Curso de Atualização e Técnicas Avançadas em
MNPS – 2019 (ver 10.36.07)
Planejamento de Radiocirurgia
Armando Alaminos Bouza.
Equipe de desenvolvimento MNPS-CAT3D.
Mevis Informática Médica LTDA.
São Paulo. Agosto de 2019.
MNPS permite planejar radiocirurgia (SRS) com colimadores de seção
transversal circular. Esta geometria do feixe de fótons é conseguida com a
secundaria colimação criada pelos chamados “cones”.
Para o caso de Radioterapia Estereotáxica Conformada, nossa
recomendação é planejar e conformar os campos com o sistema
CAT3D.
Apôs aprovado, exporte o plano CAT3D para fusão.
No MNPS registre o mesmo conjunto de imagens.
Registre e faça a fusão com o plano do CAT3D.
Importe os POIs do CAT3D.
Agora esse POIs do CAT3D, incluindo todos os isocentros, estão em
coordenadas estereotáxica, computados com todo o rigor
matemático do MNPS para estereotaxia.
NOTA: O módulo de radiocirurgia é opcional, não está presente na configuração básica do MNPS.
O conjunto de cones é configurado no
comissionamento do MNPS, isso significa que
podemos utilizar colimadores de qualquer
fabricante, desde que sejam circulares.
O intervalo de diâmetros recomendado é de 6.0 a
50 mm, ao nível do isocentro.
O LINAC também pode ser configurado. O intervalo
recomendado de energia de fótons é de 4 a 8 MeV,
sendo particularmente adequado utilizar 6 MeV.
A radiocirurgia depende de um aparelho
estereotáxico. Neste sentido também temos
flexibilidade. Todos os modelos suportados pelo
MNPS podem ser utilizados como imobilizadores e
localizadores.
O início do novo plano, no caso da radiocirurgia, é igual que para planos de biópsias, funcional
e qualquer outra modalidade.
Mas lembre que alguns fabricantes produzem localizadores especiais para radiocirurgia,
geralmente mais altos. Deve selecionar o modelo de localizador que foi colocado na CT.
Caso do
Hardware
FiMe
Caso do
Hardware
Micromar
Na radiocirurgia sempre temos posição UPWARD nos fiducials.
Lembre que alguns fabricantes produzem localizadores especiais para radiocirurgia, geralmente mais altos
para abranger o crânio todo. Deve selecionar o modelo de localizador que foi colocado na CT.
Os cálculos relativos à penetração dos fótons no tecido dependem da distância percorrida pelo
feixe entre a fonte e a entrada na pele do paciente. Este processo interno do sistema é chamado
de “Ray Tracing”. Para que o MNPS consiga definir a porta de entrada de cada feixe no paciente é
necessário limpar as imagens, de modo que todo o ar externo ao paciente seja facilmente
identificado no “Ray Tracing”.
Estando na janela “Mosaic” do MNPS deve fazer CLIKC no botão indicado na figura da direita.
Janela de Mosaic
Barra de botões na janela Mosaic
No modo “Clean Image” o sistema apresenta cada corte em forma de imagem binária (branco ou preto).
Com as teclas de seta esquerda e direita o operador modifica o limiar que define a borda do paciente.
Quando achar que está bom use a tecla <ENTER>. O sistema apresentará uma versão em azul escuro (ar
externo) e cyan (tecido ou ar interno) de como será recortada a borda do paciente. Dê <ENTER> para
confirmar ou <BackSpace> para voltar. Este processo é repetido para cada imagem na sequência.
IMPORTANTE : Caso este processo seja esquecido os resultados dosimétricos serão errados !
Recursos do “Clean Image”. Também podemos ajustar o limiar do tecido com
mouse e botão direito. Dê <ENTER> para continuar.
Caso seja necessário fazer retoque use a tecla <INSERT> para entrar ao modo Retouch. O modo
Retouch permite adicionar ou remover tecido com um pincel circular de diâmetro que pode ser
modificado. Termine com <ENTER> para continuar com o próximo plano.
Nova ferramenta: Criar um FOV auxiliar para cortar todo elemento fora
do paciente, até aqueles que estão em contato com a pele (sem ter
desenhar). Acionado com tecla <F>
Começamos criando ao menos um isocentro. Cada campo dinâmico de irradiação tem
que estar vinculado a um isocentro. Os isocentros são POIs.
Observar que a fusão pode ajudar a definir os alvos da SRS
Geralmente o isocentro (POI) é criado com a ajuda de ROIs que definem as bordas
do alvo em todos os planos onde a lesão (GTV) está presente e as vezes esta ROI
pode incluir margens de segurança (PTV).
Uma ferramenta interessante para definir a localização dos POIs que são isocentros
está no menu das ROIs : “ROI center to POI”. Alternativamente pode utilizar “ROI
center of mass”.
Para iniciar a definição e edição de campos dinâmicos (arcos) de tratamento, pode
fazer CLICK no botão indicado da barra de ferramentas ou utilizar a tecla <F11>
Se for um tratamento novo, o MNPS vai abrir um diálogo para selecionar o arquivo de
dados dosimétricos e geométricos para o LINAC que será usado no tratamento.
Em seguida se abre o editor de arcos de irradiação
Diâmetros de cones
disponíveis neste
sistema
Cada linha da tabela é um
arco de tratamento com
todos seus parâmetros.
DRR em orientação BEV como ajuda para selecionar tamanho dos cones.
(DRR/BEV apenas está disponivel com arcos ativos)
DRR = Digital Reconstructed Radiograph
BEV = Beam Eye View
Resultado do BEV para o campo 1,
estando a mesa em 60 graus e o gantry
em 30 graus.
O BEV percorre o arco completamente.
Para movimentar o ângulo de gantry
utilize <PageUp> e <PageDown>.
<F4> e <CTRL-F4> controlan o zoom.
Solução com isocentro único
Arcos planejados e resultado da
isodose na janela 3D
Controle da isodose ou superfície de igual dose que se
apresenta na janela de 3D.
Na barra de botões da janela 3D CLICK no botão
indicado ou <CTRL-I>
Recursos para avaliar qualidade do plano.
Abrir o menu da radiocirurgia com botão
indicado na barra de ferramentas ou com
<CTRL-F11>.
Menu da Radiocirurgia
“Conformity Index”
Selecionar ROI
Resultadoíndicedeconformação
Recursos para avaliar qualidade do plano: Dose Volume Histogram (DVH)
Abrir Menu da Radiocirurgia
Selecionar “Dose-Volume Histogram”
DVH:Resultadosdoplanocomisocentroúnico. Recursos para avaliar qualidade do plano: DVH
Vamos procurar aprimorar o plano usando três isocentros
Três isocentros colocados de forma meio arbitrária dentro do PTV ou orientados pela “experiência” do operador
Resultado da distribuição de dose com os três isocentros não otimizados
Prescrição na curva de 60%
Axial Coronal Índice de conformação
Podemos otimizar ou melhorar a distribuição da dose manualmente, mudando a posição dos
isocentros, modificando os pesos de cada arco e até mudando diâmetros de cones. Fazer isto em
forma eficiente demanda muita experiência por parte do operador. Normalmente toma muito tempo
a otimização manual do plano.
Para amenizar a complexidade no MNPS implementamos um método de otimização automática
baseado em índice de conformidade. O sistema procura maximizar o índice de conformidade e
respeitar o tecido sadio da periferia da lesão e um possível órgão de risco (OAR).
Abrir o Menu da Radiocirurgia e selecionar “Optimize Iso &
Weight”
Após configurar os parâmetros da otimização e confirmar com OK o MNPS inicia a minimização da função
objetivo, que em grande parte depende do índice de conformidade e também de restrições fora do alvo.
As variáveis de cada arco que se otimizam são coordenadas dos isocentros (x,y,z) e peso de cada arco.
Veja nas figuras parte da evolução do processo até atingir um ponto de mínimo nesse espaço
multidimensional (neste caso com 25 dimensões).
Após a otimização os pesos dos arcos estão modificados, como pode conferir ao abrir o
editor de arcos de radiocirurgia.
As coordenadas dos isocentros também podem mudar no processo.
Isodose antes de otimizar Isodose após otimizar
Como mudou o índice de conformidade após otimização
Ambos índices tiveram melhorias. O índice 1 (Paddick) é melhor quanto mais perto de 1.00.
O índice de 2 (Jackie, et. al.) é perfeito quando seja 0.0, ele mede a distância média entre a isodose
de prescrição e a borda do alvo (PTV neste caso).
Isodose de 60% otimizada em relação do PTV
Outro indicador que o MNPS calcula é a
dose integral dentro do volume encerrado
por cada curva de Isodose. Existem
autores que correlacionam a dose integral
com probabilidade de complicação,
particularmente no caso de MAV.
Abrir o Menu da Radiocirurgia e
selecionar “Integral Dose”.
Podemos avaliar a dose que será administrada a pontos particularmente importantes.
Para isso marcamos POIs nestes pontos e abrimos o Menu da Radiocirurgia.
Selecionamos “Dose to POIs”.
Depois de aprovado o plano pelo radioterapeuta, o neurocirurgião e o físico, devemos
imprimir o protocolo de tratamento, que contém todos os parâmetros necessários no
console controlador do LINAC. Também apresenta a localização de cada isocentro, ângulos
de mesa e gantry. Abrir Menu da Radiocirurgia e selecionar “Protocol”.
Muitos sistemas vem com localizadores milimetrados para mesa de LINAC. Nesse caso é apenas centrar as
coordenadas dos isocentro, indicadas pelo protocolo anterior, com ajuda dos LASERs da sala.
Exemplo sistema FiMe:
Em alguns sistema o imobilizador e localizador para a mesa do LINAC não está
gravado com as coordenadas estereotáxicas. Nesse caso o MNPS pode gerar um
mapa com escala milimetrada para afixar nas paredes da Caixa localizadora. Os
mapas apresentam a projeção dos LASERs laterais e vertical sobre as paredes da
caixa localizadora.
Selecione o isocentro e arco. Segundo número é
ângulo de mesa. É recomendado ter um arco com
mesa em Zero.
Exemplo de mapa para
uma caixa localizadora
com coordenadas
estereotáxicas do tipo
BrainLab.
Virtual Fiducials e Radiocirurgia: Com o novo modo de fiducials virtuais podemos fazer um pré-
planejamento baseado na sequência de MRI dias antes do procedimento. No dia da radiocirurgia
conseguimos importar quase integralmente o pré-plano dentro das imagens localizadas.
Pré-plano da SRS utilizando apenas
imagens de MRI sem fiducials (não
localizadas).
Estando satisfeito com o plano, vai
ao menu inicial, selecione “FILE” e
“Export for Fusion”, ou pelo botão
indicado embaixo:
Exporte também todos os arcos do pré-
plano utilizando o recurso “Template
Export”, presente no menu da
radiocirurgia.
Na CT estereotáxica fazemos o registro e fusão com a MRI e depois importamos as ROIs e POIs.
ROIs e POIs
Importados
Do pré-plano
Agora importamos os arcos
do pré-plano via “Template
Import”.
NOTA: o arquivo do template
fica na pasta de instalação do
MNPS e tem a extensão
“.TEM”. Quando não seja mais
necessário pode deletar o
referido arquivo.
Localizador estereotáxico para DSA. Modelo de FiMe. A direita um exemplo de DSA lateral criada com este tipo de
localizador. O MNPS necessita uma vista de DSA em AP e outra LAT, cada uma mostrando os 8 marcadores da projeção.
MNPS tem ferramentas para localizar Malformações arteriovenosas (MAV) com
pares de angiografias (DSA). Este é um caso do tipo de Registro 2D – 3D.
Apôs ter iniciado o plano com a tomografia estereotáxica, podemos registrar a
imagens de angiografia.
No menu inicial do MNPS selecione “Xray-pair” seguido de “New Orthogonal X-
ray”, Isto abre uma janela de seleção, primeiro da vista AP e depois da LAT.
Para registrar cada vista de DSA, localize cada marcador, de um CLICK de mouse seguido de <ENTER>.
Isso abre uma lista de marcadores onde deve selecionar qual dos marcadores corresponde ao CLICK previo.
O operado do MNPS deve repetir o processo anterior para os 8 marcadores da
vista AP e para os 8 na vista LAT.
Os marcadores que já foram identificados ficam sinalizados com “OK” na coluna
da direita da lista.
Ao terminar de identificar o último
marcados na vista LAT, ambas vistas
de DSA ficam registradas no volume
estereotáxico da CT e ao movimentar
o cursor sobre as imagens de DSA
vemos as coordenadas estereotáxicas
sendo reportadas no título da janela
Windows (window’s caption).
O cursor também é acompanhado
pelas reconstruções de stereo-CT na
parte inferior da janela.
Botões e coordenadas na parte
inferior esquerda da janela
Agora o MNPS
pode projetar ROIs,
POIs, isodoses
sobre as vistas de
Raio-X (DSA neste
caso).
Também Podemos
criar POIs sobre as
vistas de DSA,
medir distancias,
melhorar brilho e
contraste, etc.
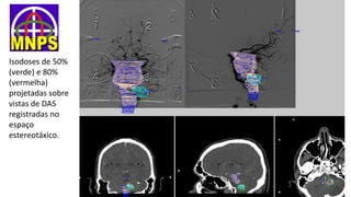
Isodoses de 50%
(verde) e 80%
(vermelha)
projetadas sobre
vistas de DAS
registradas no
espaço
estereotáxico.
Novo menu de ajuda na janela X-ray pair (versão 10.36.07) inclui recursos para
visualizar melhor as imagens de raio-X
A tecla * permite utilizar todo espaço
da janela do MNPS para mostrar raio-
X, e ela mesma alterna entre as formas
de visualização.
F4 e CTRL-F4 permitem usar zoom ou
remover o zoom.
A tecla + ativa uma lente para
magnificar parte da janela.
Raio-X
Full View
Raio-X
Full View
E Zoom
Tractografia e seleção de fibras por colisão com volumes de isodose
Como fica evidente ao observar o menu da Radiocirurgia, nesta aula não
esgotamos todos recursos presentes no MNPS, mas deixamos o aluno em
condição de explorar o restante individualmente.
Todas as outras ferramentas previamente estudadas estão disponíveis no
planejamento da radiocirurgia, incluindo POIs, ROIs, registro e fusão,
tractografias, o uso de mapas, etc. Está nas mão do operador integrar todos
estes recursos em forma criativa agregando informação e segurança ao
procedimento.
fim.

Curso MNPS 2019. Radiosurgery

  • 1.
    Curso de Atualizaçãoe Técnicas Avançadas em MNPS – 2019 (ver 10.36.07) Planejamento de Radiocirurgia Armando Alaminos Bouza. Equipe de desenvolvimento MNPS-CAT3D. Mevis Informática Médica LTDA. São Paulo. Agosto de 2019.
  • 2.
    MNPS permite planejarradiocirurgia (SRS) com colimadores de seção transversal circular. Esta geometria do feixe de fótons é conseguida com a secundaria colimação criada pelos chamados “cones”.
  • 3.
    Para o casode Radioterapia Estereotáxica Conformada, nossa recomendação é planejar e conformar os campos com o sistema CAT3D. Apôs aprovado, exporte o plano CAT3D para fusão. No MNPS registre o mesmo conjunto de imagens. Registre e faça a fusão com o plano do CAT3D. Importe os POIs do CAT3D. Agora esse POIs do CAT3D, incluindo todos os isocentros, estão em coordenadas estereotáxica, computados com todo o rigor matemático do MNPS para estereotaxia.
  • 4.
    NOTA: O módulode radiocirurgia é opcional, não está presente na configuração básica do MNPS. O conjunto de cones é configurado no comissionamento do MNPS, isso significa que podemos utilizar colimadores de qualquer fabricante, desde que sejam circulares. O intervalo de diâmetros recomendado é de 6.0 a 50 mm, ao nível do isocentro. O LINAC também pode ser configurado. O intervalo recomendado de energia de fótons é de 4 a 8 MeV, sendo particularmente adequado utilizar 6 MeV. A radiocirurgia depende de um aparelho estereotáxico. Neste sentido também temos flexibilidade. Todos os modelos suportados pelo MNPS podem ser utilizados como imobilizadores e localizadores.
  • 5.
    O início donovo plano, no caso da radiocirurgia, é igual que para planos de biópsias, funcional e qualquer outra modalidade. Mas lembre que alguns fabricantes produzem localizadores especiais para radiocirurgia, geralmente mais altos. Deve selecionar o modelo de localizador que foi colocado na CT. Caso do Hardware FiMe
  • 6.
    Caso do Hardware Micromar Na radiocirurgiasempre temos posição UPWARD nos fiducials. Lembre que alguns fabricantes produzem localizadores especiais para radiocirurgia, geralmente mais altos para abranger o crânio todo. Deve selecionar o modelo de localizador que foi colocado na CT.
  • 7.
    Os cálculos relativosà penetração dos fótons no tecido dependem da distância percorrida pelo feixe entre a fonte e a entrada na pele do paciente. Este processo interno do sistema é chamado de “Ray Tracing”. Para que o MNPS consiga definir a porta de entrada de cada feixe no paciente é necessário limpar as imagens, de modo que todo o ar externo ao paciente seja facilmente identificado no “Ray Tracing”. Estando na janela “Mosaic” do MNPS deve fazer CLIKC no botão indicado na figura da direita. Janela de Mosaic Barra de botões na janela Mosaic
  • 8.
    No modo “CleanImage” o sistema apresenta cada corte em forma de imagem binária (branco ou preto). Com as teclas de seta esquerda e direita o operador modifica o limiar que define a borda do paciente. Quando achar que está bom use a tecla <ENTER>. O sistema apresentará uma versão em azul escuro (ar externo) e cyan (tecido ou ar interno) de como será recortada a borda do paciente. Dê <ENTER> para confirmar ou <BackSpace> para voltar. Este processo é repetido para cada imagem na sequência. IMPORTANTE : Caso este processo seja esquecido os resultados dosimétricos serão errados !
  • 9.
    Recursos do “CleanImage”. Também podemos ajustar o limiar do tecido com mouse e botão direito. Dê <ENTER> para continuar.
  • 10.
    Caso seja necessáriofazer retoque use a tecla <INSERT> para entrar ao modo Retouch. O modo Retouch permite adicionar ou remover tecido com um pincel circular de diâmetro que pode ser modificado. Termine com <ENTER> para continuar com o próximo plano.
  • 11.
    Nova ferramenta: Criarum FOV auxiliar para cortar todo elemento fora do paciente, até aqueles que estão em contato com a pele (sem ter desenhar). Acionado com tecla <F>
  • 12.
    Começamos criando aomenos um isocentro. Cada campo dinâmico de irradiação tem que estar vinculado a um isocentro. Os isocentros são POIs. Observar que a fusão pode ajudar a definir os alvos da SRS
  • 13.
    Geralmente o isocentro(POI) é criado com a ajuda de ROIs que definem as bordas do alvo em todos os planos onde a lesão (GTV) está presente e as vezes esta ROI pode incluir margens de segurança (PTV).
  • 14.
    Uma ferramenta interessantepara definir a localização dos POIs que são isocentros está no menu das ROIs : “ROI center to POI”. Alternativamente pode utilizar “ROI center of mass”.
  • 15.
    Para iniciar adefinição e edição de campos dinâmicos (arcos) de tratamento, pode fazer CLICK no botão indicado da barra de ferramentas ou utilizar a tecla <F11> Se for um tratamento novo, o MNPS vai abrir um diálogo para selecionar o arquivo de dados dosimétricos e geométricos para o LINAC que será usado no tratamento.
  • 16.
    Em seguida seabre o editor de arcos de irradiação Diâmetros de cones disponíveis neste sistema Cada linha da tabela é um arco de tratamento com todos seus parâmetros.
  • 17.
    DRR em orientaçãoBEV como ajuda para selecionar tamanho dos cones. (DRR/BEV apenas está disponivel com arcos ativos)
  • 18.
    DRR = DigitalReconstructed Radiograph BEV = Beam Eye View Resultado do BEV para o campo 1, estando a mesa em 60 graus e o gantry em 30 graus. O BEV percorre o arco completamente. Para movimentar o ângulo de gantry utilize <PageUp> e <PageDown>. <F4> e <CTRL-F4> controlan o zoom.
  • 19.
    Solução com isocentroúnico Arcos planejados e resultado da isodose na janela 3D
  • 20.
    Controle da isodoseou superfície de igual dose que se apresenta na janela de 3D. Na barra de botões da janela 3D CLICK no botão indicado ou <CTRL-I>
  • 21.
    Recursos para avaliarqualidade do plano. Abrir o menu da radiocirurgia com botão indicado na barra de ferramentas ou com <CTRL-F11>. Menu da Radiocirurgia “Conformity Index” Selecionar ROI Resultadoíndicedeconformação
  • 22.
    Recursos para avaliarqualidade do plano: Dose Volume Histogram (DVH) Abrir Menu da Radiocirurgia Selecionar “Dose-Volume Histogram”
  • 23.
  • 24.
    Vamos procurar aprimoraro plano usando três isocentros
  • 25.
    Três isocentros colocadosde forma meio arbitrária dentro do PTV ou orientados pela “experiência” do operador
  • 26.
    Resultado da distribuiçãode dose com os três isocentros não otimizados Prescrição na curva de 60% Axial Coronal Índice de conformação
  • 27.
    Podemos otimizar oumelhorar a distribuição da dose manualmente, mudando a posição dos isocentros, modificando os pesos de cada arco e até mudando diâmetros de cones. Fazer isto em forma eficiente demanda muita experiência por parte do operador. Normalmente toma muito tempo a otimização manual do plano. Para amenizar a complexidade no MNPS implementamos um método de otimização automática baseado em índice de conformidade. O sistema procura maximizar o índice de conformidade e respeitar o tecido sadio da periferia da lesão e um possível órgão de risco (OAR). Abrir o Menu da Radiocirurgia e selecionar “Optimize Iso & Weight”
  • 28.
    Após configurar osparâmetros da otimização e confirmar com OK o MNPS inicia a minimização da função objetivo, que em grande parte depende do índice de conformidade e também de restrições fora do alvo. As variáveis de cada arco que se otimizam são coordenadas dos isocentros (x,y,z) e peso de cada arco. Veja nas figuras parte da evolução do processo até atingir um ponto de mínimo nesse espaço multidimensional (neste caso com 25 dimensões).
  • 29.
    Após a otimizaçãoos pesos dos arcos estão modificados, como pode conferir ao abrir o editor de arcos de radiocirurgia. As coordenadas dos isocentros também podem mudar no processo.
  • 30.
    Isodose antes deotimizar Isodose após otimizar
  • 31.
    Como mudou oíndice de conformidade após otimização Ambos índices tiveram melhorias. O índice 1 (Paddick) é melhor quanto mais perto de 1.00. O índice de 2 (Jackie, et. al.) é perfeito quando seja 0.0, ele mede a distância média entre a isodose de prescrição e a borda do alvo (PTV neste caso).
  • 32.
    Isodose de 60%otimizada em relação do PTV
  • 33.
    Outro indicador queo MNPS calcula é a dose integral dentro do volume encerrado por cada curva de Isodose. Existem autores que correlacionam a dose integral com probabilidade de complicação, particularmente no caso de MAV. Abrir o Menu da Radiocirurgia e selecionar “Integral Dose”.
  • 34.
    Podemos avaliar adose que será administrada a pontos particularmente importantes. Para isso marcamos POIs nestes pontos e abrimos o Menu da Radiocirurgia. Selecionamos “Dose to POIs”.
  • 35.
    Depois de aprovadoo plano pelo radioterapeuta, o neurocirurgião e o físico, devemos imprimir o protocolo de tratamento, que contém todos os parâmetros necessários no console controlador do LINAC. Também apresenta a localização de cada isocentro, ângulos de mesa e gantry. Abrir Menu da Radiocirurgia e selecionar “Protocol”.
  • 36.
    Muitos sistemas vemcom localizadores milimetrados para mesa de LINAC. Nesse caso é apenas centrar as coordenadas dos isocentro, indicadas pelo protocolo anterior, com ajuda dos LASERs da sala. Exemplo sistema FiMe:
  • 37.
    Em alguns sistemao imobilizador e localizador para a mesa do LINAC não está gravado com as coordenadas estereotáxicas. Nesse caso o MNPS pode gerar um mapa com escala milimetrada para afixar nas paredes da Caixa localizadora. Os mapas apresentam a projeção dos LASERs laterais e vertical sobre as paredes da caixa localizadora. Selecione o isocentro e arco. Segundo número é ângulo de mesa. É recomendado ter um arco com mesa em Zero.
  • 38.
    Exemplo de mapapara uma caixa localizadora com coordenadas estereotáxicas do tipo BrainLab.
  • 39.
    Virtual Fiducials eRadiocirurgia: Com o novo modo de fiducials virtuais podemos fazer um pré- planejamento baseado na sequência de MRI dias antes do procedimento. No dia da radiocirurgia conseguimos importar quase integralmente o pré-plano dentro das imagens localizadas.
  • 40.
    Pré-plano da SRSutilizando apenas imagens de MRI sem fiducials (não localizadas). Estando satisfeito com o plano, vai ao menu inicial, selecione “FILE” e “Export for Fusion”, ou pelo botão indicado embaixo:
  • 41.
    Exporte também todosos arcos do pré- plano utilizando o recurso “Template Export”, presente no menu da radiocirurgia.
  • 42.
    Na CT estereotáxicafazemos o registro e fusão com a MRI e depois importamos as ROIs e POIs.
  • 43.
  • 44.
    Agora importamos osarcos do pré-plano via “Template Import”. NOTA: o arquivo do template fica na pasta de instalação do MNPS e tem a extensão “.TEM”. Quando não seja mais necessário pode deletar o referido arquivo.
  • 45.
    Localizador estereotáxico paraDSA. Modelo de FiMe. A direita um exemplo de DSA lateral criada com este tipo de localizador. O MNPS necessita uma vista de DSA em AP e outra LAT, cada uma mostrando os 8 marcadores da projeção.
  • 46.
    MNPS tem ferramentaspara localizar Malformações arteriovenosas (MAV) com pares de angiografias (DSA). Este é um caso do tipo de Registro 2D – 3D. Apôs ter iniciado o plano com a tomografia estereotáxica, podemos registrar a imagens de angiografia. No menu inicial do MNPS selecione “Xray-pair” seguido de “New Orthogonal X- ray”, Isto abre uma janela de seleção, primeiro da vista AP e depois da LAT.
  • 47.
    Para registrar cadavista de DSA, localize cada marcador, de um CLICK de mouse seguido de <ENTER>. Isso abre uma lista de marcadores onde deve selecionar qual dos marcadores corresponde ao CLICK previo.
  • 48.
    O operado doMNPS deve repetir o processo anterior para os 8 marcadores da vista AP e para os 8 na vista LAT. Os marcadores que já foram identificados ficam sinalizados com “OK” na coluna da direita da lista.
  • 49.
    Ao terminar deidentificar o último marcados na vista LAT, ambas vistas de DSA ficam registradas no volume estereotáxico da CT e ao movimentar o cursor sobre as imagens de DSA vemos as coordenadas estereotáxicas sendo reportadas no título da janela Windows (window’s caption). O cursor também é acompanhado pelas reconstruções de stereo-CT na parte inferior da janela. Botões e coordenadas na parte inferior esquerda da janela
  • 50.
    Agora o MNPS podeprojetar ROIs, POIs, isodoses sobre as vistas de Raio-X (DSA neste caso). Também Podemos criar POIs sobre as vistas de DSA, medir distancias, melhorar brilho e contraste, etc.
  • 51.
    Isodoses de 50% (verde)e 80% (vermelha) projetadas sobre vistas de DAS registradas no espaço estereotáxico.
  • 52.
    Novo menu deajuda na janela X-ray pair (versão 10.36.07) inclui recursos para visualizar melhor as imagens de raio-X A tecla * permite utilizar todo espaço da janela do MNPS para mostrar raio- X, e ela mesma alterna entre as formas de visualização. F4 e CTRL-F4 permitem usar zoom ou remover o zoom. A tecla + ativa uma lente para magnificar parte da janela.
  • 53.
  • 54.
  • 55.
    Tractografia e seleçãode fibras por colisão com volumes de isodose
  • 56.
    Como fica evidenteao observar o menu da Radiocirurgia, nesta aula não esgotamos todos recursos presentes no MNPS, mas deixamos o aluno em condição de explorar o restante individualmente. Todas as outras ferramentas previamente estudadas estão disponíveis no planejamento da radiocirurgia, incluindo POIs, ROIs, registro e fusão, tractografias, o uso de mapas, etc. Está nas mão do operador integrar todos estes recursos em forma criativa agregando informação e segurança ao procedimento. fim.