Reino animal BIO – TUBÃO
Protozoários Prof. tubão
FILOS Reino  Ciliophora ( ciliados) Protista  Sub-reino  Apicomplexa ( esporozoários ) Protozoa Sarcomastighopora (  flagelados e  sarodíneos  )
Reprodução:  a) Assexuada: Cissiparidade, brotamento, endogenia, esquizogonia (merogonia) b) Sexuada: Conjugação e esporogonia Nutrição: Heterótrofos e saprozóicos Excreção: difusão ou vacúolos contráteis Respiraçao: aeróbica ou anaeróbica
 
 
 
 
 
 
Termos mais usados em parasitologia Agente etiológico Vetor, Vetor mecânico e vetor biológico Hospedeiro, intermediário e definitivo Parasito monoxeno e  heteroxeno Ectoparsita, endoparasita Reservatório Epidemia, endemia e pandemia Esquizogonia, esporogonia e metagênese
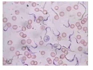
DOENÇA DE CHAGAS prof. Eduardo Agente etiológico : Trypanosoma   cruzi ,
Hospediro Invertebrado ou  Vetor :  “Barbeiro” No Brasil: Triatoma infestans, Panstrogylus megistus  são os principais insetos hemípteros da família Triatominae  (Triatomídeo)
MECANISMOS DE TRANSMISSÃO -Transmissão por insetos (fezes do inseto) -Transfusão sanguínea -Transmissão congênita -Acidentes de laboratório -Transmissão oral - Coito eTransplantes e
Fase Aguda -  Inicia-se com a entrada do parasito, Normalmente assintomática: Sinal de Romanã
“ FASE CRÔNICA , miocárdio. Surgimento de fibrose difusa, relacionada ao foco inflamatório
CARDIOMEGALIA
Megaesôfago   Megacólon
PROFILAXIA Melhoria das habitações principalmente rurais Combate ao barbeiro Controle do doador de sangue Controle da transmissão congênita Não há vacina comercial. Todas em testes
Malária ( Impaludismo, maleita, impaludismo, sezão, febre palustre, tremedeira, febre intermitente) Prof. Eduardo
Classe  Sporozoa   Gênero  Plasmodium   (todos parasitas intracelulares, sem estruturas locomotoras)
Quatro espécies de  plasmodium  parasitam humanos: P. vivax : Febre terçã benigna (48 hs.) P. malarie : Febre quartã benigna (   72 hs.) P. falciparum : Febre terçã maligna (36 – 48 hs.) P. ovale : Febre terçã benigna (48 hs.) No Brasil encontramos o  P. vivax,  o  P. malarie e P. falciparum   O  P. ovale  é restrito na África. Períodos de incubação vaiáveis:  P. falciparum,  8-12 dias;  P. vivax , 13 a 17 dias e  P. malarie , 28 a 37 dias.
O nome “mosquito-prego” vem da posição oblíqua em relação ao suporte que assumem quando pousam. Mosquito Vetor:  gênero  Anopheles .  Na América a principal espécie vetora é o  A. darlingi
 
 
PATOGENIA e SINTOMAS Fase inicial: mal-estar, cefaléia e cansaço Acesso malárico Coincide com  a ruptura das  hemácias  Calafrio - febre - sudorese – fraqueza O  P. falciparum   causa formação de trombos (necrose e falência do órgão). Regiões afetadas: fígado, baço e cérebro (malária cerebral
Profilaxia  Proteção individual Quimioprofilaxia Combate ao vetor  Melhoria das condições de vida
A Leishmaniose pode se apresentar das seguintes formas: A)Tegumentar :  Cutânea: provoca lesões cutâneas de aspecto pápulo-vesiculoso.
Cutânea difusa: provoca metástases.
Cutâneo-mucosa: destrói a mucosa nasofaríngea.
B) Visceral : geralmente fatal e incurável, ataca vísceras como fígado e baço.
REINO ANIMALIA  PORÍFEROS: As esponjas não possuem tecidos ou órgãos.  São aquáticas e vivem fixos nos substratos  São filtradores, com simetria radial ou sem simetria. Apresentam poros por onde a água penetra até o átrio e depois sai pelo ósculo. Apresentam células especiais, os COANÓCITOS, responsáveis pela digestão intracelular e pela captação do O2. Podem apresentar reprodução sexuada ou assexuada por brotamento, gemulação ou regeneração. Existem três tipos: ÁSCON, SÍCON ou LÊUCON.
 
CELENTERADOS ou CNIDÁRIOS: Primeiros sistema digestório incompleto e sistema nervoso difuso (simetria radial). São aquáticos, podem nadar (medusa)ou viver fixo  (pólipo). Podem viver em colônias (caravelas).  São predadores diblásticos, apresentam uma célula típica o CNIDOBLASTO. .A reprodução pode ser assexuada por brotamento ou sexuada com metagênese ( alternância de geração ). São de três classes, sifozoa (medusóide), hidrozoa (polipóide) e antozoa (corais e nêmonas).
 
 
PLATELMINTOS: São vermes achatados e vivem livre na água doce, salgada ou em terra úmida; são parasitas do homem. Apresentam simetrial bilateral  e cefalização Não possuem sistema respiratório e circulatório.  são triblásticos e a excreção é por células-flama ou SOLENÓCITOS.  Podem ser monóicos ( planárias e Taenia solium ) ou dióicos (Schistosoma mansoni). Sofrem regeneração
 
Classe Cestoda Teníase/Cisticercose Prof. TUBÃO
Teníase Agente Etiológico:   Taenia saginata   (boi) e  Taenia solium  ( porco) Hospedeiro definitivo: Homem Hospedeiro intermediário: Bovinos  e suínos (o homem pode assumir esta posição) Transmissão :  Em humanos comer carne mal cozida. Em bovinos  e suínos : ingerir ovos presentes nas fezes humanas. Nestes há formação de cisticercos (larvas)
 
 
 
 
 
 
Profilaxia Tratamento dos doentes Construção de pocilgas e fossas assépticas Não comer carne crua ou mal cozida Estimular melhoria no sistema de criação dos animais Inspeção de matadouros e frigoríficos. Não permitir a venda de carnes em feira livre sem a devida proteção e higiene.   Cozer bem as carnes, tratar os animais e humanos infectados
Esquistossomose
Agente Etiológico:  Gênero  Schistosoma.  Espécies: S.  mansoni, S. japonicum e S. haematobium Biologia:  Dimorfismo sexual, machos maiores com canal ginecóforo. Fêmeas redondas Hospedeiros definitivos : homens, ovinos e bovinos, podendo infectar qualquer mamífero. Hospedeiro Intermediário : moluscos aquáticos planorbídeos (gêneros  Bionphalaria e Phisopsis) . Parasita de veias mesentéricas e hepáticas de mamíferos e da massa visceral de moluscos
-  Morfologias  Verme adulto
Ovo
Miracídio
Cercária
Biomphalaria glabrata  Biomphalaria straminea  Biomphalaria tenagophila  Transmissores Família - Planorbidae Gênero -  Biomphalaria Espécies - Biomphalaria glabrata Biomphalaria straminea Biomphalaria tenagophila
Vermes imaturos - sistema porta Casal de verme (Adultos) - Veias mesentéricas inferiores
 
Ascite (Barriga d’água)
Profilaxia :  Tratar os animais e impedir que defequem próximos a água. Destruir as larvas na água. Combater os moluscos Drenagem de campos alagadiços em volta de pastagens Evitar que os ruminantes pastem em locais inundados ou após inundações.
NEMATELMINTOS TUBÃO
NEMATELMINTOS OU ASQUELMINTOS: São vermes de corpo alongado, simetria bilateral, triblásticos.  sistema digestivo completo, sem sistema respiratório e circulatório, maioria dióicos e reprodução sexuada. Possuem esqueleto hidrostático e uma cutícula resistente. São parasitas do homem. Grande biodiversidade
 
 
ASCARIDÍASE Prof. TUBÃO
ASCARIDOSE  ou ASCARIDÍASE  ( Lombriga ou Bicha) Agente Etiológico :  Ascaris lumbricoides Verme adulto  Mede  cerca de 20 a 40 centímetros
Ovo:  Cor castanha, cápsula espessa e resistente (quitina e proteinas) Fêmea é capaz de ovipor 200.000 ovos/dia
 
Ovos meio ambiente   Larva Rabditóide (L-1)     Larva Rabditóide (L-2)     Larva Filarióide (L-3)     Adulto    Ovo com larva infectante Hospedeiro: Definitivo -  Homem (monoxêno) Habitat:  Intestino delgado : jejuno e íleo  Patogenia ( estádio larval,   Depende do número de larvas) Patogenia ( Verme no estádio larval, depende do número de larvas) Fígado:  migração p/ parênquima pode causar hemorragias (necrose  e fibrose) Pulmões (Ciclo de Looss)  -  pontos hemorrágicos na passagem das larvas para os alvéolos.
Profilaxia Tratamento dos doentes Educação sanitária Construção de fossas assépticas Lavar as mãos antes de tocar nos alimentos Proteção dos alimentos contra os insetos.
Prof. TUBÃO AMARELÃO (ANCILOSTOMOSE Agente Etiológico :  Ancylostoma duodenale   e  Necator americanus
 
 
 
Habitat  - - principalmente duodeno, sendo que em infestação maciça  poderá ser encontrado também no jejuno. Patogenia da Penetração na pele:  Hiperemia, Prurido, Lesões traumáticas, Edema e Dermatite urticariforme  Pulmões (Ciclo de Looss) -  provocam pequenas alterações na passagem das larvas para os alvéolos mas ocorre  Síndrome de Löeffler: Tosse de pequena ou longa duração Febre Bronquite Pneumonia
Profilaxia: Tratamento dos doentes Educação sanitária Construção de privadas e fossas assépticas Lavar as mãos antes de tocar nos alimentos Lavar os alimentos que são comidos drus Beber água filtrada ou fervida Usar calçados e luvas ao manipular o solo Incorporar na dieta alimentar proteínas e Ferro.
 
Diagnóstico Clínico
ANELÍDEOS: Corpo segmentado, dividido em anéis.  Vivem  em  solo úmido, na água doce e salgada.  Sanguessuga (hirudíneos), Nereis e Eunices (poliquetas) e minhocas (oligoquetas).  Alguns são hermafroditas, mas existem também os que apresentam sexos separados. Sistema circulatório fechado  com hemoglobina, e respirção  cutânea.  Excretção por metanefrídios. aumentando a aeração do solo e formam húmus fezes de minhocas, que fertiliza o solo.
 
 
MOLUSCOS: Possuem um corpo mole protegido por uma concha calcária, ou valva. (exceto a lesma e o polvo).   Vivem no mar, na terra e em água doce.   São formados por 3 partes principais:    Cabeça, (tentáculos), Massa visceral (região do manto e onde estão os órgãos) e o Pé (lubrificado). A massa visceral é recoberta por uma fina epiderme chamada manto que fabrica a concha.  Três grupos principais: bivalves, gastrópodes e cefalópodes.
A) gastrópodes:  cabaça, pé, massa visceral, rádula, pulmonados ou branquiais, glândulas pedais (muco) Caramujos e caracóis
B) bivalves:  cabaça, pé, sem rádula, filtradores, branquiais, produzem pérolas. Mariscos e ostras
 
B) cefalópodes:  cabaça, pé, massa visceral, primeiro cérebro (polvo). Lulas possuem cocha interna. Polvos não tem concha.
ARTRÓPODES: Possuem pernas articuladas e o corpo segmentado. Possuem um exoesqueleto resistente que impermeabiliza o corpo e possibilita movimentos.  Limita o crescimento forçando o animal fazer as mudas ou ecdises (troca do exoesqueleto).
 
CRUSTÁCEOS: A maioria é AQUÁTICA (exceto o tatu-bola). Fazem parte do plâncton marinho e de água doce. lagosta, camarão, siri e caranguejo e cracas.    o corpo da lagosta é revestido por um exoesqueleto de quitina e calcário e divide-se em duas partes: cefalotórax (conjunto de cabeça e tórax) e abdome.    Corpo dividido em cefalotórax e abdome; possuem cinco ou mais pares de pernas, dois pares de antenas e a maioria respira por brânquias.  No cefalotórax encontram-se as antenas e as pinças
CRUSTÁCEOS
ARACNÍDEOS: Aranhas, escorpiões e ácaros (carrapatos). corpo dividido em cefalotórax e abdome.  Quatro pares de patas e não possuem antenas. Possuem  quelíceras e palpos.  As quelíceras inoculam veneno paralisando a e os palpos servem para manipular o alimento. Possuem glândulas fiandeiras (teias). Os escorpiões injetam veneno através do aguilhão. Os carrapatos são hematófagos e transmitem doenças como febre maculosa e a sarna.
ARACNIDEOS
INSETOS: Os insetos existem em todas as regiões do mundo. Grupo com o biodiversidade (vivem em quase todos os ambientes).  O corpo dividido em cabeça, tórax e abdome. Um par de antenas e três pares de pernas. A maioria possui um  ou dois pares de asas. Olhos compostos que formam imagens.  Aparelho bucal variando conforme o habitat.  Crustáceos: São polinizadores mas também causam doenças. Podem ser sociais.
INSETOS
METAMORFOSE
EQUINODERMOS :  exclusivamente marinhos, com endoesqueleto calcário que emite espinhos ( echinos  = espinho).   São pentaradiais, porém as larvas são bilaterais .    Possuem pés ambulacrários, por meio dos quais o animal se locomove, que são  projeções de um complexo sistema interno de canais que formam o chamado sistema ambulacrário (hidrovascular).   A boca fica na face inferior e Ânus na face superior. São deutorostômios, como os cordados.  São as estrelas-do-mar, ss ouriços-do-mar,  as bolachas-da-praia e os pepinos-do-mar.
 
 
CORDADOS Nocorda Tubo neural Fendas branquiais Cauda 1- Protordados Anfioxo e Ascidias
 
2)  VERTEBRADO S A)  Agnatos  ou ciclostomados: Lampreias e peixes bruxas
B)  Peixes Cartilaginosos  ou codríctes  Boca ventral (tubarões e raias) Escamas placóides Fendas branquiais Ausência de bexiga natatória
C)  Peixes ósseos  (osteíctes) Primeiro esqueleto ósseo (crânio e coluna vertebral) Boca anterior Escamas dérmicas Bexiga natatória opérculo
Peixes ósseos pulmonados Primeiros tetrápodes Ancestrais dos anfíbios
D)  Anfíbios  (vida dupla): sapos rãs e salamandras -  girino  (larva): aquático, branquial e ápoda -  adulto : terrestre (mal adaptado), pele fina (permeável) respiração pulmonar e cutânea, ovo sem casca, fecundação externa (dependência da água)
E)  Répteis : cobras, lagartos tartarugas e jacarés. Independência da água: fecundação interna, ovo com casca e anexos, pele queratinizada.  Ectotérmicos ou exotérmicos
F)  Aves : Penas querarinizadas (manutenção do calor e vôo) Ossos pneumáticos, músculos peitorais desenvolvidos, quilha, sacos aéreos, bico córneo, aussência de bexiga urinária.  Endotérmicos.
G)  Mamíferos : Pêlos queratinizados, glândulas mamarias, diafragma e dentes diferenciados. a) Monotremados ou (ornitorrinco e équidinas): ovíparos (sem palcenta)
b)  marsupiais  (bolsa ou marsúpio) Placenta primitiva: cangurus, gambás e koalas.
c)  placentários  (maioria) desenvolvimento intra-uterino completo:

Reino animal

  • 1.
    Reino animal BIO– TUBÃO
  • 2.
  • 3.
    FILOS Reino Ciliophora ( ciliados) Protista Sub-reino Apicomplexa ( esporozoários ) Protozoa Sarcomastighopora ( flagelados e sarodíneos )
  • 4.
    Reprodução: a)Assexuada: Cissiparidade, brotamento, endogenia, esquizogonia (merogonia) b) Sexuada: Conjugação e esporogonia Nutrição: Heterótrofos e saprozóicos Excreção: difusão ou vacúolos contráteis Respiraçao: aeróbica ou anaeróbica
  • 5.
  • 6.
  • 7.
  • 8.
  • 9.
  • 10.
  • 11.
    Termos mais usadosem parasitologia Agente etiológico Vetor, Vetor mecânico e vetor biológico Hospedeiro, intermediário e definitivo Parasito monoxeno e heteroxeno Ectoparsita, endoparasita Reservatório Epidemia, endemia e pandemia Esquizogonia, esporogonia e metagênese
  • 12.
    DOENÇA DE CHAGASprof. Eduardo Agente etiológico : Trypanosoma cruzi ,
  • 13.
    Hospediro Invertebrado ou Vetor : “Barbeiro” No Brasil: Triatoma infestans, Panstrogylus megistus são os principais insetos hemípteros da família Triatominae (Triatomídeo)
  • 14.
    MECANISMOS DE TRANSMISSÃO-Transmissão por insetos (fezes do inseto) -Transfusão sanguínea -Transmissão congênita -Acidentes de laboratório -Transmissão oral - Coito eTransplantes e
  • 15.
    Fase Aguda - Inicia-se com a entrada do parasito, Normalmente assintomática: Sinal de Romanã
  • 16.
    “ FASE CRÔNICA, miocárdio. Surgimento de fibrose difusa, relacionada ao foco inflamatório
  • 17.
  • 18.
    Megaesôfago Megacólon
  • 19.
    PROFILAXIA Melhoria dashabitações principalmente rurais Combate ao barbeiro Controle do doador de sangue Controle da transmissão congênita Não há vacina comercial. Todas em testes
  • 20.
    Malária ( Impaludismo,maleita, impaludismo, sezão, febre palustre, tremedeira, febre intermitente) Prof. Eduardo
  • 21.
    Classe Sporozoa Gênero Plasmodium (todos parasitas intracelulares, sem estruturas locomotoras)
  • 22.
    Quatro espécies de plasmodium parasitam humanos: P. vivax : Febre terçã benigna (48 hs.) P. malarie : Febre quartã benigna ( 72 hs.) P. falciparum : Febre terçã maligna (36 – 48 hs.) P. ovale : Febre terçã benigna (48 hs.) No Brasil encontramos o P. vivax, o P. malarie e P. falciparum O P. ovale é restrito na África. Períodos de incubação vaiáveis: P. falciparum, 8-12 dias; P. vivax , 13 a 17 dias e P. malarie , 28 a 37 dias.
  • 23.
    O nome “mosquito-prego”vem da posição oblíqua em relação ao suporte que assumem quando pousam. Mosquito Vetor: gênero Anopheles . Na América a principal espécie vetora é o A. darlingi
  • 24.
  • 25.
  • 26.
    PATOGENIA e SINTOMASFase inicial: mal-estar, cefaléia e cansaço Acesso malárico Coincide com a ruptura das hemácias Calafrio - febre - sudorese – fraqueza O P. falciparum causa formação de trombos (necrose e falência do órgão). Regiões afetadas: fígado, baço e cérebro (malária cerebral
  • 27.
    Profilaxia Proteçãoindividual Quimioprofilaxia Combate ao vetor Melhoria das condições de vida
  • 28.
    A Leishmaniose podese apresentar das seguintes formas: A)Tegumentar : Cutânea: provoca lesões cutâneas de aspecto pápulo-vesiculoso.
  • 29.
  • 30.
    Cutâneo-mucosa: destrói amucosa nasofaríngea.
  • 31.
    B) Visceral :geralmente fatal e incurável, ataca vísceras como fígado e baço.
  • 32.
    REINO ANIMALIA PORÍFEROS: As esponjas não possuem tecidos ou órgãos. São aquáticas e vivem fixos nos substratos São filtradores, com simetria radial ou sem simetria. Apresentam poros por onde a água penetra até o átrio e depois sai pelo ósculo. Apresentam células especiais, os COANÓCITOS, responsáveis pela digestão intracelular e pela captação do O2. Podem apresentar reprodução sexuada ou assexuada por brotamento, gemulação ou regeneração. Existem três tipos: ÁSCON, SÍCON ou LÊUCON.
  • 33.
  • 34.
    CELENTERADOS ou CNIDÁRIOS:Primeiros sistema digestório incompleto e sistema nervoso difuso (simetria radial). São aquáticos, podem nadar (medusa)ou viver fixo (pólipo). Podem viver em colônias (caravelas). São predadores diblásticos, apresentam uma célula típica o CNIDOBLASTO. .A reprodução pode ser assexuada por brotamento ou sexuada com metagênese ( alternância de geração ). São de três classes, sifozoa (medusóide), hidrozoa (polipóide) e antozoa (corais e nêmonas).
  • 35.
  • 36.
  • 37.
    PLATELMINTOS: São vermesachatados e vivem livre na água doce, salgada ou em terra úmida; são parasitas do homem. Apresentam simetrial bilateral e cefalização Não possuem sistema respiratório e circulatório. são triblásticos e a excreção é por células-flama ou SOLENÓCITOS. Podem ser monóicos ( planárias e Taenia solium ) ou dióicos (Schistosoma mansoni). Sofrem regeneração
  • 38.
  • 39.
  • 40.
    Teníase Agente Etiológico: Taenia saginata (boi) e Taenia solium ( porco) Hospedeiro definitivo: Homem Hospedeiro intermediário: Bovinos e suínos (o homem pode assumir esta posição) Transmissão : Em humanos comer carne mal cozida. Em bovinos e suínos : ingerir ovos presentes nas fezes humanas. Nestes há formação de cisticercos (larvas)
  • 41.
  • 42.
  • 43.
  • 44.
  • 45.
  • 46.
  • 47.
    Profilaxia Tratamento dosdoentes Construção de pocilgas e fossas assépticas Não comer carne crua ou mal cozida Estimular melhoria no sistema de criação dos animais Inspeção de matadouros e frigoríficos. Não permitir a venda de carnes em feira livre sem a devida proteção e higiene. Cozer bem as carnes, tratar os animais e humanos infectados
  • 48.
  • 49.
    Agente Etiológico: Gênero Schistosoma. Espécies: S. mansoni, S. japonicum e S. haematobium Biologia: Dimorfismo sexual, machos maiores com canal ginecóforo. Fêmeas redondas Hospedeiros definitivos : homens, ovinos e bovinos, podendo infectar qualquer mamífero. Hospedeiro Intermediário : moluscos aquáticos planorbídeos (gêneros Bionphalaria e Phisopsis) . Parasita de veias mesentéricas e hepáticas de mamíferos e da massa visceral de moluscos
  • 50.
    - Morfologias Verme adulto
  • 51.
  • 52.
  • 53.
  • 54.
    Biomphalaria glabrata Biomphalaria straminea Biomphalaria tenagophila Transmissores Família - Planorbidae Gênero - Biomphalaria Espécies - Biomphalaria glabrata Biomphalaria straminea Biomphalaria tenagophila
  • 55.
    Vermes imaturos -sistema porta Casal de verme (Adultos) - Veias mesentéricas inferiores
  • 56.
  • 57.
  • 58.
    Profilaxia : Tratar os animais e impedir que defequem próximos a água. Destruir as larvas na água. Combater os moluscos Drenagem de campos alagadiços em volta de pastagens Evitar que os ruminantes pastem em locais inundados ou após inundações.
  • 59.
  • 60.
    NEMATELMINTOS OU ASQUELMINTOS:São vermes de corpo alongado, simetria bilateral, triblásticos. sistema digestivo completo, sem sistema respiratório e circulatório, maioria dióicos e reprodução sexuada. Possuem esqueleto hidrostático e uma cutícula resistente. São parasitas do homem. Grande biodiversidade
  • 61.
  • 62.
  • 63.
  • 64.
    ASCARIDOSE ouASCARIDÍASE ( Lombriga ou Bicha) Agente Etiológico : Ascaris lumbricoides Verme adulto Mede cerca de 20 a 40 centímetros
  • 65.
    Ovo: Corcastanha, cápsula espessa e resistente (quitina e proteinas) Fêmea é capaz de ovipor 200.000 ovos/dia
  • 66.
  • 67.
    Ovos meio ambiente  Larva Rabditóide (L-1)  Larva Rabditóide (L-2)  Larva Filarióide (L-3)  Adulto  Ovo com larva infectante Hospedeiro: Definitivo - Homem (monoxêno) Habitat: Intestino delgado : jejuno e íleo Patogenia ( estádio larval, Depende do número de larvas) Patogenia ( Verme no estádio larval, depende do número de larvas) Fígado: migração p/ parênquima pode causar hemorragias (necrose e fibrose) Pulmões (Ciclo de Looss) - pontos hemorrágicos na passagem das larvas para os alvéolos.
  • 68.
    Profilaxia Tratamento dosdoentes Educação sanitária Construção de fossas assépticas Lavar as mãos antes de tocar nos alimentos Proteção dos alimentos contra os insetos.
  • 69.
    Prof. TUBÃO AMARELÃO(ANCILOSTOMOSE Agente Etiológico : Ancylostoma duodenale e Necator americanus
  • 70.
  • 71.
  • 72.
  • 73.
    Habitat -- principalmente duodeno, sendo que em infestação maciça poderá ser encontrado também no jejuno. Patogenia da Penetração na pele: Hiperemia, Prurido, Lesões traumáticas, Edema e Dermatite urticariforme Pulmões (Ciclo de Looss) - provocam pequenas alterações na passagem das larvas para os alvéolos mas ocorre Síndrome de Löeffler: Tosse de pequena ou longa duração Febre Bronquite Pneumonia
  • 74.
    Profilaxia: Tratamento dosdoentes Educação sanitária Construção de privadas e fossas assépticas Lavar as mãos antes de tocar nos alimentos Lavar os alimentos que são comidos drus Beber água filtrada ou fervida Usar calçados e luvas ao manipular o solo Incorporar na dieta alimentar proteínas e Ferro.
  • 75.
  • 76.
  • 77.
    ANELÍDEOS: Corpo segmentado,dividido em anéis.  Vivem em solo úmido, na água doce e salgada. Sanguessuga (hirudíneos), Nereis e Eunices (poliquetas) e minhocas (oligoquetas). Alguns são hermafroditas, mas existem também os que apresentam sexos separados. Sistema circulatório fechado com hemoglobina, e respirção cutânea. Excretção por metanefrídios. aumentando a aeração do solo e formam húmus fezes de minhocas, que fertiliza o solo.
  • 78.
  • 79.
  • 80.
    MOLUSCOS: Possuem umcorpo mole protegido por uma concha calcária, ou valva. (exceto a lesma e o polvo).   Vivem no mar, na terra e em água doce.   São formados por 3 partes principais:    Cabeça, (tentáculos), Massa visceral (região do manto e onde estão os órgãos) e o Pé (lubrificado). A massa visceral é recoberta por uma fina epiderme chamada manto que fabrica a concha. Três grupos principais: bivalves, gastrópodes e cefalópodes.
  • 81.
    A) gastrópodes: cabaça, pé, massa visceral, rádula, pulmonados ou branquiais, glândulas pedais (muco) Caramujos e caracóis
  • 82.
    B) bivalves: cabaça, pé, sem rádula, filtradores, branquiais, produzem pérolas. Mariscos e ostras
  • 83.
  • 84.
    B) cefalópodes: cabaça, pé, massa visceral, primeiro cérebro (polvo). Lulas possuem cocha interna. Polvos não tem concha.
  • 85.
    ARTRÓPODES: Possuem pernasarticuladas e o corpo segmentado. Possuem um exoesqueleto resistente que impermeabiliza o corpo e possibilita movimentos. Limita o crescimento forçando o animal fazer as mudas ou ecdises (troca do exoesqueleto).
  • 86.
  • 87.
    CRUSTÁCEOS: A maioriaé AQUÁTICA (exceto o tatu-bola). Fazem parte do plâncton marinho e de água doce. lagosta, camarão, siri e caranguejo e cracas.   o corpo da lagosta é revestido por um exoesqueleto de quitina e calcário e divide-se em duas partes: cefalotórax (conjunto de cabeça e tórax) e abdome.    Corpo dividido em cefalotórax e abdome; possuem cinco ou mais pares de pernas, dois pares de antenas e a maioria respira por brânquias. No cefalotórax encontram-se as antenas e as pinças
  • 88.
  • 89.
    ARACNÍDEOS: Aranhas, escorpiõese ácaros (carrapatos). corpo dividido em cefalotórax e abdome. Quatro pares de patas e não possuem antenas. Possuem quelíceras e palpos. As quelíceras inoculam veneno paralisando a e os palpos servem para manipular o alimento. Possuem glândulas fiandeiras (teias). Os escorpiões injetam veneno através do aguilhão. Os carrapatos são hematófagos e transmitem doenças como febre maculosa e a sarna.
  • 90.
  • 91.
    INSETOS: Os insetosexistem em todas as regiões do mundo. Grupo com o biodiversidade (vivem em quase todos os ambientes). O corpo dividido em cabeça, tórax e abdome. Um par de antenas e três pares de pernas. A maioria possui um ou dois pares de asas. Olhos compostos que formam imagens. Aparelho bucal variando conforme o habitat. Crustáceos: São polinizadores mas também causam doenças. Podem ser sociais.
  • 92.
  • 93.
  • 94.
    EQUINODERMOS : exclusivamente marinhos, com endoesqueleto calcário que emite espinhos ( echinos = espinho).   São pentaradiais, porém as larvas são bilaterais .    Possuem pés ambulacrários, por meio dos quais o animal se locomove, que são projeções de um complexo sistema interno de canais que formam o chamado sistema ambulacrário (hidrovascular).   A boca fica na face inferior e Ânus na face superior. São deutorostômios, como os cordados. São as estrelas-do-mar, ss ouriços-do-mar, as bolachas-da-praia e os pepinos-do-mar.
  • 95.
  • 96.
  • 97.
    CORDADOS Nocorda Tuboneural Fendas branquiais Cauda 1- Protordados Anfioxo e Ascidias
  • 98.
  • 99.
    2) VERTEBRADOS A) Agnatos ou ciclostomados: Lampreias e peixes bruxas
  • 100.
    B) PeixesCartilaginosos ou codríctes Boca ventral (tubarões e raias) Escamas placóides Fendas branquiais Ausência de bexiga natatória
  • 101.
    C) Peixesósseos (osteíctes) Primeiro esqueleto ósseo (crânio e coluna vertebral) Boca anterior Escamas dérmicas Bexiga natatória opérculo
  • 102.
    Peixes ósseos pulmonadosPrimeiros tetrápodes Ancestrais dos anfíbios
  • 103.
    D) Anfíbios (vida dupla): sapos rãs e salamandras - girino (larva): aquático, branquial e ápoda - adulto : terrestre (mal adaptado), pele fina (permeável) respiração pulmonar e cutânea, ovo sem casca, fecundação externa (dependência da água)
  • 104.
    E) Répteis: cobras, lagartos tartarugas e jacarés. Independência da água: fecundação interna, ovo com casca e anexos, pele queratinizada. Ectotérmicos ou exotérmicos
  • 105.
    F) Aves: Penas querarinizadas (manutenção do calor e vôo) Ossos pneumáticos, músculos peitorais desenvolvidos, quilha, sacos aéreos, bico córneo, aussência de bexiga urinária. Endotérmicos.
  • 106.
    G) Mamíferos: Pêlos queratinizados, glândulas mamarias, diafragma e dentes diferenciados. a) Monotremados ou (ornitorrinco e équidinas): ovíparos (sem palcenta)
  • 107.
    b) marsupiais (bolsa ou marsúpio) Placenta primitiva: cangurus, gambás e koalas.
  • 108.
    c) placentários (maioria) desenvolvimento intra-uterino completo: