PATOLOGIA CELULAR 1 
Patologia Celular 1 
Lesão celular reversível e 
irreversível, e 
adaptações celulares
Etapas Evolutivas da Agressão Celular 
Homeostasia 
Mudanças do meio externo 
Adaptações 
Lesão celular reversível 
Lesão celular irreversível 
Morte celular
Causas de lesão celular 
Hipóxia / Isquemia: 
Obstrução do fluxo, 
↓ oxigenação, ↓ transporte de O2 
Agentes físicos: Trauma, 
temperatura, radiação. 
Agentes químicos: Sal, 
glicose, oxigênio, drogas.
Causas de lesão celular 
Agentes infecciosos: 
Vírus, bactérias, fungos. 
Anormalidades 
Genéticas: Sínd. de Down, 
Anemia Falciforme. 
Anormalidades metabólicas: Desnutrição, 
Dislipidemia.
Determinantes da lesão celular 
Agente agressor: 
- tipo 
- duração 
- intensidade 
Célula lesada 
- tipo celular 
- idade 
- adaptabilidade
Sistemas sub-celulares vulneráveis 
Membranas celulares (manutenção da integridade) 
Mitocôndria (respiração aeróbica e produção de ATP) 
Síntese protéica (proteínas enzimáticas e estruturais) 
Integridade do genoma
Lesão e morte celular 
● Depleção de ATP. 
● Oxigênio e radicais livres derivados. 
● Aumento de Cálcio intracelular e perda de 
homeostasia de cálcio. 
● Alterações na permeabilidade da membrana.
Depleção de ATP 
ATP-ase de 
sódio e potássio 
Síntese 
de proteínas
Radicais livres do oxigênio
Lesão de reperfusão
Acúmulo intracelular de cálcio
Alteração da permeabilidade da 
membrana
Homeostasia 
Mudanças do meio externo 
Adaptações 
Lesão celular reversível 
Lesão celular irreversível
Adaptação dos tecidos 
1) Hipertrofia 
2) Hiperplasia 
3) Atrofia 
4) Metaplasia 
5) Acúmulos Intracelulares
Coração normal 
AD 
AE 
VE 
VD 
Septo IV
Coração hipertrófica / 
Hipertensão arterial 
VE 
VD
Hipertrofia: Hipertrofia cardíaca 
VD 
VE
Hipertrofia: Hipertrofia cardíaca (micro) 
normal hipertrofia 
200x
Hipertrofia: Hipertrofia cardíaca (micro) 
normal hipertrofia 
400x
Endométrio 
proliferativo 
Endométrio 
secretor 
Endométrio 
hiperplásico 
Hiperplasia
Hiperplasia endometrial
Tireóide normal
Hiperplasia da tireóide: doença de Graves
Tireóide normal Hiperplasia (Graves)
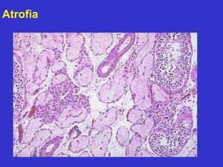
Atrofia 
Testículo 
normal Testículo 
atrófico
Atrofia
Metaplasia
Metaplasia
Metaplasia

01 aula patologia_Necrose 2