• AUGUSTO LAMERI SIQUEIRA
• CAÍQUE ARAUJO SIQUEIRA
Caíque A. Siqueira
Caíque A. Siqueira
Caíque A. Siqueira
ARCADA SUPERIOR
ARCADA INFERIOR
Caíque A. Siqueira
LADO ESQUERDOLADO DIREITO
Caíque A. Siqueira
QUADRANTE (HEMI-ARCADA)
SUPERIOR DIREITA 1_
QUADRANTE (HEMI-ARCADA)
INFERIOR ESQUERDA 3_
QUADRANTE (HEMI-ARCADA)
SUPERIOR ESQUERDA 2_
QUADRANTE (HEMI-ARCADA)
INFERIOR DIREITA 4_
1
2 211
22 1 33
3 3
4 4
4 4
Caíque A. Siqueira
Caíque A. Siqueira
1112 21 22
314142 32
13 23 2414
343344
43
Caíque A. Siqueira
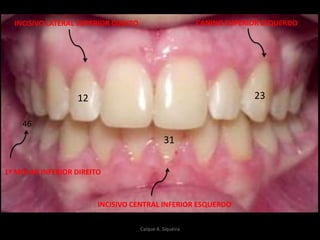
12
46
23
31
INCISIVO LATERAL SUPERIOR DIREITO
INCISIVO CENTRAL INFERIOR ESQUERDO
1º MOLAR INFERIOR DIREITO
CANINO SUPERIOR ESQUERDO
Caíque A. Siqueira
Caíque A. Siqueira
Caíque A. Siqueira
Caíque A. Siqueira
Caíque A. Siqueira
Caíque A. Siqueira
Caíque A. Siqueira
Caíque A. Siqueira
Caíque A. Siqueira
TERÇO CERVICAL
TERÇO MÉDIO
TERÇO INCISAL
Caíque A. Siqueira
TERÇODISTAL
TERÇOMESIAL
TERÇOMEDIANO
Caíque A. Siqueira
Caíque A. Siqueira
•AUGUSTO LAMERI SIQUEIRA
• CAÍQUE ARAUJO SIQUEIRA
Caíque A. Siqueira
- FORMATO TRAPEZOIDAL
- ALARGADO
- ALTURA E LARGURA TEM COMPRIMENTOS
PROPORCIONAIS
Caíque A. Siqueira
-BOSSA VESTIBULAR
- SULCOS DE DESENVOLVIMENTO
- LÓBULOS DE DESENVOLVIMENTO:
DISTAL, MEDIANO E MESIAL.
Caíque A. Siqueira
- FACE INCISAL
LIGEIRAMENTE
INCLINADA PARA
DISTAL;
- ÂNGULO MESIAL
MAIS RETILÍNEO E
ÂNGULO DISTAL
POUCO
ARREDONDADO.
Caíque A. Siqueira
Caíque A. Siqueira
- FORMATO TRAPEZOIDAL
- CRISTAS MARGINAIS
- FOSSA
- CÍNGULO
Caíque A. Siqueira
Caíque A. Siqueira
- FAZEM PONTO DE CONTATO;
- MESIAL MAIOR, MENOS
ARREDONDADA E MENOS
INCLINADA (CONVERGENTE) PARA
CERVICAL.
MESIAL DISTAL
Caíque A. Siqueira
Caíque A. Siqueira
caiquesiqueira@anatomiadental.com.br
anatomiadental.com.br

Generalidades e Incisivo Central Superior