Epitélio Cúbico Simples Folículo Primordial Folículo em Desenvolvimento Antro Folicular Camada Granulosa Membrana Pelúcida
Epitélio Cúbico Simples Folículo Primordial
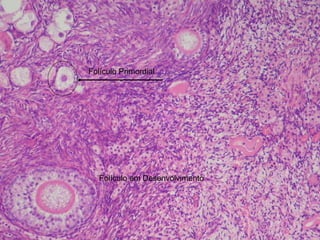
Folículo Primordial Folículo em Desenvolvimento Camada Granulosa  Oócito
Folículo em Desenvolvimento Folículo Primordial
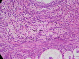
Corpo Lúteo Antro Folicular Teca Interna Teca Externa Camada Granulosa
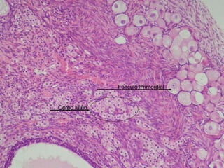
Corpo lúteo Folículo Primordial
Oócito Célula Folicular Folículo Primordial
Corpo Lúteo
Membrana Pelúcida Camada Granulosa Teca Folicular Folículo Primordial Coroa Radiada

OváRio