1
Patologia
Introdução ao Estudo da Patologia. Métodos de estudo em Patologia/Etiopatogênese das
Lesões
Professora Salvina Campos
Biomedicina
2025.1
2
Patologia
Ciência que estuda as causas das doenças, os mecanismos que as produzem, os locais onde ocorrem
e as alterações moleculares, morfológicas e funcionais que apresentam.
Fornece as bases para o entendimento de outros elementos essenciais, como:
- prevenção;
- manifestações clínicas;
- diagnóstico;
- tratamento;
- evolução;
- prognóstico.
Doença pode ser entendida a partir do conceito biológico de adaptação, que é uma propriedade geral dos
seres vivos representada pela capacidade de ser sensível às variações do meio ambiente (irritabilidade) e de
produzir respostas (variações bioquímicas e fisiológicas) capazes de adaptá-los. Essa capacidade varia em
diferentes espécies animais e em diferentes indivíduos de uma mesma espécie, pois depende de
mecanismos moleculares vinculados ao patrimônio genético.
Pode-se definir saúde como um estado de adaptação do organismo ao ambiente físico, psíquico ou social
em que vive, de modo que o indivíduo se sente bem (saúde subjetiva) e não apresenta sinais ou alterações
orgânicas (saúde objetiva).
Ao contrário, doença é um estado de falta de adaptação ao ambiente físico, psíquico ou social, no qual o
indivíduo se sente mal (tem sintomas) e/ou apresenta alterações orgânicas evidenciáveis objetivamente
(sinais clínicos).
SAÚDE X DOENÇA
Impacto no organismo
As reações do organismo às mudanças de altitude costumam acontecer
em locais situados a partir de 2.300 metros acima do nível do mar. Em
altitudes mais elevadas, a quantidade de moléculas de oxigênio
disponíveis diminui, o que pode causar falta de ar.
O ar rarefeito é aquele que tem menos oxigênio e pressão atmosférica do que o
ar ao nível do mar. Isso acontece porque, em altitudes mais elevadas, estamos
mais distantes da superfície do planeta.
Bolívia, Peru e China.
Número elevado de hemácias, por exemplo, pode ser sinal de policitemia
se a pessoa vive ao nível do mar, mas representa apenas um estado de
adaptação para o indivíduo que reside em grandes altitudes.
AR RAREFEITO
Jogadores de futebol que atuam em altitudes elevadas enfrentam
dificuldades devido ao ar rarefeito, que tem menos oxigênio. Os efeitos
variam de acordo com o nível de altitude e podem afetar a respiração, o
coração e os músculos.
Sintomas
Respiração ofegante
Sensação de queimação
nos músculos
Dores de cabeça
Náuseas
Tonturas
Indisposição gástrica
Vómitos
Fadiga
Letargia
Para as ciências da saúde humana, é importante considerar que o conceito de saúde envolve o ambiente em que o
indivíduo vive, tanto no seu aspecto físico como também no psíquico e no social. Por essa razão, os diversos parâmetros
orgânicos precisam ser avaliados dentro do contexto do indivíduo.
Todas as doenças têm causa(s) que age(m) por mecanismos variados, os quais
produzem alterações moleculares e/ou morfológicas nas células e nos tecidos que
resultam em alterações funcionais no organismo ou em parte dele e produzem
manifestações subjetivas (sintomas) ou objetivas (sinais).
A Patologia cuida dos aspectos de Etiologia (estudo das causas), Patogênese (estudo
dos mecanismos), Anatomia Patológica (estudo das alterações morfológicas dos
tecidos que, em conjunto, recebem o nome de lesões) e Fisiopatologia (estudo das
alterações funcionais de órgãos e sistemas afetados).
O estudo dos sinais e sintomas das doenças é objeto da Semiologia, cuja finalidade é,
junto com exames complementares, fazer o diagnóstico delas (Propedêutica), a partir
do qual se estabelecem o prognóstico, o tratamento e a prevençã0.
ELEMENTOS DE UMA DOENÇA
Diferentes doenças têm componentes comuns e elementos particulares.
O que a Pneumonia, Meningite purulenta e Tuberculose são doenças diferentes
que têm em comum?
São causadas por bactérias e de apresentarem lesões
inflamatórias.
Em cada órgão afetado por elas, no entanto, existem
alterações morfológicas e funcionais próprias de
cada uma delas.
Patologia Geral x Patologia Especial:
A Patologia Geral estuda os aspectos comuns às diferentes doenças no que
se referem às suas causas, mecanismos patogenéticos, lesões estruturais e
alterações da função.
A Patologia Especial se ocupa das doenças de um determinado órgão ou
sistema (sistema respiratório, cavidade oral etc.) ou estuda as doenças
agrupadas por suas causas (doenças infecciosas, doenças causadas por
radiações etc.).
Qualquer estímulo da natureza – dependendo da sua intensidade, do tempo de atuação e da capacidade de reação do
organismo (que envolve também o patrimônio genético) – pode constituir uma agressão. Contra esta, o organismo monta
respostas variadas, procurando defender-se ou adaptar-se. Muitas vezes, o indivíduo adapta-se a essa situação, com
pouco ou nenhum dano. Em muitos casos, porém, surgem lesões variadas, agudas ou crônicas, responsáveis pelas
doenças.
As agressões podem se originar no ambiente externo ou a partir do próprio organismo. De modo muito resumido,
agressões podem ser provocadas por agentes físicos, químicos e biológicos, por alterações na expressão gênica ou por
modificações nutricionais, metabólicas ou dos próprios mecanismos de defesa do organismo.
AGRESSÕES
AGRESSÕES
EXTERNAS?
AGRESSÕES
INTERNAS?
Os mecanismos de defesa contra agentes externos são muito
numerosos. Ao lado de barreiras mecânicas e químicas existentes no
revestimento externo e interno (pele e mucosas), o organismo conta
com diversos mecanismos defensivos:
(1) contra agentes infecciosos, atuam a fagocitose, o sistema
complemento e, sobretudo, a reação inflamatória, que é a
expressão morfológica da resposta imunitária; esta tem dois
componentes: (a) resposta inata, que surge imediatamente após
agressões; (b) resposta adaptativa;
(2) contra agentes genotóxicos (que agridem o genoma), existe o
sistema de reparo do DNA;
(3) contra compostos químicos tóxicos, incluindo radicais livres, as
células dispõem de sistemas enzimáticos de destoxificação e
antioxidantes.
MECANISMOS DE DEFESA DO ORGANISMO
A adaptação refere-se à capacidade das células, dos tecidos ou do próprio indivíduo de, frente a um
estímulo, modificar suas funções dentro de certos limites (faixa da normalidade), para ajustar-se às
modificações induzidas pelo estímulo. A adaptação pode envolver apenas células (ou suas organelas)
ou o indivíduo como um todo.
(1) pré-condicionamento das células à hipóxia, que permite a sobrevivência delas em condições de
baixa disponibilidade de O2;
(2) hipertrofia do retículo endoplasmático liso (REL) por substâncias nele metabolizadas (p. ex., a
administração de fenobarbital provoca hipertrofia do REL em hepatócitos);
(3) hipertrofia muscular por sobrecarga de trabalho (do miocárdio do ventrículo esquerdo na
hipertensão arterial, da musculatura esquelética em atletas ou em pessoas que fazem trabalho físico
vigoroso etc.).
A resposta adaptativa geral, inespecífica e sistêmica que o organismo monta frente a diferentes
agressões por agentes físicos, químicos, biológicos ou emocionais é conhecida como ESTRESSE.
MECANISMOS DE ADAPTAÇÃO DO ORGANISMO
É o conjunto de alterações morfológicas, moleculares e/ou funcionais que surgem nas células e nos tecidos após
agressões. As alterações morfológicas que caracterizam as lesões podem ser observadas a olho nu (alterações
macroscópicas) ou ao microscópio de luz ou eletrônico (alterações microscópicas e submicroscópicas). As alterações
moleculares, que muitas vezes se traduzem rapidamente em modificações morfológicas, podem ser detectadas por
métodos bioquímicos e de biologia molecular. Os distúrbios funcionais manifestam-se por alterações da função de
células, tecidos, órgãos ou sistemas e representam a fisiopatologia.
Como as doenças surgem e evoluem de maneiras muito variadas, as lesões são dinâmicas:
- começam, evoluem e tendem para a cura ou para a cronicidade. Por esse motivo, elas são também conhecidas como
processos patológicos, indicando a palavra “processo” uma sucessão de eventos.
Por essa razão, o aspecto morfológico de uma lesão varia de acordo com o momento em que ela é examinada.
LESÃO
ASPECTOS CRONOLÓGICOS
DA DOENÇA
O alvo dos agentes agressores são as moléculas, sobretudo as macromoléculas de cuja ação
dependem as funções vitais. Portanto, toda lesão se inicia no nível molecular. As alterações
morfológicas surgem em consequência de modificações na estrutura das membranas, do
citoesqueleto, do núcleo ou de outros componentes citoplasmáticos, além do acúmulo de
substâncias dentro ou fora das células. As lesões celulares resultam em lesões nos órgãos e
sistemas funcionais. Qualquer que seja a sua natureza, a ação dos agentes agressores se faz por
dois mecanismos:
(1) ação direta, por meio de alterações moleculares que se traduzem em modificações
morfológicas;
(2) ação indireta, por intermédio de mecanismos de adaptação que, ao serem acionados para
neutralizar ou eliminar a agressão, induzem alterações moleculares que resultam em
modificações morfológicas..
MECANISMOS DE AGRESSÃO
MECANISMOS DE AGRESSÃO
REDUÇÃO DE ENERGIA
Redução do fluxo sanguíneo
Redução da produção de ATP
Aumento da demanda de ATP
INFLAMAÇÃO
Ação do calor (queimadura), de um agente químico corrosivo
ou de uma bactéria que invade o organismo é seguida de
respostas teciduais que se traduzem por modificações da
microcirculação e pela saída de leucócitos e de plasma dos
vasos para o interstício.
MECANISMOS DE AGRESSÃO
REDUÇÃO DE ENERGIA
Redução do fluxo sanguíneo
Redução da produção de ATP
Aumento da demanda de ATP
Em todas essas situações, a deficiência de ATP interfere nas
bombas eletrolíticas, nas sínteses celulares, no pH
intracelular e em outras funções que culminam com o
acúmulo de água no espaço intracelular e em uma série de
alterações ultraestruturais que recebem, em conjunto, o
nome de:
Degeneração
hidrópica
MECANISMOS DE AGRESSÃO
INFLAMAÇÃO
Ação do calor (queimadura), de um agente químico corrosivo
ou de uma bactéria que invade o organismo é seguida de
respostas teciduais que se traduzem por modificações da
microcirculação e pela saída de leucócitos e de plasma dos
vasos para o interstício.
A própria resposta defensiva (adaptativa) que o agente
agressor estimula no organismo pode também
contribuir para o aparecimento de lesões.
Ações do calor sobre a pele. A agressão direta na epiderme causa degeneração e necrose por desnaturação de proteínas; sobre
os mastócitos (M) e terminações nervosas (N), induz a liberação de mediadores que resultam em reação inflamatória; atuando
na microcirculação, lesa o endotélio e provoca trombose, causando isquemia, anóxia e necrose da pele.
CLASSIFICAÇÃO DAS LESÕES
Ao atingirem o organismo, as agressões comprometem um tecido (ou
um órgão) no qual existem:
(1) células (parenquimatosas e do estroma);
(2) componentes intercelulares (interstício ou matriz extracelular);
(3) circulação sanguínea e linfática;
(4) inervação.
CLASSIFICAÇÃO DAS LESÕES
Lesões celulares podem ser separadas em dois grupos: letais e não letais.
As lesões não letais são aquelas em que as células continuam vivas, podendo ocorrer retorno ao estado de
normalidade depois de cessada a agressão.
As lesões letais são representadas pela necrose (morte celular seguida de autólise), pela apoptose (morte
celular não seguida de autólise) e por outros tipos de morte celular reconhecidos mais recentemente.
Letalidade X Não letalidade
- Qualidade
- à intensidade
- à duração da agressão
- estado funcional ou ao tipo de célula atingida. Dependendo desses fatores, uma mesma agressão pode
provocar lesão não letal em uma célula e causar morte em outro tipo celular. Os exemplos de lesão não
letal são muitos.
CLASSIFICAÇÃO DAS LESÕES
- De um lado, as agressões podem modificar o metabolismo das células, induzindo o
acúmulo de substâncias intracelulares (degenerações), ou podem alterar os
mecanismos que regulam a proliferação e a diferenciação celular (originando
hipotrofias, hipertrofias, hiperplasias, hipoplasias, metaplasias, displasias e
neoplasias). Outras vezes, acumulam-se nas células pigmentos endógenos ou
exógenos, constituindo as pigmentações.
NÃO LETAIS
CLASSIFICAÇÃO DAS LESÕES
LETAIS: necrose, apoptose.
Esquema dos componentes de um órgão. Estão indicados: circulação sanguínea, vasos linfáticos, células do parênquima (CP), células dendríticas (CD), células do estroma (F),
inervação, interstício ou matriz extracelular com fibras (colágenas e elásticas) e substância fundamental, mastócitos (M) e células do sangue. indica uma agressão qualquer. São
mostrados ainda o sistema proteolítico de contato, histamina (Hi) e prostaglandinas (PG). Ag: antígeno; Ba: basófilos; Eo: eosinófilos; L: linfócitos; Mo: monócitos; P: plaquetas;
PH: pressão hidrostática; PMN: polimorfonucleares neutrófilos; PO: pressão oncótica.
CLASSIFICAÇÃO DAS LESÕES
As alterações do interstício (matriz extracelular, MEC)
englobam modificações da substância fundamental amorfa e
de fibras elásticas, colágenas e reticulares, que podem sofrer
alterações estruturais e depósitos de substâncias formadas in
situ ou vindas da circulação.
Os distúrbios da circulação incluem:
- aumento, diminuição ou cessação do fluxo sanguíneo para os tecidos
(hiperemia, oligoemia e isquemia);
- coagulação do sangue no leito vascular (trombose);
- aparecimento de substâncias ou corpos que não se misturam ao sangue e
causam obstrução vascular (embolia);
- saída de sangue do leito vascular (hemorragia), alterações das trocas de
líquidos entre o plasma e o interstício (edema).
CLASSIFICAÇÃO DAS LESÕES
As alterações da inervação representam lesões importantes, devido
ao papel integrador de funções que o tecido nervoso exerce. As
alterações locais dessas estruturas são, infelizmente, ainda pouco
conhecidas
CLASSIFICAÇÃO DAS LESÕES
OMS CID
CLASSIFICAÇÃO DAS
DOENÇAS
A classificação da OMS é feita por especialistas do mundo inteiro, os quais estabelecem os critérios e
os fundamentos do diagnóstico das doenças. Com base nesses princípios, faz-se a definição da doença
a partir de alguns sinais, sintomas e lesões que, entre vários outros, caracterizam uma determinada
condição mórbida. A partir de tal definição, é feita a classificação da doença, recebendo cada uma
delas um número próprio, devendo ser mencionado toda vez que o diagnóstico é estabelecido e
registrado em documentos oficiais (prontuários, atestados médicos etc.).
ETIOPATOGENESE DAS LESÕES
1- HIPÓXIA e ANÓXIA
Lesões reversíveis induzidas por hipóxia
Com redução de ATP surgem:
■Redução de bombas eletrolíticas dependentes de ATP, com retenção de
Na+ no citosol e acúmulo de água (degeneração hidrópica)
■Progredindo a hipóxia, o Ca++ sai dos depósitos (retículo
endoplasmático liso e mitocôndrias), chega ao citosol e ativa
proteinocinases que levam a desarranjo no citoesqueleto
■Com pouco O2, acumula-se acetil-CoA nas mitocôndrias e aumenta a
síntese de ácidos graxos, favorecendo o acúmulo de triglicerídeos no
citosol (esteatose).
São lesões reversíveis = Degenerações
2- Radicais Livres
Os radicais livres são moléculas
que apresentam um elétron não
emparelhado no orbital externo,
o que as torna muito reativas
com outras moléculas
Deficiência enzimática
Acúmulo de substrato
3- Alterações em ácidos nucléicos e proteínas
ERROS INATOS DO
METABOLISMO
LESÕES POR AGENTES
INFECCIOSOS: VÍRUS
LESÕES POR AGENTES
INFECCIOSOS:
BACTÉRIAS
5- Agentes físicos
(1) força mecânica;
(2) variações da pressão atmosférica;
(3) variações de temperatura;
(4) eletricidade;
(5) radiações;
(6) ondas sonoras (ruídos).
DEGENERAÇÕES
Degeneração é a lesão reversível secundária a alterações bioquímicas que
resultam em acúmulo de substâncias no interior de células.
Morfologicamente, uma degeneração aparece como deposição (ou acúmulo)
de substâncias em células.
As degenerações são agrupadas de acordo com a natureza da substância
acumulada e são classificadas em:
(1) degenerações por acúmulo de água e eletrólitos – o exemplo clássico é o da
degeneração hidrópica;
(2) degenerações por acúmulo de proteínas – as mais importantes são as degenerações
hialina e mucoide;
(3) degenerações por acúmulo de lipídeos – as de maior interesse são a esteatose e as
lipidoses;
(4) degenerações por acúmulo de carboidratos. Na maioria dos casos, o acúmulo de
carboidratos em células deve-se a deficiências de enzimas responsáveis por sua
metabolização – glicogenoses e mucopolissacaridoses são os exemplos principais.
DEGENERAÇÃO HIDRÓPICA
ESTEATOSE
DEGENERAÇÃO GORDUROSA
Para saber mais: https://my.clevelandclinic.org/health/diseases/24857-acute-
fatty-liver-of-pregnancy
ATIVIDADE DE FIXAÇÃO
1) CONCEITUE:
- Propedêutica
- Fisiopatologia
- Etiopatogênese
- Displasia
- Metaplasia
- Hiperplasia
- Neoplasia
- Hipertrofia
2) O que é?
- Denegeração Hidrópica
- Denegeneração Gordurosa
- Mecanismo de agressão
- Lesão não letal
- Lesão letal
- Infecção
- Inflamação
CORREÇÃO DA PRIMEIRA ATIVIDADE PARCIAL
1) O processo patológico é o conjunto de alterações morfológicas,
moleculares, e ou funcionais que surgem nos tecidos após as
agressões. Entende-se que o processo patológico é
compreendido de eventos que culminem em alterações da
Homeostasia. Com base no texto acima, defina:
a) Homeostasia:
b) Alterações morfológicas:
c) Alterações moleculares:
d) Alterações funcionais:
2) A ação dos agentes agressores, qualquer que seja sua
natureza, se faz basicamente por dois mecanismos: a) ação
direta: por meio de alterações moleculares e morfológicas b)
ação indireta: através de mecanismos que permitam
adaptações: as adaptações visam neutralizar o agente agressor
e impedir danos mais severos ao organismo.
Com base no texto acima, cite um exemplo de ação direta e um
exemplo de ação indireta de um agente agressor.
3) O mecanismo patológico inicia obrigatoriamente por uma
causa, a PATOGÊNESE (desenvolvimento da doença) e a evolução
da mesmas pode gerar 2 condições distintas: Lesões reversíveis e
Lesões irreversíveis, sendo que, considera-se como fim do
processo a morte celular.
Baseando-se no entendimento da figura abaixo explique o que
é lesão reversível e lesão irreversível
5) As adaptações celulares são mecanismos relacionados às ações indiretas que permitem realizar
mudanças celulares no intuito de inviabilizar a morte celular ou lesões irreversíveis. São exemplos de
adaptações celulares: Hipóxia, Anóxia, Hipoxemia, Hipertrofia, Atrofia, Hiperplasia, Hipoplasia,
Metaplasia, Degenerações, Regeneração, Cicatrização. Abaixo estão listados alguns exemplos.
Preencha com o tipo de adaptação correspondente.
a) Diminuição no número de células de um determinado tecido. (H. Patológica: fase embrionária
(pulmonar e renal) atresia ovariana; H. Fisiológica: involução do timo na puberdade, formação dos
dedos fase embrionária. _______________
b) É a diminuição da concentração de oxigênio na corrente sanguínea, ocasionado geralmente por
parada cardiorrespiratória. _____________.
c) Processo caracterizado pela redução de oxigênio nas células, ocasionada normalmente por
obstruções parciais ____________.
d) Substituição de um tecido de origem por outro tecido da mesma linhagem resultando em um
tecido mais resistente. Em geral as metaplasias são resultantes de agressões persistentes, tendo
como exemplos: Epitélio estratificado não ceratinizado para ceratinizado, Epitélio colunar para
escamoso. _____________________________________ .
e) É o aumento do número de células de um determinado tecido (H. Fisiológica: mama na puberdade,
regeneração do fígado; H. Patológica: hiperplasia da tireóide (TSH), do endométrio (estrógenos),
Hiperplasia prostática benigna). _______________________.
f) É a interrupção do fornecimento de oxigênio (total ou parcial) devido a processos obstrutivos.
___________________________.
g) Adaptação celular caracterizada pela diminuição no tamanho e no volume das células de um
determinado tecido (caracterizada por desuso, limitações motoras, Redução das funções
metabólicas devido à falta de nutrientes, fontes energéticas e etc). ________________.
h) Processo caracterizado pela ausência total de oxigênio, ocasionada por obstrução total.
___________________.
i) Aumento do tamanho e volume celular (musculação, coração chagásico). _______________.
6) A degeneração é uma adaptação caracterizada pelo acúmulo de substâncias no interior das células,
resultando em modificações da morfologia da célula com diminuição de suas funções. São lesões de
caráter reversível. Abaixo há duas colunas que consistem nos tipos de degenerações. Preencha os
parênteses com os números correspondentes ao tipo de degeneração:
( 1 ) Degeração Hidrópica
( 2 ) Degeneração Gordurosa
( 3 ) Degeneração Hialina
( 4 ) Degeneração Mucóide
( ) Deposição de gorduras neutras no citoplasma de células. Provocada por agressões persistente ao
tecido hepático (etilismo e medicações)
( ) Acúmulo de muco no interior das células. hiperprodução de muco pelas células mucíparas dos tratos
digestivo e respiratório.
( ) Acúmulo de material proteico no interior das células. Causa: Etilismo e agressões nos hepatócitos.
( ) Acúmulo de muco no interior das células. hiperprodução de muco pelas células mucíparas dos tratos
digestivo e respiratório. ( ) Acúmulo de água no interior das células, volume e peso das células
aumentados, ocasionado por distúrbios eletrolíticos. Ex: EDEMA
MECANISMOS DE
MORTE CELULAR
https://integrada.minhabiblioteca.com.br/reader/books/97885
27733243/epubcfi/6/30[%3Bvnd.vst.idref%3Dchapter5]!/4/566/
3:16[201%2C3.]
Página 99 a109- Patologia Geral.
REFERÊNCIA DA AULA
Os agentes agressores causam lesões reversíveis ou morte
celular.
Produzir lesões reversíveis ou não depende:
1) da natureza do agente agressor,
2) da intensidade e da duração da agressão e;
3) da capacidade do organismo de reagir.
Morte celular é um processo caraceterizado pela sucessão de
eventos, sendo às vezes difícil estabelecer qual é o fator que
determina a irreversibilidade da lesão, ou seja, o chamado ponto
de não retorno.
Algumas alterações ultraestruturais:
- grande tumefação mitocondrial,
- perda de cristas, bolhas e solução de continuidade na membrana
A MORTE CELULAR É SEMPRE
PRECEDIDA DE DEGENERAÇÃO?
Nem sempre a morte celular é precedida de
lesões degenerativas, pois o agente agressor
pode causar morte rapidamente, não havendo
lesões degenerativas que a precedam.
MORTE CELULAR
PROGRAMADA
MORTE CELULAR
REGULADA
MORTE CELULAR
ACIDENTAL
MORTE CELULAR
PROGRAMADA
MORTE CELULAR
REGULADA
MORTE CELULAR
ACIDENTAL
A diferenciação entre os tipos de morte é feita pelos
achados morfológicos e pela identificação dos
aspectos moleculares envolvidos.
MORTE CELULAR
PROGRAMADA
Ocorre como forma de manter a homeostase (como na ativação
de linfócitos) ou para favorecer a diferenciação (como na
embriogênese).
Apoptose é a forma mais conhecida de morte celular programada
(p. ex., apoptose de linfócitos T após a sua ativação; neste caso, a
morte celular faz parte do processo fisiológico de eliminação da
célula após cumprir o seu papel fisiológico).
MORTE CELULAR
REGULADA
Toda morte programada é regulada, mas nem toda morte regulada é
programada.
Causada pela ativação de vias que podem ser reguladas por fármacos
ou por manipulação genética, sem fazer parte de um contexto
fisiológico.
Em infecções virais, o vírus pode inibir a apoptose, mas ativa cinases que
induzem necrose regulada, possibilitando a eliminação do agente. Ou seja, a
célula decidiu morrer por necrose para eliminar o vírus, já que a apoptose foi
inibida pelo invasor.
Ocorre por agressões que induzem necrose ou apoptose:
(a) anóxia no miocárdio causa necrose de miócitos;
(b) intoxicação etílica crônica que resulta em apoptose nessas células.
MORTE CELULAR
ACIDENTAL
NECROSE
APOPTOSE
X
Morte celular em organismo vivo e seguida de autólise.
Quando a agressão interrompe a produção de energia, os lisossomos
perdem a capacidade de conter as hidrolases e estas saem para o citosol
e iniciam a autólise; as hidrolases lisossômicas digerem todos os
substratos celulares.
Com a necrose, são liberadas alarminas (HMGB1, uratos e fosfatos) que
são reconhecidas em receptores celulares e induzem uma reação
inflamatória.
NECROSE
NECROSE
Necrose por
coagulação
Necrose por
liquefação
Necrose
lítica
Necrose
caseosa
Necrose
Gomosa
Esteatonecrose
Principais achados microscópicos da necrose:
Alterações nucleares:
a) 1- Picnose nuclear – intensa contração e condensação da
cromatina, tornando o núcleo intensamente basófilo, de
aspecto homogêneo e bem menor do que o normal.
b) 2- Cariólise – digestão da cromatina, desaparecimento da
afinidade tintorial do núcleo a ponto de não ser mais possível
identificá-lo em colorações de rotina (ausência dos núcleos
nas células).
c) 3- Cariorrexe – fragmentação e dispersão do núcleo no
citoplasma.
REDUÇÃO DO pH
NECROSE
Necrose
por
coagulação
Sua causa mais frequente é isquemia.
Macroscopicamente, a área atingida é
esbranquiçada e fica circundada por um halo
avermelhado (hiperemia que tenta compensar a
isquemia). Microscopicamente, além de
alterações nucleares, especialmente cariólise,
as células necrosadas apresentam citoplasma
com aspecto de substância coagulada (o
citoplasma torna-se acidófilo e granuloso,
gelificado.
B- Área de necrose, na qual os hepatócitos apresentam citoplasma acidófilo e homogêneo, sem núcleos (cariólise). As setas
amarelas mostram núcleos picnóticos. As setas azuis indicam hepatócitos contraídos e intensamente acidófilos, com núcleo
picnótico (hepatócitos em apoptose, também denominados corpos hialinos, semelhantes aos corpúsculos deCouncilman-
Rocha Lima).
A. Hepatócitos íntegros, para comparação, os quais têm núcleos
com cromatina frouxa e citoplasma discretamente basofílico.
Necrose isquêmica do miocárdio.
A. Cariólise de miocélulas, que mostram citoplasma homogêneo e muito acidófilo (necrose por coagulação). As
setas indicam núcleos picnóticos, sobretudo em células do estroma.
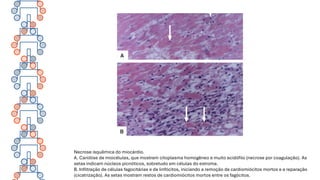
B. Infiltração de células fagocitárias e de linfócitos, iniciando a remoção de cardiomiócitos mortos e a reparação
(cicatrização). As setas mostram restos de cardiomiócitos mortos entre os fagócitos.
NECROSE
Necrose
Gomosa
Variedade de necrose por coagulação na qual o
tecido necrosado assume aspecto compacto e
elástico como borracha (goma), ou fluido e
viscoso como a goma-arábica; é encontrada na
sífilis tardia (goma sifilítica).
NECROSE
Necrose
por
liquefação
A região adquire consistência mole, semifluida
ou liquefeita. A liquefação é causada por
enzimas lisossômicas. Tal necrose é comum no
tecido nervoso, na suprarrenal ou na mucosa
gástrica.
Macroscopicamente, a zona necrosada adquire
consistência mole, pastosa ou mesmo liquefeita.
NECROSE
Necrose
lítica
Necrose de hepatócitos em hepatites virais, os
quais sofrem lise ou esfacelo (necrose por
esfacelo).
NECROSE
Necrose
caseosa
A área necrosada adquire aspecto macroscópico de massa de
queijo. Microscopicamente, as células necróticas formam uma
massa homogênea, acidófila, contendo núcleos picnóticos e,
principalmente na periferia, núcleos fragmentados (cariorrexe);
as células perdem totalmente os seus contornos e os detalhes
estruturais.
Necrose caseosa é comum na tuberculose. A lesão parece
resultar de agressão imunitária, por liberação de linfotoxinas
(p. ex., TNF-α) e produtos citotóxicos de macrófagos.
Necrose caseosa em granuloma da tuberculose. A área de necrose, com
aspecto acidófilo e homogêneo, apresenta núcleos picnóticos na periferia.
NECROSE
Esteatonecros
e ou necrose
gordurosa
Também denominada necrose enzimática do
tecido adiposo, é encontrada tipicamente na
pancreatite aguda necro-hemorrágica, que
resulta do extravasamento de enzimas
pancreáticas.
Por ação de lipases sobre os triglicerídeos, os
ácidos graxos liberados sofrem saponificação e
originam depósitos esbranquiçados ou manchas
com aspecto macroscópico de pingo de vela.
https://www.youtube.com/watch?v=lfABXsoBzIQ
O que acontece depois que as células morrem?
As células mortas e autolisadas são um corpo estranho que
desencadeia resposta do organismo para sua reabsorção e
posterior reparo. Os restos celulares são fagocitados pelas
células inflamatórias e, no local, surgem os processos de
reparo:
Regeneração: Quando o tecido tem capacidade regenerativa, fatores de
crescimento liberados por células vizinhas e por leucócitos induzem
multiplicação das células parenquimatosas.
Cicatrização: Processo em que o tecido necrosado é substituído por
tecido conjuntivo cicatricial
Encistamento: Quando o material necrótico não é absorvido, por ser
volumoso ou por falta de migração de leucócitos.
Eliminação: Se a área de necrose alcança um canal que se comunica
com o meio externo, o material necrosado é eliminado, originando uma
cavidade
Calcificação: A área de necrose, especialmente a caseosa, pode
também calcificar-se.
E
V
O
L
U
Ç
Ã
O
D
a
N
E
C
R
o
S
E
GANGRENA
SECA
ÚMIDA
GASOSA
A apoptose é a lesão em que a célula é estimulada a acionar
mecanismos que culminam com a sua morte. Diferentemente
da necrose, a célula em apoptose não sofre autólise nem
ruptura da membrana citoplasmática; a célula morta é
fragmentada, e os seus fragmentos ficam envolvidos pela
membrana citoplasmática e são endocitados por células
vizinhas, sem provocar quimiotaxia nem ativar células
fagocitárias (a apoptose não induz inflamação).
APOPTOSE
BOM? RUIM?
APOPTOSE
A apoptose tem enorme importância em momentos funcionais
e em inúmeras doenças.
BOM?
APOPTOSE
Como morte programada, ela é importante na remodelação de
órgãos durante a embriogênese e na vida pós-natal.
RUIM?
APOPTOSE
Ocorre em condições patológicas é causada por inúmeros agentes,
como vírus, hipóxia, radicais livres, substâncias químicas, agressão
imunitária e radiações ionizantes.
As principais condições em que acontece apoptose são:
(1) falta de fatores de crescimento, como ocorre em células dependentes de
hormônios quando estes não estão disponíveis ou em linfócitos que não
recebem estímulo de citocinas;
(2) lesão no DNA, por radiações, medicamentos antineoplásicos, radicais
livres etc.;
(3) estresse no retículo endoplasmático, por defeitos no dobramento de
proteínas;
(4) ação de linfócitos T citotóxicos;
(5) ativação de receptores que têm o domínio de morte, como acontece na
eliminação de linfócitos autorreatores. Redução da apoptose, por outro lado,
pode estar envolvida no aparecimento de alguns cânceres
P
a
T
o
g
e
n
e
s
e
D
a
A
P
P
T
O
S
E
P
a
T
o
g
e
n
e
s
e
D
a
A
P
P
T
O
S
E
Apoptose e necrose são duas lesões com margens que se tocam e se
confundem. Muitas agressões podem induzir tanto apoptose quanto necrose,
e, muitas vezes, os dois processos coexistem. Após uma agressão, a decisão
da célula de entrar em apoptose ou de sobreviver depende da intensidade e
da qualidade da agressão e dos receptores acionados.
Como a apoptose depende de ATP, as agressões que a provocam não podem
bloquear completamente a produção de energia. Se o ATP se reduz muito,
surge necrose. Nesta, há aumento da permeabilidade de lisossomos,
elemento fundamental na autólise. Admite-se que uma agressão pode,
inicialmente, induzir apoptose; se esta é interrompida ou não se completa,
pode evoluir para necrose.
SUMARIZANDO
AF 2: 1,5 PONTOS- Moodle
TEMA DA PRÓXIMA AULA TEÓRICA: Alterações circulatórias e hemodinâmicas
(página 145).
COMUNICADOS

Aula Completa_Processo saúde doença, Degeneração e Morte Celular.pdf

  • 1.
    1 Patologia Introdução ao Estudoda Patologia. Métodos de estudo em Patologia/Etiopatogênese das Lesões Professora Salvina Campos Biomedicina 2025.1
  • 2.
    2 Patologia Ciência que estudaas causas das doenças, os mecanismos que as produzem, os locais onde ocorrem e as alterações moleculares, morfológicas e funcionais que apresentam. Fornece as bases para o entendimento de outros elementos essenciais, como: - prevenção; - manifestações clínicas; - diagnóstico; - tratamento; - evolução; - prognóstico.
  • 3.
    Doença pode serentendida a partir do conceito biológico de adaptação, que é uma propriedade geral dos seres vivos representada pela capacidade de ser sensível às variações do meio ambiente (irritabilidade) e de produzir respostas (variações bioquímicas e fisiológicas) capazes de adaptá-los. Essa capacidade varia em diferentes espécies animais e em diferentes indivíduos de uma mesma espécie, pois depende de mecanismos moleculares vinculados ao patrimônio genético. Pode-se definir saúde como um estado de adaptação do organismo ao ambiente físico, psíquico ou social em que vive, de modo que o indivíduo se sente bem (saúde subjetiva) e não apresenta sinais ou alterações orgânicas (saúde objetiva). Ao contrário, doença é um estado de falta de adaptação ao ambiente físico, psíquico ou social, no qual o indivíduo se sente mal (tem sintomas) e/ou apresenta alterações orgânicas evidenciáveis objetivamente (sinais clínicos). SAÚDE X DOENÇA
  • 4.
    Impacto no organismo Asreações do organismo às mudanças de altitude costumam acontecer em locais situados a partir de 2.300 metros acima do nível do mar. Em altitudes mais elevadas, a quantidade de moléculas de oxigênio disponíveis diminui, o que pode causar falta de ar. O ar rarefeito é aquele que tem menos oxigênio e pressão atmosférica do que o ar ao nível do mar. Isso acontece porque, em altitudes mais elevadas, estamos mais distantes da superfície do planeta. Bolívia, Peru e China. Número elevado de hemácias, por exemplo, pode ser sinal de policitemia se a pessoa vive ao nível do mar, mas representa apenas um estado de adaptação para o indivíduo que reside em grandes altitudes. AR RAREFEITO
  • 5.
    Jogadores de futebolque atuam em altitudes elevadas enfrentam dificuldades devido ao ar rarefeito, que tem menos oxigênio. Os efeitos variam de acordo com o nível de altitude e podem afetar a respiração, o coração e os músculos. Sintomas Respiração ofegante Sensação de queimação nos músculos Dores de cabeça Náuseas Tonturas Indisposição gástrica Vómitos Fadiga Letargia
  • 6.
    Para as ciênciasda saúde humana, é importante considerar que o conceito de saúde envolve o ambiente em que o indivíduo vive, tanto no seu aspecto físico como também no psíquico e no social. Por essa razão, os diversos parâmetros orgânicos precisam ser avaliados dentro do contexto do indivíduo.
  • 7.
    Todas as doençastêm causa(s) que age(m) por mecanismos variados, os quais produzem alterações moleculares e/ou morfológicas nas células e nos tecidos que resultam em alterações funcionais no organismo ou em parte dele e produzem manifestações subjetivas (sintomas) ou objetivas (sinais). A Patologia cuida dos aspectos de Etiologia (estudo das causas), Patogênese (estudo dos mecanismos), Anatomia Patológica (estudo das alterações morfológicas dos tecidos que, em conjunto, recebem o nome de lesões) e Fisiopatologia (estudo das alterações funcionais de órgãos e sistemas afetados). O estudo dos sinais e sintomas das doenças é objeto da Semiologia, cuja finalidade é, junto com exames complementares, fazer o diagnóstico delas (Propedêutica), a partir do qual se estabelecem o prognóstico, o tratamento e a prevençã0. ELEMENTOS DE UMA DOENÇA
  • 9.
    Diferentes doenças têmcomponentes comuns e elementos particulares. O que a Pneumonia, Meningite purulenta e Tuberculose são doenças diferentes que têm em comum? São causadas por bactérias e de apresentarem lesões inflamatórias. Em cada órgão afetado por elas, no entanto, existem alterações morfológicas e funcionais próprias de cada uma delas.
  • 10.
    Patologia Geral xPatologia Especial: A Patologia Geral estuda os aspectos comuns às diferentes doenças no que se referem às suas causas, mecanismos patogenéticos, lesões estruturais e alterações da função. A Patologia Especial se ocupa das doenças de um determinado órgão ou sistema (sistema respiratório, cavidade oral etc.) ou estuda as doenças agrupadas por suas causas (doenças infecciosas, doenças causadas por radiações etc.).
  • 11.
    Qualquer estímulo danatureza – dependendo da sua intensidade, do tempo de atuação e da capacidade de reação do organismo (que envolve também o patrimônio genético) – pode constituir uma agressão. Contra esta, o organismo monta respostas variadas, procurando defender-se ou adaptar-se. Muitas vezes, o indivíduo adapta-se a essa situação, com pouco ou nenhum dano. Em muitos casos, porém, surgem lesões variadas, agudas ou crônicas, responsáveis pelas doenças. As agressões podem se originar no ambiente externo ou a partir do próprio organismo. De modo muito resumido, agressões podem ser provocadas por agentes físicos, químicos e biológicos, por alterações na expressão gênica ou por modificações nutricionais, metabólicas ou dos próprios mecanismos de defesa do organismo. AGRESSÕES AGRESSÕES EXTERNAS? AGRESSÕES INTERNAS?
  • 12.
    Os mecanismos dedefesa contra agentes externos são muito numerosos. Ao lado de barreiras mecânicas e químicas existentes no revestimento externo e interno (pele e mucosas), o organismo conta com diversos mecanismos defensivos: (1) contra agentes infecciosos, atuam a fagocitose, o sistema complemento e, sobretudo, a reação inflamatória, que é a expressão morfológica da resposta imunitária; esta tem dois componentes: (a) resposta inata, que surge imediatamente após agressões; (b) resposta adaptativa; (2) contra agentes genotóxicos (que agridem o genoma), existe o sistema de reparo do DNA; (3) contra compostos químicos tóxicos, incluindo radicais livres, as células dispõem de sistemas enzimáticos de destoxificação e antioxidantes. MECANISMOS DE DEFESA DO ORGANISMO
  • 13.
    A adaptação refere-seà capacidade das células, dos tecidos ou do próprio indivíduo de, frente a um estímulo, modificar suas funções dentro de certos limites (faixa da normalidade), para ajustar-se às modificações induzidas pelo estímulo. A adaptação pode envolver apenas células (ou suas organelas) ou o indivíduo como um todo. (1) pré-condicionamento das células à hipóxia, que permite a sobrevivência delas em condições de baixa disponibilidade de O2; (2) hipertrofia do retículo endoplasmático liso (REL) por substâncias nele metabolizadas (p. ex., a administração de fenobarbital provoca hipertrofia do REL em hepatócitos); (3) hipertrofia muscular por sobrecarga de trabalho (do miocárdio do ventrículo esquerdo na hipertensão arterial, da musculatura esquelética em atletas ou em pessoas que fazem trabalho físico vigoroso etc.). A resposta adaptativa geral, inespecífica e sistêmica que o organismo monta frente a diferentes agressões por agentes físicos, químicos, biológicos ou emocionais é conhecida como ESTRESSE. MECANISMOS DE ADAPTAÇÃO DO ORGANISMO
  • 14.
    É o conjuntode alterações morfológicas, moleculares e/ou funcionais que surgem nas células e nos tecidos após agressões. As alterações morfológicas que caracterizam as lesões podem ser observadas a olho nu (alterações macroscópicas) ou ao microscópio de luz ou eletrônico (alterações microscópicas e submicroscópicas). As alterações moleculares, que muitas vezes se traduzem rapidamente em modificações morfológicas, podem ser detectadas por métodos bioquímicos e de biologia molecular. Os distúrbios funcionais manifestam-se por alterações da função de células, tecidos, órgãos ou sistemas e representam a fisiopatologia. Como as doenças surgem e evoluem de maneiras muito variadas, as lesões são dinâmicas: - começam, evoluem e tendem para a cura ou para a cronicidade. Por esse motivo, elas são também conhecidas como processos patológicos, indicando a palavra “processo” uma sucessão de eventos. Por essa razão, o aspecto morfológico de uma lesão varia de acordo com o momento em que ela é examinada. LESÃO
  • 15.
  • 16.
    O alvo dosagentes agressores são as moléculas, sobretudo as macromoléculas de cuja ação dependem as funções vitais. Portanto, toda lesão se inicia no nível molecular. As alterações morfológicas surgem em consequência de modificações na estrutura das membranas, do citoesqueleto, do núcleo ou de outros componentes citoplasmáticos, além do acúmulo de substâncias dentro ou fora das células. As lesões celulares resultam em lesões nos órgãos e sistemas funcionais. Qualquer que seja a sua natureza, a ação dos agentes agressores se faz por dois mecanismos: (1) ação direta, por meio de alterações moleculares que se traduzem em modificações morfológicas; (2) ação indireta, por intermédio de mecanismos de adaptação que, ao serem acionados para neutralizar ou eliminar a agressão, induzem alterações moleculares que resultam em modificações morfológicas.. MECANISMOS DE AGRESSÃO
  • 17.
    MECANISMOS DE AGRESSÃO REDUÇÃODE ENERGIA Redução do fluxo sanguíneo Redução da produção de ATP Aumento da demanda de ATP INFLAMAÇÃO Ação do calor (queimadura), de um agente químico corrosivo ou de uma bactéria que invade o organismo é seguida de respostas teciduais que se traduzem por modificações da microcirculação e pela saída de leucócitos e de plasma dos vasos para o interstício.
  • 18.
    MECANISMOS DE AGRESSÃO REDUÇÃODE ENERGIA Redução do fluxo sanguíneo Redução da produção de ATP Aumento da demanda de ATP Em todas essas situações, a deficiência de ATP interfere nas bombas eletrolíticas, nas sínteses celulares, no pH intracelular e em outras funções que culminam com o acúmulo de água no espaço intracelular e em uma série de alterações ultraestruturais que recebem, em conjunto, o nome de: Degeneração hidrópica
  • 19.
    MECANISMOS DE AGRESSÃO INFLAMAÇÃO Açãodo calor (queimadura), de um agente químico corrosivo ou de uma bactéria que invade o organismo é seguida de respostas teciduais que se traduzem por modificações da microcirculação e pela saída de leucócitos e de plasma dos vasos para o interstício. A própria resposta defensiva (adaptativa) que o agente agressor estimula no organismo pode também contribuir para o aparecimento de lesões.
  • 20.
    Ações do calorsobre a pele. A agressão direta na epiderme causa degeneração e necrose por desnaturação de proteínas; sobre os mastócitos (M) e terminações nervosas (N), induz a liberação de mediadores que resultam em reação inflamatória; atuando na microcirculação, lesa o endotélio e provoca trombose, causando isquemia, anóxia e necrose da pele.
  • 21.
    CLASSIFICAÇÃO DAS LESÕES Aoatingirem o organismo, as agressões comprometem um tecido (ou um órgão) no qual existem: (1) células (parenquimatosas e do estroma); (2) componentes intercelulares (interstício ou matriz extracelular); (3) circulação sanguínea e linfática; (4) inervação.
  • 22.
    CLASSIFICAÇÃO DAS LESÕES Lesõescelulares podem ser separadas em dois grupos: letais e não letais. As lesões não letais são aquelas em que as células continuam vivas, podendo ocorrer retorno ao estado de normalidade depois de cessada a agressão. As lesões letais são representadas pela necrose (morte celular seguida de autólise), pela apoptose (morte celular não seguida de autólise) e por outros tipos de morte celular reconhecidos mais recentemente. Letalidade X Não letalidade - Qualidade - à intensidade - à duração da agressão - estado funcional ou ao tipo de célula atingida. Dependendo desses fatores, uma mesma agressão pode provocar lesão não letal em uma célula e causar morte em outro tipo celular. Os exemplos de lesão não letal são muitos.
  • 23.
    CLASSIFICAÇÃO DAS LESÕES -De um lado, as agressões podem modificar o metabolismo das células, induzindo o acúmulo de substâncias intracelulares (degenerações), ou podem alterar os mecanismos que regulam a proliferação e a diferenciação celular (originando hipotrofias, hipertrofias, hiperplasias, hipoplasias, metaplasias, displasias e neoplasias). Outras vezes, acumulam-se nas células pigmentos endógenos ou exógenos, constituindo as pigmentações. NÃO LETAIS
  • 25.
  • 26.
    Esquema dos componentesde um órgão. Estão indicados: circulação sanguínea, vasos linfáticos, células do parênquima (CP), células dendríticas (CD), células do estroma (F), inervação, interstício ou matriz extracelular com fibras (colágenas e elásticas) e substância fundamental, mastócitos (M) e células do sangue. indica uma agressão qualquer. São mostrados ainda o sistema proteolítico de contato, histamina (Hi) e prostaglandinas (PG). Ag: antígeno; Ba: basófilos; Eo: eosinófilos; L: linfócitos; Mo: monócitos; P: plaquetas; PH: pressão hidrostática; PMN: polimorfonucleares neutrófilos; PO: pressão oncótica.
  • 27.
    CLASSIFICAÇÃO DAS LESÕES Asalterações do interstício (matriz extracelular, MEC) englobam modificações da substância fundamental amorfa e de fibras elásticas, colágenas e reticulares, que podem sofrer alterações estruturais e depósitos de substâncias formadas in situ ou vindas da circulação.
  • 28.
    Os distúrbios dacirculação incluem: - aumento, diminuição ou cessação do fluxo sanguíneo para os tecidos (hiperemia, oligoemia e isquemia); - coagulação do sangue no leito vascular (trombose); - aparecimento de substâncias ou corpos que não se misturam ao sangue e causam obstrução vascular (embolia); - saída de sangue do leito vascular (hemorragia), alterações das trocas de líquidos entre o plasma e o interstício (edema). CLASSIFICAÇÃO DAS LESÕES
  • 29.
    As alterações dainervação representam lesões importantes, devido ao papel integrador de funções que o tecido nervoso exerce. As alterações locais dessas estruturas são, infelizmente, ainda pouco conhecidas CLASSIFICAÇÃO DAS LESÕES
  • 30.
    OMS CID CLASSIFICAÇÃO DAS DOENÇAS Aclassificação da OMS é feita por especialistas do mundo inteiro, os quais estabelecem os critérios e os fundamentos do diagnóstico das doenças. Com base nesses princípios, faz-se a definição da doença a partir de alguns sinais, sintomas e lesões que, entre vários outros, caracterizam uma determinada condição mórbida. A partir de tal definição, é feita a classificação da doença, recebendo cada uma delas um número próprio, devendo ser mencionado toda vez que o diagnóstico é estabelecido e registrado em documentos oficiais (prontuários, atestados médicos etc.).
  • 31.
  • 32.
  • 33.
    Lesões reversíveis induzidaspor hipóxia Com redução de ATP surgem: ■Redução de bombas eletrolíticas dependentes de ATP, com retenção de Na+ no citosol e acúmulo de água (degeneração hidrópica) ■Progredindo a hipóxia, o Ca++ sai dos depósitos (retículo endoplasmático liso e mitocôndrias), chega ao citosol e ativa proteinocinases que levam a desarranjo no citoesqueleto ■Com pouco O2, acumula-se acetil-CoA nas mitocôndrias e aumenta a síntese de ácidos graxos, favorecendo o acúmulo de triglicerídeos no citosol (esteatose). São lesões reversíveis = Degenerações
  • 34.
    2- Radicais Livres Osradicais livres são moléculas que apresentam um elétron não emparelhado no orbital externo, o que as torna muito reativas com outras moléculas
  • 35.
    Deficiência enzimática Acúmulo desubstrato 3- Alterações em ácidos nucléicos e proteínas ERROS INATOS DO METABOLISMO
  • 36.
  • 37.
  • 38.
    5- Agentes físicos (1)força mecânica; (2) variações da pressão atmosférica; (3) variações de temperatura; (4) eletricidade; (5) radiações; (6) ondas sonoras (ruídos).
  • 39.
  • 40.
    Degeneração é alesão reversível secundária a alterações bioquímicas que resultam em acúmulo de substâncias no interior de células. Morfologicamente, uma degeneração aparece como deposição (ou acúmulo) de substâncias em células. As degenerações são agrupadas de acordo com a natureza da substância acumulada e são classificadas em: (1) degenerações por acúmulo de água e eletrólitos – o exemplo clássico é o da degeneração hidrópica; (2) degenerações por acúmulo de proteínas – as mais importantes são as degenerações hialina e mucoide; (3) degenerações por acúmulo de lipídeos – as de maior interesse são a esteatose e as lipidoses; (4) degenerações por acúmulo de carboidratos. Na maioria dos casos, o acúmulo de carboidratos em células deve-se a deficiências de enzimas responsáveis por sua metabolização – glicogenoses e mucopolissacaridoses são os exemplos principais.
  • 42.
  • 43.
  • 45.
  • 47.
    Para saber mais:https://my.clevelandclinic.org/health/diseases/24857-acute- fatty-liver-of-pregnancy
  • 48.
    ATIVIDADE DE FIXAÇÃO 1)CONCEITUE: - Propedêutica - Fisiopatologia - Etiopatogênese - Displasia - Metaplasia - Hiperplasia - Neoplasia - Hipertrofia 2) O que é? - Denegeração Hidrópica - Denegeneração Gordurosa - Mecanismo de agressão - Lesão não letal - Lesão letal - Infecção - Inflamação
  • 49.
    CORREÇÃO DA PRIMEIRAATIVIDADE PARCIAL
  • 50.
    1) O processopatológico é o conjunto de alterações morfológicas, moleculares, e ou funcionais que surgem nos tecidos após as agressões. Entende-se que o processo patológico é compreendido de eventos que culminem em alterações da Homeostasia. Com base no texto acima, defina: a) Homeostasia: b) Alterações morfológicas: c) Alterações moleculares: d) Alterações funcionais:
  • 51.
    2) A açãodos agentes agressores, qualquer que seja sua natureza, se faz basicamente por dois mecanismos: a) ação direta: por meio de alterações moleculares e morfológicas b) ação indireta: através de mecanismos que permitam adaptações: as adaptações visam neutralizar o agente agressor e impedir danos mais severos ao organismo. Com base no texto acima, cite um exemplo de ação direta e um exemplo de ação indireta de um agente agressor.
  • 52.
    3) O mecanismopatológico inicia obrigatoriamente por uma causa, a PATOGÊNESE (desenvolvimento da doença) e a evolução da mesmas pode gerar 2 condições distintas: Lesões reversíveis e Lesões irreversíveis, sendo que, considera-se como fim do processo a morte celular.
  • 53.
    Baseando-se no entendimentoda figura abaixo explique o que é lesão reversível e lesão irreversível
  • 54.
    5) As adaptaçõescelulares são mecanismos relacionados às ações indiretas que permitem realizar mudanças celulares no intuito de inviabilizar a morte celular ou lesões irreversíveis. São exemplos de adaptações celulares: Hipóxia, Anóxia, Hipoxemia, Hipertrofia, Atrofia, Hiperplasia, Hipoplasia, Metaplasia, Degenerações, Regeneração, Cicatrização. Abaixo estão listados alguns exemplos. Preencha com o tipo de adaptação correspondente. a) Diminuição no número de células de um determinado tecido. (H. Patológica: fase embrionária (pulmonar e renal) atresia ovariana; H. Fisiológica: involução do timo na puberdade, formação dos dedos fase embrionária. _______________ b) É a diminuição da concentração de oxigênio na corrente sanguínea, ocasionado geralmente por parada cardiorrespiratória. _____________. c) Processo caracterizado pela redução de oxigênio nas células, ocasionada normalmente por obstruções parciais ____________. d) Substituição de um tecido de origem por outro tecido da mesma linhagem resultando em um tecido mais resistente. Em geral as metaplasias são resultantes de agressões persistentes, tendo como exemplos: Epitélio estratificado não ceratinizado para ceratinizado, Epitélio colunar para escamoso. _____________________________________ .
  • 55.
    e) É oaumento do número de células de um determinado tecido (H. Fisiológica: mama na puberdade, regeneração do fígado; H. Patológica: hiperplasia da tireóide (TSH), do endométrio (estrógenos), Hiperplasia prostática benigna). _______________________. f) É a interrupção do fornecimento de oxigênio (total ou parcial) devido a processos obstrutivos. ___________________________. g) Adaptação celular caracterizada pela diminuição no tamanho e no volume das células de um determinado tecido (caracterizada por desuso, limitações motoras, Redução das funções metabólicas devido à falta de nutrientes, fontes energéticas e etc). ________________. h) Processo caracterizado pela ausência total de oxigênio, ocasionada por obstrução total. ___________________. i) Aumento do tamanho e volume celular (musculação, coração chagásico). _______________.
  • 56.
    6) A degeneraçãoé uma adaptação caracterizada pelo acúmulo de substâncias no interior das células, resultando em modificações da morfologia da célula com diminuição de suas funções. São lesões de caráter reversível. Abaixo há duas colunas que consistem nos tipos de degenerações. Preencha os parênteses com os números correspondentes ao tipo de degeneração: ( 1 ) Degeração Hidrópica ( 2 ) Degeneração Gordurosa ( 3 ) Degeneração Hialina ( 4 ) Degeneração Mucóide ( ) Deposição de gorduras neutras no citoplasma de células. Provocada por agressões persistente ao tecido hepático (etilismo e medicações) ( ) Acúmulo de muco no interior das células. hiperprodução de muco pelas células mucíparas dos tratos digestivo e respiratório. ( ) Acúmulo de material proteico no interior das células. Causa: Etilismo e agressões nos hepatócitos. ( ) Acúmulo de muco no interior das células. hiperprodução de muco pelas células mucíparas dos tratos digestivo e respiratório. ( ) Acúmulo de água no interior das células, volume e peso das células aumentados, ocasionado por distúrbios eletrolíticos. Ex: EDEMA
  • 57.
  • 58.
  • 59.
    Os agentes agressorescausam lesões reversíveis ou morte celular. Produzir lesões reversíveis ou não depende: 1) da natureza do agente agressor, 2) da intensidade e da duração da agressão e; 3) da capacidade do organismo de reagir.
  • 60.
    Morte celular éum processo caraceterizado pela sucessão de eventos, sendo às vezes difícil estabelecer qual é o fator que determina a irreversibilidade da lesão, ou seja, o chamado ponto de não retorno. Algumas alterações ultraestruturais: - grande tumefação mitocondrial, - perda de cristas, bolhas e solução de continuidade na membrana
  • 61.
    A MORTE CELULARÉ SEMPRE PRECEDIDA DE DEGENERAÇÃO?
  • 62.
    Nem sempre amorte celular é precedida de lesões degenerativas, pois o agente agressor pode causar morte rapidamente, não havendo lesões degenerativas que a precedam.
  • 63.
  • 64.
    MORTE CELULAR PROGRAMADA MORTE CELULAR REGULADA MORTECELULAR ACIDENTAL A diferenciação entre os tipos de morte é feita pelos achados morfológicos e pela identificação dos aspectos moleculares envolvidos.
  • 65.
    MORTE CELULAR PROGRAMADA Ocorre comoforma de manter a homeostase (como na ativação de linfócitos) ou para favorecer a diferenciação (como na embriogênese). Apoptose é a forma mais conhecida de morte celular programada (p. ex., apoptose de linfócitos T após a sua ativação; neste caso, a morte celular faz parte do processo fisiológico de eliminação da célula após cumprir o seu papel fisiológico).
  • 67.
    MORTE CELULAR REGULADA Toda morteprogramada é regulada, mas nem toda morte regulada é programada. Causada pela ativação de vias que podem ser reguladas por fármacos ou por manipulação genética, sem fazer parte de um contexto fisiológico. Em infecções virais, o vírus pode inibir a apoptose, mas ativa cinases que induzem necrose regulada, possibilitando a eliminação do agente. Ou seja, a célula decidiu morrer por necrose para eliminar o vírus, já que a apoptose foi inibida pelo invasor.
  • 68.
    Ocorre por agressõesque induzem necrose ou apoptose: (a) anóxia no miocárdio causa necrose de miócitos; (b) intoxicação etílica crônica que resulta em apoptose nessas células. MORTE CELULAR ACIDENTAL
  • 69.
  • 70.
    Morte celular emorganismo vivo e seguida de autólise. Quando a agressão interrompe a produção de energia, os lisossomos perdem a capacidade de conter as hidrolases e estas saem para o citosol e iniciam a autólise; as hidrolases lisossômicas digerem todos os substratos celulares. Com a necrose, são liberadas alarminas (HMGB1, uratos e fosfatos) que são reconhecidas em receptores celulares e induzem uma reação inflamatória. NECROSE
  • 71.
  • 72.
    Principais achados microscópicosda necrose: Alterações nucleares: a) 1- Picnose nuclear – intensa contração e condensação da cromatina, tornando o núcleo intensamente basófilo, de aspecto homogêneo e bem menor do que o normal. b) 2- Cariólise – digestão da cromatina, desaparecimento da afinidade tintorial do núcleo a ponto de não ser mais possível identificá-lo em colorações de rotina (ausência dos núcleos nas células). c) 3- Cariorrexe – fragmentação e dispersão do núcleo no citoplasma. REDUÇÃO DO pH
  • 73.
    NECROSE Necrose por coagulação Sua causa maisfrequente é isquemia. Macroscopicamente, a área atingida é esbranquiçada e fica circundada por um halo avermelhado (hiperemia que tenta compensar a isquemia). Microscopicamente, além de alterações nucleares, especialmente cariólise, as células necrosadas apresentam citoplasma com aspecto de substância coagulada (o citoplasma torna-se acidófilo e granuloso, gelificado.
  • 74.
    B- Área denecrose, na qual os hepatócitos apresentam citoplasma acidófilo e homogêneo, sem núcleos (cariólise). As setas amarelas mostram núcleos picnóticos. As setas azuis indicam hepatócitos contraídos e intensamente acidófilos, com núcleo picnótico (hepatócitos em apoptose, também denominados corpos hialinos, semelhantes aos corpúsculos deCouncilman- Rocha Lima). A. Hepatócitos íntegros, para comparação, os quais têm núcleos com cromatina frouxa e citoplasma discretamente basofílico.
  • 75.
    Necrose isquêmica domiocárdio. A. Cariólise de miocélulas, que mostram citoplasma homogêneo e muito acidófilo (necrose por coagulação). As setas indicam núcleos picnóticos, sobretudo em células do estroma. B. Infiltração de células fagocitárias e de linfócitos, iniciando a remoção de cardiomiócitos mortos e a reparação (cicatrização). As setas mostram restos de cardiomiócitos mortos entre os fagócitos.
  • 76.
    NECROSE Necrose Gomosa Variedade de necrosepor coagulação na qual o tecido necrosado assume aspecto compacto e elástico como borracha (goma), ou fluido e viscoso como a goma-arábica; é encontrada na sífilis tardia (goma sifilítica).
  • 78.
    NECROSE Necrose por liquefação A região adquireconsistência mole, semifluida ou liquefeita. A liquefação é causada por enzimas lisossômicas. Tal necrose é comum no tecido nervoso, na suprarrenal ou na mucosa gástrica.
  • 79.
    Macroscopicamente, a zonanecrosada adquire consistência mole, pastosa ou mesmo liquefeita.
  • 80.
    NECROSE Necrose lítica Necrose de hepatócitosem hepatites virais, os quais sofrem lise ou esfacelo (necrose por esfacelo).
  • 81.
    NECROSE Necrose caseosa A área necrosadaadquire aspecto macroscópico de massa de queijo. Microscopicamente, as células necróticas formam uma massa homogênea, acidófila, contendo núcleos picnóticos e, principalmente na periferia, núcleos fragmentados (cariorrexe); as células perdem totalmente os seus contornos e os detalhes estruturais. Necrose caseosa é comum na tuberculose. A lesão parece resultar de agressão imunitária, por liberação de linfotoxinas (p. ex., TNF-α) e produtos citotóxicos de macrófagos.
  • 82.
    Necrose caseosa emgranuloma da tuberculose. A área de necrose, com aspecto acidófilo e homogêneo, apresenta núcleos picnóticos na periferia.
  • 83.
    NECROSE Esteatonecros e ou necrose gordurosa Tambémdenominada necrose enzimática do tecido adiposo, é encontrada tipicamente na pancreatite aguda necro-hemorrágica, que resulta do extravasamento de enzimas pancreáticas. Por ação de lipases sobre os triglicerídeos, os ácidos graxos liberados sofrem saponificação e originam depósitos esbranquiçados ou manchas com aspecto macroscópico de pingo de vela.
  • 84.
  • 85.
    O que acontecedepois que as células morrem?
  • 86.
    As células mortase autolisadas são um corpo estranho que desencadeia resposta do organismo para sua reabsorção e posterior reparo. Os restos celulares são fagocitados pelas células inflamatórias e, no local, surgem os processos de reparo:
  • 87.
    Regeneração: Quando otecido tem capacidade regenerativa, fatores de crescimento liberados por células vizinhas e por leucócitos induzem multiplicação das células parenquimatosas. Cicatrização: Processo em que o tecido necrosado é substituído por tecido conjuntivo cicatricial Encistamento: Quando o material necrótico não é absorvido, por ser volumoso ou por falta de migração de leucócitos. Eliminação: Se a área de necrose alcança um canal que se comunica com o meio externo, o material necrosado é eliminado, originando uma cavidade Calcificação: A área de necrose, especialmente a caseosa, pode também calcificar-se. E V O L U Ç Ã O D a N E C R o S E
  • 89.
  • 90.
    A apoptose éa lesão em que a célula é estimulada a acionar mecanismos que culminam com a sua morte. Diferentemente da necrose, a célula em apoptose não sofre autólise nem ruptura da membrana citoplasmática; a célula morta é fragmentada, e os seus fragmentos ficam envolvidos pela membrana citoplasmática e são endocitados por células vizinhas, sem provocar quimiotaxia nem ativar células fagocitárias (a apoptose não induz inflamação). APOPTOSE
  • 91.
    BOM? RUIM? APOPTOSE A apoptosetem enorme importância em momentos funcionais e em inúmeras doenças.
  • 92.
    BOM? APOPTOSE Como morte programada,ela é importante na remodelação de órgãos durante a embriogênese e na vida pós-natal.
  • 93.
    RUIM? APOPTOSE Ocorre em condiçõespatológicas é causada por inúmeros agentes, como vírus, hipóxia, radicais livres, substâncias químicas, agressão imunitária e radiações ionizantes.
  • 94.
    As principais condiçõesem que acontece apoptose são: (1) falta de fatores de crescimento, como ocorre em células dependentes de hormônios quando estes não estão disponíveis ou em linfócitos que não recebem estímulo de citocinas; (2) lesão no DNA, por radiações, medicamentos antineoplásicos, radicais livres etc.; (3) estresse no retículo endoplasmático, por defeitos no dobramento de proteínas; (4) ação de linfócitos T citotóxicos; (5) ativação de receptores que têm o domínio de morte, como acontece na eliminação de linfócitos autorreatores. Redução da apoptose, por outro lado, pode estar envolvida no aparecimento de alguns cânceres
  • 96.
  • 97.
  • 99.
    Apoptose e necrosesão duas lesões com margens que se tocam e se confundem. Muitas agressões podem induzir tanto apoptose quanto necrose, e, muitas vezes, os dois processos coexistem. Após uma agressão, a decisão da célula de entrar em apoptose ou de sobreviver depende da intensidade e da qualidade da agressão e dos receptores acionados. Como a apoptose depende de ATP, as agressões que a provocam não podem bloquear completamente a produção de energia. Se o ATP se reduz muito, surge necrose. Nesta, há aumento da permeabilidade de lisossomos, elemento fundamental na autólise. Admite-se que uma agressão pode, inicialmente, induzir apoptose; se esta é interrompida ou não se completa, pode evoluir para necrose. SUMARIZANDO
  • 100.
    AF 2: 1,5PONTOS- Moodle TEMA DA PRÓXIMA AULA TEÓRICA: Alterações circulatórias e hemodinâmicas (página 145). COMUNICADOS