Covid-19
Introdução
 Doença viral provocada pelo SARS-CoV-2;
 Beta coronavírus de RNA fita simples envelopados;
 Receptor na célula hospedeira é o receptor da enzima conversora de
angiotensina 2 (ACE2);
 ACE2 muito presente em rins, coração, TGI, vasos e, principalmente, epitélio
pulmonar (pneumócitos tipo II);
 A proteína S (spike) é a ancoragem do vírus nas células;
 Proteína viral N responsável pela replicação e altamente produzida na
infecção ativa – altamente imunogênica;
Introdução
 A maioria das mutações virais não tem impacto na função viral;
 Algumas variantes tiveram maior impacto devido seu rápido surgimento entre
as populações, evidência de transmissão ou implicações clínicas;
 Omicron
 Contém mais de 30 mutações na proteína S
 Aumento da transmissibilidade e redução da susceptibilidade a anticorpos
neutralizantes, inclusive os monoclonais terapêuticos;
 Doença menos grave;
 Delta
 Variante mais prevalente até a chegada da omicron;
 Mais associada a doença mais grave e risco de hospitalização
Epidemiologia e transmissão
 Mais de 500 milhões de casos confirmados em todo o mundo;
 Em NOV/2021, mais de 3 milhões de pessoas já haviam sido contaminadas
pelo menos 1 vez;
 Taxa de mortalidade 2,3%;
 Nenhuma morte em casos não críticos;
 Transmissão de pessoa para pessoa é a forma mais comum;
 Contato a curta distância (2m);
 Partículas respiratórias;
 Outras formas:
 Contato de mãos contaminadas com mucosas;
 Inalação de partículas que permaneceram no ar, principalmente em espaços
fechados;
Epidemiologia e transmissão
 Potencial de transmissão se inicia antes do desenvolvimento dos sintomas;
 Maior transmissibilidade no início da doença, 2 dias antes do início dos
sintomas e 1 dia após;
 A detecção prolongada de RNA viral não indica infecciosidade prolongada;
 O “derramamento” do RNA viral pode aumentar com a idade e gravidade da
doença;
 Limiar de RNA viral abaixo do qual a infecciosidade é improvável;
 Indivíduos sintomáticos são muito mais transmissíveis que os assintomáticos;
Epidemiologia e transmissão
 O risco de transmissão depende:
 Tipo e duração da exposição;
 Uso de medidas preventivas;
 Fatores individuais;
 Quantidade de vírus nas secreções respiratórias;
 Transmissão aumenta quanto maior a proximidade e duração do contato;
 Contatos domiciliares;
 Ambientes fechados de trabalho;
 Ambientes de cuidados em saúde;
 Aglomerados sociais;
Apresentação Clínica
 Varia desde infecções assintomáticas a casos críticos;
 A maioria são de assintomáticos ou infecções leves;
 33 – 40% são de infecções assintomáticas
 Dos infectados, 81% doença leve;
 14% doença grave;
 5% doença crítica;
 Período de incubação 14 dias;
 Início dos sintomas em média 4 a 5 dias após o contato;
Apresentação clínica
 Quadro clínico:
 Febre;
 Tosse;
 Fadiga;
 Alteração de olfato e paladar;
 Anorexia ou hiporexia;
 Mialgia;
 Rinorreia;
 Cefaleia;
 Diarreia;
 Náuseas/vômitos;
 Dispneia;
Fatores de risco para doença grave
 Idade avançada (>65 anos);
 Neoplasias;
 Doença cerebrovascular;
 IRC;
 Tabagismo/DPOC;
 Diabetes;
 Hepatopatias crônicas;
 Cardiopatias;
 HIV;
 Obesidade;
 Imunossuprimidos e transplantados;
 Condições neurológicas;
Definições
 Resfriado comum: sintomas respiratórios leves
 Tosse;
 Obstrução nasal;
 Dor na orofaringe;
 Ausência de febre e sintomas sistêmicos;
 Síndrome Gripal: febre de início súbito, mesmo que referida, acompanhada
de sintomas leves
 Tosse
 Odinofagia ou obstrução nasal;
 Cefaleia;
 Mialgia/artralgia;
Síndrome Respiratória Agua Grave
 Critérios de síndrome gripal;
 Presença de dispneia e qualquer um destes:
 SAT < 95% em AA;
 Cianose;
 Sinais de desconforto respiratório ou aumento FR;
 Redução da amplitude de pulsos periféricos;
 Alteração do nível de consciência;
 Febre persistente;
 Insuficiência respiratória;
Diagnóstico
 Testar pacientes sintomáticos;
 Teste de amplificação de ácidos nucleicos (NAAT): RT-PCR;
 É o método de escolha;
 Identifica o RNA viral;
 Coletar preferencialmente entre o 3º e 4º dia de sintomas, podendo estender até o
10º dia;
 Pode ser repetido 24h após o primeiro teste;
 Teste de antígeno;
 Alternativa ao RT-PCR, com sensibilidade inferior;
 Identificam antígenos do SARS-CoV-2;
 Solicitar nos primeiros 5 a 7 dias do início dos sintomas, preferencialmente após o
3º dia;
Diagnóstico
 Testes sorológicos
 Detectam os anticorpos contra o SARS-CoV-2;
 Ajudam identificar pacientes com infecção prévia e atual que tiveram sintomas por
mais de 3 a 4 semanas;
 Utilidade limitada em cenário agudo;
Alterações laboratoriais associadas a
maior mortalidade
 D-dímero > 1000 ng/mL;
 PCR > 10 mg/dL;
 DHL > 245 U/L;
 Troponina > 2x o limite superior;
 Ferritina > 500 mcg/L;
 CPK > 2x o limite superior;
 Linfopenia < 800/mm3;
 Plaquetopenia;
 Elevação de transaminases;
Reinfecção
 O diagnóstico é um desafio;
 Características que aumentam a probabilidade:
 Intervalo de tempo longo desde a primeira infecção;
 Alto nível de RNA viral em testes repetidos;
 Critérios:
 RT-PCR positivo ≥ 90 dias após a primeira infecção;
 RT-PCR positivo 45 a 89 dias após a infecção inicial E sintomas consistente com
COVID sem outras explicação alternativa;
 Ideal: sequenciamento genômico para determinar que as infecções foram
causadas por vírus diferentes;
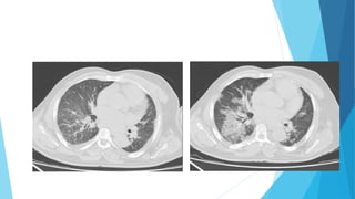
Características da Imagem
Tratamento ambulatorial
 Cloroquina e hidroxicloroquina NÃO são recomendados;
 Ácido ascórbico, colchicina, fluvoxamina, corticoides sistêmicos ou
inalatórios, plasma convalescente também NÃO são recomendados no
tratamento ambulatorial até o momento;
 O tratamento ambulatorial são SINTOMÁTICOS;
 Repouso, hidratação, alimentação adequada;
 Não há indicação de interromper uso de IECA/BRA, a não ser que haja outro
motivo para descontinuação;
Tratamento hospitalar
 Tratamento empírico para influenza com Oseltamivir deve ser iniciado e
descontinuada caso teste molecular para influenza for negativo;
 Profilaxia de TEV em TODOS os pacientes internados, salvo em
contraindicações;
 Anticoagulação plena em casos selecionados, como TVP e TEP;
 NÃO usar anticoagulação plena baseada em alterações de D-dímero;
 Pacientes com casos leves internados, devem receber tratamento
sintomático;
 Oxigênio suplementar conforme necessário;
Tratamento hospitalar
 Dexametasona:
 Indicada em todos os casos de hipoxemia em uso de O2 suplementar ou suporte
ventilatório;
 Redução de mortalidade;
 Uso por 7 a 10 dias, 6 mg/dia;
 Corticoides alternativos:
 Hidrocortisona 50 mg 6/6h
 Metilprednisolona 0,5 – 1 mg/kg 24/24h por 5 dias
 Prednisona 40-60 mg 24/24h
Tratamento hospitalar
 Baricitinibe
 Inibidor da janus quinase (JAK);
 Reduzem a inflamação e a resposta imunológica;
 Associado ao corticoide em pacientes hipoxêmicos em uso de O2 ou em suporte
ventilatório;
 4 mg VO 24/24h por 14 dias;
 Não é recomendado uso em associação ao tocilizumabe;
 Tocilizumabe
 Anticorpo monoclonal que inibe os receptores da IL-6;
 Associado ao corticoide em pacientes hipoxêmicos em uso de O2 ou em suporte
ventilatório;
 8 mg/kg IV (máx 800 mg) dose única;
Tratamento hospitalar
 Remdesevir
 Antiviral análogo nucleotídeo;
 Liberado no Brasil em MAR/2021;
 Uso em adultos e adolescentes > 40kg hospitalizados, hipoxêmicos, mas que não
estejam em ventilação mecânica;
 200 mg IV no 1º dia seguido de 100 mg 24/24h por mais 4 dias;
 Em monoterapia ou associado ao corticoide ou baricitinibe;
Oxigenoterapia
 A OMS recomenda titular o O2 suplementar para uma SAT ≥ 94% durante a
ressuscitação inicial, seguida de SAT ≥ 90% de manutenção;
 Utilizar a menor FiO2 possível para atingir esses parâmetros, evitando a
hiperóxia;
 Oferecer no máximo 6 L/min via cateter nasal;
 > 6 L/min, trocar para máscara com reservatório;
 Cânula nasal de alto fluxo;
 Permite fluxos de 40 a 60 L/min;
 Gera PEEP entre 3 e 5 cmH20;
 VNI;
Características da IRpA na COVID
 Principal marco é a hipoxemia, secundária a distúrbio V/Q e shunt;
 Evolui para SDRA;
 Comportamento pulmonar diferente das demais SDRA:
 Inicialmente com complacência pulmonar normal com hipoxemia importante;
 Menor colapso alveolar
 Menos distensão alveolar e menos espaço morto;
 Alta fração de shunt;
 Progressão da lesão pulmonar e maior dano alveolar;
 Redução da complacência;
 Distensão alveolar e formação de grandes áreas de espaço-morto;
 Formação de microtrombos arteriolares;
Intubação
 Momento crítico e deve ser otimizada de forma a ter êxito na primeira tentativa;
 Deve ser feita, preferencialmente, pelo profissional mais capacitado no
momento;
 Grupo de pacientes com alto risco de hipoxemia grave e PCR durante a IOT;
 Indicações:
 Avaliar conjuntamente piora do padrão respiratório, taquidispneia, FiO2;
 Não utilizar parâmetros isoladamente, como taquipneia sem esforço e altas FIO2 com
saturação adequada;
 Sempre avaliar a dificuldade da via aérea;
Etapa 1: preparo do material
Etapa 1: preparo do material
 Outros materiais:
 Seringa 20 ml para insuflar o cuff e seringa de 5 ml (uso de seu êmbolo para oclusão do
tubo durante a IOT);
 Sistema de aspiração fechado (Trach Care);
 Aparelho de capnografia;
 Filtro HME para instalação no sistema de aspiração e AMBU e outro para via EX do
ventilador;
 Pinça reta forte;
 Fixador de tubo;
 Mínimo de 4 BIC;
 Tree-way;
Etapa 2: posicionamento do paciente
 Elevar o dorso da cama a 45°;
 Uso de coxim occipital;
 Feito de lençóis ou campos cirúrgicos dobrados;
 Não posicionar coxins na região cervical ou interescapular;
Etapa 2: posicionamento do paciente
Etapa 2: posicionamento do paciente
 Posicionamento em rampa (pacientes obesos);
 Colocação de lençóis ou campos cirúrgicos dobrados sob a região dorsal do
paciente além dos colocados sob a região occipital;
 Manutenção do dorso da cama a 0°
Etapa 2: posicionamento do paciente
Etapas 3 e 4: pré-oxigenação e
pré-medicação
 Pré-oxigenação visa aumentar as reservas de O2;
 Deve ser realizada com o paciente em ventilação espontânea;
 Ajustar os suplementos de O2 para oxigenação máxima (FiO2 100%);
 Pré-medicação:
 Para minimizar os efeitos fisiológicos adversos da laringoscopia e intubação;
 Lidocaína 2% sem vasoconstritor 1,5 ml/kg;
 Fentanil 1-2 mcg/kg IV;
Etapa 5: bloqueadores
neuromuscuares e sedativos
 Sedativos:
 Cetamina: 1,5 a 2 mg/kg ou
 Etomidado: 0,3 mg/kg ou
 Propofol: 2 mg/kg ou
 Midazolam: 0,2 mg/kg
 Bloqueadores neuromusculares:
 Rocurônio: 1,2 mg/kg ou
 Succinilcolina: 1,5 mg/kg
 Bloqueadores alternativos:
 Cisatracúrio: 0,2 mg/kg ou
 Atracúrio: 0,5 mg/kg ou
 Pancurônio: 0,1 mg/kg ou
 Vecurônio: 0,1 mg/kg
Etapa 6: Intubação
 Monte o AMBU ao filtro HME com capnógrafo e circuito de aspiração;
 Conecte à rede de O2 com fluxo para manter a bolsa insuflada;
 Evite ventilar o paciente;
 Administre as medicações:
 Pré-medicação;
 Sedativos;
 Bloqueadores neuromusculares – pedra angula das medicações;
 Após paciente adequadamente curarizado proceder a IOT;
 Insufle o cuff, oclua o tubo com a pinça reta e conecte ao sistema do AMBU;
 Retire a pinça e cheque o posicionamento pela capnografia e ventilação manual;
 Tubo checado, pince novamente e conecte ao ventilador e retire a pinça forte;
Ajuste de parâmetros iniciais
 Modo A/C a volume ou pressão;
 Volume corrente de 6 ml/kg do peso predito para altura;
 PEEP 10 e titulação posterior de acordo com o grau de hipoxemia e colapso
alveolar;
 FR 15 irpm e posteriormente adequada para manter um volume minuto 7-10
L/min;
 Driving pressure ≤ 15;
 FiO2 suficiente para SAT 92-95%;
 Coletar gasometrias seriadas, sendo a primeira após 15 a 30 min após a IOT;
 Adequar sedação para RASS -5;
Tempo de isolamento
 5 dias de isolamento:
 Após 5º dia do início dos sintomas;
 Sem sintomas respiratórios, febre ou uso de antitérmico há pelo menos 24h;
 Deve realizar RT-PCR ou antígeno. Se negativo, sai do isolamento. Se positivo,
isolamento até o 10º dia;
 7 dias de isolamento: mesmos critérios anteriores;
 Não precisa de testes;
 Manter recomendações adicionais até o 10º dia;
 10 dias: pacientes que apresentaram teste positivo ao 5º ou ao 7º dia;
 Sem sintomas respiratórios, febre ou uso de antitérmicos, sai do isolamento sem
teste;
 Não realizar teste;
Critérios para liberação do atendimento
iniciar
 Clínica favorável;
 Paciente lúcido e orientado;
 Ausência de febre;
 Ausência de dispneia e gasometria sem alterações significativas;
 Ausência de disfunção orgânica;
 SAT > 95% em AA:
 Acometimento pulmonar < 25%
Critérios para alta hospitalar pós
internação
 Clínica favorável;
 Comorbidades estáveis;
 Melhora significativa dos sintomas respiratórios;
 SAT > 93% sem O2 por 48h;
 Temperatura < 37,5°C por pelo menos 48h;
 Marcadores inflamatórios estáveis ou em decréscimo.
Prevenção
Vacinas
 Comirnaty (Pfizer);
 Coronavac;
 AstraZeneca (Oxford);
 Janssen;
 Intervalo de 14 dias entre as vacinas anti-COVID e outras vacinas;
 Adiar a vacinação em pacientes com sintomas gripais até a recuperação
clínica total e, pelo menos 4 semanas após o início dos sintomas;
Referências
 Protocolo de Manejo Clínico para o Novo Coronavírus (2019-nCov) – Ministério da Saúde;
 Recomendações AMIB sobre controle sanitário e estratégias de contingenciamento das unidades
de Terapia Intensiva para atendimento dos pacientes com CORONAVÍRUS – Associação de Medicina
Intensiva Brasileira – 2020;
 Orientações sobre a intubação orotraqueal em pacientes com COVID-19 – Ministério da Saúde;
 Treinamento de intubação orotraqueal na pandemia por coronavírus: aplicação da Prática
Deliberada em Ciclos Rápidos – Revista Brasileira de Educação Médica, 2021;
 Caracterização do comprometimento pulmonar associado à COVID-19 em pacientes com
necessidade de ventilação mecânica – Revista Brasileira de Terapia Intensiva, 2021;
 Síndrome Respiratória Aguda: uma resposta imunológica exacerbada ao COVID-19 – Brazilian
Journal of Health Review, 2020;
 Medicina Intensiva: Abordagem Prática, 4ª edição, 2021
 UpToDate:
 COVID-19: Clinical features;
 COVID-19: Diagnosis
 COVID-19: Epidemiology, virology, and prevention
 COVID-19: Outpatient evaluation and management of acute illness in adults
 COVID-19: Respiratory care of the nonintubated hypoxemic adult (supplemental oxygen,
noninvasive ventilation, and intubation)

Covid-19.pptx

  • 1.
  • 2.
    Introdução  Doença viralprovocada pelo SARS-CoV-2;  Beta coronavírus de RNA fita simples envelopados;  Receptor na célula hospedeira é o receptor da enzima conversora de angiotensina 2 (ACE2);  ACE2 muito presente em rins, coração, TGI, vasos e, principalmente, epitélio pulmonar (pneumócitos tipo II);  A proteína S (spike) é a ancoragem do vírus nas células;  Proteína viral N responsável pela replicação e altamente produzida na infecção ativa – altamente imunogênica;
  • 3.
    Introdução  A maioriadas mutações virais não tem impacto na função viral;  Algumas variantes tiveram maior impacto devido seu rápido surgimento entre as populações, evidência de transmissão ou implicações clínicas;  Omicron  Contém mais de 30 mutações na proteína S  Aumento da transmissibilidade e redução da susceptibilidade a anticorpos neutralizantes, inclusive os monoclonais terapêuticos;  Doença menos grave;  Delta  Variante mais prevalente até a chegada da omicron;  Mais associada a doença mais grave e risco de hospitalização
  • 4.
    Epidemiologia e transmissão Mais de 500 milhões de casos confirmados em todo o mundo;  Em NOV/2021, mais de 3 milhões de pessoas já haviam sido contaminadas pelo menos 1 vez;  Taxa de mortalidade 2,3%;  Nenhuma morte em casos não críticos;  Transmissão de pessoa para pessoa é a forma mais comum;  Contato a curta distância (2m);  Partículas respiratórias;  Outras formas:  Contato de mãos contaminadas com mucosas;  Inalação de partículas que permaneceram no ar, principalmente em espaços fechados;
  • 5.
    Epidemiologia e transmissão Potencial de transmissão se inicia antes do desenvolvimento dos sintomas;  Maior transmissibilidade no início da doença, 2 dias antes do início dos sintomas e 1 dia após;  A detecção prolongada de RNA viral não indica infecciosidade prolongada;  O “derramamento” do RNA viral pode aumentar com a idade e gravidade da doença;  Limiar de RNA viral abaixo do qual a infecciosidade é improvável;  Indivíduos sintomáticos são muito mais transmissíveis que os assintomáticos;
  • 6.
    Epidemiologia e transmissão O risco de transmissão depende:  Tipo e duração da exposição;  Uso de medidas preventivas;  Fatores individuais;  Quantidade de vírus nas secreções respiratórias;  Transmissão aumenta quanto maior a proximidade e duração do contato;  Contatos domiciliares;  Ambientes fechados de trabalho;  Ambientes de cuidados em saúde;  Aglomerados sociais;
  • 7.
    Apresentação Clínica  Variadesde infecções assintomáticas a casos críticos;  A maioria são de assintomáticos ou infecções leves;  33 – 40% são de infecções assintomáticas  Dos infectados, 81% doença leve;  14% doença grave;  5% doença crítica;  Período de incubação 14 dias;  Início dos sintomas em média 4 a 5 dias após o contato;
  • 8.
    Apresentação clínica  Quadroclínico:  Febre;  Tosse;  Fadiga;  Alteração de olfato e paladar;  Anorexia ou hiporexia;  Mialgia;  Rinorreia;  Cefaleia;  Diarreia;  Náuseas/vômitos;  Dispneia;
  • 9.
    Fatores de riscopara doença grave  Idade avançada (>65 anos);  Neoplasias;  Doença cerebrovascular;  IRC;  Tabagismo/DPOC;  Diabetes;  Hepatopatias crônicas;  Cardiopatias;  HIV;  Obesidade;  Imunossuprimidos e transplantados;  Condições neurológicas;
  • 10.
    Definições  Resfriado comum:sintomas respiratórios leves  Tosse;  Obstrução nasal;  Dor na orofaringe;  Ausência de febre e sintomas sistêmicos;  Síndrome Gripal: febre de início súbito, mesmo que referida, acompanhada de sintomas leves  Tosse  Odinofagia ou obstrução nasal;  Cefaleia;  Mialgia/artralgia;
  • 11.
    Síndrome Respiratória AguaGrave  Critérios de síndrome gripal;  Presença de dispneia e qualquer um destes:  SAT < 95% em AA;  Cianose;  Sinais de desconforto respiratório ou aumento FR;  Redução da amplitude de pulsos periféricos;  Alteração do nível de consciência;  Febre persistente;  Insuficiência respiratória;
  • 12.
    Diagnóstico  Testar pacientessintomáticos;  Teste de amplificação de ácidos nucleicos (NAAT): RT-PCR;  É o método de escolha;  Identifica o RNA viral;  Coletar preferencialmente entre o 3º e 4º dia de sintomas, podendo estender até o 10º dia;  Pode ser repetido 24h após o primeiro teste;  Teste de antígeno;  Alternativa ao RT-PCR, com sensibilidade inferior;  Identificam antígenos do SARS-CoV-2;  Solicitar nos primeiros 5 a 7 dias do início dos sintomas, preferencialmente após o 3º dia;
  • 13.
    Diagnóstico  Testes sorológicos Detectam os anticorpos contra o SARS-CoV-2;  Ajudam identificar pacientes com infecção prévia e atual que tiveram sintomas por mais de 3 a 4 semanas;  Utilidade limitada em cenário agudo;
  • 14.
    Alterações laboratoriais associadasa maior mortalidade  D-dímero > 1000 ng/mL;  PCR > 10 mg/dL;  DHL > 245 U/L;  Troponina > 2x o limite superior;  Ferritina > 500 mcg/L;  CPK > 2x o limite superior;  Linfopenia < 800/mm3;  Plaquetopenia;  Elevação de transaminases;
  • 15.
    Reinfecção  O diagnósticoé um desafio;  Características que aumentam a probabilidade:  Intervalo de tempo longo desde a primeira infecção;  Alto nível de RNA viral em testes repetidos;  Critérios:  RT-PCR positivo ≥ 90 dias após a primeira infecção;  RT-PCR positivo 45 a 89 dias após a infecção inicial E sintomas consistente com COVID sem outras explicação alternativa;  Ideal: sequenciamento genômico para determinar que as infecções foram causadas por vírus diferentes;
  • 16.
  • 19.
    Tratamento ambulatorial  Cloroquinae hidroxicloroquina NÃO são recomendados;  Ácido ascórbico, colchicina, fluvoxamina, corticoides sistêmicos ou inalatórios, plasma convalescente também NÃO são recomendados no tratamento ambulatorial até o momento;  O tratamento ambulatorial são SINTOMÁTICOS;  Repouso, hidratação, alimentação adequada;  Não há indicação de interromper uso de IECA/BRA, a não ser que haja outro motivo para descontinuação;
  • 20.
    Tratamento hospitalar  Tratamentoempírico para influenza com Oseltamivir deve ser iniciado e descontinuada caso teste molecular para influenza for negativo;  Profilaxia de TEV em TODOS os pacientes internados, salvo em contraindicações;  Anticoagulação plena em casos selecionados, como TVP e TEP;  NÃO usar anticoagulação plena baseada em alterações de D-dímero;  Pacientes com casos leves internados, devem receber tratamento sintomático;  Oxigênio suplementar conforme necessário;
  • 21.
    Tratamento hospitalar  Dexametasona: Indicada em todos os casos de hipoxemia em uso de O2 suplementar ou suporte ventilatório;  Redução de mortalidade;  Uso por 7 a 10 dias, 6 mg/dia;  Corticoides alternativos:  Hidrocortisona 50 mg 6/6h  Metilprednisolona 0,5 – 1 mg/kg 24/24h por 5 dias  Prednisona 40-60 mg 24/24h
  • 22.
    Tratamento hospitalar  Baricitinibe Inibidor da janus quinase (JAK);  Reduzem a inflamação e a resposta imunológica;  Associado ao corticoide em pacientes hipoxêmicos em uso de O2 ou em suporte ventilatório;  4 mg VO 24/24h por 14 dias;  Não é recomendado uso em associação ao tocilizumabe;  Tocilizumabe  Anticorpo monoclonal que inibe os receptores da IL-6;  Associado ao corticoide em pacientes hipoxêmicos em uso de O2 ou em suporte ventilatório;  8 mg/kg IV (máx 800 mg) dose única;
  • 23.
    Tratamento hospitalar  Remdesevir Antiviral análogo nucleotídeo;  Liberado no Brasil em MAR/2021;  Uso em adultos e adolescentes > 40kg hospitalizados, hipoxêmicos, mas que não estejam em ventilação mecânica;  200 mg IV no 1º dia seguido de 100 mg 24/24h por mais 4 dias;  Em monoterapia ou associado ao corticoide ou baricitinibe;
  • 24.
    Oxigenoterapia  A OMSrecomenda titular o O2 suplementar para uma SAT ≥ 94% durante a ressuscitação inicial, seguida de SAT ≥ 90% de manutenção;  Utilizar a menor FiO2 possível para atingir esses parâmetros, evitando a hiperóxia;  Oferecer no máximo 6 L/min via cateter nasal;  > 6 L/min, trocar para máscara com reservatório;  Cânula nasal de alto fluxo;  Permite fluxos de 40 a 60 L/min;  Gera PEEP entre 3 e 5 cmH20;  VNI;
  • 25.
    Características da IRpAna COVID  Principal marco é a hipoxemia, secundária a distúrbio V/Q e shunt;  Evolui para SDRA;  Comportamento pulmonar diferente das demais SDRA:  Inicialmente com complacência pulmonar normal com hipoxemia importante;  Menor colapso alveolar  Menos distensão alveolar e menos espaço morto;  Alta fração de shunt;  Progressão da lesão pulmonar e maior dano alveolar;  Redução da complacência;  Distensão alveolar e formação de grandes áreas de espaço-morto;  Formação de microtrombos arteriolares;
  • 26.
    Intubação  Momento críticoe deve ser otimizada de forma a ter êxito na primeira tentativa;  Deve ser feita, preferencialmente, pelo profissional mais capacitado no momento;  Grupo de pacientes com alto risco de hipoxemia grave e PCR durante a IOT;  Indicações:  Avaliar conjuntamente piora do padrão respiratório, taquidispneia, FiO2;  Não utilizar parâmetros isoladamente, como taquipneia sem esforço e altas FIO2 com saturação adequada;  Sempre avaliar a dificuldade da via aérea;
  • 28.
    Etapa 1: preparodo material
  • 29.
    Etapa 1: preparodo material  Outros materiais:  Seringa 20 ml para insuflar o cuff e seringa de 5 ml (uso de seu êmbolo para oclusão do tubo durante a IOT);  Sistema de aspiração fechado (Trach Care);  Aparelho de capnografia;  Filtro HME para instalação no sistema de aspiração e AMBU e outro para via EX do ventilador;  Pinça reta forte;  Fixador de tubo;  Mínimo de 4 BIC;  Tree-way;
  • 30.
    Etapa 2: posicionamentodo paciente  Elevar o dorso da cama a 45°;  Uso de coxim occipital;  Feito de lençóis ou campos cirúrgicos dobrados;  Não posicionar coxins na região cervical ou interescapular;
  • 31.
  • 32.
    Etapa 2: posicionamentodo paciente  Posicionamento em rampa (pacientes obesos);  Colocação de lençóis ou campos cirúrgicos dobrados sob a região dorsal do paciente além dos colocados sob a região occipital;  Manutenção do dorso da cama a 0°
  • 33.
  • 34.
    Etapas 3 e4: pré-oxigenação e pré-medicação  Pré-oxigenação visa aumentar as reservas de O2;  Deve ser realizada com o paciente em ventilação espontânea;  Ajustar os suplementos de O2 para oxigenação máxima (FiO2 100%);  Pré-medicação:  Para minimizar os efeitos fisiológicos adversos da laringoscopia e intubação;  Lidocaína 2% sem vasoconstritor 1,5 ml/kg;  Fentanil 1-2 mcg/kg IV;
  • 35.
    Etapa 5: bloqueadores neuromuscuarese sedativos  Sedativos:  Cetamina: 1,5 a 2 mg/kg ou  Etomidado: 0,3 mg/kg ou  Propofol: 2 mg/kg ou  Midazolam: 0,2 mg/kg  Bloqueadores neuromusculares:  Rocurônio: 1,2 mg/kg ou  Succinilcolina: 1,5 mg/kg  Bloqueadores alternativos:  Cisatracúrio: 0,2 mg/kg ou  Atracúrio: 0,5 mg/kg ou  Pancurônio: 0,1 mg/kg ou  Vecurônio: 0,1 mg/kg
  • 37.
    Etapa 6: Intubação Monte o AMBU ao filtro HME com capnógrafo e circuito de aspiração;  Conecte à rede de O2 com fluxo para manter a bolsa insuflada;  Evite ventilar o paciente;  Administre as medicações:  Pré-medicação;  Sedativos;  Bloqueadores neuromusculares – pedra angula das medicações;  Após paciente adequadamente curarizado proceder a IOT;  Insufle o cuff, oclua o tubo com a pinça reta e conecte ao sistema do AMBU;  Retire a pinça e cheque o posicionamento pela capnografia e ventilação manual;  Tubo checado, pince novamente e conecte ao ventilador e retire a pinça forte;
  • 38.
    Ajuste de parâmetrosiniciais  Modo A/C a volume ou pressão;  Volume corrente de 6 ml/kg do peso predito para altura;  PEEP 10 e titulação posterior de acordo com o grau de hipoxemia e colapso alveolar;  FR 15 irpm e posteriormente adequada para manter um volume minuto 7-10 L/min;  Driving pressure ≤ 15;  FiO2 suficiente para SAT 92-95%;  Coletar gasometrias seriadas, sendo a primeira após 15 a 30 min após a IOT;  Adequar sedação para RASS -5;
  • 39.
    Tempo de isolamento 5 dias de isolamento:  Após 5º dia do início dos sintomas;  Sem sintomas respiratórios, febre ou uso de antitérmico há pelo menos 24h;  Deve realizar RT-PCR ou antígeno. Se negativo, sai do isolamento. Se positivo, isolamento até o 10º dia;  7 dias de isolamento: mesmos critérios anteriores;  Não precisa de testes;  Manter recomendações adicionais até o 10º dia;  10 dias: pacientes que apresentaram teste positivo ao 5º ou ao 7º dia;  Sem sintomas respiratórios, febre ou uso de antitérmicos, sai do isolamento sem teste;  Não realizar teste;
  • 40.
    Critérios para liberaçãodo atendimento iniciar  Clínica favorável;  Paciente lúcido e orientado;  Ausência de febre;  Ausência de dispneia e gasometria sem alterações significativas;  Ausência de disfunção orgânica;  SAT > 95% em AA:  Acometimento pulmonar < 25%
  • 41.
    Critérios para altahospitalar pós internação  Clínica favorável;  Comorbidades estáveis;  Melhora significativa dos sintomas respiratórios;  SAT > 93% sem O2 por 48h;  Temperatura < 37,5°C por pelo menos 48h;  Marcadores inflamatórios estáveis ou em decréscimo.
  • 42.
  • 43.
    Vacinas  Comirnaty (Pfizer); Coronavac;  AstraZeneca (Oxford);  Janssen;  Intervalo de 14 dias entre as vacinas anti-COVID e outras vacinas;  Adiar a vacinação em pacientes com sintomas gripais até a recuperação clínica total e, pelo menos 4 semanas após o início dos sintomas;
  • 44.
    Referências  Protocolo deManejo Clínico para o Novo Coronavírus (2019-nCov) – Ministério da Saúde;  Recomendações AMIB sobre controle sanitário e estratégias de contingenciamento das unidades de Terapia Intensiva para atendimento dos pacientes com CORONAVÍRUS – Associação de Medicina Intensiva Brasileira – 2020;  Orientações sobre a intubação orotraqueal em pacientes com COVID-19 – Ministério da Saúde;  Treinamento de intubação orotraqueal na pandemia por coronavírus: aplicação da Prática Deliberada em Ciclos Rápidos – Revista Brasileira de Educação Médica, 2021;  Caracterização do comprometimento pulmonar associado à COVID-19 em pacientes com necessidade de ventilação mecânica – Revista Brasileira de Terapia Intensiva, 2021;  Síndrome Respiratória Aguda: uma resposta imunológica exacerbada ao COVID-19 – Brazilian Journal of Health Review, 2020;  Medicina Intensiva: Abordagem Prática, 4ª edição, 2021  UpToDate:  COVID-19: Clinical features;  COVID-19: Diagnosis  COVID-19: Epidemiology, virology, and prevention  COVID-19: Outpatient evaluation and management of acute illness in adults  COVID-19: Respiratory care of the nonintubated hypoxemic adult (supplemental oxygen, noninvasive ventilation, and intubation)

Notas do Editor

  • #7 Transmissão ao ar livre e ambientes externo é menor. O risco de transmissão por contato indireto (objetos, passar por alguém na rua) não está bem definido e provavelmente é muito baixo.
  • #13  Embora o teste de antígeno não possa detectar o vírus em níveis tão baixos quanto o NAAT, sua sensibilidade é melhorada nos primeiros dias de sintomas, quando a replicação do vírus é mais alta. Em casos de antígeno negativo com alta suspeita clínica, recomenda-se realizar um RT-PCR em até 48h;
  • #16 Devido à possibilidade de liberação respiratória prolongada de RNA viral após infecção aguda, um NAAT positivo repetido em um paciente que se recuperou de COVID-19 confirmado em laboratório não indica necessariamente reinfecção
  • #23 JAK são enzimas que transmitem sinais intracelulares desencadeados pela interação entre citocinas e fatores de crescimento com receptores de superfície celular que estão envolvidos na hematopoese, na inflamação e na função imunológica. Em resposta à citocina extracelular ou a sinalização do fator de crescimento, os JAKs fosforilam e ativam transdutores de sinal e ativadores de transcrição (STATs), que regulam a expressão gênica e a atividade intracelular. O baricitinibe modula esses caminhos de sinalização através da inibição parcial da atividade enzimática JAK1 e JAK2, reduzindo assim a fosforilação e ativação de STATs.
  • #26 Inicialmente há infiltrado com hipoxemia, porém não há colapso alveolar suficiente para gerar distensão alveolar e comprometimento da circulação. Portanto o pulmão mantem quase intacta a complacência, com pouco espaço morto e muito shunt. Com a progressão da doença, o infiltrado pulmonar preenche cada vez mais a via aérea, gerando grandes consolidações, que pioram o colapso redistribuindo a ventilação para zonas pulmonares preservadas, gerando distensão alveolar e espaço morto. Há formação de microtrombos na circulação arteriolar, piorando as áreas ventiladas e não perfundidas (espaço-morto).
  • #40 Medidas adicionais: Usar máscara bem ajustada ao rosto em casa ou em público. Evitar contato com pessoas imunocomprometidas ou com fatores de risco para agravamento da Covid-19, como também locais com aglomerações de pessoas. Não frequentar locais onde não possa usar máscara durante todo o tempo, como restaurantes e bares, e evitar comer próximas a outras pessoas, tanto em casa como no trabalho. Não viajar durante o seu período de isolamento de 5 dias após o início dos sintomas. Após esse período, orienta-se fazer teste para detecção do vírus SARS-CoV-2, preferencialmente teste rápido de antígeno, e só viajar se o resultado for negativo e que esteja sem sintomas antes da viajem. Caso não for possível realizar o teste, orienta-se adiar a viagem por pelo menos 10 dias a contar do início dos sintomas.