Doenças tabaco-relacionadas
Dr. Eduardo W. Zettler
O Tabagismo é uma doença...
10º Código Internacional de Doenças
CID F17.1
Transtornos mentais e comportamentais devidos
ao uso de fumo - uso nocivo para a saúde
O Tabagismo é uma doença...
Pediátrica
85% dos tabagistas
começam a fumar
antes do 16 anos
O Tabagismo é uma doença...
Crônica
Causa dependência:
80% dos tabagistas
querem parar, mas
só 3% conseguem
parar a cada ano
O Tabagismo é uma doença...
Transmissível
Propaganda
Publicidade
Marketing
O Tabagismo é uma doença...
São gastos US$ 12,4 bilhões
por ano em marketing
pelas indústrias de
fumo nos EUA !!!
Transmissível
O Tabagismo é uma doença...
Transmissível
Influência das
celebridades...
O Tabagismo é uma doença...
Contagiosa
Fumo passivo
O Tabagismo é uma doença...
O fumo passivo é
responsável por
um aumento de
30% no risco de
câncer de pulmão
Contagiosa
Tabagismo - Epidemiologia
1/3 da população mundial adulta fuma
1 bilhão e 200 milhões de pessoas
47% dos homens
12% das mulheres
Tabagismo - Mortalidade
4,9 milhões de mortes anuais
10 mil mortes por dia !!!
Principal causa de morte evitável
As 4 doenças que
mais matam nos
EUA estão ligadas
ao tabagismo
O tabagismo é a
principal causa
de morte nos EUA
Tabagismo passivo
• É responsável por cerca de 300.000
infecções respiratórias/ano nos EUA
em crianças < 2 anos de idade
Infecções
respiratórias
(%)
Sem
fumantes
Com 1
fumante
Com 2
fumantes
Com + de 2
fumantes
0
10
20
30
40
50 Relação infecções
respiratórias em
crianças x n°de
fumantes no domicílio
Tabagismo
na gravidez
Aborto
espontâneo
1,7
Prematuridade
Recém-
nascido de
baixo peso
Morte
perinatal
1,0 1,0 1,0 1,0
1,4
1,3
2,0
Fumantes
Não-fumantes
Riscos de fumar
na gravidez
Batimentos
cardíacos
fetais
Minutos
143
144
145
146
147
148
149
150
0 1 2 3 4 5 6 7 8 9 10 11 12 13 14 15 16 17 18
Ritmo cardíaco fetal
Efeito de 1 cigarro
fumado pela mãe
Malformações fetais provocadas
pelo tabagismo na gravidez
Principais doenças
associadas
ao Tabagismo
O tabagismo já está comprovadamente relacionado
a 50 tipos de doenças...
Doença coronariana
O risco de fumantes
desenvolverem doença
coronariana é 2 a
4x maior do que
os não-fumantes
Infarto agudo
do miocárdio
O tabagismo é
responsável por
45% das mortes
por infarto agudo
do miocárdio
O infarto agudo do miocárdio é a
principal causa de morte no mundo
Incidência
de
doença
coronariana/1.000
hab.
Nenhum Tabagismo Tabagismo +1
0
50
100
150
200
Tabagismo +2
Fatores de risco
para doenças
coronarianas:
• Tabagismo
• Colesterol alto
• Hipertensão
2x
4x
8x
Doença cerebrovascular
O tabagismo é responsável por 25% das doenças
cerebrovasculares (principalmente derrame cerebral)
Acidente vascular cerebral
(AVC) isquêmico
AVC hemorrágico
Doença vascular periférica
O risco de fumantes
desenvolverem doença
vascular periférica é
10x maior do que
os não-fumantes
Doença de Buerger
Tromboangeíte obliterante
Doença de Buerger (tromboangeíte obliterante)
Doença de Buerger (tromboangeíte obliterante)
O tabagismo aumenta
o risco de úlcera
gástrica e duodenal
em até 10 vezes
Úlcera
péptica
Doença periodontal
Catarata
O tabagismo aumenta o
risco de desenvolvimento
de Catarata em 2,5 vezes
DPOC
Doença Pulmonar Obstrutiva Crônica
• Bronquite Crônica
• Enfisema
O tabagismo é
responsável por
85% dos casos
de DPOC
DPOC – Mortalidade no Brasil
Posição Causa da morte
1ª Infarto
2ª Câncer
3ª AVC
4ª Causas externas
5ª DPOC
DATASUS
Variação (%) da taxa de mortalidade
ajustada à idade - EUA 1965 a 1998
GOLD, 2003
A DPOC será a doença que mais
crescerá nos próximos 20 anos
Murray CJL, Lopes AD. Science 1999; 274:740-3.
Brônquio Normal Bronquite Crônica
Pulmão normal Pulmão de fumante
Câncer
x
tabagismo
Câncer de boca
Câncer de boca
Câncer de laringe
Câncer
de
laringe
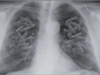
Câncer
de
pulmão
90% dos casos
de Câncer de
pulmão são
em fumantes
O Câncer de
pulmão é o que
mais mata,
entre homens
e mulheres
Tabagista pesado
(> 2 maços/dia)
tem risco 30x maior
de câncer de pulmão
que o não-fumante
Câncer de pulmão:
Aspecto macroscópico
Bryan Lee Curtis,
32 anos, fumante
desde os 13 anos, e
seu filho Bryan Jr.
29/03/99
03/06/99
Bryan, 32 anos, no dia de sua morte por câncer de pulmão
Wayne McLaren
“Marlboro Man”
Morreu aos 51 anos, de câncer de pulmão
Morreu aos 51 anos, de câncer de pulmão
Obrigado
pela atenção !
ewzettler@terra.com.br

tabagismo.ppt