Adaptações celulares às
doenças, dano e morte
celular
Imunologia e Patologia
Enfermagem 2025
Professor: André Luiz Gomes
Adaptação celular
A célula normal tem limites definidos por seus genes,
que controlam seu metabolismo, diferenciação e função.
Ela mantém seu equilíbrio através das interações com
células vizinhas e do uso de nutrientes disponíveis.
Quando funciona adequadamente, a célula preserva um
estado de equilíbrio conhecido como homeostasia.
Adaptações Celulares ao Estresse
Quando a célula experimenta condições estressantes, desenvolve mecanismos adaptativos para sobreviver:
Adaptação ao Ambiente
Ao sofrer estresse, a célula se adapta às
modificações do ambiente. Os ajustes
internos são feitos para lidar com o meio.
Diferente de algumas lesões celulares, a
adaptação costuma ser reversível.
Mecanismos de Controle
As estratégias são comandadas por
hormônios e mediadores químicos
quando fisiológicas.
Resposta Adaptativa
A adaptação é um mecanismo de
proteção que permite à célula sobreviver
em condições adversas sem sofrer danos
permanentes.
Tipos de Adaptações
Celulares
Hipertrofia
Aumento do tamanho das
células. Pode ocorrer por
aumento da demanda funcional
ou estimulação hormonal.
Exemplo: aumento do útero
durante a gestação.
Hiperplasia
Aumento da quantidade de
células. Pode estar associada à
hipertrofia se o estímulo for
comum.
Exemplo: câncer (hiperplasia
patológica).
Atrofia
Diminuição do tamanho celular. Causada por redução da carga de
trabalho ou desnutrição.
Exemplo: atrofia uterina após a menopausa.
Hipertrofia: Aumento do
Tamanho Celular
A hipertrofia consiste no aumento no tamanho das células que resulta
em aumento no tamanho do órgão
A hipertrofia pode ser fisiológica ou patológica e é causada pelo
aumento da demanda funcional ou por fatores de crescimento ou
estimulação hormonal.
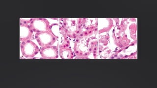
Atrofia: Redução do Tamanho Celular
Atrofia é a diminuição no tamanho das células por perda de substância celular. Quando um número
suficiente de células está envolvido, todo o tecido ou órgão diminui em tamanho ou torna-se
atrófico . Embora as células atróficas possam apresentar função diminuída, elas não estão mortas.
Desuso Desnutrição Diminuição
Hormonal
Pressão Denervação
Em muitas situações, a atrofia também está
associada a AUTOFAGIA, com consequente
aumento do número de vacúolos autofágicos
autofagia é o processo no qual a célula desnutrida digere suas próprias organelas em uma tentativa
de sobrevivência.
Hiperplasia: Aumento do Número de Células
Hiperplasia se refere ao aumento no número de células em um órgão que resulta da proliferação
aumentada de células diferenciadas ou, em alguns casos, de células progenitoras menos
diferenciadas.
hiperplasia pode ser fisiológica ou patológica; em ambas as situações, a proliferação celular é
estimulada por fatores de crescimento que são produzidos por vários tipos de células.
Proliferação Celular
Aumento do número de
células por divisão
mitótica.
Crescimento
Tecidual
Expansão do tecido
devido ao maior número
de células.
Regulação
Controlada por fatores de
crescimento e
hormônios.
Riscos
Hiperplasia
descontrolada pode levar
a neoplasias.
Metaplasia: Adaptação por Diferenciação
Metaplasia é uma alteração na qual um tipo de célula adulta (epitelial ou mesenquimal) é
substituído por outro tipo de célula adulta.
Diferenciação Celular
Adaptação que consiste na diferenciação
celular diante de um estresse.
Aumento da Tolerância
O mecanismo visa tornar o tecido mais
tolerante ao estresse, geralmente
crônico.
Reversibilidade
Processo reversível quando o estímulo é
removido.
Metaplasia: Mudança do Tipo Celular
Esôfago de Barrett
Epitélio escamoso do esôfago se
transforma em epitélio colunar,
adaptando-se ao refluxo ácido crônico.
Epitélio Respiratório
Epitélio respiratório pode se transformar
em epitélio escamoso em resposta à
irritação crônica.
Colo Uterino
Epitélio glandular pode se transformar
em epitélio escamoso na junção
escamo-colunar.
Ocorre a presença de epitélio colunar especializado (do tipo intestinal) no local do tecido normal do esôfago de epitélio
estratificado pavimentoso
O epitélio escamoso estratificado resistente pode ser capaz de sobreviver aos produtos químicos nocivos na fumaça do
cigarro que o epitélio especializado mais frágil não tolera. Embora o epitélio escamoso metaplásico apresente vantagens de
sobrevivência, perdem-se importantes mecanismos de proteção, como a secreção de muco e a remoção ciliar da matéria
particulada.
As influências que induzem alterações
metaplásicas epiteliais, se persistentes, podem
predispor à transformação para uma doença
maligna.
Lesões celulares
A resposta celular a estímulos nocivos depende do tipo da lesão, sua duração e sua gravidade. As
consequências variam conforme o tipo, estado e grau de adaptação da célula danificada.
Agentes químicos
Substâncias tóxicas que
interagem com componentes
celulares causando danos
estruturais e funcionais.
Agentes físicos ou
drogas
Radiação, trauma mecânico
ou medicamentos que
interferem nos processos
celulares normais.
Agentes infecciosos
Vírus, bactérias e outros
patógenos que invadem as
células e comprometem sua
integridade.
Distúrbios genéticos
Alterações no DNA que
resultam em proteínas
anormais ou disfuncionais.
Deficiência nutricional
Carência de nutrientes
essenciais que compromete o
metabolismo e a função
celular.
Resposta Celular ao Estresse
1
Homeostase Normal
Célula em equilíbrio, capaz de suprir
demandas fisiológicas.
2
Adaptação
Ajustes estruturais e funcionais reversíveis
para manter a sobrevivência.
3
Lesão Reversível
Danos que podem ser revertidos se o
estímulo for removido.
4
Lesão Irreversível
Danos permanentes que levam à morte
celular.
Lesão Celular Reversível
A lesão reversível é o estágio da lesão celular no qual a função prejudicada e a morfologia das células
lesionadas podem retornar ao normal se o estímulo prejudicial for removido
Depleção de ATP
Redução da fosforilação oxidativa com consequente diminuição dos estoques de ATP.
Tumefação Celular
Inchaço da célula devido a alterações na permeabilidade da membrana.
Alterações em Organelas
Mitocôndrias e citoesqueleto podem apresentar modificações estruturais.
Lesão celular IRREVERSÍVEL
Apoptose
Forma de morte celular caracterizada pela
dissolução nuclear e fragmentação celular.
Mantém integridade da membrana
Não causa inflamação
Pode ser fisiológica ("morte celular
programada")
Necrose
Forma desregulada de morte celular resultante
de danos às membranas celulares.
Perda de conteúdos celulares para o espaço
extracelular
Causa inflamação
Sempre um processo patológico
Apoptose
A apoptose é uma via de morte celular programada e finamente regulada, diferente da necrose por não causar inflamação.
Iniciação
Células destinadas a morrer
ativam enzimas específicas
(caspases) que iniciam um
programa de suicídio celular
controlado.
Degradação
As enzimas ativadas
degradam o DNA nuclear e
proteínas citoplasmáticas da
célula em um processo
altamente regulado.
Fragmentação
As células apoptóticas se
quebram em fragmentos
chamados corpos
apoptóticos, que contêm
porções do citoplasma e
núcleo.
Fagocitose
A célula morta e seus
fragmentos são rapidamente
fagocitados, antes que seus
conteúdos sejam liberados,
evitando uma resposta
inflamatória no hospedeiro.
03:56
YouTube
Apoptose (Legendado)
Todos os vídeos foram retirados de canais do youtube que possuíam permissão
para uso acadêmico ou permitiam alteração (Creative Commons). Fonte:…
Necrose
A necrose é uma forma de morte celular patológica caracterizada pela desintegração celular e resposta inflamatória.
Desintegração Celular
As membranas celulares se
desintegram e as enzimas
celulares extravasam,
digerindo a célula e
provocando uma reação
inflamatória local do
hospedeiro.
Resposta Inflamatória
A inflamação é induzida por
substâncias liberadas das
células mortas e serve para
eliminar os debris celulares e
iniciar o processo de reparo
subsequente.
Alterações Celulares
A necrose é caracterizada por
alterações no citoplasma e no
núcleo das células lesionadas,
diferenciando-a de outros
tipos de morte celular.
Mecanismos
Bioquímicos
Falha na geração de ATP,
danos às membranas
celulares e lesões irreversíveis
aos componentes celulares
por espécies reativas de
oxigênio são mecanismos que
levam à necrose.
Tipos de Necrose
A necrose é uma forma de morte celular em que ocorre desintegração das membranas celulares. Apresenta diferentes padrões
morfológicos dependendo do tecido afetado e da causa subjacente:
Necrose de Coagulação
Forma de necrose tecidual onde a
arquitetura básica dos tecidos
permanece preservada por dias após a
morte celular. Os tecidos adquirem
textura firme devido à desnaturação de
proteínas estruturais e enzimas.
Característica dos infartos em órgãos
sólidos, exceto o cérebro.
Necrose Liquefativa
Observada em infecções bacterianas ou
fúngicas focais, onde enzimas dos
leucócitos digerem o tecido. Também
ocorre em hipóxia no sistema nervoso
central. As células mortas são
completamente digeridas, formando
uma massa viscosa líquida,
eventualmente removida por fagócitos.
Necrose Gangrenosa
Comum em membros que perderam
suprimento sanguíneo, envolvendo
várias camadas de tecido. Quando há
infecção bacteriana sobreposta, a
morfologia muda para necrose
liquefativa devido ao conteúdo
destrutivo das bactérias e leucócitos,
resultando na chamada "gangrena
úmida".
Tipos de Necrose
A necrose é uma forma de morte celular em que ocorre desintegração das membranas celulares. Apresenta diferentes padrões
morfológicos dependendo do tecido afetado e da causa subjacente:
Necrose Caseosa
Típica de infecção tuberculosa, com
aparência friável branco-amarelada
("semelhante a queijo").
Microscopicamente, exibe células
rompidas com aparência granular
amorfa rósea. A arquitetura do tecido é
completamente destruída,
frequentemente circundada por
macrófagos e células inflamatórias.
Necrose Gordurosa
Áreas focais de destruição gordurosa
resultantes da liberação de lipases
pancreáticas. Comum na pancreatite
aguda, onde as enzimas pancreáticas
liquefazem as membranas dos
adipócitos. Os ácidos graxos liberados
combinam-se ao cálcio, produzindo
áreas brancas acinzentadas visíveis
(saponificação).
Necrose Fibrinoide
Forma especial de necrose que ocorre
em reações imunes com deposição de
complexos antígeno-anticorpo nas
paredes vasculares ou em hipertensão
grave. Produz aparência amorfa róseo-
brilhante em preparações , comum em
doenças imunologicamente mediadas
como poliarterite nodosa.
Característica Apoptose Necrose
Definição Morte celular programada e
controlada.
Morte celular não programada,
geralmente associada a lesão aguda.
Causa Fisiológica (ex: embriogênese,
renovação celular) ou patológica (ex:
lesão por DNA).
Quase sempre patológica (ex:
isquemia, toxinas, trauma).
Mecanismo Ativação de caspases e fragmentação
ordenada da célula.
Perda da integridade da membrana
celular, liberação descontrolada do
conteúdo celular.
Morfologia Encolhimento celular, condensação
da cromatina, formação de corpos
apoptóticos.
Inchaço celular, lise da membrana,
inflamação ao redor.
Inflamação Não causa inflamação (o conteúdo
celular é fagocitado).
Causa inflamação (o conteúdo celular
é liberado no meio extracelular).
Membrana plasmática Intacta até os estágios finais. Rápida perda da integridade da
membrana.
Destino da célula Fragmentos fagocitados por
macrófagos.
Célula e conteúdo se rompem,
causando dano tecidual.
Lesão Celular por Hipóxia e Isquemia
As causas mais comuns de lesão celular envolvem a privação de oxigênio aos tecidos:
Hipóxia
Deficiência de oxigênio nos tecidos,
privando as células de um componente
essencial para o metabolismo
energético.
Isquemia
Redução do suprimento sanguíneo que,
além da hipóxia, causa deficiência de
nutrientes e acúmulo de metabólitos
tóxicos.
Obstrução Arterial
A causa mais comum de hipóxia é a
isquemia resultante de uma obstrução
arterial, impedindo o fluxo sanguíneo
adequado.
Oxigenação Inadequada
Doenças pulmonares podem
comprometer a oxigenação sanguínea,
resultando em hipóxia mesmo com fluxo
sanguíneo normal.
Transporte de Oxigênio
Reduzido
Anemia e intoxicação por monóxido de
carbono (CO) diminuem a capacidade do
sangue de transportar oxigênio para os
tecidos.
Acúmulos intracelulares
Sob algumas circunstâncias, as células podem acumular quantidades anormais de várias substâncias, que podem ser inofensivas
ou causar vários graus de lesão.
Acúmulo lipídico
Substâncias gordurosas
acumuladas no citoplasma
celular, comum em doenças
como esteatose hepática.
Acúmulo de glicogênio
Excesso de glicogênio
armazenado em células,
frequente em distúrbios
metabólicos como
glicogenoses.
Acúmulo proteico
Proteínas anormais
acumuladas dentro de
organelas, tipicamente
lisossomas, causando
disfunção celular.
Acúmulo de pigmentos
Substâncias produzidas em
outra parte do corpo e
depositadas nas células,
como na hemossiderose.
As principais vias de acúmulo intracelular anormal são a remoção e a degradação inadequada ou produção excessiva de uma
substância endógena, ou deposição de um material exógeno anormal.
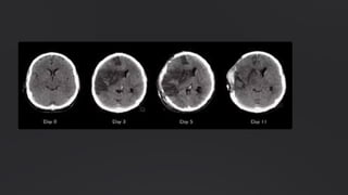
01:00
YouTube
AVC: Sintomas que NUNCA Devem Ser Ignorados! | Como Identificar um …
Você saberia identificar os sintomas de um AVC a tempo de salvar uma vida?
O Acidente Vascular Cerebral (AVC), também conhecido como derrame cerebral, é…
Adaptacoes-celulares-as-doencas-dano-e-morte-celular.pdf

Adaptacoes-celulares-as-doencas-dano-e-morte-celular.pdf

  • 1.
    Adaptações celulares às doenças,dano e morte celular Imunologia e Patologia Enfermagem 2025 Professor: André Luiz Gomes
  • 2.
    Adaptação celular A célulanormal tem limites definidos por seus genes, que controlam seu metabolismo, diferenciação e função. Ela mantém seu equilíbrio através das interações com células vizinhas e do uso de nutrientes disponíveis. Quando funciona adequadamente, a célula preserva um estado de equilíbrio conhecido como homeostasia.
  • 3.
    Adaptações Celulares aoEstresse Quando a célula experimenta condições estressantes, desenvolve mecanismos adaptativos para sobreviver: Adaptação ao Ambiente Ao sofrer estresse, a célula se adapta às modificações do ambiente. Os ajustes internos são feitos para lidar com o meio. Diferente de algumas lesões celulares, a adaptação costuma ser reversível. Mecanismos de Controle As estratégias são comandadas por hormônios e mediadores químicos quando fisiológicas. Resposta Adaptativa A adaptação é um mecanismo de proteção que permite à célula sobreviver em condições adversas sem sofrer danos permanentes.
  • 4.
    Tipos de Adaptações Celulares Hipertrofia Aumentodo tamanho das células. Pode ocorrer por aumento da demanda funcional ou estimulação hormonal. Exemplo: aumento do útero durante a gestação. Hiperplasia Aumento da quantidade de células. Pode estar associada à hipertrofia se o estímulo for comum. Exemplo: câncer (hiperplasia patológica). Atrofia Diminuição do tamanho celular. Causada por redução da carga de trabalho ou desnutrição. Exemplo: atrofia uterina após a menopausa.
  • 5.
    Hipertrofia: Aumento do TamanhoCelular A hipertrofia consiste no aumento no tamanho das células que resulta em aumento no tamanho do órgão A hipertrofia pode ser fisiológica ou patológica e é causada pelo aumento da demanda funcional ou por fatores de crescimento ou estimulação hormonal.
  • 7.
    Atrofia: Redução doTamanho Celular Atrofia é a diminuição no tamanho das células por perda de substância celular. Quando um número suficiente de células está envolvido, todo o tecido ou órgão diminui em tamanho ou torna-se atrófico . Embora as células atróficas possam apresentar função diminuída, elas não estão mortas. Desuso Desnutrição Diminuição Hormonal Pressão Denervação
  • 10.
    Em muitas situações,a atrofia também está associada a AUTOFAGIA, com consequente aumento do número de vacúolos autofágicos autofagia é o processo no qual a célula desnutrida digere suas próprias organelas em uma tentativa de sobrevivência.
  • 11.
    Hiperplasia: Aumento doNúmero de Células Hiperplasia se refere ao aumento no número de células em um órgão que resulta da proliferação aumentada de células diferenciadas ou, em alguns casos, de células progenitoras menos diferenciadas. hiperplasia pode ser fisiológica ou patológica; em ambas as situações, a proliferação celular é estimulada por fatores de crescimento que são produzidos por vários tipos de células. Proliferação Celular Aumento do número de células por divisão mitótica. Crescimento Tecidual Expansão do tecido devido ao maior número de células. Regulação Controlada por fatores de crescimento e hormônios. Riscos Hiperplasia descontrolada pode levar a neoplasias.
  • 13.
    Metaplasia: Adaptação porDiferenciação Metaplasia é uma alteração na qual um tipo de célula adulta (epitelial ou mesenquimal) é substituído por outro tipo de célula adulta. Diferenciação Celular Adaptação que consiste na diferenciação celular diante de um estresse. Aumento da Tolerância O mecanismo visa tornar o tecido mais tolerante ao estresse, geralmente crônico. Reversibilidade Processo reversível quando o estímulo é removido.
  • 14.
    Metaplasia: Mudança doTipo Celular Esôfago de Barrett Epitélio escamoso do esôfago se transforma em epitélio colunar, adaptando-se ao refluxo ácido crônico. Epitélio Respiratório Epitélio respiratório pode se transformar em epitélio escamoso em resposta à irritação crônica. Colo Uterino Epitélio glandular pode se transformar em epitélio escamoso na junção escamo-colunar.
  • 15.
    Ocorre a presençade epitélio colunar especializado (do tipo intestinal) no local do tecido normal do esôfago de epitélio estratificado pavimentoso
  • 16.
    O epitélio escamosoestratificado resistente pode ser capaz de sobreviver aos produtos químicos nocivos na fumaça do cigarro que o epitélio especializado mais frágil não tolera. Embora o epitélio escamoso metaplásico apresente vantagens de sobrevivência, perdem-se importantes mecanismos de proteção, como a secreção de muco e a remoção ciliar da matéria particulada.
  • 17.
    As influências queinduzem alterações metaplásicas epiteliais, se persistentes, podem predispor à transformação para uma doença maligna.
  • 18.
    Lesões celulares A respostacelular a estímulos nocivos depende do tipo da lesão, sua duração e sua gravidade. As consequências variam conforme o tipo, estado e grau de adaptação da célula danificada. Agentes químicos Substâncias tóxicas que interagem com componentes celulares causando danos estruturais e funcionais. Agentes físicos ou drogas Radiação, trauma mecânico ou medicamentos que interferem nos processos celulares normais. Agentes infecciosos Vírus, bactérias e outros patógenos que invadem as células e comprometem sua integridade. Distúrbios genéticos Alterações no DNA que resultam em proteínas anormais ou disfuncionais. Deficiência nutricional Carência de nutrientes essenciais que compromete o metabolismo e a função celular.
  • 20.
    Resposta Celular aoEstresse 1 Homeostase Normal Célula em equilíbrio, capaz de suprir demandas fisiológicas. 2 Adaptação Ajustes estruturais e funcionais reversíveis para manter a sobrevivência. 3 Lesão Reversível Danos que podem ser revertidos se o estímulo for removido. 4 Lesão Irreversível Danos permanentes que levam à morte celular.
  • 22.
    Lesão Celular Reversível Alesão reversível é o estágio da lesão celular no qual a função prejudicada e a morfologia das células lesionadas podem retornar ao normal se o estímulo prejudicial for removido Depleção de ATP Redução da fosforilação oxidativa com consequente diminuição dos estoques de ATP. Tumefação Celular Inchaço da célula devido a alterações na permeabilidade da membrana. Alterações em Organelas Mitocôndrias e citoesqueleto podem apresentar modificações estruturais.
  • 25.
    Lesão celular IRREVERSÍVEL Apoptose Formade morte celular caracterizada pela dissolução nuclear e fragmentação celular. Mantém integridade da membrana Não causa inflamação Pode ser fisiológica ("morte celular programada") Necrose Forma desregulada de morte celular resultante de danos às membranas celulares. Perda de conteúdos celulares para o espaço extracelular Causa inflamação Sempre um processo patológico
  • 26.
    Apoptose A apoptose éuma via de morte celular programada e finamente regulada, diferente da necrose por não causar inflamação. Iniciação Células destinadas a morrer ativam enzimas específicas (caspases) que iniciam um programa de suicídio celular controlado. Degradação As enzimas ativadas degradam o DNA nuclear e proteínas citoplasmáticas da célula em um processo altamente regulado. Fragmentação As células apoptóticas se quebram em fragmentos chamados corpos apoptóticos, que contêm porções do citoplasma e núcleo. Fagocitose A célula morta e seus fragmentos são rapidamente fagocitados, antes que seus conteúdos sejam liberados, evitando uma resposta inflamatória no hospedeiro.
  • 28.
    03:56 YouTube Apoptose (Legendado) Todos osvídeos foram retirados de canais do youtube que possuíam permissão para uso acadêmico ou permitiam alteração (Creative Commons). Fonte:…
  • 29.
    Necrose A necrose éuma forma de morte celular patológica caracterizada pela desintegração celular e resposta inflamatória. Desintegração Celular As membranas celulares se desintegram e as enzimas celulares extravasam, digerindo a célula e provocando uma reação inflamatória local do hospedeiro. Resposta Inflamatória A inflamação é induzida por substâncias liberadas das células mortas e serve para eliminar os debris celulares e iniciar o processo de reparo subsequente. Alterações Celulares A necrose é caracterizada por alterações no citoplasma e no núcleo das células lesionadas, diferenciando-a de outros tipos de morte celular. Mecanismos Bioquímicos Falha na geração de ATP, danos às membranas celulares e lesões irreversíveis aos componentes celulares por espécies reativas de oxigênio são mecanismos que levam à necrose.
  • 31.
    Tipos de Necrose Anecrose é uma forma de morte celular em que ocorre desintegração das membranas celulares. Apresenta diferentes padrões morfológicos dependendo do tecido afetado e da causa subjacente: Necrose de Coagulação Forma de necrose tecidual onde a arquitetura básica dos tecidos permanece preservada por dias após a morte celular. Os tecidos adquirem textura firme devido à desnaturação de proteínas estruturais e enzimas. Característica dos infartos em órgãos sólidos, exceto o cérebro. Necrose Liquefativa Observada em infecções bacterianas ou fúngicas focais, onde enzimas dos leucócitos digerem o tecido. Também ocorre em hipóxia no sistema nervoso central. As células mortas são completamente digeridas, formando uma massa viscosa líquida, eventualmente removida por fagócitos. Necrose Gangrenosa Comum em membros que perderam suprimento sanguíneo, envolvendo várias camadas de tecido. Quando há infecção bacteriana sobreposta, a morfologia muda para necrose liquefativa devido ao conteúdo destrutivo das bactérias e leucócitos, resultando na chamada "gangrena úmida".
  • 32.
    Tipos de Necrose Anecrose é uma forma de morte celular em que ocorre desintegração das membranas celulares. Apresenta diferentes padrões morfológicos dependendo do tecido afetado e da causa subjacente: Necrose Caseosa Típica de infecção tuberculosa, com aparência friável branco-amarelada ("semelhante a queijo"). Microscopicamente, exibe células rompidas com aparência granular amorfa rósea. A arquitetura do tecido é completamente destruída, frequentemente circundada por macrófagos e células inflamatórias. Necrose Gordurosa Áreas focais de destruição gordurosa resultantes da liberação de lipases pancreáticas. Comum na pancreatite aguda, onde as enzimas pancreáticas liquefazem as membranas dos adipócitos. Os ácidos graxos liberados combinam-se ao cálcio, produzindo áreas brancas acinzentadas visíveis (saponificação). Necrose Fibrinoide Forma especial de necrose que ocorre em reações imunes com deposição de complexos antígeno-anticorpo nas paredes vasculares ou em hipertensão grave. Produz aparência amorfa róseo- brilhante em preparações , comum em doenças imunologicamente mediadas como poliarterite nodosa.
  • 35.
    Característica Apoptose Necrose DefiniçãoMorte celular programada e controlada. Morte celular não programada, geralmente associada a lesão aguda. Causa Fisiológica (ex: embriogênese, renovação celular) ou patológica (ex: lesão por DNA). Quase sempre patológica (ex: isquemia, toxinas, trauma). Mecanismo Ativação de caspases e fragmentação ordenada da célula. Perda da integridade da membrana celular, liberação descontrolada do conteúdo celular. Morfologia Encolhimento celular, condensação da cromatina, formação de corpos apoptóticos. Inchaço celular, lise da membrana, inflamação ao redor. Inflamação Não causa inflamação (o conteúdo celular é fagocitado). Causa inflamação (o conteúdo celular é liberado no meio extracelular). Membrana plasmática Intacta até os estágios finais. Rápida perda da integridade da membrana. Destino da célula Fragmentos fagocitados por macrófagos. Célula e conteúdo se rompem, causando dano tecidual.
  • 36.
    Lesão Celular porHipóxia e Isquemia As causas mais comuns de lesão celular envolvem a privação de oxigênio aos tecidos: Hipóxia Deficiência de oxigênio nos tecidos, privando as células de um componente essencial para o metabolismo energético. Isquemia Redução do suprimento sanguíneo que, além da hipóxia, causa deficiência de nutrientes e acúmulo de metabólitos tóxicos. Obstrução Arterial A causa mais comum de hipóxia é a isquemia resultante de uma obstrução arterial, impedindo o fluxo sanguíneo adequado. Oxigenação Inadequada Doenças pulmonares podem comprometer a oxigenação sanguínea, resultando em hipóxia mesmo com fluxo sanguíneo normal. Transporte de Oxigênio Reduzido Anemia e intoxicação por monóxido de carbono (CO) diminuem a capacidade do sangue de transportar oxigênio para os tecidos.
  • 38.
    Acúmulos intracelulares Sob algumascircunstâncias, as células podem acumular quantidades anormais de várias substâncias, que podem ser inofensivas ou causar vários graus de lesão. Acúmulo lipídico Substâncias gordurosas acumuladas no citoplasma celular, comum em doenças como esteatose hepática. Acúmulo de glicogênio Excesso de glicogênio armazenado em células, frequente em distúrbios metabólicos como glicogenoses. Acúmulo proteico Proteínas anormais acumuladas dentro de organelas, tipicamente lisossomas, causando disfunção celular. Acúmulo de pigmentos Substâncias produzidas em outra parte do corpo e depositadas nas células, como na hemossiderose. As principais vias de acúmulo intracelular anormal são a remoção e a degradação inadequada ou produção excessiva de uma substância endógena, ou deposição de um material exógeno anormal.
  • 40.
    01:00 YouTube AVC: Sintomas queNUNCA Devem Ser Ignorados! | Como Identificar um … Você saberia identificar os sintomas de um AVC a tempo de salvar uma vida? O Acidente Vascular Cerebral (AVC), também conhecido como derrame cerebral, é…