RESSONÂNCIA
MAGNÉTICA
APLICAÇÕES CLÍNICAS
E SEGURANÇA
JEFFERSON LACERDA
Tecnólogo em Radiologia Médica
Especialista em Diagnóstico por Imagem
Especialista Técnico em Radiologia Industrial
Técnico em Proteção Radiológica
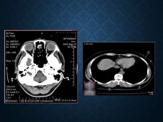
APLICAÇÕES CLÍNICAS
• Os equipamentos de Ressonância Magnética (RM) e de
Tomografia Computadorizada (TC), utilizam radiação
eletromagnética para o estudo de anatomia e patologia
através de imagens obtidas em vários planos e secções.
TOMOGRAFIA COMPUTADORIZADA
• A Tomografia Computadorizada é
um método de diagnóstico por
imagem que utiliza radiação
ionizante na formação de imagens
do corpo humano em cortes
seccionados .
RECONSTRUÇÃO EM 3 DIMENSÕES.
RESSONÂNCIA MAGNÉTICA
• Ressonância Magnética é um método de diagnóstico
por imagem que não utiliza radiação não ionizante na
formação de imagens do corpo humano em cortes
seccionados .
APLICAÇÕES CLÍNICAS
• A TC mostra um avanço no contraste em relação as imagens da
radiografia convencional .
• A RMN é mais sensível a natureza molecular dos tecidos e
assim permite uma excelente resolução de contraste.
APLICAÇÕES CLÍNICAS
• Como exemplo temos que a RMN é sensível a pequena diferença
na composição tissular das substâncias cinzenta e branca normais
do encéfalo.
APLICAÇÕES CLÍNICAS
• A RMN vem cada vez mais substituindo a TC em exames de
patologias do SNC, principalmente para patologias na substância
branca.
• Enquanto a TC e a radiografia convencional medem a atenuação do
feixe de raios X, a RM estimula o corpo a produzir um sinal de
radiofrequência e mede este sinal através de uma antena ou bobina.
ESPECTRO ELETROMAGNÉTICO
APLICAÇÕES CLÍNICAS
• O diagnóstico de patologias através da RMN pode ser realizado
através de comparações entre o sinal produzido no tecido normal
e o sinal produzido no tecido alterado.
APLICAÇÕES CLÍNICAS
MODELOS DE EQUIPAMENTOS
Campo Aberto Campo Fechado
APLICAÇÕES CLÍNICAS
APLICAÇÕES CLÍNICAS
APLICAÇÕES CLÍNICAS
APLICAÇÕES CLÍNICAS
• Por não utilizar radiações ionizantes a RMN é considerada
mais segura que a TC em termos de danos tissular biológicos.
• Embora a RMN não utilize radiações ionizantes, considerações
de segurança tem que ser identificadas e entendidas.
 Método de diagnóstico por
imagem que utiliza ondas
eletromagnéticas associada a
um forte campo magnético, na
produção de imagens do corpo
humano, fornecendo
informações sobre morfologia e
função do organismo.
 Cria o campo magnético principal uniforme ao longo do corpo
do paciente, gerando Magnetização do Tecido.
PREPARO DO PACIENTE
PREPARO DO PACIENTE
• Cada profissional deve estar envolvido na programação e no
preparo para um exame bem-sucedido.
• Ganhar a confiança do paciente é uma preocupação
importante.
• Quanto mais relaxado e confortável o paciente estiver, maior
as chances de um exame bem-sucedido e seguro.
PREPARO DO PACIENTE
• As principais preocupações no preparo do paciente para um
exame de RMN são:
1. Pesquisar contra-indicações.
PREPARO DO PACIENTE
2. Explicar o exame.
• Uma descrição do procedimento de RM.
• A importância de permanecer imóvel.
• O barulho que eles vão ouvir.
• A extensão de tempo que uma sequência irá durar.
• A ausência de radiação ionizante.
• A importância de remover todos os objetos metálicos.
PREPARO DO PACIENTE
3. Remover todos os objetos metálicos.
4. Assegurar o conforto do paciente.
CONTRA - INDICAÇÕES
• Existem algumas contra-indicações absolutas para o exame de
RMN.
• Embora não seja uma contra-indicação absoluta a gravidez
também é frequentemente considerada uma contra-indicação.
• O exame pode ser realizado com um consentimento informado e
documentado clinicamente
SEGURANÇA – RISCO
POTENCIAL DE PROJÉTEIS
• Cartazes de alerta e sistemas de segurança para portas têm que
estar em uso nas áreas restritas dentro do campo magnético
adventício.
ESTÃO CONTRA INDICADOS DE
REALIZAR O EXAME DE RM
• Portadores de Marca – passo cardíaco
• Portadores de implantes eletrônicos
• Portadores de “grampos de aneurisma” ou “clipes metálicos”
• Pacientes que apresentem metais em seus olhos ou ouvido médio
• Mulheres na Embriogênese
•
CONTRA INDICAÇÕES PARCIAIS
• Claustrofobia
• Gestantes após a Embriogênese
RISCOS POTENCIAIS
• Objetos metálicos como projéteis
• Interferência elétrica em Implantes
• Aquecimento local de tecidos e ou objetos metálicos
• Interferência elétrica na função de células nervosas e fibras
musculares (neuroestimulação)
SEGURANÇA
• Preocupações de segurança para o técnico, o paciente e o
pessoal médico são de fundamental importância em RMN.
• Estão ligados principalmente com a interação dos campos
magnéticos com objetos metálicos e tecidos.
SEGURANÇA
• Durante uma varredura de RMN, pacientes assim como outras
pessoas na área imediata estão sujeitos a fortes campos
magnéticos.
SEGURANÇA – RISCO
POTENCIAL DE PROJÉTEIS
• Um campo magnético estático que envolve o magneto é
denominado, campo magnético adventício.
• Certos itens não são permitidos dentro destes campos.
• É essencial a monitoração de qualquer pessoa antes do acesso
a sala do magneto.
SEGURANÇA – RISCO
POTENCIAL DE PROJÉTEIS
• A força do campo adventício e inversamente proporcional ao
cubo da distância a partir do interior do magneto.
• Se um pequeno objeto ferromagnético for colocado próximo ao
magneto, ele pode se tornar letal quando atingir uma
velocidade final de 64 Km/h no momento em que chegasse ao
centro do magneto.
SEGURANÇA – RISCO
POTENCIAL DE PROJÉTEIS
ACIDENTES
Uma pequena empilhadeira carregada
que foi atraída para o vão de um
aparelho de ressonância magnética.
SEGURANÇA – INTERFERÊNCIA
ELÉTRICA
• Outra preocupação importante é um possível é um possível
dano a componentes eletrônicos como na função de marca
passos cardíacos.
• Outros dispositivos que podem ser afetados adversamente pela
RMN são implantes cocleares, neuroestimuladores, bombas de
infusão de drogas implantadas, e estimuladores de
crescimento ósseo.
SEGURANÇA – TORQUE DE
OBJETOS METÁLICOS
• Outra grande preocupação com segurança está relacionado com
objetos metálicos, tais como clipes cirúrgicos localizados dentro ou
sobre o corpo do paciente.
• O campo magnético pode causar torque ou movimento de torção
do objeto e dano ao tecido que circunda o sitio cirúrgico.
• Pacientes com objetos metálicos estranhos tais como balas,
granadas e objetos metálicos intra-oculares têm que ser
investigados cuidadosamente.Radiografias convencionais podem
ser a solução.
AQUECIMENTO LOCAL DE
TECIDOS E OBJETOS
METÁLICOS
• Os pulsos de RF que passam através do corpo do paciente causam
aquecimento tissular.
• Taxa de Absorção Específica - TAE.
• Aparelhos de RMN podem ser dotados de sistemas para regular o
TAE.
• Uma das razões para não realizar o exame em gestantes, o
aumento da temperatura fetal pode ser danoso.
AQUECIMENTO LOCAL DE
TECIDOS E OBJETOS
METÁLICOS
• As bobinas não devem entrar em contato como corpo do paciente.
• Por transmitir calor pode causar queimaduras graves.
• Bobinas devem ser inspecionadas regularmente, não devem ser usadas
com isolamento danificado.
• Devem estar sintonizadas corretamente (sinal ótimo)
• Sinalização de fatores de risco
INTERFERÊNCIA EM TECIDOS
BIOLÓGICOS
• Campos magnéticos induzidos por gradientes modificando-se
rapidamente podem causar corrente elétrica nos tecidos.
• Exemplos disso incluem sensações de lampejo de luz e fibrilação
ventricular.
• A alteração máxima de campo magnético de gradiente permitida
em RMN é pelo menos 10 vezes mais baixa do que a que causa
fibrilação.
QUENCH E UNIDADE DE
INTERRUPÇÃO DE EMERGÊNCIA
• A norma prescreve uma unidade de interrupção de emergência do
campo para equipamentos de RM de alto campo.
• Esta unidade deve fornecer a característica de decaimento do
magneto, no caso de um quench, ou para uma situação de
emergência.
QUEIMADURA POR HÉLIO
Aula Sipatma 2015.pptx
Aula Sipatma 2015.pptx

Aula Sipatma 2015.pptx

  • 1.
  • 2.
    JEFFERSON LACERDA Tecnólogo emRadiologia Médica Especialista em Diagnóstico por Imagem Especialista Técnico em Radiologia Industrial Técnico em Proteção Radiológica
  • 4.
    APLICAÇÕES CLÍNICAS • Osequipamentos de Ressonância Magnética (RM) e de Tomografia Computadorizada (TC), utilizam radiação eletromagnética para o estudo de anatomia e patologia através de imagens obtidas em vários planos e secções.
  • 5.
    TOMOGRAFIA COMPUTADORIZADA • ATomografia Computadorizada é um método de diagnóstico por imagem que utiliza radiação ionizante na formação de imagens do corpo humano em cortes seccionados .
  • 7.
  • 8.
    RESSONÂNCIA MAGNÉTICA • RessonânciaMagnética é um método de diagnóstico por imagem que não utiliza radiação não ionizante na formação de imagens do corpo humano em cortes seccionados .
  • 10.
    APLICAÇÕES CLÍNICAS • ATC mostra um avanço no contraste em relação as imagens da radiografia convencional . • A RMN é mais sensível a natureza molecular dos tecidos e assim permite uma excelente resolução de contraste.
  • 13.
    APLICAÇÕES CLÍNICAS • Comoexemplo temos que a RMN é sensível a pequena diferença na composição tissular das substâncias cinzenta e branca normais do encéfalo.
  • 14.
    APLICAÇÕES CLÍNICAS • ARMN vem cada vez mais substituindo a TC em exames de patologias do SNC, principalmente para patologias na substância branca. • Enquanto a TC e a radiografia convencional medem a atenuação do feixe de raios X, a RM estimula o corpo a produzir um sinal de radiofrequência e mede este sinal através de uma antena ou bobina.
  • 15.
  • 16.
    APLICAÇÕES CLÍNICAS • Odiagnóstico de patologias através da RMN pode ser realizado através de comparações entre o sinal produzido no tecido normal e o sinal produzido no tecido alterado.
  • 17.
  • 18.
    MODELOS DE EQUIPAMENTOS CampoAberto Campo Fechado
  • 19.
  • 20.
  • 21.
  • 22.
    APLICAÇÕES CLÍNICAS • Pornão utilizar radiações ionizantes a RMN é considerada mais segura que a TC em termos de danos tissular biológicos. • Embora a RMN não utilize radiações ionizantes, considerações de segurança tem que ser identificadas e entendidas.
  • 23.
     Método dediagnóstico por imagem que utiliza ondas eletromagnéticas associada a um forte campo magnético, na produção de imagens do corpo humano, fornecendo informações sobre morfologia e função do organismo.
  • 24.
     Cria ocampo magnético principal uniforme ao longo do corpo do paciente, gerando Magnetização do Tecido.
  • 26.
  • 27.
    PREPARO DO PACIENTE •Cada profissional deve estar envolvido na programação e no preparo para um exame bem-sucedido. • Ganhar a confiança do paciente é uma preocupação importante. • Quanto mais relaxado e confortável o paciente estiver, maior as chances de um exame bem-sucedido e seguro.
  • 28.
    PREPARO DO PACIENTE •As principais preocupações no preparo do paciente para um exame de RMN são: 1. Pesquisar contra-indicações.
  • 29.
    PREPARO DO PACIENTE 2.Explicar o exame. • Uma descrição do procedimento de RM. • A importância de permanecer imóvel. • O barulho que eles vão ouvir. • A extensão de tempo que uma sequência irá durar. • A ausência de radiação ionizante. • A importância de remover todos os objetos metálicos.
  • 30.
    PREPARO DO PACIENTE 3.Remover todos os objetos metálicos. 4. Assegurar o conforto do paciente.
  • 32.
    CONTRA - INDICAÇÕES •Existem algumas contra-indicações absolutas para o exame de RMN. • Embora não seja uma contra-indicação absoluta a gravidez também é frequentemente considerada uma contra-indicação. • O exame pode ser realizado com um consentimento informado e documentado clinicamente
  • 33.
    SEGURANÇA – RISCO POTENCIALDE PROJÉTEIS • Cartazes de alerta e sistemas de segurança para portas têm que estar em uso nas áreas restritas dentro do campo magnético adventício.
  • 35.
    ESTÃO CONTRA INDICADOSDE REALIZAR O EXAME DE RM • Portadores de Marca – passo cardíaco • Portadores de implantes eletrônicos • Portadores de “grampos de aneurisma” ou “clipes metálicos” • Pacientes que apresentem metais em seus olhos ou ouvido médio • Mulheres na Embriogênese •
  • 37.
    CONTRA INDICAÇÕES PARCIAIS •Claustrofobia • Gestantes após a Embriogênese
  • 38.
    RISCOS POTENCIAIS • Objetosmetálicos como projéteis • Interferência elétrica em Implantes • Aquecimento local de tecidos e ou objetos metálicos • Interferência elétrica na função de células nervosas e fibras musculares (neuroestimulação)
  • 40.
    SEGURANÇA • Preocupações desegurança para o técnico, o paciente e o pessoal médico são de fundamental importância em RMN. • Estão ligados principalmente com a interação dos campos magnéticos com objetos metálicos e tecidos.
  • 41.
    SEGURANÇA • Durante umavarredura de RMN, pacientes assim como outras pessoas na área imediata estão sujeitos a fortes campos magnéticos.
  • 43.
    SEGURANÇA – RISCO POTENCIALDE PROJÉTEIS • Um campo magnético estático que envolve o magneto é denominado, campo magnético adventício. • Certos itens não são permitidos dentro destes campos. • É essencial a monitoração de qualquer pessoa antes do acesso a sala do magneto.
  • 44.
    SEGURANÇA – RISCO POTENCIALDE PROJÉTEIS • A força do campo adventício e inversamente proporcional ao cubo da distância a partir do interior do magneto. • Se um pequeno objeto ferromagnético for colocado próximo ao magneto, ele pode se tornar letal quando atingir uma velocidade final de 64 Km/h no momento em que chegasse ao centro do magneto.
  • 47.
  • 48.
  • 49.
    Uma pequena empilhadeiracarregada que foi atraída para o vão de um aparelho de ressonância magnética.
  • 50.
    SEGURANÇA – INTERFERÊNCIA ELÉTRICA •Outra preocupação importante é um possível é um possível dano a componentes eletrônicos como na função de marca passos cardíacos. • Outros dispositivos que podem ser afetados adversamente pela RMN são implantes cocleares, neuroestimuladores, bombas de infusão de drogas implantadas, e estimuladores de crescimento ósseo.
  • 54.
    SEGURANÇA – TORQUEDE OBJETOS METÁLICOS • Outra grande preocupação com segurança está relacionado com objetos metálicos, tais como clipes cirúrgicos localizados dentro ou sobre o corpo do paciente. • O campo magnético pode causar torque ou movimento de torção do objeto e dano ao tecido que circunda o sitio cirúrgico. • Pacientes com objetos metálicos estranhos tais como balas, granadas e objetos metálicos intra-oculares têm que ser investigados cuidadosamente.Radiografias convencionais podem ser a solução.
  • 57.
    AQUECIMENTO LOCAL DE TECIDOSE OBJETOS METÁLICOS • Os pulsos de RF que passam através do corpo do paciente causam aquecimento tissular. • Taxa de Absorção Específica - TAE. • Aparelhos de RMN podem ser dotados de sistemas para regular o TAE. • Uma das razões para não realizar o exame em gestantes, o aumento da temperatura fetal pode ser danoso.
  • 58.
    AQUECIMENTO LOCAL DE TECIDOSE OBJETOS METÁLICOS • As bobinas não devem entrar em contato como corpo do paciente. • Por transmitir calor pode causar queimaduras graves. • Bobinas devem ser inspecionadas regularmente, não devem ser usadas com isolamento danificado. • Devem estar sintonizadas corretamente (sinal ótimo) • Sinalização de fatores de risco
  • 61.
    INTERFERÊNCIA EM TECIDOS BIOLÓGICOS •Campos magnéticos induzidos por gradientes modificando-se rapidamente podem causar corrente elétrica nos tecidos. • Exemplos disso incluem sensações de lampejo de luz e fibrilação ventricular. • A alteração máxima de campo magnético de gradiente permitida em RMN é pelo menos 10 vezes mais baixa do que a que causa fibrilação.
  • 62.
    QUENCH E UNIDADEDE INTERRUPÇÃO DE EMERGÊNCIA • A norma prescreve uma unidade de interrupção de emergência do campo para equipamentos de RM de alto campo. • Esta unidade deve fornecer a característica de decaimento do magneto, no caso de um quench, ou para uma situação de emergência.
  • 63.