CONSTITUINTES
DO SANGUE
O Organismo humano em Equilíbrio
Sistema Cardio-Respiratório
www.espacociencias.com .pt
Prof. Ana Rita Rainho
Funções
do sangue
• O sangue estabelece a ligação entre as células e o meio
que lhes é externo, permitindo:
• Transporte de gases, nutrientes e produtos de excreção
• Defesa do organismo
• Manutenção do equilíbrio interno do organismo (pH, temperatura…)
Constituintes do sangue
Plasma
46 a 63%
+
Elementos
celulares
37 a 54%
Glóbulos vermelhos
Glóbulos brancos
Plaquetas
Água
Substâncias
dissolvidas ou em
suspensão
- O2 e CO2,
- hormonas,
- nutrientes,
- minerais,
Elementos celulares
Glóbulos brancos
Asseguram a defesa do
organismo
Plaquetas
Coagulação do sangue
Glóbulos vermelhos
Transporte de gases: O2 e algum CO2
Glóbulos vermelhos
Células anucleadas, com forma de disco bicôncavo.
O transporte de gases é possível graças à hemoglobina, uma
proteína específica que possui elevada afinidade para o oxigénio.
Plaquetas
Formação de um
coágulo
As plaquetas, com a ajuda de proteínas específicas, formam uma
rede densa que impede a passagem das células sanguíneas para
os tecidos envolventes dos vasos lesados.
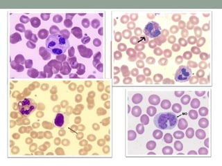
Tipos de glóbulos brancos
Neutrófilos Eosinófilos Basófilos
Linfócitos Monócitos
Existem vários tipos de glóbulos
brancos, com funções específicas na
defesa do organismo. Visualmente
distinguem-se principalmente pela
forma dos núcleos.
Imunidade e defesa
Macrófago a eliminar bactérias estranhas ao organismo
SISTEMA LINFÁTICO
www.biogeolearning.com
Prof. Ana Rita Rainho
Linfa
é um fluido circulante,
constituído por plasma
sanguíneo e glóbulos
brancos
Resulta da passagem do plasma através da parede dos
capilares para os espaços intersticiais.
Embora as células efectuem trocas com o
sangue, muitas delas não o conseguem fazer
directamente e por isso efectuam trocas com
a linfa intersticial.
O excesso de linfa é recolhido nos
vasos linfáticos, que depois vão
repôr o plasma no sistema
circulatório ao nível da veia cava.
Nem todas as células têm contacto
directo com os vasos sanguíneos.
Por isso efectuam as trocas gasosas
com a linfa intersticial, que será
posteriormente recolhida e lançada
no sistema circulatório.
Funções da linfa
Trocas com as céulas.
É no Timo e na Medula Óssea que
se formam e sofrem maturação os
glóbulos brancos.
O sistema linfático transporta os
leucócitos recém-formados até
serem lançados na corrente
sanguínea.
Funções da linfa
Defesa do Organismo.
Mais material disponível em
www.espacociencias.com.pt

CN9-constituintes do sangue

  • 1.
    CONSTITUINTES DO SANGUE O Organismohumano em Equilíbrio Sistema Cardio-Respiratório www.espacociencias.com .pt Prof. Ana Rita Rainho
  • 2.
    Funções do sangue • Osangue estabelece a ligação entre as células e o meio que lhes é externo, permitindo: • Transporte de gases, nutrientes e produtos de excreção • Defesa do organismo • Manutenção do equilíbrio interno do organismo (pH, temperatura…)
  • 3.
    Constituintes do sangue Plasma 46a 63% + Elementos celulares 37 a 54% Glóbulos vermelhos Glóbulos brancos Plaquetas Água Substâncias dissolvidas ou em suspensão - O2 e CO2, - hormonas, - nutrientes, - minerais,
  • 4.
    Elementos celulares Glóbulos brancos Assegurama defesa do organismo Plaquetas Coagulação do sangue Glóbulos vermelhos Transporte de gases: O2 e algum CO2
  • 5.
    Glóbulos vermelhos Células anucleadas,com forma de disco bicôncavo. O transporte de gases é possível graças à hemoglobina, uma proteína específica que possui elevada afinidade para o oxigénio.
  • 6.
    Plaquetas Formação de um coágulo Asplaquetas, com a ajuda de proteínas específicas, formam uma rede densa que impede a passagem das células sanguíneas para os tecidos envolventes dos vasos lesados.
  • 7.
    Tipos de glóbulosbrancos Neutrófilos Eosinófilos Basófilos Linfócitos Monócitos Existem vários tipos de glóbulos brancos, com funções específicas na defesa do organismo. Visualmente distinguem-se principalmente pela forma dos núcleos.
  • 9.
    Imunidade e defesa Macrófagoa eliminar bactérias estranhas ao organismo
  • 10.
  • 11.
    Linfa é um fluidocirculante, constituído por plasma sanguíneo e glóbulos brancos Resulta da passagem do plasma através da parede dos capilares para os espaços intersticiais. Embora as células efectuem trocas com o sangue, muitas delas não o conseguem fazer directamente e por isso efectuam trocas com a linfa intersticial.
  • 12.
    O excesso delinfa é recolhido nos vasos linfáticos, que depois vão repôr o plasma no sistema circulatório ao nível da veia cava.
  • 13.
    Nem todas ascélulas têm contacto directo com os vasos sanguíneos. Por isso efectuam as trocas gasosas com a linfa intersticial, que será posteriormente recolhida e lançada no sistema circulatório. Funções da linfa Trocas com as céulas.
  • 14.
    É no Timoe na Medula Óssea que se formam e sofrem maturação os glóbulos brancos. O sistema linfático transporta os leucócitos recém-formados até serem lançados na corrente sanguínea. Funções da linfa Defesa do Organismo.
  • 15.
    Mais material disponívelem www.espacociencias.com.pt