Anatomia - revisão 4º período UNCISAL 2009-1
ANATOMIA  E FISIOLOGIA QUAL É O OBJETO DE ESTUDO ?
IMAGENOLOGIA QUAL É O OBJETO DE ESTUDO?
 
 
Organização estrutural Átomos ->  Moléculas  - nível químico  Células – unidade estrutural e funcional Tecidos  - grupos de células + matriz celular  Órgãos – grupos de tecidos com forma e função específicas
Tecidos Grupos de células semelhantes entre si e com a matriz extracelular, possuem uma função específica  4 tipos básicos
1-Epitelial:  cobre as superfícies internas e externas do corpo, incluindo a superfície interna dos vasos e órgãos Pele Traquéia Mucosa oral Endotélio vascular
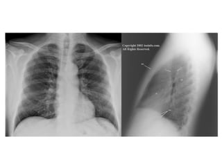
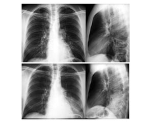
FR = 1ª costela M = manúbrio C = clavícula T = traquéia
 
premedofcolor.wordpress.com
Arco Aórtico a Direita
2 .  Conjuntivo:  une e sustenta as várias estruturas Tecido conjuntivo frouxo Tecido conjuntivo adiposo Tecido conjuntivo denso Tecido conjuntivo ósseo Tecido conjuntivo cartilaginoso Tecido conjuntivo reticular Epitélio M.Basal Tecido conjuntivo Cpilar
3. Muscular:  compõe a substância dos músculos
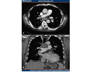
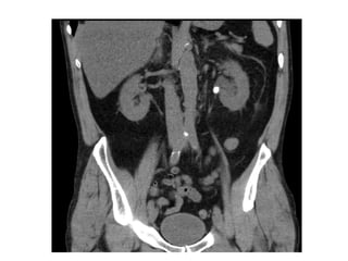
:  www.myoquip.com.au/HipneeFlex.htm 1, Rectus abdominis muscle. 2, Colon 3, Liver. 4, Right kidney. 5, Inferior vena cava. 6, Psoas muscle. 7, Aorta. 8, Lower pole of the left kidney. 9, Left colon. 10, External oblique muscle. 11, Internal oblique muscle. 12, Transversus abdominis muscle.  www.info-radiologie.ch/abdominal_ct.php radgame.stanford.edu/.../Xray/pages/Xray-1.htm
4. Nervoso:  compõe a substância dos nervos e centros nervosos . www.web-books.com/.../Nervous/Nervous.htm porpax.bio.miami.edu/.../neurophysiology.ht m
Órgãos Tecidos se unem para realizar uma função específica  Formato específico Rins, coração, fígado, pulmões, estômago e cérebro
Sistemas Grupo  de órgãos  com função similar  Tecido Órgão
10 sistemas orgânicos esquelético circulatório, digestivo respiratório, urinário, reprodutor nervoso,  muscular, endócrino tegumentar  
Sistema Esquelético
Função?
Sistema Esquelético 206 ossos Sustentar e proteger o corpo Permitir os movimentos através da interação com os músculos formando alavancas Produzir células sangüíneas Armazenar cálcio  
Sistema Circulatório
 
Órgãos cardiovasculares  (coração, sangue e vasos sangüíneos) Sistema  linfático  (linfonodos, vasos linfáticos  )
Função?
Sistema Circulatório Distribuir oxigênio e nutrientes para todas as células do organismo  Retirar escórias e CO 2  das células Transportar água, eletrólitos, hormônios e enzimas Imunidade Coagulação Regulação da temperatura corporal
 
Sistema Linfático Drenar o excesso de fluido intersticial para o sistema circulatório Transporte  de nutrientes do sistema digestório para o circulatório  Resposta imune O sistema linfático não realiza  TROCAS  – essa função é do sistema circulatório O movimento da linfa se faz através da compressão produzida pela contração vascular e muscular
www.szote.u-szeged.hu/radio/erek/aperi10c.htm
 
Sistema Digestório
Sistema Digestório Canal alimentar : Boca, faringe, esôfago, estômago, intestinos delgado e grosso e ânus Órgãos acessórios: glândulas salivares, fígado, vesícula biliar e pâncreas
Função?
Preparar o alimento para ser absorvido pelas células (processos físicos e químicos de degradação) Eliminar escórias sólidas do organismo
Estômago Transporte Fígado, vias biliares e pâncreas Intestino Delgado Intestino Grosso Esôfago Boca Mastigação/Saliva Trituração/Reservatório/ Hidrólise de proteínas (pepsina/lipase)  Completar digestão/ absorção Adição de enzimas /suco digestivo  Absorção de água/ formação das fezes
 
 
 
 
Sistem Respiratório
Sistema Respiratório Nariz, boca, faringe, laringe, traquéia  e árvore brônquica  Dois pulmões
Função?
Fornecer oxigênio ao sangue e às células Eliminar o dióxido de carbono do sangue Auxiliar na regulação do equilíbrio ácido-básico  
home.comcast.net/~wnor/thoraxradiology.htm
home.comcast.net/~wnor/thoraxradiology.htm
Sistema Urinário
Sistema Urinário Órgãos que produzem, coletam e eliminam a urina.  Rins, ureteres, bexiga e uretra.
Função?
Regular a composição química do sangue Eliminar escórias do organismo Regular o balanço e o volume hidro eletrolítico Manter o equilíbrio ácido-básico do organismo
 
 
Sistema Reprodutor
Sistema Reprodutor Ógãos que produzem, transportam e armazenam células germinativas Testículos  e ovários produzem células germinativas maduras.  Órgãos de transporte e armazenamento Homem: Ducto deferente,  próstata e  pênis Mulher: útero,  trompas uterinas e  vagina
www.lahey.org/.../Ultrasound_Pelvic.asp istmo ampola Porção uterina infundíbulo fimbrias Ostio abdominal utero ovário Meso-salpinge Óstio uterino
Trompa Trompa pérvia – extravasamento do contraste injetado Cânula www.uptodateonline.com/patients/content/topic...
 
Bexiga Vesículas seminais Próstata Glândula de Cowper Vesículas seminais Duto deferente Vesículas seminais Testículos Bolsa escrotal Cospo esponjoso Corpo cavernoso
Sistema Nervoso
Sistema Nervoso Encéfalo, medula espinhal, nervos, gânglios e órgãos sensoriais especiais (olhos/ouvidos)
regular as atividades corporais através de impulsos elétricos que correm pelos nervos .
Lobo Frontal Lobo Parietal Àrea da leitura e compreensão Lobo Occipital Àrea sensitiva da fala (Wernicke) Cerebelo Medula Oblonga Lobo Occipital Lobo Parietal Giro pós central Giro pré central Àrea pré-motora Lobo Frontal Fissura longitudinal Àrea motora da fala (Broca) Lobo Temporal Ponte
Corno Frontal III Ventrículo  Forames de Monro Corno  Temporal Corno  Occipital Aqueduto de Sylvius IV Ventriculo Canal ependimal central
 
Sistema Muscular
Sistema Muscular Musculatura Esquelética (43% do peso corpóreo)  estriada/voluntária Musculatura Visceral (órgãos ôcos)  lisa Musculatura Cardíaca -  estriada /involuntária
Permitir movimento Manter postura Produzir calor
SistemaEndócrino
Sistema Endócrino Glândulas desprovidas de ductos: testículos, ovários, pâncreas, adrenais, timo, paratireóides, tireóide, pineal e hipófise.  Placenta : glândula endócrina temporária. Libera hormônios diretamente na corrente sangüínea. Função:  regular as atividades corporais através de hormônios  
A avaliação através de imagens do sistema endócrino é muito complexa e vamos discutir no decorrer do curso, pois são necessários vários métodos de imagem, não apenas Radiologia Convencional que é o objeto de nosso estudo agora

Anatomia Se4 P20091

  • 1.
    Anatomia - revisão4º período UNCISAL 2009-1
  • 2.
    ANATOMIA EFISIOLOGIA QUAL É O OBJETO DE ESTUDO ?
  • 3.
    IMAGENOLOGIA QUAL ÉO OBJETO DE ESTUDO?
  • 4.
  • 5.
  • 6.
    Organização estrutural Átomos-> Moléculas - nível químico Células – unidade estrutural e funcional Tecidos - grupos de células + matriz celular Órgãos – grupos de tecidos com forma e função específicas
  • 7.
    Tecidos Grupos decélulas semelhantes entre si e com a matriz extracelular, possuem uma função específica 4 tipos básicos
  • 8.
    1-Epitelial: cobreas superfícies internas e externas do corpo, incluindo a superfície interna dos vasos e órgãos Pele Traquéia Mucosa oral Endotélio vascular
  • 9.
    FR = 1ªcostela M = manúbrio C = clavícula T = traquéia
  • 10.
  • 11.
  • 12.
  • 13.
    2 . Conjuntivo: une e sustenta as várias estruturas Tecido conjuntivo frouxo Tecido conjuntivo adiposo Tecido conjuntivo denso Tecido conjuntivo ósseo Tecido conjuntivo cartilaginoso Tecido conjuntivo reticular Epitélio M.Basal Tecido conjuntivo Cpilar
  • 14.
    3. Muscular: compõe a substância dos músculos
  • 15.
    : www.myoquip.com.au/HipneeFlex.htm1, Rectus abdominis muscle. 2, Colon 3, Liver. 4, Right kidney. 5, Inferior vena cava. 6, Psoas muscle. 7, Aorta. 8, Lower pole of the left kidney. 9, Left colon. 10, External oblique muscle. 11, Internal oblique muscle. 12, Transversus abdominis muscle. www.info-radiologie.ch/abdominal_ct.php radgame.stanford.edu/.../Xray/pages/Xray-1.htm
  • 16.
    4. Nervoso: compõe a substância dos nervos e centros nervosos . www.web-books.com/.../Nervous/Nervous.htm porpax.bio.miami.edu/.../neurophysiology.ht m
  • 17.
    Órgãos Tecidos seunem para realizar uma função específica Formato específico Rins, coração, fígado, pulmões, estômago e cérebro
  • 18.
    Sistemas Grupo de órgãos com função similar Tecido Órgão
  • 19.
    10 sistemas orgânicosesquelético circulatório, digestivo respiratório, urinário, reprodutor nervoso, muscular, endócrino tegumentar  
  • 20.
  • 21.
  • 22.
    Sistema Esquelético 206ossos Sustentar e proteger o corpo Permitir os movimentos através da interação com os músculos formando alavancas Produzir células sangüíneas Armazenar cálcio  
  • 23.
  • 24.
  • 25.
    Órgãos cardiovasculares (coração, sangue e vasos sangüíneos) Sistema linfático (linfonodos, vasos linfáticos )
  • 26.
  • 27.
    Sistema Circulatório Distribuiroxigênio e nutrientes para todas as células do organismo Retirar escórias e CO 2 das células Transportar água, eletrólitos, hormônios e enzimas Imunidade Coagulação Regulação da temperatura corporal
  • 28.
  • 29.
    Sistema Linfático Drenaro excesso de fluido intersticial para o sistema circulatório Transporte de nutrientes do sistema digestório para o circulatório Resposta imune O sistema linfático não realiza TROCAS – essa função é do sistema circulatório O movimento da linfa se faz através da compressão produzida pela contração vascular e muscular
  • 30.
  • 31.
  • 32.
  • 33.
    Sistema Digestório Canalalimentar : Boca, faringe, esôfago, estômago, intestinos delgado e grosso e ânus Órgãos acessórios: glândulas salivares, fígado, vesícula biliar e pâncreas
  • 34.
  • 35.
    Preparar o alimentopara ser absorvido pelas células (processos físicos e químicos de degradação) Eliminar escórias sólidas do organismo
  • 36.
    Estômago Transporte Fígado,vias biliares e pâncreas Intestino Delgado Intestino Grosso Esôfago Boca Mastigação/Saliva Trituração/Reservatório/ Hidrólise de proteínas (pepsina/lipase) Completar digestão/ absorção Adição de enzimas /suco digestivo Absorção de água/ formação das fezes
  • 37.
  • 38.
  • 39.
  • 40.
  • 41.
  • 42.
    Sistema Respiratório Nariz,boca, faringe, laringe, traquéia e árvore brônquica Dois pulmões
  • 43.
  • 44.
    Fornecer oxigênio aosangue e às células Eliminar o dióxido de carbono do sangue Auxiliar na regulação do equilíbrio ácido-básico  
  • 45.
  • 46.
  • 47.
  • 48.
    Sistema Urinário Órgãosque produzem, coletam e eliminam a urina. Rins, ureteres, bexiga e uretra.
  • 49.
  • 50.
    Regular a composiçãoquímica do sangue Eliminar escórias do organismo Regular o balanço e o volume hidro eletrolítico Manter o equilíbrio ácido-básico do organismo
  • 51.
  • 52.
  • 53.
  • 54.
    Sistema Reprodutor Ógãosque produzem, transportam e armazenam células germinativas Testículos e ovários produzem células germinativas maduras. Órgãos de transporte e armazenamento Homem: Ducto deferente, próstata e pênis Mulher: útero, trompas uterinas e vagina
  • 55.
    www.lahey.org/.../Ultrasound_Pelvic.asp istmo ampolaPorção uterina infundíbulo fimbrias Ostio abdominal utero ovário Meso-salpinge Óstio uterino
  • 56.
    Trompa Trompa pérvia– extravasamento do contraste injetado Cânula www.uptodateonline.com/patients/content/topic...
  • 57.
  • 58.
    Bexiga Vesículas seminaisPróstata Glândula de Cowper Vesículas seminais Duto deferente Vesículas seminais Testículos Bolsa escrotal Cospo esponjoso Corpo cavernoso
  • 59.
  • 60.
    Sistema Nervoso Encéfalo,medula espinhal, nervos, gânglios e órgãos sensoriais especiais (olhos/ouvidos)
  • 61.
    regular as atividadescorporais através de impulsos elétricos que correm pelos nervos .
  • 62.
    Lobo Frontal LoboParietal Àrea da leitura e compreensão Lobo Occipital Àrea sensitiva da fala (Wernicke) Cerebelo Medula Oblonga Lobo Occipital Lobo Parietal Giro pós central Giro pré central Àrea pré-motora Lobo Frontal Fissura longitudinal Àrea motora da fala (Broca) Lobo Temporal Ponte
  • 63.
    Corno Frontal IIIVentrículo Forames de Monro Corno Temporal Corno Occipital Aqueduto de Sylvius IV Ventriculo Canal ependimal central
  • 64.
  • 65.
  • 66.
    Sistema Muscular MusculaturaEsquelética (43% do peso corpóreo) estriada/voluntária Musculatura Visceral (órgãos ôcos) lisa Musculatura Cardíaca - estriada /involuntária
  • 67.
    Permitir movimento Manterpostura Produzir calor
  • 68.
  • 69.
    Sistema Endócrino Glândulasdesprovidas de ductos: testículos, ovários, pâncreas, adrenais, timo, paratireóides, tireóide, pineal e hipófise. Placenta : glândula endócrina temporária. Libera hormônios diretamente na corrente sangüínea. Função: regular as atividades corporais através de hormônios  
  • 70.
    A avaliação atravésde imagens do sistema endócrino é muito complexa e vamos discutir no decorrer do curso, pois são necessários vários métodos de imagem, não apenas Radiologia Convencional que é o objeto de nosso estudo agora