2
1
0
-1
-2
-3
-4
-5
-6
log cm
1 cm
1 mm
1 µm
vertebrados
Célula vermelha
virus
procariotos
protozoários
hip: tamanho mínimo de
uma célula eucariota?
Tamanho relativo dos Protozoários
• a maioria tem pelo menos 1 mitocondria
• 100 - 1000 x como muito DNA
1 m
Protozoa – Classificação “tradicional”
•16 filos, polifiletico, 38.000 spp.,
• Espécie tipo - Paramecium aurelia complexo 14 spp.
Eucarioto “primitivo”? Pelomyxa palustris
• sem mitocondria - duas bacterias aeróbicas
simbiontes
• Resposta para aumentar O2?
Caracteristicas dos Protistas
Triploblasticos
Cefalização
Nível de Organização de órgãos
Eucelomados
Deuterostômios
Reino Protista
Unicelular, alguns coloniais, alguns com etapas de
vida multicelulares
Microscópicos
Sem camadas embrionárias
Todos os tipos de simetria
Simetria radial
Assimetrica Simetria bilateral
Reino Protista
Estruturas & Organelas
Membrana celular = Membrana plasmática
Citoplasma (protoplasma):
ectoplasma = região semi-sólida exterior
Endoplasma = região fluida interna (granular)
Núcleo:
*Macronúcleo = núcleo grande controla
atividades metabólicas
*Micronúcleo = núcleo pequeno envolvido
em atividades reprodutivas
* Nem todos os protistas têm os dois tipos de núcleo
Reino Protista
Conchas e Esqueletos:
• Concha nua
• Concha segregada composta de material orgânico e inorgânico
(i.e. CaCO3, SiO2)
• concha composta de pequenas partículas aderidas todas juntas
Reino Protista
Estruturas & Organelas
Todos os tipos de nutrição/alimentação
1. Autotrófico:
• capaz de fabricar seu próprio alimento
• têm cloroplastos para fotossíntese
2. Heterotrófico:
• incapaz de fabricar seu próprio alimento, tem
de ingerir material orgânico pré-formado
• saprozóicos ou osmotróficos - implica pinocitose
• holozóicos ou fagotrofos - implica fagocitose
• fagossoma ou vacúolo digestivo
• Citóstoma
• citopigio ou citoprocto
Reino Protista
Alimentação:
• Fagocitose
Vacúolo digestivo
- Cavidade digestiva intracelular
Reino Protista
Todos os tipos de nutrição/alimentação
MOVIMENTO AMEBOIDE
• Emissão de pseudópodes
– locomoção
– captura de alimento por fagocitose
Alimentação:
• Fagocitose
Reino Protista
Todos os tipos de nutrição/alimentação
Alimentação:
• Entrada de comida pelo citóstoma (“boca” celular)
• Desperdício eliminado pelo citoprócto (“ânus”
celular)
citoprocta
citóstoma
Reino Protista
Todos os tipos de nutrição/alimentação
Osmoregulação & Excreção
Vacúolos Contráteis:
• envolvido na regulação da água
• elimina o excesso de água para for a do citoplasma
Excreção é via difusão
Reino Protista
Filtradores
Locomoção
Pseudópodes
“falso” “pé”
Flagelos
Cílios
Fluido citoplasmático
Reino Protista
Locomoção
Reino Protista
• Locomoção por cílios, flagelos
– Sem diferença morfológica (undilopódios)
– Diferem em movimentos
– axonema 9+2
– Requer ATP
Locomoção
Reino Protista
• Locomoção por pseudópodos
– Baseado em características do citoplasma
– Tipos distintos
• lobopodios
• filopodios
• reticulopodios
• axopodios
• Alguns
– são sésseis
• De hábitats aquáticos ou terrestres
• Reprodução assexual por fissião, gemação; cistos
– fissão binária
• longitudinal
• transversal
– fissão múltipla
• esquizogonia
• esporogonia
Reino Protista
Reprodução Assexual
“fissão”:
• quando um individuo se divide
em 2 indivíduos idênticos, é
chamado “fissão binária”
• se > 2 progenia, isto é
chamado “fissão multipla”
• quando uns brotos individuais
menores, ocorrerem fora do pai
maior, é chamado “brotamento"
Reino Protista
Reprodução Sexual
• Conjugação = quando 2 indivíduos trocam micronúcleos
resultando na mistura genético e “novos” genótipos
4 filhas (geneticamente
diferente dos pais)
Troca de
micronúcleos
- Fusão do micronúcleo trocado
- degeneração do micronúcleo antigo
Reino Protista
• Singamia = fusão de gametas masculinos e femininos
(células haplóides)
• Autogamia = quando 1 indivíduo sofre reorganização
genética e produz filhas que são geneticamente
diferentes
Reprodução Sexual
Reino Protista
• Osmorreguladores com vacúolos contráteis;
osmoconformes;
• Excreção por difusão; amoníaco;
• Trocas de gases através da superfície do corpo;
• Circulação por movimentos do citoplasma;
Reino Protista
Regulação osmótica nos animais
aquáticos
• Osmoconformes
em equilíbrio osmótico com o
ambiente
– estenohalino – toleram
amplitude limitada de
salinidade
• Osmoreguladores
não estão em equilíbrio
osmótico com o ambiente
– eurihalino – toleram uma
amplitude ampla de salinidade
• Osmoreguladores
– hiperosmótico
• fluidos corporais máis
concentrados que na
água que os rodeia;
– hiposmótico
• fluidos corporais menos
concentrados que na
água que os rodeia;
• Perda de água
– evaporação; excreção; fezes
• Reposição de água
– bebida; comida; água metabólica
• Excreção – disponibilidade de água
– amoníaco
– uréia
– ácido úrico
Regulação osmótica nos animais
aquáticos
Filo Sarcomastigophora
Subfilo Sarcodina
Subfilo Mastigophora
Filo Ciliophora
Filo Sporozoa (Apicomplexa)
Reino Protista
Filo Chlorophyta
Filo Retortamonada
Filo Axostilata
Filo Euglenozoa
Subfilo Euglenida
Subfilo Kinetoplasta
Filo Apicomplexa
Filo Ciliophora
Filo Dinoflagellata
As amebas
Reino Protista
Filo Chlorophyta
• Algas unicelulares e multicelulares
• Autótrofos; clorofilas a e c
• Amido como reserva de alimento
• Com etapas biflageladas; flagelos do
mesmo tamanho
• Volvox, Chlamydomonas, Gonium
Exemplos de Chlorophyta
Ciclo de vida de Volvox
Filo Retortamonada
• Sem mitocondrias, nem corpusculos de
Golgi
• 3 flagelos anteriores e 1 flagelo
recorrente
• Parasitas intestinais ou de vida livre em
ambientes sem oxigênio
• Giardia lamblia
• Alguns flagelados são parasitas sérios
•Giardia é um parasita intestinal que normalmente
infecta viajantes
Giardia
Filo Axostylata
• Com axóstilo ao largo do eixo longitudinal
do corpo
• Sem mitocondrias; com corpusculo de
Golgi
• Parasitos; alguns de importancia médica ou
veterinaria
• Trichomonas, Trichonympha
Retortamonada e Axostila
Filo Euglenozoa
• Com microtúbulos corticais - película
• Flagelos frequentemente com bastão paraxial
• Mitocondrias com cristas discoidais
Filo Euglenozoa
Subfilo Euglenida
Classe Euglenoidea
• Película com microtúbulos
• Dois flagelos com estruturas distintas
• Alguns com estigma e cloroplastos
• Euglena
Euglena
Filo Euglenozoa
Subfilo Kinetoplasta
Classe Trypanosomatidea
• Só 1 mitocondria
• Mitocondria com cinetoplasto (disco de DNA)
• 1 ou 2 flagelos, tipicamente com bastão paraxial
• Todos parasitos de plantas ou animais
• Leishmania, Trypanosoma
Trypanosoma spp
• Quase todos parasitos; no sangue
• Doença africana do sono; vetor Glossina sp.
(mosca tsetse)
– T. brucei gambiense
– T. brucei rhodesiense
• Doença de Chagas; “kissing bug”
– T. cruzi
Trypanosoma
Filo Apicomplexa
• Complexo apical
• Sem pseudópodes, cílios nem
flagelos
• Cistos comuns
• Todos parasitos
• Ciclo de vida complexo
• Classe Gregarina
– extracelulares
– em invertebrados
– Gregarina
• Classe Coccidea
– intracelulares
– em vertebrados
– Eimeria, Plasmodium, Isospora,
Toxoplasma
Filo Sporozoa
•Têm organelas apicais que são usadas para penetrar
no tecido do hospedeiro (normalmente células
vermelhas do sangue)
Ciclo de vida de Plasmodium vivax
Ciclo de vida de Plasmodium falciparum
• Difundido por mosquitos
• 300- 500 milhões de casos em cada ano (90% de casos
somente na África)
Filo Sporozoa
Filo Ciliophora
Filo Ciliophora
• Usam cílios para locomoção e alimentação
• têm dois núcleos (um macronúcleo e um micronúcleo)
• Incluem os paramécios
Filo Ciliophora
• Cilios, película
• 2 tipos de núcleo
• Heterótrofos
• Principalmente de vida
livre
• Fissão binária, gemação,
conjugação, autogamia
• Paramecium, Stentor,
Vorticella, Didinium
Filo Ciliophora
Filo Ciliophora
Doença No rúmen de parasito de
em peixes gado humanos
Filo Ciliophora - Simbiontes
Filo Ciliophora - conjugação
Filo Dinoflagellata
• Tipicamente com 2 flagelos
• Corpo usualmente sulcado transversal e
longitudinalmente
• Cromoplastos
• Cromossomas sem ou com poucas histonas
• Mitose intranuclear
• Alguns coloniais
• Reprodução sexual presente
• Zooxanthella, Ceratium, Noctiluca
Alguns dinoflagelados
• muitos flagelados vivem em relações mutualísticas
com outros organismos
• Zooxantelas provêm nutrientes aos corais
• Trichonympha degrada a celulose nos intestinos de
térmitas
Marés vermelhas
• condições ambientais podem
causar explosão da população de
dinoflagelados resultando nas marés
vermelhas
• podem causar mortalidade de
peixes
• envolvidos no envenenamento
de moluscos
Subfilo Mastigophora
Filo Sarcomastigophora
Subfilo Sarcodina
As Amebas
• Não forman um grupo monofilético
• Pseudópodos típicos
• Rhizópodos
• Actinópodos
• Foraminíferos
Rhizópodos
• Forma do corpo irregular
• Sua película é a membrana celular
• Endoplasma e ectoplasma proeminentes
• Lobopodios
• Filopodios
• Amoeba, Entamoeba histolytica, Arcella
Subfilo Sarcodina
• Amebas freqüentemente usam pseudópodos para
captura de comida e locomoção;
• Pode ser nu, pode construir uma concha de partículas,
ou pode segregar uma concha;
Foraminifera:
• Secreta calcáreo (CaCO3) ou
conchas que são câmaras
Subfilo Sarcodina
Radiolaria:
• Secreta silício (SiO2) ou conchas
Subfilo Sarcodina
• Foraminiferos e Radiolarios são alguns dos
protozoários mais antigos;
• Radiolários são o principal componente de
sedimentos do mar profundo em profundidade de 600
- 3600 metros;
• Estes sedimentos contêm ~ 50.000 esqueletos de
radiolários por grama de sedimento;
Subfilo Sarcodina
• Naegleria fowleri: uma ameba de vida livre
encontrada em lagos e lagoas que pode causar danos
fatais no cérebro (meningoencefalite)
Subfilo Sarcodina

Aula 4 - Protista.ppt

  • 1.
  • 2.
  • 3.
    Leeuwenhoek Protozoans Protozoários • Descobertos em1674 • “Originalmente animaes” Goldfuss 1817 • Síntese moderna: células comparáveis a animais individualmente ecologica e evolucionariamente
  • 4.
    4 3 2 1 0 -1 -2 -3 -4 -5 -6 log cm 1 cm 1mm 1 µm vertebrados Célula vermelha virus procariotos protozoários hip: tamanho mínimo de uma célula eucariota? Tamanho relativo dos Protozoários • a maioria tem pelo menos 1 mitocondria • 100 - 1000 x como muito DNA 1 m
  • 6.
    Protozoa – Classificação“tradicional” •16 filos, polifiletico, 38.000 spp., • Espécie tipo - Paramecium aurelia complexo 14 spp.
  • 7.
    Eucarioto “primitivo”? Pelomyxapalustris • sem mitocondria - duas bacterias aeróbicas simbiontes • Resposta para aumentar O2?
  • 8.
    Caracteristicas dos Protistas Triploblasticos Cefalização Nívelde Organização de órgãos Eucelomados Deuterostômios
  • 9.
    Reino Protista Unicelular, algunscoloniais, alguns com etapas de vida multicelulares Microscópicos Sem camadas embrionárias
  • 10.
    Todos os tiposde simetria Simetria radial Assimetrica Simetria bilateral Reino Protista
  • 11.
    Estruturas & Organelas Membranacelular = Membrana plasmática Citoplasma (protoplasma): ectoplasma = região semi-sólida exterior Endoplasma = região fluida interna (granular) Núcleo: *Macronúcleo = núcleo grande controla atividades metabólicas *Micronúcleo = núcleo pequeno envolvido em atividades reprodutivas * Nem todos os protistas têm os dois tipos de núcleo Reino Protista
  • 12.
    Conchas e Esqueletos: •Concha nua • Concha segregada composta de material orgânico e inorgânico (i.e. CaCO3, SiO2) • concha composta de pequenas partículas aderidas todas juntas Reino Protista Estruturas & Organelas
  • 13.
    Todos os tiposde nutrição/alimentação 1. Autotrófico: • capaz de fabricar seu próprio alimento • têm cloroplastos para fotossíntese 2. Heterotrófico: • incapaz de fabricar seu próprio alimento, tem de ingerir material orgânico pré-formado • saprozóicos ou osmotróficos - implica pinocitose • holozóicos ou fagotrofos - implica fagocitose • fagossoma ou vacúolo digestivo • Citóstoma • citopigio ou citoprocto Reino Protista
  • 14.
    Alimentação: • Fagocitose Vacúolo digestivo -Cavidade digestiva intracelular Reino Protista Todos os tipos de nutrição/alimentação
  • 15.
    MOVIMENTO AMEBOIDE • Emissãode pseudópodes – locomoção – captura de alimento por fagocitose
  • 16.
    Alimentação: • Fagocitose Reino Protista Todosos tipos de nutrição/alimentação
  • 17.
    Alimentação: • Entrada decomida pelo citóstoma (“boca” celular) • Desperdício eliminado pelo citoprócto (“ânus” celular) citoprocta citóstoma Reino Protista Todos os tipos de nutrição/alimentação
  • 18.
    Osmoregulação & Excreção VacúolosContráteis: • envolvido na regulação da água • elimina o excesso de água para for a do citoplasma Excreção é via difusão Reino Protista
  • 19.
  • 20.
  • 21.
    Locomoção Reino Protista • Locomoçãopor cílios, flagelos – Sem diferença morfológica (undilopódios) – Diferem em movimentos – axonema 9+2 – Requer ATP
  • 22.
    Locomoção Reino Protista • Locomoçãopor pseudópodos – Baseado em características do citoplasma – Tipos distintos • lobopodios • filopodios • reticulopodios • axopodios • Alguns – são sésseis
  • 23.
    • De hábitatsaquáticos ou terrestres • Reprodução assexual por fissião, gemação; cistos – fissão binária • longitudinal • transversal – fissão múltipla • esquizogonia • esporogonia Reino Protista
  • 24.
    Reprodução Assexual “fissão”: • quandoum individuo se divide em 2 indivíduos idênticos, é chamado “fissão binária” • se > 2 progenia, isto é chamado “fissão multipla” • quando uns brotos individuais menores, ocorrerem fora do pai maior, é chamado “brotamento" Reino Protista
  • 25.
    Reprodução Sexual • Conjugação= quando 2 indivíduos trocam micronúcleos resultando na mistura genético e “novos” genótipos 4 filhas (geneticamente diferente dos pais) Troca de micronúcleos - Fusão do micronúcleo trocado - degeneração do micronúcleo antigo Reino Protista
  • 27.
    • Singamia =fusão de gametas masculinos e femininos (células haplóides) • Autogamia = quando 1 indivíduo sofre reorganização genética e produz filhas que são geneticamente diferentes Reprodução Sexual Reino Protista
  • 28.
    • Osmorreguladores comvacúolos contráteis; osmoconformes; • Excreção por difusão; amoníaco; • Trocas de gases através da superfície do corpo; • Circulação por movimentos do citoplasma; Reino Protista
  • 29.
    Regulação osmótica nosanimais aquáticos • Osmoconformes em equilíbrio osmótico com o ambiente – estenohalino – toleram amplitude limitada de salinidade • Osmoreguladores não estão em equilíbrio osmótico com o ambiente – eurihalino – toleram uma amplitude ampla de salinidade • Osmoreguladores – hiperosmótico • fluidos corporais máis concentrados que na água que os rodeia; – hiposmótico • fluidos corporais menos concentrados que na água que os rodeia;
  • 30.
    • Perda deágua – evaporação; excreção; fezes • Reposição de água – bebida; comida; água metabólica • Excreção – disponibilidade de água – amoníaco – uréia – ácido úrico Regulação osmótica nos animais aquáticos
  • 31.
    Filo Sarcomastigophora Subfilo Sarcodina SubfiloMastigophora Filo Ciliophora Filo Sporozoa (Apicomplexa) Reino Protista
  • 32.
    Filo Chlorophyta Filo Retortamonada FiloAxostilata Filo Euglenozoa Subfilo Euglenida Subfilo Kinetoplasta Filo Apicomplexa Filo Ciliophora Filo Dinoflagellata As amebas Reino Protista
  • 34.
    Filo Chlorophyta • Algasunicelulares e multicelulares • Autótrofos; clorofilas a e c • Amido como reserva de alimento • Com etapas biflageladas; flagelos do mesmo tamanho • Volvox, Chlamydomonas, Gonium
  • 35.
  • 36.
    Ciclo de vidade Volvox
  • 37.
    Filo Retortamonada • Semmitocondrias, nem corpusculos de Golgi • 3 flagelos anteriores e 1 flagelo recorrente • Parasitas intestinais ou de vida livre em ambientes sem oxigênio • Giardia lamblia
  • 38.
    • Alguns flageladossão parasitas sérios •Giardia é um parasita intestinal que normalmente infecta viajantes Giardia
  • 39.
    Filo Axostylata • Comaxóstilo ao largo do eixo longitudinal do corpo • Sem mitocondrias; com corpusculo de Golgi • Parasitos; alguns de importancia médica ou veterinaria • Trichomonas, Trichonympha
  • 40.
  • 41.
    Filo Euglenozoa • Commicrotúbulos corticais - película • Flagelos frequentemente com bastão paraxial • Mitocondrias com cristas discoidais
  • 42.
    Filo Euglenozoa Subfilo Euglenida ClasseEuglenoidea • Película com microtúbulos • Dois flagelos com estruturas distintas • Alguns com estigma e cloroplastos • Euglena
  • 43.
  • 44.
    Filo Euglenozoa Subfilo Kinetoplasta ClasseTrypanosomatidea • Só 1 mitocondria • Mitocondria com cinetoplasto (disco de DNA) • 1 ou 2 flagelos, tipicamente com bastão paraxial • Todos parasitos de plantas ou animais • Leishmania, Trypanosoma
  • 45.
    Trypanosoma spp • Quasetodos parasitos; no sangue • Doença africana do sono; vetor Glossina sp. (mosca tsetse) – T. brucei gambiense – T. brucei rhodesiense • Doença de Chagas; “kissing bug” – T. cruzi
  • 46.
  • 47.
    Filo Apicomplexa • Complexoapical • Sem pseudópodes, cílios nem flagelos • Cistos comuns • Todos parasitos • Ciclo de vida complexo • Classe Gregarina – extracelulares – em invertebrados – Gregarina • Classe Coccidea – intracelulares – em vertebrados – Eimeria, Plasmodium, Isospora, Toxoplasma
  • 49.
    Filo Sporozoa •Têm organelasapicais que são usadas para penetrar no tecido do hospedeiro (normalmente células vermelhas do sangue)
  • 50.
    Ciclo de vidade Plasmodium vivax
  • 51.
    Ciclo de vidade Plasmodium falciparum
  • 52.
    • Difundido pormosquitos • 300- 500 milhões de casos em cada ano (90% de casos somente na África) Filo Sporozoa
  • 53.
  • 54.
    Filo Ciliophora • Usamcílios para locomoção e alimentação • têm dois núcleos (um macronúcleo e um micronúcleo) • Incluem os paramécios
  • 55.
    Filo Ciliophora • Cilios,película • 2 tipos de núcleo • Heterótrofos • Principalmente de vida livre • Fissão binária, gemação, conjugação, autogamia • Paramecium, Stentor, Vorticella, Didinium
  • 56.
  • 57.
  • 58.
    Doença No rúmende parasito de em peixes gado humanos Filo Ciliophora - Simbiontes
  • 59.
    Filo Ciliophora -conjugação
  • 60.
    Filo Dinoflagellata • Tipicamentecom 2 flagelos • Corpo usualmente sulcado transversal e longitudinalmente • Cromoplastos • Cromossomas sem ou com poucas histonas • Mitose intranuclear • Alguns coloniais • Reprodução sexual presente • Zooxanthella, Ceratium, Noctiluca
  • 61.
  • 62.
    • muitos flageladosvivem em relações mutualísticas com outros organismos • Zooxantelas provêm nutrientes aos corais • Trichonympha degrada a celulose nos intestinos de térmitas
  • 63.
    Marés vermelhas • condiçõesambientais podem causar explosão da população de dinoflagelados resultando nas marés vermelhas • podem causar mortalidade de peixes • envolvidos no envenenamento de moluscos Subfilo Mastigophora
  • 64.
  • 65.
    As Amebas • Nãoforman um grupo monofilético • Pseudópodos típicos • Rhizópodos • Actinópodos • Foraminíferos
  • 66.
    Rhizópodos • Forma docorpo irregular • Sua película é a membrana celular • Endoplasma e ectoplasma proeminentes • Lobopodios • Filopodios • Amoeba, Entamoeba histolytica, Arcella
  • 67.
    Subfilo Sarcodina • Amebasfreqüentemente usam pseudópodos para captura de comida e locomoção; • Pode ser nu, pode construir uma concha de partículas, ou pode segregar uma concha;
  • 68.
    Foraminifera: • Secreta calcáreo(CaCO3) ou conchas que são câmaras Subfilo Sarcodina
  • 69.
    Radiolaria: • Secreta silício(SiO2) ou conchas Subfilo Sarcodina
  • 70.
    • Foraminiferos eRadiolarios são alguns dos protozoários mais antigos; • Radiolários são o principal componente de sedimentos do mar profundo em profundidade de 600 - 3600 metros; • Estes sedimentos contêm ~ 50.000 esqueletos de radiolários por grama de sedimento; Subfilo Sarcodina
  • 71.
    • Naegleria fowleri:uma ameba de vida livre encontrada em lagos e lagoas que pode causar danos fatais no cérebro (meningoencefalite) Subfilo Sarcodina