ORTOPEDIA 2024
BENEFICENCIA PORTUGUESA
REUNIÃO DE MORBI MORTALIDADE
ORTOPEDIA
25 / 04 / 2024
REUNIÃO DE MORBI MORTALIDADE
ORTOPEDIA
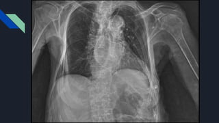
PACIENTE DO SEXO FEMININO, 84 ANOS.
COM INSUFICIENCIA CARDIACA DE GRAU MODERADO TRATADO CLINICAMENTE,
ANGIOPLASTIA DE LESÃO ACENTUADA, DUPLA LESÃO VALVAR AÓRTICA COM
IAO IMPORTANTE , EX TABAGISTA
MEDICAMENTOS DE USO CONTINUOS:
- AAS // CLOPIDOGREL // CARVEDILOL 6.25MG 2X // SINVASTATINA 40MG //
HIDROCLOROTIAZIDA 25MG // ENALAPRIL 20MG 2X // OMEPRAZOL 20 MG //
ANLODIPINO 10 MG // FUROSEMIDA 40 MG // HIDRALAZINA 50 MG //
ISOSSORBIDA 20 MG // AAS 100 MG // ESPIRONOLACTONA 50 MG .
M.S.S.
08/04/2024:
1º Atendimento
Atendida na urgência do
pa sus por queixa de dor
intensa em quadril
esquerdo após queda da
propria altura segundo
informações colhidas
pelo filho.
Paciente com
presença de
equimose
periocular e
dificuldades para
fala!!!
EXAMES SOLICITADOS:
09/04/2024:
- HEM: 2,46 / HB 7.5 / HT 21 / LEUC 11950 / SG 82 / PLAQ 179 MIL
- UR 215 / CR 3,22 / INR 1.12 / NA 135 / K 5.05
09/04/2024 REALIZADO HEMOTRANSFUSÃO DE 02 CH
- ERITROGRAMA POS TRANSFUSÃO HEM 3.77 // HB 10.6 / / HT 31.8
PARECER DA EQUIPE DA BUCO-MAXILO-FACIAL:
DISCUTIDO CASO COM EQUIPE DE ORTOPEDIA, PACIENTE SERÁ REAVALIADA
APÓS REALIZAÇÃO DOS EXAMES DE IMAGEM SOLICITADOS (RX DE FACE E
MANDÍBULA). ORIENTO MANEJO CUIDADOS DAS ÁREAS DAS FRATURAS EM
FACE, PRINCIPALMENTE CASO ANESTESIA SEJA GERAL, ASSIM COMO, CASO
POSSÍVEL PRIORIZAR INTUBAÇÃO ORAL E EVITAR FORÇA EM REGIÃO DE
MANDÍBULA. SEGUE EM ACOMPANHAMENTO CONJUNTO COM EQUIPE
ORTOPEDIA.
PACIENTE NA MESA DE TRAÇÃO ORTOPÉDICA, E DECUBITO DORSAL HORIZONTAL SOB
RAQUIANESTESIA; - REDUÇÃO INCRUENTA, NA MESA DE TRAÇÃO, SOB VIZUALIZAÇÃO POR
FLUOROSCOPIA;
- ASSEPSIA + ANTISEPSIA + COLOCAÇÃO DE CAMPOS ESTÉREIS EM MIE;
- INCISÃO LATERAL, NA ALTURA DO TROCANTER MAIOR + DIVULSÃO + HEMOSTASIA;
- ACESSO AO TROCANTER MAIOR + PASSAGEM DE SOVELA + PASSAGEM DE FIO GUIA;
- CHECADO EM FLUOROSCOPIA;
- FRESA MANUAL INICIAL + FRESAGEM PROGRESSIVA;
- PASSAGEM DE TUTOR INTRAMEDULAR CURTO Nº11X200, CHECADO EM FLUOROSCOPIA;
- RETIRADO FIO GUIA + MARCAÇÃO DO BLOQUEIO CEFÁLICO + INCISÃO + DIVULSÃO;
- PASSAGEM DE FIO GUIA CEFÁLICO, CHECADO EM FLUOROSCOPIA;
- FRESA INICIAL COM STOP + FRESAGEM CEFÁLICA;
- PASSAGEM DE PARAFUSO CEFÁLICO , CHECADO EM FLUOROSCOPIA;
- MARCAÇÃO DO BLOQUEIO DISTAL GUIADO POR FLUOROSCOPIA;
- INCISÃO + PERFURAÇÃO + PASSAGEM DE PARAFUSO DE BLOQUEIO DISTAL;
- CHECADO EM FLUOROSCOPIA;
- LAVAGEM COM SF0,9% + REVISÃO HEMOSTÁTICA + SUTURA + CURATIVO ESTÉRIL;
- RX CONTROLE;
- ENCAMINHO AO RPA SEM INTERCORRÊNCIAS.
Apresentação casos clínicos presentation.pptx

Apresentação casos clínicos presentation.pptx

  • 1.
  • 2.
    REUNIÃO DE MORBIMORTALIDADE ORTOPEDIA 25 / 04 / 2024
  • 3.
    REUNIÃO DE MORBIMORTALIDADE ORTOPEDIA
  • 4.
    PACIENTE DO SEXOFEMININO, 84 ANOS. COM INSUFICIENCIA CARDIACA DE GRAU MODERADO TRATADO CLINICAMENTE, ANGIOPLASTIA DE LESÃO ACENTUADA, DUPLA LESÃO VALVAR AÓRTICA COM IAO IMPORTANTE , EX TABAGISTA MEDICAMENTOS DE USO CONTINUOS: - AAS // CLOPIDOGREL // CARVEDILOL 6.25MG 2X // SINVASTATINA 40MG // HIDROCLOROTIAZIDA 25MG // ENALAPRIL 20MG 2X // OMEPRAZOL 20 MG // ANLODIPINO 10 MG // FUROSEMIDA 40 MG // HIDRALAZINA 50 MG // ISOSSORBIDA 20 MG // AAS 100 MG // ESPIRONOLACTONA 50 MG . M.S.S.
  • 5.
    08/04/2024: 1º Atendimento Atendida naurgência do pa sus por queixa de dor intensa em quadril esquerdo após queda da propria altura segundo informações colhidas pelo filho. Paciente com presença de equimose periocular e dificuldades para fala!!!
  • 6.
    EXAMES SOLICITADOS: 09/04/2024: - HEM:2,46 / HB 7.5 / HT 21 / LEUC 11950 / SG 82 / PLAQ 179 MIL - UR 215 / CR 3,22 / INR 1.12 / NA 135 / K 5.05 09/04/2024 REALIZADO HEMOTRANSFUSÃO DE 02 CH - ERITROGRAMA POS TRANSFUSÃO HEM 3.77 // HB 10.6 / / HT 31.8
  • 8.
    PARECER DA EQUIPEDA BUCO-MAXILO-FACIAL: DISCUTIDO CASO COM EQUIPE DE ORTOPEDIA, PACIENTE SERÁ REAVALIADA APÓS REALIZAÇÃO DOS EXAMES DE IMAGEM SOLICITADOS (RX DE FACE E MANDÍBULA). ORIENTO MANEJO CUIDADOS DAS ÁREAS DAS FRATURAS EM FACE, PRINCIPALMENTE CASO ANESTESIA SEJA GERAL, ASSIM COMO, CASO POSSÍVEL PRIORIZAR INTUBAÇÃO ORAL E EVITAR FORÇA EM REGIÃO DE MANDÍBULA. SEGUE EM ACOMPANHAMENTO CONJUNTO COM EQUIPE ORTOPEDIA.
  • 12.
    PACIENTE NA MESADE TRAÇÃO ORTOPÉDICA, E DECUBITO DORSAL HORIZONTAL SOB RAQUIANESTESIA; - REDUÇÃO INCRUENTA, NA MESA DE TRAÇÃO, SOB VIZUALIZAÇÃO POR FLUOROSCOPIA; - ASSEPSIA + ANTISEPSIA + COLOCAÇÃO DE CAMPOS ESTÉREIS EM MIE; - INCISÃO LATERAL, NA ALTURA DO TROCANTER MAIOR + DIVULSÃO + HEMOSTASIA; - ACESSO AO TROCANTER MAIOR + PASSAGEM DE SOVELA + PASSAGEM DE FIO GUIA; - CHECADO EM FLUOROSCOPIA; - FRESA MANUAL INICIAL + FRESAGEM PROGRESSIVA; - PASSAGEM DE TUTOR INTRAMEDULAR CURTO Nº11X200, CHECADO EM FLUOROSCOPIA; - RETIRADO FIO GUIA + MARCAÇÃO DO BLOQUEIO CEFÁLICO + INCISÃO + DIVULSÃO; - PASSAGEM DE FIO GUIA CEFÁLICO, CHECADO EM FLUOROSCOPIA; - FRESA INICIAL COM STOP + FRESAGEM CEFÁLICA; - PASSAGEM DE PARAFUSO CEFÁLICO , CHECADO EM FLUOROSCOPIA; - MARCAÇÃO DO BLOQUEIO DISTAL GUIADO POR FLUOROSCOPIA; - INCISÃO + PERFURAÇÃO + PASSAGEM DE PARAFUSO DE BLOQUEIO DISTAL; - CHECADO EM FLUOROSCOPIA; - LAVAGEM COM SF0,9% + REVISÃO HEMOSTÁTICA + SUTURA + CURATIVO ESTÉRIL; - RX CONTROLE; - ENCAMINHO AO RPA SEM INTERCORRÊNCIAS.