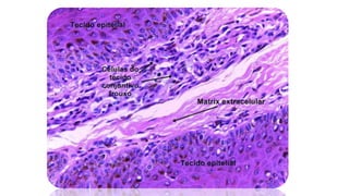
Tecido Conjuntivo
Tecido conjuntivo
Matriz extracelular
Células
Funções
• Fornecer suporte estrutural;
• Servir de meio para trocas;
• Ajudar na defesa e na
proteção do corpo;
• Servir como local de
armazenamento de gordura.
Macromoléculas
e proteínas
Proteínas
Fibrosas
Características do tecido
colágen
o
Substância
fundamental
Células do Tecido Conjuntivo
Os Fibroblastos
• São células grandes e achatadas com prolongamentos ramificados.
• São encontrados em diversos tecidos conjuntivos e, em geral, são
os mais numerosos.
• Os fibroblastos migram através dos tecidos conjuntivos, secretando
as fibras e alguns componentes das substâncias que compõem a
matriz extracelular.
células
metabolicamente em
repouso
Os Macrófagos
• Se desenvolvem a partir dos monócitos, um tipo de leucócito.
• Têm formato irregular com prolongamentos ramificados curtos
e são capazes de englobar bactérias e restos celulares por
fagocitose.
• Os macrófagos fixos se localizam em um tecido específico;
• exemplos incluem os macrófagos alveolares dos pulmões
ou os macrófagos esplênicos, do baço.
• Os macrófagos móveis (migratórios) possuem a capacidade
de se mover através dos tecidos e alcançar locais de infecção
ou de inflamação para realizarem a fagocitose.
Os Plasmócitos
• São pequenas células que se desenvolvem a
partir de um leucócito chamado linfócito B.
• Secretam anticorpos, proteínas que atacam
ou neutralizam substâncias estranhas no
corpo.
• Embora sejam encontrados em muitas partes
do corpo, a maior parte dos plasmócitos
reside no tecido conjuntivo, especialmente nos
sistemas digestório e respiratório.
• Eles também são abundantes nas glândulas
salivares, nos linfonodos, no baço e na
medula óssea vermelha.
Os Mastócitos
• São abundantes ao longo dos vasos sanguíneos que
alimentam o tecido conjuntivo.
• Produzem histamina, uma substância química que
dilata os pequenos vasos sanguíneos como parte da
resposta inflamatória, a reação do corpo a lesão ou a
infecção.
• Conseguem se ligar às bactérias, digerindo-as e
destruindo-as em seguida.
Os Leucócitos
• Não são encontrados em quantidades
significativas no tecido conjuntivo normal.
• Entretanto, em resposta a determinadas
condições, eles migram do sangue para o
tecido conjuntivo.
• Por exemplo, os neutrófilos são encontrados
em locais de infecção e os eosinófilos
migram para os locais de invasões
parasitárias e de respostas alérgicas.
Os Adipócitos
• São células do tecido conjuntivo que
armazenam triglicerídios.
• São também chamados de
células gordurosas ou de células
adiposas.
• Eles são encontrados na porção
profunda da pele e ao redor de
órgãos como o coração e os rins.
Tipos de tecidos CONJUNTIVOS
Tecido conjuntivo frouxo
• suporta estruturas normalmente sujeitas a pressão e atritos
pequenos.
• encontrado nas derme, na hipoderme, nas membranas serosas
que revestem as cavidades peritoneais e pleurais e nas
glândulas.
• As células mais numerosas são os fibroblastos e macrófagos.
Tecido conjuntivo
denso
• adaptado para oferecer
resistência e proteção aos
tecidos.
• é menos flexível e mais
resistente à tensão que o tecido
conjuntivo frouxo.
• encontrado, por exemplo, na
derme
Tecido conetivo FROUXO
Tecido conetivo FROUXO
Tecido conetivo FROUXO
Tecido conectivo
denso modelado
Tecido conetivo DENSO
Tecido conectivo
denso não
modelado
Tecido conetivo DENSO
Tecido conectivo
elástico
Tecido conetivo DENSO
CARTILAGINOSO
CARTILAGINOSO
CARTILAGINOSO
Tecido ÓSSEO
Tecido Conjuntivo LÍQUIDO
Obrigada
Tecido adiposo e Tecido ósseo
Tecido adiposo
É um tipo especial de conjuntivo no qual se observa predominância de células adiposas
(adipócitos)
Em pessoas de peso normal, o tecido
adiposo representa de 20 a 25% do peso
corporal na mulher e de 15 a 20% no
homem
O tecido adiposo é o maior depósito
corporal de energia, sob a forma de
triglicerídios.
Além do papel energético, o tecido adiposo tem outras funções:
1. Localizado sob a pele, modela a superfície, sendo em parte responsável pelas
diferenças de contorno entre os corpos da mulher e do homem.
2. Forma também coxins absorventes de choques, principalmente na planta dos pés e
na palma das mãos.
3. Como as gorduras são más condutoras de calor, o tecido adiposo contribui para o
isolamento térmico do organismo.
4. Além disso, preenche espaços entre outros tecidos e auxilia a manter determinados
órgãos em suas posições normais.
5. O tecido adiposo tem também atividade secretora, sintetizando diversos tipos de
moléculas.
Há duas variedades de tecido adiposo, que apresentam distribuição no corpo, na
estrutura, na fisiologia e em patologia diferentes
Tecido adiposo comum, amarelo ou unilocular: cujas células, quando completamente
desenvolvidas, contêm apenas uma gotícula de gordura que ocupa quase todo o
citoplasma.
Tecido adiposo pardo, ou multilocular: formado por células que contêm
numerosas gotículas lipídicas e muitas mitocôndrias.
Tecido adiposo unilocular
A cor do tecido unilocular varia entre o branco e o amarelo-escuro, dependendo da dieta.
Praticamente todo o tecido adiposo
encontrado em humanos adultos é do
tipo unilocular; seu acúmulo em
determinados locais é influenciado
pelo sexo e pela idade do indivíduo;
Tecido adiposo unilocular é
também um órgão secretor.
As setasfinas indicam fibroblastos do tecido conjuntivo de sustentação. As setas
espessas apontam vasos sanguíneos. A, Célula adiposa. (Coloração pela hematoxilina.
Médio aumento.)
Obesidade
Essencialmente, a obesidade é um desequilíbrio dos sistemas reguladores do peso corpóreo para
o qual contribuem fatores genéticos, ambientais e comportamentais.
⮚ Ela resulta da ingestão de calorias acima das necessidades para as atividades normais do
indivíduo.
⮚ Para fins práticos, considera-se obesa a
pessoa com 20% ou mais acima do peso
considerado normal para sua altura
⮚ Em adultos, a obesidade geralmente se
deve a um aumento na quantidade de
triglicerídios depositados em cada
adipócito unilocular, sem que exista
aumento no número de adipócitos.
Tecido adiposo multilocular
É também chamado de tecido adiposo pardo, por sua cor característica.
O tecido pardo é de distribuição limitada,
localizando-se em áreas determinadas. Esse tecido
é abundante em animais que hibernam, nos quais
foi chamado de glândula hibernante (designação
inapropriada)
No feto humano e no recém-nascido, o tecido
adiposo multilocular apresenta localização bem
determinada. Como esse tecido não cresce, sua
quantidade no adulto é extremamente reduzida.
É especializado na produção de calor
⮚ Na espécie humana, a quantidade desse tecido
só é significativa no recémnascido, tendo função
auxiliar na termorregulação.
⮚ O calor aquece o sangue contido na extensa
rede capilar do tecido multilocular e é distribuído
por todo o corpo, aquecendo diversos órgãos.
Tecido
ósseo
⮚ O tecido ósseo é o componente principal do esqueleto, serve de suporte para os tecidos moles e protege órgãos vitais
Osteócitos
Osteoblastos
Osteoclastos
Células
Além dessas funções, os ossos funcionam como:
1. Depósito de cálcio, fosfato e outros íons, armazenando-os ou liberando-os de
maneira controlada, para manter constante a concentração desses importantes
íons nos líquidos corporais.
1. São capazes ainda de absorver toxinas e metais pesados, minimizando assim
seus efeitos adversos em outros tecidos.
Tipos de tecido ósseo
Observando-se a olho nu a superfície de um osso serrado, verifica-se que ele é
formado por partes sem cavidades visíveis, o osso compacto, e por partes com
muitas cavidades intercomunicantes, o osso esponjoso.
A. Corte grosso de um osso seco, que ilustra o osso cortical compacto e o osso esponjoso. B. Corte histológico de osso esponjoso com sua
distribuição irregular de fibras colágenas.
Histologicamente existem dois tipos de tecido ósseo: o imaturo ou primário; e o maduro,
secundário ou lamelar.
Os dois tipos contêm as mesmas células e os mesmos constituintes da matriz.
O tecido primário é o que aparece primeiro, tanto no desenvolvimento embrionário como
na reparação das fraturas, sendo temporário e substituído por tecido secundário. No
tecido ósseo primário, as fibras colágenas se dispõem irregularmente, sem orientação
definida, porém no tecido ósseo secundário ou lamelar essas fibras se organizam em
lamelas, que adquirem uma disposição muito peculiar.
CASE 01- Assunto: Tecido adiposo

4. Tecido Conjuntivo.pptx

  • 1.
  • 2.
    Tecido conjuntivo Matriz extracelular Células Funções •Fornecer suporte estrutural; • Servir de meio para trocas; • Ajudar na defesa e na proteção do corpo; • Servir como local de armazenamento de gordura. Macromoléculas e proteínas Proteínas Fibrosas Características do tecido colágen o Substância fundamental
  • 4.
  • 6.
    Os Fibroblastos • Sãocélulas grandes e achatadas com prolongamentos ramificados. • São encontrados em diversos tecidos conjuntivos e, em geral, são os mais numerosos. • Os fibroblastos migram através dos tecidos conjuntivos, secretando as fibras e alguns componentes das substâncias que compõem a matriz extracelular.
  • 7.
  • 8.
    Os Macrófagos • Sedesenvolvem a partir dos monócitos, um tipo de leucócito. • Têm formato irregular com prolongamentos ramificados curtos e são capazes de englobar bactérias e restos celulares por fagocitose. • Os macrófagos fixos se localizam em um tecido específico; • exemplos incluem os macrófagos alveolares dos pulmões ou os macrófagos esplênicos, do baço. • Os macrófagos móveis (migratórios) possuem a capacidade de se mover através dos tecidos e alcançar locais de infecção ou de inflamação para realizarem a fagocitose.
  • 9.
    Os Plasmócitos • Sãopequenas células que se desenvolvem a partir de um leucócito chamado linfócito B. • Secretam anticorpos, proteínas que atacam ou neutralizam substâncias estranhas no corpo. • Embora sejam encontrados em muitas partes do corpo, a maior parte dos plasmócitos reside no tecido conjuntivo, especialmente nos sistemas digestório e respiratório. • Eles também são abundantes nas glândulas salivares, nos linfonodos, no baço e na medula óssea vermelha.
  • 10.
    Os Mastócitos • Sãoabundantes ao longo dos vasos sanguíneos que alimentam o tecido conjuntivo. • Produzem histamina, uma substância química que dilata os pequenos vasos sanguíneos como parte da resposta inflamatória, a reação do corpo a lesão ou a infecção. • Conseguem se ligar às bactérias, digerindo-as e destruindo-as em seguida.
  • 11.
    Os Leucócitos • Nãosão encontrados em quantidades significativas no tecido conjuntivo normal. • Entretanto, em resposta a determinadas condições, eles migram do sangue para o tecido conjuntivo. • Por exemplo, os neutrófilos são encontrados em locais de infecção e os eosinófilos migram para os locais de invasões parasitárias e de respostas alérgicas.
  • 12.
    Os Adipócitos • Sãocélulas do tecido conjuntivo que armazenam triglicerídios. • São também chamados de células gordurosas ou de células adiposas. • Eles são encontrados na porção profunda da pele e ao redor de órgãos como o coração e os rins.
  • 13.
    Tipos de tecidosCONJUNTIVOS
  • 14.
    Tecido conjuntivo frouxo •suporta estruturas normalmente sujeitas a pressão e atritos pequenos. • encontrado nas derme, na hipoderme, nas membranas serosas que revestem as cavidades peritoneais e pleurais e nas glândulas. • As células mais numerosas são os fibroblastos e macrófagos.
  • 15.
    Tecido conjuntivo denso • adaptadopara oferecer resistência e proteção aos tecidos. • é menos flexível e mais resistente à tensão que o tecido conjuntivo frouxo. • encontrado, por exemplo, na derme
  • 16.
  • 17.
  • 18.
  • 19.
  • 20.
  • 21.
  • 22.
  • 23.
  • 24.
  • 25.
  • 26.
  • 27.
  • 28.
    Tecido adiposo eTecido ósseo
  • 29.
    Tecido adiposo É umtipo especial de conjuntivo no qual se observa predominância de células adiposas (adipócitos) Em pessoas de peso normal, o tecido adiposo representa de 20 a 25% do peso corporal na mulher e de 15 a 20% no homem O tecido adiposo é o maior depósito corporal de energia, sob a forma de triglicerídios.
  • 30.
    Além do papelenergético, o tecido adiposo tem outras funções: 1. Localizado sob a pele, modela a superfície, sendo em parte responsável pelas diferenças de contorno entre os corpos da mulher e do homem. 2. Forma também coxins absorventes de choques, principalmente na planta dos pés e na palma das mãos. 3. Como as gorduras são más condutoras de calor, o tecido adiposo contribui para o isolamento térmico do organismo. 4. Além disso, preenche espaços entre outros tecidos e auxilia a manter determinados órgãos em suas posições normais. 5. O tecido adiposo tem também atividade secretora, sintetizando diversos tipos de moléculas.
  • 31.
    Há duas variedadesde tecido adiposo, que apresentam distribuição no corpo, na estrutura, na fisiologia e em patologia diferentes Tecido adiposo comum, amarelo ou unilocular: cujas células, quando completamente desenvolvidas, contêm apenas uma gotícula de gordura que ocupa quase todo o citoplasma. Tecido adiposo pardo, ou multilocular: formado por células que contêm numerosas gotículas lipídicas e muitas mitocôndrias.
  • 32.
    Tecido adiposo unilocular Acor do tecido unilocular varia entre o branco e o amarelo-escuro, dependendo da dieta. Praticamente todo o tecido adiposo encontrado em humanos adultos é do tipo unilocular; seu acúmulo em determinados locais é influenciado pelo sexo e pela idade do indivíduo; Tecido adiposo unilocular é também um órgão secretor. As setasfinas indicam fibroblastos do tecido conjuntivo de sustentação. As setas espessas apontam vasos sanguíneos. A, Célula adiposa. (Coloração pela hematoxilina. Médio aumento.)
  • 33.
    Obesidade Essencialmente, a obesidadeé um desequilíbrio dos sistemas reguladores do peso corpóreo para o qual contribuem fatores genéticos, ambientais e comportamentais. ⮚ Ela resulta da ingestão de calorias acima das necessidades para as atividades normais do indivíduo. ⮚ Para fins práticos, considera-se obesa a pessoa com 20% ou mais acima do peso considerado normal para sua altura ⮚ Em adultos, a obesidade geralmente se deve a um aumento na quantidade de triglicerídios depositados em cada adipócito unilocular, sem que exista aumento no número de adipócitos.
  • 34.
    Tecido adiposo multilocular Étambém chamado de tecido adiposo pardo, por sua cor característica. O tecido pardo é de distribuição limitada, localizando-se em áreas determinadas. Esse tecido é abundante em animais que hibernam, nos quais foi chamado de glândula hibernante (designação inapropriada) No feto humano e no recém-nascido, o tecido adiposo multilocular apresenta localização bem determinada. Como esse tecido não cresce, sua quantidade no adulto é extremamente reduzida.
  • 35.
    É especializado naprodução de calor ⮚ Na espécie humana, a quantidade desse tecido só é significativa no recémnascido, tendo função auxiliar na termorregulação. ⮚ O calor aquece o sangue contido na extensa rede capilar do tecido multilocular e é distribuído por todo o corpo, aquecendo diversos órgãos.
  • 36.
    Tecido ósseo ⮚ O tecidoósseo é o componente principal do esqueleto, serve de suporte para os tecidos moles e protege órgãos vitais
  • 37.
  • 38.
    Além dessas funções,os ossos funcionam como: 1. Depósito de cálcio, fosfato e outros íons, armazenando-os ou liberando-os de maneira controlada, para manter constante a concentração desses importantes íons nos líquidos corporais. 1. São capazes ainda de absorver toxinas e metais pesados, minimizando assim seus efeitos adversos em outros tecidos.
  • 39.
    Tipos de tecidoósseo Observando-se a olho nu a superfície de um osso serrado, verifica-se que ele é formado por partes sem cavidades visíveis, o osso compacto, e por partes com muitas cavidades intercomunicantes, o osso esponjoso. A. Corte grosso de um osso seco, que ilustra o osso cortical compacto e o osso esponjoso. B. Corte histológico de osso esponjoso com sua distribuição irregular de fibras colágenas.
  • 40.
    Histologicamente existem doistipos de tecido ósseo: o imaturo ou primário; e o maduro, secundário ou lamelar. Os dois tipos contêm as mesmas células e os mesmos constituintes da matriz. O tecido primário é o que aparece primeiro, tanto no desenvolvimento embrionário como na reparação das fraturas, sendo temporário e substituído por tecido secundário. No tecido ósseo primário, as fibras colágenas se dispõem irregularmente, sem orientação definida, porém no tecido ósseo secundário ou lamelar essas fibras se organizam em lamelas, que adquirem uma disposição muito peculiar.
  • 41.
    CASE 01- Assunto:Tecido adiposo