ANATOMIA E
FUNÇÕES DOS
TECIDOS LINFÓIDES
ÓRGĀOS LINFÓIDES
PRIMÁRIOS SECUNDÁRIOS
ÓRGĀOS LINFÓIDES
PRIMÁRIOS SECUNDÁRIOS
ÓRGÃOS/TECIDOS
LINFÓIDES PRIMÁRIOS
MEDULA ÓSSEA
O desenvolvimento das principais
linhagens de células sanguíneas é
ilustrado nesta árvore
hematopoiética.
MEDULA ÓSSEA
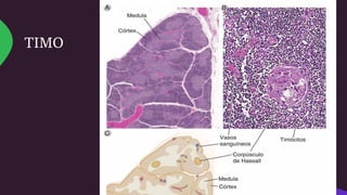
TIMO
TIMO
ÓRGÃOS/TECIDOS
LINFÓIDES SECUNDÁRIOS
SISTEMA LINFÁTICO
LINFONODOS
LINFONODOS
BAÇO
MORFOLOGIA DO BAÇO
TECIDO
LINFÁTICO
ASSOCIADO ÀS
MUCOSAS
(MALT)
TECIDO LINFÁTICO ASSOCIADO ÀS MUCOSAS (MALT)
TONSILAS
OBRIGADO
thiagofreitasnutri@gmail.com