RADIOBIOLOGIA
Introdução - Radiobiologia
• É a base para o curso de radiologia, pois ela
estará presente em outras disciplinas;
• A tolerância da dose de radiação será determinada
conforme sua aplicação: terapia ou imagenologia,
de acordo com os protocolos dos órgãos
reguladores.
No entanto...
• Como poderei saber os processos de interação da radiação em uma
célula, se eu não conheço o que é célula?
• Então VAMOS ESTUDAR E RELEMBRAR...
Citologia
• A Citologia ou Biologia Celular é o ramo da Biologia
que estuda as células.
• A palavra citologia deriva do grego kytos, célula
e logos, estudo.
• A citologia foca-se no estudo das células, abrangendo
a sua estrutura e metabolismo.
• O nascimento da citologia e a invenção do microscópio
são fatos relacionados. Em 1663, Robert Hooke cortou
um pedaço de cortiça e observou ao microscópio. Ele
notou que existiam compartimentos, os quais ele
denominou de células.
• A partir daí, a citologia começou a desenvolver-se como
ciência. O avanço dos microscópios contribuiu para que
as estruturas das células fossem observadas e
estudadas.
Teoria Celular
O estabelecimento da Teoria Celular foi possível graças
ao desenvolvimento da microscopia.
A Teoria Celular apresenta postulados importantes para
o estudo da Citologia:
• Todos os seres vivos são constituídos por células;
• As atividades essenciais que caracterizam a vida
ocorrem no interior das células;
• Novas células se formam pela divisão de células
preexistentes através da divisão celular;
• A célula é a menor unidade da vida.
Os vírus e a Teoria Celular
• Os vírus não apresentam células em sua constituição,
portanto são acelulares.
• Os vírus são parasitos intracelulares obrigatórios.
• Apesar de não possuírem células, eles dependem de
células vivas para realizarem suas atividades vitais.
• Isso comprova que atividades essenciais à vida só
ocorrem no interior de células vivas, conforme
postulado pela Teoria Celular.
Níveis de organização dos seres vivos:
entenda essa hierarquia!
• Átomo: menor partícula de uma matéria, que consiste em um
núcleo central e cargas elétricas positivas e negativas.
• Moléculas: são formadas por dois ou mais átomos interligados
entre si.
• Organelas: são as estruturas celulares formadas por um
conjunto de moléculas.
• Tecidos: são conjuntos de células especializadas que formam
um órgão.
• Órgãos: formados pelos tecidos, desempenham funções
fundamentais para os seres vivos.
• Sistemas: grupo de órgãos integrados que trabalham em
conjunto na realização de alguma função vital.
• Organismos: são conjuntos de sistemas. Podemos dizer que
são os indivíduos.
• Populações: Coletivo de indivíduos (organismos) que
vivem em uma mesma região.
• Comunidades biológicas: é a união de diferentes
populações que interagem dentro de uma mesma
região geográfica.
• Ecossistemas: grande conjunto formado pela
interação das comunidades biológicas com o meio
ambiente.
• Biosfera: reúne todos os ecossistemas.
• Quando estudamos a vida, é possível distinguir
diferentes níveis hierárquicos de organização
biológica, que vão do planetário ao microscópio.
• Começando do nível microscópico, vemos que a
matéria viva é formada de átomos, que se reúnem
formando as moléculas das diversas substâncias
orgânicas. Proteínas, por exemplo, são substâncias
constituídas por milhares ou até milhões de átomos,
principalmente de elementos como o carbono, o
hidrogênio e o nitrogênio, apenas para citar alguns.
• No nível acima dessa hierarquia da vida, vemos que
a moléculas orgânicas estão organizadas de modo a
formar diversos tipos de organelas celulares que se
integram na formação das células. As células, por sua
vez, são consideradas unidades básicas de todos os
seres vivos, com exceção do vírus, que é chamado de
acelular.
• Das células passamos para os tecidos, que ocorrem
apenas nos organismos multicelulares (animais e
plantas). Nesse nível, as células se especializam e se
juntam para dar as características do tecido a ser
formado. São exemplos de tecido a nossa pele, o
nosso sangue, nossos músculos, entre outros.
• Diversos tipos de tecidos se organizam para formar
os órgãos, unidades anatômicas e funcionais
essenciais à manutenção da vida nos organismo
multicelulares. Por exemplo, o coração é um órgão
formado por diversos tipos de tecido, principal o
muscular.
• Por sua vez, os órgãos não agem sozinhos. Eles
funcionam integrados uns aos outros para o
desempenho de determinadas funções do corpo. Um
conjunto de órgãos constitui um sistema. Por
exemplo, temos o sistema digestório que é composto
pela boca, esôfago, estômago, intestino e outras
glândulas.
• Em conjunto, os sistemas de órgãos compõe o nível
do organismo individual. Aqui estão as pessoas, as
rosas, os coelhos e todos os outros indivíduos vivos. O
conjunto organismos individuais de uma mesma
espécie que habitam uma determinada região
geográfica constitui uma população biológica.
Exemplos são as populações humanas dos diversos
países, ou uma população de leões na Savana
africana.
• Os membros de uma população interagem com
indivíduos de outras espécies que habitam a mesma
região geográfica. Ao conjunto de populações
diferentes que coexistem em determinado lugar,
interagindo direta ou indiretamente, dá-se o nome
de comunidade biológica. Por exemplo, a população
dos leões africanos citados no parágrafo anterior,
junto as plantas e outros animais que vivem no
mesmo habitat, compõe uma comunidade.
• Os membros de uma comunidade biológica, além de
interagir entre si, também interagem com o ambiente
em que vivem, sendo influenciados por fatores como
temperatura, alimentos disponíveis, umidade,
luminosidade, entre outros. Por exemplo, a nossa
comunidade de leões africanos são influenciados pelo
ambiente em que vivem, pela quantidade de calor, de
alimentos disponíveis, de água, etc. Ao grande
conjunto formado pelas comunidades e pelo
ambiente que vivem dá-se o nome de ecossistema.
• A mais alta e última hierarquia na biologia é a que
reúne todos os ecossistemas da Terra, a
chamada biosfera. É nessa camada do nosso planeta
que ocorre todas as vidas.
Tipos de Células
• As células podem ser divididas em dois tipos: as
procariontes e eucariontes.
Procariontes
• A principal característica da célula procarionte é a
ausência de carioteca delimitando o núcleo celular. O
núcleo da célula procarionte não é individualizado.
• As células procariontes são as mais primitivas e
possuem estruturas celulares mais simples. Esse tipo
celular pode ser encontrado nas bactérias.
Eucariontes
• As células eucariontes são mais complexas. Essas
possuem carioteca individualizando o núcleo, além de
vários tipos de organelas.
• Como exemplos de células eucariontes estão
as células animais e as células vegetais.
Estrutura Básica de uma Célula e sua
Classificação
• É comum dizer que uma célula é composta por três partes básicas:
membrana plasmática, citoplasma e núcleo. Essa informação, no
entanto, é incorreta quando analisamos alguns tipos de células. Todas
as células possuem membrana plasmática e citoplasma, mas o núcleo
é estrutura ausente em células procariontes. Nesse tipo celular, o
material genético está disperso no citoplasma.
Relembrando...
• Assim sendo, analisando a estrutura básica de uma
célula, podemos classificá-la
em procarionte e eucarionte:
• Procariontes são aquelas que não possuem um
núcleo definido envolto por membranas.
• Já a célula eucarionte apresenta um núcleo
delimitado pelo envoltório nuclear, possuindo,
portanto, uma proteção ao seu material genético.
Membrana Plasmática
• A membrana plasmática, membrana celular ou plasmalema é um
envoltório fino, poroso e microscópico que reveste as células dos
seres procariontes e eucariontes.
• É uma estrutura semipermeável, responsável pelo transporte e
seleção de substâncias que entram e saem da célula.
• Apenas com o desenvolvimento do microscópio eletrônico foi possível
a observação da membrana plasmática.
Funções
• As funções da membrana plasmática são:
• Permeabilidade Seletiva, controle da entrada e saída
de substâncias da célula;
• Proteção das estruturas celulares;
• Delimitação do conteúdo intracelular e extracelular,
garantindo a integridade da célula;
• Transporte de substâncias essenciais ao metabolismo
celular;
• Reconhecimento de substâncias, graças a presença de
receptores específicos na membrana.
Estrutura e Composição
• A membrana plasmática apresenta o denominado
"modelo do mosaico fluido”. O nome "mosaico
fluido" deve-se pela presença de estruturas flexíveis e
fluidas, com grande poder de regeneração.
• A membrana plasmática é quimicamente constituída
por lipídios (glicolipídeos, colesterol e os
fosfolipídeos) e proteínas. Por isso, é reconhecida por
sua composição lipoproteica.
Transporte de Substâncias
• A membrana atua como um filtro, permitindo a
passagem de substâncias pequenas e impedindo ou
dificultando a passagem de substâncias de grande
porte. Essa propriedade é chamada
de Permeabilidade Seletiva.
• O transporte de substâncias através da membrana
plasmática pode ser de modo passivo ou ativo:
• O transporte passivo ocorre sem gasto de energia. As
substâncias deslocam-se do meio mais concentrado para
o menos concentrado. São exemplos:
• Difusão Simples - É a passagem de partículas de onde
estão mais concentradas para regiões em que sua
concentração é menor.
• Difusão Facilitada - É a passagem, através da membrana,
de substâncias que não se dissolvem em lipídios, com
ajuda das proteínas da bicamada lipídica da membrana.
• Osmose - É a passagem de água de um meio menos
concentrado (hipotônico) para outro mais concentrado
(hipertônico).
• O transporte ativo ocorre com gasto de energia
(ATP). As substâncias deslocam-se de menor para o
de maior concentração. São exemplos:
• Transporte em Bloco: Endocitose e Exocitose - Ocorre
quando a célula transfere grande quantidade de
substâncias para dentro ou para fora do seu meio
intracelular.
• Bomba de Sódio e Potássio - Passagem de íons sódio
e potássio para a célula, devido às diferenças de suas
concentrações.
• É o transporte de substâncias gigantes, e não é possível passar pelas
estruturas da membrana. Então ocorre um processo de deformação
da membrana para que essas substâncias sejam incorporadas ou
eliminadas pelas célula.
• Esse processo consome energia, uma vez que envolve a produção de
mais membrana plasmática e movimentos do citoesqueleto.
Transporte em Bloco
Bomba de sódio (Na+) e potássio (K+)
• A célula deve apresentar uma concentração de sódio
(Na+) baixa dentro da célula, e alta fora. E a concentração
do potássio (K+) é alta dentro da célula ,e baixa fora.
• Naturalmente, por difusão, o sódio (Na+) entra na célula,
enquanto o potássio (K+) sai da célula.
• Para manter a diferença de concentração, a célula força a
entrada do potássio (K+) e a saída do sódio (Na+). Como
esses íons são forçados a ir do meio hipotônico para o
hipertônico, ocorre gasto de energia.
• A proporção: saem 3 moléculas de sódio, entram 2 de
potássio.
Organelas Celulares
• As organelas celulares são como pequenos
órgãos que realizam as atividades
celulares essenciais para as células.
• São estruturas compostas pelas membranas internas,
com formas e funções diferentes, sendo as principais:
os retículos endoplasmáticos lisos e rugosos, o
aparelho de Golgi e as mitocôndrias. Nas células
vegetais há também organelas específicas: os
cloroplastos.
As Organelas e suas Funções
Núcleo: prefeitura
• O núcleo é como se fosse a prefeitura da cidade, protegida por seus muros, a
carioteca. O núcleo armazena as informações genéticas (DNA) e controla as
atividades da célula, determinando o que os outros elementos devem fazer.
Citoesqueleto: edificações e ruas
• É a organela que dá forma à célula, do mesmo jeito que as edificações dão forma a
uma cidade. Além disso, o citoesqueleto participa do transporte de substâncias na
célula, assim como as ruas em um município.
Mitocôndrias: usina de geração de energia
• As mitocôndrias são responsáveis pela produção da energia da célula, assim como
uma usina em uma cidade. Se na usina a energia chega em forma de eletricidade, nas
mitocôndrias é produzida na forma de ATP a partir da respiração celular.
Ribossomos: fábricas
• Os ribossomos têm a função de ligar aminoácidos e sintetizar proteínas.
Funcionam como uma fábrica que precisa transformar matérias-primas em um
produto final. O ribossomo é formado por duas unidades: RNA ribossomal e
proteínas.
Complexo de Golgi: garis
• O complexo de Golgi é responsável por coletar e ensacar tudo o que sairá da célula
(secreção celular), assim como os garis recolhem o lixo.
Vacúolos: caminhões de lixo
• Os vacúolos são encarregados de transportar para fora da célula o que foi ensacado
pelo complexgi (garis).
Lisossomos: recicladora de lixo
• Essas organelas, exclusivas de células animais, realizam a digestão intracelular,
como se fosse a empresa recicladora de lixo da cidade. Elas possuem enzimas
(máquinas de reciclagem) responsáveis pela transformação das substâncias em
moléculas, que podem ou não ser aproveitas pela célula, assim como o lixo
reciclado.
Retículo endoplasmático: Correios
• Essa estrutura atua como uma rede de distribuição das substâncias dentro das células,
assim como os Correios de uma cidade, que distribuem correspondências e
mercadorias.
Existem dois tipos de retículo endoplasmático:
• Rugoso (granular): responsável por boa parte da produção de proteínas, já que
apresenta ribossomos em sua membrana externa;
• Liso (agranular): realiza a produção de lipídios e processos de desintoxicação da
célula.
Membrana citoplasmática: fronteiras
• A membrana citoplasmática funciona como os limites (fronteiras) da cidade. Nela,
portanto, o que entra e sai da célula é inspecionado.
Mitocôndrias
• São organelas compostas por membrana dupla,
sendo uma externa e uma interna que apresenta
muitas dobras, as chamadas cristas mitocondriais.
• As mitocôndrias são organelas especiais, com
capacidade de se reproduzir, uma vez que contem
moléculas de DNA circular, tal como as bactérias.
• Sua função é realizar a respiração celular, que produz
a maior parte da energia utilizada nas funções vitais.
Além de possuir material genético próprio.
Retículo Endoplasmático
• São organelas cujas membranas se dobram
formando sacos achatados. Existem 2 tipos de
retículo endoplasmático, o liso e o rugoso, esse
último possui grânulos associados à sua membrana,
os ribossomos, o que lhe confere aparência rugosa e
por isso o nome.
• Além disso sua membrana é contínua com a
membrana externa do núcleo, o facilita a
comunicação entre eles.
• O retículo endoplasmático liso (REL) não tem
ribossomos associados e por isso tem aparência lisa, é
responsável pela produção de lipídios que irão
compor as membranas celulares.
• A função principal do retículo endoplasmático rugoso
(RER) é realizar a síntese proteica, além de participar
do seu dobramento e transporte até outras partes da
célula.
Retículo Endoplasmático Rugoso (RER)
• O retículo endoplasmático, quando associado aos ribossomos adquire
uma aparência áspera, motivo pelo qual é chamado de rugoso ou
granuloso. Está localizado no citoplasma, próximo ao núcleo, sendo a
sua membrana uma continuação da membrana nuclear externa.
Funções do RER
• A proximidade com o núcleo torna a síntese de
proteínas mais eficiente, uma vez que o RER pode
enviar rapidamente um sinal para o núcleo iniciar o
processo de transcrição do DNA, e ainda quando há
proteínas deformadas ou desdobradas (inativas), há
um sinal específico para melhorar o processo, caso
contrário, será sinalizado que a célula deve ser
encaminhada para uma morte programada
(apoptose).
Ribossomos
• Os Ribossomos, também chamados de Ribossomas, são pequenas
estruturas em forma de grânulos que estão presentes nas células
procariontes e eucariontes.
• Eles são fundamentais para o crescimento, a regeneração celular e o
controle metabólico.
Função dos Ribossomos
• A função dos ribossomos é auxiliar na produção e na síntese das
proteínas nas células. Além dele, participam desse processo as
moléculas de DNA e RNA.
• Os ribossomos reúnem diversos aminoácidos durante a síntese
proteica através de uma ligação química chamada de ligação
peptídica.
Retículo Endoplasmático Liso (REL)
• O Retículo endoplasmático liso não possui
ribossomos ligados à sua membrana e por isso parece
liso.
Funções do REL
• A sua função é, basicamente, participar da produção
de moléculas de lipídios, em
especial fosfolipídios que irão compor a membrana
das células. No entanto, dependendo do tipo de
célula em que se encontra, o REL terá funções
diferentes. Assim, por exemplo, ele pode estar mais
envolvido na produção dos hormônios esteroides a
partir do colesterol​, ou com a regulação dos níveis de
cálcio no citoplasma de células musculares estriadas.
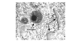
Complexo de Golgi
• O Complexo de Golgi ou Aparelho de Golgi, ou ainda
Complexo Golgiense, é uma organela de células
eucariontes, composta de discos membranosos
achatados e empilhados. Suas funções são modificar,
armazenar e exportar proteínas sintetizadas no
retículo endoplasmático rugoso e além disso, origina
os lisossomos e os acrossomos dos espermatozoides.
Funções
• Na face cis da cisterna as vesículas recebidas do RER
contém proteínas (produzidas pelos ribossomos
associados ao retículo) que serão modificadas e
dobradas.
• Algumas dessas proteínas são glicosiladas, ou seja, sofrem
reação de adição de um açúcar no RER. Esse processo é
completado no Golgi, caso contrário, essas proteínas
podem se tornar inativas.
• Na face trans as proteínas são "empacotadas" em
vesículas membranosas. Desse modo, são originadas
muitas enzimas, bem como os lisossomos primários e os
peroxissomos.
• Enquanto essas organelas ficam no citoplasma da célula,
as proteínas são muitas vezes enviadas para fora da
célula.
• Uma outra função do Complexo de Golgi é
a formação do acrossomo que se localiza na cabeça
do espermatozoide.
• O acrossomo é o resultado da fusão de vários
lisossomos formando uma grande vesícula, que
contem enzimas digestivas para auxiliar na perfuração
da membrana do óvulo.
Vacúolos
• Os vacúolos são estruturas celulares envolvidas por membrana
plasmática, muito comuns em plantas e presentes também em
protozoários e animais. Tem diferentes funções como: regular pH,
controlar a entrada e saída de água por osmorregulação, armazenar
substâncias, fazer a digestão e excretar os resíduos.
Vacúolos Digestivos
• Esses vacúolos realizam a
digestão intracelular e
estão presentes em
protozoários e em células
animais e humanas como
os macrófagos.
Lisossomos
O que são - definição
• Lisossomos são organelas presentes no citoplasma da grande
maioria das células eucariontes. No interior dos lisossomos
podemos encontrar grande quantidade de enzimas digestivas.
Onde são formados?
• Os lisossomos são formados no Complexo de Golgi (outra
importante organela presente no citoplasma).
Funções dos lisossomos:
• Fazer a degradação e digestão de partículas originárias do meio
exterior às células;
• Reciclar (função de renovação celular) outras organelas
celulares que estão envelhecidas. Este processo é conhecido
como autofagia.
Peroxissomos
• Os peroxissomos são pequenas estruturas em
formato arredondado os quais estão envoltos por
uma membrana lipoproteica. Em seu interior contém
enzimas oxidases, responsáveis pela oxidação de
substâncias.
Função dos Peroxissomos
• A principal função do peroxissomos é digerir algumas
substâncias.
• Nas reações de oxidação é produzido o peróxido de
hidrogênio (H2O2), e por isso essa organela recebe
esse nome.
• No corpo humano, os peroxissomos são encontrados
nas células que formam os rins (células renais) e o
fígado (células hepáticas).
• No fígado, eles auxiliam na produção de sais biliares e
também na neutralização de algumas substâncias
tóxicas para o corpo através da enzima catalase.
Centríolos
• Os centríolos são estruturas celulares que auxiliam
na divisão celular (mitose e meiose).
• Possuem, portanto, a capacidade de duplicação
durante o ciclo da divisão celular, organizando o fuso
acromático.
• Após o processo de duplicação, os centríolos migram
em direção aos polos da célula.
Núcleo Celular
• O núcleo é a região da célula onde se encontra o material genético
(DNA) dos organismos tanto unicelulares como multicelulares.
• O núcleo é o que caracteriza os organismos eucariontes e os
diferencia dos procariontes que não possuem núcleo.
Função
• O núcleo é como o "cérebro" da célula, pois é a partir
dele que partem as "decisões". É onde se localizam os
cromossomos compostos de moléculas de ácido
desoxirribonucleico, DNA, que carrega toda a
informação sobre as características da espécie e
participa dos mecanismos hereditários.
• Cada região do DNA é composto por genes que
codificam as informações para a síntese de proteínas,
que ocorre nos ribossomos. De acordo com o gene
codificado, será sintetizada um tipo de proteína, que
será usada para fins específicos.
• Além disso, quando o organismo precisa crescer ou se
reproduzir a célula passa por divisões que acontecem
também no núcleo.
Componentes do Núcleo
• O núcleo contém nucleoplasma, substância onde fica mergulhado o
material genético e as estruturas que são importantes para que
desempenhe suas funções, como os nucléolos.
• E também há a carioteca ou membrana celular, que delimita o núcleo
e envolve o material genético.
Carioteca
• A membrana que envolve o núcleo é chamada de
carioteca, tem natureza semelhante às restante
membranas celulares, ou seja, dupla camada de lipídios e
proteínas.
• A membrana mais externa está ligada ao retículo
endoplasmático e muitas vezes possui ribossomos
aderidos.
• No lado interno da membrana interior há uma rede de
proteínas (lâmina nuclear) que ajudam na sustentação da
carioteca e participam do processo de divisão celular,
contribuindo para a fragmentação e reconstituição do
núcleo.
• Existem poros na carioteca que são importantes para
controlar a entrada e saída de substâncias.
Cromatina
• As moléculas de DNA associadas às proteínas histonas compõem a
cromatina. A cromatina pode estar mais densa, mais enrolada, sendo
chamada heterocromatina que se diferencia da região de consistência
mais frouxa, a eucromatina.
O conjuntos
dos cromossomos que
constituem cada espécie é o
cariótipo; no ser humano, por
exemplo, são 22 pares de
cromossomos autossômicos e
1 par de cromossomos
sexuais. Os cromossomos
humanos, por exemplo, têm
forma e tamanho típicos o
que facilita a sua identificação.
Nucléolos
• Os nucléolos são corpos densos e arredondados compostos de
proteínas, com RNA e DNA associados.
• É nessa região do núcleo onde são fabricadas as moléculas de RNA
ribossômico que se associam a certas proteínas para formar as
subunidades que compõem os ribossomos.
• Essas subunidades ribossômicas ficam armazenadas no nucléolo e
saem no momento de realização da síntese proteica.

AULA I E II.pdf ccccccçccccccccccccccccc

  • 1.
  • 2.
    Introdução - Radiobiologia •É a base para o curso de radiologia, pois ela estará presente em outras disciplinas; • A tolerância da dose de radiação será determinada conforme sua aplicação: terapia ou imagenologia, de acordo com os protocolos dos órgãos reguladores.
  • 3.
    No entanto... • Comopoderei saber os processos de interação da radiação em uma célula, se eu não conheço o que é célula? • Então VAMOS ESTUDAR E RELEMBRAR...
  • 5.
    Citologia • A Citologiaou Biologia Celular é o ramo da Biologia que estuda as células. • A palavra citologia deriva do grego kytos, célula e logos, estudo. • A citologia foca-se no estudo das células, abrangendo a sua estrutura e metabolismo.
  • 6.
    • O nascimentoda citologia e a invenção do microscópio são fatos relacionados. Em 1663, Robert Hooke cortou um pedaço de cortiça e observou ao microscópio. Ele notou que existiam compartimentos, os quais ele denominou de células. • A partir daí, a citologia começou a desenvolver-se como ciência. O avanço dos microscópios contribuiu para que as estruturas das células fossem observadas e estudadas.
  • 8.
    Teoria Celular O estabelecimentoda Teoria Celular foi possível graças ao desenvolvimento da microscopia. A Teoria Celular apresenta postulados importantes para o estudo da Citologia: • Todos os seres vivos são constituídos por células; • As atividades essenciais que caracterizam a vida ocorrem no interior das células; • Novas células se formam pela divisão de células preexistentes através da divisão celular; • A célula é a menor unidade da vida.
  • 9.
    Os vírus ea Teoria Celular • Os vírus não apresentam células em sua constituição, portanto são acelulares. • Os vírus são parasitos intracelulares obrigatórios. • Apesar de não possuírem células, eles dependem de células vivas para realizarem suas atividades vitais. • Isso comprova que atividades essenciais à vida só ocorrem no interior de células vivas, conforme postulado pela Teoria Celular.
  • 10.
    Níveis de organizaçãodos seres vivos: entenda essa hierarquia! • Átomo: menor partícula de uma matéria, que consiste em um núcleo central e cargas elétricas positivas e negativas. • Moléculas: são formadas por dois ou mais átomos interligados entre si. • Organelas: são as estruturas celulares formadas por um conjunto de moléculas. • Tecidos: são conjuntos de células especializadas que formam um órgão. • Órgãos: formados pelos tecidos, desempenham funções fundamentais para os seres vivos. • Sistemas: grupo de órgãos integrados que trabalham em conjunto na realização de alguma função vital. • Organismos: são conjuntos de sistemas. Podemos dizer que são os indivíduos.
  • 11.
    • Populações: Coletivode indivíduos (organismos) que vivem em uma mesma região. • Comunidades biológicas: é a união de diferentes populações que interagem dentro de uma mesma região geográfica. • Ecossistemas: grande conjunto formado pela interação das comunidades biológicas com o meio ambiente. • Biosfera: reúne todos os ecossistemas.
  • 12.
    • Quando estudamosa vida, é possível distinguir diferentes níveis hierárquicos de organização biológica, que vão do planetário ao microscópio. • Começando do nível microscópico, vemos que a matéria viva é formada de átomos, que se reúnem formando as moléculas das diversas substâncias orgânicas. Proteínas, por exemplo, são substâncias constituídas por milhares ou até milhões de átomos, principalmente de elementos como o carbono, o hidrogênio e o nitrogênio, apenas para citar alguns.
  • 13.
    • No nívelacima dessa hierarquia da vida, vemos que a moléculas orgânicas estão organizadas de modo a formar diversos tipos de organelas celulares que se integram na formação das células. As células, por sua vez, são consideradas unidades básicas de todos os seres vivos, com exceção do vírus, que é chamado de acelular. • Das células passamos para os tecidos, que ocorrem apenas nos organismos multicelulares (animais e plantas). Nesse nível, as células se especializam e se juntam para dar as características do tecido a ser formado. São exemplos de tecido a nossa pele, o nosso sangue, nossos músculos, entre outros.
  • 14.
    • Diversos tiposde tecidos se organizam para formar os órgãos, unidades anatômicas e funcionais essenciais à manutenção da vida nos organismo multicelulares. Por exemplo, o coração é um órgão formado por diversos tipos de tecido, principal o muscular. • Por sua vez, os órgãos não agem sozinhos. Eles funcionam integrados uns aos outros para o desempenho de determinadas funções do corpo. Um conjunto de órgãos constitui um sistema. Por exemplo, temos o sistema digestório que é composto pela boca, esôfago, estômago, intestino e outras glândulas.
  • 15.
    • Em conjunto,os sistemas de órgãos compõe o nível do organismo individual. Aqui estão as pessoas, as rosas, os coelhos e todos os outros indivíduos vivos. O conjunto organismos individuais de uma mesma espécie que habitam uma determinada região geográfica constitui uma população biológica. Exemplos são as populações humanas dos diversos países, ou uma população de leões na Savana africana.
  • 16.
    • Os membrosde uma população interagem com indivíduos de outras espécies que habitam a mesma região geográfica. Ao conjunto de populações diferentes que coexistem em determinado lugar, interagindo direta ou indiretamente, dá-se o nome de comunidade biológica. Por exemplo, a população dos leões africanos citados no parágrafo anterior, junto as plantas e outros animais que vivem no mesmo habitat, compõe uma comunidade.
  • 17.
    • Os membrosde uma comunidade biológica, além de interagir entre si, também interagem com o ambiente em que vivem, sendo influenciados por fatores como temperatura, alimentos disponíveis, umidade, luminosidade, entre outros. Por exemplo, a nossa comunidade de leões africanos são influenciados pelo ambiente em que vivem, pela quantidade de calor, de alimentos disponíveis, de água, etc. Ao grande conjunto formado pelas comunidades e pelo ambiente que vivem dá-se o nome de ecossistema. • A mais alta e última hierarquia na biologia é a que reúne todos os ecossistemas da Terra, a chamada biosfera. É nessa camada do nosso planeta que ocorre todas as vidas.
  • 19.
    Tipos de Células •As células podem ser divididas em dois tipos: as procariontes e eucariontes.
  • 20.
    Procariontes • A principalcaracterística da célula procarionte é a ausência de carioteca delimitando o núcleo celular. O núcleo da célula procarionte não é individualizado. • As células procariontes são as mais primitivas e possuem estruturas celulares mais simples. Esse tipo celular pode ser encontrado nas bactérias.
  • 22.
    Eucariontes • As célulaseucariontes são mais complexas. Essas possuem carioteca individualizando o núcleo, além de vários tipos de organelas. • Como exemplos de células eucariontes estão as células animais e as células vegetais.
  • 24.
    Estrutura Básica deuma Célula e sua Classificação • É comum dizer que uma célula é composta por três partes básicas: membrana plasmática, citoplasma e núcleo. Essa informação, no entanto, é incorreta quando analisamos alguns tipos de células. Todas as células possuem membrana plasmática e citoplasma, mas o núcleo é estrutura ausente em células procariontes. Nesse tipo celular, o material genético está disperso no citoplasma.
  • 25.
    Relembrando... • Assim sendo,analisando a estrutura básica de uma célula, podemos classificá-la em procarionte e eucarionte: • Procariontes são aquelas que não possuem um núcleo definido envolto por membranas. • Já a célula eucarionte apresenta um núcleo delimitado pelo envoltório nuclear, possuindo, portanto, uma proteção ao seu material genético.
  • 28.
    Membrana Plasmática • Amembrana plasmática, membrana celular ou plasmalema é um envoltório fino, poroso e microscópico que reveste as células dos seres procariontes e eucariontes. • É uma estrutura semipermeável, responsável pelo transporte e seleção de substâncias que entram e saem da célula. • Apenas com o desenvolvimento do microscópio eletrônico foi possível a observação da membrana plasmática.
  • 29.
    Funções • As funçõesda membrana plasmática são: • Permeabilidade Seletiva, controle da entrada e saída de substâncias da célula; • Proteção das estruturas celulares; • Delimitação do conteúdo intracelular e extracelular, garantindo a integridade da célula; • Transporte de substâncias essenciais ao metabolismo celular; • Reconhecimento de substâncias, graças a presença de receptores específicos na membrana.
  • 30.
  • 31.
    • A membranaplasmática apresenta o denominado "modelo do mosaico fluido”. O nome "mosaico fluido" deve-se pela presença de estruturas flexíveis e fluidas, com grande poder de regeneração. • A membrana plasmática é quimicamente constituída por lipídios (glicolipídeos, colesterol e os fosfolipídeos) e proteínas. Por isso, é reconhecida por sua composição lipoproteica.
  • 32.
    Transporte de Substâncias •A membrana atua como um filtro, permitindo a passagem de substâncias pequenas e impedindo ou dificultando a passagem de substâncias de grande porte. Essa propriedade é chamada de Permeabilidade Seletiva.
  • 33.
    • O transportede substâncias através da membrana plasmática pode ser de modo passivo ou ativo: • O transporte passivo ocorre sem gasto de energia. As substâncias deslocam-se do meio mais concentrado para o menos concentrado. São exemplos: • Difusão Simples - É a passagem de partículas de onde estão mais concentradas para regiões em que sua concentração é menor. • Difusão Facilitada - É a passagem, através da membrana, de substâncias que não se dissolvem em lipídios, com ajuda das proteínas da bicamada lipídica da membrana. • Osmose - É a passagem de água de um meio menos concentrado (hipotônico) para outro mais concentrado (hipertônico).
  • 37.
    • O transporteativo ocorre com gasto de energia (ATP). As substâncias deslocam-se de menor para o de maior concentração. São exemplos: • Transporte em Bloco: Endocitose e Exocitose - Ocorre quando a célula transfere grande quantidade de substâncias para dentro ou para fora do seu meio intracelular. • Bomba de Sódio e Potássio - Passagem de íons sódio e potássio para a célula, devido às diferenças de suas concentrações.
  • 38.
    • É otransporte de substâncias gigantes, e não é possível passar pelas estruturas da membrana. Então ocorre um processo de deformação da membrana para que essas substâncias sejam incorporadas ou eliminadas pelas célula. • Esse processo consome energia, uma vez que envolve a produção de mais membrana plasmática e movimentos do citoesqueleto. Transporte em Bloco
  • 40.
    Bomba de sódio(Na+) e potássio (K+) • A célula deve apresentar uma concentração de sódio (Na+) baixa dentro da célula, e alta fora. E a concentração do potássio (K+) é alta dentro da célula ,e baixa fora. • Naturalmente, por difusão, o sódio (Na+) entra na célula, enquanto o potássio (K+) sai da célula. • Para manter a diferença de concentração, a célula força a entrada do potássio (K+) e a saída do sódio (Na+). Como esses íons são forçados a ir do meio hipotônico para o hipertônico, ocorre gasto de energia. • A proporção: saem 3 moléculas de sódio, entram 2 de potássio.
  • 42.
    Organelas Celulares • Asorganelas celulares são como pequenos órgãos que realizam as atividades celulares essenciais para as células. • São estruturas compostas pelas membranas internas, com formas e funções diferentes, sendo as principais: os retículos endoplasmáticos lisos e rugosos, o aparelho de Golgi e as mitocôndrias. Nas células vegetais há também organelas específicas: os cloroplastos.
  • 43.
    As Organelas esuas Funções
  • 44.
    Núcleo: prefeitura • Onúcleo é como se fosse a prefeitura da cidade, protegida por seus muros, a carioteca. O núcleo armazena as informações genéticas (DNA) e controla as atividades da célula, determinando o que os outros elementos devem fazer.
  • 45.
    Citoesqueleto: edificações eruas • É a organela que dá forma à célula, do mesmo jeito que as edificações dão forma a uma cidade. Além disso, o citoesqueleto participa do transporte de substâncias na célula, assim como as ruas em um município.
  • 46.
    Mitocôndrias: usina degeração de energia • As mitocôndrias são responsáveis pela produção da energia da célula, assim como uma usina em uma cidade. Se na usina a energia chega em forma de eletricidade, nas mitocôndrias é produzida na forma de ATP a partir da respiração celular.
  • 47.
    Ribossomos: fábricas • Osribossomos têm a função de ligar aminoácidos e sintetizar proteínas. Funcionam como uma fábrica que precisa transformar matérias-primas em um produto final. O ribossomo é formado por duas unidades: RNA ribossomal e proteínas.
  • 48.
    Complexo de Golgi:garis • O complexo de Golgi é responsável por coletar e ensacar tudo o que sairá da célula (secreção celular), assim como os garis recolhem o lixo.
  • 49.
    Vacúolos: caminhões delixo • Os vacúolos são encarregados de transportar para fora da célula o que foi ensacado pelo complexgi (garis).
  • 50.
    Lisossomos: recicladora delixo • Essas organelas, exclusivas de células animais, realizam a digestão intracelular, como se fosse a empresa recicladora de lixo da cidade. Elas possuem enzimas (máquinas de reciclagem) responsáveis pela transformação das substâncias em moléculas, que podem ou não ser aproveitas pela célula, assim como o lixo reciclado.
  • 51.
    Retículo endoplasmático: Correios •Essa estrutura atua como uma rede de distribuição das substâncias dentro das células, assim como os Correios de uma cidade, que distribuem correspondências e mercadorias. Existem dois tipos de retículo endoplasmático: • Rugoso (granular): responsável por boa parte da produção de proteínas, já que apresenta ribossomos em sua membrana externa; • Liso (agranular): realiza a produção de lipídios e processos de desintoxicação da célula.
  • 52.
    Membrana citoplasmática: fronteiras •A membrana citoplasmática funciona como os limites (fronteiras) da cidade. Nela, portanto, o que entra e sai da célula é inspecionado.
  • 53.
    Mitocôndrias • São organelascompostas por membrana dupla, sendo uma externa e uma interna que apresenta muitas dobras, as chamadas cristas mitocondriais. • As mitocôndrias são organelas especiais, com capacidade de se reproduzir, uma vez que contem moléculas de DNA circular, tal como as bactérias. • Sua função é realizar a respiração celular, que produz a maior parte da energia utilizada nas funções vitais. Além de possuir material genético próprio.
  • 55.
    Retículo Endoplasmático • Sãoorganelas cujas membranas se dobram formando sacos achatados. Existem 2 tipos de retículo endoplasmático, o liso e o rugoso, esse último possui grânulos associados à sua membrana, os ribossomos, o que lhe confere aparência rugosa e por isso o nome.
  • 56.
    • Além dissosua membrana é contínua com a membrana externa do núcleo, o facilita a comunicação entre eles. • O retículo endoplasmático liso (REL) não tem ribossomos associados e por isso tem aparência lisa, é responsável pela produção de lipídios que irão compor as membranas celulares. • A função principal do retículo endoplasmático rugoso (RER) é realizar a síntese proteica, além de participar do seu dobramento e transporte até outras partes da célula.
  • 57.
    Retículo Endoplasmático Rugoso(RER) • O retículo endoplasmático, quando associado aos ribossomos adquire uma aparência áspera, motivo pelo qual é chamado de rugoso ou granuloso. Está localizado no citoplasma, próximo ao núcleo, sendo a sua membrana uma continuação da membrana nuclear externa.
  • 58.
    Funções do RER •A proximidade com o núcleo torna a síntese de proteínas mais eficiente, uma vez que o RER pode enviar rapidamente um sinal para o núcleo iniciar o processo de transcrição do DNA, e ainda quando há proteínas deformadas ou desdobradas (inativas), há um sinal específico para melhorar o processo, caso contrário, será sinalizado que a célula deve ser encaminhada para uma morte programada (apoptose).
  • 59.
    Ribossomos • Os Ribossomos,também chamados de Ribossomas, são pequenas estruturas em forma de grânulos que estão presentes nas células procariontes e eucariontes. • Eles são fundamentais para o crescimento, a regeneração celular e o controle metabólico.
  • 60.
    Função dos Ribossomos •A função dos ribossomos é auxiliar na produção e na síntese das proteínas nas células. Além dele, participam desse processo as moléculas de DNA e RNA. • Os ribossomos reúnem diversos aminoácidos durante a síntese proteica através de uma ligação química chamada de ligação peptídica.
  • 61.
    Retículo Endoplasmático Liso(REL) • O Retículo endoplasmático liso não possui ribossomos ligados à sua membrana e por isso parece liso.
  • 62.
    Funções do REL •A sua função é, basicamente, participar da produção de moléculas de lipídios, em especial fosfolipídios que irão compor a membrana das células. No entanto, dependendo do tipo de célula em que se encontra, o REL terá funções diferentes. Assim, por exemplo, ele pode estar mais envolvido na produção dos hormônios esteroides a partir do colesterol​, ou com a regulação dos níveis de cálcio no citoplasma de células musculares estriadas.
  • 64.
    Complexo de Golgi •O Complexo de Golgi ou Aparelho de Golgi, ou ainda Complexo Golgiense, é uma organela de células eucariontes, composta de discos membranosos achatados e empilhados. Suas funções são modificar, armazenar e exportar proteínas sintetizadas no retículo endoplasmático rugoso e além disso, origina os lisossomos e os acrossomos dos espermatozoides.
  • 66.
    Funções • Na facecis da cisterna as vesículas recebidas do RER contém proteínas (produzidas pelos ribossomos associados ao retículo) que serão modificadas e dobradas. • Algumas dessas proteínas são glicosiladas, ou seja, sofrem reação de adição de um açúcar no RER. Esse processo é completado no Golgi, caso contrário, essas proteínas podem se tornar inativas. • Na face trans as proteínas são "empacotadas" em vesículas membranosas. Desse modo, são originadas muitas enzimas, bem como os lisossomos primários e os peroxissomos. • Enquanto essas organelas ficam no citoplasma da célula, as proteínas são muitas vezes enviadas para fora da célula.
  • 67.
    • Uma outrafunção do Complexo de Golgi é a formação do acrossomo que se localiza na cabeça do espermatozoide. • O acrossomo é o resultado da fusão de vários lisossomos formando uma grande vesícula, que contem enzimas digestivas para auxiliar na perfuração da membrana do óvulo.
  • 68.
    Vacúolos • Os vacúolossão estruturas celulares envolvidas por membrana plasmática, muito comuns em plantas e presentes também em protozoários e animais. Tem diferentes funções como: regular pH, controlar a entrada e saída de água por osmorregulação, armazenar substâncias, fazer a digestão e excretar os resíduos.
  • 69.
    Vacúolos Digestivos • Essesvacúolos realizam a digestão intracelular e estão presentes em protozoários e em células animais e humanas como os macrófagos.
  • 70.
    Lisossomos O que são- definição • Lisossomos são organelas presentes no citoplasma da grande maioria das células eucariontes. No interior dos lisossomos podemos encontrar grande quantidade de enzimas digestivas. Onde são formados? • Os lisossomos são formados no Complexo de Golgi (outra importante organela presente no citoplasma). Funções dos lisossomos: • Fazer a degradação e digestão de partículas originárias do meio exterior às células; • Reciclar (função de renovação celular) outras organelas celulares que estão envelhecidas. Este processo é conhecido como autofagia.
  • 72.
    Peroxissomos • Os peroxissomossão pequenas estruturas em formato arredondado os quais estão envoltos por uma membrana lipoproteica. Em seu interior contém enzimas oxidases, responsáveis pela oxidação de substâncias.
  • 73.
    Função dos Peroxissomos •A principal função do peroxissomos é digerir algumas substâncias. • Nas reações de oxidação é produzido o peróxido de hidrogênio (H2O2), e por isso essa organela recebe esse nome. • No corpo humano, os peroxissomos são encontrados nas células que formam os rins (células renais) e o fígado (células hepáticas). • No fígado, eles auxiliam na produção de sais biliares e também na neutralização de algumas substâncias tóxicas para o corpo através da enzima catalase.
  • 75.
    Centríolos • Os centríolossão estruturas celulares que auxiliam na divisão celular (mitose e meiose). • Possuem, portanto, a capacidade de duplicação durante o ciclo da divisão celular, organizando o fuso acromático. • Após o processo de duplicação, os centríolos migram em direção aos polos da célula.
  • 77.
    Núcleo Celular • Onúcleo é a região da célula onde se encontra o material genético (DNA) dos organismos tanto unicelulares como multicelulares. • O núcleo é o que caracteriza os organismos eucariontes e os diferencia dos procariontes que não possuem núcleo.
  • 78.
    Função • O núcleoé como o "cérebro" da célula, pois é a partir dele que partem as "decisões". É onde se localizam os cromossomos compostos de moléculas de ácido desoxirribonucleico, DNA, que carrega toda a informação sobre as características da espécie e participa dos mecanismos hereditários. • Cada região do DNA é composto por genes que codificam as informações para a síntese de proteínas, que ocorre nos ribossomos. De acordo com o gene codificado, será sintetizada um tipo de proteína, que será usada para fins específicos.
  • 80.
    • Além disso,quando o organismo precisa crescer ou se reproduzir a célula passa por divisões que acontecem também no núcleo.
  • 81.
    Componentes do Núcleo •O núcleo contém nucleoplasma, substância onde fica mergulhado o material genético e as estruturas que são importantes para que desempenhe suas funções, como os nucléolos. • E também há a carioteca ou membrana celular, que delimita o núcleo e envolve o material genético.
  • 83.
    Carioteca • A membranaque envolve o núcleo é chamada de carioteca, tem natureza semelhante às restante membranas celulares, ou seja, dupla camada de lipídios e proteínas. • A membrana mais externa está ligada ao retículo endoplasmático e muitas vezes possui ribossomos aderidos. • No lado interno da membrana interior há uma rede de proteínas (lâmina nuclear) que ajudam na sustentação da carioteca e participam do processo de divisão celular, contribuindo para a fragmentação e reconstituição do núcleo. • Existem poros na carioteca que são importantes para controlar a entrada e saída de substâncias.
  • 84.
    Cromatina • As moléculasde DNA associadas às proteínas histonas compõem a cromatina. A cromatina pode estar mais densa, mais enrolada, sendo chamada heterocromatina que se diferencia da região de consistência mais frouxa, a eucromatina.
  • 85.
    O conjuntos dos cromossomosque constituem cada espécie é o cariótipo; no ser humano, por exemplo, são 22 pares de cromossomos autossômicos e 1 par de cromossomos sexuais. Os cromossomos humanos, por exemplo, têm forma e tamanho típicos o que facilita a sua identificação.
  • 86.
    Nucléolos • Os nucléolossão corpos densos e arredondados compostos de proteínas, com RNA e DNA associados. • É nessa região do núcleo onde são fabricadas as moléculas de RNA ribossômico que se associam a certas proteínas para formar as subunidades que compõem os ribossomos. • Essas subunidades ribossômicas ficam armazenadas no nucléolo e saem no momento de realização da síntese proteica.