Radiologia veterinária
CLASSIFICAÇÃO DOS OSSOS
 Ossos longos – são aqueles onde o comprimento predomina sobre as demais
dimensões. Possuem duas epífises, uma diáfise e uma cavidade medular. Ex:
fêmur, úmero, ulna.
 Ossos curtos – são aqueles onde suas dimensões são equivalentes. Ex: ossos do
carpo e tarso.
 Ossos laminares – são aqueles em que a largura e o comprimento predominam
sobre a sua espessura, tem forma de lâmina. Ex: escápula.
 Ossos irregulares – são de formato completo, não se enquadram em nenhuma
figura geométrica conhecida. Ex: as vértebras e os ossos da base do crânio.
 Ossos pneumáticos – são os ossos que contem ar em seu interior. Ex: alguns
ossos do crânio, como maxilar e frontal, além de alguns ossos longos das aves.
 Ossos sesamóides – são também ossos curtos, que oferecem apoio para
músculos e tendões.
Osteologia
 A osteologia é a parte da anatomia que
estuda os ossos.
 Funções dos Ossos
1. Sustentação do corpo;
2. Atuam como alavancas;
3. Dão proteção a órgãos;
4. Servem de apoio p/ músculos e tendões;
5. Reservas de minerais (especialmente o cálcio e fósforo);
6. Função hematopoiética (medula óssea).
Obs: A função hematopoiética é a produção de células sanguíneas
através da medula óssea vermelha.
Figura – 1
Látero-lateral
Figura – 2
Dorso-ventral
Figura – 3
Látero-lateral oblíqua de
boca aberta
Figura – 4
Ventro-dorsal
oclusal
Figura – 5
Látero-lateral oblíqua de
boca aberta
Figura – 6
Ventro-dorsal oblíqua
de boca aberta
Figura – 7
Dorso-ventral oclusal
Figura – 8
Látero-lateral oblíqua
Figura – 9
Rostro-caudal (ventro-
dorsal)
de boca aberta
Figura – 10
Rostro-caudal
(ventro-dorsal)
de boca fechada
Figura – 11
Frontal
D
v
Cervicais (7) C1 a C7
Toráxicas (13) T1 a T13
Lombares (7) L1 a L7
Sacras (3) São unidas e formam o osso Sacro
Coccigeas (13 a 21) Co1 a Co13 ou Co21 formam a cauda
Costelas (13 pares) 9 chamadas de verdadeiras e 4 de flutuantes
Esqueleto apendicular Membro
Anterior
Escápula
Úmero (braço)
Rádio (antebraço)
Carpo (joelho)
Metacarpo (canela)
Falanges (dedos)
Membro
posterior (pélvico)
Coxal (Ísquio, Íleo e Púbis)
(bacia)
Fêmur (coxa)
Paleta (rótula)
Tíbia (perna)
Perônio (perna)
Tarso (jarrete)
Metatarso (canela)
Falanges (dedos)
ANATOMIACRÂNIIO
COLUNA
TORÁCICA
COLUNA
LOMBAR
TÓRAX CAUDA
FÊMUR
TÍBIA E
FÍBULA
ESCÁPULA
RÁDIO E ULNA
ÚMERO
CARPO
METACARPO
FALANGES
METATARS
O
FALANGES
TARSO
Cabeça - Ossos do crânio, face dorsal
1- Osso parietal.
2- Osso frontal.
3- Osso occipital.
4- Osso temporal.
5- Crista sagital.
6- Osso nasal.
7- Osso incisivo.
8- Fissura palatina.
9- Forame infraorbitário.
A- Osso zigomático.
B- Crista nucal.
Trocanter menor
Cabeça do
fêmur
Troncater
maior
Côndilo
medial
Fossa intercondilar
Côndilo
lateral
Fêmur de cão, vista caudal Fêmur de cão, vista cranial
Trocanter
maiorcabeça
Ttocante
menor
Epicôndilo
lateral
Epicôndilo
medial
Tróclea
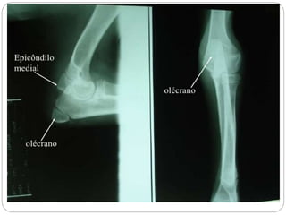
Radiografias
FIM

Posicionamento e anatomia

  • 1.
  • 2.
    CLASSIFICAÇÃO DOS OSSOS Ossos longos – são aqueles onde o comprimento predomina sobre as demais dimensões. Possuem duas epífises, uma diáfise e uma cavidade medular. Ex: fêmur, úmero, ulna.  Ossos curtos – são aqueles onde suas dimensões são equivalentes. Ex: ossos do carpo e tarso.  Ossos laminares – são aqueles em que a largura e o comprimento predominam sobre a sua espessura, tem forma de lâmina. Ex: escápula.  Ossos irregulares – são de formato completo, não se enquadram em nenhuma figura geométrica conhecida. Ex: as vértebras e os ossos da base do crânio.  Ossos pneumáticos – são os ossos que contem ar em seu interior. Ex: alguns ossos do crânio, como maxilar e frontal, além de alguns ossos longos das aves.  Ossos sesamóides – são também ossos curtos, que oferecem apoio para músculos e tendões.
  • 3.
    Osteologia  A osteologiaé a parte da anatomia que estuda os ossos.  Funções dos Ossos 1. Sustentação do corpo; 2. Atuam como alavancas; 3. Dão proteção a órgãos; 4. Servem de apoio p/ músculos e tendões; 5. Reservas de minerais (especialmente o cálcio e fósforo); 6. Função hematopoiética (medula óssea). Obs: A função hematopoiética é a produção de células sanguíneas através da medula óssea vermelha.
  • 4.
    Figura – 1 Látero-lateral Figura– 2 Dorso-ventral Figura – 3 Látero-lateral oblíqua de boca aberta Figura – 4 Ventro-dorsal oclusal Figura – 5 Látero-lateral oblíqua de boca aberta Figura – 6 Ventro-dorsal oblíqua de boca aberta
  • 5.
    Figura – 7 Dorso-ventraloclusal Figura – 8 Látero-lateral oblíqua Figura – 9 Rostro-caudal (ventro- dorsal) de boca aberta Figura – 10 Rostro-caudal (ventro-dorsal) de boca fechada Figura – 11 Frontal
  • 6.
  • 11.
    Cervicais (7) C1a C7 Toráxicas (13) T1 a T13 Lombares (7) L1 a L7 Sacras (3) São unidas e formam o osso Sacro Coccigeas (13 a 21) Co1 a Co13 ou Co21 formam a cauda Costelas (13 pares) 9 chamadas de verdadeiras e 4 de flutuantes Esqueleto apendicular Membro Anterior Escápula Úmero (braço) Rádio (antebraço) Carpo (joelho) Metacarpo (canela) Falanges (dedos) Membro posterior (pélvico) Coxal (Ísquio, Íleo e Púbis) (bacia) Fêmur (coxa) Paleta (rótula) Tíbia (perna) Perônio (perna) Tarso (jarrete) Metatarso (canela) Falanges (dedos)
  • 13.
  • 15.
    Cabeça - Ossosdo crânio, face dorsal 1- Osso parietal. 2- Osso frontal. 3- Osso occipital. 4- Osso temporal. 5- Crista sagital. 6- Osso nasal. 7- Osso incisivo. 8- Fissura palatina. 9- Forame infraorbitário. A- Osso zigomático. B- Crista nucal.
  • 18.
    Trocanter menor Cabeça do fêmur Troncater maior Côndilo medial Fossaintercondilar Côndilo lateral Fêmur de cão, vista caudal Fêmur de cão, vista cranial Trocanter maiorcabeça Ttocante menor Epicôndilo lateral Epicôndilo medial Tróclea
  • 19.
  • 37.