INTRODUÇÃO ÀS
CÉLULAS
Prof. Dr. Sérgio Carvalho
DCNA - UEPA
CARACTERÍSTICAS UNIVERSAIS
DAS CÉLULAS NA TERRA
 Todas as células armazenam sua informação
hereditária no mesmo código químico linear:
o DNA.
 Todas as células replicam sua informação
hereditária por polimerização a partir de um
molde.
 Todas as células transcrevem partes de sua
informação hereditária em uma mesma forma
intermediária: o RNA.
 Todas as células utilizam proteínas como
catalisadores.
 Todas as células traduzem o RNA em
proteínas da mesma maneira.
 Cada proteína é codificada por um gene
específico.
 A vida requer energia livre.
 Todas as células são envoltas por uma
membrana plasmática através da qual os
nutrientes e materiais residuais devem
passar
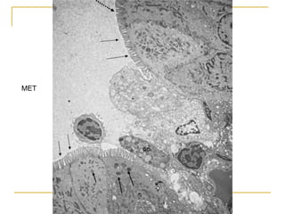
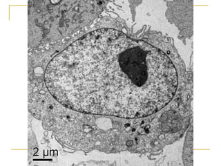
Microscópio eletrônico
 Possibilitou a observação de estruturas
celulares não visíveis ao microscópio óptico
em função de seu maior poder de resolução.
 VANTAGENS:
 MO
 Poder de resolução = 0,2 µm
 λ Luz visível = 400 nm
 ME
 Poder de resolução = 0,002 µm
 λ elétron acelerado = 0,005 nm
 Emprega feixes de elétrons acelerados a
60.000 volts.
 Aquecimento de um filamento de tungstênio
(ânodo).
 Aceleração a vácuo (DDP entre 60 e 100 Kv)
 Dois tipos:
 M. E. de Transmissão
 M. E. de Varredura
MET MEV - UFV
MO
MET
MEV
MFA
Superfície de Polietileno
Superfície de Polietileno
Listeria innocua aderida em mica (MFA)
MEMBRANA PLASMÁTICA
É uma estrutura dinâmica cujos
componentes se movimentam, mudam e
realizam papéis fisiológicos vitais que
permitam às células interagirem umas com
as outras e com moléculas do ambiente.
 DAVIDSON e DANIELLI
(1960) – Modelo Trilaminar
 proteína-lipídio-proteína
 SINGER e NICHOLSON
(1972) – Modelo Mosaico-
fluido
 Mosaico de proteínas imerso
em uma bicamada lipídica
fluida, cujos componentes
estão em constante
movimento.
LIPÍDEOS:
 Estabelecem a integridade física da
membrana e cria uma barreira efetiva para a
rápida passagem de materiais hidrofílicos
(água, íons, etc).
 Glicerofosfolipídeos (mais abundantes)
 Fosfatidilcolina, fosfatidilentanolamina,
fosfatidilserina, etc.
 Esteróis
 Colesterol e Estigmasterol
Composição
 Uma mesma molécula de glicerofosfolipídeo
pode se movimentar de um extremo a outro
da célula em pouco mais de um segundo.
Os movimentos de “flip-flop” são
muito raros (dificuldade da parte polar
da molécula atravessar a porção
hidrofóbica).
 Colesterol: Importante para a integridade da
membrana
 Comumente associado a um ácido graxo
insaturado, com a extremidade hidroxil voltada
para a porção aquosa da bicamada
 Pode aumentar ou diminuir a fluidez da
membrana, juntamente com a composição dos
ácidos graxos.
 ↑ [colesterol] = ↓ fluidez da membrana
 Ácidos graxos
 Mais curtos
 Insaturados membrana mais fluida.
 Todas as membranas têm estruturas
similares porém, membranas de células
diferentes ou organelas podem diferir muito
em sua composição lipídica.
 Ex: Algumas podem conter 25% de colesterol e
outras não haver.
Fosfatidilcolina
Fosfatidilserina
Fosfatidilentanolamina
Fosfatidilinositol
Esfingomielina
Fosfolipídeos e glicolipídeos têm distribuição
assimétrica na bicamada lipídica da membrana
plasmática.
PROTEÍNAS:
 São responsáveis pelo movimento de
materiais através da membrana e de
recepção de sinais químicos do ambiente.
 1 proteína a cada 25 de lipídeo (variação
dependendo da função da membrana).
 Apresentam regiões:
 Polares (predominam aa. com R hidrofílicos)
 Apolares (predominam aa. com R hidrofóbicos)
 Tipos de proteínas de membranas:
 INTEGRAIS: Apresentam regiões hidrofóbicas
que penetram na camada fosfolipídica, e camada
(s) hidrofílica (s) que se projeta (m) para um ou
em ambos os lados aquosos.
OBS: TRANSMEMBRANAS: Quando a proteína
atravessa inteiramente a bicamada lipídica.
 PERIFÉRICAS: Não possuem regiões
hidrofóbicas e não estão imersas na bicamada
lipídica. Contém regiões polares que reagem com
porções expostas de proteínas integrais ou com
moléculas de fosfolipídeos.
CARBOIDRATOS:
 Estão localizados na superfície externa da
membrana e servem como sítios de
reconhecimento para outras células e
moléculas.
 Oligossacarídeos que geralmente não se
estendem a 15 unidades de monossacarídeos.
 Podem estar ligados covalentemente a
lipídeos e proteínas.
 GLICOLIPÍDEOS
 GLICOPROTEÍNAS
 Os oligossacarídeos são adicionados às
proteínas no interior do complexo de Golgi.
 A camada de carboidratos ajuda a proteger a
superfície celular de danos mecânicos e
químicos.
 Possuem importante papel no
reconhecimento e na adesão celular.
 Conferem à célula uma superfície lubrificada
(oligossacarídeos e polissacarídeos dessa
camada absorvem água)
 Essa camada ajuda os glóbulos brancos, a
passarem por espaços apertados além de evitar
que as células do sangue se grudem umas nas
outras ou às paredes dos vasos sanguíneos.
TRANSPORTE ATRAVÉS DA
MEMBRANA
 A membrana apresenta a importante função
de permeabilidade seletiva: habilidade de
permitir algumas substâncias, mas não
outras, de entrar e sair da célula.
 PROCESSOS PASSIVOS
 PROCESSOS ATIVOS
 Movimento direcional de partículas de
regiões de alta concentração para regiões de
menor concentração, buscando o equilíbrio.
 Segue um gradiente de concentração
Difusão
Pequenas moléculas e íons podem se
mover de um extremo a outro de uma
organela em um milessegundo (10-3s)
A difusão leva a distribuição uniforme dos solutos
Difusão simples
 Passagem de pequenas moléculas
lipossolúveis através da bicamada lipídica da
membrana.
 Quanto mais lipossolúvel é a molécula, mais
rapidamente ela se difunde através da
membrana.
 Ex: Gases (O2 e CO2), uréia e solutos
lipossolúveis (hidrocarbonetos e álcool).
Osmose
 Movimento de água (difusão) de um meio
hipotônico para um hipertônico, através de
uma membrana semipermeável. Pressão
hidrostática
(peso da coluna)
Equilíbrio  Pressão osmótica = Pressão hidrostática
TRANSPORTE POR MEDIAÇÃO
 Ocorre através de proteínas específicas de
membrana denominadas permeases ou
transportadoras.
 São muito específicas e reconhecem um grupo
limitado ou somente um tipo de substância
química.
 O número de transportadores livres na
membrana é limitado.
 Em concentrações altas de soluto mostram um
efeito de saturação.
 Tipos de transporte por mediação:
 Difusão facilitada
 Transporte ativo
Difusão facilitada
 Difusão de substâncias polares
(aminoácidos, açúcares, íons, etc) através da
membrana, por permeases.
 PERMEASES: Proteínas integrais que formam
canais revestidos por aminoácidos polares e água
no seu interior e aminoácidos apolares no exterior
(inserção da proteína na bicamada lipídica).
 Ex: Glicose, íons
 Tipos de permeases na difusão facilitada:
 PROTEÍNAS CARREADORAS: Ligam-se ao
soluto específico a ser transportado e sofrem
alterações em sua conformação, transportando
soluto através da membrana (Ex: Glicose).
 PROTEÍNAS DE CANAL: Formam poros
preenchidos por água que se estendem através
da membrana e, que quando abertos permitem
que solutos específicos (íons inorgânicos como
Na+, K+, Ca2+ e Cl- ) passem por eles.
PROTEÍNAS CARREADORAS
PROTEÍNAS DE CANAL
PROTEÍNAS DE CANAL
 Como a água atravessa a membrana
plasmática?
 Hidratando íons e passando através dos canais
iônicos (até 12 moléculas de água podem cobrir
um íon).
 Por canais de água denominados aquaporinas.
 Classificação das proteínas carregadoras:
 UNIPORTE: Transportam um único soluto em
uma única direção (Ex: proteína ligante de Ca2+).
 SIMPORTE: Carregam dois solutos na mesma
direção (Ex: Proteínas que precisam da interação
entre sódio e aminoácidos).
 ANTIPORTE: Carregam dois solutos em direções
opostas (Bomba de sódio e potássio)
TRANSPORTE ATIVO
 Movimento de substâncias através de uma
membrana biológica contra o gradiente de
concentração.
 Bombas
 Requer gasto de energia (química  ATP,
elétrica ou luminosa).
 Ex: Bomba de Na+ / K+ e H+-ATPase
Bomba de Na+ e K+
Bomba de H+-ATPase
Bomba de Ca2+
A bomba de Ca2+ restitui o Ca2+ ao retículo sarcoplasmático em uma célula muscular
esquelética.
TRANSPORTE EM BLOCO
 Macromoléculas como proteínas,
polissacarídeos, ácidos nucléicos são
grandes e muito carregadas (polares) para
passar por entre canais de membrana.
 São transportados por vesículas
Fagocitose Pinocitose
ENDOCITOSE MEDIADA POR RECEPTORES
Eosinófilos
• Piecemeal (desestabilização do grânulo, formando
pequenos grânulos bem menores e que se fundem a MP).
• Endocitose compensatória
EXOCITOSE
JUNÇÕES INTERCELULARES
JUNÇÕES OCLUDENTES
JUNÇÕES OCLUDENTES
JUNÇÕES ADERENTES
JUNÇÕES ADERENTES
DESMOSSOMO
HEMIDESMOSSOMO
JUNÇÕES TIPO FENDA OU
COMUNICANTES
PLASMODESMO

Aula 01 – Membranas conteúdos introdutórios.pdf

  • 1.
    INTRODUÇÃO ÀS CÉLULAS Prof. Dr.Sérgio Carvalho DCNA - UEPA
  • 2.
    CARACTERÍSTICAS UNIVERSAIS DAS CÉLULASNA TERRA  Todas as células armazenam sua informação hereditária no mesmo código químico linear: o DNA.
  • 3.
     Todas ascélulas replicam sua informação hereditária por polimerização a partir de um molde.
  • 4.
     Todas ascélulas transcrevem partes de sua informação hereditária em uma mesma forma intermediária: o RNA.
  • 5.
     Todas ascélulas utilizam proteínas como catalisadores.
  • 6.
     Todas ascélulas traduzem o RNA em proteínas da mesma maneira.
  • 7.
     Cada proteínaé codificada por um gene específico.  A vida requer energia livre.  Todas as células são envoltas por uma membrana plasmática através da qual os nutrientes e materiais residuais devem passar
  • 11.
    Microscópio eletrônico  Possibilitoua observação de estruturas celulares não visíveis ao microscópio óptico em função de seu maior poder de resolução.  VANTAGENS:  MO  Poder de resolução = 0,2 µm  λ Luz visível = 400 nm  ME  Poder de resolução = 0,002 µm  λ elétron acelerado = 0,005 nm
  • 12.
     Emprega feixesde elétrons acelerados a 60.000 volts.  Aquecimento de um filamento de tungstênio (ânodo).  Aceleração a vácuo (DDP entre 60 e 100 Kv)  Dois tipos:  M. E. de Transmissão  M. E. de Varredura
  • 14.
  • 15.
  • 16.
  • 17.
  • 20.
  • 21.
  • 22.
  • 23.
  • 24.
    MEMBRANA PLASMÁTICA É umaestrutura dinâmica cujos componentes se movimentam, mudam e realizam papéis fisiológicos vitais que permitam às células interagirem umas com as outras e com moléculas do ambiente.
  • 27.
     DAVIDSON eDANIELLI (1960) – Modelo Trilaminar  proteína-lipídio-proteína  SINGER e NICHOLSON (1972) – Modelo Mosaico- fluido  Mosaico de proteínas imerso em uma bicamada lipídica fluida, cujos componentes estão em constante movimento.
  • 30.
    LIPÍDEOS:  Estabelecem aintegridade física da membrana e cria uma barreira efetiva para a rápida passagem de materiais hidrofílicos (água, íons, etc).  Glicerofosfolipídeos (mais abundantes)  Fosfatidilcolina, fosfatidilentanolamina, fosfatidilserina, etc.  Esteróis  Colesterol e Estigmasterol Composição
  • 38.
     Uma mesmamolécula de glicerofosfolipídeo pode se movimentar de um extremo a outro da célula em pouco mais de um segundo. Os movimentos de “flip-flop” são muito raros (dificuldade da parte polar da molécula atravessar a porção hidrofóbica).
  • 39.
     Colesterol: Importantepara a integridade da membrana  Comumente associado a um ácido graxo insaturado, com a extremidade hidroxil voltada para a porção aquosa da bicamada
  • 40.
     Pode aumentarou diminuir a fluidez da membrana, juntamente com a composição dos ácidos graxos.  ↑ [colesterol] = ↓ fluidez da membrana  Ácidos graxos  Mais curtos  Insaturados membrana mais fluida.
  • 41.
     Todas asmembranas têm estruturas similares porém, membranas de células diferentes ou organelas podem diferir muito em sua composição lipídica.  Ex: Algumas podem conter 25% de colesterol e outras não haver.
  • 42.
  • 44.
    PROTEÍNAS:  São responsáveispelo movimento de materiais através da membrana e de recepção de sinais químicos do ambiente.  1 proteína a cada 25 de lipídeo (variação dependendo da função da membrana).
  • 45.
     Apresentam regiões: Polares (predominam aa. com R hidrofílicos)  Apolares (predominam aa. com R hidrofóbicos)
  • 47.
     Tipos deproteínas de membranas:  INTEGRAIS: Apresentam regiões hidrofóbicas que penetram na camada fosfolipídica, e camada (s) hidrofílica (s) que se projeta (m) para um ou em ambos os lados aquosos. OBS: TRANSMEMBRANAS: Quando a proteína atravessa inteiramente a bicamada lipídica.  PERIFÉRICAS: Não possuem regiões hidrofóbicas e não estão imersas na bicamada lipídica. Contém regiões polares que reagem com porções expostas de proteínas integrais ou com moléculas de fosfolipídeos.
  • 53.
    CARBOIDRATOS:  Estão localizadosna superfície externa da membrana e servem como sítios de reconhecimento para outras células e moléculas.  Oligossacarídeos que geralmente não se estendem a 15 unidades de monossacarídeos.  Podem estar ligados covalentemente a lipídeos e proteínas.  GLICOLIPÍDEOS  GLICOPROTEÍNAS
  • 54.
     Os oligossacarídeossão adicionados às proteínas no interior do complexo de Golgi.
  • 56.
     A camadade carboidratos ajuda a proteger a superfície celular de danos mecânicos e químicos.  Possuem importante papel no reconhecimento e na adesão celular.  Conferem à célula uma superfície lubrificada (oligossacarídeos e polissacarídeos dessa camada absorvem água)  Essa camada ajuda os glóbulos brancos, a passarem por espaços apertados além de evitar que as células do sangue se grudem umas nas outras ou às paredes dos vasos sanguíneos.
  • 58.
    TRANSPORTE ATRAVÉS DA MEMBRANA A membrana apresenta a importante função de permeabilidade seletiva: habilidade de permitir algumas substâncias, mas não outras, de entrar e sair da célula.  PROCESSOS PASSIVOS  PROCESSOS ATIVOS
  • 59.
     Movimento direcionalde partículas de regiões de alta concentração para regiões de menor concentração, buscando o equilíbrio.  Segue um gradiente de concentração Difusão Pequenas moléculas e íons podem se mover de um extremo a outro de uma organela em um milessegundo (10-3s)
  • 60.
    A difusão levaa distribuição uniforme dos solutos
  • 61.
    Difusão simples  Passagemde pequenas moléculas lipossolúveis através da bicamada lipídica da membrana.  Quanto mais lipossolúvel é a molécula, mais rapidamente ela se difunde através da membrana.  Ex: Gases (O2 e CO2), uréia e solutos lipossolúveis (hidrocarbonetos e álcool).
  • 62.
    Osmose  Movimento deágua (difusão) de um meio hipotônico para um hipertônico, através de uma membrana semipermeável. Pressão hidrostática (peso da coluna) Equilíbrio  Pressão osmótica = Pressão hidrostática
  • 64.
    TRANSPORTE POR MEDIAÇÃO Ocorre através de proteínas específicas de membrana denominadas permeases ou transportadoras.  São muito específicas e reconhecem um grupo limitado ou somente um tipo de substância química.  O número de transportadores livres na membrana é limitado.  Em concentrações altas de soluto mostram um efeito de saturação.
  • 66.
     Tipos detransporte por mediação:  Difusão facilitada  Transporte ativo
  • 67.
    Difusão facilitada  Difusãode substâncias polares (aminoácidos, açúcares, íons, etc) através da membrana, por permeases.  PERMEASES: Proteínas integrais que formam canais revestidos por aminoácidos polares e água no seu interior e aminoácidos apolares no exterior (inserção da proteína na bicamada lipídica).  Ex: Glicose, íons
  • 68.
     Tipos depermeases na difusão facilitada:  PROTEÍNAS CARREADORAS: Ligam-se ao soluto específico a ser transportado e sofrem alterações em sua conformação, transportando soluto através da membrana (Ex: Glicose).  PROTEÍNAS DE CANAL: Formam poros preenchidos por água que se estendem através da membrana e, que quando abertos permitem que solutos específicos (íons inorgânicos como Na+, K+, Ca2+ e Cl- ) passem por eles.
  • 69.
  • 70.
  • 71.
  • 72.
     Como aágua atravessa a membrana plasmática?  Hidratando íons e passando através dos canais iônicos (até 12 moléculas de água podem cobrir um íon).  Por canais de água denominados aquaporinas.
  • 75.
     Classificação dasproteínas carregadoras:  UNIPORTE: Transportam um único soluto em uma única direção (Ex: proteína ligante de Ca2+).  SIMPORTE: Carregam dois solutos na mesma direção (Ex: Proteínas que precisam da interação entre sódio e aminoácidos).  ANTIPORTE: Carregam dois solutos em direções opostas (Bomba de sódio e potássio)
  • 77.
    TRANSPORTE ATIVO  Movimentode substâncias através de uma membrana biológica contra o gradiente de concentração.  Bombas  Requer gasto de energia (química  ATP, elétrica ou luminosa).  Ex: Bomba de Na+ / K+ e H+-ATPase
  • 78.
  • 79.
  • 80.
    Bomba de Ca2+ Abomba de Ca2+ restitui o Ca2+ ao retículo sarcoplasmático em uma célula muscular esquelética.
  • 81.
    TRANSPORTE EM BLOCO Macromoléculas como proteínas, polissacarídeos, ácidos nucléicos são grandes e muito carregadas (polares) para passar por entre canais de membrana.  São transportados por vesículas
  • 83.
  • 84.
  • 85.
    Eosinófilos • Piecemeal (desestabilizaçãodo grânulo, formando pequenos grânulos bem menores e que se fundem a MP). • Endocitose compensatória EXOCITOSE
  • 86.
  • 87.
  • 88.
  • 89.
  • 90.
  • 91.
  • 92.
  • 93.
    JUNÇÕES TIPO FENDAOU COMUNICANTES
  • 94.