Atlas de Histologia
Geral
Lys Duarte
Acadêmica de
Odontologia
lysduarte.od@hotm
ail.com
1- hemácias dentro de um vaso sangüíneo
2- endotélio (epitélio simples pavimentoso)
1
2
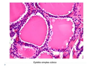
Epitélio simples cúbico
Epitélio simples cilíndrico mucossecretor
Tecido conjuntivo frouxo
Epitélio simples cilíndrico com planura estriada e células caliciformes
Tecido conjuntivo frouxo
Epitélio simples cilíndrico com planura estriada e
células caliciformes
Tecido conjuntivo frouxo
Epitélio simples cilíndrico com planura estriada e células
caliciformes
Tecido conjuntivo frouxo
Epitélio pseudoestratificado cilíndrico ciliado
Tecido conjuntivo frouxo (endotélio bem visível no vaso sangüíneo)
Epitélio pseudoestratificado cilíndrico estereociliado
Tecido conjuntivo denso modelado
Epitélio estratificado pavimentoso não-queratinizado
tecido conjuntivo frouxo
Epitélio estratificado pavimentoso queratinizado (pele delgada)
Tecido conjuntivo frouxo
Tecido conjuntivo denso não-modelado
Epitélio estratificado
pavimentoso queratinizado
(pele delgada)
Tecido conjuntivo frouxo
Tecido conjuntivo denso
não-modelado
Epitélio estratificado pavimentoso queratinizado (pele espessa)
Tecido conjuntivo
Epitélio de transição
Tecido conjuntivo frouxo
Epitélio de transição
Tecido conjuntivo frouxo
mesênquima
Tecido conjuntivo denso não-modelado
Núcleos de fibroblastos (cabeças de seta)
Fibras colágenas (em rosa)
Epitélio simples pavimentoso (endotélio)
Tecido conjuntivo denso modelado
Tecido conjuntivo – fibras reticulares
Tecido conjuntivo – fibras e lâminas elásticas
Tecido conjuntivo – lâminas elásticas
Tecido adiposo unilocular
Cartilagem Hialina
P = pericôndrio
parte superior = tecido adiposo
unilocular
parte inferior = tecido adiposo
multilocular
Cartilagem elástica
Cartilagem fibrosa
Ossificação intramembranosa
CL = linhas cimentantes; BL = osteoblasto inativo; OB =
osteoblasto ativo; O = osteócito; M = mesênquima
M
Ossificação intramembranosa
Setas = osteoclastos
Ossificação endocondral
Ossificação
endocondral
Osso compacto – SM = músculo esquelético; FP = periósteo
fibroso; OP = periósteo osteogênico; Os = ósteon; IC = lamela
circunferencial interna; M = medula óssea
Tecido ósseo
Lacunas, canalículos
Osso esponjoso
T = trabécula óssea; H = medula óssea; A = adipócitos
Sangue
Cabeças de seta = plaquetas
Setas = hemácias
Sangue
Neutrófilos, hemácias e uma plaqueta
Sangue
Eosinófilo e hemácias
Sangue
Basófilo e hemácias
Sangue
Monócito e hemácias
Sangue
Linfócito e hemácias
Tecido muscular esquelético – corte transversal
Tecidos conjuntivos (epimísio, perimísio e endomísio)
Tecido muscular esquelético – cortes
transversal e longitudinal
Tecido muscular cardíaco
Corte longitudinal, corte transversal
M = miofibrilas; DI = disco intercalar; CM = fibra muscular cardíaca
DI
Tecido muscular liso
Corte transversal
Corte longitudinal
Tecido nervoso – neurônios multipolares estrelados
Tecido nervoso
Neurônios de Purkinje
Tecido nervoso
Neurônios multipolares piramidais

Atlas de Histologia Geral